Severe Rectal Stenosis as the First Clinical Appearance of a Metastasis Originating from the Bladder: A Case Report and Literature Review
Abstract
1. Introduction
2. Materials and Methods
2.1. Ethics Approval and Informed Consent
2.2. Immunohistochemistry
2.3. Literature Search
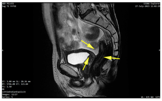
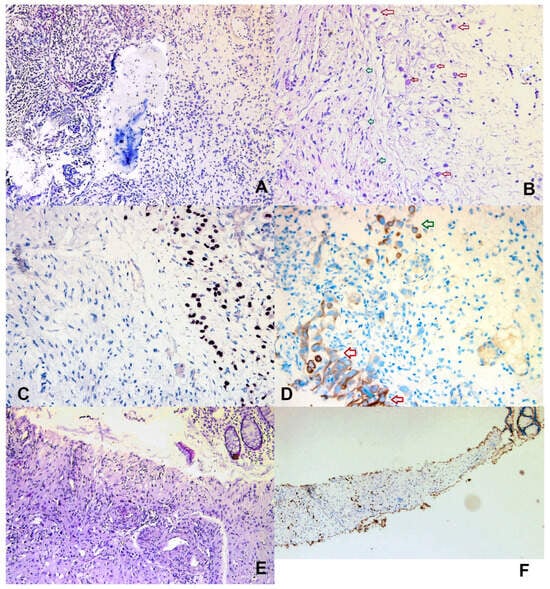
3. Detailed Case Description
4. Literature Review
5. Discussion
Study Limitation
6. Conclusions
Author Contributions
Funding
Institutional Review Board Statement
Informed Consent Statement
Data Availability Statement
Acknowledgments
Conflicts of Interest
References
- International Agency for Research on Cancer, World Health Organization. Available online: https://gco.iarc.who.int/today (accessed on 24 February 2025).
- Bryant, R.J.; Catto, J.W.F. General overview of bladder cancer. In Oxford Textbook of Urological Surgery; Hamdy, F.C., Eardley, I., Eds.; Oxford Textbooks in Surgery; Oxford Academic: Oxford, UK, 2017. [Google Scholar] [CrossRef]
- Pignot, G.; Barthélémy, P.; Borchiellini, D. Sex Disparities in Bladder Cancer Diagnosis and Treatment. Cancers 2024, 16, 4100. [Google Scholar] [CrossRef] [PubMed] [PubMed Central]
- Bertz, S.; Hartmann, A. Pathology of bladder and upper urinary tract tumours. In Oxford Textbook of Urological Surgery; Hamdy, F.C., Eardley, I., Eds.; Oxford Textbooks in Surgery; Oxford Academic: Oxford, UK, 2017. [Google Scholar]
- Salama, M.; Khairy, D.A. Diagnostic Value of GATA3 and Uroplakin 3 in Differentiating Urothelial Carcinoma from Prostatic and Colorectal Carcinoma. Open Access Maced. J. Med. Sci. 2022, 10, 514–518. [Google Scholar] [CrossRef]
- Miura, K.; Ishida, K.; Fujibuchi, W.; Ito, A.; Niikura, H.; Ogawa, H.; Sasaki, I. Differentiating rectal carcinoma by an immunohistological analysis of carcinomas of pelvic organs based on the NCBI Literature Survey and the Human Protein Atlas database. Surg. Today 2012, 42, 515–525. [Google Scholar] [CrossRef] [PubMed]
- National Comprehensive Cancer Network. Bladder Cancer: Version 3.2023. Available online: https://www.nccn.org/professionals/physician_gls/pdf/bladder.pdf (accessed on 25 May 2023).
- Moschini, M.; Gandaglia, G.; Dehò, F.; Salonia, A.; Briganti, A.; Montorsi, F. Bladder cancer: ESMO Clinical Practice Guideline for diagnosis, treatment and follow-up. Ann. Oncol. 2022, 33, 561. [Google Scholar] [CrossRef] [PubMed]
- Powles, T.; Bellmunt, J.; Comperat, E.; De Santis, M.; Huddart, R.; Loriot, Y.; Necchi, A.; Valderrama, B.P.; Ravaud, A.; Shariat, S.F.; et al. Electronic address: Clinicalguidelines@esmo.org. Bladder cancer: ESMO Clinical Practice Guideline for diagnosis, treatment and follow-up. Ann. Oncol. 2022, 33, 244–258. [Google Scholar] [CrossRef] [PubMed]
- Alfred Witjes, J.; Max Bruins, H.; Carrión, A.; Cathomas, R.; Compérat, E.; Efstathiou, J.A.; Fietkau, R.; Gakis, G.; Lorch, A.; Martini, A.; et al. European Association of Urology Guidelines on Muscle-invasive and Metastatic Bladder Cancer: Summary of the 2023 Guidelines. Eur. Urol. 2024, 85, 17–31, Erratum in Eur. Urol. 2024, 85, e180. https://doi.org/10.1016/j.eururo.2024.03.002. [Google Scholar] [CrossRef] [PubMed]
- Yusuf, T.E.; Levy, M.J.; Wiersema, M.J. EUS features of recurrent transitional cell bladder cancer metastatic to the GI tract. Gastrointest. Endosc. 2005, 61, 314–316. [Google Scholar] [CrossRef]
- Gleeson, F.C.; Clain, J.E.; Rajan, E.; Topazian, M.D.; Wang, K.K.; Wiersema, M.J.; Zhang, L.; Levy, M.J. Secondary linitis plastica of the rectum: EUS features and tissue diagnosis (with video). Gastrointest. Endosc. 2008, 68, 591–596. [Google Scholar] [CrossRef] [PubMed]
- Langenstroer, P.; Zacharias, A.; Almagro, U.; Dewire, D. Annular constriction of the rectum secondary to transitional cell carcinoma of the bladder. Urology 1996, 47, 442–444. [Google Scholar] [CrossRef]
- Ha, H.K.; Jee, K.R.; Yu, E.; Yu, C.S.; Rha, S.E.; Lee, I.J.; Yun, H.J.; Kim, J.C.; Park, K.C.; Auh, Y.H. CT features of metastatic linitis plastica to the rectum in patients with peritoneal carcinomatosis. AJR Am. J. Roentgenol. 2000, 174, 463–466. [Google Scholar] [CrossRef] [PubMed]
- Hong, S.P.; Park, S.W.; Lee, S.J.; Chung, J.P.; Song, S.Y.; Chung, J.B.; Kang, J.K.; Cho, N.H. Bile duct wall metastasis from micropapillary variant transitional cell carcinoma of the urinary bladder mimicking primary hilar cholangiocarcinoma. Gastrointest. Endosc. 2002, 56, 756–760. [Google Scholar] [CrossRef] [PubMed]
- Ying-Yue, J.; Shen, S.-H.; Wang, J.-H. Unusual presentation of urothelial carcinoma of the bladder with noncontiguous rectal and difuse muscular skeletal metastases. J. Urol. 2010, 184, 1163–1164. [Google Scholar] [CrossRef] [PubMed]
- Katsinelos, P.; Papaziogas, B.; Chatzimavroudis, G.; Katsinelos, T.; Dimou, E.; Atmatzidis, S.; Beltsis, A.; Terzoudis, S.; Kamperis, E.; Lazaraki, G. Secondary rectal linitis plastica as first manifestation of urinary bladder carcinoma. Ann. Gastroenterol. 2012, 25, 173–175. [Google Scholar] [PubMed] [PubMed Central]
- Yang, M.H.; Sun, G.H.; Yu, D.S.; Chang, S.Y.; Ma, C.P.; Cha, T.L. CEA-producing urothelial cell carcinoma with metastasis presenting as a rectal adenocarcinoma. Kaohsiung J. Med. Sci. 2012, 28, 624–627. [Google Scholar] [CrossRef] [PubMed]
- Kassam, S.N.; Aziz, Z.; Hung, L.S.; Sridhar, S.S. A case of isolated rectal recurrence of muscle invasive bladder cancer. Can. Urol. Assoc. J. 2013, 7, E376–E380. [Google Scholar] [CrossRef] [PubMed] [PubMed Central]
- Asfour, R.; Stettler, G.; Pinzon, M.M.; Hayden, D.; Eberhardt, J.; Saclarides, T.; Slogoff, M. Recurrent urothelial cell carcinoma presenting with gastrointestinal symptoms. Am. Surg. 2014, 80, E240–E242. [Google Scholar] [CrossRef]
- Hashash, J.G.; Habib-Bein, N.; Khalid, A.; Francis, F.F. Recurrent bladder cancer presenting as rectal linitis plastica. Endoscopy 2015, 47 (Suppl. 1), E102–E103. [Google Scholar] [CrossRef] [PubMed]
- Ma, Y.; Shilton, H.; Strauss, P. Rectal constriction secondary to metastatic micropapillary adenocarcinoma of the bladder. ANZ J. Surg. 2015, 85, 984–986. [Google Scholar] [CrossRef] [PubMed]
- Esfandiari, A.; Speakman, C. Urothelial carcinoma presenting with distant metastasis to the rectum. BMJ Case Rep. 2016, 2016, bcr2015213493. [Google Scholar] [CrossRef]
- Chung Sang Tse, Yousef Elfanagely, Sean Fine. Metastatic Urothelial Bladder Cancer Involving the Rectum, Practical Gastroenterology November 2020 • Volume XLIV, Issue 11. Available online: https://practicalgastro.com (accessed on 3 June 2023).
- DeCino, A.; Stolow, E.; Rosenkranz, L. S1788 Metastatic Urothelial Carcinoma Presenting as Rectal Mass. Am. J. Gastroenterol. 2021, 116, S789. [Google Scholar] [CrossRef]
- Ii, Y.; Munakata, S.; Honjo, K.; Kawai, M.; Kawano, S.; Sugimoto, K.; Isotani, S.; Kojima, Y.; Horie, S.; Yao, T.; et al. Rectal metastasis from bladder urothelial carcinoma: A case report. Surg. Case Rep. 2021, 7, 100. [Google Scholar] [CrossRef] [PubMed]
- Nazar, M.; Sabatella, A.; Ficalora, G.; Troncoso, Y.; Romero Caimi, G.; Alvarez, L. Metástasis rectal de carcinoma urotelial de vejiga resecado [Rectal metastasis of a resected urothelial bladder cancer]. Medicina (B Aires) 2022, 82, 609–612. (In Spanish) [Google Scholar] [PubMed]
- Nagahisa, C.; Iizuka, J.; Kobari, Y.; Minoda, R.; Fukuda, H.; Yoshida, K.; Okuda, H.; Ishida, H.; Nagashima, Y.; Takagi, T. Efficacy of Combined Pembrolizumab and Pelvic Radiotherapy for Bladder Cancer With Rectal Metastases. In Vivo 2023, 37, 912–915. [Google Scholar] [CrossRef] [PubMed] [PubMed Central]
- Yang, Y.; Li, J.; Qi, R.; Guo, Y.; Zhao, Z.; Wang, M. A case of bladder urothelial carcinoma nested variant with invasion to the rectum treated with surgery and intraoperative radiotherapy. Quant Imaging Med. Surg. 2023, 13, 5409–5416. [Google Scholar] [CrossRef] [PubMed] [PubMed Central]
- Alnasarat, A.; Musa, R.; Makahleh, A.; Kloub, M.N. Rectal Stricture Caused by a Rare Plasmacytoid Urothelial Carcinoma. Case Rep. Gastrointest. Med. 2024, 2024, 4823396. [Google Scholar] [CrossRef] [PubMed] [PubMed Central]
- Menon, R.; Abrol, R.; Hasan, H.; Yang, J. Urothelial carcinoma with metastasis to the rectum mimicking radiation proctitis. J. Gastroenterol. Res. Pract. 2024, 4, 1212. [Google Scholar] [CrossRef]
- Zehnder, P.; Thalmann, G.N. Muscle-invasive bladder cancer. In Oxford Textbook of Urological Surgery; Hamdy, F.C., Eardley, I., Eds.; Oxford Textbooks in Surgery; Oxford Academic: Oxford, UK, 2017. [Google Scholar] [CrossRef]
- Aneese, A.M.; Manuballa, V.; Amin, M.; Cappell, M.S. Bladder urothelial carcinoma extending to rectal mucosa and presenting with rectal bleeding. World J. Gastrointest. Endosc. 2017, 9, 282–295. [Google Scholar] [CrossRef]
- Zhan, Y.; Cheng, X.; Mei, P.; Wu, J.; Ou, Y.; Cui, Y. Risk and incidence of colorectal stricture progressing to colorectal neoplasia in patients with inflammatory bowel disease: A systematic review and meta-analysis. Eur. J. Gastroenterol. Hepatol. 2023, 35, 1075–1087. [Google Scholar] [CrossRef] [PubMed]
- Wei, S.C.; Su, W.C.; Chang, M.C.; Chang, Y.T.; Wang, C.Y.; Wong, J.M. Incidence, endoscopic morphology and distribution of metastatic lesions in the gastrointestinal tract. J. Gastroenterol. Hepatol. 2007, 22, 827–831. [Google Scholar] [CrossRef] [PubMed]
- Yachida, T.; Matsuda, T.; Sakamoto, T.; Nakajima, T.; Kakugawa, Y.; Maeshima, A.M.; Taniguchi, H.; Kushima, R.; Tobinai, K.; Kobara, H.; et al. Endoscopic features of colorectal lymphoma according to histological type. JGH Open. 2022, 6, 257–262. [Google Scholar] [CrossRef] [PubMed] [PubMed Central]
- Galanopoulos, M.; Gkeros, F.; Liatsos, C.; Pontas, C.; Papaefthymiou, A.; Viazis, N.; Mantzaris, G.J.; Tsoukalas, N. Secondary metastatic lesions to colon and rectum. Ann. Gastroenterol. 2018, 31, 282–287. [Google Scholar] [CrossRef] [PubMed] [PubMed Central]
- Janjic, O.; Labgaa, I.; Hübner, M.; Demartines, N.; Joliat, G.-R. Metastasis to the rectum: A systematic review of the literature. Eur. J. Surg. Oncol. 2022, 48, 822–883. [Google Scholar] [CrossRef] [PubMed]
- Mourra, N.; Jouret-Mourin, A.; Lazure, T.; Audard, V.; Albiges, L.; Malbois, M.; Bouzourene, H.; Duvillard, P. Metastatic tumors to the colon and rectum: A multi-institutional study. Arch. Pathol. Lab. Med. 2012, 136, 1397–1401. [Google Scholar] [CrossRef] [PubMed]
- Liu, Y.H.; Pu, T.W.; Yu, H.W.; Kang, J.C.; Yen, C.H.; Chen, C.Y. Invasive urothelial carcinoma of urinary bladder presenting with annular constriction and mimicking proctitis observed by colonoscopy: A case report. Int. J. Surg. Case Rep. 2021, 82, 105785. [Google Scholar] [CrossRef] [PubMed] [PubMed Central]
- Stillwell, T.J.; Rife, C.C.; Lieber, M.M. Bladder carcinoma presenting with rectal obstruction. Urology 1989, 34, 238–240. [Google Scholar] [CrossRef]
- Tanabe, K.; Nakanishi, Y.; Matsumoto, S.; Yajima, S.; Watanabe, R.; Masuda, H. Rectal constriction due to metastasis of urothelial carcinoma of the bladder: A case report. Urol. Case Rep. 2021, 39, 101833. [Google Scholar] [CrossRef] [PubMed] [PubMed Central]
- Takeuchi, H.; Tokuyama, N.; Kuroda, I.; Aoyagi, T. Annular rectal constriction caused by infiltrating bladder cancer: A case report. Mol. Clin. Oncol. 2016, 5, 842–844. [Google Scholar] [CrossRef] [PubMed] [PubMed Central]
- McPherson, V.A.; Ott, M.; Tweedie, E.J.; Izawa, J.I. Case report and review of the literature: Rectal linitis plastica secondary to the lipoid cell variant of transitional cell carcinoma of the urinary bladder. Can. Urol. Assoc. J. 2012, 6, 431–434. [Google Scholar] [CrossRef] [PubMed] [PubMed Central]
- Mano, R.; Yossepowitch, O. Adenocarcinoma of the bladder. In Oxford Textbook of Urological Surgery; Hamdy, F.C., Eardley, I., Eds.; Oxford Textbooks in Surgery; Oxford Academic: Oxford, UK, 2017. [Google Scholar] [CrossRef]
- Liu, L.; Wang, Q.; Yuan, H. Clinicopathological Characteristics and Prognostic Factors of Primary Bladder Signet Ring Cell Carcinoma. J. Healthc. Eng. 2022, 2022, 3224616. [Google Scholar] [CrossRef] [PubMed] [PubMed Central]
- Wang, X.J.; Deng, Y.; Zheng, Z.F.; Huang, Y.; Chi, P. Distribution pattern of the rectal circumferential fascia and its clinical significance: An anatomical study. Zhonghua Wei Chang Wai Ke Za Zhi. 2024, 27, 919–927. (In Chinese) [Google Scholar] [CrossRef] [PubMed]
- Banik, S.; Johnson, T.; Shanmugasundaram, R.; Ashok, S. Lymphangitis carcinomatosis: A rare presentation in right sided colonic adenocarcinoma. Indian J. Pathol. Oncol. 2024, 11, 77–80. [Google Scholar]
- Cruz, R.P.; Rodini, G.P.; da Rosa, M.D.; Cabral, V.D.; Cambruzzi, E.; Ferrandina, G.; Ribeiro, R. Intestinal lymphangitis carcinomatosa related to ovarian cancer: Case report and review of the literature. Gynecol. Oncol. Rep. 2020, 33, 100606. [Google Scholar] [CrossRef] [PubMed] [PubMed Central]
- Subramanian, I.; Radhan, P.; Ramachandran, R.; Anand, R.; Sai, V.; Swaminathan, R. Duodenal lymphangitis carcinomatosa: A rare case. Radiol. Case Rep. 2015, 9, 932. [Google Scholar] [CrossRef] [PubMed] [PubMed Central][Green Version]
- McMahon, C.J.; Rofsky, N.M.; Pedrosa, I. Lymphatic metastases from pelvic tumors: Anatomic classification, characterization, and staging. Radiology 2010, 254, 31–46. [Google Scholar] [CrossRef] [PubMed]
- Klimek, M. Pulmonary lymphangitis carcinomatosis: Systematic review and meta-analysis of case reports, 1970–2018. Postgrad. Med. 2019, 131, 309–318. [Google Scholar] [CrossRef] [PubMed]
- Ogawa, Y.; Hinata, N.; Murakami, G.; Bando, Y.; Kitamura, K.; Hussein, A.A.; Guru, K.; Abe, S.-I.; Fujisawa, M. Aspects of lymphatic vessel configuration of the human male urinary bladder and adjacent organs: A histological basis for understanding the spread of cancer metastases. Transl. Res. Anat. 2018, 11, 10–17. [Google Scholar] [CrossRef]
- Zheng, H.; An, M.; Luo, Y.; Diao, X.; Zhong, W.; Pang, M.; Lin, Y.; Chen, J.; Li, Y.; Kong, Y.; et al. PDGFRα+ITGA11+ fibroblasts foster early-stage cancer lymphovascular invasion and lymphatic metastasis via ITGA11-SELE interplay. Cancer Cell. 2024, 42, 682–700.e12. [Google Scholar] [CrossRef] [PubMed]
- Karaman, S.; Detmar, M. Mechanisms of lymphatic metastasis. J. Clin. Investig. 2014, 124, 922–928. [Google Scholar] [CrossRef] [PubMed] [PubMed Central]
- Ando, T.; Morita, S.; Naito, M. Unusual lymphatic spread: Autopsy report of rectal obstruction from high-grade micropapillary urothelial carcinoma in the urinary bladder. Urol. Case Rep. 2023, 52, 102641. [Google Scholar] [CrossRef] [PubMed] [PubMed Central]
- Asano, Y.; Miyai, K.; Yoshimatsu, S.; Sasaki, M.; Ikewaki, K.; Matsukuma, S. Clinically undetected plasmacytoid urothelial carcinoma of the urinary bladder with non-mass-forming metastases in multiple organs: An autopsy case. J. Pathol. Transl. Med. 2022, 56, 217–224. [Google Scholar] [CrossRef] [PubMed] [PubMed Central]
- Said, N.; Theodorescu, D. Molecular biology of bladder cancer. In Oxford Textbook of Urological Surgery; Hamdy, F.C., Eardley, I., Eds.; Oxford Textbooks in Surgery; Oxford Academic: Oxford, UK, 2017. [Google Scholar] [CrossRef]
- Calabrò, F.; Sternberg, C.N. Treatment of metastatic bladder cancer. In Oxford Textbook of Urological Surgery; Hamdy, F.C., Eardley, I., Eds.; Oxford Textbooks in Surgery; Oxford Academic: Oxford, UK, 2017. [Google Scholar] [CrossRef]
- Matuszczak, M.; Salagierski, M. Diagnostic and Prognostic Potential of Biomarkers CYFRA 21.1, ERCC1, p53, FGFR3 and TATI in Bladder Cancers. Int. J. Mol. Sci. 2020, 21, 3360. [Google Scholar] [CrossRef] [PubMed] [PubMed Central]
- Tassinari, E.; Mollica, V.; Nuvola, G.; Marchetti, A.; Rosellini, M.; Massari, F. Treatment Options for Metastatic Urothelial Carcinoma After First-Line Chemotherapy. Cancer Manag. Res. 2022, 14, 1945–1960. [Google Scholar] [CrossRef] [PubMed] [PubMed Central]
- Gong, J.; Reimers, M.A. A Podcast on Practical Considerations in Patients with Advanced Urothelial Cancer Receiving First-Line Cisplatin- or Carboplatin-Based Chemotherapy Followed by Avelumab Maintenance in a Changing Therapeutic Landscape. Adv. Ther. 2024, 41, 3441–3451. [Google Scholar] [CrossRef] [PubMed] [PubMed Central]
- Rosiello, G.; Palumbo, C.; Deuker, M.; Stolzenbach, L.F.; Martin, T.; Tian, Z.; Gallina, A.; Montorsi, F.; Black, P.; Kassouf, W.; et al. Sex- and age-related differences in the distribution of bladder cancer metastases. Jpn. J. Clin. Oncol. 2021, 51, 976–983. [Google Scholar] [CrossRef] [PubMed]
- Kikuchi, E.; Hayakawa, N.; Nakayama, M.; Uno, M.; Nakatsu, H.; Kitagawa, C.; Miyake, H.; Yamada, T.; Fujita, K.; Shimoyama, H.; et al. J-AVENUE: A retrospective, real-world study evaluating patient characteristics and outcomes in patients with advanced urothelial carcinoma treated with avelumab first-line maintenance therapy in Japan. Int. J. Urol. 2024, 31, 859–867. [Google Scholar] [CrossRef] [PubMed] [PubMed Central]
- Mansinho, A.; Cruz, A.; Marconi, L.; Pinto, C.; Augusto, I. Avelumab as First-Line Maintenance Treatment in Locally Advanced or Metastatic Urothelial Carcinoma. Adv. Ther. 2023, 40, 4134–4150. [Google Scholar] [CrossRef] [PubMed]
- Iacovelli, R.; Cicala, C.M.; Ciccarese, C.; Sacco, E.; Racioppi, M.; Bassi, P.F.; Tortora, G. Management of metastatic urothelial carcinoma: Current approach, emerging agents, and future perspectives. Urologia 2023, 90, 3–10. [Google Scholar] [CrossRef] [PubMed]







| Author (Year) | Age/Sex | Pathology | IHC Positive/Negative | Biopsy Approach | Symptoms | Rectal Tumor Extension | |
|---|---|---|---|---|---|---|---|
| 1 | Langenstroer P et al. (1996) [13] | 73/M | TCC PD/focal adenocarcinoma and signet ring cell | NO | needle | fatigue, weight loss, chronic diarrhea, rectal pain | DISTAL R |
| 2 | Ha HK et al. (2000) [14] | N/S | TCC | NO | NS | NS | NS |
| 3 | Hong SP et al. (2002) [15] | 63/M | TCC papillary | NO | colonoscopy | jaundice, constipation, weight loss | NS |
| 4 | Yusuf TE et al. (2005) [11] | 54/M | TCC G3 | NO | mucosal biopsy negative, EUS-FNA AND EUS-TCB | change in bowel habits | DISTAL R |
| 5 | Yusuf TE et al. (2005) [11] | 73/M | TCC PD | NO | mucosal biopsy negative, EUS-FNA | severe constipation | DISTAL R |
| 6 | Gleeson FC et al. (2008) [12] | 54/M | TCC/G3 | CK 7, CK 20 | EUS-FNA AND EUS-TCB | presumed refractory ulcerative proctitis | DISTAL MEDIUM R |
| 7 | Gleeson FC et al. (2008) [12] | 55/M | TCC/G3 | CK 7, CK 20 | EUS FNA AND EUS TCB | altered bowel habit (constipation) | ALL RECTUM |
| 8 | Gleeson FC et al. (2008) [12] | 60/M | TCC/G3 | CK7, CK 20 | EUS FNA | altered bowel habit (constipation) | RECTUM |
| 9 | Ying-Yue J et al. (2010) [16] | 83/M | UCC PD | CK 7, CK 20/CDX-2 SI S-100 | rectoscopy | frequent bowel movements, weight loss | DISTAL R |
| 10 | Katsinelos P et al. (2012) [17] | 68/M | TCC G3 papillary | CK7, CK 20/PSA | multiple biopsies and FNA negative | anal outlet obstruction, constipation, tenesmus | DISTAL R |
| 11 | Yang M-H et al. (2012) [18] | 61/M | UCC PD | CEA, CK 7, CK 20/PSA, SYNAPTOPHYSIN | colonoscopy | difficult defecation, abdominal distension | DISTAL R |
| 12 | Kassam et al. (2013) [19] | 53/M | TCC PD | CK 7, CK20 | colonoscopy | anorexia, diffuse abdominal pain, pencil thin stools | RECTOSIGMOID |
| 13 | Asfour R et al. (2014) [20] | 54/M | UCC | NO | colonoscopy | constipation, anorexia, pain with defecation, abdominal distension | DISTAL R |
| 14 | Hashash JG et al. (2015) [21] | 55/M | UCC | KI 67, P 53, GATA 3 | rectal tunnel biopsies | rectal pain, urgency, heaviness, thinning stool | DISTAL MEDIUM R |
| 15 | Ma Y et al. (2015) [22] | 65/M | UCC PD | P53, CK 34, CK7 | colonoscopy | increasing constipation, faecal incontinence and tenesmus | DISTAL R |
| 16 | Esfandiari et al. (2016) [23] | 84/F | UCC papillary G3 | CK 7, EMA, P40, GATA3, CA 125/equivocal BerEP4 | sigmoidoscopy TCB | rectal pain on defecation, suprapubic pain, fecal and urinary incontinence | MEDIUM R |
| 17 | Chung Sang TSE et al. (2020) [24] | 85/M | UCC | CK 7, CK 20, GATA3 | sigmoidoscopy | scrotal pain and swelling, hematochezia | RECTUM |
| 18 | Andreea de Cino et al. (2021) [25] | 81/M | UCC | NO | sigmoidoscopy | subacute epigastric pain, chronic constipation | NS |
| 19 | Li Y et al. (2021) [26] | 72/F | UCC G2 | CK 7, CK 20, GATA3/CDX2 | colonoscopy | abdominal bloating and obstructed defecation | DISTAL MEDIUM R |
| 20 | Nazar et al. (2022) [27] | 72/F | UCC PD | GATA3, CK20/TTF1, CDX, P63, PAX 8 | colonoscopy | hematochezia, tenesmus, rectal pain | UPPER R |
| 21 | Nagahisa C et al. (2023) [28] | 67/M | UCC | GATA3/CDX 2 | colonoscopy | severe constipation, anal pain | DISTAL R |
| 22 | Yang et al. (2023) [29] | 64/M | UCC | KI 67, P53, CK, GATA3, CK7 | colonoscopy, multiple rectal, finally EUS-FNAdiagnostic | increased frequency of defecation, decrease stool volume | DISTAL MEDIUM R |
| 23 | Alnasarat A et al. (2024) [30] | 85/M | UCC plasmacytoid, signet ring | GATA, CK 7, CK 20/CDX | sigmoidoscopy | weight loss, epigastric discomfort, abdominal distension | RECTUM |
| 24 | Menon R et al. (2024) [31] | 75/M | UCC | P63, GATA3 | sigmoidoscopy | rectal bleeding | DISTAL R |
| 25 | Present Case (2025) | 64/M | UCC G3/conventional and signet ring cell | GATA3, CK 20/CK5/6, P63, CDX | colonoscopy, rectal EUS TCB | rectal tenesmus, transit disorders (constipation/small volume diarrhea), moderate dysuria | DISTAL MEDIUM R |
| Author (Year) | Age/Sex | Time Months Till Rectal Finding | Previous Treatment for Bladder Cancer | Treatment for Rectal Metastasis | Survival Months With RM | TNM/Stage | |
|---|---|---|---|---|---|---|---|
| 1. | Langenstroer P et al. (1996) [13] | 73/M | 34 | TURBT, RC WITH IC | EXPL-LAP, loop-colostomy, CHT PALLIATIVE recommended | 2 M/D | pT3a N0, NSM |
| 2. | Ha HK et al. (2000) [14] | N/S | N/S | N/S | N/S | N/S | N/S |
| 3. | Hong SP et al. (2002) [15] | 63/M | 10 | RC, ADJUVANT CHT MVAC | RT external and brachytherapy | 4 M/A | N/S |
| 4. | Yusuf TE et al. (2005) [11] | 54/M | 24 | RC ILEAL NEOBLADDER | CHT | N/S | N/S |
| 5. | Yusuf TE et al. (2005) [11] | 73/M | 24 | SURGICALLY RESECTED | CHT TPE | N/S | N/S |
| 6. | Gleeson FC et al. (2008) [12] | 54/M | 18-119 | RC WITH NEOBLADDER | CHT | N/S | N/S |
| 7. | Gleeson FC et al. (2008) [12] | 55/M | 18-119 | RC WITH NEOBLADDER | CHT | N/S | N/S |
| 8. | Gleeson FC et al. (2008) [12] | 60/M | 18-119 | RC WITH NEOBLADDER | CHT | N/S | N/S |
| 9. | Ying-Yue J et al. (2010) [16] | 83/M | 0 | NO | CHT | N/S | N/S |
| 10. | Katsinelos P et al. (2012) [17] | 68/M | 0 | NO | RECTAL RESECTION AND RC WITH LND, adj RT, CHT(GC) | 8 M/D | SMALL T |
| 11. | Yang M-H et al. (2012) [18] | 61/M | 10 | TURBT, NEOADJ CHT (PACLITAXEL, GEM, CARBO) RC WITH IC, CHT ADJ | CHT FOLFIRI shrinkage | 3 M/A | T2 downstaged T0 |
| 12. | Kassam et al. (2013) [19] | 53/M | 17 | TURBT RC WITH BP LND AND IC, ADJ CHT GC | rectal stent and PALLIATIVE CARE | 6 M/D | pT3aN1M0 |
| 13. | Asfour R et al. (2014) [20] | 54/M | 6 | TURBT, CHT MITOMYCIN C, GC X 4, RC WITH NEOBLADDER AND P LND | loop-colostomy | N/S A | N1 |
| 14. | Hashash JG et al. (2015) [21] | 55/M | 10 | NEOADJ CHT, RC, P LND AND IC | Loop-colostomy, CHT-RT PALLIATIVE | N/S | T2-3/II |
| 15. | Ma Y et al. (2015) [22] | 65/M | 23 | RC WITH BP LND AND IC, ADJ CHT GC | CHT RT PALLIATIVE end-colostomy | N/S | PT3N0M0, NSM |
| 16. | Esfandiari et al. (2016) [23] | 84/F | 0 | NO | RT PALLIATIVE, colostomy | 1 M/A | N/S |
| 17. | Chung Sang TSE et al. (2020) [24] | 85/M | 96 | RC AND IC | PALLIATIVE IMMUNOTHERAPY NOT TOLERATED | 6 M/D | pT3aN0MO/III A |
| 18. | Andreea de Cino et al. (2021) [25] | 81/M | N/S | TURBT, CHT | third line CHT | N/S | N1 |
| 19. | Li Y et al. (2021) [26] | 72/F | 48 | TURBT MULTIPLE, BCG X 6 | LAPAROSCOPY peritoneal nodule biopsy, CHT GC, loop-colostomy | 10 M/A | pTAN0M0/Oa |
| 20. | Nazar et al. (2022) [27] | 72/F | SAME YEAR | RADICAL CYSTECTOMY WITH TOTAL HYSTERECTOMY AND DOUBLE ADNEXECTOMY, CHT CARBO, GEM ADJ | PMB, eventually RT | N/S | T4N1M1 OSS |
| 21. | Nagahisa C et al. (2023) [28] | 67/M | 1 | TURBT, CHT GC, RC WITH BP LND AND IC | Colostomy RT PMB | 10 M/A | T2N0M0/PT4aN0, NSM |
| 22. | Yang et al. (2023) [29] | 64/M | 0 | NO | TPE WITH IORT, ADJ CHT GC, Sintilimab | A | pT3bN2M1b |
| 23. | Alnasarat A et al. (2024) [30] | 85/M | 0 | NO | PALLIATIVE CARE | FEW DAYS/D | N/S |
| 24. | Menon R et al. (2024) [31] | 75/M | N/S | CHT CISPLATIN RT TURBT, RC WITH IC | EXPL LAP, colostomy | N/S | T1N0M0/I |
| 25. | Present Case (2025) | 64/M | 0 | NO | Colostomy, NEOADJ CHT GC, RT | 15 M/D | T2N0M0 |
Disclaimer/Publisher’s Note: The statements, opinions and data contained in all publications are solely those of the individual author(s) and contributor(s) and not of MDPI and/or the editor(s). MDPI and/or the editor(s) disclaim responsibility for any injury to people or property resulting from any ideas, methods, instructions or products referred to in the content. |
© 2025 by the authors. Licensee MDPI, Basel, Switzerland. This article is an open access article distributed under the terms and conditions of the Creative Commons Attribution (CC BY) license (https://creativecommons.org/licenses/by/4.0/).
Share and Cite
Daha, C.; Brătucu, E.; Burlănescu, I.; Prunoiu, V.-M.; Moisă, H.-A.; Neicu, Ș.A.; Simion, L. Severe Rectal Stenosis as the First Clinical Appearance of a Metastasis Originating from the Bladder: A Case Report and Literature Review. Life 2025, 15, 682. https://doi.org/10.3390/life15050682
Daha C, Brătucu E, Burlănescu I, Prunoiu V-M, Moisă H-A, Neicu ȘA, Simion L. Severe Rectal Stenosis as the First Clinical Appearance of a Metastasis Originating from the Bladder: A Case Report and Literature Review. Life. 2025; 15(5):682. https://doi.org/10.3390/life15050682
Chicago/Turabian StyleDaha, Claudiu, Eugen Brătucu, Ioan Burlănescu, Virgiliu-Mihail Prunoiu, Hortensia-Alina Moisă, Ștefania Ariana Neicu, and Laurențiu Simion. 2025. "Severe Rectal Stenosis as the First Clinical Appearance of a Metastasis Originating from the Bladder: A Case Report and Literature Review" Life 15, no. 5: 682. https://doi.org/10.3390/life15050682
APA StyleDaha, C., Brătucu, E., Burlănescu, I., Prunoiu, V.-M., Moisă, H.-A., Neicu, Ș. A., & Simion, L. (2025). Severe Rectal Stenosis as the First Clinical Appearance of a Metastasis Originating from the Bladder: A Case Report and Literature Review. Life, 15(5), 682. https://doi.org/10.3390/life15050682

