Red Deer (Cervus elaphus) Fascioloidosis: From Liver Pathology to Regeneration
Abstract
1. Introduction
2. Material and Methods
2.1. Study Location and Samples
2.2. Macroscopic Analysis
2.3. Histological Analysis
3. Results
3.1. Macroscopic Findings
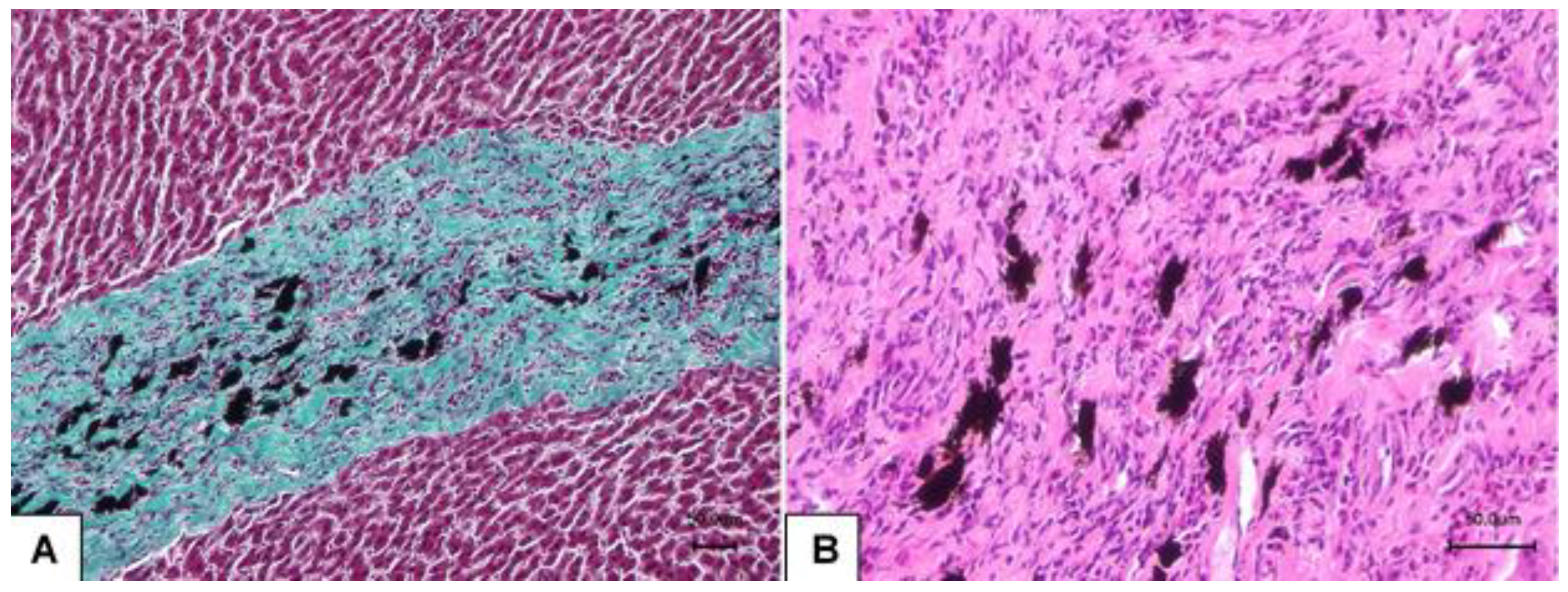
3.2. Microscopic Findings
3.2.1. Migratory Channels
3.2.2. Pseudocyst Area
3.2.3. Regenerative Area
4. Discussion
5. Conclusions
Author Contributions
Funding
Institutional Review Board Statement
Informed Consent Statement
Data Availability Statement
Acknowledgments
Conflicts of Interest
References
- Králová-Hromadová, I.; Juhásová, L.; Bazsalovicsová, E. The Giant Liver Fluke, Fascioloides magna: Past, Present and Future Research; Springer Briefs in Animal Sciences; Springer: Cham, Switzerland, 2016. [Google Scholar]
- Stiles, C.; Bujanić, M.; Martinković, F.; Šoštarić-Zuckermann, I.-C.; Konjević, D. Severe pulmonary fascioloidosis in a wild mouflon (Ovis musimon)—A case report. Helminthologia 2021, 58, 394–399. [Google Scholar] [CrossRef] [PubMed]
- Konjević, D.; Verzak, P.; Jerabek, K.; Bujanić, M.; Janicki, Z. Distribution of pseudocysts in Fascioloides magna infected livers of red deer and fallow deer. Helminthologia 2025, 62, 161–165. [Google Scholar] [CrossRef] [PubMed]
- Rajský, D.; Čorba, J.; Várady, M.; Špakulová, M.; Cabadaj, R. Control of fascioloidosis (Fascioloides magna Bassi, 1875) in red deer and roe deer. Helminthologia 2002, 39, 67–70. [Google Scholar]
- Janicki, Z.; Konjević, D.; Severin, K. Monitoring and treatment of Fascioloides magna in semi-farm red deer husbandry in Croatia. Vet. Res. Commun. 2005, 29, 83–88. [Google Scholar] [CrossRef] [PubMed]
- Janicki, Z.; Slavica, A.; Severin, K.; Konjević, D. The preservation of triclabendazole in baits for free-living red deer (Cervus elaphus L.) during the pre-consummation period. Slov. Vet. Res. 2012, 49, 73–77. [Google Scholar]
- Novobilský, A.; Koudela, B. Treatment and control of Fascioloides magna infection in cervids—Review. Veterinářství 2005, 55, 98–102. [Google Scholar]
- Ursprung, J.; Joachim, A.; Prosl, H. Incidence and control of the American giant liver fluke, Fascioloides magna, in a population of wild ungulates in the Danubian wetlands east of Vienna. Berl. Munch. Tierarztl. Wochenschr. 2006, 119, 316–323. [Google Scholar] [PubMed]
- Šegota, T.; Filipčić, A. Köppen’s classification of climates and the problem of corresponding Croatian terminology. Geoadria 2003, 8, 17–37. [Google Scholar] [CrossRef]
- Demiaszkiewicz, A.W.; Kowalczyk, R.; Filip, K.J.; Pyziel, A.M. Fascioloides magna: A parasite of roe deer in Bory Zielonogórskie. Med. Wet. 2018, 74, 257–260. [Google Scholar] [CrossRef]
- Konjević, D.; Bujanić, M.; Beck, A.; Beck, R.; Martinković, F.; Janicki, Z. First record of chronic Fascioloides magna infection in roe deer (Capreolus capreolus). Int. J. Parasitol. Parasites Wildl. 2021, 15, 173–176. [Google Scholar] [CrossRef] [PubMed]
- Buet, A.F.N.R.; Bujanić, M.; Krapinec, K.; Bošković, I.; Gašpar, A.; Konjević, D. Development of the roe deer–Fascioloides magna association over time. Pathogens 2025, 14, 516. [Google Scholar] [CrossRef] [PubMed]
- Filip-Hutsch, K.; Pyziel-Serafin, A.M.; Hutsch, T.; Bulak, K.; Czopowicz, M.; Merta, D.; Kobielski, J.; Demiaszkiewicz, A.W. The occurrence of Fascioloides magna (Bassi, 1875) in the wild cervid population in the Lower Silesian Wilderness–epidemiological and pathological aspects. J. Vet. Res. 2022, 66, 381–387. [Google Scholar] [CrossRef] [PubMed]
- Bryan, J.B. Relationship Between Parasite Intensities and Antler Characteristics of White-Tailed Deer in Texas. Master’s Thesis, College of Graduate Studies Texas A&M University, Kingsville, TX, USA, 2001. [Google Scholar]
- Pybus, M.; Onderka, D.K.; Cool, N. Efficacy of triclabendazole against natural infections of Fascioloides magna in wapiti. J. Wildl. Dis. 1991, 27, 599–605. [Google Scholar] [CrossRef] [PubMed]
- Konjević, D.; Janicki, Z.; Calmels, P.; Stojčević Jan, D.; Marinculić, A.; Šimunović, M.; Pavlak, M.; Krapinec, K.; Poljak, Z. Evaluation of factors affecting the efficacy of treatment against Fascioloides magna in wild red deer population. Vet. Ital. 2018, 54, 33–39. [Google Scholar] [PubMed]
- Capucchio, M.T.; Catalano, D.; Di Marco, V.; Russo, M.; Aronica, V.; Tomaselli, A.; Lazzara, A.; Amedeo, S.; Scaglione, F.E.; Dore, B.; et al. Natural trematode infestation in feral Nebrodi Black pigs: Pathological investigations. Vet. Parasitol. 2009, 159, 37–42. [Google Scholar] [CrossRef] [PubMed]
- Issa, R.; Zhou, X.; Trim, N.; Millward-Sadler, H.; Krane, S.; Benyon, C.; Iredale, J. Mutation in collagen-1 that confers resistance to the action of collagenase results in failure of recovery from CCl4-induced liver fibrosis, persistence of activated hepatic stellate cells, and diminished hepatocyte regeneration. FASEB J. 2003, 17, 47–49. [Google Scholar] [CrossRef] [PubMed]
- Bhushan, B.; Walesky, C.; Manley, M.; Gallagher, T.; Borude, P.; Edwards, G.; Monga, S.P.; Apte, U. Pro-regenerative signaling after acetaminophen-induced acute liver injury in mice identified using a novel incremental dose model. Am. J. Pathol. 2014, 184, 3013–3025. [Google Scholar] [CrossRef] [PubMed]





| Hunting Office | N (Livers) | Migratory Fluke | Adult Fluke | Pseudocyst | Degrading Pseudocyst |
|---|---|---|---|---|---|
| Bjelovar | 15 | 1.67 | 13 | 6.5 | 5.08 |
| Čazma | 38 | 1.66 | 18.31 | 9.11 | 15.26 |
| Daruvar | 21 | 0.61 | 8.44 | 4.22 | 3.72 |
| Garešnica | 22 | 1.48 | 9.24 | 4.62 | 5.76 |
| Grubišno Polje | 13 | 1.92 | 10.17 | 5.08 | 7.5 |
| Unknown | 27 | 1 | 19.57 | 9.78 | 4.09 |
| Mean | 1.39 | 13.27 | 6.62 | 7.06 | |
| Min | 0.61 | 8.44 | 4.22 | 3.72 | |
| Max. | 1.92 | 19.57 | 9.78 | 15.26 | |
| SD | 0.4473 | 4.0559 | 2.0189 | 3.6622 | |
| IQR | 0.67 | 9.07 | 4.49 | 3.9 | |
| 95% CI | 0.875–1.904 | 8.106–18.137 | 4.054–9.048 | 2.378–11.424 |
Disclaimer/Publisher’s Note: The statements, opinions and data contained in all publications are solely those of the individual author(s) and contributor(s) and not of MDPI and/or the editor(s). MDPI and/or the editor(s) disclaim responsibility for any injury to people or property resulting from any ideas, methods, instructions or products referred to in the content. |
© 2026 by the authors. Licensee MDPI, Basel, Switzerland. This article is an open access article distributed under the terms and conditions of the Creative Commons Attribution (CC BY) license.
Share and Cite
Konjević, D.; Škvorc, N.; Bujanić, M.; Čurlík, J.; Gašpar, A.; Šoštarić-Zuckermann, I.-C.; Gudan Kurilj, A. Red Deer (Cervus elaphus) Fascioloidosis: From Liver Pathology to Regeneration. Life 2026, 16, 502. https://doi.org/10.3390/life16030502
Konjević D, Škvorc N, Bujanić M, Čurlík J, Gašpar A, Šoštarić-Zuckermann I-C, Gudan Kurilj A. Red Deer (Cervus elaphus) Fascioloidosis: From Liver Pathology to Regeneration. Life. 2026; 16(3):502. https://doi.org/10.3390/life16030502
Chicago/Turabian StyleKonjević, Dean, Nikolina Škvorc, Miljenko Bujanić, Jan Čurlík, Anđelko Gašpar, Ivan-Conrado Šoštarić-Zuckermann, and Andrea Gudan Kurilj. 2026. "Red Deer (Cervus elaphus) Fascioloidosis: From Liver Pathology to Regeneration" Life 16, no. 3: 502. https://doi.org/10.3390/life16030502
APA StyleKonjević, D., Škvorc, N., Bujanić, M., Čurlík, J., Gašpar, A., Šoštarić-Zuckermann, I.-C., & Gudan Kurilj, A. (2026). Red Deer (Cervus elaphus) Fascioloidosis: From Liver Pathology to Regeneration. Life, 16(3), 502. https://doi.org/10.3390/life16030502

