Primary Cutaneous CD4 Small/Medium T-Cell Lymphoproliferative Disorder Following COVID-19 Vaccination—What Do We Know about Lymphoproliferative Disorders and Cutaneous Lymphomas after COVID-19 Vaccination? A Report of an Atypical Case and a Review of the Literature
Abstract
1. Introduction
2. Materials and Methods
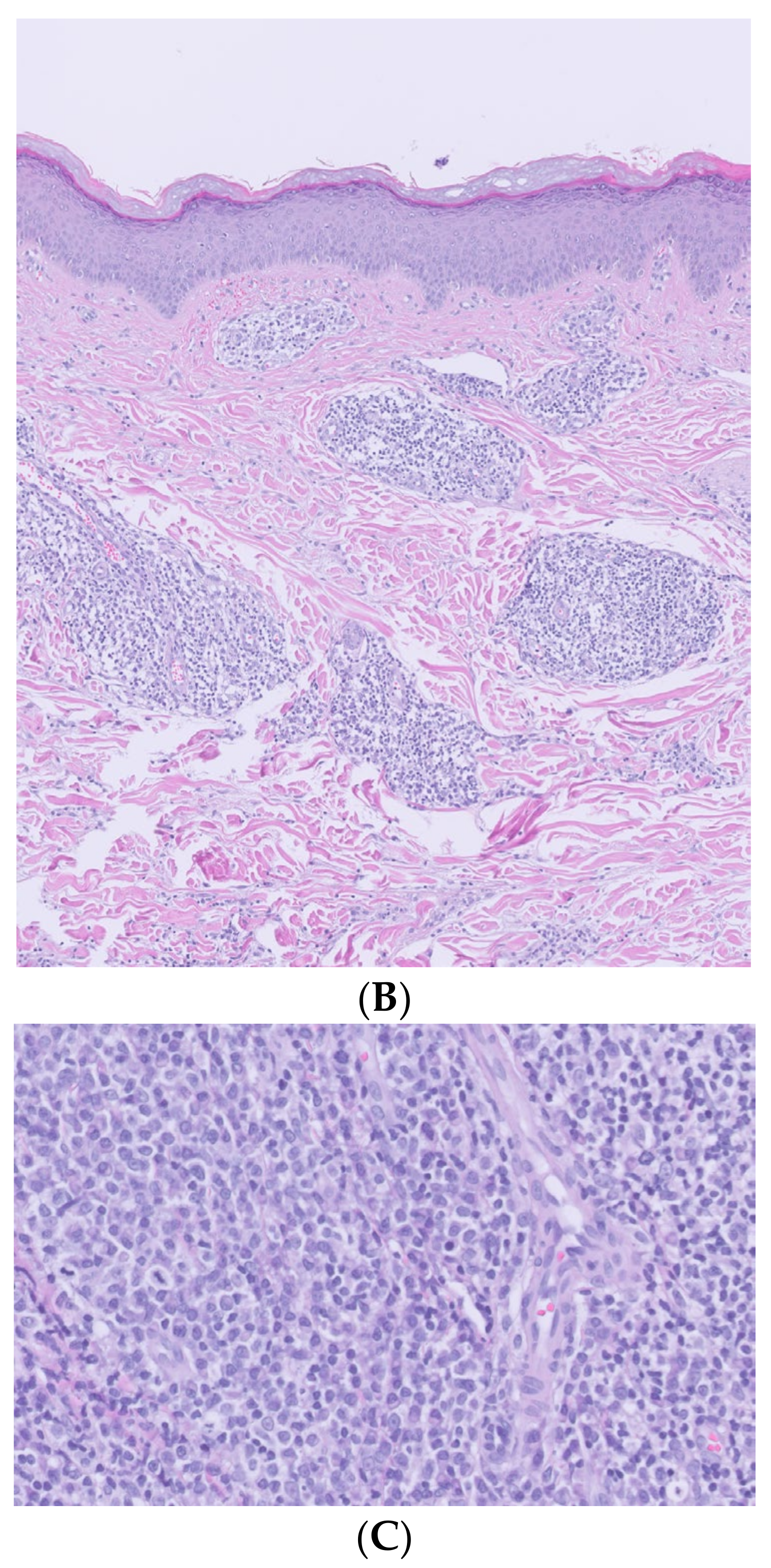
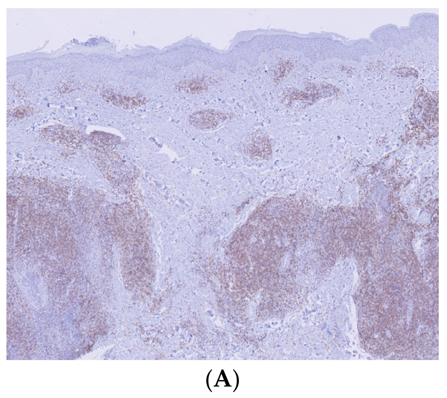
3. Case Report and Results
4. Discussion
5. Conclusions
Author Contributions
Funding
Institutional Review Board Statement
Informed Consent Statement
Data Availability Statement
Conflicts of Interest
References
- Nakashima, C.; Kato, M.; Otsuka, A. Cutaneous Manifestations of COVID-19 and COVID-19 Vaccination. J. Dermatol. 2023, 50, 280–289. [Google Scholar] [CrossRef] [PubMed]
- McMahon, D.E.; Amerson, E.; Rosenbach, M.; Lipoff, J.B.; Moustafa, D.; Tyagi, A.; Desai, S.R.; French, L.E.; Lim, H.W.; Thiers, B.H.; et al. Cutaneous Reactions Reported after Moderna and Pfizer COVID-19 Vaccination: A Registry-Based Study of 414 Cases. J. Am. Acad. Dermatol. 2021, 85, 46–55. [Google Scholar] [CrossRef] [PubMed]
- Gambichler, T.; Boms, S.; Hessam, S.; Tischoff, I.; Tannapfel, A.; Lüttringhaus, T.; Beckman, J.; Stranzenbach, R. Primary Cutaneous Anaplastic Large-cell Lymphoma with Marked Spontaneous Regression of Organ Manifestation after SARS-CoV-2 Vaccination. Br. J. Dermatol. 2021, 185, 1259–1262. [Google Scholar] [CrossRef] [PubMed]
- Aouali, S.; Benkaraache, M.; Almheirat, Y.; Zizi, N.; Dikhaye, S. Complete Remission of Primary Cutaneous Follicle Centre Cell Lymphoma Associated with COVID-19 Vaccine. J. Eur. Acad. Dermatol. Venereol. 2022, 36, e676–e678. [Google Scholar] [CrossRef] [PubMed]
- Avallone, G.; Maronese, C.A.; Conforti, C.; Fava, P.; Gargiulo, L.; Marzano, A.V.; Massone, C.; Mastorino, L.; Paradisi, A.; Pileri, A.; et al. Real-world Data on Primary Cutaneous Lymphoproliferative Disorders Following SARS-CoV-2 Vaccination: A Multicentre Experience from Tertiary Referral Hospitals. J. Eur. Acad. Dermatol. Venereol. 2022, 37, e451–e455. [Google Scholar] [CrossRef] [PubMed]
- Brumfiel, C.M.; Patel, M.H.; DiCaudo, D.J.; Rosenthal, A.C.; Pittelkow, M.R.; Mangold, A.R. Recurrence of Primary Cutaneous CD30-Positive Lymphoproliferative Disorder Following COVID-19 Vaccination. Leuk. Lymphoma 2021, 62, 2554–2555. [Google Scholar] [CrossRef] [PubMed]
- Panou, E.; Nikolaou, V.; Marinos, L.; Kallambou, S.; Sidiropoulou, P.; Gerochristou, M.; Stratigos, A. Recurrence of Cutaneous T-Cell Lymphoma Post Viral Vector COVID-19 Vaccination. J. Eur. Acad. Dermatol. Venereol. 2022, 36, e91–e93. [Google Scholar] [CrossRef] [PubMed]
- Koumaki, D.; Marinos, L.; Nikolaou, V.; Papadakis, M.; Zografaki, K.; Lagoudaki, E.; Kotopouli, F.-E.; Krasagakis, K.; Krueger-Krasagakis, S.-E. Lymphomatoid Papulosis (LyP) after AZD1222 and BNT162b2 COVID-19 Vaccines. Int. J. Dermatol. 2022, 61, 900–902. [Google Scholar] [CrossRef] [PubMed]
- Hooper, M.J.; Veon, F.L.; LeWitt, T.M.; Chung, C.; Choi, J.; Zhou, X.A.; Guitart, J. Cutaneous T-Cell–Rich Lymphoid Infiltrates after SARS-CoV-2 Vaccination. JAMA Dermatol. 2022, 158, 1073–1076. [Google Scholar] [CrossRef] [PubMed]
- Mintoff, D.; Scerri, L.; Betts, A. SARS-CoV-2 mRNA Vaccine Injection Site Pseudolymphoma. J. Eur. Acad. Dermatol. Venereol. 2022, 36, e20–e22. [Google Scholar] [CrossRef] [PubMed]
- Hobayan, C.G.; Chung, C.G. Indolent Cutaneous Lymphoma with Gamma/Delta Expression after COVID-19 Vaccination. JAAD Case Rep. 2022, 32, 74–76. [Google Scholar] [CrossRef] [PubMed]
- Plumptre, I.R.; Said, J.T.; Sun, T.; Larocca, C.; Virgen, C.A.; Kupper, T.S.; Fisher, D.C.; Devlin, P.M.; Elco, C.P.; Song, J.S.; et al. Clinical Features and Treatment Outcomes for Primary Cutaneous CD4+ Small/Medium T-Cell Lymphoproliferative Disorder: A Retrospective Cohort Study from the Dana-Farber Cancer Institute and Updated Literature Review. Leuk. Lymphoma 2022, 63, 2832–2846. [Google Scholar] [CrossRef] [PubMed]
- Surmanowicz, P.; Doherty, S.; Sivanand, A.; Parvinnejad, N.; Deschenes, J.; Schneider, M.; Hardin, J.; Gniadecki, R. The Clinical Spectrum of Primary Cutaneous CD4+ Small/Medium-Sized Pleomorphic T-Cell Lymphoproliferative Disorder: An Updated Systematic Literature Review and Case Series. Dermatology 2021, 237, 618–628. [Google Scholar] [CrossRef] [PubMed]
- Besch-Stokes, J.G.; Costello, C.M.; Severson, K.J.; Bhullar, P.; Montoya, J.; Butterfield, R.J.; DiCaudo, D.J.; Comfere, N.; Sluzevich, J.; Rule, W.; et al. Primary Cutaneous CD4+ Small/Medium T-Cell Lymphoproliferative Disorder: Diagnosis and Management. J. Am. Acad. Dermatol. 2022, 86, 1167–1169. [Google Scholar] [CrossRef] [PubMed]
- Gru, A.A.; Wick, M.R.; Eid, M. Primary Cutaneous CD4+ Small/Medium T-Cell Lymphoproliferative Disorder—Clinical and Histopathologic Features, Differential Diagnosis, and Treatment. Sem. Cutan. Med. Surg. 2018, 37, 39–48. [Google Scholar] [CrossRef] [PubMed]
- Cerroni, L.; Borroni, R.G.; Massone, C.; Chott, A.; Kerl, H. Cutaneous B-Cell Pseudolymphoma at the Site of Vaccination. Am. J. Dermatopathol. 2007, 29, 538–542. [Google Scholar] [CrossRef] [PubMed]
- Oberhardt, V.; Luxenburger, H.; Kemming, J.; Schulien, I.; Ciminski, K.; Giese, S.; Csernalabics, B.; Lang-Meli, J.; Janowska, I.; Staniek, J.; et al. Rapid and Stable Mobilization of CD8+ T Cells by SARS-CoV-2 mRNA Vaccine. Nature 2021, 597, 268–273. [Google Scholar] [CrossRef] [PubMed]






| Reference | Sex | Age (Years) | Lymphoproliferative Process | Vaccine | Time from the Dose of the Vaccine until the Onset | New Onset/Relapse |
|---|---|---|---|---|---|---|
| Brumfiel et al., 2021 [6] | Male | 79 | PCCD30-LPD | BNT162b2 | 2 days | Relapse |
| Panou et al., 2022 [7] | Male | 60 | CD30LCT-MF | ChAdOx1 nCoV-19 | 28 days | Relapse |
| Panou et al., 2022 [7] | Female | 73 | LyP type-A | ChAdOx1 nCoV-19 | 10 days | Relapse |
| Koumaki et al., 2022 [8] | Male | 60 | LyP type-D | ChAdOx1 nCoV-19 | 7 days | New onset |
| Koumaki et al., 2022 [8] | Female | 66 | LyP type-D | BNT162b2 | 10 days | New onset |
| Hooper et al., 2022 [9] | Female | 70 | CLH | BNT162b2 | 22 days | New onset |
| Hooper et al., 2022 [9] | Male | 50 | CLH | BNT162b2 | 28 days | New onset |
| Hooper et al., 2022 [9] | Male | 50 | LyP type-A | BNT162b2 | 4 days | New onset |
| Hooper et al., 2022 [9] | Female | 20 | LyP type-A | BNT162b2 | 42 days | New onset |
| Mintoff et al., 2021 [10] | Female | 68 | CLH | BNT162b2 | 7 days | New onset |
| Avallone et al., 2022 [5] | Female | 47 | CLH | BNT162b2 | 10 days | Relapse |
| Avallone et al., 2022 [5] | Male | 67 | LyP type-A | BNT162b2 | 15 days | Relapse |
| Avallone et al., 2022 [5] | Male | 49 | PCSM-TCLPD | BNT162b2 | 15 days | Relapse |
| Avallone et al., 2022 [5] | Male | 58 | SS | BNT162b2 | 4 days | Relapse |
| Avallone et al., 2022 [5] | Male | 61 | Erythrodermic MF | BNT162b2 | 14 days | Relapse |
| Avallone et al., 2022 [5] | Male | 61 | SS | BNT162b2 | 15 days | Relapse |
| Avallone et al., 2022 [5] | Male | 55 | CLH | BNT162b2 | 30 days | New onset |
| Avallone et al., 2022 [5] | Male | 55 | CLH | BNT162b2 | 7 days | New onset |
| Avallone et al., 2022 [5] | Female | 80 | SS | BNT162b2 | 15 days | New onset |
| Avallone et al., 2022 [5] | Male | 60 | LyP type-A | BNT162b2 | 30 days | New onset |
| Avallone et al., 2022 [5] | Female | 52 | PCSM-TCLPD | BNT162b2 | 3 days | New onset |
| Avallone et al., 2022 [5] | Female | 61 | LyP type-A | BNT162b2 | 10 days | New onset |
| Avallone et al., 2022 [5] | Male | 45 | PCSM-TCLPD | BNT162b2 | 20 days | New onset |
| Hobayan et al., 2023 [11] | Male | 79 | PCGDTCL | mRNA-1273 | 3 days | New onset |
| Reference | Sex | Age | Vaccine | Onset (Days) | Localization | Number of Lesions | Therapy | Outcome | Follow-Up |
|---|---|---|---|---|---|---|---|---|---|
| Avallone et al., 2022 [5] | Female | 52 | BNT162b2 (First dose) | 3 | Forehead (nodule) | 1 | RT | CR | 15 months |
| Avallone et al., 2022 [5] | Male | 45 | BNT162b2 (Third dose) | 20 | Left cheek (nodule) | 1 | SE | CR | 3 months |
| Present case | Male | 30 | BNT162b2 (First dose) | 7 | Upper extremities and back (papulonodules) | 16 | Intralesional Triamcinolone | CR | 14 months |
Disclaimer/Publisher’s Note: The statements, opinions and data contained in all publications are solely those of the individual author(s) and contributor(s) and not of MDPI and/or the editor(s). MDPI and/or the editor(s) disclaim responsibility for any injury to people or property resulting from any ideas, methods, instructions or products referred to in the content. |
© 2024 by the authors. Licensee MDPI, Basel, Switzerland. This article is an open access article distributed under the terms and conditions of the Creative Commons Attribution (CC BY) license (https://creativecommons.org/licenses/by/4.0/).
Share and Cite
De la Torre-Gomar, F.J.; Llamas-Molina, J.M.; Pegalajar-García, M.D.; Pérez-Valencia, C.; Carrero-Castaño, A.; Ruiz-Villaverde, R. Primary Cutaneous CD4 Small/Medium T-Cell Lymphoproliferative Disorder Following COVID-19 Vaccination—What Do We Know about Lymphoproliferative Disorders and Cutaneous Lymphomas after COVID-19 Vaccination? A Report of an Atypical Case and a Review of the Literature. Life 2024, 14, 386. https://doi.org/10.3390/life14030386
De la Torre-Gomar FJ, Llamas-Molina JM, Pegalajar-García MD, Pérez-Valencia C, Carrero-Castaño A, Ruiz-Villaverde R. Primary Cutaneous CD4 Small/Medium T-Cell Lymphoproliferative Disorder Following COVID-19 Vaccination—What Do We Know about Lymphoproliferative Disorders and Cutaneous Lymphomas after COVID-19 Vaccination? A Report of an Atypical Case and a Review of the Literature. Life. 2024; 14(3):386. https://doi.org/10.3390/life14030386
Chicago/Turabian StyleDe la Torre-Gomar, Francisco Javier, Jose María Llamas-Molina, Maria Dolores Pegalajar-García, Carmen Pérez-Valencia, Alejandro Carrero-Castaño, and Ricardo Ruiz-Villaverde. 2024. "Primary Cutaneous CD4 Small/Medium T-Cell Lymphoproliferative Disorder Following COVID-19 Vaccination—What Do We Know about Lymphoproliferative Disorders and Cutaneous Lymphomas after COVID-19 Vaccination? A Report of an Atypical Case and a Review of the Literature" Life 14, no. 3: 386. https://doi.org/10.3390/life14030386
APA StyleDe la Torre-Gomar, F. J., Llamas-Molina, J. M., Pegalajar-García, M. D., Pérez-Valencia, C., Carrero-Castaño, A., & Ruiz-Villaverde, R. (2024). Primary Cutaneous CD4 Small/Medium T-Cell Lymphoproliferative Disorder Following COVID-19 Vaccination—What Do We Know about Lymphoproliferative Disorders and Cutaneous Lymphomas after COVID-19 Vaccination? A Report of an Atypical Case and a Review of the Literature. Life, 14(3), 386. https://doi.org/10.3390/life14030386

