Severe HAPE in a Remote High-Altitude Research Station in Antarctica
Abstract
1. Introduction
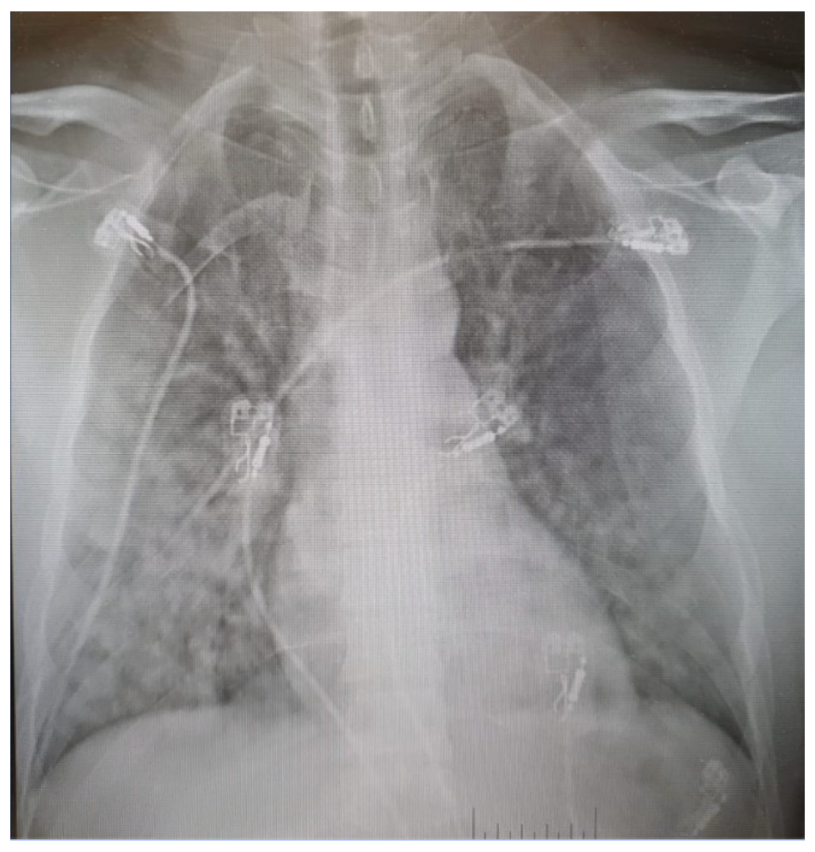
2. Case Presentation
3. Discussion
4. Conclusions
Author Contributions
Funding
Institutional Review Board Statement
Informed Consent Statement
Data Availability Statement
Acknowledgments
Conflicts of Interest
Abbreviations
| AMSL | Above Mean Sea Level |
| AMS | Acute Mountain Sickness |
| bpm | Beats per minute |
| CPAP | Continuous Positive Airway Pressure |
| DC | Dome C |
| ECG | Electrocardiogram |
| EPAP | Expiratory Positive Airway Pressure |
| HACE | High-altitude cerebral oedema |
| HAPE | High altitude pulmonary oedema |
| PEEP | Positive End-Expiratory Pressure |
| NZ | New Zealand |
| PNRA | Programma Nazionale di Ricerche in Antartide |
| TAAF | Terres australes et antarctiques françaises |
| U + E | Urea + Electrolytes |
References
- Hundt, N.; Apel, C.; Bertsch, D.; Cerfontaine, C.; van der Giet, M.; van der Giet, S.; Graß, M.; Haunolder, M.; Heussen, N.M.; Jäger, J.; et al. Variables Influencing the Pressure and Volume of the Pulmonary Circulation as Risk Factors for Developing High Altitude Pulmonary Edema (HAPE). Int. J. Environ. Res. Public Health 2022, 19, 13887. [Google Scholar] [CrossRef] [PubMed]
- Swenson, E.R.; Maggiorini, M.; Mongovin, S.; Gibbs, J.S.R.; Greve, I.; Mairbäurl, H.; Bärtsch, P. Pathogenesis of high-altitude pulmonary edema. JAMA 2002, 287, 2228–2235. [Google Scholar] [CrossRef] [PubMed]
- Bhagi, S.; Srivastava, S.; Singh, S.B. High-altitude pulmonary edema: Review. J. Occup. Health 2014, 56, 235–243. [Google Scholar] [CrossRef]
- Richalet, J.P. High altitude pulmonary oedema: Still a place for controversy? Thorax 1995, 50, 923–929. [Google Scholar] [CrossRef]
- Luks, A.M.; Beidleman, B.A.; Freer, L.; Grissom, C.K.; Keyes, L.E.; McIntosh, S.E.; Rodway, G.W.; Schoene, R.B.; Zafren, K.; Hackett, P.H. Wilderness Medical Society Clinical Practice Guidelines for the Prevention, Diagnosis, and Treatment of Acute Altitude Illness: 2024 Update. Wilderness Environ. Med. 2024, 35, 2S–19S. [Google Scholar] [CrossRef]
- Hultgren, H.N.; A Marticorena, E. High altitude pulmonary edema: Epidemiologic observations in Peru. Chest 1978, 74, 372–376. [Google Scholar] [CrossRef]
- Clarenbach, C.F.; Senn, O.; Christ, A.L.; Fischler, M.; Maggiorini, M.; Bloch, K.E. Lung function and breathing pattern in subjects developing high altitude pulmonary edema. PLoS One 2012, 7, e41188. [Google Scholar] [CrossRef]
- Singh, I.; Kapila, C.C.; Khanna, P.K.; Nanda, R.B.; Rao, B.D. High-altitude pulmonary oedema. Lancet 1965, 285, 229–234. [Google Scholar] [CrossRef]
- Lobenhoffer, H.P.; Zink, R.A.; Brendel, W. High Altitude Pulmonary Edema: Analysis of 166 Cases. In High Altitude Physiology and Medicine; Brendel, W., Zink, R.A., Eds.; Springer: New York, NY, USA, 1982; pp. 219–231. [Google Scholar] [CrossRef]
- Anderson, P.J.; Miller, A.D.; O’MAlley, K.A.; Ceridon, M.L.; Beck, K.C.; Wood, C.M.; Wiste, H.J.; Mueller, J.J.; Johnson, J.B.; Johnson, B.D. Incidence and symptoms of high altitude illness in South Pole workers: Antarctic study of altitude physiology (ASAP). Clin. Med. Insights Circ. Respir. Pulm. Med. 2011, 5, 27–35. [Google Scholar] [CrossRef]
- Apkarian, A.V. Chronic Pain and Neuroplasticity. NIH Public Access 2012, 152, 1–35. [Google Scholar]
- Bärtsch, P.; Swenson, E.R. Acute high-altitude illnesses. New Engl. J. Med. 2013, 369, 1664–1667. [Google Scholar] [CrossRef] [PubMed]
- Basnyat, B.; Murdoch, D.R. High-altitude illness. Lancet 2003, 361, 1967–1974. [Google Scholar] [CrossRef] [PubMed]
- Gallagher, S.A.; Hackett, P.H. High-altitude illness. Emerg. Med. Clin. N. Am. 2004, 22, 329–355. [Google Scholar] [CrossRef]
- Moore, J.; MacInnis, M.J.; Dallimore, J.; Wilkes, M. The Lake Louise Score: A Critical Assessment of Its Specificity. High Alt. Med. Biol. 2020, 21, 237–242. [Google Scholar] [CrossRef]
- Smith, G.B.; Redfern, O.C.; Pimentel, M.A.; Gerry, S.; Collins, G.S.; Malycha, J.; Prytherch, D.; E Schmidt, P.; Watkinson, P.J. The National Early Warning Score 2 (NEWS2). Clin. Med. 2019, 19, 260. [Google Scholar] [CrossRef]
- Fagenholz, P.J.; Gutman, J.A.; Murray, A.F.; Noble, V.E.; Thomas, S.H.; Harris, N.S. Chest ultrasonography for the diagnosis and monitoring of high-altitude pulmonary edema. Chest 2007, 131, 1013–1018. [Google Scholar] [CrossRef]
- Changizi, M.; Rio, K. Harnessing color vision for visual oximetry in central cyanosis. Med Hypotheses 2010, 74, 87–91. [Google Scholar] [CrossRef]
- McNamara, R.; Taylor, C.M.; McKenzie, D.K.; Coroneo, M.T.; Dain, S.J. Colour change in cyanosis and the confusions of congenital colour vision deficient observers. Ophthalmic Physiol. Opt. J. Br. Coll. Ophthalmic Opt. 2010, 30, 699–704. [Google Scholar] [CrossRef]
- Arnold, J.T.; Lloyd, A.B.; Bailey, S.J.; Fujimoto, T.; Matsutake, R.; Takayanagi, M.; Nishiyasu, T.; Fujii, N. The nitric oxide dependence of cutaneous microvascular function to independent and combined hypoxic cold exposure. J. Appl. Physiol 2020, 129, 947–956. [Google Scholar] [CrossRef]
- Rose, J.S.; Law, J.; Scheuring, R.; Ramage, M.H.; McKeith, J.J. Serious altitude illness at the South Pole. Aerosp. Med. Hum. Perform. 2020, 91, 46–50. [Google Scholar] [CrossRef]
- Nowadly, C.D.; Solomon, A.J.; Burke, S.M.; Rose, J.S. Evaluation of Serial Chest Radiographs of High-Altitude Pulmonary Edema Requiring Medical Evacuation from South Pole Station, Antarctica: From Diagnosis to Recovery. Mil. Med. 2021, 186, e1135–e1139. [Google Scholar] [CrossRef] [PubMed]
- Korzeniewski, K.; Nitsch-Osuch, A.; Guzek, A.; Juszczak, D. High altitude pulmonary edema in mountain climbers. Respir. Physiol. Neurobiol. 2015, 209, 33–38. [Google Scholar] [CrossRef] [PubMed]
- Naughton, G.; Carlson, J.; Fairweather, I. Determining the Variability of Performance on Wingate Anaerobic Tests in Children Aged 6–12 Years. Int. J. Sports Med. 1992, 13, 512–517. [Google Scholar] [CrossRef] [PubMed]
- Bärtsch, P. High altitude pulmonary edema. Med. Sci. Sports Exerc. 1999, 31, S23–S27. [Google Scholar] [CrossRef]
- Abman, S.H.; Hansmann, G.; Archer, S.L.; Ivy, D.D.; Adatia, I.; Chung, W.K.; Hanna, B.D.; Rosenzweig, E.B.; Raj, J.U.; Cornfield, D.; et al. Pediatric Pulmonary Hypertension: Guidelines From the American Heart Association and American Thoracic Society. Circulation 2015, 132, 2037–2099. [Google Scholar] [CrossRef]
- Harrison, M.F.; Anderson, P.; Miller, A.; O’mAlley, K.; Richert, M.; Johnson, J.; Johnson, B.D. Oral contraceptive use and acute mountain sickness in South Pole workers. Aviat. Space. Environ. Med. 2013, 84, 1166–1171. [Google Scholar] [CrossRef]
- KÜPper, T.; Milledge, J.S.; Hillebrandt, D.; KubalovÁ, J.; Hefti, U.; Basnyat, B.; Gieseler, U.; Pullan, R.; SchÖFfl, V. Work in hypoxic conditions—Consensus statement of the Medical Commission of the Union Internationale des Associations d’Alpinisme (UIAA MedCom). Ann. Occup. Hyg. 2011, 55, 369–386. [Google Scholar] [CrossRef]
- Küpper, T.E.A.H.; Schöffl, V. Preacclimatization in hypoxic chambers for high altitude sojourns. Sleep Breath. 2010, 14, 187–191. [Google Scholar] [CrossRef]
- Tannheimer, M.; Lechner, R. Initial Treatment of High-Altitude Pulmonary Edema: Comparison of Oxygen and Auto-PEEP. Int. J. Environ. Res. Public Health 2022, 19, 16185. [Google Scholar] [CrossRef]
- Helman, A.; Workman, J.; Sype, J. The Determination of Pressure Altitude and Implications for High Altitude Physiology. 2010. Available online: http://www.cohp.org/ak/notes/pressure_altitude_v6.html (accessed on 25 December 2025).






| Diagnosis | AMS/HACE | HAPE | ||
|---|---|---|---|---|
| AMS | HACE | |||
| Symptoms | headache + 1 symptoms (nausea/vomiting, fatigue, lassitude, dizziness) | Moderate-severe AMS symptoms + neurologic sign: ataxia, severe lassitude, altered mental status, encephalopathy | Dyspnoea, non-productive cough, fatigue, weakness, and fever are possible. | |
| Mild AMS: All symptoms of mild intensity | Moderate-severe AMS: All symptoms of moderate-severe intensity | |||
| Lake Louise AMS Score | 3–5 | 6–12 | NA | NA |
| Differential diagnosis | Migraine, dehydration, hyponatremia, viral infection | Migraine, dehydration, hyponatremia, viral infection | Neurologic stroke, hypoglycemia, severe dehydration, hyponatremia, viral infection | Pneumonia, asthma, bronchospasm, pneumothorax, embolism, heart failure, viral infection |
| Prevention | ACETAZOLAMIDE 125 mg/12 h—DEXAMETHASONE 2 mg/6 h | NIFEDIPINE 30 mg/12 h | ||
| 48 h with no physical exercise after arrival in DC | ||||
| Treatment | PARACETAMOL/ ACETAZOLAMIDE 250 mg/12 h | PARACETAMOL/ ACETAZOLAMIDE 250 mg/12 h | DEXAMETHASONE 8 mg and then 4 mg/6 h (oral, IM or IV) | NIFEDIPINE 30 mg/12 h TADAFIL (10 mg/12 h) or SILDENAFIL (50 mg/8 h) if N. Contradicted |
| Oxygen | No need (Or if Sp02 < 80%) | For Sp02 > 90% (1–2 L/min > 2 h) | For Sp02 > 90% Consider a hyperbaric chamber | For Sp02 > 90% Consider a hyperbaric chamber + Pentetto, CPAP, EPAP |
| Surveillance | Daily | Hospital visits twice a day/sleep in base | Hospitalisation— Consider evacuation with the station leader and the MD chief | Hospitalisation— Consider evacuation with the station leader and the MD chief |
| Exams | No need | No need | U + E, Blood gas | Blood gas, ECG, chest X-ray, POCUS lung (B lines) |
Disclaimer/Publisher’s Note: The statements, opinions and data contained in all publications are solely those of the individual author(s) and contributor(s) and not of MDPI and/or the editor(s). MDPI and/or the editor(s) disclaim responsibility for any injury to people or property resulting from any ideas, methods, instructions or products referred to in the content. |
© 2026 by the authors. Licensee MDPI, Basel, Switzerland. This article is an open access article distributed under the terms and conditions of the Creative Commons Attribution (CC BY) license.
Share and Cite
Larcher, F.; Laforet, P.; Fraize, S.; Lecca, M.; Scipinotti, R.; Fasani, G.B.; Vagnoni, S.; Freigang, S. Severe HAPE in a Remote High-Altitude Research Station in Antarctica. Life 2026, 16, 313. https://doi.org/10.3390/life16020313
Larcher F, Laforet P, Fraize S, Lecca M, Scipinotti R, Fasani GB, Vagnoni S, Freigang S. Severe HAPE in a Remote High-Altitude Research Station in Antarctica. Life. 2026; 16(2):313. https://doi.org/10.3390/life16020313
Chicago/Turabian StyleLarcher, Fanny, Paul Laforet, Stephane Fraize, Mario Lecca, Riccardo Scipinotti, Gianluca Bianchi Fasani, Salvatore Vagnoni, and Sascha Freigang. 2026. "Severe HAPE in a Remote High-Altitude Research Station in Antarctica" Life 16, no. 2: 313. https://doi.org/10.3390/life16020313
APA StyleLarcher, F., Laforet, P., Fraize, S., Lecca, M., Scipinotti, R., Fasani, G. B., Vagnoni, S., & Freigang, S. (2026). Severe HAPE in a Remote High-Altitude Research Station in Antarctica. Life, 16(2), 313. https://doi.org/10.3390/life16020313

