Single Center Characterization of a Cohort of Salivary Gland Carcinomas
Abstract
1. Introduction
2. Materials and Methods
2.1. Patient Selection
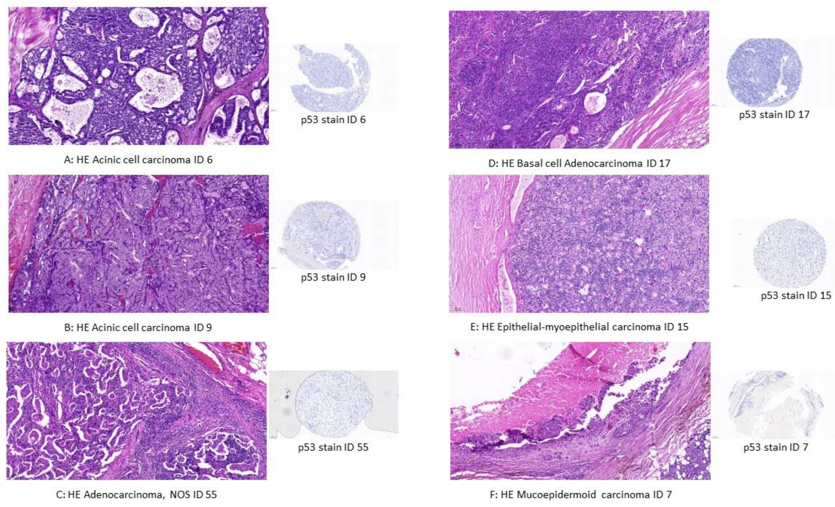
2.2. Preparation of a Tissue Microarray (TMA)
2.3. Immunohistochemistry
2.4. Evaluation of Staining
2.5. Nucleic Acid Extraction
2.6. DNA Quality Control
2.7. MSI Testing by Fragment Analysis
2.8. IdyllaTM MSI Assay
2.9. Statistical Analysis
3. Results
3.1. Characteristics of the Investigated Cohort
3.2. p53 Status in Relation to Tumor Characteristics
3.3. MSI Status in Relation to Immunohistochemistry
3.4. MSI Status According to IdyllaTM MSI Test
3.5. DNA Quality Control and MSI Status by Fragment Analysis
4. Discussion
5. Conclusions
Supplementary Materials
Author Contributions
Funding
Institutional Review Board Statement
Informed Consent Statement
Data Availability Statement
Conflicts of Interest
References
- Geiger, J.L.; Ismaila, N.; Beadle, B.; Caudell, J.J.; Chau, N.; Deschler, D.; Glastonbury, C.; Kaufman, M.; Lamarre, E.; Lau, H.Y.; et al. Management of Salivary Gland Malignancy: ASCO Guideline. J. Clin. Oncol. 2021, 39, 1909–1941. [Google Scholar] [CrossRef]
- Mete, O.; Wenig, B.M. Update from the 5th Edition of the World Health Organization Classification of Head and Neck Tumors: Overview of the 2022 WHO Classification of Head and Neck Neuroendocrine Neoplasms. Head Neck Pathol. 2022, 16, 123–142. [Google Scholar] [CrossRef]
- Meyer, M.T.; Watermann, C.; Dreyer, T.; Ergün, S.; Karnati, S. 2021 Update on Diagnostic Markers and Translocation in Salivary Gland Tumors. Int. J. Mol. Sci. 2021, 22, 6771. [Google Scholar] [CrossRef] [PubMed]
- Young, L.C.; Keuling, A.M.; Lai, R.; Nation, P.N.; Tron, V.A.; Andrew, S.E. The associated contributions of p53 and the DNA mismatch repair protein Msh6 to spontaneous tumorigenesis. Carcinogenesis 2007, 28, 2131–2138. [Google Scholar] [CrossRef] [PubMed]
- Gallo, O.; Franchi, A.; Bianchi, S.; Boddi, V.; Giannelli, E.; Alajmo, E. p53 oncoprotein expression in parotid gland carcinoma is associated with clinical outcome. Cancer 1995, 75, 2037–2044. [Google Scholar] [CrossRef] [PubMed]
- de Araújo, V.; Martins, M.; Leite, K.; Gomez, R.; de Araújo, N. Immunohistochemical Mdm2 expression in minor salivary gland tumours and its relationship to p53 gene status. Oral. Oncol. 1999, 36, 67–69. [Google Scholar] [CrossRef]
- Kesar, N.; Winkelmann, R.; Oppermann, J.; Ghanaati, S.; Martin, D.; Neumayer, T.; Balster, S.; Rödel, C.; Rödel, F.; von der Grün, J.; et al. Prognostic impact of CD8-positive tumour-infiltrating lymphocytes and PD-L1 expression in salivary gland cancer. Oral. Oncol. 2020, 111, 104931. [Google Scholar] [CrossRef]
- Kang, E.J.; Ahn, M.-J.; Ock, C.-Y.; Lee, K.-W.; Kwon, J.H.; Yang, Y.; Choi, Y.H.; Kim, M.K.; Ji, J.H.; Yun, T.; et al. Randomized Phase II Study of Axitinib versus Observation in Patients with Recurred or Metastatic Adenoid Cystic Carcinoma. Clin. Cancer Res. 2021, 27, 5272–5279. [Google Scholar] [CrossRef]
- Tchekmedyian, V.; Sherman, E.J.; Dunn, L.; Tran, C.; Baxi, S.; Katabi, N.; Antonescu, C.R.; Ostrovnaya, I.; Haque, S.S.; Pfister, D.G.; et al. Phase II Study of Lenvatinib in Patients with Progressive, Recurrent or Metastatic Adenoid Cystic Carcinoma. J. Clin. Oncol. 2019, 37, 1529–1537. [Google Scholar] [CrossRef]
- Cilona, M.; Locatello, L.G.; Novelli, L.; Gallo, O. The Mismatch Repair System (MMR) in Head and Neck Carcinogenesis and Its Role in Modulating the Response to Immunotherapy: A Critical Review. Cancers 2020, 12, 3006. [Google Scholar] [CrossRef]
- Farmkiss, L.; Hopkins, I.; Jones, M. Idylla microsatellite instability assay versus mismatch repair immunohistochemistry: A retrospective comparison in gastric adenocarcinoma. J. Clin. Pathol. 2020, 74, 604–607. [Google Scholar] [CrossRef] [PubMed]
- Le, D.T.; Uram, J.N.; Wang, H.; Bartlett, B.R.; Kemberling, H.; Eyring, A.D.; Skora, A.D.; Luber, B.S.; Azad, N.S.; Laheru, D.; et al. PD-1 Blockade in Tumors with Mismatch-Repair Deficiency. N. Engl. J. Med. 2015, 372, 2509–2520. [Google Scholar] [CrossRef] [PubMed]
- Luchini, C.; Bibeau, F.; Ligtenberg, M.; Singh, N.; Nottegar, A.; Bosse, T.; Miller, R.; Riaz, N.; Douillard, J.-Y.; Andre, F.; et al. ESMO recommendations on microsatellite instability testing for immunotherapy in cancer, and its relationship with PD-1/PD-L1 expression and tumour mutational burden: A systematic review-based approach. Ann. Oncol. 2019, 30, 1232–1243. [Google Scholar] [CrossRef]
- Yang, G.; Zheng, R.-Y.; Jin, Z.-S. Correlations between microsatellite instability and the biological behaviour of tumours. J. Cancer Res. Clin. Oncol. 2019, 145, 2891–2899. [Google Scholar] [CrossRef]
- Köbel, M.; Ronnett, B.M.; Singh, N.; Soslow, R.A.; Gilks, C.B.; McCluggage, W.G. Interpretation of P53 Immunohistochemistry in Endometrial Carcinomas: Toward Increased Reproducibility. Int. J. Gynecol. Pathol. 2019, 38, S123–S131. [Google Scholar] [CrossRef] [PubMed]
- Verhaegh, G.W.; Parat, M.-O.; Richard, M.-J.; Hainaut, P. Modulation of p53 protein conformation and DNA-binding activity by intracellular chelation of zinc. Mol. Carcinog. 1998, 21, 205–214. [Google Scholar] [CrossRef]
- Pai, R.K.; Pai, R.K. A Practical Approach to the Evaluation of Gastrointestinal Tract Carcinomas for Lynch Syndrome. Am. J. Surg. Pathol. 2016, 40, 17–34. [Google Scholar] [CrossRef]
- Chen, W.; Frankel, W.L. A practical guide to biomarkers for the evaluation of colorectal cancer. Mod. Pathol. 2019, 32, 1–15. [Google Scholar] [CrossRef]
- De Craene, B.; Van de Velde, J.; Rondelez, E.; Vandenbroeck, L.; Peeters, K.; Vanhoey, T.; Elsen, N.; Vandercruyssen, G.; Melchior, L.; Willemoe, G.L.; et al. Detection of microsatellite instability (MSI) in colorectal cancer samples with a novel set of highly sensitive markers by means of the Idylla MSI Test prototype. J. Clin. Oncol. 2018, 36, 15. [Google Scholar] [CrossRef]
- Ukkola, I.; Nummela, P.; Pasanen, A.; Kero, M.; Lepistö, A.; Kytölä, S.; Bützow, R.; Ristimäki, A. Detection of microsatellite instability with Idylla MSI assay in colorectal and endometrial cancer. Virchows Arch. 2021, 479, 471–479. [Google Scholar] [CrossRef]
- Pusztaszeri, M.; Deschler, D.; Faquin, W.C. The 2021 ASCO guideline on the management of salivary gland malignancy endorses FNA biopsy and the risk stratification scheme proposed by the Milan System for Reporting Salivary Gland Cytopathology. Cancer Cytopathol. 2022, 131, 83–89. [Google Scholar] [CrossRef] [PubMed]
- Rodriguez-Ramirez, C.; Nör, J.E. p53 and Cell Fate: Sensitizing Head and Neck Cancer Stem Cells to Chemotherapy. Crit. Rev. Oncog. 2018, 23, 173–187. [Google Scholar] [CrossRef]
- Brown, C.J.; Lain, S.; Verma, C.S.; Fersht, A.R.; Lane, D.P. Awakening guardian angels: Drugging the p53 pathway. Nat. Rev. Cancer 2009, 9, 862–873. [Google Scholar] [CrossRef]
- Luukkaa, H.; Klemi, P.; Leivo, I.; Vahlberg, T.; Grénman, R. Prognostic significance of Ki-67 and p53 as tumor markers in salivary gland malignancies in Finland: An evaluation of 212 cases. Acta Oncol. 2006, 45, 669–675. [Google Scholar] [CrossRef]
- Gomes, C.C.; Diniz, M.G.; Orsine, L.A.; Duarte, A.P.; Fonseca-Silva, T.; Conn, B.I.; De Marco, L.; Pereira, C.M.; Gomez, R.S. Assessment of TP53 Mutations in Benign and Malignant Salivary Gland Neoplasms. PLoS ONE 2012, 7, 41261. [Google Scholar] [CrossRef] [PubMed]
- Sabapathy, K.; Lane, D.P. Understanding p53 functions through p53 antibodies. J. Mol. Cell Biol. 2019, 11, 317–329. [Google Scholar] [CrossRef]
- Marino, F.Z.; Amato, M.; Ronchi, A.; Panarese, I.; Ferraraccio, F.; De Vita, F.; Tirino, G.; Martinelli, E.; Troiani, T.; Facchini, G.; et al. Microsatellite Status Detection in Gastrointestinal Cancers: PCR/NGS Is Mandatory in Negative/Patchy MMR Immunohistochemistry. Cancers 2022, 14, 2204. [Google Scholar] [CrossRef] [PubMed]
- Chen, M.-L.; Chen, J.-Y.; Hu, J.; Chen, Q.; Yu, L.-X.; Liu, B.-R.; Qian, X.-P.; Yang, M. Comparison of microsatellite status detection methods in colorectal carcinoma. Int. J. Clin. Exp. Pathol. 2018, 11, 1431–1438. [Google Scholar]
- Lawes, D.; SenGupta, S.; Boulos, P. The clinical importance and prognostic implications of microsatellite instability in sporadic cancer. Eur. J. Surg. Oncol. (EJSO) 2003, 29, 201–212. [Google Scholar] [CrossRef]
- Engel, C.; Forberg, J.; Holinski-Feder, E.; Pagenstecher, C.; Plaschke, J.; Kloor, M.; Poremba, C.; Pox, C.P.; Rüschoff, J.; Keller, G.; et al. Novel strategy for optimal sequential application of clinical criteria, immunohistochemistry and microsatellite analysis in the diagnosis of hereditary nonpolyposis colorectal cancer. Int. J. Cancer 2005, 118, 115–122. [Google Scholar] [CrossRef]
- Peltomäki, P. Update on Lynch syndrome genomics. Fam. Cancer 2016, 15, 385–393. [Google Scholar] [CrossRef] [PubMed]
- Siemanowski, J.; Schömig-Markiefka, B.; Buhl, T.; Haak, A.; Siebolts, U.; Dietmaier, W.; Arens, N.; Pauly, N.; Ataseven, B.; Büttner, R.; et al. Managing Difficulties of Microsatellite Instability Testing in Endometrial Cancer-Limitations and Advantages of Four Different PCR-Based Approaches. Cancers 2021, 13, 1268. [Google Scholar] [CrossRef]
- Rüschoff, J.; Baretton, J.; Bläker, H.; Dietmaier, W.; Dietel, M.; Hartmann, A.; Horn, L.-C.; Jöhrens, K.; Kirchner, T.; Knüchel, R.; et al. MSI testing: What is new? What should be considered? German version. Pathologe 2021, 42, 414–423. [Google Scholar] [CrossRef]
- Demokan, S.; Suoglu, Y.; Demir, D.; Gozeler, M.; Dalay, N. Microsatellite instability and methylation of the DNA mismatch repair genes in head and neck cancer. Ann. Oncol. 2006, 17, 995–999. [Google Scholar] [CrossRef]
- Ohki, K.; Kumamoto, H.; Ichinohasama, R.; Suzuki, M.; Yamaguchi, T.; Echigo, S.; Motegi, K.; Ooya, K. Genetic analysis of DNA microsatellite loci in salivary gland tumours: Comparison with immunohistochemical detection of hMSH2 and p53 proteins. Int. J. Oral. Maxillofac. Surg. 2001, 30, 538–544. [Google Scholar] [CrossRef] [PubMed]
- Shin, K.-H.; Park, K.-H.; Hong, H.J.; Kim, J.-M.; Oh, J.-E.; Choung, P.-H.; Min, B.-M. Prevalence of microsatellite instability, inactivation of mismatch repair genes, p53 mutation, and human papillomavirus infection in Korean oral cancer patients. Int. J. Oncol. 2002, 21, 297–302. [Google Scholar] [CrossRef] [PubMed]
- Freiberger, S.N.; Brada, M.; Fritz, C.; Höller, S.; Vogetseder, A.; Horcic, M.; Bihl, M.; Michal, M.; Lanzer, M.; Wartenberg, M.; et al. SalvGlandDx—A comprehensive salivary gland neoplasm specific next generation sequencing panel to facilitate diagnosis and identify therapeutic targets. Neoplasia 2021, 23, 473–487. [Google Scholar] [CrossRef]


| Characteristics | n | % | |
|---|---|---|---|
| Gender | Male | 43 | 60 |
| Female | 29 | 40 | |
| Localization | Parotid gland | 53 | 74 |
| Submandibular gland | 6 | 8 | |
| Minor salivary glands | 13 | 18 | |
| pT | 1 | 20 | 28 |
| 2 | 5 | 7 | |
| 3 | 37 | 51 | |
| 4 | 10 | 14 | |
| pN | 0 | 29 | 40 |
| pN1 or higher | 27 | 38 | |
| X | 16 | 22 | |
| L | 0 | 44 | 61 |
| 1 | 28 | 39 | |
| V | 0 | 65 | 90 |
| 1 | 7 | 10 | |
| Pn | 0 | 50 | 69 |
| 1 | 21 | 29 | |
| X | 1 | 1 | |
| R | 0 | 44 | 61 |
| 1 | 20 | 28 | |
| 2 | 1 | 1 | |
| X | 7 | 10 | |
| cM | 0 | 66 | 92 |
| 1 | 3 | 4 | |
| X | 3 | 4 | |
| Histology | Acinic cell carcinoma | 9 | 13 |
| Adenocarcinoma (NOS) | 15 | 21 | |
| Adenoid cystic carcinoma | 10 | 14 | |
| Basal cell adenocarcinoma | 2 | 3 | |
| Carcinoma ex pleomorphic adenoma | 6 | 8 | |
| Epithelial-myoepithelial carcinoma | 2 | 3 | |
| Mucoepidermoid carcinoma | 15 | 21 | |
| Myoepithelial carcinoma | 1 | 1 | |
| Polymorphous adenocarcinoma | 3 | 4 | |
| Salivary duct carcinoma | 9 | 13 |
| Low Risk (n = 27) | High Risk (n = 45) | |||||
|---|---|---|---|---|---|---|
| n | % | n | % | p (Χ2) | ||
| Age | <61 | 15 | 56 | 23 | 51 | 0.715 |
| ≥61 | 12 | 44 | 22 | 49 | ||
| Sex | Male | 10 | 37 | 33 | 73 | 0.002 |
| Female | 17 | 63 | 12 | 27 | ||
| Localization | Parotid | 19 | 70 | 34 | 76 | 0.265 |
| Submandibular gland | 1 | 4 | 5 | 11 | ||
| Glandulae minores | 7 | 26 | 6 | 13 | ||
| pT | 1 | 11 | 41 | 9 | 20 | 0.129 |
| 2 | 3 | 11 | 2 | 4 | ||
| 3 | 10 | 37 | 27 | 60 | ||
| 4 | 3 | 11 | 7 | 16 | ||
| pN | 0 | 17 | 63 | 12 | 27 | <0.001 |
| pN1–3 | 0 | 0 | 27 | 60 | ||
| X | 10 | 37 | 6 | 13 | ||
| cM | 0 | 25 | 93 | 41 | 91 | 0.182 |
| 1 | 0 | 0 | 3 | 7 | ||
| Missing | 2 | 7 | 1 | 2 | ||
| L | 0 | 26 | 96 | 18 | 40 | <0.001 |
| 1 | 1 | 4 | 27 | 60 | ||
| V | 0 | 26 | 96 | 39 | 87 | 0.182 |
| 1 | 1 | 4 | 6 | 13 | ||
| Pn | 0 | 25 | 93 | 25 | 56 | 0.002 |
| 1 | 2 | 7 | 19 | 42 | ||
| X | 0 | 0 | 1 | 2 | ||
| p53 IHC 1 | WT | 14 | 52 | 23 | 51 | 0.951 |
| Mut | 13 | 48 | 22 | 49 | ||
| MSI IHC | Proficient | 23 | 85 | 39 | 87 | 0.158 |
| Deficient | 4 | 15 | 2 | 4 | ||
| NA | 0 | 0 | 4 | 9 |
| A Univariate Cox Regression Analysis | B Multivariate Cox Regression Analysis | ||||||||
|---|---|---|---|---|---|---|---|---|---|
| Characteristics | Categorization | p | Hazard Ratio | Confidence Interval | p | Hazard Ratio | Confidence Interval | ||
| Age | <61 years/≥61 years | 0.015 | 0.337 | 0.14 | 0.809 | 0.122 | 0.476 | 0.186 | 1.218 |
| Gender | Male/female | 0.636 | 0.81 | 0.338 | 1.94 | ||||
| Localization | Parotid/other localizations | 0.058 | 0.467 | 0.213 | 1.026 | ||||
| pT | pT1, pT2/pT3, pT4 | 0.009 | 5.111 | 1.497 | 17.45 | 0.037 | 3.943 | 1.089 | 14.273 |
| pN | pN0/pN > 0 excl. pNX | 0.002 | 5.131 | 1.839 | 14.312 | 0.014 | 25.387 | 1.928 | 334.365 |
| cM | M0/M1 | 0.443 | 0.039 | 0.000 | 153.661 | ||||
| L | L0/L1 | 0.002 | 4.124 | 1.708 | 9.961 | 0.085 | 2.677 | 0.873 | 8.205 |
| V | V0/V1 | 0.003 | 5.07 | 1.742 | 14.757 | 0.296 | 1.853 | 0.583 | 5.883 |
| Pn | Pn0/Pn1 | 0.562 | 1.082 | 0.829 | 1.411 | ||||
| Risk factor | Low risk/high risk | 0.037 | 0.315 | 0.106 | 0.934 | 0.455 | 0.610 | 0.166 | 2.235 |
| p53 IHC (DO-7) | WT/Mut | 0.790 | 1.127 | 0.468 | 2.71 | ||||
| MSI IHC | MSS/MSI | 0.996 | 0.997 | 0 | 3.643 |
| ID | Morphologic Subtype | MLH1 IHC | PMS2 IHC | MSH6 IHC | MSH2 IHC | IdyllaTM MSI TEST | Fragment Length Analysis |
|---|---|---|---|---|---|---|---|
| 6 | Acinic cell carcinoma | 0 | NA | NA | 0 | MSS | 1/2 MSS * |
| 9 | Acinic cell carcinoma | 0 | 0 | 0 | 0 | MSS | MSS |
| 55 | Adenocarcinoma, NOS | NA | 0 | 0 | 0 | MSS | 1/2 MSS * |
| 17 | Basal cell adenocarcinoma | 0 | 0 | 0 | 0 | invalid | invalid |
| 15 | Epithelial-myoepithelial carcinoma | 0 | 0 | 0 | 0 | MSS | MSS |
| 7 | Mucoepidermoid carcinoma | 0 | 0 | 0 | 0 | invalid | invalid |
Disclaimer/Publisher’s Note: The statements, opinions and data contained in all publications are solely those of the individual author(s) and contributor(s) and not of MDPI and/or the editor(s). MDPI and/or the editor(s) disclaim responsibility for any injury to people or property resulting from any ideas, methods, instructions or products referred to in the content. |
© 2024 by the authors. Licensee MDPI, Basel, Switzerland. This article is an open access article distributed under the terms and conditions of the Creative Commons Attribution (CC BY) license (https://creativecommons.org/licenses/by/4.0/).
Share and Cite
Winkelmann, R.; Weißgerber, M.; Wild, P.J.; Bein, J.; Fleischmann, M.; Demes, M.; Balermpas, P.; Loth, A.; Bankov, K.; von der Grün, J. Single Center Characterization of a Cohort of Salivary Gland Carcinomas. Life 2024, 14, 1089. https://doi.org/10.3390/life14091089
Winkelmann R, Weißgerber M, Wild PJ, Bein J, Fleischmann M, Demes M, Balermpas P, Loth A, Bankov K, von der Grün J. Single Center Characterization of a Cohort of Salivary Gland Carcinomas. Life. 2024; 14(9):1089. https://doi.org/10.3390/life14091089
Chicago/Turabian StyleWinkelmann, Ria, Maja Weißgerber, Peter J. Wild, Julia Bein, Maximilian Fleischmann, Melanie Demes, Panagiotis Balermpas, Andreas Loth, Katrin Bankov, and Jens von der Grün. 2024. "Single Center Characterization of a Cohort of Salivary Gland Carcinomas" Life 14, no. 9: 1089. https://doi.org/10.3390/life14091089
APA StyleWinkelmann, R., Weißgerber, M., Wild, P. J., Bein, J., Fleischmann, M., Demes, M., Balermpas, P., Loth, A., Bankov, K., & von der Grün, J. (2024). Single Center Characterization of a Cohort of Salivary Gland Carcinomas. Life, 14(9), 1089. https://doi.org/10.3390/life14091089

