Relationship Between Carotid Intima–Media Thickness, Serum Endocan and Hyaluronic Acid Levels in Multiple Sclerosis
Abstract
1. Introduction
2. Methods
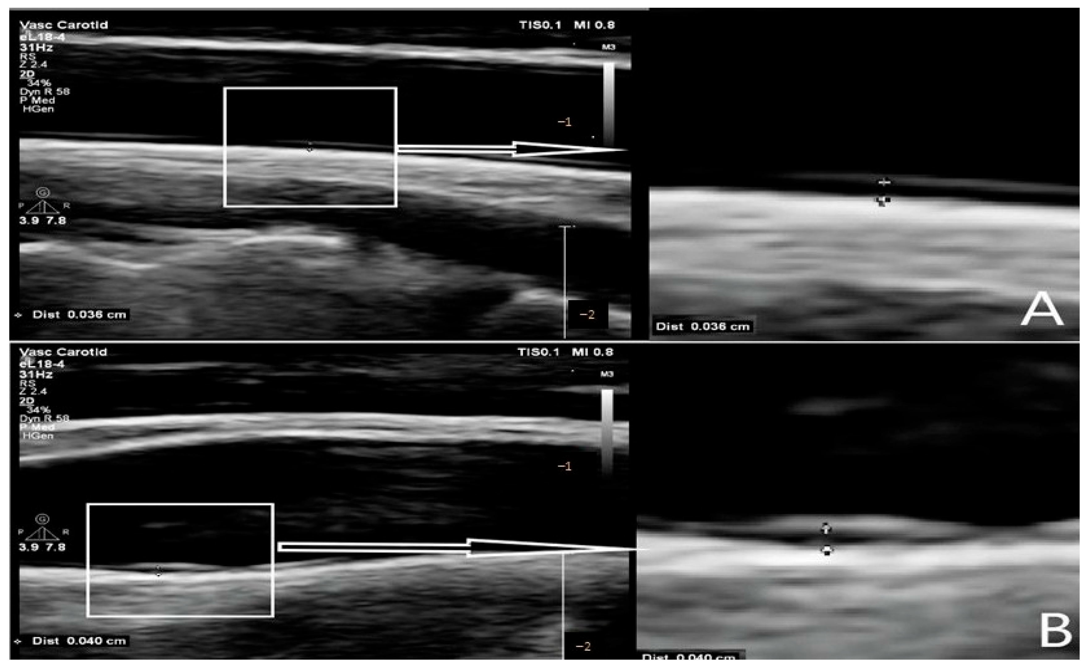
2.1. Carotid Intima–Media Thickness (CIMT)
2.2. Enzyme-Linked Immunosorbent Assay (ELISA)
2.3. Statistical Analysis
3. Results
4. Discussion
5. Conclusions
Author Contributions
Funding
Institutional Review Board Statement
Data Availability Statement
Acknowledgments
Conflicts of Interest
Abbreviations
| MS | Multiple Sclerosis |
| BBB | Blood–Brain Barrier |
| CIMT | Carotid Intima–Media Thickness |
| Endocan | Endothelial Cell-Specific Molecule-1 |
| CNS | Central Nervous System |
| RRMS | Relapsing–Remitting Multiple Sclerosis |
| EDSS | Expanded Disability Status Scale |
| MRI | Magnetic Resonance Imaging |
| LDL-C | Low-Density Lipoprotein Cholesterol |
| HDL-C | High-Density Lipoprotein Cholesterol |
| TC | Total Cholesterol |
| TG | Triglycerides |
| CCA | Common Carotid Artery |
| ELISA | Enzyme-Linked Immunosorbent Assay |
| CSF | Cerebro Spinal Fluid |
References
- Klotz, L.; Saraste, M.; Airas, L.; Kuhlmann, T. Multiple sclerosis: 2024 update. Free Neuropathol. 2025, 6, 14. [Google Scholar] [CrossRef] [PubMed]
- Zheng, P.; DuBose, N.G.; DeJonge, S.R.; Jeng, B.; Hibner, B.A.; Motl, R.W. Vascular function in multiple sclerosis: Systematic review with meta-analysis. Mult. Scler. Relat. Disord. 2024, 91, 105902. [Google Scholar] [CrossRef]
- Dobson, R.; Giovannoni, G. Multiple sclerosis—A review. Eur. J. Neurol. 2019, 26, 27–40. [Google Scholar] [CrossRef]
- Alexander, J.S.; Zivadinov, R.; Maghzi, A.-H.; Ganta, V.C.; Harris, M.K.; Minagar, A. Multiple sclerosis and cerebral endothelial dysfunction: Mechanisms. Pathophysiology 2011, 18, 3–12. [Google Scholar] [CrossRef]
- Soroush, A.; Dunn, J.F. A hypoxia-inflammation cycle and multiple sclerosis: Mechanisms and therapeutic implications. Curr. Treat. Options Neurol. 2025, 27, 6. [Google Scholar] [CrossRef] [PubMed]
- Caprio, M.; Russo, C.; Giugliano, A.; Ragucci, M.; Mancini, M. Vascular disease in patients with multiple sclerosis: A review. J. Vasc. Med. Surg. 2016, 4, 746–753. [Google Scholar]
- Yuksel, B.; Koc, P.; Ozaydin Goksu, E.; Karacay, E.; Kurtulus, F.; Cekin, Y.; Bicer Gomceli, Y. Is multiple sclerosis a risk factor for atherosclerosis? J. Neuroradiol. 2021, 48, 99–103. [Google Scholar] [CrossRef]
- Najmi, E.A.; Mirzaasgari, Z.; Motamed, M.R.; Aslani, A. Carotid intima-media thickness and risk of atherosclerosis in multiple sclerosis: A cross-sectional study. PLoS ONE 2024, 19, e0314031. [Google Scholar] [CrossRef]
- Rastegari, K.; Mokhtari-Dizaji, M.; Harirchian, M.H.; Hashemi, H.; Ayoobi Yazdi, N.; Saberi, H. Biomechanical changes of the common carotid artery and internal jugular vein in patients with multiple sclerosis. Ultrasonography 2023, 42, 100–110. [Google Scholar] [CrossRef]
- Farzan, M.R.; Esmaeili, S.; Mirzaasgari, Z.; Hamidabad, N.M.; Rafiei Alavi, S.N.; Joghataei, M.T.; Motamed, M.R. Carotid intima-media thickness measurements in patients with multiple sclerosis. Ann. Med. Surg. 2022, 75, 103348. [Google Scholar] [CrossRef] [PubMed]
- Kali, A.; Shetty, K.R. Endocan: A novel circulating proteoglycan. Indian J. Pharmacol. 2014, 46, 579–583. [Google Scholar] [CrossRef] [PubMed]
- Leite, A.R.; Borges-Canha, M.; Cardoso, R.; Neves, J.S.; Castro-Ferreira, R.; Leite-Moreira, A. Novel Biomarkers for Evaluation of Endothelial Dysfunction. Angiology 2020, 71, 397–410. [Google Scholar] [CrossRef]
- Liu, S.; Bai, T.; Feng, J. Endocan, a novel glycoprotein with multiple biological activities, may play important roles in neurological diseases. Front. Aging Neurosci. 2024, 16, 1438367. [Google Scholar] [CrossRef]
- Bechard, D.; Meignin, V.; Scherpereel, A.; Oudin, S.; Kervoaze, G.; Bertheau, P.; Janin, A.; Tonnel, A.-B.; Lassalle, P. Characterization of the secreted form of endothelial-cell-specific molecule 1 by specific monoclonal antibodies. J. Vasc. Res. 2000, 37, 417–425. [Google Scholar] [CrossRef]
- Zhang, S.M.; Zuo, L.; Zhou, Q.; Gui, S.Y.; Shi, R.; Wu, Q.; Wei, W.; Wang, Y. Expression and distribution of endocan in human tissues. Biotech. Histochem. 2012, 87, 172–178. [Google Scholar] [CrossRef]
- Akil, E.; Alp, R.; Aluclu, M.; Acar, A.; Kaplan, I. Serum endocan levels in multiple sclerosis relapse and remission. Eur. Rev. Med. Pharmacol. Sci. 2021, 25, 4091–4098. [Google Scholar] [PubMed]
- Atalar, A.Ç.; Köseoğlu, M.; Yavuz, N.; Erdal, Y.; Oğuz, O.; Emre, U. Could Serum Endocan Be a Vascular Endothelial Marker in Relapsing-Remitting Multiple Sclerosis? Turk. J. Neurol. 2021, 27, 257–262. [Google Scholar] [CrossRef]
- Valachová, K.; Hassan, M.E.; Šoltés, L. Hyaluronan: Sources, Structure, Features and Applications. Molecules 2024, 29, 739. [Google Scholar] [CrossRef]
- Tang, S.-C.; Yeh, S.-J.; Tsai, L.-K.; Hu, C.-J.; Lien, L.-M.; Peng, G.-S.; Yang, W.-S.; Chiou, H.-Y.; Jeng, J.-S. Association between plasma levels of hyaluronic acid and functional outcome in acute stroke patients. J. Neuroinflamm. 2014, 11, 101. [Google Scholar] [CrossRef]
- Sullivan, R.C.; Rockstrom, M.D.; Schmidt, E.P.; Hippensteel, J.A. Endothelial glycocalyx degradation during sepsis: Causes and consequences. Matrix Biol. Plus 2021, 12, 100094. [Google Scholar] [CrossRef]
- Zhao, F.; Wang, T.; Luo, J.; Gao, H.; Zheng, Y.; Wang, R.; Fan, J.; Zhao, H.; Han, Z.; Luo, Y.; et al. Endothelial Glycocalyx in Cerebral Infarction After Endovascular Treatment in Patients With Intracranial Artery Stenosis. CNS Neurosci. Ther. 2025, 31, e70545. [Google Scholar] [CrossRef]
- Sadowitz, B.; Seymour, K.; Gahtan, V.; Maier, K.G. The role of hyaluronic acid in atherosclerosis and intimal hyperplasia. J. Surg. Res. 2012, 173, e63–e72. [Google Scholar] [CrossRef]
- Tredicine, M.; Camponeschi, C.; Pirolli, D.; Lucchini, M.; Valentini, M.; Geloso, M.C.; Mirabella, M.; Fidaleo, M.; Righino, B.; Moliterni, C.; et al. A TLR/CD44 axis regulates T cell trafficking in experimental and human multiple sclerosis. iScience 2022, 25, 103763. [Google Scholar] [CrossRef]
- Tuzcu, G.; Uslu, A.U.; Tuzcu, A.; Aydoğan Baykara, R.; Omma, A.; Küçük, A. A novel marker relationship between carotid intima media thickness and disease activity score-28 in patients with rheumatoid arthritis: Human endothelial cell-specific molecule-1. Turk. J. Med. Sci. 2019, 49, 1599–1605. [Google Scholar] [CrossRef]
- Icli, A.; Cure, E.; Cure, M.C.; Uslu, A.U.; Balta, S.; Mikhailidis, D.P.; Ozturk, C.; Arslan, S.; Sakız, D.; Sahin, M.; et al. Endocan Levels and Subclinical Atherosclerosis in Patients With Systemic Lupus Erythematosus. Angiology 2016, 67, 749–755. [Google Scholar] [CrossRef]
- Hassan, W.A.; Behiry, E.G.; Abdelshafy, S.; Salem, T.; Baraka, E.A. Assessment of Endocan Serum Level in Patients with Behçet Disease: Relation to Disease Activity and Carotid Intima Media Thickness. Egypt. J. Immunol. 2020, 27, 129–139. [Google Scholar]
- Thompson, A.J.; Banwell, B.L.; Barkhof, F.; Carroll, W.M.; Coetzee, T.; Comi, G.; Correale, J.; Fazekas, F.; Filippi, M.; Freedman, M.S. Diagnosis of multiple sclerosis: 2017 revisions of the McDonald criteria. Lancet Neurol. 2018, 17, 162–173. [Google Scholar] [CrossRef]
- Cashion, J.M.; Young, K.M.; Sutherland, B.A. How does neurovascular unit dysfunction contribute to multiple sclerosis? Neurobiol. Dis. 2023, 178, 106028. [Google Scholar] [CrossRef] [PubMed]
- Marrie, R.A.; Patel, R.; Schaffer, S.A. Carotid intima media thickness in multiple sclerosis: A CLSA study. Mult. Scler. Relat. Disord. 2024, 87, 105660. [Google Scholar] [CrossRef] [PubMed]
- Saleh, C. Carotid intima media thickness and multiple sclerosis. Mult. Scler. Relat. Disord. 2024, 89, 105752. [Google Scholar] [CrossRef] [PubMed]
- Zierfuss, B.; Larochelle, C.; Prat, A. Blood-brain barrier dysfunction in multiple sclerosis: Causes, consequences, and potential effects of therapies. Lancet Neurol. 2024, 23, 95–109. [Google Scholar] [CrossRef]
- Martin-Saldaña, S.; Al-Waeel, M.; Bagnoli, E.; Chevalier, M.T.; Bu, Y.; Lally, C.; Fitzgerald, U.; Pandit, A. Hyaluronic acid-based hydrogels modulate neuroinflammation and extracellular matrix remodelling in multiple sclerosis: Insights from a primary cortical cell model. Mater. Horiz. 2025, 12, 3841–3854. [Google Scholar] [CrossRef] [PubMed]
- Zhang, Q.; Pei, S.; Zhou, Z.; Wang, Z.; Peng, Y.; Chen, J.; Wang, H. High level of serum and cerebrospinal fluid of heparan sulfate and hyaluronic acid might be a biomarker of severity of neuromyelitis optica. Front. Immunol. 2021, 12, 705536. [Google Scholar] [CrossRef] [PubMed]
- Nagy, N.; Kuipers, H.F.; Marshall, P.L.; Wang, E.; Kaber, G.; Bollyky, P.L. Hyaluronan in Autoimmunity and Immune Dysregulation. Matrix Biol. J. Int. Soc. Matrix Biol. 2018, 78, 292. [Google Scholar]

| Patient (n = 100) | Control (n = 56) | p-Value | |
| DEMOGRAPHICS | |||
| Age (years) | 37.5 (32–47) | 36.5 (29.3–42) | 0.158 |
| Female gender | 76 (76%) | 43 (76.8%) | 0.912 |
| Body mass index (kg/m2) | 24.5 (22.3–27.3) | 25.1 (22.7–26.6) | 0.904 |
| Smoking status | 20 (58.8%) | 14 (41.2%) | 0.468 |
| LABORATORY FINDINGS | |||
| LDL-C (mg/dl) | 96.5 (76.3–122.8) | 93 (78.3–118) | 0.536 |
| HDL-C (mg/dl) | 52.5 (47–64.5) | 46 (40–57) | 0.009 |
| TC (mg/dl) | 169 (149.3–205.8) | 164 (145–185.5) | 0.247 |
| TG (mg/dl) | 97.5 (64.3–140) | 91.5 (69.8–143.8) | 0.907 |
| Vitamin B12 (pg/mL) | 343.5 (277–429.5) | 350.5 (278.3–427.5) | 0.836 |
| 25-hydroxyvitamin D (pg/mL) | 17 (10–27) | 17 (10.5–22) | 0.531 |
| Endocan (pg/mL) | 36.9 (24.6–51.7) | 23 (14.7–33.8) | <0.001 |
| Hyaluronic acid (pg/mL) | 430.5 (268–643.8) | 404 (152–691.8) | 0.305 |
| CAROTID INTIMA–MEDIA THICKNESS | |||
| ❖ Right side | |||
| The bulb | 0.43 (0.36–0.59) | 0.33 (0.29–0.39) | <0.001 |
| The middle segment of the CCA | 0.37 (0.32–0.46) | 0.31 (0.26–0.36) | |
| ❖ Left side | |||
| The bulb | 0.43 (0.36–0.60) | 0.35 (0.29–0.39) | <0.001 |
| The middle segment of the CCA | 0.37 (0.33–0.47) | 0.32 (0.27–0.37) | |
| 1–4 Years (n = 48) | ≥5 Years (n = 52) | p-Value | |
| DEMOGRAPHICS | |||
| Age (years) | 34 (27.3–42.5) | 43 (35.3–52) | <0.001 |
| Female gender | 36 (75%) | 40 (76.9%) | 0.822 |
| Body mass index (kg/m2) | 23.5 (22.0–27.4) | 24.9 (22.8–27.0) | 0.201 |
| Smoking status | 10 (50%) | 10 (50%) | 0.841 |
| DISEASE CHARACTERISTICS | |||
| Diagnosis age (years) | 31 (26–38.8) | 29.5 (23.3–36.8) | 0.240 |
| Plaque burden | 3 (2–3) | 3 (2–3) | 0.918 |
| Relapse count | 1 (1–2) | 3 (2–6) | <0.001 |
| Time since the last relapse (month) | 15 (6–36) | 36 (12–72) | |
| EDSS | 1.5 (1–2) | 2 (1.125–3) | |
| MEDICATION | |||
| Dimetil fumarat | 30 (62.5%) | 8 (15.4%) | <0.001 |
| Teriflunamid | 11 (22.9%) | 11 (21.2%) | |
| Fingolimod | 1 (2.1%) | 12 (23.1%) | |
| Ocrelizumab | 3 (6.3%) | 9 (17.3%) | |
| Other | 3 (6.3%) | 9 (17.3%) | |
| CAROTID INTIMA–MEDIA THICKNESS | |||
| ❖ Right side | |||
| The bulb | 0.41 (0.34–0.50) | 0.47 (0.38–0.64) | 0.004 |
| The middle segment of the CCA | 0.34 (0.32–0.43) | 0.41 (0.34–0.48) | 0.006 |
| ❖ Left side | |||
| The bulb | 0.39 (0.34–0.49) | 0.47 (0.39–0.64) | 0.002 |
| The middle segment of the CCA | 0.34 (0.32–0.40) | 0.41 (0.35–0.49) | 0.001 |
| LABORATORY FINDINGS | |||
| Endocan (pg/mL) | 40.3 (25.9–52.6) | 31.0 (21.2–50.7) | 0.108 |
| Hyaluronic acid (pg/mL) | 461.5 (277.8–691.8) | 407.5 (252.5–562.3) | 0.456 |
| EDSS < 2 (n = 53) | EDSS 2–2.5 (n = 29) | EDSS ≥ 3 (n = 18) | p-Value | |
| DEMOGRAPHICS | ||||
| Age (years) | 34 (27–40) | 44 (34.5–51) | 47.5 (36.75–54) | <0.001 |
| Female gender | 41 (84.9%) | 21 (72.4%) | 10 (55.6%) | 0.036 |
| Body mass index (kg/m2) | 24.1 (21.9–27.5) | 24.7 (22.8–28.5) | 25.8 (23.0–26.7) | 0.512 |
| Smoking status | 12 (60%) | 5 (25%) | 3 (15%) | 0.781 |
| DISEASE CHARACTERISTICS | ||||
| Diagnosis age (years) | 29 (22–34) | 33 (25.5–41) | 32.5 (23.8–38.5) | 0.098 |
| Plaque burden | 3 (2–3) | 3 (2–3) | 3 (2–3.25) | 0.218 |
| Relapse count | 2 (1–3) | 2 (2–3) | 5 (1.75–10) | 0.001 |
| Time since the last relapse (month) | 24 (6–42) | 24 (12–54) | 36 (12–60) | 0.410 |
| Disease duration (years) | 3 (1–7) | 7 (4–14.5) | 15 (6.5–17) | <0.001 |
| MEDICATION | ||||
| Dimetil fumarat | 30 (56.6%) | 4 (13.8%) | 4 (13.8%) | <0.001 |
| Teriflunamid | 10 (18.9%) | 11 (37.9%) | 1 (5.6%) | |
| Fingolimod | 5 (9.4%) | 4 (13.8%) | 4 (22.2%) | |
| Ocrelizumab | 2 (3.8%) | 3 (1.3%) | 7 (38.9%) | |
| Other | ||||
| CAROTID INTIMA–MEDIA THICKNESS | ||||
| ❖ Right side | ||||
| The bulb | 0.38 (0.34–0.47) | 0.48 (0.38–0.63) | 0.52 (0.42–0.63) | 0.013 |
| The middle segment of the CCA | 0.34 (0.32–0.4) | 0.41 (0.34–0.48) | 0.44 (0.36–0.51) | 0.004 |
| ❖ Left side | ||||
| The bulb | 0.38 (0.34–0.66) | 0.47 (0.38–0.62) | 0.54 (0.42–0.63) | 0.013 |
| The middle segment of the CCA | 0.34 (0.32–0.4) | 0.42 (0.34–0.47) | 0.43 (0.36–0.52) | 0.004 |
| LABORATORY FINDINGS | ||||
| Endocan (pg/mL) | 40.5 (25.0–52.2) | 35.9 (22.1–44.8) | 33.9 (25.6–60.7) | 0.667 |
| Hyaluronic acid (pg/mL) | 458 (283–684.5) | 393 (217–555) | 425.5 (272–775.5) | 0.324 |
| <30 Years (n = 49) | ≥30 Years (n = 51) | p-Value | |
| DEMOGRAPHICS | |||
| Age (years) | 32 (26.5–37.5) | 46 (37–52) | <0.001 |
| Female gender | 39 (79.6%) | 37 (72.5%) | 0.410 |
| Body mass index (kg/m2) | 23.4 (21.7–25.5) | 25.8 (23.1–28.4) | 0.001 |
| Smoking status | 9 (45%) | 11 (55%) | 0.689 |
| DISEASE CHARACTERISTICS | |||
| Plaque burden | 3 (2–3) | 3 (2–3) | 0.929 |
| Relapse count | 2 (1.5–4.5) | 2 (1–3) | 0.199 |
| Time since the last relapse (month) | 24 (6–54) | 24 (12–36) | 0.950 |
| Disease duration (years) | 7 (2.5–14.5) | 4 (1–3) | 0.145 |
| EDSS | 1.5 (1–2.25) | 2 (1–2.5) | 0.564 |
| CAROTID INTIMA–MEDIA THICKNESS | |||
| ❖ Right side | |||
| The bulb | 0.38 (0.34–0.44) | 0.55 (0.42–0.65) | <0.001 |
| The middle segment of the CCA | 0.33 (0.32-0.36) | 0.44 (0.36–0.51) | |
| ❖ Left side | |||
| The bulb | 0.37 (0.34–0.44) | 0.55 (0.43–0.65) | <0.001 |
| The middle segment of the CCA | 0.33 (0.32–0.37) | 0.44 (0.36–0.51) | |
| LABORATORY FINDINGS | |||
| Endocan (pg/mL) | 40.52 (25.39–52.18) | 33.86 (24.37–51.45) | 0.291 |
| Hyaluronic acid (pg/mL) | 495 (327–799) | 392 (231–562) | 0.028 |
Disclaimer/Publisher’s Note: The statements, opinions and data contained in all publications are solely those of the individual author(s) and contributor(s) and not of MDPI and/or the editor(s). MDPI and/or the editor(s) disclaim responsibility for any injury to people or property resulting from any ideas, methods, instructions or products referred to in the content. |
© 2025 by the authors. Licensee MDPI, Basel, Switzerland. This article is an open access article distributed under the terms and conditions of the Creative Commons Attribution (CC BY) license (https://creativecommons.org/licenses/by/4.0/).
Share and Cite
Duran, S.; Celikbilek, A.; Cil, A.S.; Ilanbey, B.; Koysuren, A.; Sahin, B.E. Relationship Between Carotid Intima–Media Thickness, Serum Endocan and Hyaluronic Acid Levels in Multiple Sclerosis. Life 2025, 15, 1388. https://doi.org/10.3390/life15091388
Duran S, Celikbilek A, Cil AS, Ilanbey B, Koysuren A, Sahin BE. Relationship Between Carotid Intima–Media Thickness, Serum Endocan and Hyaluronic Acid Levels in Multiple Sclerosis. Life. 2025; 15(9):1388. https://doi.org/10.3390/life15091388
Chicago/Turabian StyleDuran, Selcen, Asuman Celikbilek, Ahmet Said Cil, Bilal Ilanbey, Aydan Koysuren, and Burc Esra Sahin. 2025. "Relationship Between Carotid Intima–Media Thickness, Serum Endocan and Hyaluronic Acid Levels in Multiple Sclerosis" Life 15, no. 9: 1388. https://doi.org/10.3390/life15091388
APA StyleDuran, S., Celikbilek, A., Cil, A. S., Ilanbey, B., Koysuren, A., & Sahin, B. E. (2025). Relationship Between Carotid Intima–Media Thickness, Serum Endocan and Hyaluronic Acid Levels in Multiple Sclerosis. Life, 15(9), 1388. https://doi.org/10.3390/life15091388

