MR T2* Map to Predict Worsening Hypertension Control: A Preliminary Study
Abstract
1. Introduction
2. Materials and Methods
2.1. Subjects
2.2. MRI Studies
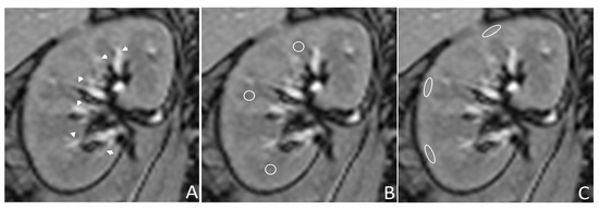
2.3. Imaging Interpretation
2.4. Cohort Follow-Up Evaluation
2.5. Statistical Analysis
3. Results
3.1. Subject Characteristics
3.2. Antihypertensive Drugs Used in Each Subgroup
3.3. Intra-Observer and Inter-Observer Reliability for R2* Values Measurement
3.4. R2* Values in Each Subgroup
3.5. R2* Value and Treatment Modification Follow-Up Study
4. Discussion
- Masked Uncontrolled Hypertension: Normotensive in-office but high BP outside. Office BP measurements provide a snapshot and do not capture daily variability [24].
- Disease Progression: Some patients experienced worsening renal function despite controlled BP, suggesting antihypertensive therapies did not reverse renal hypoxia, possibly due to small renal vessel remodeling [13,26,27,28]. Patients with masked uncontrolled hypertension had higher renal function deterioration rates, indicating underlying renal hypoxia [29,30].
5. Conclusions
Author Contributions
Funding
Institutional Review Board Statement
Informed Consent Statement
Data Availability Statement
Acknowledgments
Conflicts of Interest
References
- Mimura, I.; Nangaku, M. The suffocating kidney: Tubulointerstitial hypoxia in end-stage renal disease. Nat. Rev. Nephrol. 2010, 6, 667–678. [Google Scholar] [CrossRef] [PubMed]
- Palm, F.; Nordquist, L. Renal oxidative stress, oxygenation, and hypertension. Am. J. Physiol. Regul. Integr. Comp. Physiol. 2011, 301, R1229–R1241. [Google Scholar] [CrossRef] [PubMed]
- Hansell, P.; Welch, W.J.; Blantz, R.C.; Palm, F. Determinants of kidney oxygen consumption and their relationship to tissue oxygen tension in diabetes and hypertension. Clin. Exp. Pharmacol. Physiol. 2013, 40, 123–137. [Google Scholar] [CrossRef]
- Millatt, L.J.; Abdel-Rahman, E.M.; Siragy, H.M. Angiotensin II and nitric oxide: A question of balance. Regul. Pept. 1999, 81, 1–10. [Google Scholar] [CrossRef] [PubMed]
- Pruijm, M.; Hofmann, L.; Vogt, B.; Muller, M.E.; Piskunowicz, M.; Stuber, M.; Burnier, M. Renal tissue oxygenation in essential hypertension and chronic kidney disease. Int. J. Hypertens. 2013, 2013, 696598. [Google Scholar] [CrossRef] [PubMed]
- Mennuni, S.; Rubattu, S.; Pierelli, G.; Tocci, G.; Fofi, C.; Volpe, M. Hypertension and kidneys: Unraveling complex molecular mechanisms underlying hypertensive renal damage. J. Hum. Hypertens. 2014, 28, 74–79. [Google Scholar] [CrossRef]
- Duprez, D.A. Role of the renin–angiotensin–aldosterone system in vascular remodeling and inflammation: A clinical review. J. Hypertens. 2006, 24, 983–991. [Google Scholar] [CrossRef]
- Unger, T.; Borghi, C.; Charchar, F.; Khan, N.A.; Poulter, N.R.; Prabhakaran, D.; Ramirez, A.; Schlaich, M.; Stergiou, G.S.; Tomaszewski, M.; et al. 2020 International Society of Hypertension Global Hypertension Practice Guidelines. Hypertension 2020, 75, 1334–1357. [Google Scholar] [CrossRef] [PubMed]
- Wilkinson, R. β-Blockers and renal function. Drugs 1982, 23, 195–206. [Google Scholar] [CrossRef] [PubMed]
- Chan, L.; Schrier, R.W. Effects of calcium channel blockers on renal function. Annu. Rev. Med. 1990, 41, 289–302. [Google Scholar] [CrossRef]
- Bell, R.; Mandalia, R. Diuretics and the kidney. BJA Educ. 2022, 22, 216–223. [Google Scholar] [CrossRef] [PubMed]
- Kario, K.; Shimbo, D.; Hoshide, S.; Wang, J.G.; Asayama, K.; Ohkubo, T.; Imai, Y.; McManus, R.J.; Kollias, A.; Niiranen, T.J.; et al. Emergence of Home Blood Pressure-Guided Management of Hypertension Based on Global Evidence. Hypertension 2019, 74, 229–236. [Google Scholar] [CrossRef] [PubMed]
- Rostand, S.G.; Brown, G.; Kirk, K.A.; Rutsky, E.A.; Dustan, H.P. Renal insufficiency in treated essential hypertension. N. Engl. J. Med. 1989, 320, 684–688. [Google Scholar] [CrossRef] [PubMed]
- Prasad, P.V.; Li, L.-P.; Hack, B.; Leloudas, N.; Sprague, S.M. Quantitative blood oxygenation level dependent magnetic resonance imaging for estimating intra-renal oxygen availability demonstrates kidneys are hypoxemic in human CKD. Kidney Int. Rep. 2023, 8, 1057–1067. [Google Scholar] [CrossRef]
- Prasad, P.V.; Edelman, R.R.; Epstein, F.H. Noninvasive evaluation of intrarenal oxygenation with BOLD MRI. Circulation 1996, 94, 3271–3275. [Google Scholar] [CrossRef] [PubMed]
- Ogawa, S.; Lee, T.-M.; Kay, A.R.; Tank, D.W. Brain magnetic resonance imaging with contrast dependent on blood oxygenation. Proc. Natl. Acad. Sci. USA 1990, 87, 9868–9872. [Google Scholar] [CrossRef] [PubMed]
- Gloviczki, M.L.; Lerman, L.O.; Textor, S.C. Blood oxygen level–dependent (BOLD) MRI in renovascular hypertension. Curr. Hypertens. Rep. 2011, 13, 370. [Google Scholar] [CrossRef]
- Wang, Z.J.; Kumar, R.; Banerjee, S.; Hsu, C.Y. Blood oxygen level-dependent (BOLD) MRI of diabetic nephropathy: Preliminary experience. J. Magn. Reson. Imaging 2011, 33, 655–660. [Google Scholar] [CrossRef] [PubMed]
- Li, C.; Liu, H.; Li, X.; Zhou, L.; Wang, R.; Zhang, Y. Application of BOLD-MRI in the classification of renal function in chronic kidney disease. Abdom. Radiol. 2019, 44, 604–611. [Google Scholar] [CrossRef]
- Pruijm, M.; Hofmann, L.; Zanchi, A.; Maillard, M.; Forni, V.; Muller, M.-E.; Wuerzner, G.; Vogt, B.; Stuber, M.; Burnier, M. Blockade of the renin–angiotensin system and renal tissue oxygenation as measured with BOLD-MRI in patients with type 2 diabetes. Diabetes Res. Clin. Pract. 2013, 99, 136–144. [Google Scholar] [CrossRef] [PubMed]
- Beland, M.D.; Walle, N.L.; Machan, J.T.; Cronan, J.J. Renal cortical thickness measured at ultrasound: Is it better than renal length as an indicator of renal function in chronic kidney disease? Am. J. Roentgenol. 2010, 195, W146–W149. [Google Scholar] [CrossRef]
- Hall, J.E. Control of blood pressure by the renin-angiotensin-aldosterone system. Clin. Cardiol. 1991, 14, 6–21. [Google Scholar] [CrossRef]
- Valenzuela, P.L.; Carrera-Bastos, P.; Gálvez, B.G.; Ruiz-Hurtado, G.; Ordovas, J.M.; Ruilope, L.M.; Lucia, A. Lifestyle interventions for the prevention and treatment of hypertension. Nat. Rev. Cardiol. 2021, 18, 251–275. [Google Scholar] [CrossRef]
- Lin, H.-J.; Wang, T.-D.; Chen, M.Y.-C.; Hsu, C.-Y.; Wang, K.-L.; Huang, C.-C.; Hsieh, M.-J.; Chiu, Y.-W.; Chiang, L.-T.; Chuang, W.-P. 2020 consensus statement of the taiwan hypertension society and the taiwan society of cardiology on home blood pressure monitoring for the management of arterial hypertension. Acta Cardiol. Sin. 2020, 36, 537. [Google Scholar]
- Koo, T.K.; Li, M.Y. A Guideline of Selecting and Reporting Intraclass Correlation Coefficients for Reliability Research. J. Chiropr. Med. 2016, 15, 155–163. [Google Scholar] [CrossRef] [PubMed]
- Schiffrin, E.L. Vascular remodeling in hypertension: Mechanisms and treatment. Hypertension 2012, 59, 367–374. [Google Scholar] [CrossRef]
- Mulvany, M.J. Small artery remodeling and significance in the development of hypertension. Physiology 2002, 17, 105–109. [Google Scholar] [CrossRef] [PubMed]
- Fagard, R.H.; Cornelissen, V.A. Incidence of cardiovascular events in white-coat, masked and sustained hypertension versus true normotension: A meta-analysis. J. Hypertens. 2007, 25, 2193–2198. [Google Scholar] [CrossRef]
- Wang, C.; Zhang, J.; Li, Y.; Ma, X.; Ye, Z.; Peng, H.; Lou, T. Masked hypertension, rather than white-coat hypertension, has a prognostic role in patients with non-dialysis chronic kidney disease. Int. J. Cardiol. 2017, 230, 33–39. [Google Scholar] [CrossRef]
- Fine, L.G.; Norman, J.T. Chronic hypoxia as a mechanism of progression of chronic kidney diseases: From hypothesis to novel therapeutics. Kidney Int. 2008, 74, 867–872. [Google Scholar] [CrossRef]
- JCS Joint Working Group. Guidelines for the clinical use of 24 h ambulatory blood pressure monitoring (ABPM) (JCS 2010). Circ. J. 2012, 76, 508–519. [Google Scholar]
- Jing, Z.; Wang, G.; Li, Z.; Wu, S.; Qiu, X.; Huang, R.J. Association of blood pressure variability with target organ damage in older patients with essential hypertension. Chronic Dis. Transl. Med. 2023, 9, 320–328. [Google Scholar] [CrossRef]
- Lacey, J.; Corbett, J.; Forni, L.; Hooper, L.; Hughes, F.; Minto, G.; Moss, C.; Price, S.; Whyte, G.; Woodcock, T. A multidisciplinary consensus on dehydration: Definitions, diagnostic methods and clinical implications. Ann. Med. 2019, 51, 232–251. [Google Scholar] [CrossRef]
- Hall, M.E.; Rocco, M.V.; Morgan, T.M.; Hamilton, C.A.; Jordan, J.H.; Edwards, M.S.; Hall, J.E.; Hundley, W.G. Beta-blocker use is associated with higher renal tissue oxygenation in hypertensive patients suspected of renal artery stenosis. Cardiorenal Med. 2016, 6, 261–268. [Google Scholar] [CrossRef] [PubMed]
- Izuhara, Y.; Nangaku, M.; Inagi, R.; Tominaga, N.; Aizawa, T.; Kurokawa, K.; De Strihou, C.V.Y.; Miyata, T. Renoprotective properties of angiotensin receptor blockers beyond blood pressure lowering. J. Am. Soc. Nephrol. 2005, 16, 3631–3641. [Google Scholar] [CrossRef] [PubMed]
- Pruijm, M.; Hofmann, L.; Piskunowicz, M.; Muller, M.-E.; Zweiacker, C.; Bassi, I.; Vogt, B.; Stuber, M.; Burnier, M. Determinants of renal tissue oxygenation as measured with BOLD-MRI in chronic kidney disease and hypertension in humans. PLoS ONE 2014, 9, e95895. [Google Scholar] [CrossRef] [PubMed]
- Prasad, P.V.; Epstein, F.H. Changes in renal medullary pO2 during water diuresis as evaluated by blood oxygenation level–dependent magnetic resonance imaging: Effects of aging and cyclooxygenase inhibition. Kidney Int. 1999, 55, 294–298. [Google Scholar] [CrossRef]



| Normotensive Group (n = 53) | Hypertensive Group (n = 87) | p-Value | |
|---|---|---|---|
| Age (years) | 52.5 ± 13.1 | 64.9 ± 10.3 | <0.001 * |
| Gender ratio (Male/Female) | 29/24 | 59/28 | 0.12 |
| Creatinine (mg/dL) | 0.77 [0.70–0.93] | 0.94 [0.79–1.18] | <0.001 * |
| eGFR (mL/min/1.73 m2) | 90.1 ± 17.0 | 74.8 ± 20.9 | <0.001 * |
| Normotensive Group | Hypertensive Group | p-Value | Hypertensive Subgroups | |||||||
|---|---|---|---|---|---|---|---|---|---|---|
| Non-Med Subgroup | ARB Subgroup | Non-ARB Subgroup | p-Value | |||||||
| Good Control | Poor Control | Good Control | Poor Control | Good Control | Poor Control | |||||
| CR2* | 12.74 ± 0.94 | 12.73 ± 0.80 | 0.93 | 13.07 ± 0.95 | 12.82 ± 0.46 | 12.75 ± 0.80 | 12.37 ± 0.80 | 12.62 ± 0.71 | 13.04 ± 0.94 | 0.102 |
| MR2* | 17.48 ± 2.10 | 16.61 ± 1.56 | 0.006 * | 17.46 ± 1.28 | 16.41 ± 1.47 | 17.12 ± 1.03 | 16.12 ± 1.36 | 16.41 ± 1.26 | 16.76 ± 2.40 | 0.215 |
| Follow-Up Hypertensive Subgroups | |||||||||
|---|---|---|---|---|---|---|---|---|---|
| All | Merged Non-Med with ARB Subgroup | Non-ARB Subgroup | |||||||
| Stable Subgroup (n = 29) | Unstable Subgroup (n = 19) | p-Value | Stable Subgroup (n = 18) | Unstable Subgroup (n = 11) | p-Value | Stable Subgroup (n = 11) | Unstable Subgroup (n = 8) | p-Value | |
| Age (years) | 65.4 ± 12.2 | 67.2 ± 10.6 | 0.64 | 63.2 ± 12.1 | 65.7 ± 9.1 | 0.71 | 69.0 ± 12.0 | 69.3 ± 12.8 | 0.97 |
| Gender ratio (Male/Female) | 21/8 | 11/8 | 0.30 | 13/5 | 6/5 | 0.33 | 8/3 | 5/3 | 0.64 |
| Creatinine (mg/dL) | 10.5 ± 0.33 | 0.93 ± 0.34 | 0.13 | 1.04 ± 0.34 | 0.96 ± 0.42 | 0.28 | 1.07 ± 0.33 | 0.89 ± 0.19 | 0.27 |
| eGFR (mL/min/1.73 m2) | 72.2 ± 22.0 | 79.0 ± 21.6 | 0.3 | 73.2 ± 21.1 | 78.1 ± 23.1 | 0.47 | 70.5 ± 24.3 | 80.3 ± 20.7 | 0.4 |
| MR2* | 16.18 ± 1.53 | 17.33 ± 1.64 | 0.02 * | 16.20 ± 1.23 | 17.60 ± 1.41 | 0.007 * | 16.15 ± 2.00 | 16.95 ± 1.96 | 0.6 |
| Merged Non-Med with ARB Subgroup | ||||||
|---|---|---|---|---|---|---|
| Good Control (n = 14) | Poor Control (n = 15) | |||||
| Stable Subgroup (n = 8) | Unstable Subgroup (n = 6) | p-Value | Stable Subgroup (n = 10) | Unstable Subgroup (n = 5) | p-Value | |
| MR2* | 16.84 ± 1.00 | 17.95 ± 0.75 | 0.03 * | 15.69 ± 1.20 | 17.19 ± 1.96 | 0.09 |
Disclaimer/Publisher’s Note: The statements, opinions and data contained in all publications are solely those of the individual author(s) and contributor(s) and not of MDPI and/or the editor(s). MDPI and/or the editor(s) disclaim responsibility for any injury to people or property resulting from any ideas, methods, instructions or products referred to in the content. |
© 2025 by the authors. Licensee MDPI, Basel, Switzerland. This article is an open access article distributed under the terms and conditions of the Creative Commons Attribution (CC BY) license (https://creativecommons.org/licenses/by/4.0/).
Share and Cite
Liu, C.-H.; Chen, J.-H.; Westphalen, A.C.; Chen, C.-M.; Chang, C.-P.; Lin, W.-C. MR T2* Map to Predict Worsening Hypertension Control: A Preliminary Study. Life 2025, 15, 73. https://doi.org/10.3390/life15010073
Liu C-H, Chen J-H, Westphalen AC, Chen C-M, Chang C-P, Lin W-C. MR T2* Map to Predict Worsening Hypertension Control: A Preliminary Study. Life. 2025; 15(1):73. https://doi.org/10.3390/life15010073
Chicago/Turabian StyleLiu, Chun-Hung, Jeon-Hor Chen, Antonio Carlos Westphalen, Chun-Ming Chen, Chih-Ping Chang, and Wei-Ching Lin. 2025. "MR T2* Map to Predict Worsening Hypertension Control: A Preliminary Study" Life 15, no. 1: 73. https://doi.org/10.3390/life15010073
APA StyleLiu, C.-H., Chen, J.-H., Westphalen, A. C., Chen, C.-M., Chang, C.-P., & Lin, W.-C. (2025). MR T2* Map to Predict Worsening Hypertension Control: A Preliminary Study. Life, 15(1), 73. https://doi.org/10.3390/life15010073

