New-Onset Atrial Fibrillation in Patients with Pacemakers and the Implications of Hepatic Impairment
Abstract
1. Introduction
2. Materials and Methods
2.1. Study Design
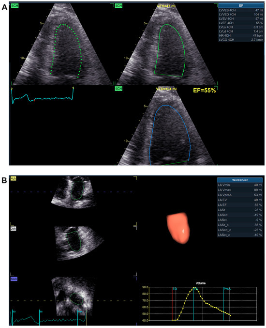
2.2. Sample and Data Collection
2.3. Hepatic Disease
2.4. Statistical Analysis
3. Results
4. Discussion
Limitations of Our Study
5. Conclusions
Author Contributions
Funding
Institutional Review Board Statement
Informed Consent Statement
Data Availability Statement
Acknowledgments
Conflicts of Interest
Appendix A
References
- Van Gelder, I.C.; Rienstra, M.; Bunting, K.V.; Casado-Arroyo, R.; Caso, V.; Crijns, H.J.G.M.; De Potter, T.J.R.; Dwight, J.; Guasti, L.; Hanke, T.; et al. 2024 ESC Guidelines for the management of atrial fibrillation developed in collaboration with the European Association for Cardio-Thoracic Surgery (EACTS). Eur. Heart J. 2024, 45, 3314–3414. [Google Scholar] [CrossRef]
- Bizhanov, K.A.; Abzaliyev, K.B.; Baimbetov, A.K.; Sarsenbayeva, A.B.; Lyan, E. Atrial fibrillation: Epidemiology, pathophysiology, and clinical complications (literature review). J. Cardiovasc. Electrophysiol. 2023, 34, 153–165. [Google Scholar] [CrossRef] [PubMed]
- Linz, D.; Gawalko, M.; Betz, K.; Hendriks, J.M.; Lip, G.Y.H.; Vinter, N.; Guo, Y.; Johnsen, S. Atrial fibrillation: Epidemiology, screening and digital health. Lancet Reg. Health Eur. 2024, 37, 100786. [Google Scholar] [CrossRef]
- Escudero-Martínez, I.; Morales-Caba, L.; Segura, T. Atrial fibrillation and stroke: A review and new insights. Trends Cardiovasc. Med. 2023, 33, 23–29. [Google Scholar] [CrossRef] [PubMed]
- Glikson, M.; Nielsen, J.C.; Kronborg, M.B.; Michowitz, Y.; Auricchio, A.; Barbash, I.M.; Barrabés, J.A.; Boriani, G.; Braunschweig, F.; Brignole, M.; et al. 2021 ESC Guidelines on cardiac pacing and cardiac resynchronization therapy. Europace 2024, 24, 71–164. [Google Scholar] [CrossRef] [PubMed]
- Chen-Scarabelli, C.; Scarabelli, T.M.; Ellenbogen, K.A.; Halperin, J.L. Device-detected atrial fibrillation: What to do with asymptomatic patients? J. Am. Coll. Cardiol. 2015, 65, 281–294. [Google Scholar] [CrossRef]
- Boriani, G.; Glotzer, T.V.; Santini, M.; West, T.M.; De Melis, M.; Sepsi, M.; Gasparini, M.; Lewalter, T.; Camm, J.A.; Singer, D.E. Device-detected atrial fibrillation and risk for stroke: An analysis of >10,000 patients from the SOS AF project (Stroke preventiOn Strategies based on Atrial Fibrillation information from implanted devices). Eur. Heart J. 2014, 35, 508–516. [Google Scholar] [CrossRef]
- Proietti, M.; Romiti, G.F.; Vitolo, M.; Borgi, M.; Rocco, A.D.; Farcomeni, A.; Miyazawa, K.; Healey, J.S.; Lane, D.A.; Boriani, G.; et al. Epidemiology of subclinical atrial fibrillation in patients with cardiac implantable electronic devices: A systematic review and meta-regression. Eur. J. Intern. Med. 2022, 103, 84–94. [Google Scholar] [CrossRef]
- Van Gelder, I.C.; Healey, J.S.; Crijns, H.J.G.M.; Wang, J.; Hohnloser, S.H.; Gold, M.R.; Capucci, A.; Lau, C.P.; Morillo, C.A.; Hobbelt, A.H.; et al. Duration of device-detected subclinical atrial fibrillation and occurrence of stroke in ASSERT. Eur. Heart J. 2017, 38, 1339–1344. [Google Scholar] [CrossRef]
- Kaszala, K.; Ellenbogen, K.A. Device sensing: Sensors and algorithms for pacemakers and implantable cardioverter defibrillators. Circulation 2010, 122, 1328–1340. [Google Scholar] [CrossRef]
- Kim, M.; Kang, Y.; You, S.C.; Park, H.D.; Lee, S.S.; Kim, T.H.; Yu, H.T.; Choi, E.K.; Park, H.S.; Park, J.; et al. Artificial intelligence predicts clinically relevant atrial high-rate episodes in patients with cardiac implantable electronic devices. Sci. Rep. 2022, 12, 37. [Google Scholar] [CrossRef] [PubMed]
- Mukherjee, R.K.; Sohal, M.; Shanmugam, N.; Pearse, S.; Jouhra, F. Successful Identification of and Discrimination Between Atrial and Ventricular Arrhythmia with the Aid of Pacing and Defibrillator Devices. Arrhythmia Electrophysiol. Rev. 2021, 10, 235–240. [Google Scholar] [CrossRef] [PubMed]
- Wijarnpreecha, K.; Boonpheng, B.; Thongprayoon, C.; Jaruvongvanich, V.; Ungprasert, P. The association between non-alcoholic fatty liver disease and atrial fibrillation: A meta-analysis. Clin. Res. Hepatol. Gastroenterol. 2017, 41, 525–532. [Google Scholar] [CrossRef]
- Kang, M.K.; Park, J.G.; Kim, M.C. Association between Atrial Fibrillation and Advanced Liver Fibrosis in Patients with Non-Alcoholic Fatty Liver Disease. Yonsei Med. J. 2020, 61, 860–867. [Google Scholar] [CrossRef]
- Haghbin, H.; Gangwani, M.K.; Ravi, S.J.K.; Perisetti, A.; Aziz, M.; Goyal, H.; Nawras, A.; Sodeman, T. Nonalcoholic fatty liver disease and atrial fibrillation: Possible pathophysiological links and therapeutic interventions. Ann. Gastroenterol. 2020, 33, 603–614. [Google Scholar] [CrossRef]
- Decoin, R.; Butruille, L.; Defrancq, T.; Robert, J.; Destrait, N.; Coisne, A.; Aghezzaf, S.; Woitrain, E.; Gouda, Z.; Schino, S.; et al. High liver fibrosis scores in metabolic dysfunction-associated fatty liver disease patients are associated with adverse atrial remodeling and atrial fibrillation recurrence following catheter ablation. Front. Endocrinol. 2022, 13, 957245. [Google Scholar] [CrossRef]
- van Kleef, L.A.; Lu, Z.; Ikram, M.A.; de Groot, N.M.S.; Kavousi, M.; de Knegt, R.J. Liver stiffness not fatty liver disease is associated with atrial fibrillation: The Rotterdam study. J. Hepatol. 2022, 77, 931–938. [Google Scholar] [CrossRef] [PubMed]
- Liu, X.; Chen, W.; Shao, W.; Jiang, Y.; Cao, Z.; He, W.; Wu, M.; Chen, Z.; Ma, J.; Chen, Y.; et al. Liver fibrosis scores and atrial fibrillation incidence in heart failure with preserved ejection fraction. ESC Heart Fail. 2022, 9, 3985–3994. [Google Scholar] [CrossRef]
- Cîrstea, I.M.; Mîndrilă, B.; Țieranu, E.; Țieranu, L.M.; Istrătoaie, O.; Militaru, C.; Donoiu, I. Overview of Non-Vitamin K Oral Anticoagulants. Farm. J. 2020, 68, 206–212. [Google Scholar] [CrossRef]
- McIntyre, W.F.; Benz, A.P.; Becher, N.; Healey, J.S.; Granger, C.B.; Rivard, L.; Camm, A.J.; Goette, A.; Zapf, A.; Alings, M.; et al. Direct Oral Anticoagulants for Stroke Prevention in Patients with Device-Detected Atrial Fibrillation: A Study-Level Meta-Analysis of the NOAH-AFNET 6 and ARTESiA Trials. Circulation 2024, 149, 981–988. [Google Scholar] [CrossRef]
- Wu, Z.; Chen, X.; Ge, J.; Su, Y. The risk factors of new-onset atrial fibrillation after pacemaker implantation. Herz 2021, 46, 61–68. [Google Scholar] [CrossRef] [PubMed]
- Cheung, J.W.; Keating, R.J.; Stein, K.M.; Markowitz, S.M.; Iwai, S.; Shah, B.K.; Lerman, B.B.; Mittal, S. Newly detected atrial fibrillation following dual chamber pacemaker implantation. J. Cardiovasc. Electrophysiol. 2006, 17, 1323–1328. [Google Scholar] [CrossRef]
- Orlov, M.V.; Ghali, J.K.; Araghi-Niknam, M.; Sherfesee, L.; Sahr, D.; Hettrick, D.A.; Atrial High Rate Trial Investigators. Asymptomatic atrial fibrillation in pacemaker recipients: Incidence, progression, and determinants based on the atrial high rate trial. Pacing Clin. Electrophysiol. PACE 2007, 30, 404–411. [Google Scholar] [CrossRef] [PubMed]
- Radeljić, V.; Pavlović, N.; Manola, Š.; Delić-Brkljačić, D.; Pintarić, H.; Petrač, D. Incidence and predictors of asymptomatic atrial fibrillation in patients older than 70 years with complete atrioventricular block and dual chamber pacemaker implantation. Croat. Med. J. 2011, 52, 61–67. [Google Scholar] [CrossRef] [PubMed]
- Ogino, Y.; Ishikawa, T.; Ishigami, T.; Matsumoto, K.; Hosoda, J.; Iguchi, K.; Matsushita, H.; Taguchi, Y.; Horiguchi, Y.; Kimura, K. Characteristics and Prognosis of Pacemaker-Identified New-Onset Atrial Fibrillation in Japanese People. Circ. J. Off. J. Jpn. Circ. Soc. 2017, 81, 794–798. [Google Scholar] [CrossRef]
- Kannel, W.B.; Abbott, R.D.; Savage, D.D.; McNamara, P.M. Coronary heart disease and atrial fibrillation: The Framingham Study. Am. Heart J. 1983, 106, 389–396. [Google Scholar] [CrossRef]
- Harmon, D.M.; Sehrawat, O.; Maanja, M.; Wight, J.; Noseworthy, P.A. Artificial Intelligence for the Detection and Treatment of Atrial Fibrillation. Arrhythmia Electrophysiol. Rev. 2023, 12, e12. [Google Scholar] [CrossRef]
- Belkin, M.N.; Soria, C.E.; Waldo, A.L.; Borleffs, C.J.W.; Hayes, D.L.; Tung, R.; Singh, J.P.; Upadhyay, G.A. Incidence and Clinical Significance of New-Onset Device-Detected Atrial Tachyarrhythmia: A Meta-Analysis. Circ. Arrhythmia Electrophysiol. 2018, 11, e005393. [Google Scholar] [CrossRef] [PubMed]
- Himmelreich, J.C.L.; Lucassen, W.A.M.; Harskamp, R.E.; Aussems, C.; van Weert, H.C.P.M.; Nielen, M.M.J. CHARGE-AF in a national routine primary care electronic health records database in the Netherlands: Validation for 5-year risk of atrial fibrillation and implications for patient selection in atrial fibrillation screening. Open Heart 2021, 8, e001459. [Google Scholar] [CrossRef]
- Magnussen, C.; Niiranen, T.J.; Ojeda, F.M.; Gianfagna, F.; Blankenberg, S.; Njølstad, I.; Vartiainen, E.; Sans, S.; Pasterkamp, G.; Hughes, M.; et al. Sex Differences and Similarities in Atrial Fibrillation Epidemiology, Risk Factors, and Mortality in Community Cohorts: Results from the BiomarCaRE Consortium (Biomarker for Cardiovascular Risk Assessment in Europe). Circulation 2017, 136, 1588–1597. [Google Scholar] [CrossRef]
- Sweeney, M.O.; Hellkamp, A.S.; Ellenbogen, K.A.; Greenspon, A.J.; Freedman, R.A.; Lee, K.L.; Lamas, G.A.; MOde Selection Trial Investigators. Adverse effect of ventricular pacing on heart failure and atrial fibrillation among patients with normal baseline QRS duration in a clinical trial of pacemaker therapy for sinus node dysfunction. Circulation 2003, 107, 2932–2937. [Google Scholar] [CrossRef] [PubMed]
- Nielsen, J.C.; Kristensen, L.; Andersen, H.R.; Mortensen, P.T.; Pedersen, O.L.; Pedersen, A.K. A randomized comparison of atrial and dual-chamber pacing in 177 consecutive patients with sick sinus syndrome: Echocardiographic and clinical outcome. J. Am. Coll. Cardiol. 2003, 42, 614–623. [Google Scholar] [CrossRef] [PubMed]
- Elkayam, L.U.; Koehler, J.L.; Sheldon, T.J.; Glotzer, T.V.; Rosenthal, L.S.; Lamas, G.A. The influence of atrial and ventricular pacing on the incidence of atrial fibrillation: A meta-analysis. Pacing Clin. Electrophysiol. PACE 2011, 34, 1593–1599. [Google Scholar] [CrossRef]
- Hjortshøj, S.; Riahi, S.; Nielsen, J.C.; Skjøth, F.; Lundbye-Christensen, S.; Andersen, H.R.; DANPACE Investigators. Does atrial pacing lead to atrial fibrillation in patients with sick sinus syndrome? Insights from the DANPACE trial. Europace 2014, 16, 241–245. [Google Scholar] [CrossRef] [PubMed]
- Hayashi, K.; Abe, H.; Olshansky, B.; Sharma, A.D.; Jones, P.W.; Wold, N.; Perschbacher, D.; Kohno, R.; Richards, M.; Wilkoff, B.L. Initial heart rate score predicts new-onset atrial tachyarrhythmias in pacemaker patients. Europace 2023, 25, euad242. [Google Scholar] [CrossRef]
- Hayashi, K.; Abe, H.; Olshansky, B.; Sharma, A.D.; Jones, P.W.; Wold, N.; Perschbacher, D.; Kohno, R.; Lip, G.Y.H.; Varma, N.; et al. High initial heart rate score is an independent predictor of new atrial high-rate episodes in pacemaker patients with sinus node dysfunction. Heart Rhythm 2024, 21, 2543–2551. [Google Scholar] [CrossRef]
- Mozaffarian, D.; Benjamin, E.J.; Go, A.S.; Arnett, D.K.; Blaha, M.J.; Cushman, M.; Das, S.R.; de Ferranti, S.; Després, J.P.; Fullerton, H.J.; et al. Heart Disease and Stroke Statistics-2016 Update: A Report From the American Heart Association. Circulation 2016, 133, e38–e360. [Google Scholar] [CrossRef]
- Swiryn, S.; Orlov, M.V.; Benditt, D.G.; DiMarco, J.P.; Lloyd-Jones, D.M.; Karst, E.; Qu, F.; Slawsky, M.T.; Turkel, M.; Waldo, A.L.; et al. Clinical Implications of Brief Device-Detected Atrial Tachyarrhythmias in a Cardiac Rhythm Management Device Population: Results from the Registry of Atrial Tachycardia and Atrial Fibrillation Episodes. Circulation 2016, 134, 1130–1140. [Google Scholar] [CrossRef]
- Chen, Z.; Liu, J.; Zhou, F.; Li, H.; Zhang, X.J.; She, Z.G.; Lu, Z.; Cai, J.; Li, H. Nonalcoholic Fatty Liver Disease: An Emerging Driver of Cardiac Arrhythmia. Circ. Res. 2021, 128, 1747–1765. [Google Scholar] [CrossRef]
- Zhong, B.; Xie, Z.; Zhang, J.; Xie, X.; Xie, Y.; Xie, B.; Wang, J.; Liu, C. Identification of key genes increasing susceptibility to atrial fibrillation in nonalcoholic fatty liver disease and the potential mechanisms: Mitochondrial dysfunction and systemic inflammation. Front. Pharmacol. 2024, 15, 1360974. [Google Scholar] [CrossRef]
- Chen, Z.; Tian, R.; She, Z.; Cai, J.; Li, H. Role of oxidative stress in the pathogenesis of nonalcoholic fatty liver disease. Free Radic. Biol. Med. 2020, 152, 116–141. [Google Scholar] [CrossRef] [PubMed]
- Lkhagva, B.; Lin, Y.K.; Chen, Y.C.; Cheng, W.L.; Higa, S.; Kao, Y.H.; Chen, Y.J. ZFHX3 knockdown dysregulates mitochondrial adaptations to tachypacing in atrial myocytes through enhanced oxidative stress and calcium overload. Acta Physiol. 2021, 231, e13604. [Google Scholar] [CrossRef]
- Liu, C.; Bai, J.; Dan, Q.; Yang, X.; Lin, K.; Fu, Z.; Lu, X.; Xie, X.; Liu, J.; Fan, L.; et al. Mitochondrial Dysfunction Contributes to Aging-Related Atrial Fibrillation. Oxidative Med. Cell. Longev. 2021, 2021, 5530293. [Google Scholar] [CrossRef]
- Lawal, O.D.; Aronow, H.D.; Shobayo, F.; Hume, A.L.; Taveira, T.H.; Matson, K.L.; Zhang, Y.; Wen, X. Comparative Effectiveness and Safety of Direct Oral Anticoagulants and Warfarin in Patients with Atrial Fibrillation and Chronic Liver Disease: A Nationwide Cohort Study. Circulation 2023, 147, 782–794. [Google Scholar] [CrossRef] [PubMed]
- Lee, Z.Y.; Suah, B.H.; Teo, Y.H.; Teo, Y.N.; Syn, N.L.X.; Yeo, T.C.; Wong, R.C.C.; Chai, P.; Wong, Y.J.; Ho, J.S.Y.; et al. Comparison of the Efficacy and Safety of Direct Oral Anticoagulants and Vitamin K Antagonists in Patients with Atrial Fibrillation and Concomitant Liver Cirrhosis: A Systematic Review and Meta-Analysis. Am. J. Cardiovasc. Drugs Drugs Devices Other Interv. 2022, 22, 157–165. [Google Scholar] [CrossRef]
- Aggarwal, R.; Ruff, C.T.; Virdone, S.; Perreault, S.; Kakkar, A.K.; Palazzolo, M.G.; Dorais, M.; Kayani, G.; Singer, D.E.; Secemsky, E.; et al. Development and Validation of the DOAC Score: A Novel Bleeding Risk Prediction Tool for Patients with Atrial Fibrillation on Direct-Acting Oral Anticoagulants. Circulation 2023, 148, 936–946. [Google Scholar] [CrossRef] [PubMed]
- Zhao, Y.; Zhu, L.; Yang, Y.; Gao, H.; Zhang, R. Safety of direct oral anticoagulants in patients with liver disease: A systematic review and meta-analysis. Acta Clin. Belg. 2023, 78, 234–244. [Google Scholar] [CrossRef]
- De Maria, C.; Galante, A.; Fasoli, A.; De Gottardi, A. When and how to use direct oral anticoagulants in patients with advanced chronic liver disease? Curr. Opin. Pharmacol. 2021, 60, 111–116. [Google Scholar] [CrossRef]
- Hu, T.; Li, Y.H.; Han, W.Q.; Maduray, K.; Chen, T.S.; Hao, L.; Zhong, J.Q. Direct Oral Anticoagulants versus Vitamin K Antagonists in Cirrhotic Patients with Atrial Fibrillation: Update of Systematic Review and Meta-Analysis. Am. J. Cardiovasc. Drugs Drugs Devices Other Interv. 2023, 23, 683–694. [Google Scholar] [CrossRef]






| Variable Baseline Features | Atrial Fibrillation | Without Atrial Fibrillation | p-Value | |
|---|---|---|---|---|
| Gender | Male | 16 (14.04%) | 98 (85.96%) | >0.9999 |
| Female | 10 (14.71%) | 58 (85.29%) | ||
| Age (years) | 77.31 ± 7.092 | 72.4 ± 8.015 | 0.0038 # | |
| Hypertension | 1/2 | 8 (13.33%) | 52 (86.67%) | >0.9999 |
| 3 | 18 (14.75%) | 105 (85.25%) | ||
| Heart failure | NYHA I/II | 14 (10.29%) | 122 (89.71%) | 0.0135 * |
| NYHA III/IV | 12 (26.09%) | 34 (73.91%) | ||
| Pacing mode | DDD | 14 (10.14%) | 126 (89.86%) | 0.0112 * |
| DDDR | 12 (27.27%) | 32 (72.73%) | ||
| QRS duration (ms) | 147.4 ± 12.99 | 144.5 ± 8.501 | 0.481 | |
| Hepatic impairment | Yes | 12 (35.29%) | 22 (64.71%) | 0.0004 * |
| No | 14 (9.46%) | 134 (90.54%) | ||
| Echo parameters | LVEF (%) | 52.96 ± 4.306 | 54.27 ± 2.796 | 0.3309 |
Disclaimer/Publisher’s Note: The statements, opinions and data contained in all publications are solely those of the individual author(s) and contributor(s) and not of MDPI and/or the editor(s). MDPI and/or the editor(s) disclaim responsibility for any injury to people or property resulting from any ideas, methods, instructions or products referred to in the content. |
© 2025 by the authors. Licensee MDPI, Basel, Switzerland. This article is an open access article distributed under the terms and conditions of the Creative Commons Attribution (CC BY) license (https://creativecommons.org/licenses/by/4.0/).
Share and Cite
Ungureanu, A.-I.; Târtea, G.; Docea, A.O.; Negroiu, C.E.; Marginean, C.M.; Mitruț, R.; Deutsch, M.-C.; Țieranu, E.; Vătășescu, R.-G.; Mitruț, P. New-Onset Atrial Fibrillation in Patients with Pacemakers and the Implications of Hepatic Impairment. Life 2025, 15, 450. https://doi.org/10.3390/life15030450
Ungureanu A-I, Târtea G, Docea AO, Negroiu CE, Marginean CM, Mitruț R, Deutsch M-C, Țieranu E, Vătășescu R-G, Mitruț P. New-Onset Atrial Fibrillation in Patients with Pacemakers and the Implications of Hepatic Impairment. Life. 2025; 15(3):450. https://doi.org/10.3390/life15030450
Chicago/Turabian StyleUngureanu, Adrian-Ionuț, Georgică Târtea, Anca Oana Docea, Cristina Elena Negroiu, Cristina Maria Marginean, Radu Mitruț, Marina-Carmen Deutsch, Eugen Țieranu, Radu-Gabriel Vătășescu, and Paul Mitruț. 2025. "New-Onset Atrial Fibrillation in Patients with Pacemakers and the Implications of Hepatic Impairment" Life 15, no. 3: 450. https://doi.org/10.3390/life15030450
APA StyleUngureanu, A.-I., Târtea, G., Docea, A. O., Negroiu, C. E., Marginean, C. M., Mitruț, R., Deutsch, M.-C., Țieranu, E., Vătășescu, R.-G., & Mitruț, P. (2025). New-Onset Atrial Fibrillation in Patients with Pacemakers and the Implications of Hepatic Impairment. Life, 15(3), 450. https://doi.org/10.3390/life15030450

