Superficial Vein Thrombosis in an Asymptomatic Case of Cholangiocarcinoma with Recent History of COVID-19
Abstract
1. Introduction
2. Clinical Vignette
2.1. Admission
2.2. Medical History
2.3. Physical Examination
2.4. Laboratory Findings
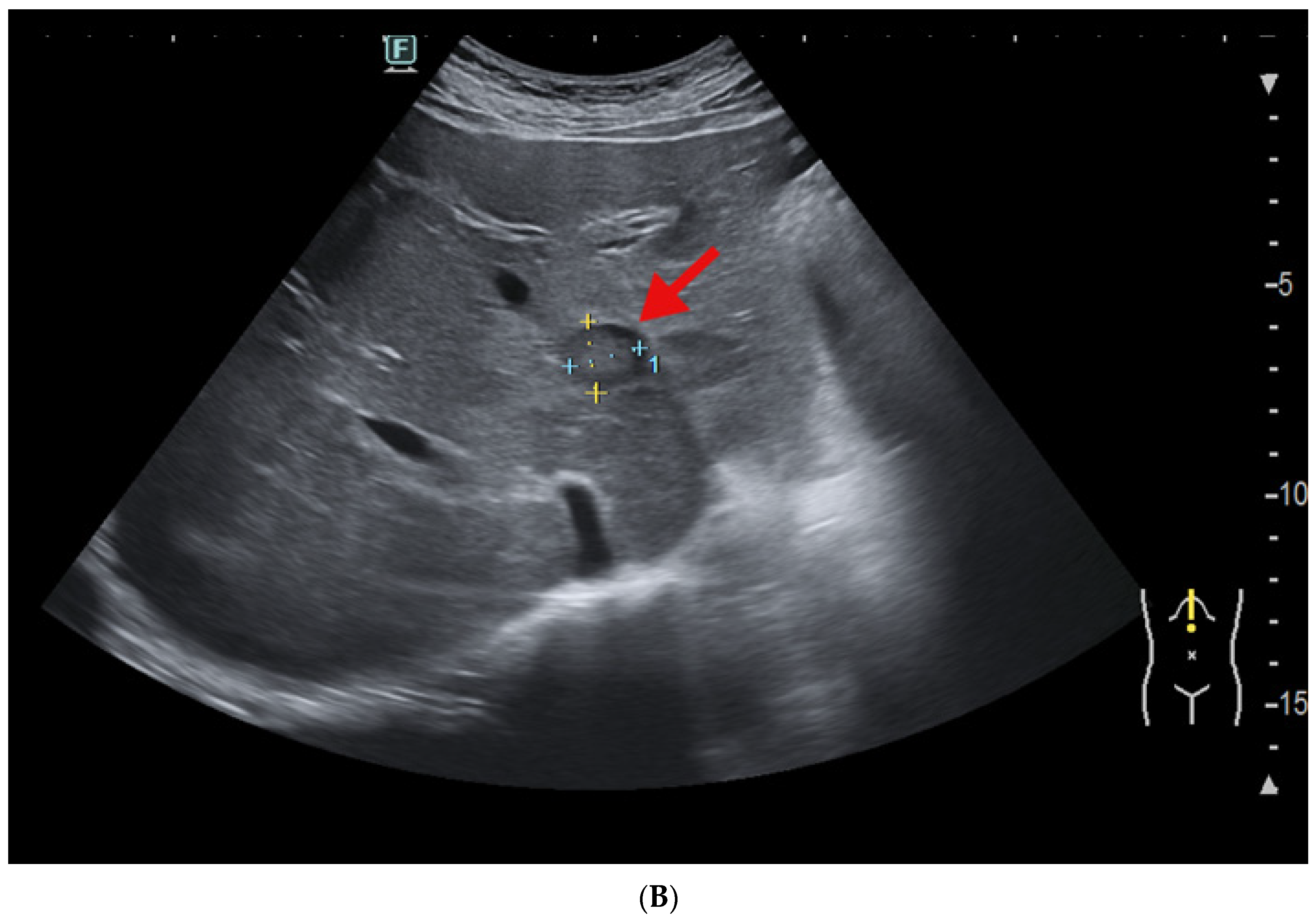
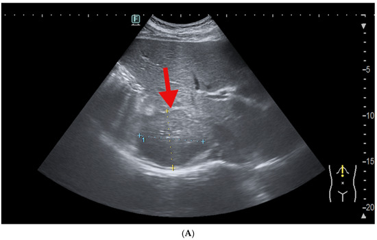
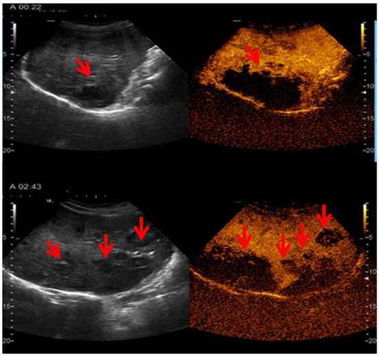
2.5. Imagery Scans
2.6. Diagnosis Procedures
2.7. Management
3. Discussion
3.1. Sample-Focused Analysis: Thrombotic Events in CCA
3.2. Sample-Focused Analysis: Thrombotic Events and COVID-19
4. Conclusions
Author Contributions
Funding
Institutional Review Board Statement
Informed Consent Statement
Data Availability Statement
Acknowledgments
Conflicts of Interest
Abbreviations
| ALP | alkaline phosphatase |
| AFP | alpha-fetoprotein |
| BID | twice daily |
| CCA | cholangiocarcinoma |
| CRP | C-reactive protein |
| CA19-9 | cancer antigen 19-9 |
| CEA | carcinoembryonic antigen |
| CYFRA21-1 | cytokeratin 19 fragments |
| CK | cytokeratin |
| COVID-19 | coronavirus disease 2019 |
| ESR | erythrocyte sedimentation rate |
| GGT | gamma-glutamyl transferase |
| GEMOX | gemcitabine oxaliplatin |
| JAK2 | Janus Kinase 2 |
| LDL | low-density lipoprotein |
| LDH | lactate dehydrogenase |
| INR | International Normalized Ratio |
| n | number of studies |
| N | number of patients |
| PSA | prostate-specific antigen |
| SARS-CoV-2 | severe acute respiratory syndrome coronavirus 2 |
References
- Romero Starke, K.; Kaboth, P.; Rath, N.; Reissig, D.; Kaempf, D.; Nienhaus, A.; Seidler, A. Cardiovascular disease risk after a SARS-CoV-2 infection: A systematic review and meta-analysis. J. Infect. 2024, 89, 106215. [Google Scholar] [CrossRef] [PubMed]
- Carmichael, A.; Hale, J.T.; Notta, S.; Haddadin, T.; Jbara, M.H. COVID-19 Infection and ST-Elevation Myocardial Infarction: Lessons in Disease Management During a Pandemic. Cureus 2024, 16, e62008. [Google Scholar] [CrossRef] [PubMed]
- Nistor, C.E.; Pantile, D.; Gavan, C.S.; Ciuche, A. Pneumothorax on COVID-19 patients-retrospective clinical observations. Rom. J. Leg. Med. 2022, 30, 112–116. [Google Scholar] [CrossRef]
- Obeagu, E.I.; Obeagu, G.U. Thromboinflammation in COVID-19: Unraveling the interplay of coagulation and inflammation. Medicine 2024, 103, e38922. [Google Scholar] [CrossRef] [PubMed]
- Khoshnegah, Z.; Siyadat, P.; Rostami, M.; Sheikhi, M.; Ghorbani, M.; Mansouritorghabeh, H. Protein C and S activities in COVID-19: A systematic review and meta-analysis. J. Thromb. Thrombolysis 2024, 57, 1018–1030. [Google Scholar] [CrossRef]
- Wang, J.; Ho, P.; Nandurkar, H.; Lim, H.Y. Overall haemostatic potential assay for prediction of outcomes in venous and arterial thrombosis and thrombo-inflammatory diseases. J. Thromb. Thrombolysis 2024, 57, 852–864. [Google Scholar] [CrossRef]
- Hunt, B.J.; Kuehn, R.; Fox, T.; Carson, A.; Scandrett, K.; Davey Smith, G.; Garner, P. Challenging the current hypothesis that thrombosis is responsible for the post-COVID-19 condition. Res. Pract. Thromb. Haemost. 2024, 8, 102442. [Google Scholar] [CrossRef] [PubMed]
- Subramaniam, S.; Kenney, D.; Jayaraman, A.; O’Connell, A.K.; Walachowski, S.; Montanaro, P.; Reinhardt, C.; Colucci, G.; Crossland, N.A.; Douam, F.; et al. Aging is associated with an insufficient early inflammatory response of lung endothelial cells in SARS-CoV-2 infection. Front. Immunol. 2024, 15, 1397990. [Google Scholar] [CrossRef] [PubMed]
- Huang, S.; Perry, A.; Sanchez Parra, C.; Gonzalez Torriente, A.; Ghumman, H.; Charkowick, S.; Colon, J.; Heide, M.; Jaglal, M.; Mhaskar, R.; et al. Incidence of Thrombosis in COVID-19 Patients Compared to Non-COVID-19 Sepsis Patients in the Intensive Care Unit. J. Clin. Med. 2024, 13, 2974. [Google Scholar] [CrossRef]
- Othman, H.Y.; Zaki, I.A.H.; Isa, M.R.; Ming, L.C.; Zulkifly, H.H. A systematic review of thromboembolic complications and outcomes in hospitalised COVID-19 patients. BMC Infect. Dis. 2024, 24, 484. [Google Scholar] [CrossRef]
- Reis, S.; Faske, A.; Monsef, I.; Langer, F.; Müller, O.J.; Kranke, P.; Meybohm, P.; Weibel, S. Anticoagulation in COVID-19 patients—An updated systematic review and meta-analysis. Thromb. Res. 2024, 238, 141–150. [Google Scholar] [CrossRef] [PubMed]
- Chiang, C.H.; Ahmed, O.; Liu, W.; See, X.Y.; Chang, Y.C.; Peng, C.Y.; Wang, Z.; Chiang, C.H.; Hsia, Y.P.; Chiang, C.H. Thromboprophylaxis for outpatients with COVID-19: A Systematic Review and Meta-analysis. Thromb. Thrombolysis 2024, 57, 784–787. [Google Scholar] [CrossRef]
- Schulman, S.; Arnold, D.M.; Bradbury, C.A.; Broxmeyer, L.; Connors, J.M.; Falanga, A.; Iba, T.; Kaatz, S.; Levy, J.H.; Middeldorp, S.; et al. 2023 ISTH update of the 2022 ISTH guidelines for antithrombotic treatment in COVID-19. J. Thromb. Haemost. 2024, 22, 1779–1797. [Google Scholar] [CrossRef] [PubMed]
- Padmanaban, V.; Ruff, S.M.; Pawlik, T.M. Multi-Disciplinary Care of Hilar Cholangiocarcinoma: Review of Guidelines and Recent Advancements. Cancers 2023, 16, 30. [Google Scholar] [CrossRef] [PubMed]
- Bath, N.M.; Pawlik, T.M. Narrative review: Current management and novel targeted therapies in intrahepatic cholangiocarcinoma. Chin. Clin. Oncol. 2023, 12, 5. [Google Scholar] [CrossRef]
- Quaresima, S.; Melandro, F.; Giovanardi, F.; Shah, K.; De Peppo, V.; Mennini, G.; Ghinolfi, D.; Limkemann, A.; Pawlik, T.M.; Lai, Q. New Insights in the Setting of Transplant Oncology. Medicina 2023, 59, 568. [Google Scholar] [CrossRef]
- Sahu, R.; Sharma, P.; Kumar, A. An Insight into Cholangiocarcinoma and Recent Advances in its Treatment. J. Gastrointest. Cancer 2023, 54, 213–226. [Google Scholar] [CrossRef]
- Rahman, S.U.; Sana, M.K.; Tahir, Z.; Ali, A.; Shah, P.A. Paraneoplastic syndromes in cholangiocarcinoma. World J. Hepatol. 2020, 12, 897–907. [Google Scholar] [CrossRef]
- Carsote, M.; Valea, A.; Dumitru, N.; Terzea, D.; Petrova, E.; Albu, S.; Buruiana, A.; Ghemigian, A. Metastases in daily endocrine practice. Arch. Balk. Med. Union. 2016, 51, 476–480. [Google Scholar]
- Chen, J.X.; Xu, L.L.; Cheng, J.P.; Xu, X.H. Challenging anticoagulation therapy for multiple primary malignant tumors combined with thrombosis: A case report and review of literature. World J. Clin. Cases 2024, 12, 1704–1711. [Google Scholar] [CrossRef]
- D’Ardes, D.; Boccatonda, A.; Cocco, G.; Fabiani, S.; Rossi, I.; Bucci, M.; Guagnano, M.T.; Schiavone, C.; Cipollone, F. Impaired coagulation, liver dysfunction and COVID-19: Discovering an intriguing relationship. World J. Gastroenterol. 2022, 28, 1102–1112. [Google Scholar] [CrossRef] [PubMed]
- Abramowitz, B.R.; Coles, M.; Aytaman, A.; Chander-Roland, B.; DiLeo, D.A. Simultaneous portal vein thrombosis and splenic vein thrombosis in a COVID-19 patient: A case report and review of literature. World J. Clin. Cases 2024, 12, 3561–3566. [Google Scholar] [CrossRef] [PubMed]
- Chowdary, P. COVID-19 coagulopathy—What should we treat? Exp. Physiol. 2022, 107, 749–758. [Google Scholar] [CrossRef]
- Ebrahimi, R.; Nasri, F.; Kalantari, T. Coagulation and Inflammation in COVID-19: Reciprocal Relationship between Inflammatory and Coagulation Markers. Ann. Hematol. 2024, 103, 1819–1831. [Google Scholar] [CrossRef]
- He, S.; Blombäck, M.; Wallén, H. COVID-19: Not a thrombotic disease but a thromboinflammatory disease. Ups. J. Med. Sci. 2024, 129. [Google Scholar] [CrossRef] [PubMed]
- Nistor, C.; Ciuche, A.; Constantinescu, I. Emergency surgical tracheal decompression in a huge retrosternal goiter. Acta Endocrinol. 2017, 13, 370–374. [Google Scholar] [CrossRef] [PubMed]
- Jinga, M.; Jurcuţ, C.; Vasilescu, F.; Becheanu, G.; Stancu, S.H.; Ciobaca, L.; Mircescu, G.; Jinga, V. A rare case of digestive hemorrhage in an elderly patient: Diagnosis and treatment difficulties. Rom. J. Morphol. Embryol. 2012, 53 (Suppl. S3), 831–834. [Google Scholar]
- Valencia, I.; Lumpuy-Castillo, J.; Magalhaes, G.; Sánchez-Ferrer, C.F.; Lorenzo, Ó.; Peiró, C. Mechanisms of endothelial activation, hypercoagulation and thrombosis in COVID-19: A link with diabetes mellitus. Cardiovasc. Diabetol. 2024, 23, 75. [Google Scholar] [CrossRef]
- Samy, A.M.; Kandeil, M.A.; Sabry, D.; Abdel-Ghany, A.A.; Mahmoud, M.O. From NAFLD to NASH: Understanding the spectrum of non-alcoholic liver diseases and their consequences. Heliyon 2024, 10, e30387. [Google Scholar] [CrossRef]
- Zenoaga-Barbăroșie, C.; Berca, L.; Vassu-Dimov, T.; Toma, M.; Nica, M.I.; Alexiu-Toma, O.A.; Ciornei, C.; Albu, A.; Nica, S.; Nistor, C.; et al. The Predisposition for Type 2 Diabetes Mellitus and Metabolic Syndrome. Balkan J. Med. Genet. 2023, 26, 21–26. [Google Scholar] [CrossRef]
- Pati, S.; Irfan, W.; Jameel, A.; Ahmed, S.; Shahid, R.K. Obesity and Cancer: A Current Overview of Epidemiology, Pathogenesis, Outcomes, and Management. Cancers 2023, 15, 485. [Google Scholar] [CrossRef]
- Lauby-Secretan, B.; Scoccianti, C.; Loomis, D.; Grosse, Y.; Bianchini, F.; Straif, K.; International Agency for Research on Cancer Handbook Working Group. Body Fatness and Cancer--Viewpoint of the IARC Working Group. N. Engl. J. Med. 2016, 375, 794–798. [Google Scholar] [CrossRef] [PubMed]
- Wilson, R.B.; Lathigara, D.; Kaushal, D. Systematic Review and Meta-Analysis of the Impact of Bariatric Surgery on Future Cancer Risk. Int. J. Mol. Sci. 2023, 24, 6192. [Google Scholar] [CrossRef] [PubMed]
- Schauer, D.P. What is currently known about the association between bariatric surgery and cancer. Surg. Obes. Relat. Dis. 2023, 19, 530–533. [Google Scholar] [CrossRef] [PubMed]
- Aminian, A.; Wilson, R.; Al-Kurd, A.; Tu, C.; Milinovich, A.; Kroh, M.; Rosenthal, R.J.; Brethauer, S.A.; Schauer, P.R.; Kattan, M.W.; et al. Association of Bariatric Surgery with Cancer Risk and Mortality in Adults with Obesity. JAMA 2022, 327, 2423–2433. [Google Scholar] [CrossRef] [PubMed]
- Adams, T.D.; Meeks, H.; Fraser, A.; Davidson, L.E.; Holmen, J.; Newman, M.; Ibele, A.R.; Playdon, M.; Hardikar, S.; Richards, N.; et al. Long-term cancer outcomes after bariatric surgery. Obesity 2023, 31, 2386–2397. [Google Scholar] [CrossRef]
- Njei, B.; McCarty, T.R.; Sharma, P.; Lange, A.; Najafian, N.; Ngu, J.N.; Ngomba, V.E.; Echouffo-Tcheugui, J.B. Bariatric Surgery and Hepatocellular Carcinoma: A Propensity Score-Matched Analysis. Obes. Surg. 2018, 28, 3880–3889. [Google Scholar] [CrossRef]
- Khalid, S.I.; Maasarani, S.; Wiegmann, J.; Wiegmann, A.L.; Becerra, A.Z.; Omotosho, P.; Torquati, A. Association of Bariatric Surgery and Risk of Cancer in Patients with Morbid Obesity. Ann. Surg. 2022, 275, 1–6. [Google Scholar] [CrossRef]
- Tiwari, S.; Sapkota, N.; Han, Z. Effect of fasting on cancer: A narrative review of scientific evidence. Cancer Sci. 2022, 113, 3291–3302. [Google Scholar] [CrossRef]
- Küçük, A.N.; Çiftçi, S. The role of intermittent fasting and the ketogenic diet in cancer disease: Can they replace the Mediterranean diet? Eur. J. Cancer Prev. 2023, 32, 533–543. [Google Scholar] [CrossRef]
- Klement, R.J.; Pazienza, V. Impact of Different Types of Diet on Gut Microbiota Profiles and Cancer Prevention and Treatment. Medicina 2019, 55, 84. [Google Scholar] [CrossRef] [PubMed]
- Psara, E.; Poulios, E.; Papadopoulou, S.K.; Tolia, M.; Vasios, G.K.; Giaginis, C. Intermittent Fasting against Cancer Development and Progression: Highlighting Potential Anticancer Molecular Mechanisms. Anticancer Agents Med. Chem. 2023, 23, 1889–1909. [Google Scholar] [CrossRef] [PubMed]
- Shin, D.W.; Moon, S.H.; Kim, J.H. Diagnosis of Cholangiocarcinoma. Diagnostics 2023, 13, 233. [Google Scholar] [CrossRef] [PubMed]
- Brindley, P.J.; Bachini, M.; Ilyas, S.I.; Khan, S.A.; Loukas, A.; Sirica, A.E.; Teh, B.T.; Wongkham, S.; Gores, G.J. Cholangiocarcinoma. Nat. Rev. Dis. Primers 2021, 7, 65. [Google Scholar] [CrossRef]
- Khorana, A.A. Malignancy, thrombosis and Trousseau: The case for an eponym. J. Thromb. Haemost. 2003, 1, 2463–2465. [Google Scholar] [CrossRef]
- Horsted, F.; West, J.; Grainge, M.J. Risk of venous thromboembolism in patients with cancer: A systematic review and meta-analysis. PLoS Med. 2012, 9, e1001275. [Google Scholar] [CrossRef]
- Sack, G.H., Jr.; Levin, J.; Bell, W.R. Trousseau’s syndrome and other manifestations of chronic disseminated coagulopathy in patients with neoplasms: Clinical, pathophysiologic, and therapeutic features. Medicine 1977, 56, 1–37. [Google Scholar] [CrossRef]
- Ching, C.K. Trousseau’s syndrome in a patient with cholangiocarcinoma. Am. J. Gastroenterol. 1991, 86, 928–929. [Google Scholar]
- Martins, E.B.; Fleming, K.A.; Garrido, M.C.; Hine, K.R.; Chapman, R.W. Superficial thrombophlebitis, dysplasia, and cholangiocarcinoma in primary sclerosing cholangitis. Gastroenterology 1994, 107, 537–542. [Google Scholar] [CrossRef]
- Hernández, J.L.; Riancho, J.A.; González-Macías, J. Cholangiocarcinoma presenting as Trousseau’s syndrome. Am. J. Gastroenterol. 1998, 93, 847–848. [Google Scholar] [CrossRef]
- Samadian, S.; Estcourt, L. Recurrent thrombo-embolic episodes: The association of cholangiocarcinoma with antiphospholipid syndrome. Postgrad. Med. J. 1999, 75, 45–46. [Google Scholar] [CrossRef] [PubMed]
- Koskinas, J.; Betrosian, A.; Kafiri, G.; Tsolakidis, G.; Garaziotou, V.; Hadziyannis, S. Combined hepatocellular-cholangiocarcinoma presented with massive pulmonary embolism. Hepatogastroenterology 2000, 47, 1125–1128. [Google Scholar] [PubMed]
- Bandyopadhyay, S.K.; Sarkar, N.; Ghosh, S.; Dasgupta, S. Cholangiocarcinoma presenting with recurrent venous thrombosis. J. Assoc. Physicians India 2003, 51, 824–825. [Google Scholar]
- Tasi, S.H.; Juan, C.J.; Dai, M.S.; Kao, W.Y. Trousseau’s syndrome related to adenocarcinoma of the colon and cholangiocarcinoma. Eur. J. Neurol. 2004, 11, 493–496. [Google Scholar] [CrossRef]
- Jang, J.W.; Yeo, C.D.; Kim, J.D.; Bae, S.H.; Choi, J.Y.; Jung, E.S.; Rha, S.E.; Byun, J.Y.; Yoon, S.K. Trousseau’s syndrome in association with cholangiocarcinoma: Positive tests for coagulation factors and anticardiolipin antibody. J. Korean Med. Sci. 2006, 21, 155–159. [Google Scholar] [CrossRef] [PubMed][Green Version]
- Vysetti, S.; Shinde, S.; Chaudhry, S.; Subramoney, K. Phlegmasia cerulea dolens—A rare, life-threatening condition. Sci. World J. 2009, 9, 1105–1106. [Google Scholar] [CrossRef]
- Muñoz-Ortego, J.; Blanco Lopez, L.; Carbonell Abello, J.; Monfort Faure, J. Multiple thromboemboli associated to two occult tumors: A case mimicking catastrophic antiphospholipid syndrome. Jt. Bone Spine 2011, 78, 405–408. [Google Scholar] [CrossRef]
- Gnanapandithan, K.; Allaparthi, S.; Ukena, T.; Anand, C. Cholangiocarcinoma: Another masquerader in the making? J. Gastrointest. Cancer 2014, 45 (Suppl. S1), 14–17. [Google Scholar] [CrossRef]
- Chang, G.; Yeh, J.J. Fulminant phlegmasia cerulea dolens with concurrent cholangiocarcinoma and a lupus anticoagulant: A case report and review of the literature. Blood Coagul. Fibrinolysis 2014, 25, 507–511. [Google Scholar] [CrossRef]
- Yuri, T.; Kato, K.; Hirohara, Y.; Kinoshita, Y.; Emoto, Y.; Yuki, M.; Yoshizawa, K.; Tsubura, A. Trousseau’s Syndrome Caused by Intrahepatic Cholangiocarcinoma: An Autopsy Case Report and Literature Review. Case Rep. Oncol. 2014, 7, 376–382. [Google Scholar] [CrossRef]
- Vakil, A.; Guru, P.; Reddy, D.R.; Iyer, V. Diffuse cholangiocarcinoma presenting with hepatic failure and extensive portal and mesenteric vein thrombosis. BMJ Case Rep. 2015, 2015, bcr2014209171. [Google Scholar] [CrossRef] [PubMed]
- Blum, M.F.; Ma, V.Y.; Betbadal, A.M.; Bonomo, R.A.; Raju, R.R.; Packer, C.D. Trousseau’s Syndrome in Cholangiocarcinoma: The Risk of Making the Diagnosis. Clin. Med. Res. 2016, 14, 53–59. [Google Scholar] [CrossRef][Green Version]
- Dunn, T.; Rudrapatna, V.A.; Hesse, S.; Sargsyan, Z. Arterial Thromboses Heralding Cholangiocarcinoma. Am. J. Med. 2017, 130, e341–e342. [Google Scholar] [CrossRef] [PubMed]
- Zhang, S.L.; Zhang, Y.S.; Wei, F.; DeYoung, L. Intrahepatic Cholangiocarcinoma Associated Paradoxical Peripheral Embolism and a Submassive Pulmonary Embolism. Ann. Vasc. Surg. 2019, 61, 470.e9–470.e12. [Google Scholar] [CrossRef] [PubMed]
- Murahashi, S.; Takeuchi, Y.; Hayashida, S.; Ohya, Y.; Shindo, S.; Terasaki, T.; Inomata, Y.; Hara, Y. Trousseau syndrome with intrahepatic cholangiocarcinoma that could be removed radically after endovascular treatment: Report of a case. Brain Behav. 2020, 10, e01660. [Google Scholar] [CrossRef]
- Sasaki, R.; Ohya, Y.; Hayashida, S.; Maeda, Y.; Murahashi, S.; Kumamoto, S.; Tsuji, A.; Shibata, H.; Kuramoto, K.; Hayashi, H.; et al. A case of Trousseau’s syndrome due to intrahepatic cholangiocarcinoma with an extremely high level of CA19-9. Surg. Case Rep. 2020, 6, 75. [Google Scholar] [CrossRef]
- Nistor, C.E.; Ciuche, A.; Cucu, A.P.; Serban, B.; Cursaru, A.; Cretu, B.; Cirstoiu, C. Clavicular Malignancies: A Borderline Surgical Management. Medicina 2022, 58, 910. [Google Scholar] [CrossRef]
- Posch, F.; Königsbrügge, O.; Zielinski, C.; Pabinger, I.; Ay, C. Treatment of venous thromboembolism in patients with cancer: A network meta-analysis comparing efficacy and safety of anticoagulants. Thromb. Res. 2015, 136, 582–589. [Google Scholar] [CrossRef]
- Konstantinides, S.V.; Meyer, G.; Becattini, C.; Bueno, H.; Geersing, G.J.; Harjola, V.P.; Huisman, M.V.; Humbert, M.; Jennings, C.S.; Jiménez, D.; et al. 2019 ESC Guidelines for the diagnosis and management of acute pulmonary embolism developed in collaboration with the European Respiratory Society (ERS): The Task Force for the diagnosis and management of acute pulmonary embolism of the European Society of Cardiology (ESC). Eur. Respir. J 2019, 54, 1901647. [Google Scholar] [CrossRef]
- Raskob, G.E.; van Es, N.; Verhamme, P.; Carrier, M.; Di Nisio, M.; Garcia, D.; Grosso, M.A.; Kakkar, A.K.; Kovacs, M.J.; Mercuri, M.F.; et al. Edoxaban for the Treatment of Cancer-Associated Venous Thromboembolism. N. Engl. J. Med. 2018, 378, 615–624. [Google Scholar] [CrossRef]
- Young, A.M.; Marshall, A.; Thirlwall, J.; Chapman, O.; Lokare, A.; Hill, C.; Hale, D.; Dunn, J.A.; Lyman, G.H.; Hutchinson, C.; et al. Comparison of an Oral Factor Xa Inhibitor with Low Molecular Weight Heparin in Patients with Cancer with Venous Thromboembolism: Results of a Randomized Trial (SELECT-D). J. Clin. Oncol. 2018, 36, 2017–2023. [Google Scholar] [CrossRef]
- Baloch, M.F.; Adepoju, A.V.; Falki, V.; Hajjaj, M.; Habet, T.; Habet, K.; Mahrosh, A.; Kundu, S.; Kataria, J.; Mathew, M.; et al. Comparative Efficacy of Oral Apixaban and Subcutaneous Low Molecular Weight Heparins in the Treatment of Cancer-Associated Thromboembolism: A Meta-Analysis. Cureus 2023, 15, e43447. [Google Scholar] [CrossRef] [PubMed]
- Iam-Arunthai, K.; Chamnanchanunt, S.; Thungthong, P.; Intalapaporn, P.; Nakhahes, C.; Suwanban, T.; Rojnuckarin, P. Thrombosis and Bleeding Risk Scores Are Strongly Associated with Mortality in Hospitalized Patients with COVID-19: A Multicenter Cohort Study. J. Clin. Med. 2024, 13, 1437. [Google Scholar] [CrossRef] [PubMed]
- Algarni, S.A.; ALGhasab, N.S.; Alharbi, M.S.; Albarrak, A.; Alanezi, A.A.; Al Shehri, H.M. Sex Differences and Clinical Outcomes of Patients with Coronavirus Disease 2019 Infection and Cerebral Venous Sinus Thrombosis: A Systematic Review. Clin. Appl. Thromb. Hemost. 2024, 30, 10760296241240748. [Google Scholar] [CrossRef]
- Liu, H.; Guo, N.; Zheng, Q.; Zhang, Q.; Chen, J.; Cai, Y.; Luo, Q.; Xu, Q.; Chen, X.; Yang, S.; et al. Association of interleukin-6, ferritin, and lactate dehydrogenase with venous thromboembolism in COVID-19: A systematic review and meta-analysis. BMC Infect. Dis. 2024, 24, 324. [Google Scholar] [CrossRef] [PubMed]
- Patel, S.S.; Tao, D.; McMurry, H.S.; Shatzel, J.J. Screening for occult cancer after unprovoked venous thromboembolism: Assessing the current literature and future directions. Eur. J. Haematol. 2023, 110, 24–31. [Google Scholar] [CrossRef]
- Nistor, C.E.; Găvan, C.S.; Ciritel, A.A.; Nemes, A.F.; Ciuche, A. The Association of Minimally Invasive Surgical Approaches and Mortality in Patients with Malignant Pleuropericarditis-A 10 Year Retrospective Observational Study. Medicina 2022, 58, 718. [Google Scholar] [CrossRef]
- Carrier, M.; Lazo-Langner, A.; Shivakumar, S.; Tagalakis, V.; Zarychanski, R.; Solymoss, S.; Routhier, N.; Douketis, J.; Danovitch, K.; Lee, A.Y.; et al. Screening for Occult Cancer in Unprovoked Venous Thromboembolism. N. Engl. J. Med. 2015, 373, 697–704. [Google Scholar] [CrossRef]
- Prandoni, P.; Bernardi, E.; Valle, F.D.; Visonà, A.; Tropeano, P.F.; Bova, C.; Bucherini, E.; Islam, M.S.; Piccioli, A. Extensive Computed Tomography versus Limited Screening for Detection of Occult Cancer in Unprovoked Venous Thromboembolism: A Multicenter, Controlled, Randomized Clinical Trial. Semin. Thromb. Hemost. 2016, 42, 884–890. [Google Scholar] [CrossRef]
- Robin, P.; Le Roux, P.Y.; Planquette, B.; Accassat, S.; Roy, P.M.; Couturaud, F.; Ghazzar, N.; Prevot-Bitot, N.; Couturier, O.; Delluc, A.; et al. Limited screening with versus without (18)F-fluorodeoxyglucose PET/CT for occult malignancy in unprovoked venous thromboembolism: An open-label randomised controlled trial. Lancet Oncol. 2016, 17, 193–199. [Google Scholar] [CrossRef]
- Robertson, L.; Yeoh, S.E.; Stansby, G.; Agarwal, R. Effect of testing for cancer on cancer- and venous thromboembolism (VTE)-related mortality and morbidity in patients with unprovoked VTE. Cochrane Database Syst. Rev. 2015, CD010837. [Google Scholar] [CrossRef]
- Delluc, A.; Antic, D.; Lecumberri, R.; Ay, C.; Meyer, G.; Carrier, M. Occult cancer screening in patients with venous thromboembolism: Guidance from the SSC of the ISTH. J. Thromb. Haemost. 2017, 15, 2076–2079. [Google Scholar] [CrossRef] [PubMed]
- Mount, H.R.; Rich, M.; Putnam, M.S. Recurrent Venous Thromboembolism. Am. Fam. Physician 2022, 105, 377–385. [Google Scholar] [PubMed]
- Stanietzky, N.; Salem, A.E.; Elsayes, K.M.; Rezvani, M.; Palmquist, S.; Ahmed, I.; Marey, A.; Faria, S.; Gaballah, A.H.; Menias, C.O.; et al. Unusual liver tumors: Spectrum of imaging findings with pathologic correlation. Diagn. Interv. Radiol. 2024. [Google Scholar] [CrossRef]
- Cao, J.; Srinivas-Rao, S.; Mroueh, N.; Anand, R.; Kongboonvijit, S.; Sertic, M.; Shenoy-Bhangle, A.S.; Kambadakone, A. Cholangiocarcinoma imaging: From diagnosis to response assessment. Abdom. Radiol. 2024, 49, 1699–1715. [Google Scholar] [CrossRef] [PubMed]
- Mendiratta-Lala, M.; Fetzer, D.; Kamaya, A.; Parikh, N.D.; Singal, A.G. The Future Role of Abdominal US in Hepatocellular Carcinoma Surveillance. Radiology 2024, 311, e232624. [Google Scholar] [CrossRef]
- Fang, C.; Sun, H.; Wen, J.; Wu, X.; Wu, Q.; Zhai, D. Investigation of the relationship between COVID-19 and pancreatic cancer using bioinformatics and systems biology approaches. Medicine 2024, 103, e39057. [Google Scholar] [CrossRef]
- Scharf, C.; Mongardini, F.M.; Fisone, F.; Briatico, G.; Brancaccio, G.; Chirico, F.; Tolone, S.; Docimo, L.; Gambardella, C.; Lucido, F.; et al. Impact of the COVID pandemic on melanoma thickness and ulceration: A meta-analysis. Int. J. Dermatol. 2024. [Google Scholar] [CrossRef]
- Ng, H.J.; Alata, M.K.; Nguyen, Q.T.; Huynh Duc Vinh, P.; Tan, J.Y.; Wong, C.L. Managing and treating COVID-19 in patients with hematological malignancies: A narrative review and expert insights. Clin. Exp. Med. 2024, 24, 119. [Google Scholar] [CrossRef]





| First Author Year of Publication Reference Number | Patient’ Age and Sex | Clinical Presentation | Thrombosis Site | Anticoagulation | Outcome |
|---|---|---|---|---|---|
| Ching (1991) [48] | 76, M | NA | Portal vein | N/A | Death, 5 days later |
| Martins (1994)—case 1 [49] | 67, M | Clinical signs of deep vein thrombosis of right leg (history of primary sclerosing cholangitis, inflammatory bowel disease, and chronic pancreatitis) | Deep vein thrombosis of right leg; 1 month later: superficial thrombophlebitis and deep vein thrombosis of left leg (under warfarin) | Warfarin | Death, 8 weeks later |
| Martins (1994)—case 2 (1994) [49] | 39, M | Clinical signs of deep vein thrombosis of the leg (history of ulcerative colitis and primary sclerosing cholangitis) | Deep vein thrombosis of the leg; migratory superficial thrombophlebitis shortly after | NA | Death, 6 weeks later |
| Hernandez (1998) [50] | 45, F | Sudden dyspnoea | Deep vein thrombosis of left femoral vein; bilateral pulmonary embolism; portal vein and iliac vein thrombosis | Heparin | Death, a few days later |
| Samadian (1999) [51] | 78, F | Pain and swelling in left leg | Deep vein thrombosis of the legs (third episode in 2 years); pulmonary embolism | Warfarin (at presentation INR of 2.2; pulmonary embolism developed while INR was 3) | Death, 2 years after the first thrombotic event |
| Koskinas (2000) [52] | 30, F | Six days of progressive shortness of breath; severe respiratory distress with circulatory collapse on admission (HBsAg positive) | Massive pulmonary embolism | NA | Death, a few hours after admission. Autopsy–combined hepatocellular-cholangiocarcinoma infiltrating the entire liver, metastatic invasion of lung blood vessels |
| Bandyopadhyay (2003) [53] | 38, F | Pain and swelling of left lower limb; 3 months later: two episodes of hematemesis over 1 week and melena; 4 months later: progressive jaundice with pruritus, dull ache in the right upper abdomen | Deep vein thrombosis of left femoral vein; 3 months later, splenic vein thrombosis; 4 months later, multiple thrombi in the portal vein, splenic vein, and intrahepatic portion of inferior vena cava | Warfarin | Patient refused therapy. Of note: normal abdominal ultrasound during the first and second thrombotic episodes |
| Tasi (2004) [54] | 57, F | Right hemiplegia; leg tenderness; 1 month later: recurrent left-side limb weakness and disturbance of consciousness (recent history of CCA treated with surgery and palliative radiotherapy) | Left middle cerebral arterial infarction; deep vein thrombosis of the lower limbs; 1 month later: extensive hyper-acute infarction of right posterior frontotemporal lobe; thrombosis of inferior vena cava and left ventricle | Warfarin–partial resolution of symptoms; 1 month later: enoxaparin–thrombotic process continued despite treatment | Death, 1 month later |
| Jang (2006) [55] | 56, M | Weight loss and mild shortness of breath | Pulmonary embolism | Low-molecular- weight heparin | No thrombosis at 3 months follow-up |
| Vysetti (2009) [56] | 55, M | Worsening left lower extremity pain and swelling of 2 days | Extensive thrombosis in all segments of the deep veins | Heparin | Resolution of symptoms after salvage left iliac thrombectomy |
| Muñoz-Ortego (2011) [57] | 51, F | Fever and decreasing consciousness in the previous 24 h, aphasia, leftward gaze deviation | Multiple strokes; infarct of right lung, left kidney, and spleen; mitral valve vegetation | Heparin (blood tests were positive for lupus anticoagulant and antinuclear antibodies; patient was considered to have catastrophic antiphospholipid syndrome) | Death, unknown timing; on autopsy—lung adenocarcinoma and intrahepatic cholangiocarcinoma |
| Gnanapandithan (2014) [58] | 62, M | Progressively worsening diffuse abdominal pain over 4 days (history of gall bladder carcinoma, right nephrectomy for renal cell carcinoma; anticoagulation with warfarin for mechanical aortic valve) | Extensive portal and superior mesenteric vein thrombosis, which extended under therapy with warfarin | Warfarin (chronic treatment), low-molecular-weight heparin | Discharged on low-molecular-weight heparin and total parenteral nutrition. Of note: a mass in the region of the hepatic hilum was identified only 4 months after the initial presentation, when the patient had developed jaundice |
| Chang (2014) [59] | 47, M | Pain and swelling in left lower extremity (5 days after a 16 h train ride), right sided chest pain, shortness of breath, and haemoptysis (history of self-injections with testosterone) | Proximal common femoral vein; bilateral inferior sub-segmental pulmonary embolism. During hospitalisation also developed deep vein thrombosis of both lower limbs, extending into inferior vena cava; right atrial thrombosis causing acute embolic stroke to the territory of the left middle cerebral artery (through patent foramen oval) | Heparin (patient also received an inferior vena cava filter and regional thrombolysis) | Death, shortly after the stroke |
| Yuri (2014) [60] | 73, F | Light-headedness and dementia of unknown cause for 6 months | Right cortex cerebral infarction; mitral valve vegetation; thrombotic lesions in rectum and spleen | Anticoagulant therapy | Death, 3 months later |
| Vakil (2015) [61] | 64, M | Four-week history of right upper quadrant abdominal pain, early satiety | Extensive portal, splenic superior and inferior mesenteric vein thrombosis with wedge-shaped areas of liver perfusion abnormalities | Warfarin and intravenous heparin | Death, 10 days later. Autopsy revealed extensive, diffuse intrahepatic CCA that had almost replaced normal liver parenchyma |
| Blum (2016) [62] | 69, M | Ten days of worsening right upper quadrant abdominal pain, anorexia, dark urine | Portal vein, pulmonary saddle embolus | Heparin | Death, 1 week later |
| Dunn (2017) [63] | 71, M | Right-sided visual disturbance, vague history of left hand discoloration and parenthesis (history of hypertension and diabetes) | Multiple infarcts in occipital lobe, thalamus and both cerebellar hemispheres; thrombosis of left subclavian artery, segmental pulmonary arteries, and superior mesenteric artery. Of note: no evidence of venous or intra-cardiac thrombosis or thrombophilia | Therapeutic anticoagulation | Good response to chemotherapy and radiation |
| Zhang (2019) [64] | 59, F | Sudden dysfunction of left upper limb with pain and paralysis 8 h before admission; severe dyspnoea after exercise 6 days prior | Left brachial artery; left muscular calf vein; pulmonary embolism: inferior left lobe, right middle, and right lower lobes | Argatroban associated with catheter directed thrombolysis of the brachial artery; Rivaroxaban for systemic anticoagulation | Alive at 6 months, no recurrence of paradoxical embolism or major bleeding (patient was diagnosed with patent foramen oval with atrial septal aneurysm and complete right to left shunt) |
| Murahashi (2020) [65] | 59, F | Upper abdominal pain, nausea, dizziness | Shower embolization under cortex of left temporal lobe and parietal lobe; renal infarction. On day 9: occlusion of proximal right middle cerebral artery | Heparin | Good evolution after right hepatectomy and partial diaphragmatic resection |
| Sasaki (2020) [66] | 59, F | Abdominal pain, headache, and nausea | Splenic and bilateral renal infarction; multiple acute cerebral infarctions; 1 week later: thrombosis of the right middle cerebral artery (under-dosed heparin) | Heparin; low-molecular-weight heparin switch before discharge | Alive at 6 months, with no thrombotic events (following surgical treatment and chemotherapy) |
| First Author Reference Number | Study Design | Studied Population | Outcome |
|---|---|---|---|
| Huang [9] | Chart review (1-year single hospital experience in 2020) | N1 = 164 COVID-19 patients; N2 = 492 non-COVID-19 patients (all patients diagnosed with sepsis, were older than 18 years, and were admitted to intensive care unit) | N1 versus N2 were older (p = 0.021). N1 versus N2 had higher body mass index (p < 0.001). N1 = N2 had similar risk of thrombosis (OR = 0.85; 95%CI: 0.42–1.72). N1 versus N2 had lower risk of mortality (OR = 0.33; 95%CI:0.16–0.66). |
| Othman [10] | Systematic review | n = 33 studies in hospitalized patients with COVID-19 | COVID-19 patients: rate of venous thromboembolism (deep vein thrombosis: 0.4–84%, and pulmonary embolism: 1–40%) was higher versus arterial thromboembolism (stroke: 0.5–15.2%, and myocardial infarction: 0.8–8.7%). All-cause mortality due to thromboembolism complications: 5–48%. |
| Khoshnegah [5] | Systematic review and meta-analysis | n = 28 studies that provided protein C and S assays in COVID-19 patients | Protein C activity was lower in COVID-19 patients versus controls (pooled p = 0.004). Protein S activity was lower in COVID-19 patients versus controls (pooled p = 0.002). Protein C activity was lower in non-surviving versus surviving COVID-19 patients (pooled p < 0.0001). No association between protein C and S activity and thrombosis risk (p > 0.05). |
| Iam-Arunthai [73] | Retrospective cohort (2-year multicentre experience, between 2021 and 2022) | N = 160 hospitalised patients with COVID-19 | Rate of thrombotic complications: 12.5%. Rate of mortality: 36.3%. Low-molecular-weight heparin did not decrease the incidence of venous thromboembolism (risk group stratification). |
| Algarni [74] | Systematic review of published cases | N = 212 patients with cerebral venous sinus thrombosis and COVID-19 | Higher risk for the condition in smokers (mostly men) and women under oral contraceptives or diagnosed with autoimmune diseases. In-hospital mortality rate: 21.3% (overall mortality rate for males: 65.2% versus females 34.8%, p = 0.027). |
| Liu [75] | Systematic review and meta-analysis | n = 17 (from January 2019 to October 2020) N = 7035 COVID-19 patients (weighted mean age of 60.01 years; 62.64% males) | Weighted mean difference for patients with versus without venous thromboembolism: interleukin-6 = 31.15 (95%CI: 9.82–52.49); ferritin = 257.02 (95%CI: 51.7–462.33); LDH = 41.79 (95%: 19.38–102.96) (similar LDH). |
Disclaimer/Publisher’s Note: The statements, opinions and data contained in all publications are solely those of the individual author(s) and contributor(s) and not of MDPI and/or the editor(s). MDPI and/or the editor(s) disclaim responsibility for any injury to people or property resulting from any ideas, methods, instructions or products referred to in the content. |
© 2024 by the authors. Licensee MDPI, Basel, Switzerland. This article is an open access article distributed under the terms and conditions of the Creative Commons Attribution (CC BY) license (https://creativecommons.org/licenses/by/4.0/).
Share and Cite
Ciobica, M.-L.; Sandulescu, B.-A.; Sotcan, M.A.; Dumitrescu, L.-M.-F.; Eftimie, L.-G.; Calin, C.-I.; Iordache, M.; Cuzino, D.; Carsote, M.; Nistor, C.; et al. Superficial Vein Thrombosis in an Asymptomatic Case of Cholangiocarcinoma with Recent History of COVID-19. Life 2024, 14, 1095. https://doi.org/10.3390/life14091095
Ciobica M-L, Sandulescu B-A, Sotcan MA, Dumitrescu L-M-F, Eftimie L-G, Calin C-I, Iordache M, Cuzino D, Carsote M, Nistor C, et al. Superficial Vein Thrombosis in an Asymptomatic Case of Cholangiocarcinoma with Recent History of COVID-19. Life. 2024; 14(9):1095. https://doi.org/10.3390/life14091095
Chicago/Turabian StyleCiobica, Mihai-Lucian, Bianca-Andreea Sandulescu, Mihai Alexandru Sotcan, Lucian-Marius-Florin Dumitrescu, Lucian-George Eftimie, Cezar-Ionut Calin, Mihaela Iordache, Dragos Cuzino, Mara Carsote, Claudiu Nistor, and et al. 2024. "Superficial Vein Thrombosis in an Asymptomatic Case of Cholangiocarcinoma with Recent History of COVID-19" Life 14, no. 9: 1095. https://doi.org/10.3390/life14091095
APA StyleCiobica, M.-L., Sandulescu, B.-A., Sotcan, M. A., Dumitrescu, L.-M.-F., Eftimie, L.-G., Calin, C.-I., Iordache, M., Cuzino, D., Carsote, M., Nistor, C., & Radu, A.-M. (2024). Superficial Vein Thrombosis in an Asymptomatic Case of Cholangiocarcinoma with Recent History of COVID-19. Life, 14(9), 1095. https://doi.org/10.3390/life14091095

