A Method for Real-Time Lung Nodule Instance Segmentation Using Deep Learning
Abstract
1. Introduction
2. Related Work
3. Deep Learning for Lung Nodule Instance Segmentation
- Auto-Orient
- -
- Purpose: Ensures that all images are oriented correctly.
- -
- How It Works: This technique reads the EXIF metadata of the image, which includes the orientation information (e.g., landscape, portrait, upside-down). It then rotates the image accordingly so that it is displayed correctly, regardless of how the photo was taken.
- Resize: Stretch to 640 × 640
- -
- Purpose: Standardizes the size of all images to 640 × 640 pixels.
- -
- How It Works: Each image is resized to fit within a 640 × 640 pixel frame. “Stretch” indicates that the aspect ratio is not preserved, so the image may be distorted to fit the specified dimensions.
- Auto-Adjust Contrast: Using histogram equalization.
- -
- Purpose: Enhances the contrast of the image.
- -
- How It Works: Histogram equalization is a method that adjusts the contrast of an image by redistributing the intensity values. It spreads out the most frequent intensity values, which can enhance the contrast of the image and make features more distinguishable.
- Grayscale
- -
- Purpose: Converts the image to grayscale.
- -
- How It Works: The image is converted from a color image (RGB) to a grayscale image where each pixel represents the intensity of light. This simplifies the image data and can reduce computational complexity while focusing on the structural information of the image.
- Outputs per training example: three.
- -
- Purpose: Generates multiple variations of each training example to increase the dataset’s size and diversity.
- -
- How It Works: For each original image, three different augmented versions are created using the specified augmentation techniques. This helps the model generalize better by exposing it to a wider variety of image transformations.
- Rotation: Between −10° and +10°.
- -
- Purpose: Introduces variability in the orientation of the images.
- -
- How It Works: Each image is randomly rotated by an angle between −10 degrees and +10 degrees. This helps the model become invariant to small rotations and improves its ability to recognize objects from different angles.
- Hue: Between −15° and +15°
- -
- Purpose: Adjusts the color tone of the image.
- -
- How It Works: The hue of the image is randomly adjusted within the specified range. This means that the colors in the image will shift slightly, helping the model learn to recognize objects regardless of slight changes in color.
- Saturation: Between −25% and +25%.
- -
- Purpose: Varies the intensity of colors in the image.
- -
- How It Works: The saturation level of the image is randomly increased or decreased by up to 25%. This means that the colors can become more vibrant or more muted, aiding the model in recognizing objects with different color intensities.
- Brightness: Between −10% and +10%.
- -
- Purpose: Adjusts the brightness of the image.
- -
- How It Works: The brightness of the image is randomly altered within the specified range. This means that the image can become slightly brighter or darker, helping the model handle varying lighting conditions.
- Exposure: Between −15% and +15%.
- -
- Purpose: Simulates changes in exposure.
- -
- How It Works: The exposure of the image is randomly adjusted by up to ±15%. This affects the overall lightness or darkness of the image, helping the model learn to recognize features under different exposure levels.
- Grid Division: YOLO divides the input image into an SxS grid.
- Bounding Box Prediction: Each grid cell predicts a fixed number of bounding boxes. For each bounding box, it predicts the following:
- -
- The coordinates (x, y) of the box center relative to the grid cell.
- -
- The width and height of the box relative to the entire image.
- -
- The confidence score indicating the likelihood of the box containing an object and the accuracy of the box’s location.
- Class Prediction: Each grid cell also predicts the probabilities of each class for the objects it contains.
- Non-Maximum Suppression (NMS): YOLO applies NMS to filter out overlapping boxes, keeping only the most confident
- Backbone: The backbone is a CNN used to extract features from the input image. Common backbones include versions of Darknet (e.g., Darknet-53) for YOLO. The backbone’s purpose is to create a feature map that highlights important features in the image. In this paper, the backbone was obtained via transfer learning using the imagenet dataset.
- Neck: The neck is a series of layers that further process the feature map from the backbone. This typically involves layers like convolutional layers, upsampling, and feature concatenation to ensure that the network captures multi-scale features.
- Feature Pyramid Network (FPN): Often used to improve the model’s ability to detect objects at different scales by combining low-resolution, semantically strong features with high-resolution, semantically weak features.
- Head: The head is responsible for making the final predictions. It outputs a tensor that contains the bounding box coordinates, object confidence scores, and class probabilities for each grid cell.
- Image Input: An image is input into the model and resized to a standard dimension.
- Feature Extraction (Backbone): The image is passed through the backbone CNN, which extracts feature maps.
- Feature Processing (Neck): The feature maps are processed through the neck, enhancing multi-scale feature representation.
- Prediction (Head): The processed feature maps are passed through the head, where the following are performed:
- Bounding box coordinates are predicted.
- Object confidence scores are generated.
- Class probabilities are calculated.
- Postprocessing: Non-maximum suppression (NMS) is applied to remove duplicate detections, retaining the most confident predictions.
- Mask Prediction: Instead of just predicting bounding boxes, additional layers can be added to predict segmentation masks. Each grid cell can output a binary mask that indicates the presence of the object.
- Loss Function: The loss function can be modified to include segmentation mask loss, in addition to the bounding box and classification loss.
- Architectural Adjustments: The network architecture can be adjusted to include upsampling layers and skip connections similar to those used in fully convolutional networks (FCNs) or U-Net, which are common in segmentation tasks.
- Localization loss (bounding box regression loss);
- Confidence loss (objectness loss);
- Classification loss.
- Localization Loss (Bounding Box Regression Loss): This term penalizes errors in the predicted bounding box coordinates and dimensions.
- Confidence Loss (Objectness Loss): This term penalizes errors in the confidence score, which reflects whether an object is present in the predicted bounding box.
- Classification Loss: This term penalizes errors in the predicted class probabilities.
- : indicator function for bounding boxes that contain objects.
- : indicator function for bounding boxes that do not contain objects.
- : weight for localization loss, often set higher to emphasize precise localization.
- : weight for confidence loss for cells without objects, usually set lower to reduce the impact of false positives.
- Mask Prediction Head
- -
- Addition: An additional head is introduced to predict the segmentation masks for each detected object. This head works alongside the existing heads responsible for bounding box regression and class prediction.
- -
- Structure: The mask head typically includes convolutional layers designed to output a binary mask for each detected instance. Each pixel in the mask indicates whether it belongs to the object or the background.
- Feature Pyramid Network (FPN) Enhancements
- -
- Purpose: FPNs are crucial for handling objects at various scales by effectively combining features from different layers of the backbone network.
- -
- Implementation: YOLOv8 leverages enhanced FPNs to ensure that both the detection and segmentation tasks benefit from rich, multi-scale feature representations.
- ROIAlign (Region of Interest Alignment)
- -
- Role: ROIAlign is used to extract fixed-size feature maps for each predicted bounding box. This technique ensures precise spatial alignment, which is critical for accurate mask predictions.
- -
- Functionality: Unlike ROI pooling, ROIAlign avoids quantization errors, using bilinear interpolation to compute the feature values, thereby preserving the spatial structure of the objects.
- Multi-Task Learning
- -
- Framework: YOLOv8 is trained in a multi-task learning setup where the backbone and neck networks are shared between the detection and segmentation tasks.
- -
- Benefits: This shared learning helps the model to learn more robust and generalizable features, improving performance on both tasks simultaneously.
- Segmentation Loss Function
- -
- Loss Addition: A segmentation loss, often a binary cross-entropy loss or a variant like Dice loss, is added to the overall loss function to train the mask head.
- -
- Purpose: This loss ensures that the predicted masks closely match the ground truth masks, optimizing the model for accurate instance segmentation.
- Data Preprocessing and Augmentation
- -
- Preprocessing: Images are resized and normalized to ensure consistency and efficiency during training.
- -
- Augmentation: Techniques such as random cropping, flipping, rotation, and color jittering are applied to increase the diversity of the training data and improve model generalization. Specific augmentations like CutMix and MixUp might also be used to help the model learn more robustly from partial object views and blended images.
- Anchor-Free Mechanism
- -
- Adaptation: For segmentation, the anchor-free mechanism allows the model to predict object locations without relying on predefined anchor boxes. This flexibility helps in dealing with varying object shapes and sizes more effectively.
- Non-Maximum Suppression (NMS) for Masks
- -
- Application: NMS is applied to the predicted masks to eliminate redundant and overlapping predictions, ensuring that only the most confident and non-overlapping masks are retained.
- -
- Thresholding: Specific thresholds are set for the IoU (Intersection over Union) to filter out masks with high overlap, improving the final segmentation results.
- Mask Refinement
- -
- Techniques: Additional refinement steps, such as conditional random fields (CRFs) or simple morphological operations, may be used to smooth the predicted masks and correct any minor inaccuracies.
4. Experimental Analysis
- Auto-Orient;
- Resize: stretch to 640 × 640;
- Auto-Adjust Contrast: using histogram equalization;
- Grayscale: applied.
- Rotation: between −10° and +10°;
- Hue: between −15° and +15°;
- Saturation: between −25% and +25%;
- Brightness: between −10% and +10%;
- Exposure: between −15% and +15%.
- -
- Ground Truth Value (y): This represents the true value of the bounding box coordinate. In the context of the DFL, this is usually expressed in terms of a probability distribution over a set of discrete bins.
- -
- Predicted Value (p): This represents the predicted probability distribution over the bins for a bounding box coordinate.
- -
- Classification Probability (): This is the predicted probability for the i-th bin. It represents the likelihood that the bounding box coordinate falls within that bin.
- -
- Bin Center (): The center value of the i-th bin. Bins are used to discretize the continuous range of possible bounding box coordinates.
- -
- Predicted Distribution (): The predicted logits or probabilities for each bin. These values are usually converted to probabilities using the sigmoid function.
- -
- Sigmoid Function (): This function is used to convert logits into probabilities. It ensures that the predicted values are between 0 and 1, suitable for probability distribution.
- train/box_loss:
- -
- The box loss decreases steadily over the training epochs, indicating that the model has improving its ability to predict bounding box coordinates.
- -
- The smooth curve (dotted orange) aligns well with the actual results (solid blue), suggesting consistent improvement.
- train/seg_loss:
- -
- The segmentation loss also shows a steady decline, indicating the model’s improving performance in segmenting the lung regions.
- -
- Similar to the box loss, the smooth curve aligns with the actual results, reinforcing the trend in consistent improvement.
- train/cls_loss:
- -
- The classification loss starts high but decreases rapidly, showing the model’s quick adaptation in classifying lung regions correctly.
- -
- The smooth curve again aligns well with the actual results, supporting the trend in improving classification accuracy.
- train/dfl_loss:
- -
- The distribution focal loss (DFL) decreases over time, indicating better prediction of the bounding box distribution.
- -
- The alignment between the smooth and actual curves suggests a stable training process.
- val/box_loss:
- -
- The box loss shows a downward trend with some fluctuations, which is typical in validation losses due to varying validation set difficulty.
- -
- The overall decreasing trend indicates the model generalizes well on the validation set.
- val/seg_loss:
- -
- The segmentation loss for validation follows a downward trend but with notable fluctuations. This could indicate varying difficulties in the validation samples or overfitting issues.
- val/cls_loss:
- -
- The classification loss shows a downward trend with fluctuations, indicating the model’s varying performance on different validation samples.
- val/dfl_loss:
- -
- The distribution focal loss decreases overall, similar to the other losses, but with fluctuations. This is consistent with the nature of validation losses.
- metrics/precision(B) and metrics/recall(B):
- -
- The precision and recall for bounding box predictions (B) show an increasing trend, indicating better detection accuracy and recall over epochs.
- -
- Fluctuations are present, which is typical, but the overall trend is positive.
- metrics/precision(M) and metrics/recall(M):
- -
- The precision and recall for mask predictions (M) also show an increasing trend, indicating improving segmentation performance.
- -
- The fluctuations are present, but the overall improvement trend is clear.
- metrics/mAP50(B) and metrics/mAP50(M):
- -
- The mean average precision (mAP) at IoU threshold 50% shows improvement for both bounding boxes (B) and masks (M).
- -
- The increase is consistent, showing the model’s capability to accurately predict both bounding boxes and masks.
- metrics/mAP50-95(B) and metrics/mAP50-95(M):
- -
- The mAP across IoU thresholds from 50% to 95% for both bounding boxes (B) and masks (M) shows a steady improvement.
- -
- These metrics are more stringent and reflect the model’s robustness across various IoU thresholds.
- Adenocarcinoma (Blue Line):
- -
- The blue line represents the precision–recall relationship for the adenocarcinoma class.
- -
- With an average precision (AP) of 0.734, the model performs relatively well in detecting adenocarcinoma, maintaining high precision and recall values.
- Cancer (Orange Line):
- -
- The orange line represents the performance for the cancer class.
- -
- An AP of 0.588 indicates moderate performance, with a noticeable drop in precision as recall increases, suggesting that the model struggles more with this class compared to adenocarcinoma and nodules.
- Nodule (Green Line):
- -
- The green line shows the precision–recall for nodules.
- -
- With the highest AP of 0.802, the model performs best on this class, indicating high precision and recall across most thresholds.
- All Classes (Bold Blue Line):
- -
- The bold blue line represents the overall performance across all classes, with an mAP@0.5 of 0.708.
- -
- The mean average precision (mAP) at an IoU threshold of 0.5 provides a single metric summarizing the model’s performance across all classes.
- -
- An mAP@0.5 of 0.708 suggests that the model has a strong overall detection capability, balancing precision and recall well.
- True Positives (TP): The number of times a class was correctly predicted.
- False Positives (FP): The number of times a class was incorrectly predicted.
- False Negatives (FN): The number of times the model failed to predict a class when it should have.
- True Negatives (TN): The number of times the background was correctly identified as not having an object.
- Background Row: This row contains the counts of predictions where the actual label is “background”. Ideally, the majority of these counts should fall in the “background” column, indicating that the model correctly identified non-object areas. Counts in other columns indicate false positives, where the model incorrectly identified the background as containing an object.
- Background Column: This column contains the counts of predictions that the model predicted “background”. Ideally, the majority of these counts should come from the “background” row, indicating correct predictions of non-object areas. Counts in other rows indicate false negatives, where the model failed to detect actual objects and mistakenly classified them as background.
5. Conclusions and Future Work
Author Contributions
Funding
Institutional Review Board Statement
Informed Consent Statement
Data Availability Statement
Conflicts of Interest
References
- Blandin Knight, S.; Crosbie, P.A.; Balata, H.; Chudziak, J.; Hussell, T.; Dive, C. Progress and prospects of early detection in lung cancer. Open Biol. 2017, 7, 170070. [Google Scholar] [CrossRef] [PubMed]
- Siegel, R.L.; Miller, K.D.; Fuchs, H.E.; Jemal, A. Cancer statistics, 2022. CA Cancer J. Clin. 2022, 72, 524–541. [Google Scholar] [CrossRef] [PubMed]
- Sung, H.; Ferlay, J.; Siegel, R.L.; Laversanne, M.; Soerjomataram, I.; Jemal, A.; Bray, F. Global cancer statistics 2020: GLOBOCAN estimates of incidence and mortality worldwide for 36 cancers in 185 countries. CA Cancer J. Clin. 2021, 71, 209–249. [Google Scholar] [CrossRef] [PubMed]
- National Lung Screening Trial Research Team. Reduced lung-cancer mortality with low-dose computed tomographic screening. N. Engl. J. Med. 2011, 365, 395–409. [Google Scholar] [CrossRef]
- Pinsky, P.F.; Church, T.R.; Izmirlian, G.; Kramer, B.S. The National Lung Screening Trial: Results stratified by demographics, smoking history, and lung cancer histology. Cancer 2013, 119, 3976–3983. [Google Scholar] [CrossRef]
- National Lung Screening Trial Research Team. Lung cancer incidence and mortality with extended follow-up in the National Lung Screening Trial. J. Thorac. Oncol. 2019, 14, 1732–1742. [Google Scholar] [CrossRef]
- Horeweg, N.; van Rosmalen, J.; Heuvelmans, M.A.; van der Aalst, C.M.; Vliegenthart, R.; Scholten, E.T.; ten Haaf, K.; Nackaerts, K.; Lammers, J.W.J.; Weenink, C.; et al. Lung cancer probability in patients with CT-detected pulmonary nodules: A prespecified analysis of data from the NELSON trial of low-dose CT screening. Lancet Oncol. 2014, 15, 1332–1341. [Google Scholar] [CrossRef]
- Becker, N.; Motsch, E.; Trotter, A.; Heussel, C.P.; Dienemann, H.; Schnabel, P.A.; Kauczor, H.U.; Maldonado, S.G.; Miller, A.B.; Kaaks, R.; et al. Lung cancer mortality reduction by LDCT screening—Results from the randomized German LUSI trial. Int. J. Cancer 2020, 146, 1503–1513. [Google Scholar] [CrossRef]
- de Koning, H.J.; van Der Aalst, C.M.; de Jong, P.A.; Scholten, E.T.; Nackaerts, K.; Heuvelmans, M.A.; Lammers, J.W.J.; Weenink, C.; Yousaf-Khan, U.; Horeweg, N.; et al. Reduced lung-cancer mortality with volume CT screening in a randomized trial. N. Engl. J. Med. 2020, 382, 503–513. [Google Scholar] [CrossRef]
- Doria-Rose, V.P.; White, M.C.; Klabunde, C.N.; Nadel, M.R.; Richards, T.B.; McNeel, T.S.; Rodriguez, J.L.; Marcus, P.M. Use of lung cancer screening tests in the United States: Results from the 2010 National Health Interview Survey. Cancer Epidemiol. Biomarkers Prev. 2012, 21, 1049–1059. [Google Scholar] [CrossRef]
- Jemal, A.; Fedewa, S.A. Lung cancer screening with low-dose computed tomography in the United States—2010 to 2015. JAMA Oncol. 2017, 3, 1278–1281. [Google Scholar] [CrossRef] [PubMed]
- Pham, D.; Bhandari, S.; Pinkston, C.; Oechsli, M.; Kloecker, G. Lung cancer screening registry reveals low-dose CT screening remains heavily underutilized. Clin. Lung Cancer 2020, 21, e206–e211. [Google Scholar] [CrossRef] [PubMed]
- Schmid-Bindert, G.; Vogel-Claussen, J.; Gütz, S.; Fink, J.; Hoffmann, H.; Eichhorn, M.E.; Herth, F.J. Incidental pulmonary nodules—What do we know in 2022. Respiration 2022, 101, 1024–1034. [Google Scholar] [CrossRef] [PubMed]
- Tufail, A.B.; Ma, Y.K.; Kaabar, M.K.; Martínez, F.; Junejo, A.; Ullah, I.; Khan, R. Deep learning in cancer diagnosis and prognosis prediction: A minireview on challenges, recent trends, and future directions. Comput. Math. Methods Med. 2021, 2021, 9025470. [Google Scholar] [CrossRef] [PubMed]
- Ahmad, S.; Ullah, T.; Ahmad, I.; Al-Sharabi, A.; Ullah, K.; Khan, R.A.; Rasheed, S.; Ullah, I.; Uddin, M.N.; Ali, M.S. A novel hybrid deep learning model for metastatic cancer detection. Comput. Intell. Neurosci. 2022, 2022, 8141530. [Google Scholar] [CrossRef] [PubMed]
- Peralta-Ochoa, A.M.; Chaca-Asmal, P.A.; Guerrero-Vásquez, L.F.; Ordoñez-Ordoñez, J.O.; Coronel-González, E.J. Smart healthcare applications over 5G networks: A systematic review. Appl. Sci. 2023, 13, 1469. [Google Scholar] [CrossRef]
- Muhammad, G.; Alshehri, F.; Karray, F.; El Saddik, A.; Alsulaiman, M.; Falk, T.H. A comprehensive survey on multimodal medical signals fusion for smart healthcare systems. Inf. Fusion 2021, 76, 355–375. [Google Scholar] [CrossRef]
- Huang, P.; Li, C.; He, P.; Xiao, H.; Ping, Y.; Feng, P.; Tian, S.; Chen, H.; Mercaldo, F.; Santone, A.; et al. MamlFormer: Priori-experience guiding transformer network via manifold adversarial multi-modal learning for laryngeal histopathological grading. Inf. Fusion 2024, 108, 102333. [Google Scholar] [CrossRef]
- Huang, P.; Xiao, H.; He, P.; Li, C.; Guo, X.; Tian, S.; Feng, P.; Chen, H.; Sun, Y.; Mercaldo, F.; et al. LA-ViT: A Network with Transformers Constrained by Learned-Parameter-Free Attention for Interpretable Grading in a New Laryngeal Histopathology Image Dataset. IEEE J. Biomed. Health Inform. 2024, 28, 3557–3570. [Google Scholar] [CrossRef]
- Mercaldo, F.; Martinelli, F.; Santone, A. A proposal to ensure social distancing with deep learning-based object detection. In Proceedings of the 2021 International Joint Conference on Neural Networks (IJCNN), Virtual, 18–22 July 2021; IEEE: Piscataway, NJ, USA, 2021; pp. 1–5. [Google Scholar]
- Wang, L. Deep learning techniques to diagnose lung cancer. Cancers 2022, 14, 5569. [Google Scholar] [CrossRef]
- He, K.; Gkioxari, G.; Dollár, P.; Girshick, R. Mask r-cnn. In Proceedings of the IEEE International Conference on Computer Vision, Venice, Italy, 22–29 October 2017; pp. 2961–2969. [Google Scholar]
- Krizhevsky, A.; Sutskever, I.; Hinton, G.E. Imagenet classification with deep convolutional neural networks. In Advances in Neural Information Processing Systems; MIT Press: Cambridge, MA, USA, 2012; Volume 25. [Google Scholar]
- Kim, J.; Lee, J.K.; Lee, K.M. Accurate image super-resolution using very deep convolutional networks. In Proceedings of the IEEE Conference on Computer Vision and Pattern Recognition, Las Vegas, NV, USA, 27–30 June 2016; pp. 1646–1654. [Google Scholar]
- Liu, W.; Chen, W.; Wang, C.; Mao, Q.; Dai, X. Capsule embedded resnet for image classification. In Proceedings of the 2021 5th International Conference on Computer Science and Artificial Intelligence, Beijing, China, 4–6 December 2021; pp. 143–149. [Google Scholar]
- Guan, X.; Gao, W.; Peng, H.; Shu, N.; Gao, D.W. Image-based incipient fault classification of electrical substation equipment by transfer learning of deep convolutional neural network. IEEE Can. J. Electr. Comput. Eng. 2021, 45, 1–8. [Google Scholar] [CrossRef]
- Magge, A.; Weissenbacher, D.; Sarker, A.; Scotch, M.; Gonzalez-Hernandez, G. Bi-directional recurrent neural network models for geographic location extraction in biomedical literature. In BIOCOMPUTING 2019: Proceedings of the Pacific Symposium; World Scientific: Singapore, 2018; pp. 100–111. [Google Scholar]
- Liu, K. Stbi-yolo: A real-time object detection method for lung nodule recognition. IEEE Access 2022, 10, 75385–75394. [Google Scholar] [CrossRef]
- Wu, X.; Zhang, H.; Sun, J.; Wang, S.; Zhang, Y. YOLO-MSRF for lung nodule detection. Biomed. Signal Process. Control 2024, 94, 106318. [Google Scholar] [CrossRef]
- Mammeri, S.; Amroune, M.; Haouam, M.Y.; Bendib, I.; Corrêa Silva, A. Early detection and diagnosis of lung cancer using YOLO v7, and transfer learning. Multimed. Tools Appl. 2024, 83, 30965–30980. [Google Scholar] [CrossRef]
- Ji, Z.; Zhao, J.; Liu, J.; Zeng, X.; Zhang, H.; Zhang, X.; Ganchev, I. ELCT-YOLO: An efficient one-stage model for automatic lung tumor detection based on CT images. Mathematics 2023, 11, 2344. [Google Scholar] [CrossRef]
- Bilal, A.; Shafiq, M.; Fang, F.; Waqar, M.; Ullah, I.; Ghadi, Y.Y.; Long, H.; Zeng, R. IGWO-IVNet3: DL-based automatic diagnosis of lung nodules using an improved gray wolf optimization and InceptionNet-V3. Sensors 2022, 22, 9603. [Google Scholar] [CrossRef]
- Haq, I.; Mazhar, T.; Malik, M.A.; Kamal, M.M.; Ullah, I.; Kim, T.; Hamdi, M.; Hamam, H. Lung nodules localization and report analysis from computerized tomography (CT) scan using a novel machine learning approach. Appl. Sci. 2022, 12, 12614. [Google Scholar] [CrossRef]
- Garg, S.; Kaur, J. Improving segmentation by denoising brain MRI images through interpolation median filter in ADTVFCM. Int. J. Comput. Trends Technol. 2013, 4, 187–188. [Google Scholar]
- Lim, J.Y.; Lim, K.M.; Lee, C.P.; Tan, Y.X. SSL-ProtoNet: Self-supervised Learning Prototypical Networks for few-shot learning. Expert Syst. Appl. 2024, 238, 122173. [Google Scholar] [CrossRef]
- Gharoun, H.; Momenifar, F.; Chen, F.; Gandomi, A. Meta-learning approaches for few-shot learning: A survey of recent advances. Acm Comput. Surv. 2024, 56, 294. [Google Scholar] [CrossRef]
- Wang, S.; Zhou, M.; Gevaert, O.; Tang, Z.; Dong, D.; Liu, Z.; Jie, T. A multi-view deep convolutional neural networks for lung nodule segmentation. In Proceedings of the 2017 39th Annual International Conference of the IEEE Engineering in Medicine and Biology Society (EMBC), Jeju, Republic of Korea, 11–15 July 2017; IEEE: Piscataway, NJ, USA, 2017; pp. 1752–1755. [Google Scholar]
- Hamidian, S.; Sahiner, B.; Petrick, N.; Pezeshk, A. 3D convolutional neural network for automatic detection of lung nodules in chest CT. In Proceedings of the Medical Imaging 2017: Computer-Aided Diagnosis, Orlando, FL, USA, 13–16 February 2017; SPIE: St Bellingham, WA, USA, 2017; Volume 10134, pp. 54–59. [Google Scholar]
- Sun, X.; Lin, H.; Wang, S.; Zheng, L. Industrial robots sorting system based on improved faster RCNN. Comput. Syst. Appl 2019, 28, 258–263. [Google Scholar]
- Cao, H.; Liu, H.; Song, E.; Hung, C.C.; Ma, G.; Xu, X.; Jin, R.; Lu, J. Dual-branch residual network for lung nodule segmentation. Appl. Soft Comput. 2020, 86, 105934. [Google Scholar] [CrossRef]
- Banu, S.F.; Sarker, M.M.K.; Abdel-Nasser, M.; Puig, D.; Raswan, H.A. AWEU-Net: An attention-aware weight excitation U-Net for lung nodule segmentation. Appl. Sci. 2021, 11, 10132. [Google Scholar] [CrossRef]
- Dutta, K. Densely connected recurrent residual (dense r2unet) convolutional neural network for segmentation of lung ct images. arXiv 2021, arXiv:2102.00663. [Google Scholar]
- Ronneberger, O.; Fischer, P.; Brox, T. U-net: Convolutional networks for biomedical image segmentation. In Proceedings of the Medical Image Computing and Computer-Assisted Intervention–MICCAI 2015: 18th International Conference, Munich, Germany, 5–9 October 2015; Proceedings, Part III 18; Springer: Berlin/Heidelberg, Germany, 2015; pp. 234–241. [Google Scholar]
- Christ, P.F.; Ettlinger, F.; Grün, F.; Elshaera, M.E.A.; Lipkova, J.; Schlecht, S.; Ahmaddy, F.; Tatavarty, S.; Bickel, M.; Bilic, P.; et al. Automatic liver and tumor segmentation of CT and MRI volumes using cascaded fully convolutional neural networks. arXiv 2017, arXiv:1702.05970. [Google Scholar]
- Jin, D.; Xu, Z.; Tang, Y.; Harrison, A.P.; Mollura, D.J. CT-realistic lung nodule simulation from 3D conditional generative adversarial networks for robust lung segmentation. In Proceedings of the Medical Image Computing and Computer Assisted Intervention–MICCAI 2018: 21st International Conference, Granada, Spain, 16–20 September 2018; Proceedings, Part II 11; Springer: Berlin/Heidelberg, Germany, 2018; pp. 732–740. [Google Scholar]
- Hofmanninger, J.; Prayer, F.; Pan, J.; Röhrich, S.; Prosch, H.; Langs, G. Automatic lung segmentation in routine imaging is primarily a data diversity problem, not a methodology problem. Eur. Radiol. Exp. 2020, 4, 50. [Google Scholar] [CrossRef]
- Hooda, R.; Mittal, A.; Sofat, S. Segmentation of lung fields from chest radiographs-a radiomic feature-based approach. Biomed. Eng. Lett. 2019, 9, 109–117. [Google Scholar] [CrossRef]
- Gholamiankhah, F.; Mostafapour, S.; Goushbolagh, N.A.; Shojaerazavi, S.; Layegh, P.; Tabatabaei, S.M.; Arabi, H. Automated Lung Segmentation from Computed Tomography Images of Normal and COVID-19 Pneumonia Patients. Iran. J. Med. Sci. 2022, 47, 440. [Google Scholar]
- Zheng, C.; Deng, X.; Fu, Q.; Zhou, Q.; Feng, J.; Ma, H.; Liu, W.; Wang, X. Deep learning-based detection for COVID-19 from chest CT using weak label. MedRxiv 2020. [Google Scholar] [CrossRef]
- Chen, J.; Lu, Y.; Yu, Q.; Luo, X.; Adeli, E.; Wang, Y.; Lu, L.; Yuille, A.L.; Zhou, Y. Transunet: Transformers make strong encoders for medical image segmentation. arXiv 2021, arXiv:2102.04306. [Google Scholar]
- Yang, X.L.; Jin, Z.Y. Att GGO-Net: A Semantic Segmentation Method of Lung CT Images with Self and Cross Attention Mechanism. In Journal of Physics: Conference Series; IOP Publishing: Bristol, UK, 2023; Volume 2504, p. 012017. [Google Scholar]
- Xiang, K.; Zhang, X.; She, J.; Liu, J.; Wang, H.; Deng, S.; Jiang, S. Toward robust diagnosis: A contour attention preserving adversarial defense for covid-19 detection. In Proceedings of the AAAI Conference on Artificial Intelligence; 2023; Volume 37, pp. 2928–2937. [Google Scholar]
- Redmon, J.; Divvala, S.; Girshick, R.; Farhadi, A. You only look once: Unified, real-time object detection. In Proceedings of the IEEE Conference on Computer Vision and Pattern Recognition, Las Vegas, NV, USA, 27–30 June 2016; pp. 779–788. [Google Scholar]
- Jiang, P.; Ergu, D.; Liu, F.; Cai, Y.; Ma, B. A Review of Yolo algorithm developments. Procedia Comput. Sci. 2022, 199, 1066–1073. [Google Scholar] [CrossRef]
- Mercaldo, F.; Martinelli, F.; Santone, A.; Cesarelli, M. Blood Cells Counting and Localisation through Deep Learning Object Detection. In Proceedings of the 2022 IEEE International Conference on Big Data (Big Data), Osaka, Japan, 17–20 December 2022; IEEE: Piscataway, NJ, USA, 2022; pp. 4400–4409. [Google Scholar]
- Mercaldo, F.; Cesarelli, M.; Martinelli, F.; Santone, A. Deep learning for blood cells classification and localisation. In Proceedings of the Fifteenth International Conference on Machine Vision (ICMV 2022), Yerevan, Armenia, 15–18 November 2023; SPIE: Bellingham, WA, USA, 2023; Volume 12701, pp. 315–322. [Google Scholar]
- Zhou, Y. A YOLO-NL object detector for real-time detection. Expert Syst. Appl. 2024, 238, 122256. [Google Scholar] [CrossRef]
- Santone, A.; Cesarelli, M.; Colasuonno, E.; Bevilacqua, V.; Mercaldo, F. A Method for Ocular Disease Diagnosis through Visual Prediction Explainability. Electronics 2024, 13, 2706. [Google Scholar] [CrossRef]
- Zhuo, S.; Zhang, X.; Chen, Z.; Wei, W.; Wang, F.; Li, Q.; Guan, Y. DAMP-YOLO: A Lightweight Network Based on Deformable Features and Aggregation for Meter Reading Recognition. Appl. Sci. 2023, 13, 11493. [Google Scholar] [CrossRef]
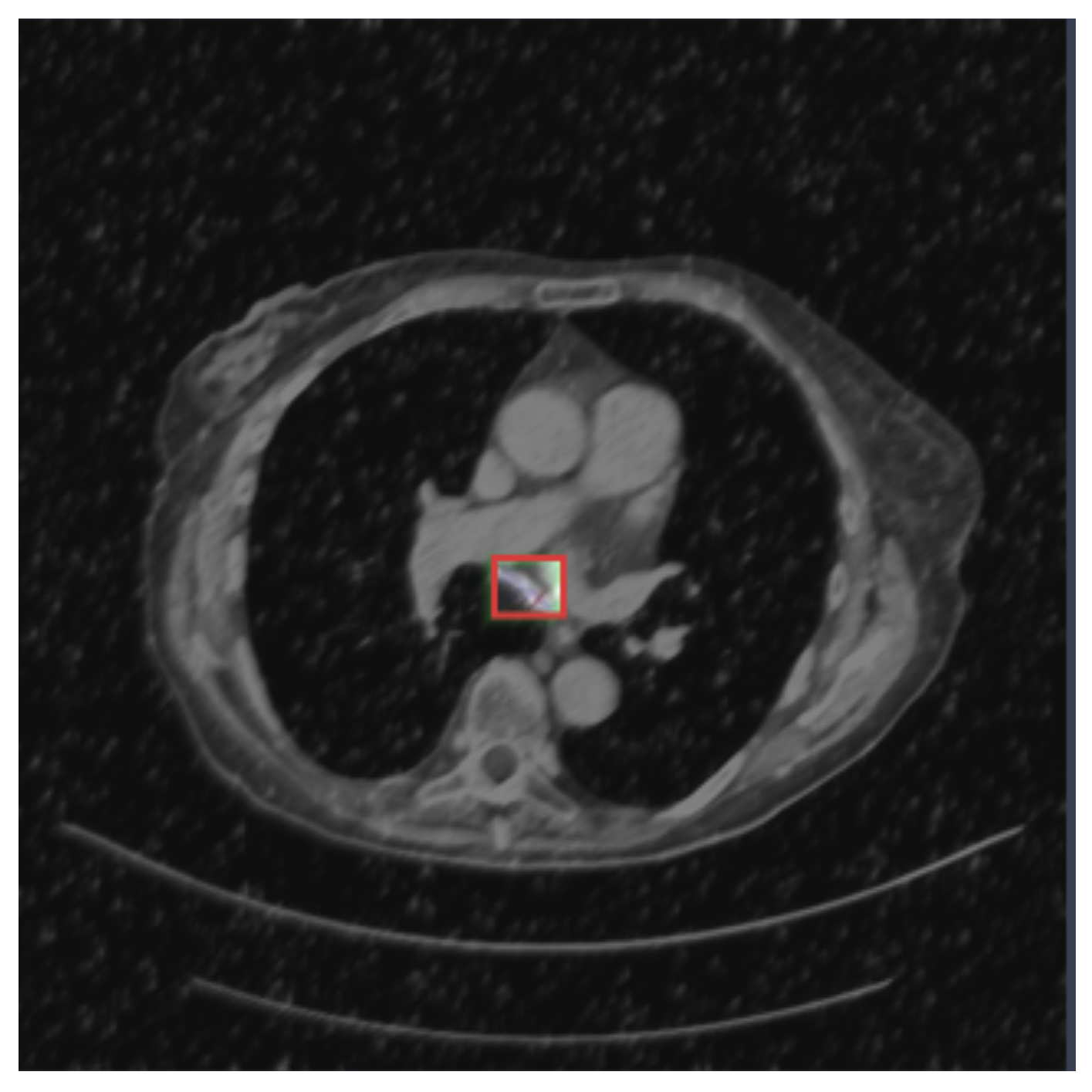
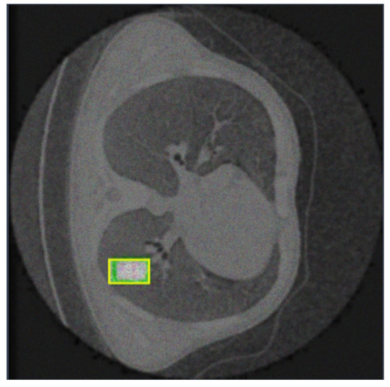
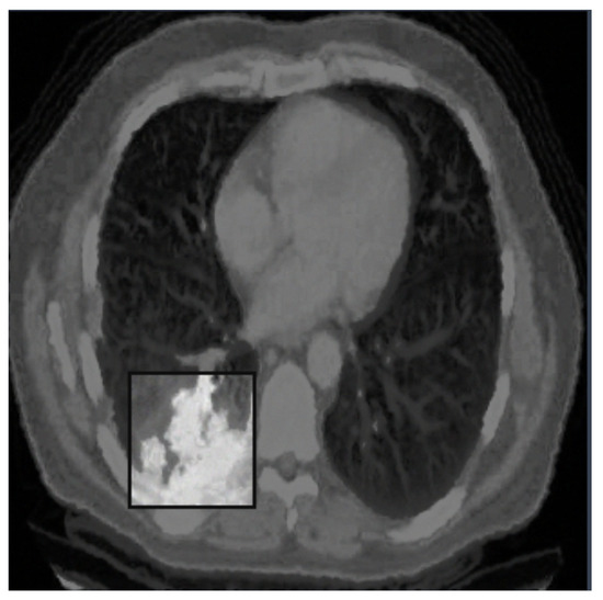
- Varun. Lung Nodule Segmentation Study Dataset. 2024. Available online: https://universe.roboflow.com/varun-18tlk/lung-nodule-segmentation-study (accessed on 28 May 2024).











| Method | Dataset | References |
|---|---|---|
| U-Net | LUNA16 | [43] |
| FCN + Nodule Detection | LUNA16 | [44] |
| 3D U-Net | LUNA16 | [45] |
| Self-Supervised Learning | LIDC-IDRI | [46] |
| CNN + CRFs | JSRT | [47] |
| Attention-Guided U-Net | COVID-19-CT-Seg | [48] |
| Dual-Branch Network | COVID-19-CT-Seg | [49] |
| Transformer-Based Network | LUNA16, COVID-19-CT-Seg | [50] |
| Cross-Attention Network | COVID-19-CT-Seg | [51] |
| GANs | LUNA16, LIDC-IDRI | [52] |
| Class | Image | Instances | Box (P) | Box (R) | Box (mAP50) | Box (mAP50-95) |
|---|---|---|---|---|---|---|
| all | 324 | 332 | 0.757 | 0.738 | 0.71 | 0.488 |
| adenocarsinoma | 324 | 45 | 0.815 | 0.685 | 0.713 | 0.492 |
| cancer | 324 | 46 | 0.572 | 0.783 | 0.588 | 0.467 |
| nodule | 324 | 241 | 0.884 | 0.747 | 0.831 | 0.505 |
| Class | Image | Instances | M (P) | M (R) | M (mAP50) | M (mAP50-95) |
|---|---|---|---|---|---|---|
| all | 324 | 332 | 0.75 | 0.733 | 0.708 | 0.438 |
| adenocarsinoma | 324 | 45 | 0.815 | 0.685 | 0.734 | 0.539 |
| cancer | 324 | 46 | 0.572 | 0.783 | 0.588 | 0.366 |
| nodule | 324 | 241 | 0.865 | 0.73 | 0.802 | 0.41 |
Disclaimer/Publisher’s Note: The statements, opinions and data contained in all publications are solely those of the individual author(s) and contributor(s) and not of MDPI and/or the editor(s). MDPI and/or the editor(s) disclaim responsibility for any injury to people or property resulting from any ideas, methods, instructions or products referred to in the content. |
© 2024 by the authors. Licensee MDPI, Basel, Switzerland. This article is an open access article distributed under the terms and conditions of the Creative Commons Attribution (CC BY) license (https://creativecommons.org/licenses/by/4.0/).
Share and Cite
Santone, A.; Mercaldo, F.; Brunese, L. A Method for Real-Time Lung Nodule Instance Segmentation Using Deep Learning. Life 2024, 14, 1192. https://doi.org/10.3390/life14091192
Santone A, Mercaldo F, Brunese L. A Method for Real-Time Lung Nodule Instance Segmentation Using Deep Learning. Life. 2024; 14(9):1192. https://doi.org/10.3390/life14091192
Chicago/Turabian StyleSantone, Antonella, Francesco Mercaldo, and Luca Brunese. 2024. "A Method for Real-Time Lung Nodule Instance Segmentation Using Deep Learning" Life 14, no. 9: 1192. https://doi.org/10.3390/life14091192
APA StyleSantone, A., Mercaldo, F., & Brunese, L. (2024). A Method for Real-Time Lung Nodule Instance Segmentation Using Deep Learning. Life, 14(9), 1192. https://doi.org/10.3390/life14091192

