The Combination of Adaptive Convolutional Neural Network and Bag of Visual Words in Automatic Diagnosis of Third Molar Complications on Dental X-Ray Images
Abstract
1. Introduction
2. Materials and Methods
2.1. Materials
2.2. Method
2.2.1. Architecture
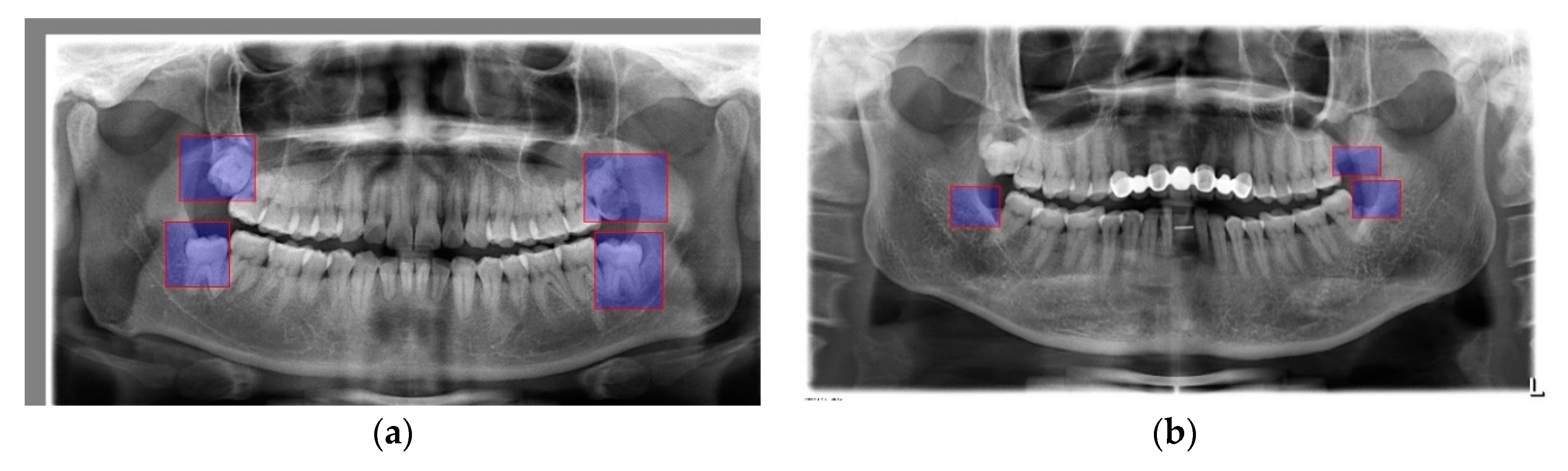
2.2.2. ROI Creation
2.2.3. Image Smoothing
2.2.4. Feature Extraction
2.2.5. Bag of Visual Words
2.2.6. Model Training
2.2.7. Convolutional Neural Network
3. Experiments
- Logistic Regression
- Support Vector Machine (RBF Kernel)
- ANN/Multi-Layer Perceptron (1 hidden ReLU layer and 100 nodes)
- Decision Tree
- Gradient Boosting
- Random Forest
4. Conclusions
Author Contributions
Acknowledgments
Conflicts of Interest
References
- Ankarali, H.; Ataoglu, S.; Ankarali, S.; Guclu, H. Pain Threshold, Pain Severity and Sensory Effects of Pain in Fibromyalgia Syndrome Patients: A new scale study. Bangladesh J. Med. Sci. 2018, 17, 342–350. [Google Scholar] [CrossRef]
- Ravikumar, K.K.; Ramakrishnan, K. Pain in the face: An overview of pain of nonodontogenic origin. Int. J. Soc. Rehabil. 2018, 3, 1. [Google Scholar]
- Wu, Y.; Xie, F.; Yang, J.; Cheng, E.; Megalooikonomou, V.; Ling, H. Computer aided periapical lesion diagnosis using quantized texture analysis. In Medical Imaging 2012: Computer-Aided Diagnosis; International Society for Optics and Photonics: Washington, DC, USA, February 2012; Volume 8315, p. 831518. [Google Scholar]
- Zare, M.R.; Müller, H. A Medical X-Ray Image Classification and Retrieval System. In Proceedings of the Pacific Asia Conference On Information Systems (PACIS), Chiayi, Taiwan, 27 June–1 July 2016; Association for Information System: Atlanta, GA, USA, 2016; Volume 13. [Google Scholar]
- Bay, H.; Tuytelaars, T.; Van Gool, L. Surf: Speeded up robust features. In Proceedings of the European Conference on Computer Vision, Amsterdam, The Netherlands, 8–16 October 2016; Springer: Berlin/Heidelberg, Germany, 2016; pp. 404–417. [Google Scholar]
- Prakasa, E. Texture feature extraction by using local binary pattern. INKOM J. 2016, 9, 45–48. [Google Scholar] [CrossRef]
- Bouslimi, R.; Akaichi, J. Automatic medical image annotation on social network of physician collaboration. Netw. Model. Anal. Health Inform. Bioinform. 2015, 4, 10. [Google Scholar] [CrossRef]
- Miao, C.; Xie, L.; Wan, F.; Su, C.; Liu, H.; Jiao, J.; Ye, Q. SIXray: A Large-scale Security Inspection X-ray Benchmark for Prohibited Item Discovery in Overlapping Images. In Proceedings of the IEEE Conference on Computer Vision and Pattern Recognition, Long Beach, CA, USA, 16–20 June 2019; pp. 2119–2128. [Google Scholar]
- Lee, J.H.; Kim, D.H.; Jeong, S.N.; Choi, S.H. Detection and diagnosis of dental caries using a deep learning-based convolutional neural network algorithm. J. Dent. 2018, 77, 106–111. [Google Scholar] [CrossRef]
- Li, X.; Zhang, Y.; Cui, Q.; Yi, X.; Zhang, Y. Tooth-Marked Tongue Recognition Using Multiple Instance Learning and CNN Features. IEEE Trans. Cybern. 2018, 49, 380–387. [Google Scholar]
- Lee, J.H.; Kim, D.H.; Jeong, S.N.; Choi, S.H. Diagnosis and prediction of periodontally compromised teeth using a deep learning-based convolutional neural network algorithm. J. Periodontal Implant Sci. 2018, 48, 114–123. [Google Scholar] [CrossRef]
- Kermany, D.S.; Goldbaum, M.; Cai, W.; Valentim, C.C.; Liang, H.; Baxter, S.L.; Dong, J. Identifying medical diagnoses and treatable diseases by image-based deep learning. Cell 2018, 172, 1122–1131. [Google Scholar] [CrossRef]
- Rampasek, L.; Goldenberg, A. Learning from everyday images enables expert-like diagnosis of retinal diseases. Cell 2018, 172, 893–895. [Google Scholar] [CrossRef]
- Ribli, D.; Horváth, A.; Unger, Z.; Pollner, P.; Csabai, I. Detecting and classifying lesions in mammograms with deep learning. Sci. Rep. 2018, 8, 4165. [Google Scholar] [CrossRef]
- Hu, L.; Bell, D.; Antani, S.; Xue, Z.; Yu, K.; Horning, M.P.; Long, L.R. An observational study of deep learning and automated evaluation of cervical images for cancer screening. Obstet. Gynecol. Surv. 2019, 74, 343–344. [Google Scholar] [CrossRef]
- Kim, D.; Wit, H.; Thurston, M. Artificial intelligence in nuclear medicine: Automated interpretation of Ioflupane-123 DaTScan for Parkinson’s disease using deep learning. In Proceedings of the European Congress of Radiology, Vienna, Austria, 28 February–4 March 2018. [Google Scholar]
- Rastegari, E.; Azizian, S.; Ali, H. Machine Learning and Similarity Network Approaches to Support Automatic Classification of Parkinson’s Diseases Using Accelerometer-based Gait Analysis. In Proceedings of the 52nd Hawaii International Conference on System Sciences, Maui, HI, USA, 8–11 January 2019. [Google Scholar]
- Smith, R.E.; Tournier, J.D.; Calamante, F.; Connelly, A. SIFT: Spherical-deconvolution informed filtering of tractograms. Neuroimage 2013, 67, 298–312. [Google Scholar] [CrossRef] [PubMed]
- Piñol, D.C.; Reyes, E.J.M. Automatic Handgun Detection in X-ray Images using Bag of Words Model with Selective Search. arXiv 2019, arXiv:1903.01322. [Google Scholar]
- Joachims, T. Text categorization with support vector machines: Learning with many relevant features. In Proceedings of the European Conference on Machine Learning, Chemnitz, Germany, 21–23 April 1998; Springer: Berlin/Heidelberg, Germany, 1998; pp. 137–142. [Google Scholar]
- Karim, A.A.A.; Sameer, R.A. Image Classification Using Bag of Visual Words (BoVW). J. Al Nahrain Univ. Sci. 2018, 21, 76–82. [Google Scholar] [CrossRef]
- Rublee, E.; Rabaud, V.; Konolige, K.; Bradski, G.R. ORB: An efficient alternative to SIFT or SURF. In Proceedings of the 2011 International Conference on Computer Vision (ICCV), Barcelona, Spain, 6–13 November 2011; pp. 2564–2571. [Google Scholar]
- Tareen, S.A.K.; Saleem, Z. A comparative analysis of sift, surf, kaze, akaze, orb, and brisk. In Proceedings of the IEEE 2018 International Conference on Computing, Mathematics and Engineering Technologies (iCoMET), Sukkur, Pakistan, 3–4 March 2018; pp. 1–10. [Google Scholar]
- Wojnar, A.; Pinheiro, A.M. Annotation of medical images using the SURF descriptor. In Proceedings of the 2012 9th IEEE International Symposium on Biomedical Imaging (ISBI), Barcelona, Spain, 2–5 May 2012; pp. 130–133. [Google Scholar]
- Karami, E.; Prasad, S.; Shehata, M. Image matching using SIFT, SURF, BRIEF and ORB: Performance comparison for distorted images. arXiv 2017, arXiv:1710.02726. [Google Scholar]
- Hemanth, D.J.; Anitha, J.; Mittal, M. Diabetic retinopathy diagnosis from retinal images using modified hopfield neural network. J. Med. Syst. 2018, 42, 247. [Google Scholar] [CrossRef]
- Gultom, Y.; Arymurthy, A.M.; Masikome, R.J. Batik Classification using Deep Convolutional Network Transfer Learning. J. Ilmu Komput. Dan Inf. 2018, 11, 59–66. [Google Scholar] [CrossRef]
- Ngan, T.T.; Tuan, T.M.; Minh, N.H.; Dey, N. Decision making based on fuzzy aggregation operators for medical diagnosis from dental X-ray images. J. Med. Syst. 2016, 40, 280. [Google Scholar] [CrossRef]
- Guo, P.; Xue, Z.; Long, L.R.; Antani, S. Cross-Dataset Evaluation of Deep Learning Networks for Uterine Cervix Segmentation. Diagnostics 2020, 10, 44. [Google Scholar] [CrossRef]
- Lochman, J.; Zapletalova, M.; Poskerova, H.; Izakovicova Holla, L.; Borilova Linhartova, P. Rapid Multiplex Real-Time PCR Method for the Detection and Quantification of Selected Cariogenic and Periodontal Bacteria. Diagnostics 2020, 10, 8. [Google Scholar] [CrossRef]
- Tuan, T.M.; Duc, N.T.; Van Hai, P. Dental diagnosis from X-ray images using fuzzy rule-based systems. Int. J. Fuzzy Syst. Appl. 2017, 6, 1–16. [Google Scholar]
- Tuan, T.M.; Fujita, H.; Dey, N.; Ashour, A.S.; Ngoc, V.T.N.; Chu, D.T. Dental diagnosis from X-ray images: An expert system based on fuzzy computing. Biomed. Signal Process. Control 2018, 39, 64–73. [Google Scholar]






| Classifiers | ORB | SURF | SIFT | VGG16 |
|---|---|---|---|---|
| Logistic Regression | 81% | 80% | 80% | - |
| SVC | 77% | 76% | 78% | - |
| ANN / MLP | 83% | 78% | 82% | - |
| Decision Tree | 85% | 84% | 80% | - |
| Gradient Boosting | 85% | 82% | 79% | - |
| Random Forest | 84% | 79% | 78% | - |
| CNN | - | - | - | 84% |
© 2020 by the authors. Licensee MDPI, Basel, Switzerland. This article is an open access article distributed under the terms and conditions of the Creative Commons Attribution (CC BY) license (http://creativecommons.org/licenses/by/4.0/).
Share and Cite
Ngoc, V.T.N.; Agwu, A.C.; Son, L.H.; Tuan, T.M.; Nguyen Giap, C.; Thanh, M.T.G.; Duy, H.B.; Ngan, T.T. The Combination of Adaptive Convolutional Neural Network and Bag of Visual Words in Automatic Diagnosis of Third Molar Complications on Dental X-Ray Images. Diagnostics 2020, 10, 209. https://doi.org/10.3390/diagnostics10040209
Ngoc VTN, Agwu AC, Son LH, Tuan TM, Nguyen Giap C, Thanh MTG, Duy HB, Ngan TT. The Combination of Adaptive Convolutional Neural Network and Bag of Visual Words in Automatic Diagnosis of Third Molar Complications on Dental X-Ray Images. Diagnostics. 2020; 10(4):209. https://doi.org/10.3390/diagnostics10040209
Chicago/Turabian StyleNgoc, Vo Truong Nhu, Agwu Chinedu Agwu, Le Hoang Son, Tran Manh Tuan, Cu Nguyen Giap, Mai Thi Giang Thanh, Hoang Bao Duy, and Tran Thi Ngan. 2020. "The Combination of Adaptive Convolutional Neural Network and Bag of Visual Words in Automatic Diagnosis of Third Molar Complications on Dental X-Ray Images" Diagnostics 10, no. 4: 209. https://doi.org/10.3390/diagnostics10040209
APA StyleNgoc, V. T. N., Agwu, A. C., Son, L. H., Tuan, T. M., Nguyen Giap, C., Thanh, M. T. G., Duy, H. B., & Ngan, T. T. (2020). The Combination of Adaptive Convolutional Neural Network and Bag of Visual Words in Automatic Diagnosis of Third Molar Complications on Dental X-Ray Images. Diagnostics, 10(4), 209. https://doi.org/10.3390/diagnostics10040209

