Abdominal Parietal Metastasis from Cervical Cancer: A Review of One of the Most Uncommon Sites of Recurrence Including a Report of a New Case
Abstract
1. Introduction
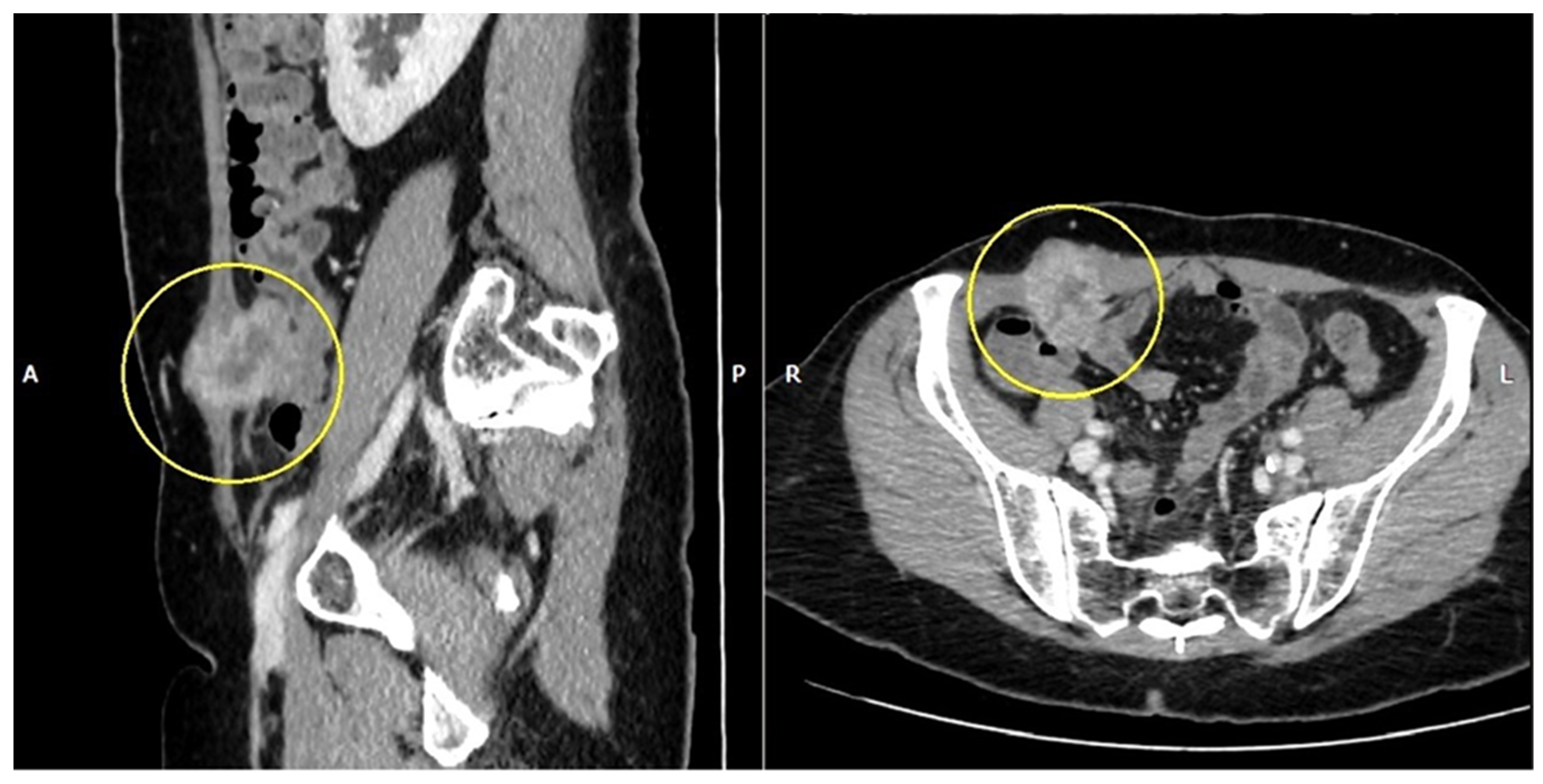
2. Case Description
3. Discussion
4. Conclusions
Author Contributions
Funding
Institutional Review Board Statement
Informed Consent Statement
Data Availability Statement
Acknowledgments
Conflicts of Interest
References
- Sung, H.; Ferlay, J.; Siegel, R.L.; Laversanne, M.; Soerjomataram, I.; Jemal, A.; Bray, F. Global Cancer Statistics 2020: GLOBOCAN Estimates of Incidence and Mortality Worldwide for 36 Cancers in 185 Countries. CA Cancer J. Clin. 2021, 71, 209–249. [Google Scholar] [CrossRef] [PubMed]
- Mullapally, S.K.; Digumarti, L.; Digumarti, R. Cervical Cancer in Low- and Middle-Income Countries: A Multidimensional Approach to Closing the Gaps. JCO Oncol. Pract. 2022, 18, 423–425. [Google Scholar] [CrossRef] [PubMed]
- Crosbie, E.J.; Einstein, M.H.; Franceschi, S.; Kitchener, H.C. Human Papillomavirus and Cervical Cancer. Lancet 2013, 382, 889–899. [Google Scholar] [CrossRef] [PubMed]
- Gilles, C.; Konopnicki, D.; Rozenberg, S. The Recent Natural History of Human Papillomavirus Cervical Infection in Women Living with HIV: A Scoping Review of Meta-analyses and Systematic Reviews and the Construction of a Hypothetical Model. HIV Med. 2023, 24, 877–892. [Google Scholar] [CrossRef] [PubMed]
- Ghebre, R.G.; Grover, S.; Xu, M.J.; Chuang, L.T.; Simonds, H. Cervical Cancer Control in HIV-Infected Women: Past, Present and Future. Gynecol. Oncol. Rep. 2017, 21, 101–108. [Google Scholar] [CrossRef] [PubMed]
- Wichmann, I.A.; Cuello, M.A. Obesity and Gynecological Cancers: A Toxic Relationship. Int. J. Gynecol. Obstet. 2021, 155, 123–134. [Google Scholar] [CrossRef] [PubMed]
- Roura, E.; Castellsagué, X.; Pawlita, M.; Travier, N.; Waterboer, T.; Margall, N.; Bosch, F.X.; de Sanjosé, S.; Dillner, J.; Gram, I.T.; et al. Smoking as a Major Risk Factor for Cervical Cancer and Pre-Cancer: Results from the EPIC Cohort. Int. J. Cancer 2014, 135, 453–466. [Google Scholar] [CrossRef] [PubMed]
- Tekalegn, Y.; Sahiledengle, B.; Woldeyohannes, D.; Atlaw, D.; Degno, S.; Desta, F.; Bekele, K.; Aseffa, T.; Gezahegn, H.; Kene, C. High Parity Is Associated with Increased Risk of Cervical Cancer: Systematic Review and Meta-Analysis of Case-Control Studies. Womens Health 2022, 18, 17455065221075904. [Google Scholar] [CrossRef] [PubMed]
- Ghosh, C.; Baker, J.A.; Moysich, K.B.; Rivera, R.; Brasure, J.R.; McCann, S.E. Dietary Intakes of Selected Nutrients and Food Groups and Risk of Cervical Cancer. Nutr. Cancer 2008, 60, 331–341. [Google Scholar] [CrossRef]
- Haug, U.; Riedel, O.; Cholmakow-Bodechtel, C.; Olsson, L. First-Degree Relatives of Cancer Patients: A Target Group for Primary Prevention? A Cross-Sectional Study. Br. J. Cancer 2018, 118, 1255–1261. [Google Scholar] [CrossRef]
- NCCN Guidelines for Cervical Cancer. Available online: https://www.nccn.org/professionals/physician_gls/pdf/cervical.pdf (accessed on 18 June 2023).
- Cibula, D.; Raspollini, M.R.; Planchamp, F.; Centeno, C.; Chargari, C.; Felix, A.; Fischerová, D.; Jahnn-Kuch, D.; Joly, F.; Kohler, C.; et al. ESGO/ESTRO/ESP Guidelines for the Management of Patients with Cervical Cancer—Update 2023 *. Int. J. Gynecol. Cancer 2023, 33, 649–666. [Google Scholar] [CrossRef]
- Nagy, V.; Rancea, A.; Coza, O.; Kacso, G.; Aldea, B.; Eniu, A. Ghid MS Conduita Cancer Col Uterin. Available online: http://old.ms.ro/index.php?pag=181&pg=5 (accessed on 4 March 2024).
- Hu, S.C.-S.; Chen, G.-S.; Wu, C.-S.; Chai, C.-Y.; Chen, W.-T.; Lan, C.-C.E. Rates of Cutaneous Metastases from Different Internal Malignancies: Experience from a Taiwanese Medical Center. J. Am. Acad. Dermatol. 2009, 60, 379–387. [Google Scholar] [CrossRef] [PubMed]
- Dai, Y.; Zhang, Y.; Ke, X.; Liu, Y.; Zang, C. Cutaneous Metastasis from Cervical Cancer to the Scalp and Trunk: A Case Report and Review of the Literature. J. Med. Case Rep. 2023, 17, 435. [Google Scholar] [CrossRef]
- Martínez, A.; Querleu, D.; Leblanc, E.; Narducci, F.; Ferron, G. Low Incidence of Port-Site Metastases after Laparoscopic Staging of Uterine Cancer. Gynecol. Oncol. 2010, 118, 145–150. [Google Scholar] [CrossRef] [PubMed]
- Schwartz, R.A. Cutaneous Metastatic Disease. J. Am. Acad. Dermatol. 1995, 33, 161–185. [Google Scholar] [CrossRef]
- Lookingbill, D.P.; Spangler, N.; Sexton, F.M. Skin Involvement as the Presenting Sign of Internal Carcinoma. J. Am. Acad. Dermatol. 1990, 22, 19–26. [Google Scholar] [CrossRef] [PubMed]
- Majmudar, B.; Wiskind, A.K.; Croft, B.N.; Dudley, A.G. The Sister (Mary) Joseph Nodule: Its Significance in Gynecology. Gynecol. Oncol. 1991, 40, 152–159. [Google Scholar] [CrossRef] [PubMed]
- Kouira, M.; Bannour, I.; Ben Abdesslem, M.R.; Abdessayed, N.; Bannour, B. Ovarian Cancer Was Discovered in Sister Mary Joseph’s Nodule. Case Rep. Med. 2022, 2022, 5131705. [Google Scholar] [CrossRef]
- Leyrat, B.; Bernadach, M.; Ginzac, A.; Lusho, S.; Durando, X. Sister Mary Joseph Nodules: A Case Report about a Rare Location of Skin Metastasis. Case Rep. Oncol. 2021, 14, 664–670. [Google Scholar] [CrossRef]
- Otsuka, I.; Matsuura, T. Skin Metastases in Epithelial Ovarian and Fallopian Tube Carcinoma. Medicine 2017, 96, e7798. [Google Scholar] [CrossRef]
- Otsuka, I. Cutaneous Metastases in Ovarian Cancer. Cancers 2019, 11, 1292. [Google Scholar] [CrossRef] [PubMed]
- Gao, Q.; Guo, L.; Wang, B. The Pathogenesis and Prevention of Port-Site Metastasis in Gynecologic Oncology. Cancer Manag. Res. 2020, 12, 9655–9663. [Google Scholar] [CrossRef] [PubMed]
- Mbaeri, T.; Orakwe, J.; Ezejiofor, O. Unsuspected Skin Metastasis of Adenocarcinoma of the Prostate in a Patient on Goserelin (Zoladex). Niger. J. Surg. 2018, 24, 138. [Google Scholar] [CrossRef]
- Shine, T.; Wallack, M.K. Inflammatory Oncotaxis after Testing the Skin of the Cancer Patient. Cancer 1981, 47, 1325–1328. [Google Scholar] [CrossRef] [PubMed]
- Cohen, H.J.; Laszlo, J. Influence of Trauma on the Unusual Distribution of Metastases from Carcinoma of the Larynx. Cancer 1972, 29, 466–471. [Google Scholar] [CrossRef]
- de, S. Weimann, E.T.; Botero, E.B.; Mendes, C.; dos Santos, M.A.S.; Stelini, R.F.; Zelenika, C.R.T. Cutaneous Metastasis as the First Manifestation of Occult Malignant Breast Neoplasia. An. Bras. Dermatol. 2016, 91, 105–107. [Google Scholar] [CrossRef]
- Dills, A.; Obi, O.; Bustos, K.; Jiang, J.; Gupta, S. Cutaneous Metastasis of Prostate Adenocarcinoma: A Rare Presentation of a Common Disease. J. Investig. Med. High. Impact Case Rep. 2021, 9, 2324709621990769. [Google Scholar] [CrossRef] [PubMed]
- Kim, W.-J.; Park, H.-J.; Kim, H.-S.; Kim, S.-H.; Ko, H.-C.; Kim, B.-S.; Kim, M.-B. Vulval Metastasis from Squamous Cell Carcinoma of the Cervix Clinically Presenting as Lymphangioma Circumscriptum. Ann. Dermatol. 2011, 23, S64. [Google Scholar] [CrossRef] [PubMed]
- Otsuka, I. Cutaneous Metastasis after Surgery, Injury, Lymphadenopathy, and Peritonitis: Possible Mechanisms. Int. J. Mol. Sci. 2019, 20, 3286. [Google Scholar] [CrossRef]
- Bebia, V.; Monreal-Clua, S.; Pérez-Benavente, A.; Franco-Camps, S.; Díaz-Feijoo, B.; Gil-Moreno, A. Potential Strategies for Prevention of Tumor Spillage in Minimally Invasive Radical Hysterectomy. J. Gynecol. Oncol. 2020, 31, e73. [Google Scholar] [CrossRef]
- Tabibi, T.; Barnes, J.M.; Shah, A.; Osazuwa-Peters, N.; Johnson, K.J.; Brown, D.S. Human Papillomavirus Vaccination and Trends in Cervical Cancer Incidence and Mortality in the US. JAMA Pediatr. 2022, 176, 313–316. [Google Scholar] [CrossRef] [PubMed]
- Simms, K.T.; Keane, A.; Nguyen, D.T.N.; Caruana, M.; Hall, M.T.; Lui, G.; Gauvreau, C.; Demke, O.; Arbyn, M.; Basu, P.; et al. Benefits, Harms and Cost-Effectiveness of Cervical Screening, Triage and Treatment Strategies for Women in the General Population. Nat. Med. 2023, 29, 3050–3058. [Google Scholar] [CrossRef] [PubMed]
- Ertik, F.C.; Kampers, J.; Hülse, F.; Stolte, C.; Böhmer, G.; Hillemanns, P.; Jentschke, M. CoCoss-Trial: Concurrent Comparison of Self-Sampling Devices for HPV-Detection. Int. J. Environ. Res. Public. Health 2021, 18, 10388. [Google Scholar] [CrossRef] [PubMed]
- Agrawal, A.; Yau, A.; Magliocco, A.; Chu, P. Cutaneous Metastatic Disease in Cervical Cancer: A Case Report. J. Obstet. Gynaecol. Can. 2010, 32, 467–472. [Google Scholar] [CrossRef]
- Elamurugan, T.P.; Agrawal, A.; Dinesh, R.; Aravind, R.; Naskar, D.; Kate, V.; Reddy, R.; Elamurugan, S.; Siddaraju; Basu, D.; et al. Palmar Cutaneous Metastasis from Carcinoma Cervix. Indian. J. Dermatol. Venereol. Leprol. 2011, 77, 252. [Google Scholar] [CrossRef] [PubMed]
- Benoulaid, M.; Elkacemi, H.; Bourhafour, I.; Khalil, J.; Elmajjaoui, S.; Khannoussi, B.; Kebdani, T.; Benjaafar, N. Skin Metastases of Cervical Cancer: Two Case Reports and Review of the Literature. J. Med. Case Rep. 2016, 10, 265. [Google Scholar] [CrossRef] [PubMed]
- Malfetano, J.H. Skin Metastases from Cervical Cancer: A Fatal Event. Gynecol. Oncol. 1986, 24, 177–182. [Google Scholar] [CrossRef] [PubMed]
- Katiyar, V.; Araujo, T.; Majeed, N.; Ree, N.; Gupta, S. Multiple Recurrences from Cervical Cancer Presenting as Skin Metastasis of Different Morphologies. Gynecol. Oncol. Rep. 2019, 28, 61–64. [Google Scholar] [CrossRef] [PubMed]
- Zhou, S.; Peng, F. Patterns of Metastases in Cervical Cancer: A Population-Based Study. Int. J. Clin. Exp. Pathol. 2020, 13, 1615–1623. [Google Scholar]
- Cervical Cancer Signs and Simptoms. Available online: https://www.who.int/news-room/fact-sheets/detail/cervical-cancer?gad_source=1&gclid=Cj0KCQjw2PSvBhDjARIsAKc2cgNV-vCzxygp2l00eiIzNe9fqzUUiSIG3rf0M-J0Gwutk7Jpoj8qiRYaArXDEALw_wcB (accessed on 22 March 2024).
- Rohan, T.E. The Epidemiology of Adenocarcinoma of the Cervix. In Cervical Cancer: From Etiology to Prevention. Cancer Prevention—Cancer Causes; Rohan, T.E., Shah, K.V., Eds.; Springer: Dordrecht, The Netherlands, 2004; Volume 2. [Google Scholar] [CrossRef]
- Voinea, S.; Herghelegiu, C.; Sandru, A.; Ioan, R.; Bohilțea, R.; Bacalbașa, N.; Chivu, L.; Furtunescu, F.; Stanica, D.; Neacșu, A. Impact of Histological Subtype on the Response to Chemoradiation in Locally Advanced Cervical Cancer and the Possible Role of Surgery. Exp. Ther. Med. 2020, 21, 93. [Google Scholar] [CrossRef]
- Dicu-Andreescu, I.-G.; Marincaș, A.-M.; Ungureanu, V.-G.; Ionescu, S.-O.; Prunoiu, V.-M.; Brătucu, E.; Simion, L. Current Therapeutic Approaches in Cervical Cancer Based on the Stage of the Disease: Is There Room for Improvement? Medicina 2023, 59, 1229. [Google Scholar] [CrossRef] [PubMed]
- Hofsjö, A.; Bohm-Starke, N.; Blomgren, B.; Jahren, H.; Steineck, G.; Bergmark, K. Radiotherapy-Induced Vaginal Fibrosis in Cervical Cancer Survivors. Acta Oncol. 2017, 56, 661–666. [Google Scholar] [CrossRef] [PubMed]
- Wang, R.; Tao, X.; Wu, X.; Jiang, H.; Xia, H. Number of Removed Pelvic Lymph Nodes as a Prognostic Marker in FIGO Stage IB1 Cervical Cancer with Negative Lymph Nodes. J. Minim. Invasive Gynecol. 2020, 27, 946–952. [Google Scholar] [CrossRef] [PubMed]
- Gray, H.J.; Seifert, E.; Sal y Rosas, V.G.; Nicandri, K.F.; Koh, W.-J.; Goff, B.A. The Abandoned Radical Hysterectomy for Cervical Cancer: Clinical Predictors and Outcomes. Obstet. Gynecol. Int. 2010, 2010, 743794. [Google Scholar] [CrossRef] [PubMed]
- Linhares Moreira, A.S.; Cunha, T.M.; Esteves, S. Cervical Cancer Recurrence—Can We Predict the Type of Recurrence? Diagn. Interv. Radiol. 2020, 26, 403–410. [Google Scholar] [CrossRef] [PubMed]
- Sundaram, G.M.; Quah, S.; Sampath, P. Cancer: The Dark Side of Wound Healing. FEBS J. 2018, 285, 4516–4534. [Google Scholar] [CrossRef] [PubMed]
- Ceelen, W.; Pattyn, P.; Mareel, M. Surgery, Wound Healing, and Metastasis: Recent Insights and Clinical Implications. Crit. Rev. Oncol. Hematol. 2014, 89, 16–26. [Google Scholar] [CrossRef]
- Duong, M.N.; Geneste, A.; Fallone, F.; Li, X.; Dumontet, C.; Muller, C. The Fat and the Bad: Mature Adipocytes, Key Actors in Tumor Progression and Resistance. Oncotarget 2017, 8, 57622–57641. [Google Scholar] [CrossRef]
- Nieman, K.M.; Romero, I.L.; Van Houten, B.; Lengyel, E. Adipose Tissue and Adipocytes Support Tumorigenesis and Metastasis. Biochim. Biophys. Acta (BBA)—Mol. Cell Biol. Lipids 2013, 1831, 1533–1541. [Google Scholar] [CrossRef]
- Picone, O.; Aucouturier, J.S.; Louboutin, A.; Coscas, Y.; Camus, E. Abdominal Wall Metastasis of a Cervical Adenocarcinoma at the Laparoscopic Trocar Insertion Site after Ovarian Transposition: Case Report and Review of the Literature. Gynecol. Oncol. 2003, 90, 446–449. [Google Scholar] [CrossRef]
- Ding, X.; Zhang, Y.; Wang, J.; Huang, A.; Liu, Y.; Han, Y.; Hu, D. The Association of Adverse Reactions and Depression in Cervical Cancer Patients Treated with Radiotherapy and/or Chemotherapy: Moderated Mediation Models. Front. Psychol. 2023, 14, 1207265. [Google Scholar] [CrossRef] [PubMed]
- DiMatteo, M.R.; Lepper, H.S.; Croghan, T.W. Depression Is a Risk Factor for Noncompliance with Medical Treatment. Arch. Intern. Med. 2000, 160, 2101. [Google Scholar] [CrossRef] [PubMed]
- Shyu, I.-L.; Hu, L.-Y.; Chen, Y.-J.; Wang, P.-H.; Huang, B.-S. Risk Factors for Developing Depression in Women with Cervical Cancer: A Nationwide Population-Based Study in Taiwan. Int. J. Womens Health 2019, 11, 135–141. [Google Scholar] [CrossRef] [PubMed]
- Edgar, L.; Remmer, J.; Rosberger, Z.; Fournier, M.A. Resource Use in Women Completing Treatment for Breast Cancer. Psychooncology 2000, 9, 428–438. [Google Scholar] [CrossRef]







| No | Author | Age | Neoadjuvant Therapy | Surgery | Stage of Disease | Time of Recurrence (Months) | Location of Metastasis | Survival after Metastasis (Months) |
|---|---|---|---|---|---|---|---|---|
| 1 | Agrawal et al. [36] | 66 | Yes | No | IVA | 2 | Pelvis | 6 |
| 2 | Basu et al. [37] | 60 | Yes | Yes | IIA | 12 | Pelvis, lower thigh | 7 |
| 3 | Benoulaid et al. [38] | 63 | Yes | No | IIIB | 6 | Chest, Pelvis | 2 |
| 4 | Malfetano et al. [39] | 59 | Yes | No | IIIB | 1 | Pelvis | 1 |
| 5 | Malfetano et al. [39] | 58 | Yes | Yes | IB | 60 | Pelvis | 1 |
| 6 | Katiyar et al. [40] | 60 | Yes | No | IIA | 86 | Pelvis, back, thigh | 1 |
Disclaimer/Publisher’s Note: The statements, opinions and data contained in all publications are solely those of the individual author(s) and contributor(s) and not of MDPI and/or the editor(s). MDPI and/or the editor(s) disclaim responsibility for any injury to people or property resulting from any ideas, methods, instructions or products referred to in the content. |
© 2024 by the authors. Licensee MDPI, Basel, Switzerland. This article is an open access article distributed under the terms and conditions of the Creative Commons Attribution (CC BY) license (https://creativecommons.org/licenses/by/4.0/).
Share and Cite
Dicu-Andreescu, I.-G.; Marincaș, M.-A.; Simionescu, A.-A.; Dicu-Andreescu, I.; Prunoiu, V.-M.; Ionescu, S.-O.; Neicu, Ș.-A.; Radu, G.-M.; Brătucu, E.; Simion, L. Abdominal Parietal Metastasis from Cervical Cancer: A Review of One of the Most Uncommon Sites of Recurrence Including a Report of a New Case. Life 2024, 14, 667. https://doi.org/10.3390/life14060667
Dicu-Andreescu I-G, Marincaș M-A, Simionescu A-A, Dicu-Andreescu I, Prunoiu V-M, Ionescu S-O, Neicu Ș-A, Radu G-M, Brătucu E, Simion L. Abdominal Parietal Metastasis from Cervical Cancer: A Review of One of the Most Uncommon Sites of Recurrence Including a Report of a New Case. Life. 2024; 14(6):667. https://doi.org/10.3390/life14060667
Chicago/Turabian StyleDicu-Andreescu, Irinel-Gabriel, Marian-Augustin Marincaș, Anca-Angela Simionescu, Ioana Dicu-Andreescu, Virgiliu-Mihail Prunoiu, Sânziana-Octavia Ionescu, Ștefania-Ariana Neicu, Gabriela-Mădălina Radu, Eugen Brătucu, and Laurențiu Simion. 2024. "Abdominal Parietal Metastasis from Cervical Cancer: A Review of One of the Most Uncommon Sites of Recurrence Including a Report of a New Case" Life 14, no. 6: 667. https://doi.org/10.3390/life14060667
APA StyleDicu-Andreescu, I.-G., Marincaș, M.-A., Simionescu, A.-A., Dicu-Andreescu, I., Prunoiu, V.-M., Ionescu, S.-O., Neicu, Ș.-A., Radu, G.-M., Brătucu, E., & Simion, L. (2024). Abdominal Parietal Metastasis from Cervical Cancer: A Review of One of the Most Uncommon Sites of Recurrence Including a Report of a New Case. Life, 14(6), 667. https://doi.org/10.3390/life14060667

