Increased Tissue Expression of Lectin-Like Oxidized LDL Receptor-1 (LOX-1) Is Associated with Disease Severity in Chronic Rhinosinusitis with Nasal Polyps
Abstract
1. Introduction
2. Patients and Methods
2.1. Study Design
2.2. RT-PCR Analysis
2.3. ELISA Measurement
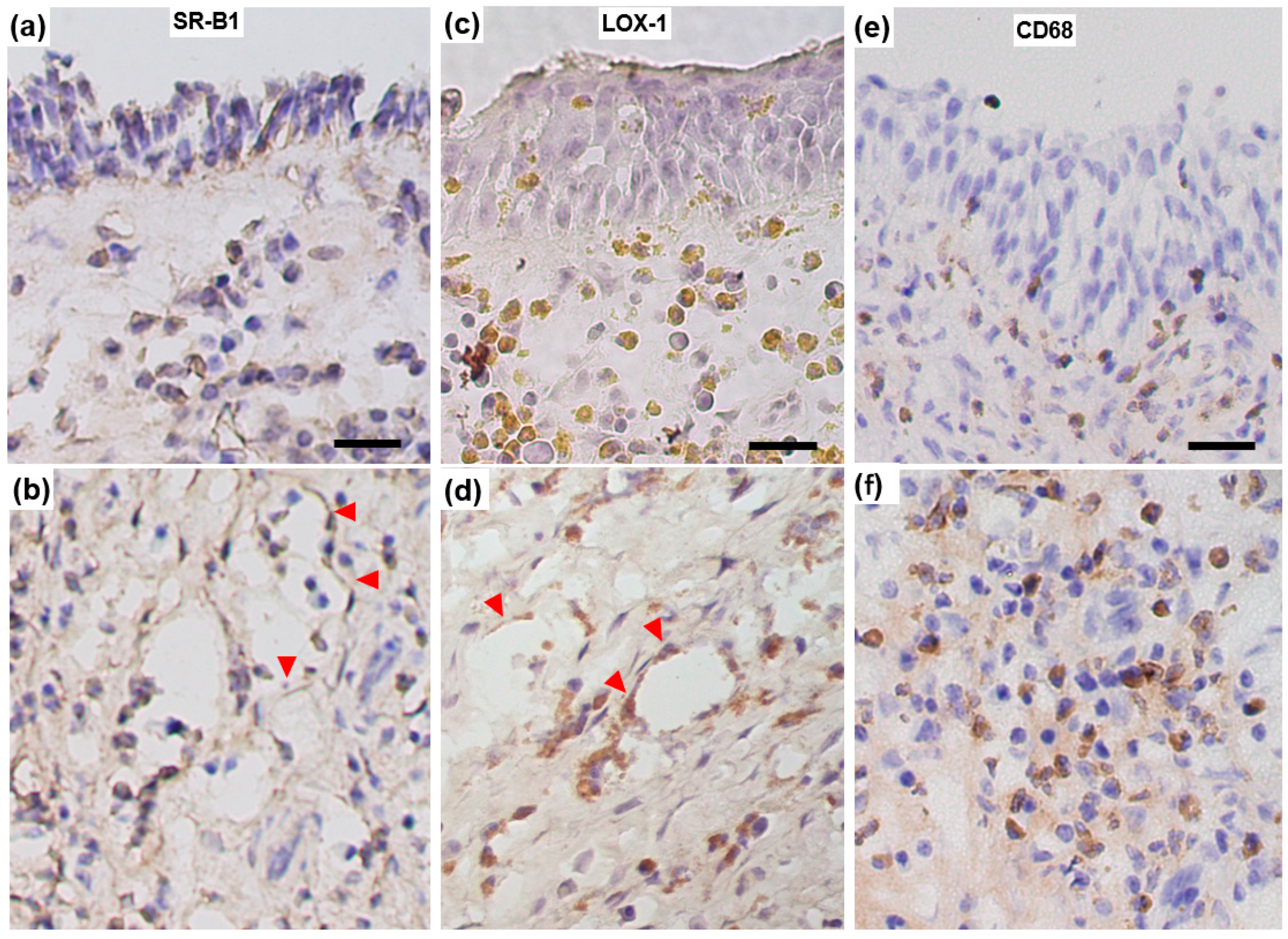
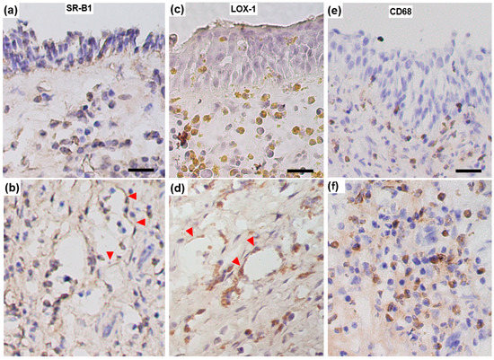
2.4. Immunohistochemistry
2.5. Data Analysis
3. Results
3.1. Characteristics of Subjects in the Study
3.2. Target Genes Expression in Nasal Polyps and Sinus Mucosa
3.3. LOX-1 and SR-B1 Proteins Production and Expression
4. Discussion
Author Contributions
Funding
Acknowledgments
Conflicts of Interest
Data Availability
References
- Goldstein, J.L.; Ho, Y.K.; Basu, S.K.; Brown, M.S. Binding site on macrophages that mediates uptake and degradation of acetylated low density lipoprotein, producing massive cholesterol deposition. Proc. Natl. Acad. Sci. USA 1979, 76, 333–337. [Google Scholar] [CrossRef]
- Li, Y.; Huang, T.-T.; Carlson, E.J.; Melov, S.; Ursell, P.C.; Olson, J.L.; Noble, L.J.; Yoshimura, M.P.; Berger, C.; Chan, P.H.; et al. Dilated cardiomyopathy and neonatal lethality in mutant mice lacking manganese superoxide dismutase. Nat. Genet. 1995, 11, 376–381. [Google Scholar] [CrossRef] [PubMed]
- Valko, M.; Leibfritz, D.; Moncol, J.; Cronin, M.T.; Mazúr, M.; Telser, J. Free radicals and antioxidants in normal physiological functions and human disease. Int. J. Biochem. Cell Boil. 2007, 39, 44–84. [Google Scholar] [CrossRef] [PubMed]
- Prabhudas, M.; Bowdish, D.; Drickamer, K.; Febbraio, M.; Herz, J.; Kobzik, L.; Krieger, M.; Loike, J.; Means, T.K.; Moestrup, S.K.; et al. Standardizing scavenger receptor nomenclature. J. Immunol. 2014, 192, 1997–2006. [Google Scholar] [CrossRef] [PubMed]
- Li, N.; Hao, M.; Phalen, R.F.; Hinds, W.C.; Nel, A. Particulate air pollutants and asthma. A paradigm for the role of oxidative stress in PM-induced adverse health effects. Clin. Immunol. 2003, 109, 250–265. [Google Scholar] [CrossRef] [PubMed]
- Sawamura, T.; Kume, N.; Aoyama, T.; Moriwaki, H.; Hoshikawa, H.; Aiba, Y.; Tanaka, T.; Miwa, S.; Katsura, Y.; Kita, T.; et al. An endothelial receptor for oxidized low-density lipoprotein. Nature 1997, 386, 73–77. [Google Scholar] [CrossRef] [PubMed]
- Kume, N.; Murase, T.; Moriwaki, H.; Aoyama, T.; Sawamura, T.; Masaki, T.; Kita, T. Inducible expression of lectin-like oxidized LDL receptor-1 in vascular endothelial cells. Circ. Res. 1998, 83, 322–327. [Google Scholar] [CrossRef] [PubMed]
- Krieger, M. Scavenger receptor class B type I is a multiligand HDL receptor that influences diverse physiologic systems. J. Clin. Investig. 2001, 108, 793–797. [Google Scholar] [CrossRef] [PubMed]
- Lund, V.J.; Kennedy, D.W. Quantification for staging sinusitis. The Staging and Therapy Group. Ann. Otol. Rhinol. Laryngol. Suppl. 1995, 167, 17–21. [Google Scholar] [CrossRef]
- Fokkens, W.J.; Lund, V.J.; Mullol, J.; Bachert, C.; Alobid, I.; Baroody, F.; Cohen, N.; Cervin, A.; Douglas, R.; Gevaert, P.; et al. European Position Paper on Rhinosinusitis and Nasal Polyps 2012. Rhinol. Suppl. 2012, 23, 60–74. [Google Scholar]
- Bachert, C.; Zhang, N.; Hellings, P.W.; Bousquet, J. Endotype-driven care pathways in patients with chronic rhinosinusitis. J. Allergy Clin. Immunol. 2018, 141, 1543–1551. [Google Scholar] [CrossRef]
- Xu, X.; Ong, Y.K.; Wang, D.-Y. Novel findings in immunopathophysiology of chronic rhinosinusitis and their role in a model of precision medicine. Allergy 2019, 14044. [Google Scholar] [CrossRef]
- Fujieda, S.; Imoto, Y.; Kato, Y.; Ninomiya, T.; Tokunaga, T.; Tsutsumiuchi, T.; Yoshida, K.; Kidoguchi, M.; Takabayashi, T. Eosinophilic chronic rhinosinusitis. Allergol. Int. 2019, 68, 403–412. [Google Scholar] [CrossRef]
- Barnes, P.J. Reactive oxygen species and airway inflammation. Free Radic. Biol. Med. 1990, 9, 235–243. [Google Scholar] [CrossRef]
- Mehta, J.L.; Sanada, N.; Hu, C.-P.; Chen, J.; Dandapat, A.; Sugawara, F.; Satoh, H.; Inoue, K.; Kawase, Y.; Jishage, K.-I.; et al. Deletion of LOX-1 Reduces Atherogenesis in LDLR Knockout Mice Fed High Cholesterol Diet. Circ. Res. 2007, 100, 1634–1642. [Google Scholar] [CrossRef] [PubMed]
- Hayashida, K.; Kume, N.; Murase, T. Serum Soluble Lectin-Like Oxidized Low-Density Lipoprotein Receptor-1 Levels Are Elevated in Acute Coronary Syndrome: A Novel Marker for Early Diagnosis. ACC Curr. J. Rev. 2005, 14, 3. [Google Scholar] [CrossRef]
- Lubrano, V.; Del Turco, S.; Nicolini, G.; Di Cecco, P.; Basta, G. Circulating Levels of Lectin-Like Oxidized Low-Density Lipoprotein Receptor-1 are Associated with Inflammatory Markers. Lipids 2008, 43, 945–950. [Google Scholar] [CrossRef]
- Balzan, S.; Lubrano, V. LOX-1 receptor: A potential link in atherosclerosis and cancer. Life Sci. 2018, 198, 79–86. [Google Scholar] [CrossRef]
- Lubrano, V.; Balzan, S. Roles of LOX-1 in microvascular dysfunction. Microvasc. Res. 2016, 105, 132–140. [Google Scholar] [CrossRef]
- Baranova, I.N.; Souza, A.C.P.; Bocharov, A.V.; Vishnyakova, T.G.; Hu, X.; Vaisman, B.; Amar, M.J.; Chen, Z.; Kost, Y.; Remaley, A.T.; et al. Human SR-BI and SR-BII Potentiate Lipopolysaccharide-Induced Inflammation and Acute Liver and Kidney Injury in Mice. J. Immunol. 2016, 196, 3135–3147. [Google Scholar] [CrossRef] [PubMed]
- Guo, L.; Song, Z.; Li, M.; Wu, Q.; Wang, D.; Feng, H.; Bernard, P.; Daugherty, A.; Huang, B.; Li, X.-A. Scavenger Receptor BI Protects against Septic Death through Its Role in Modulating Inflammatory Response. J. Biol. Chem. 2009, 284, 19826–19834. [Google Scholar] [CrossRef] [PubMed]
- Rius, J.; Guma, M.; Schachtrup, C.; Akassoglou, K.; Zinkernagel, A.S.; Nizet, V.; Johnson, R.S.; Haddad, G.G.; Karin, M. NF-κB links innate immunity to the hypoxic response through transcriptional regulation of HIF-1α. Nature 2008, 453, 807–811. [Google Scholar] [CrossRef] [PubMed]
- Hwang, K.S.; Park, I.-H.; Choi, H.; Lee, S.H.; Lee, S.H.; Lee, H.-M. Increased Expression of Angiogenin in Nasal Polyps. Am. J. Rhinol. Allergy 2011, 25, e23–e26. [Google Scholar] [CrossRef] [PubMed]
- Wittekindt, C.; Hess, A.; Bloch, W.; Sultanie, S.; Michel, O. Immunohistochemical expression of VEGF and VEGF receptors in nasal polyps as compared to normal turbinate mucosa. Eur. Arch. Oto-Rhino-Laryngol. 2002, 259, 294–298. [Google Scholar] [CrossRef] [PubMed]
- Gosepath, J.; Brieger, J.; Lehr, H.A.; Mann, W.J. Expression, localization, and significance of vascular permeability/vascular endothelial growth factor in nasal polyps. Am. J. Rhinol. 2005, 19, 7–13. [Google Scholar] [CrossRef] [PubMed]
- Inoue, N.; Okamura, T.; Kokubo, Y.; Fujita, Y.; Sato, Y.; Nakanishi, M.; Yanagida, K.; Kakino, A.; Iwamoto, S.; Watanabe, M.; et al. LOX Index, a Novel Predictive Biochemical Marker for Coronary Heart Disease and Stroke. Clin. Chem. 2010, 56, 550–558. [Google Scholar] [CrossRef]
- Akinnusi, M.E.; LaPorta, R.; El-Solh, A.A. Lectin-Like Oxidized Low-Density Lipoprotein Receptor-1 Modulates Endothelial Apoptosis in Obstructive Sleep Apnea. Chest 2011, 140, 1503–1510. [Google Scholar] [CrossRef] [PubMed]
- Akamatsu, T.; Sugiyama, T.; Aoki, Y.; Kawabata, K.; Shimizu, M.; Okazaki, K.; Kondo, M.; Takahashi, K.; Yokoyama, Y.; Takahashi, N.; et al. A Pilot Study of Soluble Form of LOX-1 as a Novel Biomarker for Neonatal Hypoxic-Ischemic Encephalopathy. J. Pediatr. 2019, 206, 49–55. [Google Scholar] [CrossRef]
- Lundberg, J.; Weitzberg, E. Nasal nitric oxide in man. Thorax 1999, 54, 947–952. [Google Scholar] [CrossRef]
- Maniscalco, M.; Sofia, M.; Pelaia, G. Nitric oxide in upper airways inflammatory diseases. Inflamm. Res. 2007, 56, 58–69. [Google Scholar] [CrossRef]
- Barnes, P.J.; Dweik, R.A.; Gelb, A.F.; Gibson, P.G.; George, S.C.; Grasemann, H.; Pavord, I.D.; Ratjen, F.; Silkoff, P.; Taylor, D.R.; et al. Exhaled Nitric Oxide in Pulmonary Diseases. Chest 2010, 138, 682–692. [Google Scholar] [CrossRef] [PubMed]
- Takeno, S.; Taruya, T.; Ueda, T.; Noda, N.; Hirakawa, K. Increased exhaled nitric oxide and its oxidation metabolism in eosinophilic chronic rhinosinusitis. Auris Nasus Larynx 2013, 40, 458–464. [Google Scholar] [CrossRef] [PubMed]




| Control Group (n = 19) | CRSsNP Group (n = 13) | CRSwNP Group (n = 31) | |
|---|---|---|---|
| Males/Females | 9/10 | 8/5 | 14/17 |
| Age | 46.4 (19.4) | 50 (18.6) | 56.2 (13.2) |
| Allergic rhinitis | 10 (52.6%) | 10 (76.9%) | 20 (64.5%) |
| BMI, kg/mm2 | 22 (2.5) | 22.5 (2.8) | 22.6 (3.3) |
| Bronchial asthma | 1 (5.2%) | 3 (23%) | 14 (45.1%) ** |
| Blood eosinophils, % | 2.9 (2.5) | 4.1 (2.9) | 6.4 (4.0) †† |
| FeNO, ppb | 21.33 (19.16) | 16.54 (12.65) | 32.13 (27.86) † |
| Tissue eosinophils, cells/HPF | 15.6 (26.2) | 30.1 (44.8) | 133.8 (111.3) *** |
| CT score | - | 6.5 (4.3) | 15.9 (6.5) *** |
| LOX-1 serum levels, pg/mL | 417 (264.7) | 473.8 (329.5) | 585.7 (390.2) |
© 2020 by the authors. Licensee MDPI, Basel, Switzerland. This article is an open access article distributed under the terms and conditions of the Creative Commons Attribution (CC BY) license (http://creativecommons.org/licenses/by/4.0/).
Share and Cite
Nishida, M.; Takeno, S.; Takemoto, K.; Takahara, D.; Hamamoto, T.; Ishino, T.; Kawasumi, T. Increased Tissue Expression of Lectin-Like Oxidized LDL Receptor-1 (LOX-1) Is Associated with Disease Severity in Chronic Rhinosinusitis with Nasal Polyps. Diagnostics 2020, 10, 246. https://doi.org/10.3390/diagnostics10040246
Nishida M, Takeno S, Takemoto K, Takahara D, Hamamoto T, Ishino T, Kawasumi T. Increased Tissue Expression of Lectin-Like Oxidized LDL Receptor-1 (LOX-1) Is Associated with Disease Severity in Chronic Rhinosinusitis with Nasal Polyps. Diagnostics. 2020; 10(4):246. https://doi.org/10.3390/diagnostics10040246
Chicago/Turabian StyleNishida, Manabu, Sachio Takeno, Kohta Takemoto, Daisuke Takahara, Takao Hamamoto, Takashi Ishino, and Tomohiro Kawasumi. 2020. "Increased Tissue Expression of Lectin-Like Oxidized LDL Receptor-1 (LOX-1) Is Associated with Disease Severity in Chronic Rhinosinusitis with Nasal Polyps" Diagnostics 10, no. 4: 246. https://doi.org/10.3390/diagnostics10040246
APA StyleNishida, M., Takeno, S., Takemoto, K., Takahara, D., Hamamoto, T., Ishino, T., & Kawasumi, T. (2020). Increased Tissue Expression of Lectin-Like Oxidized LDL Receptor-1 (LOX-1) Is Associated with Disease Severity in Chronic Rhinosinusitis with Nasal Polyps. Diagnostics, 10(4), 246. https://doi.org/10.3390/diagnostics10040246

