CT Imaging Patterns in Major Histological Types of Lung Cancer
Abstract
1. Introduction
2. Materials and Methods
3. Results
3.1. Patient Characteristics
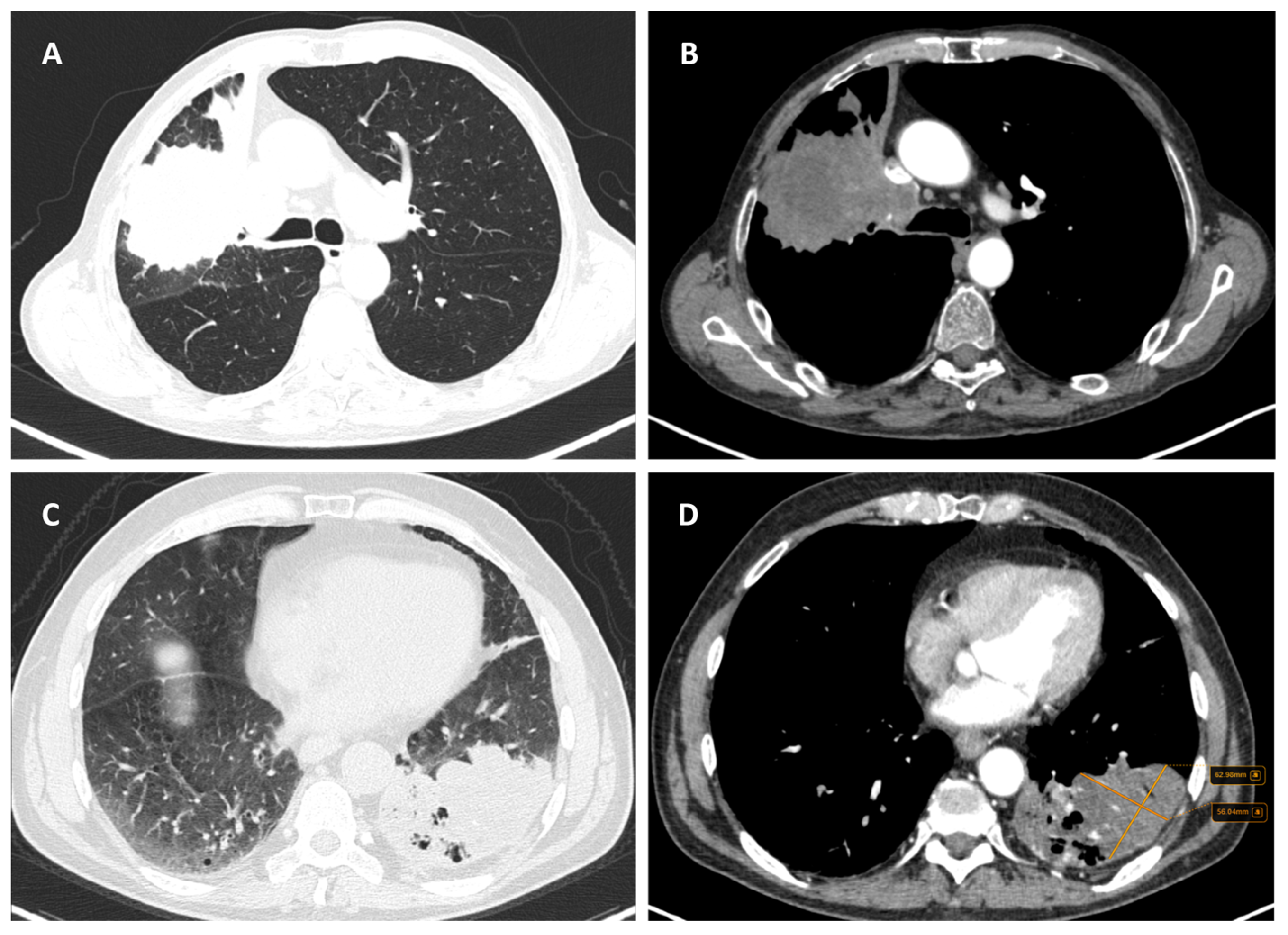
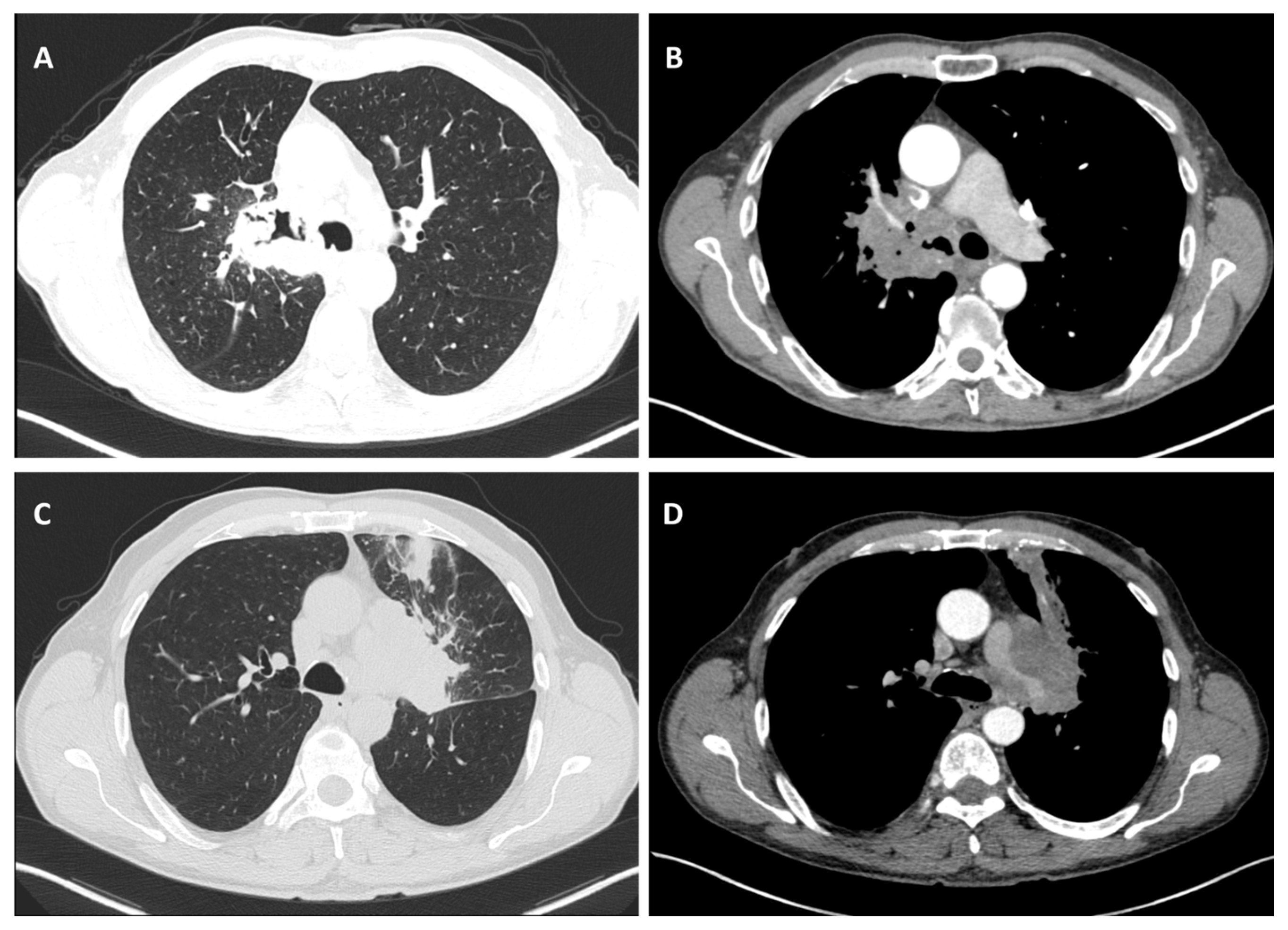
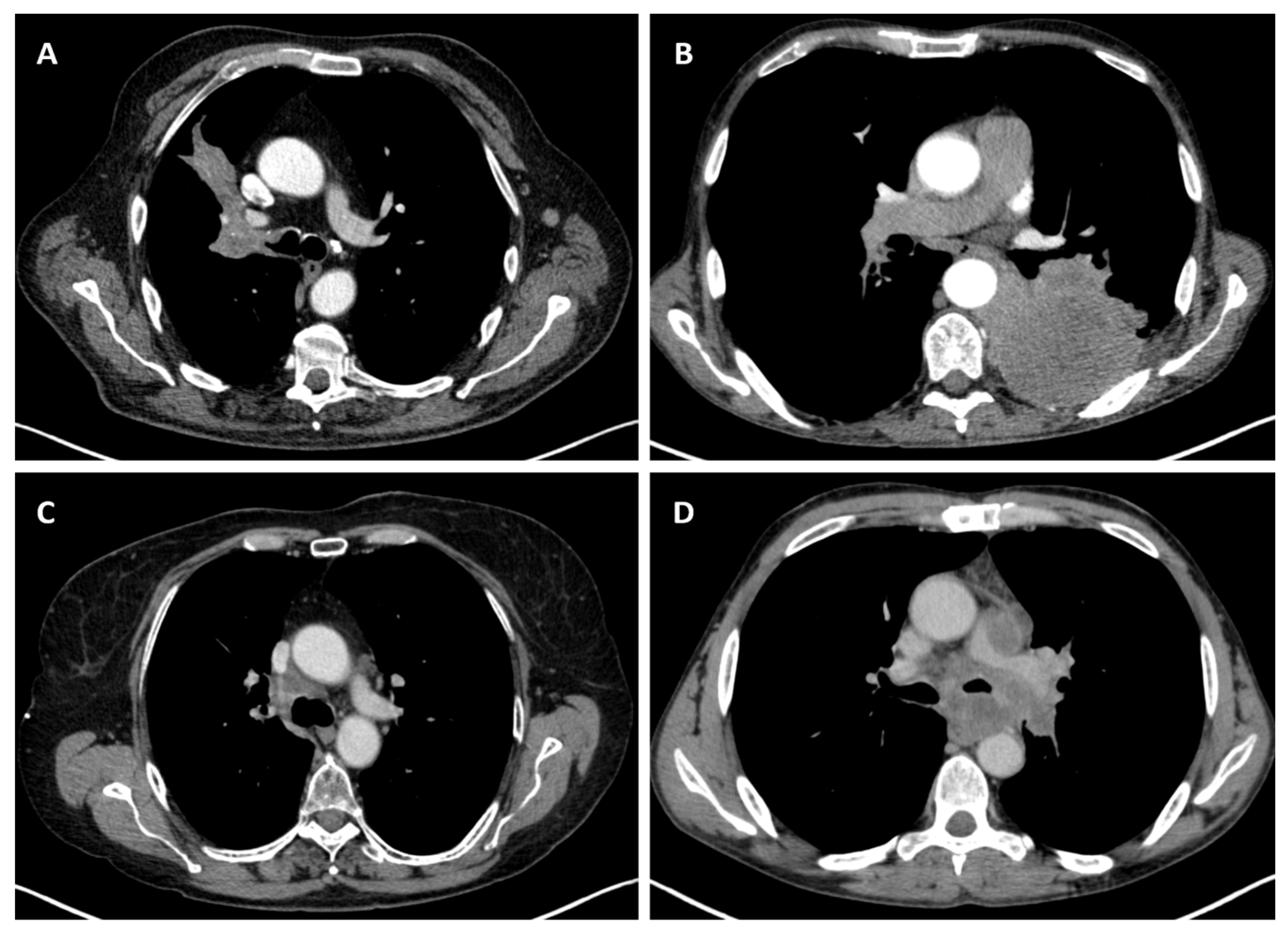
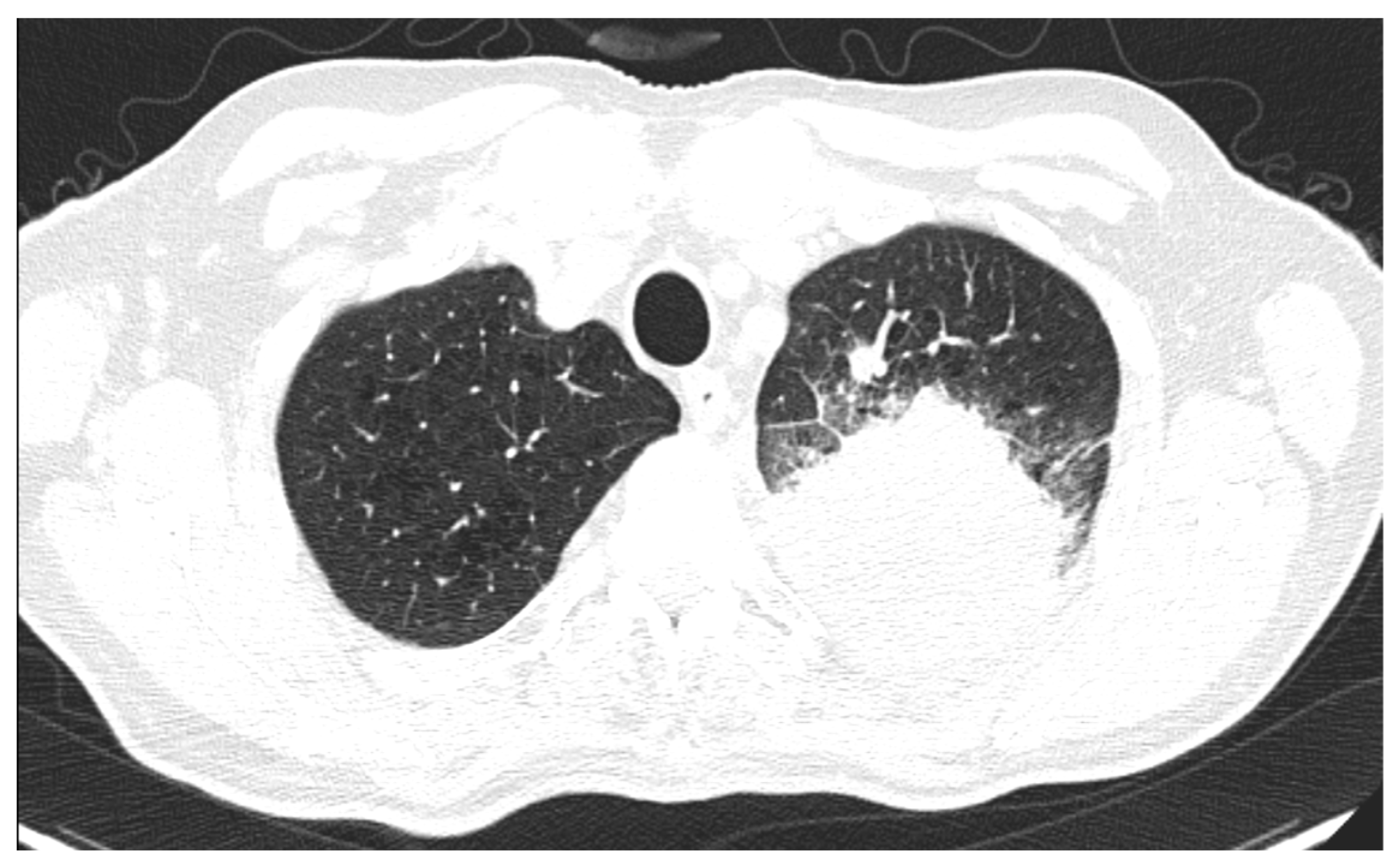
3.2. Primary Tumour Imaging Findings
3.2.1. Number
3.2.2. Location
3.2.3. Tumoral Margins
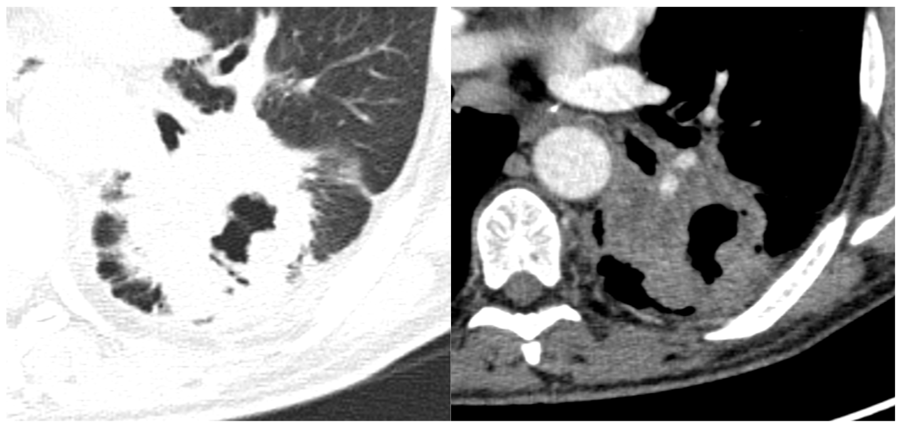
3.2.4. Cavitation
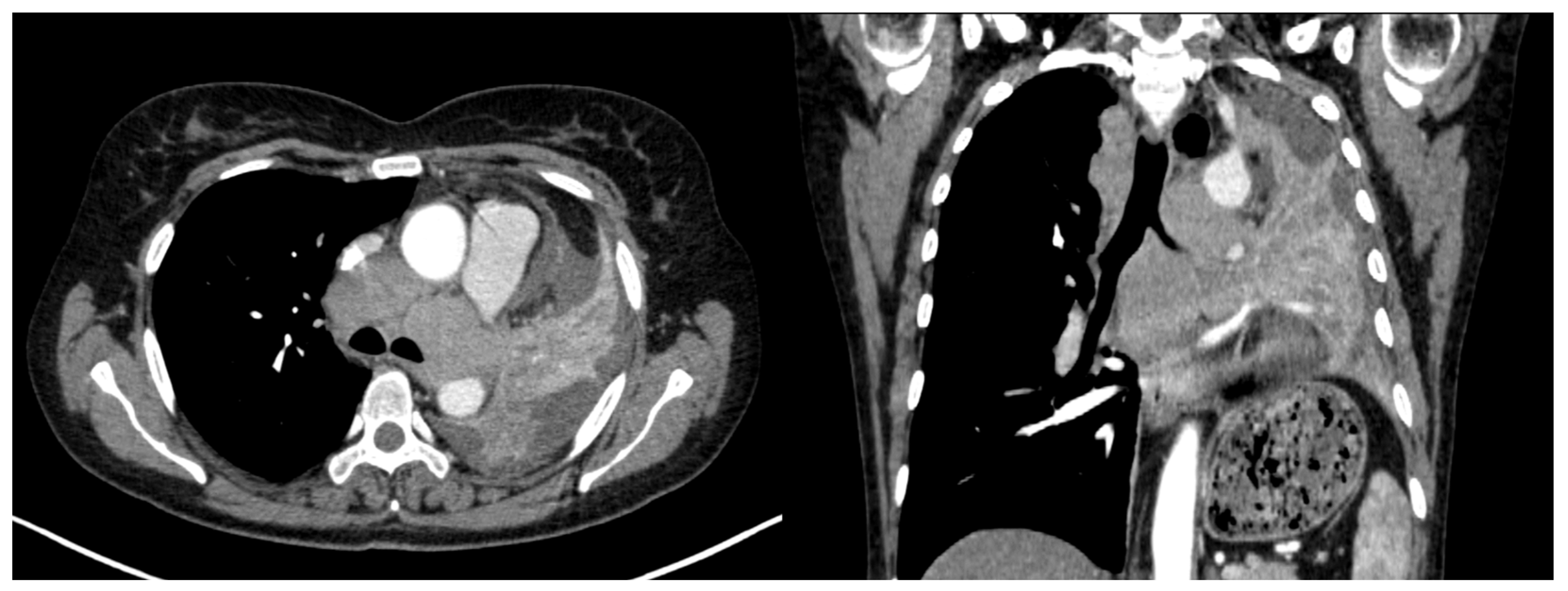
3.2.5. Local Invasion
3.2.6. Other Features—Bronchial Obstruction and Vascular Bundle Thickening
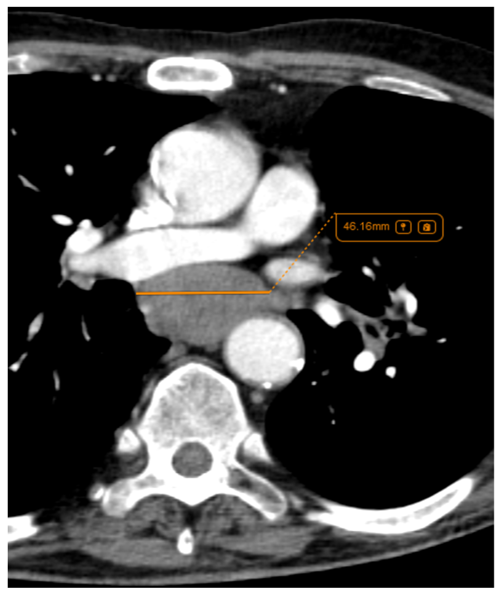
3.2.7. Lymph Node Involvement
4. Discussion
5. Conclusions
Author Contributions
Funding
Institutional Review Board Statement
Informed Consent Statement
Data Availability Statement
Conflicts of Interest
References
- Sung, H.; Ferlay, J.; Siegel, R.L.; Laversanne, M.; Soerjomataram, I.; Jemal, A.; Bray, F. Global Cancer Statistics 2020: GLOBOCAN Estimates of Incidence and Mortality Worldwide for 36 Cancers in 185 Countries. CA Cancer J. Clin. 2021, 71, 209–249. [Google Scholar] [CrossRef] [PubMed]
- Bray, F.; Ferlay, J.; Soerjomataram, I.; Siegel, R.L.; Torre, L.A.; Jemal, A. Global cancer statistics 2018: GLOBOCAN estimates of incidence and mortality worldwide for 36 cancers in 185 countries. CA Cancer J. Clin. 2018, 68, 394–424. [Google Scholar] [CrossRef] [PubMed]
- Lichtenstein, P.; Holm, N.V.; Verkasalo, P.K.; Iliadou, A.; Kaprio, J.; Koskenvuo, M.; Pukkala, E.; Skytthe, A.; Hemminki, K. Environmental and Heritable Factors in the Causation of Cancer—Analyses of Cohorts of Twins from Sweden, Denmark, and Finland. N. Engl. J. Med. 2000, 343, 78–85. [Google Scholar] [CrossRef] [PubMed]
- Sampson, J.N.; Wheeler, W.A.; Yeager, M.; Panagiotou, O.; Wang, Z.; Berndt, S.I.; Lan, Q.; Abnet, C.C.; Amundadottir, L.T.; Figueroa, J.D.; et al. Analysis of Heritability and Shared Heritability Based on Genome-Wide Association Studies for Thirteen Cancer Types. J. Natl. Cancer Inst. 2015, 107, djv279. [Google Scholar] [CrossRef]
- Dai, J.; Shen, W.; Wen, W.; Chang, J.; Wang, T.; Chen, H.; Jin, G.; Ma, H.; Wu, C.; Li, L.; et al. Estimation of heritability for nine common cancers using data from genome-wide association studies in Chinese population. Int. J. Cancer 2017, 140, 329–336. [Google Scholar] [CrossRef] [PubMed]
- Zhang, P.; Chen, P.-L.; Li, Z.-H.; Zhang, A.; Zhang, X.-R.; Zhang, Y.-J.; Liu, D.; Mao, C. Association of smoking and polygenic risk with the incidence of lung cancer: A prospective cohort study. Br. J. Cancer 2022, 126, 1637–1646. [Google Scholar] [CrossRef] [PubMed]
- O’Keeffe, L.M.; Taylor, G.; Huxley, R.R.; Mitchell, P.; Woodward, M.; Peters, S.A.E. Smoking as a risk factor for lung cancer in women and men: A systematic review and meta-analysis. BMJ Open 2018, 8, e021611. [Google Scholar] [CrossRef] [PubMed]
- Dyba, T.; Randi, G.; Bray, F.; Martos, C.; Giusti, F.; Nicholson, N.; Gavin, A.; Flego, M.; Neamtiu, L.; Dimitrova, N.; et al. The European cancer burden in 2020: Incidence and mortality estimates for 40 countries and 25 major cancers. Eur. J. Cancer 2021, 157, 308–347. [Google Scholar] [CrossRef] [PubMed]
- Thandra, K.C.; Barsouk, A.; Saginala, K.; Aluru, J.S.; Barsouk, A. Epidemiology of lung cancer. Współczesna Onkol. 2021, 25, 45–52. [Google Scholar] [CrossRef] [PubMed]
- Siegel, R.; Ma, J.; Zou, Z.; Jemal, A. Cancer statistics, 2014. CA Cancer J. Clin. 2014, 64, 9–29. [Google Scholar] [CrossRef] [PubMed]
- Babar, L.; Modi, P.; Anjum, F. Lung Cancer Screening; StatPearls [Internet]; StatPearls Publishing: Treasure Island, FL, USA, 2024. [Google Scholar]
- Hashimoto, K.; Nishimura, S.; Akagi, M. Lung Adenocarcinoma Presenting as a Soft Tissue Metastasis to the Shoulder: A Case Report. Medicina 2021, 57, 181. [Google Scholar] [CrossRef] [PubMed]
- Eberhardt, W.; Wilke, H.; Stamatis, G.; Stuschke, M.; Harstrick, A.; Menker, H.; Krause, B.; Müeller, M.R.; Stahl, M.; Flasshove, M.; et al. Preoperative chemotherapy followed by concurrent chemoradiation therapy based on hyperfractionated accelerated radiotherapy and definitive surgery in locally advanced non-small-cell lung cancer: Mature results of a phase II trial. J. Clin. Oncol. 1998, 16, 622–634. [Google Scholar] [CrossRef]
- Thomas, M.; Rübe, C.; Hoffknecht, P.; Macha, H.N.; Freitag, L.; Linder, A.; Willich, N.; Hamm, M.; Sybrecht, G.W.; Ukena, D.; et al. Effect of preoperative chemoradiation in addition to preoperative chemotherapy: A randomised trial in stage III non-small-cell lung cancer. Lancet Oncol. 2008, 9, 636–648. [Google Scholar] [CrossRef]
- van Meerbeeck, J.P.; Kramer, G.W.P.M.; Van Schil, P.E.Y.; Legrand, C.; Smit, E.F.; Schramel, F.; Tjan-Heijnen, V.C.; Biesma, B.; Debruyne, C.; van Zandwijk, N.; et al. Randomized Controlled Trial of Resection Versus Radiotherapy After Induction Chemotherapy in Stage IIIA-N2 Non-Small-Cell Lung Cancer. JNCI J. Natl. Cancer Inst. 2007, 99, 442–450. [Google Scholar] [CrossRef]
- Albain, K.S.; Swann, R.S.; Rusch, V.W.; Turrisi, A.T., 3rd; A Shepherd, F.A.; Smith, C.; Chen, Y.; Livingston, R.B.; Feins, R.H.; Gandara, D.R.; et al. Radiotherapy plus chemotherapy with or without surgical resection for stage III non-small-cell lung cancer: A phase III randomised controlled trial. Lancet 2009, 374, 379–386. [Google Scholar] [CrossRef]
- Florescu, D.N.; Ivan, E.T.; Ciocalteu, A.; Gheonea, I.A.; Tudoraşcu, D.R.; Ciurea, T.; Gheonea, D.I. Narrow band imaging endoscopy for detection of precancerous lesions of upper gastrointestinal tract. Rom. J. Morphol. Embryol. 2016, 57, 931–936. [Google Scholar] [PubMed]
- Zaric, B.; Perin, B. Use of narrow-band imaging bronchoscopy in detection of lung cancer. Expert Rev. Med. Devices 2010, 7, 395–406. [Google Scholar] [CrossRef] [PubMed]
- Gharraf, H.S.; Mehana, S.M.; ElNagar, M.A. Role of CT in differentiation between subtypes of lung cancer; is it possible? Egypt. J. Bronchol. 2020, 14, 28. [Google Scholar] [CrossRef]
- Purandare, N.C.; Rangarajan, V. Imaging of lung cancer: Implications on staging and management. Indian J. Radiol. Imaging 2015, 25, 109–120. [Google Scholar] [CrossRef] [PubMed]
- Wang, Y.; Zou, S.; Zhao, Z.; Liu, P.; Ke, C.; Xu, S. New insights into small-cell lung cancer development and therapy. Cell Biol. Int. 2020, 44, 1564–1576. [Google Scholar] [CrossRef]
- Chaunzwa, T.L.; Hosny, A.; Xu, Y.; Shafer, A.; Diao, N.; Lanuti, M.; Christiani, D.C.; Mak, R.H.; Aerts, H.J.W.L. Deep learning classification of lung cancer histology using CT images. Sci. Rep. 2021, 11, 5471. [Google Scholar] [CrossRef] [PubMed]
- Travis, W.D. Pathology and Diagnosis of Neuroendocrine Tumors. Thorac. Surg. Clin. 2014, 24, 257–266. [Google Scholar] [CrossRef] [PubMed]
- Altan, M.; Chiang, A.C. Management of Small Cell Lung Cancer. Cancer J. 2015, 21, 425–433. [Google Scholar] [CrossRef]
- Yue, J.-Y.; Chen, J.; Zhou, F.-M.; Hu, Y.; Li, M.-X.; Wu, Q.-W.; Han, D.-M. CT-pathologic correlation in lung adenocarcinoma and squamous cell carcinoma. Medicine 2018, 97, e13362. [Google Scholar] [CrossRef] [PubMed]
- Gregory, N.K.; Hang, L.M.; Gregory Riely, F.; Aisner, D.; Akerley, W.; Bauman, J.; Bruno, D.; Chang, J.; Chirieac, L.; DeCamp, M.; et al. NCCN Guidelines Version 1.2024 Non-Small Cell Lung Cancer Continue NCCN Guidelines Panel Disclosures. 2023. Available online: https://www.nccn.org (accessed on 24 January 2024).
- Dickhoff, C.; Schaap, P.M.R.; Otten, R.H.J.; Heymans, M.W.; Heineman, D.J.; Dahele, M. Salvage surgery for local recurrence after stereotactic body radiotherapy for early stage non-small cell lung cancer: A systematic review. Ther. Adv. Med. Oncol. 2018, 10, 175883591878798. [Google Scholar] [CrossRef] [PubMed]
- Eze, C.; Roengvoraphoj, O.; Schmidt-Hegemann, N.; Käsmann, L.; Dantes, M.; Manapov, F. Chemoradiotherapy of stage III small-cell lung cancer: Can we further optimize multimodal treatment of N3 disease based on current evidence? Clin. Respir. J. 2018, 12, 2534–2535. [Google Scholar] [CrossRef]
- Mazzone, P.J.; Silvestri, G.A.; Patel, S.; Kanne, J.P.; Kinsinger, L.S.; Wiener, R.S.; Hoo, G.S.; Detterbeck, F.C. Screening for Lung Cancer. Chest 2018, 153, 954–985. [Google Scholar] [CrossRef] [PubMed]
- Detterbeck, F.C.; Boffa, D.J.; Kim, A.W.; Tanoue, L.T. The Eighth Edition Lung Cancer Stage Classification. Chest 2017, 151, 193–203. [Google Scholar] [CrossRef] [PubMed]
- Nooreldeen, R.; Bach, H. Current and Future Development in Lung Cancer Diagnosis. Int. J. Mol. Sci. 2021, 22, 8661. [Google Scholar] [CrossRef] [PubMed]
- Travis, W.D.; Brambilla, E.; Riely, G.J. New Pathologic Classification of Lung Cancer: Relevance for Clinical Practice and Clinical Trials. J. Clin. Oncol. 2013, 31, 992–1001. [Google Scholar] [CrossRef] [PubMed]
- Molina, J.R.; Yang, P.; Cassivi, S.D.; Schild, S.E.; Adjei, A.A. Non-Small Cell Lung Cancer: Epidemiology, Risk Factors, Treatment, and Survivorship. Mayo Clin. Proc. 2008, 83, 584–594. [Google Scholar] [CrossRef] [PubMed]
- Byun, J.; Schwartz, A.G.; Lusk, C.; Wenzlaff, A.S.; de Andrade, M.; Mandal, D.; Gaba, C.; Yang, P.; You, M.; Kupert, E.Y.; et al. Genome-wide association study of familial lung cancer. Carcinogenesis 2018, 39, 1135–1140. [Google Scholar] [CrossRef] [PubMed]
- Li, C.; Lu, H. Adenosquamous carcinoma of the lung. Onco Targets Ther. 2018, 11, 4829–4835. [Google Scholar] [CrossRef] [PubMed]
- Zhang, X.; Wu, L.; Xu, Y.; Zhang, B.; Wu, X.; Wang, Y.; Pang, Z. Trends in the incidence rate of lung cancer by histological type and gender in Sichuan, China, 1995–2015: A single-center retrospective study. Thorac. Cancer 2018, 9, 532–541. [Google Scholar] [CrossRef] [PubMed]
- Denisenko, T.V.; Budkevich, I.N.; Zhivotovsky, B. Cell death-based treatment of lung adenocarcinoma. Cell Death Dis. 2018, 9, 117. [Google Scholar] [CrossRef] [PubMed]
- Travis, W.D.; Brambilla, E.; Noguchi, M.; Nicholson, A.G.; Geisinger, K.R.; Yatabe, Y.; Beer, D.G.; Powell, C.A.; Riely, G.J.; Van Schil, P.E.; et al. International Association for the Study of Lung Cancer/American Thoracic Society/European Respiratory Society International Multidisciplinary Classification of Lung Adenocarcinoma. J. Thorac. Oncol. 2011, 6, 244–285. [Google Scholar] [CrossRef]
- Mizushima, Y.; Yamashita, R.; Kusajima, Y.; Sugiyama, S. Prognostic comparison between peripheral and central types of squamous cell carcinoma of the lung in patients undergoing surgical resection. Oncol. Rep. 2000, 7, 319–322. [Google Scholar] [CrossRef] [PubMed]
- Krimsky, W.; Muganlinskaya, N.; Sarkar, S.; Vulchi, M.; Patel, P.; Rao, S.; Hammer, J.; Evans, R.; Qureshi, M.; Harley, D. The changing anatomic position of squamous cell carcinoma of the lung–a new conundrum. J. Community Hosp. Intern. Med. Perspect. 2016, 6, 33299. [Google Scholar] [CrossRef]
- Moon, Y.; Lee, K.Y.; Sung, S.W.; Park, J.K. Differing histopathology and prognosis in pulmonary adenocarcinoma at central and peripheral locations. J. Thorac. Dis. 2016, 8, 169–177. [Google Scholar] [CrossRef]
- Lan, Y.; Zhou, S.; Feng, W.; Qiao, Y.; Du, X.; Li, F. Association of tumor mutation burden and epidermal growth factor receptor inhibitor history with survival in patients with metastatic stage III/IV non-small-cell lung cancer: A retrospective study. Clinics 2021, 76, e2251. [Google Scholar] [CrossRef] [PubMed]
- Gu, K.; Lee, H.Y.; Lee, K.; Choi, J.Y.; Woo, S.Y.; Sohn, I.; Kim, H.K.; Choi, Y.S.; Kim, J.; Zo, J.I.; et al. Integrated evaluation of clinical, pathological and radiological prognostic factors in squamous cell carcinoma of the lung. PLoS ONE 2019, 14, e0223298. [Google Scholar] [CrossRef] [PubMed]
- Chaudhuri, M.R. Primary pulmonary cavitating carcinomas. Thorax 1973, 28, 354–366. [Google Scholar] [CrossRef] [PubMed]
- Watanabe, Y.; Kusumoto, M.; Yoshida, A.; Suzuki, K.; Asamura, H.; Tsuta, K. Surgically Resected Solitary Cavitary Lung Adenocarcinoma: Association Between Clinical, Pathologic, and Radiologic Findings and Prognosis. Ann. Thorac. Surg. 2015, 99, 968–974. [Google Scholar] [CrossRef]
- Solis, L.M.; Behrens, C.; Raso, M.G.; Lin, H.Y.; Kadara, H.; Yuan, P.; Galindo, H.; Tang, X.; Lee, J.J.; Kalhor, N.; et al. Histologic patterns and molecular characteristics of lung adenocarcinoma associated with clinical outcome. Cancer 2012, 118, 2889–2899. [Google Scholar] [CrossRef] [PubMed]
- Yousem, S.A. Peripheral squamous cell carcinoma of lung: Patterns of growth with particular focus on airspace filling. Hum. Pathol. 2009, 40, 861–867. [Google Scholar] [CrossRef] [PubMed]
- Lee, D.; Rho, J.Y.; Kang, S.; Yoo, K.J.; Choi, H.J. CT findings of small cell lung carcinoma. Medicine 2016, 95, e5426. [Google Scholar] [CrossRef]
- Fraire, A.E.; Greenberg, S.D. Carcinoma and diffuse interstitial fibrosis of lung. Cancer 1973, 31, 1078–1086. [Google Scholar] [CrossRef]
- Henschke, C.I.; Yankelevitz, D.F.; Mirtcheva, R.; McGuinness, G.; McCauley, D.; Miettinen, O.S. CT Screening for Lung Cancer. Am. J. Roentgenol. 2002, 178, 1053–1057. [Google Scholar] [CrossRef] [PubMed]
- Kuriyama, K.; Tateishi, R.; Doi, O.; Kodama, K.; Tatsuta, M.; Matsuda, M.; Mitani, T.; Narumi, Y.; Fujita, M.; Kuriyama, R.T.K.; et al. CT-pathologic correlation in small peripheral lung cancers. Am. J. Roentgenol. 1987, 149, 1139–1143. [Google Scholar] [CrossRef] [PubMed]
- Dong, M.; Gong, H.; Li, T.; Li, X.; Liu, J.; Zhang, H.; Liu, M.; Chen, G.; Liu, H.; Chen, J. Lymph node metastasis in lung squamous cell carcinoma and identification of metastasis-related genes based on the Cancer Genome Atlas. Cancer Med. 2019, 8, 6280–6294. [Google Scholar] [CrossRef]
- Luo, T.; Chen, Q.; Zeng, J. Analysis of lymph node metastasis in 200 patients with non-small cell lung cancer. Transl. Cancer Res. 2020, 9, 1577–1583. [Google Scholar] [CrossRef] [PubMed]













| Age Group | ADC | SQCC | SCLC |
|---|---|---|---|
| 40–50 | 1 | 1 | 3 |
| 51–60 | 1 | 4 | 1 |
| 61–70 | 12 | 11 | 4 |
| 71–80 | 10 | 6 | 2 |
| >80 | 2 | - | - |
| Group | Bronchial Obstruction | Vascular Bundle-Thickening |
|---|---|---|
| ADC (26 total) | 11 | 14 |
| SQCC (22 total) | 15 | 16 |
| SCLC (10 total) | 6 | 5 |
Disclaimer/Publisher’s Note: The statements, opinions and data contained in all publications are solely those of the individual author(s) and contributor(s) and not of MDPI and/or the editor(s). MDPI and/or the editor(s) disclaim responsibility for any injury to people or property resulting from any ideas, methods, instructions or products referred to in the content. |
© 2024 by the authors. Licensee MDPI, Basel, Switzerland. This article is an open access article distributed under the terms and conditions of the Creative Commons Attribution (CC BY) license (https://creativecommons.org/licenses/by/4.0/).
Share and Cite
Ciofiac, C.M.; Mămuleanu, M.; Florescu, L.M.; Gheonea, I.A. CT Imaging Patterns in Major Histological Types of Lung Cancer. Life 2024, 14, 462. https://doi.org/10.3390/life14040462
Ciofiac CM, Mămuleanu M, Florescu LM, Gheonea IA. CT Imaging Patterns in Major Histological Types of Lung Cancer. Life. 2024; 14(4):462. https://doi.org/10.3390/life14040462
Chicago/Turabian StyleCiofiac, Cristina Mihaela, Mădălin Mămuleanu, Lucian Mihai Florescu, and Ioana Andreea Gheonea. 2024. "CT Imaging Patterns in Major Histological Types of Lung Cancer" Life 14, no. 4: 462. https://doi.org/10.3390/life14040462
APA StyleCiofiac, C. M., Mămuleanu, M., Florescu, L. M., & Gheonea, I. A. (2024). CT Imaging Patterns in Major Histological Types of Lung Cancer. Life, 14(4), 462. https://doi.org/10.3390/life14040462

