Expression of Matrix Metalloproteinase-9 and Tissue Inhibitor of Metalloproteinase-1 in Endometriosis Menstrual Blood
Abstract
1. Introduction
2. Methods
2.1. Study Design and Subject Selection
2.2. Inclusion and Exclusion Criteria
2.3. Sample Size Calculation
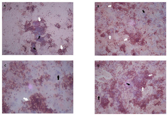
2.4. MMP-9 and TIMP-1 Assessment
2.5. Statistical Analysis
3. Results
4. Discussion
5. Conclusions
Author Contributions
Funding
Conflicts of Interest
References
- Harris, A.; Tsaltas, J. Endometriosis and Infertility: A Systematic Review. J. Endometr Pelvic. Pain Disord. 2017, 9, 139–149. [Google Scholar] [CrossRef]
- Johnson, N.P.; Hummelshoj, L.; Adamson, G.D.; Keckstein, J.; Taylor, H.S.; Abrao, M.S.; Bush, D.; Kiesel, L.; Tamimi, R.; Sharpe-Timms, K.L.; et al. World endometriosis society consensus on the classification of endometriosis. Hum. Reprod. 2017, 32, 315–324. [Google Scholar] [CrossRef] [PubMed]
- Sampson, J.A. Metastatic or Embolic Endometriosis, due to the Menstrual Dissemination of Endometrial Tissue into the Venous Circulation. Am. J. Pathol. 1927, 3, 93. [Google Scholar]
- Pitsos, M.; Kanakas, N. The role of matrix metalloproteinases in the pathogenesis of endometriosis. Reprod. Sci. 2009, 16, 717–726. [Google Scholar] [CrossRef] [PubMed]
- Liu, H.; Wang, J.; Wang, H.; Tang, N.; Li, Y.; Zhang, Y.; Hao, T. The plasma and peritoneal fluid concentrations of matrix metalloproteinase-9 are elevated in patients with endometriosis. Ann. Clin. Biochem. 2016, 53, 599–605. [Google Scholar] [CrossRef]
- Barišić, A.; Dević Pavlić, S.; Ostojić, S.; Pereza, N. Matrix metalloproteinase and tissue inhibitors of metalloproteinases gene polymorphisms in disorders that influence fertility and pregnancy complications: A systematic review and meta-analysis. Gene 2018, 647, 48–60. [Google Scholar] [CrossRef]
- Hsu, A.L.; Khachikyan, I.; Stratton, P. Invasive and noninvasive methods for the diagnosis of endometriosis. Clin Obstet Gynecol. 2010, 53, 413–419. [Google Scholar] [CrossRef]
- Chapron, C.; Marcellin, L.; Borghese, B.; Santulli, P. Rethinking mechanisms, diagnosis and management of endometriosis. Nat. Rev. Endocrinol. 2019, 15, 666–682. [Google Scholar] [CrossRef] [PubMed]
- Zhang, J.; Salamonsen, L.A. In vivo evidence for active matrix metalloproteinases in human endometrium supports their role in tissue breakdown at menstruation. J. Clin. Endocrinol. Metab. 2002, 87, 2346–2351. [Google Scholar] [CrossRef] [PubMed]
- Balkowiec, M.; Maksym, R.B.; Wlodarski, P.K. The bimodal role of matrix metalloproteinases and their inhibitors in etiology and pathogenesis of endometriosis (Review). Mol. Med. Rep. 2018, 18, 3123–3136. [Google Scholar] [CrossRef] [PubMed]
- Malik, S.; Day, K.; Perrault, I.; Charnock-Jones, D.S.; Smith, S.K. Menstrual effluent in endometriosis shows no difference in volume, VEGF-A, MMP2 and MMP9 or sFLT. Reprod. Biomed. Online 2006, 12, 174–181. [Google Scholar] [CrossRef]
- Nothnick, W.B. Regulation of uterine matrix metalloproteinase-9 and the role of microRNAs. Thieme Med. Publ. 2008, 26, 494–499. [Google Scholar] [CrossRef] [PubMed]
- Collette, T.; Maheux, R.; Mailloux, J.; Akoum, A. Increased expression of matrix metalloproteinase-9 in the eutopic endometrial tissue of women with endometriosis. Hum. Reprod. 2006, 21, 3059–3067. [Google Scholar] [CrossRef]
- Laganà, A.S.; Garzon, S.; Götte, M.; Viganò, P.; Franchi, M.; Ghezzi, F.; Martin, D.C. The pathogenesis of endometriosis: Molecular and cell biology insights. Int. J. Mol. Sci. 2019, 20, 5615. [Google Scholar] [CrossRef] [PubMed]
- Mousazadeh, S.; Ghaheri, A.; Shahhoseini, M.; Aflatoonian, R.; Afsharian, P. The effect of imbalanced progesterone receptor-A/-B ratio on gelatinase expressions in endometriosis. Int. J. Fertil. Steril. 2019, 13, 127–134. [Google Scholar]
- Laganà, A.S.; Vitale, S.G.; Salmeri, F.M.; Triolo, O.; Ban Frangež, H.; Vrtačnik-Bokal, E.; Stojanovska, V.; Apostolopoulos, V.; Granese, R.; Sofo, V. Unus pro omnibus, omnes pro uno: A novel, evidence-based, unifying theory for the pathogenesis of endometriosis. Med. Hypotheses 2017, 103, 10–20. [Google Scholar] [CrossRef] [PubMed]
- Xiong, W.; Zhang, L.; Yu, L.; Xie, W.; Man, Y.; Xiong, Y.; Liu, H. Estradiol promotes cells invasion by activating β-catenin signaling pathway in endometriosis. Reproduction 2015, 15, 507–516. [Google Scholar] [CrossRef]
- Zhang, L.; Xiong, W.; Xiong, Y.; Liu, H.; Li, N.; Du, Y.; Liu, Y. Intracellular Wnt/Beta-Catenin Signaling Underlying 17beta-Estradiol-Induced Matrix Metalloproteinase 9 Expression in Human Endometriosis1. Biol. Reprod. 2016, 96, 1–10. [Google Scholar] [CrossRef]
- Madjid, T.H. Hubungan Tampilan Protein Kaspase-3, Kaspase-9, MMP-9 dan Polimorfisme C-1526t Gen MMP-9 Darah Haid Dengan Manifestasi Klinis Endometriosis Dalam Upaya Penegakan Diagnosis. Ph.D. Thesis, Universitas Padjadjaran, Bandung, Indonesia, 2008. [Google Scholar]

| Characteristics | Group | p-Value | ||
|---|---|---|---|---|
| Endometriosis (n = 30) | Control (n = 38) | |||
| 1. | Age (years) | t = 1.225 p = 0.225 | ||
| X (SD) | 34.0 (6.8) | 31.6 (8.6) | ||
| Median | 35 | 31.0 | ||
| Distance | 20–49 | 17–54 | ||
| 2. | Occupation | x2 = 2.653 p = 0.618 | ||
| Housewife | 18 | 24 | ||
| Working | 12 | 14 | ||
| 3. | Marital Status | x2 = 0.161 p = 0.688 | ||
| Married | 27 | 33 | ||
| Unmarried | 3 | 5 | ||
| 4. | Social economic | x2 = 4.565 p = 0.102 | ||
| a. High | 0 | 5 | ||
| b. Med | 12 | 11 | ||
| c. Low | 18 | 22 | ||
| 5. | BMI (kgs/m−2) | t = 0.230 p = 0.819 | ||
| X(SD) | 23.0 (3.5) | 22.8 (3.9) | ||
| Range | 17.2–30.3 | 15–29 | ||
| Variables | Group | OR (95% CI) | p-Value | |||
|---|---|---|---|---|---|---|
| Endometriosis | Control | |||||
| n | % | n | % | |||
| 1. MMP-9 | 0.002 | |||||
| 20–50 | 1 | 3.3 | 8 | 21.1 | 0.28 (0.01–2.89) | |
| 50–80 | 9 | 30 | 20 | 52.6 | 1.0 | |
| >80 | 20 | 66.7 | 10 | 26.3 | 4.44 (1.31–15.56) | |
| 2. TIMP-1 | 0.030 | |||||
| <20 | 5 | 16.7 | 5 | 13.2 | 3.0 (0.53–17.73) | |
| 20–50 | 15 | 30 | 10 | 26.3 | 4.5 (1.21–17.42) | |
| 50–80 | 7 | 23.3 | 21 | 55.2 | 1.0 | |
| >80 | 3 | 10 | 2 | 5.3 | 1.5 (0.46–50.90) | |
| MMP-9 Distribution | TIMP-1 Distribution | p-Value | |||
|---|---|---|---|---|---|
| <20% | 20%–50% | 50%–80% | >80% | ||
| 1. Endometriosis | x2 = 3.981 | ||||
| 20%–50% | 0 | 1 | 0 | 0 | p = 0.675 |
| 50%–80% | 0 | 5 | 3 | 1 | rs = −0.196 |
| >80% | 5 | 9 | 4 | 2 | p = 0.30 |
| 2. Normal | x2 = 25.053 | ||||
| 20%–50% | 1 | 0 | 5 | 2 | p =< 0.001 |
| 50%–80% | 0 | 5 | 15 | 0 | rs = −0.613 |
| >80% | 4 | 5 | 1 | 0 | p =< 0.001 |
© 2020 by the authors. Licensee MDPI, Basel, Switzerland. This article is an open access article distributed under the terms and conditions of the Creative Commons Attribution (CC BY) license (http://creativecommons.org/licenses/by/4.0/).
Share and Cite
Madjid, T.H.; Ardiansyah, D.F.; Permadi, W.; Hernowo, B. Expression of Matrix Metalloproteinase-9 and Tissue Inhibitor of Metalloproteinase-1 in Endometriosis Menstrual Blood. Diagnostics 2020, 10, 364. https://doi.org/10.3390/diagnostics10060364
Madjid TH, Ardiansyah DF, Permadi W, Hernowo B. Expression of Matrix Metalloproteinase-9 and Tissue Inhibitor of Metalloproteinase-1 in Endometriosis Menstrual Blood. Diagnostics. 2020; 10(6):364. https://doi.org/10.3390/diagnostics10060364
Chicago/Turabian StyleMadjid, Tita Husnitawati, Dennis Fachmi Ardiansyah, Wiryawan Permadi, and Bethy Hernowo. 2020. "Expression of Matrix Metalloproteinase-9 and Tissue Inhibitor of Metalloproteinase-1 in Endometriosis Menstrual Blood" Diagnostics 10, no. 6: 364. https://doi.org/10.3390/diagnostics10060364
APA StyleMadjid, T. H., Ardiansyah, D. F., Permadi, W., & Hernowo, B. (2020). Expression of Matrix Metalloproteinase-9 and Tissue Inhibitor of Metalloproteinase-1 in Endometriosis Menstrual Blood. Diagnostics, 10(6), 364. https://doi.org/10.3390/diagnostics10060364

