Segment Regeneration of an Earthworm I: Formation of the Body Wall Tissues from Injury to Recovery
Abstract
1. Introduction
2. Materials and Methods
2.1. Experimental Animals
2.2. Surgical Intervention
2.3. Histological and Histochemical Investigations
2.4. Electron Microscopy
3. Results
3.1. Anatomical Alterations After the Segment Ablation
3.2. Histological and Cytological Characteristics of the Intact Body Wall Tissues
3.3. Wound Healing and RB Formation Are Supported by a Dynamic Dedifferentiation of Body Wall Tissues
3.4. Ultrastructural Alterations of the Wound Closing Tissue
3.5. Distribution Pattern of Collagen Fibers in the Original and Regenerating Parts of the Body Wall
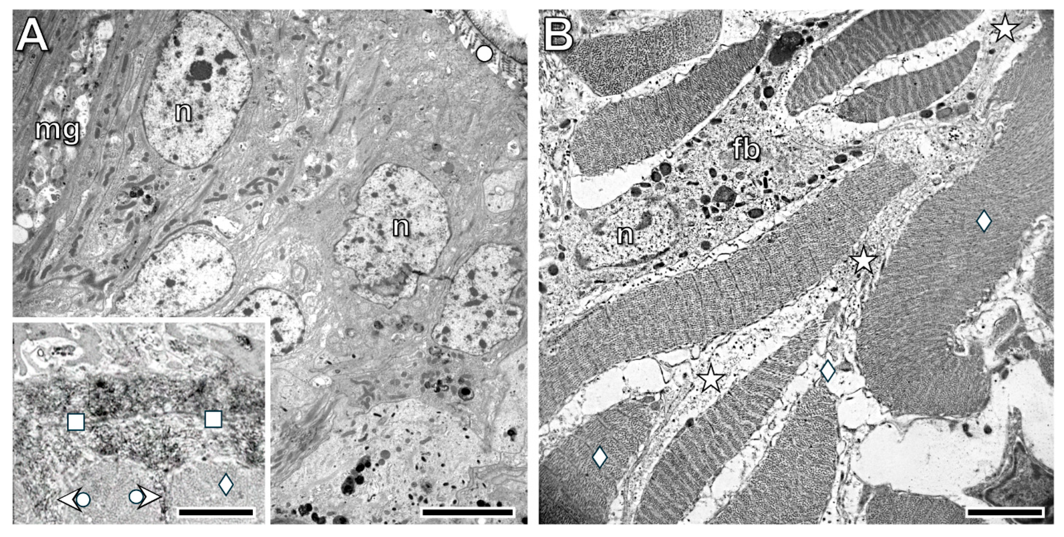
3.6. Ultrastructural Characteristics of the Regenerating and Original Body Wall Tissues
4. Discussion
5. Conclusions
Author Contributions
Funding
Institutional Review Board Statement
Informed Consent Statement
Data Availability Statement
Acknowledgments
Conflicts of Interest
Abbreviations
| H&E | hematoxylin and eosin |
| RB | regeneration blastema |
References
- Brockes, J.P.; Kumar, A. Comparative aspects of animal regeneration. Annu. Rev. Cell Dev. Biol. 2008, 24, 525–549. [Google Scholar] [CrossRef]
- Elchaninov, A.; Sukhikh, G.; Fatkhudinov, T. Evolution of Regeneration in Animals: A Tangled Story. Front. Ecol. Evol. 2021, 9, 621686. [Google Scholar] [CrossRef]
- Giangrande, A.; Licciano, M. Regeneration and clonality in Metazoa. The price to pay for evolving complexity. Invertebr. Reprod. Dev. 2014, 58, 1–8. [Google Scholar] [CrossRef]
- Bely, A.E. Distribution of segment regeneration ability in the Annelida. Integr. Comp. Biol. 2006, 46, 508–518. [Google Scholar] [CrossRef]
- Godwin, J.W.; Rosenthal, N. Scar-free wound healing and regeneration in amphibians: Immunological influences on regenerative success. Differentiation 2014, 87, 66–75. [Google Scholar] [CrossRef] [PubMed]
- Alibardi, L. Regeneration Abilities among Extant Animals Depend on Their Evolutionary History and Life Cycles. J. Dev. Biol. 2024, 12, 8. [Google Scholar] [CrossRef]
- Goldman, J.A.; Poss, K.D. Gene regulatory programmes of tissue regeneration. Nat. Rev. Gen. 2020, 21, 511–525. [Google Scholar] [CrossRef] [PubMed]
- Chen, C.H.; Poss, K.D. Regeneration Genetics. Annu. Rev. Genet. 2017, 51, 63–82. [Google Scholar] [CrossRef] [PubMed]
- Aztekin, C. Mechanisms of regeneration: To what extent do they recapitulate development? Development 2024, 151, dev202541. [Google Scholar] [CrossRef]
- Whited, J.L.; Levin, M. Bioelectrical controls of morphogenesis: From ancient mechanisms of cell coordination to biomedical opportunities. Curr. Opin. Genet. Dev. 2019, 57, 61–69. [Google Scholar] [CrossRef]
- Levin, M. Bioelectric mechanisms in regeneration: Unique aspects and future perspectives. Semin. Cell Dev. Biol. 2009, 20, 543–556. [Google Scholar] [CrossRef] [PubMed]
- Levin, M. Bioelectric signaling: Reprogrammable circuits underlying embryogenesis, regeneration, and cancer. Cell 2021, 184, 1971–1989. [Google Scholar] [CrossRef]
- McLaughlin, K.A.; Levin, M. Bioelectric signaling in regeneration: Mechanisms of ionic controls of growth and form. Dev. Biol. 2018, 433, 177–189. [Google Scholar] [CrossRef]
- Davidian, D.; Levin, M. Inducing Vertebrate Limb Regeneration: A Review of Past Advances and Future Outlook. Cold Spring Harb. Perspect. Biol. 2022, 14, a040782. [Google Scholar] [CrossRef]
- Romaus-Sanjurjo, D.; Ledo-Garcia, R.; Fernandez-Lopez, B.; Hanslik, K.; Morgan, J.R.; Barreiro-Iglesias, A.; Rodicio, M.C. GABA promotes survival and axonal regeneration in identifiable descending neurons after spinal cord injury in larval lampreys. Cell Death Dis. 2018, 9, 663. [Google Scholar] [CrossRef]
- Represa, A.; Ben-Ari, Y. Trophic actions of GABA on neuronal development. Trends Neurosci. 2005, 28, 278–283. [Google Scholar] [CrossRef] [PubMed]
- Blackiston, D.J.; Vien, K.; Levin, M. Serotonergic stimulation induces nerve growth and promotes visual learning via posterior eye grafts in a vertebrate model of induced sensory plasticity. NPJ Regen. Med. 2017, 2, 8. [Google Scholar] [CrossRef]
- Barreiro-Iglesias, A.; Mysiak, K.S.; Scott, A.L.; Reimer, M.M.; Yang, Y.; Becker, C.G.; Becker, T. Serotonin Promotes Development and Regeneration of Spinal Motor Neurons in Zebrafish. Cell Rep. 2015, 13, 924–932. [Google Scholar] [CrossRef] [PubMed]
- Alam, T.; Maruyama, H.; Li, C.; Pastuhov, S.I.; Nix, P.; Bastiani, M.; Hisamoto, N.; Matsumoto, K. Axotomy-induced HIF-serotonin signalling axis promotes axon regeneration in C. elegans. Nat. Comm. 2016, 7, 10388. [Google Scholar] [CrossRef]
- Easterling, M.R.; Engbrecht, K.M.; Crespi, E.J. Endocrine Regulation of Epimorphic Regeneration. Endocrinology 2019, 160, 2969–2980. [Google Scholar] [CrossRef]
- Mescher, A.L.; Neff, A.W.; King, M.W. Inflammation and immunity in organ regeneration. Dev. Comp. Immunol. 2017, 66, 98–110. [Google Scholar] [CrossRef]
- Eming, S.A.; Wynn, T.A.; Martin, P. Inflammation and metabolism in tissue repair and regeneration. Science 2017, 356, 1026–1030. [Google Scholar] [CrossRef] [PubMed]
- Caballero-Sanchez, N.; Alonso-Alonso, S.; Nagy, L. Regenerative inflammation: When immune cells help to re-build tissues. FEBS J. 2024, 291, 1597–1614. [Google Scholar] [CrossRef] [PubMed]
- Arenas Gomez, C.M.; Sabin, K.Z.; Echeverri, K. Wound healing across the animal kingdom: Crosstalk between the immune system and the extracellular matrix. Dev. Dyn. 2020, 249, 834–846. [Google Scholar] [CrossRef]
- Abnave, P.; Ghigo, E. Role of the immune system in regeneration and its dynamic interplay with adult stem cells. Semin. Cell Dev. Biol. 2019, 87, 160–168. [Google Scholar] [CrossRef]
- Liebmann, E. New light on regeneration of Eisenia foetida (Sav.). J. Morph. 1943, 73, 583–610. [Google Scholar] [CrossRef]
- Molnar, L.; Pollak, E.; Skopek, Z.; Gutt, E.; Kruk, J.; Morgan, A.J.; Plytycz, B. Immune system participates in brain regeneration and restoration of reproduction in the earthworm Dendrobaena veneta. Dev. Comp. Immunol. 2015, 52, 269–279. [Google Scholar] [CrossRef]
- Rorat, A.; Vandenbulcke, F.; Galuszka, A.; Klimek, B.; Plytycz, B. Protective role of metallothionein during regeneration in Eisenia andrei exposed to cadmium. Comp. Biochem. Physiol. C Toxicol. Pharmacol. 2017, 203, 39–50. [Google Scholar] [CrossRef]
- Jesna, M.; Livingstone, A.R. Effect of temperature on regeneration of Eisenia fetida. Int. J. Eng. Technol. Manag. Sci. 2023, 7, 52–55. [Google Scholar] [CrossRef]
- Tao, J.; Rong, W.; Diao, X.; Zhou, H. Toxic responses of Sox2 gene in the regeneration of the earthworm Eisenia foetida exposed to Retnoic acid. Comp. Biochem. Physiol. C Toxicol. Pharmacol. 2018, 204, 106–112. [Google Scholar] [CrossRef]
- Yuan, Y.; Teng, H.; Zhang, T.; Wang, D.; Gu, H.; Lv, W. Toxicological effects induced by two carbamates on earthworms (Eisenia fetida): Acute toxicity, arrested regeneration and underlying mechanisms. Ecotox. Environ. Saf. 2024, 269, 115824. [Google Scholar] [CrossRef]
- Abufadda, M.H.; Erdelyi, A.; Pollak, E.; Nugraha, P.S.; Hebling, J.; Fulop, J.A.; Molnar, L. Terahertz pulses induce segment renewal via cell proliferation and differentiation overriding the endogenous regeneration program of the earthworm Eisenia andrei. Biomed. Opt. Express 2021, 12, 1947–1961. [Google Scholar] [CrossRef]
- Reddy, P.C.; Gungi, A.; Unni, M. Cellular and Molecular Mechanisms of Hydra Regeneration. Results Probl. Cell Differ. 2019, 68, 259–290. [Google Scholar] [CrossRef]
- Pellettieri, J. Regenerative tissue remodeling in planarians—The mysteries of morphallaxis. Semin. Cell Dev. Biol. 2019, 87, 13–21. [Google Scholar] [CrossRef] [PubMed]
- Ivankovic, M.; Haneckova, R.; Thommen, A.; Grohme, M.A.; Vila-Farre, M.; Werner, S.; Rink, J.C. Model systems for regeneration: Planarians. Development 2019, 146, dev167684. [Google Scholar] [CrossRef] [PubMed]
- Kostyuchenko, R.P.; Kozin, V.V. Comparative Aspects of Annelid Regeneration: Towards Understanding the Mechanisms of Regeneration. Genes 2021, 12, 1148. [Google Scholar] [CrossRef]
- Ozpolat, B.D.; Bely, A.E. Developmental and molecular biology of annelid regeneration: A comparative review of recent studies. Curr. Opin. Gen. Dev. 2016, 40, 144–153. [Google Scholar] [CrossRef] [PubMed]
- Xiao, N.; Ge, F.; Edwards, C.A. The regeneration capacity of an earthworm, Eisenia fetida, in relation to the site of amputation along the body. Acta Ecol. Sin. 2011, 31, 197–204. [Google Scholar] [CrossRef]
- Herlant-Meewis, H. Regeneration in annelids. Adv. Morphog. 1964, 4, 155–215. [Google Scholar] [CrossRef]
- Kiernan, J. Histological and Histochemical Methods, 5th ed.; Theory and Practice UK; Scion Publishing Ltd.: Banbury, UK, 2015. [Google Scholar]
- Wegner, K.A.; Keikhosravi, A.; Eliceiri, K.W.; Vezina, C.M. Fluorescence of Picrosirius Red Multiplexed With Immunohistochemistry for the Quantitative Assessment of Collagen in Tissue Sections. J. Histochem. Cytochem. 2017, 65, 479–490. [Google Scholar] [CrossRef]
- Vogel, B.; Siebert, H.; Hofmann, U.; Frantz, S. Determination of collagen content within picrosirius red stained paraffin-embedded tissue sections using fluorescence microscopy. MethodsX 2015, 2, 124–134. [Google Scholar] [CrossRef]
- Amaroli, A.; Ferrando, S.; Pozzolini, M.; Gallus, L.; Parker, S.; Benedicenti, S. The earthworm Dendrobaena veneta (Annelida): A new experimental-organism for photobiomodulation and wound healing. Eur. J. Histochem. 2018, 62, 2867. [Google Scholar] [CrossRef]
- Burke, J.M. Wound healing in Eisenia foetida (Oligochaeta). II. A fine structural study of the role of the epidermis. Cell Tissue Res. 1974, 154, 61–82. [Google Scholar] [CrossRef]
- Burke, J.M. Wound healing of Eisenia foetida (Oligobaeta). III. A fine structural study of the role of non-epidermal tissues. Cell Tissue Res. 1974, 154, 83–112. [Google Scholar] [CrossRef]
- Park, S.K.; Cho, S.J.; Park, S.C. Histological observations of blastema formation during earthworm tail regeneration. Invertebr. Reprod. Dev. 2013, 57, 165–169. [Google Scholar] [CrossRef]
- Borensztejn, K.; Tyrna, P.; Gawel, A.M.; Dziuba, I.; Wojcik, C.; Bialy, L.P.; Mlynarczuk-Bialy, I. Classification of Cell-in-Cell Structures: Different Phenomena with Similar Appearance. Cells 2021, 10, 2569. [Google Scholar] [CrossRef] [PubMed]
- Gupta, N.; Jadhav, K.; Shah, V. Emperipolesis, entosis and cell cannibalism: Demystifying the cloud. J. Oral Maxillofac. Pathol. 2017, 21, 92–98. [Google Scholar] [CrossRef]
- Wang, X.; Li, Y.; Li, J.; Li, L.; Zhu, H.; Chen, H.; Kong, R.; Wang, G.; Wang, Y.; Hu, J.; et al. Cell-in-Cell Phenomenon and Its Relationship with Tumor Microenvironment and Tumor Progression: A Review. Front. Cell Dev. Biol. 2019, 7, 311. [Google Scholar] [CrossRef]
- Bodo, K.; Kellermayer, Z.; Laszlo, Z.; Boros, A.; Kokhanyuk, B.; Nemeth, P.; Engelmann, P. Injury-Induced Innate Immune Response During Segment Regeneration of the Earthworm, Eisenia andrei. Int. J. Mol. Sci. 2021, 22, 2363. [Google Scholar] [CrossRef] [PubMed]
- Gordon, M.K.; Hahn, R.A. Collagens. Cell Tissue Res. 2010, 339, 247–257. [Google Scholar] [CrossRef] [PubMed]
- Schultz, G.S.; Wysocki, A. Interactions between extracellular matrix and growth factors in wound healing. Wound Repair Regen. 2009, 17, 153–162. [Google Scholar] [CrossRef]
- Redd, M.J.; Cooper, L.; Wood, W.; Stramer, B.; Martin, P. Wound healing and inflammation: Embryos reveal the way to perfect repair. Philos. Trans. R. Soc. Lond. B Biol. Sci. 2004, 359, 777–784. [Google Scholar] [CrossRef]
- Ferguson, M.W.; O’Kane, S. Scar-free healing: From embryonic mechanisms to adult therapeutic intervention. Philos. Trans. R. Soc. Lond. B Biol. Sci. 2004, 359, 839–850. [Google Scholar] [CrossRef]
- Allen, R.S.; Seifert, A.W. Spiny mice (Acomys) have evolved cellular features to support regenerative healing. Ann. N. Y. Acad. Sci. 2025, 1544, 5–26. [Google Scholar] [CrossRef]
- Fatima, I. Characterisation of Cutaneous Wound Healing Process in Naked Mole Rats. Doctoral Dissertation, University of Bradford, Bradford, UK, 2022. [Google Scholar]
- Burke, J.M.; Ross, R. A radioautographic study of collagen synthesis by earthworm epidermis. Tissue Cell 1975, 7, 631–650. [Google Scholar] [CrossRef] [PubMed]
- Maser, M.D.; Rice, R.V. Biophysical and biochemical properties of earthworm-cuticle collagen. Biochim. Bbiophy. Acta 1962, 63, 255–265. [Google Scholar] [CrossRef]
- Bereiter-Hahn, J.; Matoltsy, A.G.; Richards, K.S. Biology of the Integument 1—Invertebrates; Springer: Berlin/Heidelberg, Germany, 1984. [Google Scholar]
- Vavoulidou, E.; Dellaporta, L.; Bilalis, D.J. Collagen distribution in the tissue of the earthworm Octodrilus complanatus. (Oligochaeta: Lumbricidae). Zool. Middle East 2010, 51, 175–180. [Google Scholar] [CrossRef]
- Baccetti, B. Collagen of the earthworms. J. Cell Biol. 1967, 34, 885–891. [Google Scholar] [CrossRef] [PubMed]
- Du, C.; Li, Y.; Xia, X.; Du, E.; Lin, Y.; Lian, J.; Ren, C.; Li, S.; Wei, W.; Qin, Y. Identification of a novel collagen-like peptide by high-throughput screening for effective wound-healing therapy. Int. J. Biol. Macromol. 2021, 173, 541–553. [Google Scholar] [CrossRef]














Disclaimer/Publisher’s Note: The statements, opinions and data contained in all publications are solely those of the individual author(s) and contributor(s) and not of MDPI and/or the editor(s). MDPI and/or the editor(s) disclaim responsibility for any injury to people or property resulting from any ideas, methods, instructions or products referred to in the content. |
© 2026 by the authors. Licensee MDPI, Basel, Switzerland. This article is an open access article distributed under the terms and conditions of the Creative Commons Attribution (CC BY) license.
Share and Cite
Tóth, G.L.; Pollák, E.; Erdélyi, A.; Várhalmi, E.; Pirger, Z.; Fodor, I.; Molnár, L. Segment Regeneration of an Earthworm I: Formation of the Body Wall Tissues from Injury to Recovery. Life 2026, 16, 119. https://doi.org/10.3390/life16010119
Tóth GL, Pollák E, Erdélyi A, Várhalmi E, Pirger Z, Fodor I, Molnár L. Segment Regeneration of an Earthworm I: Formation of the Body Wall Tissues from Injury to Recovery. Life. 2026; 16(1):119. https://doi.org/10.3390/life16010119
Chicago/Turabian StyleTóth, Gabriella Laura, Edit Pollák, Anita Erdélyi, Eszter Várhalmi, Zsolt Pirger, István Fodor, and László Molnár. 2026. "Segment Regeneration of an Earthworm I: Formation of the Body Wall Tissues from Injury to Recovery" Life 16, no. 1: 119. https://doi.org/10.3390/life16010119
APA StyleTóth, G. L., Pollák, E., Erdélyi, A., Várhalmi, E., Pirger, Z., Fodor, I., & Molnár, L. (2026). Segment Regeneration of an Earthworm I: Formation of the Body Wall Tissues from Injury to Recovery. Life, 16(1), 119. https://doi.org/10.3390/life16010119

