Distal Ureteral Stricture Secondary to Urolithiasis: Stepwise Endourological and Surgical Management with Ureteral Reimplantation and Drug-Coated Balloon Dilation (Optilume)
Abstract
1. Introduction
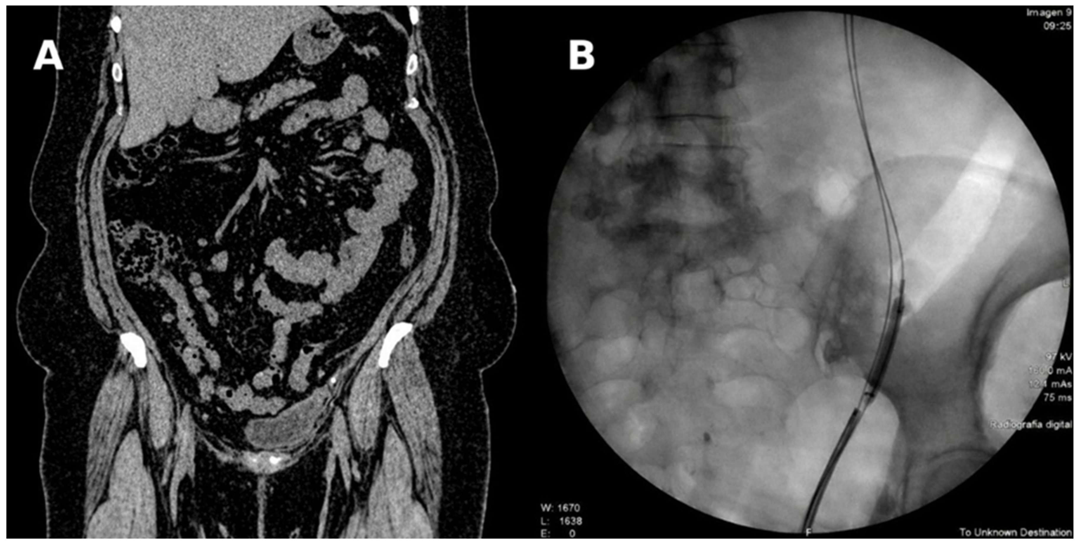
2. Case Presentation
- •
- Bilateral extracorporeal shock wave lithotripsy.
- •
- Bilateral ureteroscopy in 2017 with stone extraction.
- •
- Retrograde intrarenal surgery (RIRS) for a right lower calyceal stone in February 2018.
3. Discussion
Author Contributions
Funding
Institutional Review Board Statement
Informed Consent Statement
Data Availability Statement
Conflicts of Interest
References
- European Association of Urology. EAU Guidelines on Urological Trauma and Ureteral Strictures; European Association of Urology Guidelines Office: Arnhem, The Netherlands, 2024. [Google Scholar]
- Kallidonis, P.; Spiliopoulos, S.; Papadimatos, P.; Katsanos, C.; Liourdi, D.; Tsaturyan, A.; Karnabatidis, D.; Liatsikos, E.; Kitrou, P. Long-term outcomes of paclitaxel-coated balloons for non-malignant ureteral strictures. World J. Urol. 2022, 40, 1231–1238. [Google Scholar] [CrossRef] [PubMed]
- Rico, L.; Maqueda, M.; Blas, L.; Contreras, P. Anterograde placement of drug-coated balloon for ureteroileal anastomosis stricture. BMJ Case Rep. 2024, 17, e259977. [Google Scholar] [CrossRef] [PubMed]
- ClinicalTrials.gov. Evaluation of Optilume Drug-Coated Balloon for the Endoscopic Treatment of Ureteric Strictures (ENDURE1). Identifier: NCT07020520. Available online: https://clinicaltrials.gov/study/NCT07020520 (accessed on 8 April 2026).
- Rico, L.; Contreras, P.; Blas, L.; Jaramillo, J.Á.; Frascheri, F.; Gauhar, V.; Traxer, O.; Somani, B. The role of paclitaxel-coated balloons in treating ureteral or anastomotic strictures: Current evidence and future directions from EAU endourology. World J. Urol. 2026, 44, 97. [Google Scholar] [CrossRef] [PubMed]
- Ali-El-Dein, B. Ureteral Strictures: Etiology, Diagnosis and Treatment. In The Ureter; Abdel-Gawad, M., Ali-El-Dein, B., Barry, J., Stenzl, A., Eds.; Springer: Cham, Switzerland, 2023. [Google Scholar]
- Sunaryo, P.L.; May, P.C.; Holt, S.K.; Sorensen, M.D.; Sweet, R.M.; Harper, J.D. Ureteral strictures following ureteroscopy for kidney stone disease: A population-based assessment. J. Urol. 2022, 208, 1268–1275. [Google Scholar] [CrossRef] [PubMed]
- Hafez, K.S.; Wolf, J.S., Jr. Update on minimally invasive management of ureteral strictures. J. Endourol. 2003, 17, 453–464. [Google Scholar] [CrossRef] [PubMed]
- Seideman, C.A.; Huckabay, C.; Smith, K.D.; Permpongkosol, S.; Nadjafi-Semnani, M.; Lee, B.R.; Richstone, L.; Kavoussi, L.R. Laparoscopic ureteral reimplantation: Technique and outcomes. J. Urol. 2009, 181, 1742–1746. [Google Scholar] [CrossRef] [PubMed]
- el Kahder, K.; Guille, F.; Patard, J.J.; Mhidia, A.; Ziade, J.; Manunta, A.; Lobel, B. Ureteral reimplantation on psoas bladder: Long-term results. Acta Urol. Belg. 1998, 66, 15–20. [Google Scholar] [PubMed]
- Rosenfeld, J.; Boehm, D.; Raikar, A.; Coskey, D.; Lee, M.; Ji, E.; Lee, Z. A review of complications after ureteral reconstruction. Asian J. Urol. 2024, 11, 348–356. [Google Scholar] [CrossRef] [PubMed]
- Scheller, B.; Speck, U.; Abramjuk, C.; Bernhardt, U.; Böhm, M.; Nickenig, G. Paclitaxel balloon coating, a novel method for prevention and therapy of restenosis. Circulation 2004, 110, 810–814. [Google Scholar] [CrossRef] [PubMed]
- O’REilly, P.H.; Testa, H.J.; Lawson, R.S.; Farrar, D.J.; Edwards, E.C. Diuresis renography in equivocal urinary tract obstruction. Br. J. Urol. 1984, 56, 84. [Google Scholar] [CrossRef] [PubMed]


| Date | Clinical Event/Intervention | Stent/Nephrostomy Management | Imaging Findings | Renal Function |
|---|---|---|---|---|
| Mar 2023 | Left renal colic → DJ stent placement | DJ stent (left) | CT: Grade IV hydronephrosis, distal ureteral stones | — |
| Nov 2023 | URS + balloon dilation + endoureterotomy | DJ stent (left) | Stricture confirmed | — |
| Feb 2024 | DJ removal | No drainage | — | — |
| Apr 2024 | Follow-up evaluation | DJ + nephrostomy (left) | CT: persistent hydronephrosis; renogram: obstruction | Left 41.7%/Right 58.3% |
| May 2024 | Balloon dilation | DJ stent (left) | Stricture ~1 cm | — |
| Jul 2024 | DJ removal | No drainage | — | — |
| Sep 2024 | Nephrostomy opened | Nephrostomy (left) | Filiform passage | — |
| Oct 2024 | Combined pyelography | Nephrostomy | Distal stricture 2.5 cm | — |
| Mar 2025 | Reimplantation + psoas hitch | DJ + nephrostomy | — | — |
| Apr 2025 | DJ removal | Nephrostomy | Persistent obstruction | — |
| Apr 2025 | Nephroureteral catheter | Nephroureteral catheter | — | — |
| Jul 2025 | DJ removal | Nephrostomy reopened | — | — |
| Jul 2025 | Descending pyelography | Nephrostomy | No contrast passage | — |
| Aug 2025 | Right URS + laser | DJ (right) + nephrostomy (left) | Bilateral lithiasis | — |
| Aug 2025 | Right DJ removal | Nephrostomy | — | — |
| Nov 2025 | Optilume dilation | DJ + nephrostomy | — | — |
| Dec 2025 | Follow-up CT | Nephroureterostomy | Grade III hydronephrosis | — |
| Dec 2025 | DJ removal + nephrostogram | Nephrostomy | No passage | — |
| Jan 2026 | Nephrostogram | Nephrostomy | Partial passage | — |
| May 2026 | URS + dilation | DJ + nephrostomy closed | — | — |
Disclaimer/Publisher’s Note: The statements, opinions and data contained in all publications are solely those of the individual author(s) and contributor(s) and not of MDPI and/or the editor(s). MDPI and/or the editor(s) disclaim responsibility for any injury to people or property resulting from any ideas, methods, instructions or products referred to in the content. |
© 2026 by the authors. Licensee MDPI, Basel, Switzerland. This article is an open access article distributed under the terms and conditions of the Creative Commons Attribution (CC BY) license.
Share and Cite
Rodriguez-Parras, P.; Morales-Martinez, A.; Zambudio-Munuera, A.; Arrabal-Martin, M.; Arrabal-Polo, M.A. Distal Ureteral Stricture Secondary to Urolithiasis: Stepwise Endourological and Surgical Management with Ureteral Reimplantation and Drug-Coated Balloon Dilation (Optilume). Life 2026, 16, 677. https://doi.org/10.3390/life16040677
Rodriguez-Parras P, Morales-Martinez A, Zambudio-Munuera A, Arrabal-Martin M, Arrabal-Polo MA. Distal Ureteral Stricture Secondary to Urolithiasis: Stepwise Endourological and Surgical Management with Ureteral Reimplantation and Drug-Coated Balloon Dilation (Optilume). Life. 2026; 16(4):677. https://doi.org/10.3390/life16040677
Chicago/Turabian StyleRodriguez-Parras, Patricia, Ana Morales-Martinez, Alberto Zambudio-Munuera, Miguel Arrabal-Martin, and Miguel Angel Arrabal-Polo. 2026. "Distal Ureteral Stricture Secondary to Urolithiasis: Stepwise Endourological and Surgical Management with Ureteral Reimplantation and Drug-Coated Balloon Dilation (Optilume)" Life 16, no. 4: 677. https://doi.org/10.3390/life16040677
APA StyleRodriguez-Parras, P., Morales-Martinez, A., Zambudio-Munuera, A., Arrabal-Martin, M., & Arrabal-Polo, M. A. (2026). Distal Ureteral Stricture Secondary to Urolithiasis: Stepwise Endourological and Surgical Management with Ureteral Reimplantation and Drug-Coated Balloon Dilation (Optilume). Life, 16(4), 677. https://doi.org/10.3390/life16040677
