Liver Lipodystrophy in Barraquer–Simons Syndrome: How Much Should We Worry About?
Abstract
1. Introduction
2. Materials and Methods
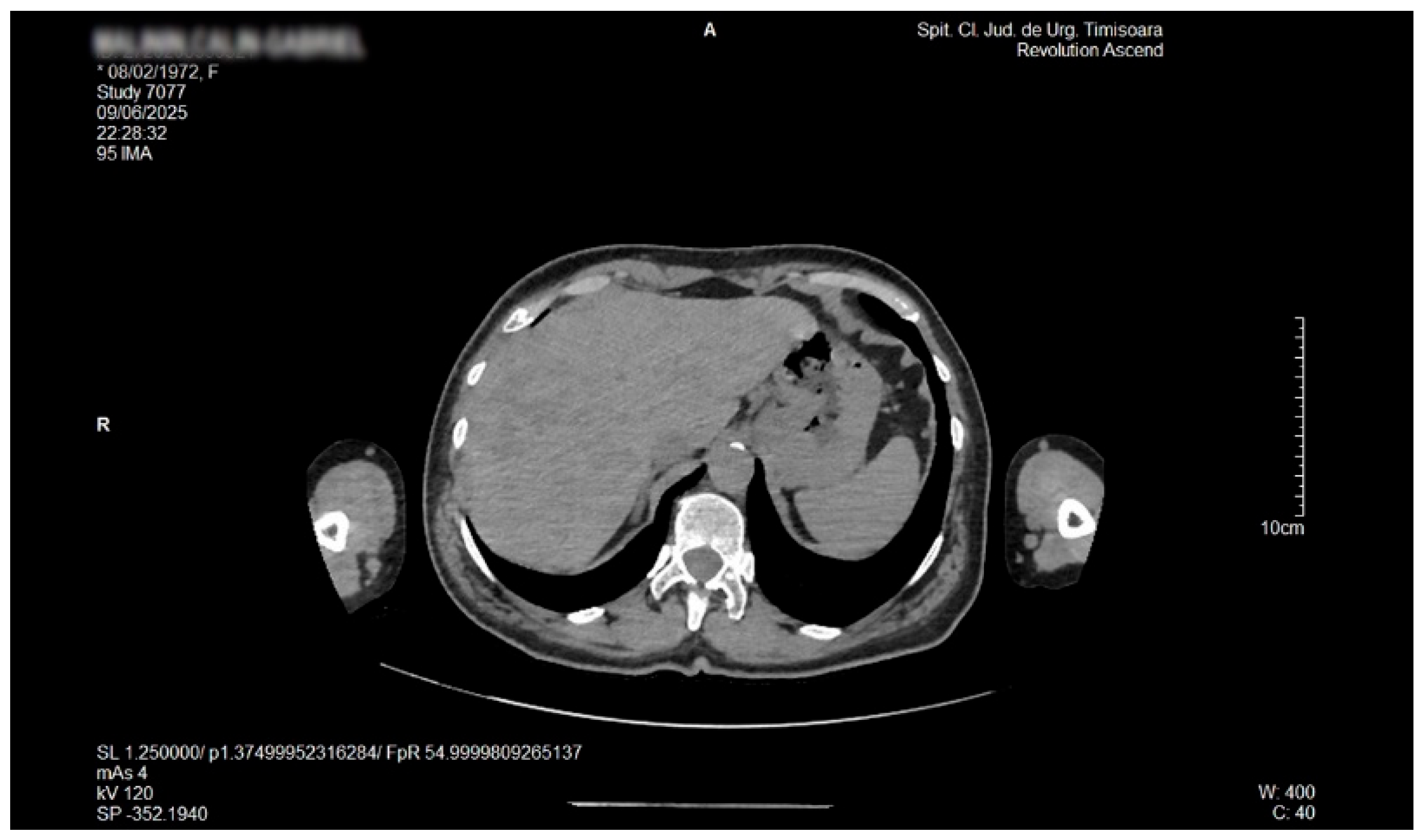
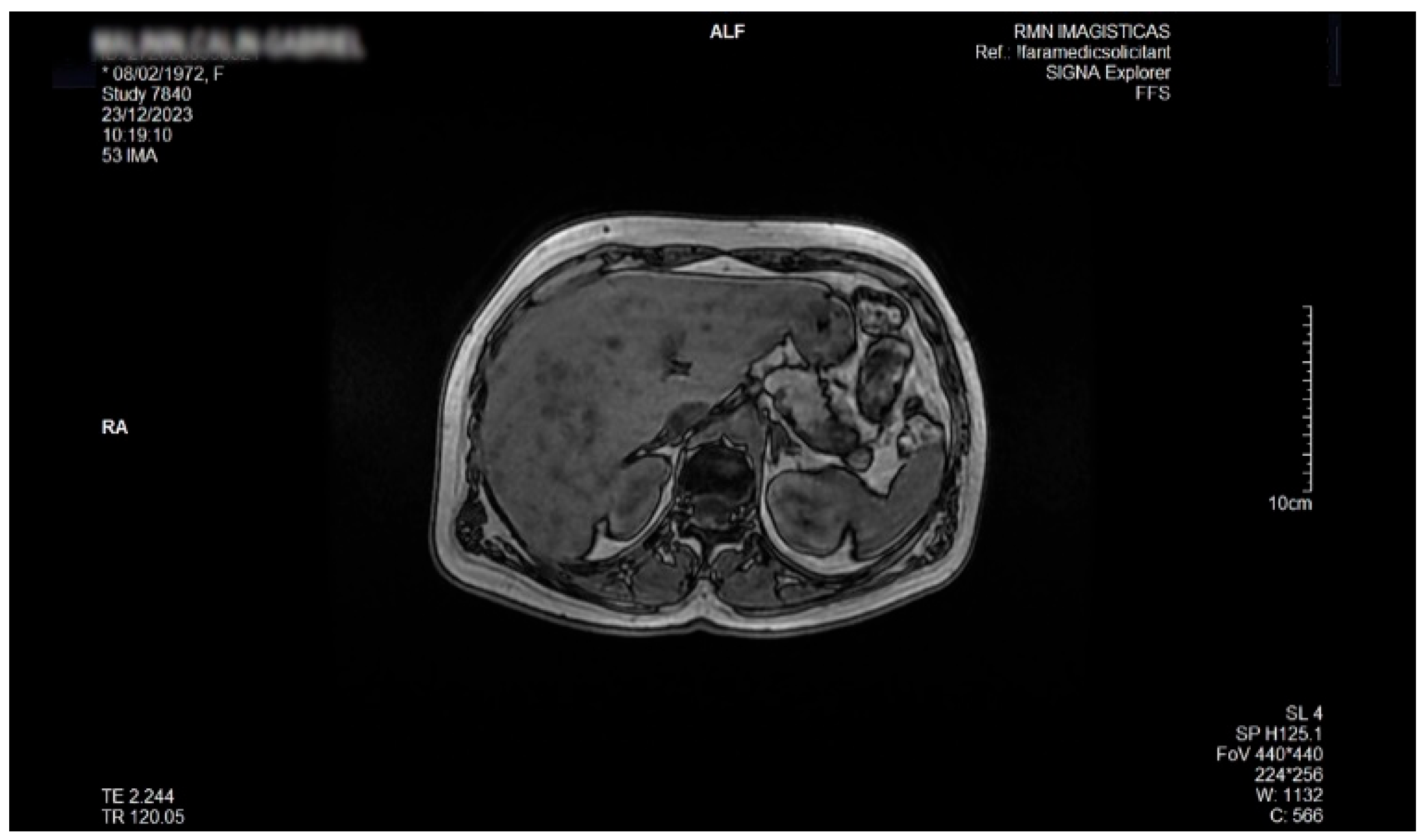
Detailed Case Description
3. Discussions
4. Conclusions
Author Contributions
Funding
Institutional Review Board Statement
Informed Consent Statement
Data Availability Statement
Acknowledgments
Conflicts of Interest
Abbreviations
| BSS | Barraquer–Simons syndrome |
| APL | Acquired partial lipodystrophy |
| MASLD | Metabolic dysfunction-associated steatotic liver disease |
| MASH | Metabolic disease-associated steatohepatitis |
| FIB-4 | Fibrosis 4 |
| MRI | Magnetic resonance imaging |
| BMI | Body Mass Index |
| BP | Blood pressure |
| MHz | Megahertz |
| TB | Tuberculosis |
| HB s Ag | Hepatitis B surface antigen |
| anti-HCV Ab | Anti-hepatitis C virus antibodies |
| CEA | Carcino-embryonic antigen |
| CA19-9 | Cancer antigen 19-9 |
| AFP | Alpha fetoprotein |
| CA125 | Cancer antigen 125 |
| CA15-3 | Cancer antigen15-3 |
| PCR | Polymerase chain reaction |
| ECG | Electrocardiogram |
| CT | Computed tomography |
| DXA | Dual energy x-ray absorptiometry |
| HOMA-IR | Homeostasis Model Assessment Insulin Resistivity |
| LPS | Lipopolysaccharide |
| HE | Hematoxylin–eosin |
| HbA1c | Glycosylated hemoglobin |
| GLP-1 | Glucagon-like peptide-1 |
| SIBO | Small intestinal bacteria overgrowth |
| SCFAs | Short-chain fatty acids |
| RNA | Ribonucleic acid |
| C3 | Complement fraction C3 |
| CKD | Chronic kidney disease |
| eGFR | estimated-glomerular filtration rate |
| THR | Thyroid hormone receptor |
References
- Akinci, B.; Onay, H.; Demir, T.; Savas-Erdeve, Ş.; Gen, R.; Simsir, I.Y.; Keskin, F.E.; Erturk, M.S.; Uzum, A.K.; Yaylali, G.F.; et al. Clinical presentations, metabolic abnormalities, and end-organ complications in patients with familial partial lipodystrophy. Metabolism 2017, 72, 109–119. [Google Scholar] [CrossRef]
- Oliveira, J.; Freitas, P.; Lau, E.; Carvalho, D. Barraquer-Simons syndrome: A rare form of acquired lipodystrophy. BMC Res. Notes 2016, 18, 175. [Google Scholar] [CrossRef]
- Akinci, B.; Koseoglu, F.D.; Onay, H.; Yavuz, S.; Altay, C.; Simsir, I.Y.; Ozisik, S.; Demir, L.; Korkut, M.; Yilmaz, N.; et al. Acquired partial lipodystrophy is associated with increased risk for developing metabolic abnormalities. Metabolism 2015, 64, 1086–1095. [Google Scholar] [CrossRef]
- Akinci, B.; Ajluni, N.; Meral, R.; Neidert, A.H.; Freitas, M.F.; Gilio, D.; Conjeevaram, H.; Oral, E.A. Changes After Leptin Administration in Partial Lipodystrophy and Factors Associated with Hepatic and Metabolic Response. J. Endocr. Soc. 2025, 9, bvaf067. [Google Scholar] [CrossRef] [PubMed]
- Polyzos, S.A.; Perakakis, N.; Mantzoros, C.S. Fatty liver in lipodystrophy: A review with a focus on therapeutic perspectives of adiponectin and/or leptin replacement. Metabolism 2019, 96, 66–82. [Google Scholar] [CrossRef]
- Georgescu, D.; Lighezan, D.F.; Rosca, C.I.; Nistor, D.; Ancusa, O.E.; Suceava, I.; Iancu, M.A.; Kundnani, N.R. NASH/NAFLD-Related Hepatocellular Carcinoma: An Added Burden. Life 2024, 14, 25. [Google Scholar] [CrossRef] [PubMed]
- Loh, W.J.; Yaligar, J.; Hooper, A.J.; Sadananthan, S.A.; Kway, Y.; Lim, S.C.; Watts, G.F.; Velan, S.S.; Leow, M.K.S.; Khoo, J. Clinical and imaging features of women with polygenic partial lipodystrophy: A case series. Nutr. Diabetes 2024, 14, 3. [Google Scholar] [CrossRef]
- Salvati, A.; Coco, B.; Magno, S.; Gilio, D.; Pelosini, C.; De Rosa, L.; Ceccarini, G.; Santini, F.; Brunetto, M.R. Liver disease and lipodystrophy: Data from an Italian cohort. Dig. Liver Dis. 2022, 54, S42. [Google Scholar] [CrossRef]
- Bozic, D.; Podrug, K.; Mikolasevic, I.; Grgurevic, I. Ultrasound Methods for the Assessment of Liver Steatosis: A Critical Appraisal. Diagnostics 2022, 12, 2287. [Google Scholar] [CrossRef]
- Kadi, D.; Loomba, R.; Bashir, M.R. Diagnosis and Monitoring of Nonalcoholic Steatohepatitis: Current State and Future Directions. Radiology 2024, 310, e222695. [Google Scholar] [CrossRef]
- Miranda, J.; Key Wakate Teruya, A.; Leão Filho, H.; Lahan-Martins, D.; Tamura Sttefano Guimarães, C.; de Paula Reis Guimarães, V.; Ide Yamauchi, F.; Blasbalg, R.; Velloni, F.G. Diffuse and focal liver fat: Advanced imaging techniques and diagnostic insights. Abdom. Radiol. 2024, 49, 4437–4462. [Google Scholar] [CrossRef]
- Viola, L.F.; Valerio, C.M.; Araujo-Neto, J.M.; Santos, F.F.; Matsuura, F.; Moreira, R.O.; Godoy-Matos, A.F. Waist circumference is independently associated with liver steatosis and fibrosis in LMNA-related and unrelated Familial Partial Lipodystrophy women. Diabetol. Metab. Syndr. 2023, 15, 182. [Google Scholar] [CrossRef]
- Buzas, R.; Ciubotaru, P.; Faur, A.C.; Preda, M.; Ardelean, M.; Georgescu, D.; Dumitrescu, P.; Lighezan, D.F.; Popa, M.D. Correlation of the FIB-4 Liver Biomarker Score with the Severity of Heart Failure. Medicina 2024, 60, 1943. [Google Scholar] [CrossRef]
- Zhang, Y.N.; Fowler, K.J.; Hamilton, G.; Cui, J.Y.; Sy, E.Z.; Balanay, M.; Hooker, J.C.; Szeverenyi, N.; Sirlin, C.B. Liver fat imaging—A clinical overview of ultrasound, CT, and MR imaging. Br. J. Radiol. 2018, 91, 20170959. [Google Scholar] [CrossRef]
- Ferraioli, G. Quantitative assessment of liver steatosis using ultrasound controlled attenuation parameter (Echosens). J. Med. Ultrason. 2021, 48, 489–495. [Google Scholar] [CrossRef]
- Han, S.K.; Baik, S.K.; Kim, M.Y. Non-alcoholic fatty liver disease: Definition and subtypes. Clin. Mol. Hepatol. 2023, 29, S5–S16. [Google Scholar] [CrossRef]
- Foss-Freitas, M.; Gilio, D.; Oral, E.A. Lipodystrophy Syndromes: One Name but Many Diseases Highlighting the Importance of Adipose Tissue in Metabolism. Curr. Diabetes Rep. 2025, 25, 46. [Google Scholar] [CrossRef]
- Safar Zadeh, E.; Lungu, A.O.; Cochran, E.K.; Brown, R.J.; Ghany, M.G.; Heller, T.; Kleiner, D.E.; Gorden, P. The liver diseases of lipodystrophy: The long-term effect of leptin treatment. J. Hepatol. 2013, 59, 131–137. [Google Scholar] [CrossRef]
- Ajluni, N.; Meral, R.; Neidert, A.H.; Brady, G.F.; Buras, E.; McKenna, B.; DiPaola, F.; Chenevert, T.L.; Horowitz, J.F.; Buggs-Saxton, C.; et al. Spectrum of disease associated with partial lipodystrophy: Lessons from a trial cohort. Clin. Endocrinol. 2017, 86, 698–707. [Google Scholar] [CrossRef]
- Akinci, B.; Meral, R.; Oral, E.A. Phenotypic and Genetic Characteristics of Lipodystrophy: Pathophysiology, Metabolic Abnormalities, and Comorbidities. Curr. Diabetes Rep. 2018, 18, 143. [Google Scholar] [CrossRef]
- Fourman, L.T.; Lima, J.G.; Simha, V.; Cappa, M.; Alyaarubi, S.; Montenegro, R., Jr.; Akinci, B.; Santini, F. A rapid action plan to improve diagnosis and management of lipodystrophy syndromes. Front. Endocrinol. 2024, 15, 1383318. [Google Scholar] [CrossRef]
- Altay, C.; Seçil, M.; Adıyaman, S.C.; Özgen Saydam, B.; Demir, T.; Akıncı, G.; Simsir, I.Y.; Eren, E.; Temeloğlu Keskin, E.; Demir, L.; et al. Magnetic resonance spectroscopy to assess hepatic steatosis in patients with lipodystrophy. Turk. J. Gastroenterol. 2020, 31, 588–595. [Google Scholar] [CrossRef]
- Shinya, T.; Sato, S.; Akaki, S.; Ogata, T.; Kato, K.; Tone, A.; Kanazawa, S. Computed tomography findings of congenital generalized lipodystrophy: Multiple nodular fatty liver and diffuse sclerosis of bones. Radiat. Med. 2007, 25, 484–487. [Google Scholar] [CrossRef]
- Montenegro Junior, R.M.; Ponte, C.M.M.; Castelo, M.H.C.G.; de Oliveira Silveira, A.C.; Fernandes, V.O.; D’Alva, C.B.; Oliveira, L.F.V.; Hristov, A.D.; Bandeira, S.P.; da Cruz Paiva, G.E.; et al. Reduced gut microbiota diversity in patients with congenital generalized lipodystrophy. Diabetol. Metab. Syndr. 2022, 14, 136. [Google Scholar] [CrossRef]
- Bahitham, W.; Alghamdi, S.; Omer, I.; Alsudais, A.; Hakeem, I.; Alghamdi, A.; Abualnaja, R.; Sanai, F.M.; Rosado, A.S.; Sergi, C.M. Double Trouble: How Microbiome Dysbiosis and Mitochondrial Dysfunction Drive Non-Alcoholic Fatty Liver Disease and Non-Alcoholic Steatohepatitis. Biomedicines 2024, 12, 550. [Google Scholar] [CrossRef]
- Bruder-Nascimento, T.; Kress, T.C.; Belin de Chantemele, E.J. Recent advances in understanding lipodystrophy: A focus on lipodystrophy-associated cardiovascular disease and potential effects of leptin therapy on cardiovascular function. F1000Research 2019, 8, 1756. [Google Scholar] [CrossRef]
- Buzas, R.; Rogobete, A.F.; Popovici, S.E.; Mateescu, T.; Hoinoiu, T.; Sorop, B.V.; Bratu, T.; Ticlea, M.; Popoiu, C.M.; Sandesc, D. Nuclear Transcription Factor Kappa B (NF-κB) and Molecular Damage Mechanisms in Acute Cardiovascular Diseases. A Review. J. Cardiovasc. Emergencies 2018, 4, 65–72. [Google Scholar] [CrossRef]
- Kaewkrasaesin, C.; Hwang, M.; Vasandani, C.; Brown, R.J.; Garg, A. Clinical Features, Metabolic and Autoimmune Derangements in Acquired Partial Lipodystrophy (Barraquer–Simons Syndrome). J. Clin. Endocrinol. Metab. 2025, 111, 107–118. [Google Scholar] [CrossRef]
- Godoy-Matos, A.F.; Valerio, C.M.; Moreira, R.O.; Momesso, D.P.; Bittencourt, L.K. Pancreatic fat deposition is increased and related to beta-cell function in women with familial partial lipodystrophy. Diabetol. Metab. Syndr. 2018, 10, 71. [Google Scholar] [CrossRef]
- Besci, O.; Foss De Freitas, M.C.; Guidorizzi, N.R.; Guler, M.C.; Gilio, D.; Maung, J.N.; Schill, R.L.; Hoose, K.S.; Obua, B.N.; Gomes, A.D.; et al. Deciphering the clinical presentations in LMNA-related lipodystrophy: Report of 115 cases and a systematic review. J. Clin. Endocrinol. Metab. 2023, 109, e1204. [Google Scholar] [CrossRef]
- Akinci, B.; Unlu, S.M.; Celik, A.; Simsir, I.Y.; Sen, S.; Nur, B.; Keskin, F.E.; Ozgen Saydam, B.; Kutbay Ozdemir, N.; Sarer Yurekli, B.; et al. Renal complications of lipodystrophy: A closer look at the natural history of kidney disease. Clin. Endocrinol. 2018, 89, 65–75. [Google Scholar] [CrossRef]
- Akinci, B.; Gular, M.C.; Oral, E.A. Lipodystrophy Syndromes: Presentation and Treatment [Updated 21 August 2024]. In Endotext [Internet]; Feingold, K.R., Ahmed, S.F., Anawalt, B., Anawalt, B., Blackman, M.R., Chrousos, G., Corpas, E., de Herder, W.W., Dhatariya, K., Dungan, K., Eds.; MDText.com, Inc.: South Dartmouth, MA, USA, 2000. Available online: https://www.ncbi.nlm.nih.gov/books/NBK513130/ (accessed on 21 August 2024).
- Polyzos, S.A.; Mantzoros, C.S. Metreleptin for the treatment of lipodystrophy: Leading the way among novel therapeutics for this unmet clinical need. Curr. Med. Res. Opin. 2022, 38, 885–888. [Google Scholar] [CrossRef]
- Besci, O.; Celik Guler, M.; Foss-Freitas, M.C.; Oral, E.A. Advances of pharmacological therapies in lipodystrophy syndromes: Current evidence and future directions. Expert Rev. Endocrinol. Metab. 2025, 20, 565–592. [Google Scholar] [CrossRef]
- Petta, S.; Targher, G.; Romeo, S.; Pajvani, U.B.; Zheng, M.H.; Aghemo, A.; Valenti, L.V.C. The first MASH drug therapy on the horizon: Current perspectives of resmetirom. Liver Int. 2024, 44, 1526–1536. [Google Scholar] [CrossRef]
- Chiang, J.Y.L. New drug therapies for metabolic dysfunction-associated steatohepatitis. Liver Res. 2025, 9, 94–103. [Google Scholar] [CrossRef]
- Yang, R.; Shang, J.; Zhou, Y.; Liu, W.; Tian, Y.; Shang, H. Effects of probiotics on nonalcoholic fatty liver disease: A systematic review and meta-analysis. Expert Rev. Gastroenterol. Hepatol. 2021, 15, 1401–1409. [Google Scholar] [CrossRef]
- Grundy, S.M.; Stone, N.J.; Bailey, A.L.; Beam, C.; Birtcher, K.K.; Blumenthal, R.S.; Braun, L.T.; de Ferranti, S.; Faiella-Tommasino, J.; Forman, D.E.; et al. AHA/ACC/AACVPR/AAPA/ABC/ACPM/ADA/AGS/APhA/ASPC/NLA/PCNA Guideline on the management of blood cholesterol: Executive summary: A report of the American College of Cardiology/American Heart Association Task Force on Clinical Practice Guidelines. JACC 2019, 73, 3168–3209, Correction in JACC 2019, 73, 3234–3237. https://doi.org/10.1016/j.jacc.2019.05.012. [Google Scholar] [CrossRef]
- Chong, K.; Chang, J.K.-J.; Chuang, L.-M. Recent advances in the treatment of type 2 diabetes mellitus using new drug therapies. Kaohsiung J. Med. Sci. 2024, 40, 212–220. [Google Scholar] [CrossRef]








| Variables | Reference Ranges | Actual Range | Variables | Reference Ranges | Actual Range |
|---|---|---|---|---|---|
| Hb g/L | 12–15 | 13.6 | LDL-Chol mg% | <100 | 143 |
| Leu/mm3 | 4000–10,000 | 6770 | HDL-Chol mg% | >50 | 42 |
| Plt/mm3 | 150,000–450,000 | 230,000 | TRG mg% | <150 | 356 |
| ALAT U/L | 7–40 | 65 | FBS mg% | <100 | 112 |
| ASAT U/L | 8–35 | 32 | HbA1c | <5.7 | 6.3 |
| ALP U/L | 40–129 | 41 | HOMA-IR | <1 | 3.2 |
| GGT U/L | 5–40 | 57 | Leptin ng/mL | 0.5–15.2 | 0.3 |
| TBil mg/dL | 0.1–1.2 | 0.8 | TSH UI/mL | 0.4–4.5 | 4.7 |
| Lipase U/L | 2–160 | 723 | FT3 pg/mL | 2.3–4.2 | 3.5 |
| FIB4 | <1.3 | 0.91 | FT4 pg/mL | 0.8–1.9 | 0.9 |
| Creat mg/dL/eGFR mL/min/1.73 m2 | 0.6–1.1 | 0.94/78 | anti-TPO Ab IU/mL | <35 | 98 |
| UACR mg/g | <30 | 100 | Anti-thyroglobulin Ab IU/mL | <115 | 176 |
| CRP g/dL | 0.3–0.5 | 1.2 | C3 mg/dL | 80–200 | 154 |
| Gut Microbiota Alterations | Range | |
|---|---|---|
| Shannon index | 2.39 | |
| F/B ratio | 0.8 | |
| Gut dysbiosis severity | 3 | |
| LPS + bacteria | Citrobacter spp. | 0.02 |
| Providencia spp. | 0.002 | |
| Seratia spp. | 0.018 | |
| Suterella spp. | 4.001 | |
| Mucin-degrading bacteria | Akkermansia muciniphila | 0.000 |
| Prevotella spp. | 0.000 | |
| Prevotella capri | 0.001 | |
| Mucosa-protective bacteria | Akkermansia muciniphila | 0.000 |
| Faecalibacterium prausnitzii | 0.008 | |
| Neuroactive bacteria | Bifidobacterium adolescentis | 0.625 |
| Lactobacillus brevis | 0.000 | |
| Lactobacillus paracasei | 0.000 | |
| Alistipes spp. | 0.021 | |
| Butyrate-producing microbiota | Eubacterium spp. | 0.011 |
| Faecalibacterium prausnitzii | 0.008 | |
| Roseburia spp. | 0.000 | |
| Ruminococcus spp. | 6.850 | |
| Enterotype | 1 | |
| Variables | Score |
|---|---|
| Steatosis | 2 |
| Ballooning obvious, predominantly zone 3 | 2 |
| Inflammation, polymorphs, and chronic inflammation | 2 |
| Portal inflammation | Mild to moderate |
| Stage 1 | Zone 3 perisinusoidal/pericellular fibrosis, focal or extensive | score 1A |
Disclaimer/Publisher’s Note: The statements, opinions and data contained in all publications are solely those of the individual author(s) and contributor(s) and not of MDPI and/or the editor(s). MDPI and/or the editor(s) disclaim responsibility for any injury to people or property resulting from any ideas, methods, instructions or products referred to in the content. |
© 2026 by the authors. Licensee MDPI, Basel, Switzerland. This article is an open access article distributed under the terms and conditions of the Creative Commons Attribution (CC BY) license.
Share and Cite
Georgescu, D.; Lighezan, D.F.; Buzas, R.; Ciubotaru, P.G.; Țunea, O.E.; Suceava, I.; Albu, T.A.; Jurescu, A.; Ioniță, M.; Reisz, D. Liver Lipodystrophy in Barraquer–Simons Syndrome: How Much Should We Worry About? Life 2026, 16, 156. https://doi.org/10.3390/life16010156
Georgescu D, Lighezan DF, Buzas R, Ciubotaru PG, Țunea OE, Suceava I, Albu TA, Jurescu A, Ioniță M, Reisz D. Liver Lipodystrophy in Barraquer–Simons Syndrome: How Much Should We Worry About? Life. 2026; 16(1):156. https://doi.org/10.3390/life16010156
Chicago/Turabian StyleGeorgescu, Doina, Daniel Florin Lighezan, Roxana Buzas, Paul Gabriel Ciubotaru, Oana Elena Țunea, Ioana Suceava, Teodora Anca Albu, Aura Jurescu, Mihai Ioniță, and Daniela Reisz. 2026. "Liver Lipodystrophy in Barraquer–Simons Syndrome: How Much Should We Worry About?" Life 16, no. 1: 156. https://doi.org/10.3390/life16010156
APA StyleGeorgescu, D., Lighezan, D. F., Buzas, R., Ciubotaru, P. G., Țunea, O. E., Suceava, I., Albu, T. A., Jurescu, A., Ioniță, M., & Reisz, D. (2026). Liver Lipodystrophy in Barraquer–Simons Syndrome: How Much Should We Worry About? Life, 16(1), 156. https://doi.org/10.3390/life16010156

