Deep Learning Super-Resolution Technique Based on Magnetic Resonance Imaging for Application of Image-Guided Diagnosis and Surgery of Trigeminal Neuralgia
Abstract
1. Introduction
2. Subject and Experimental Methods
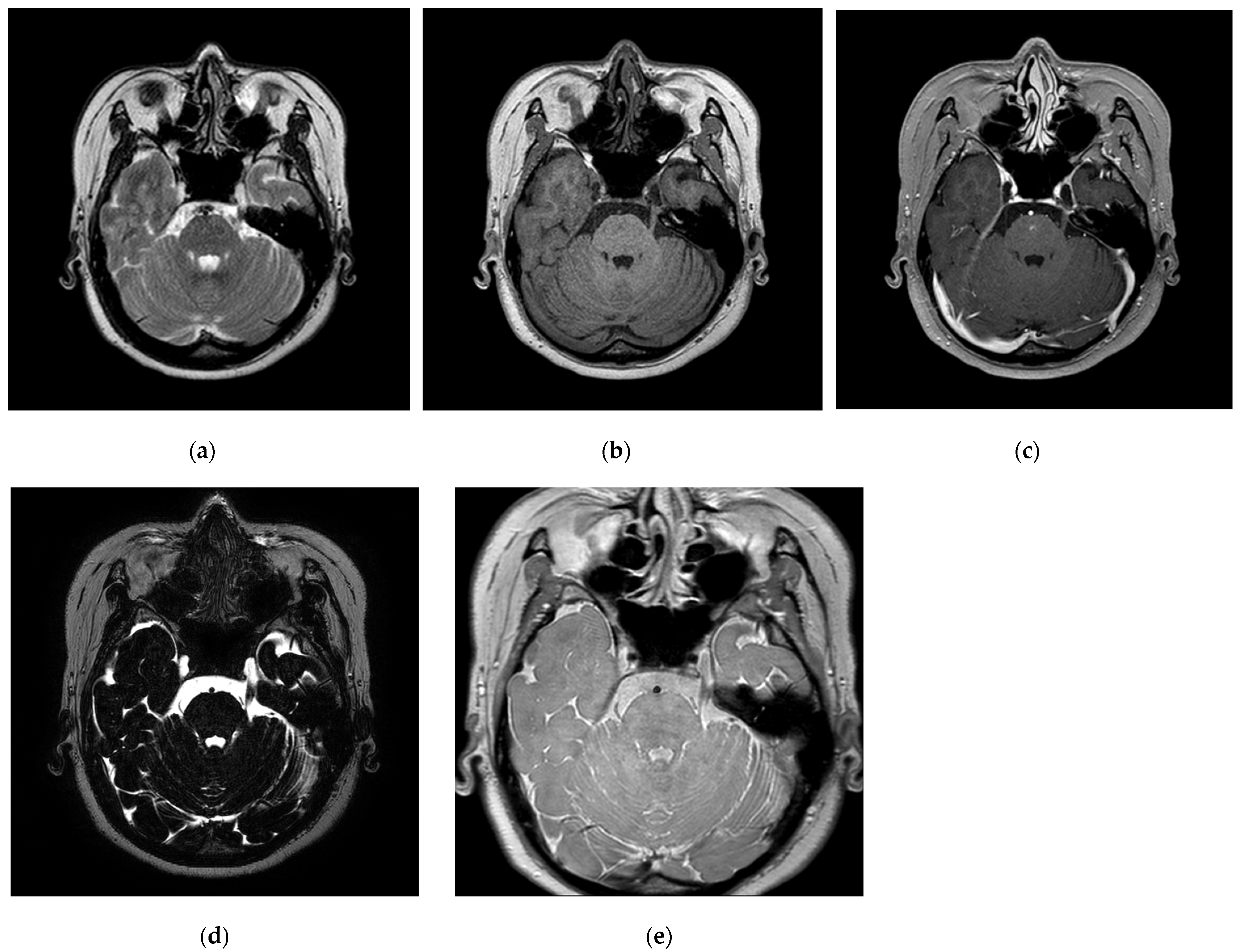
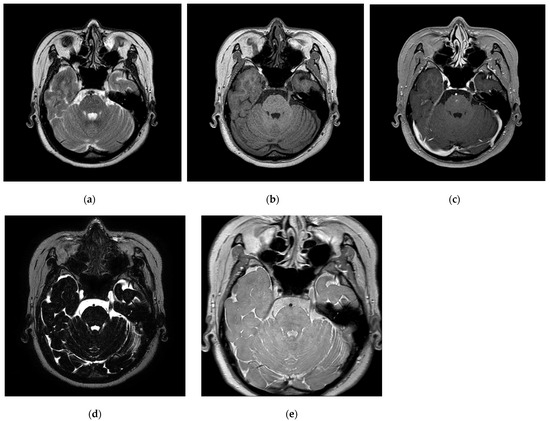
2.1. Image Data
2.2. Dataset Preprocessing
2.3. SR Technique
2.4. Construction of Training Dataset
2.5. Set Training Options
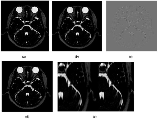
2.6. Improving the Image Quality of the Trigeminal Nerve
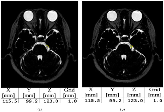
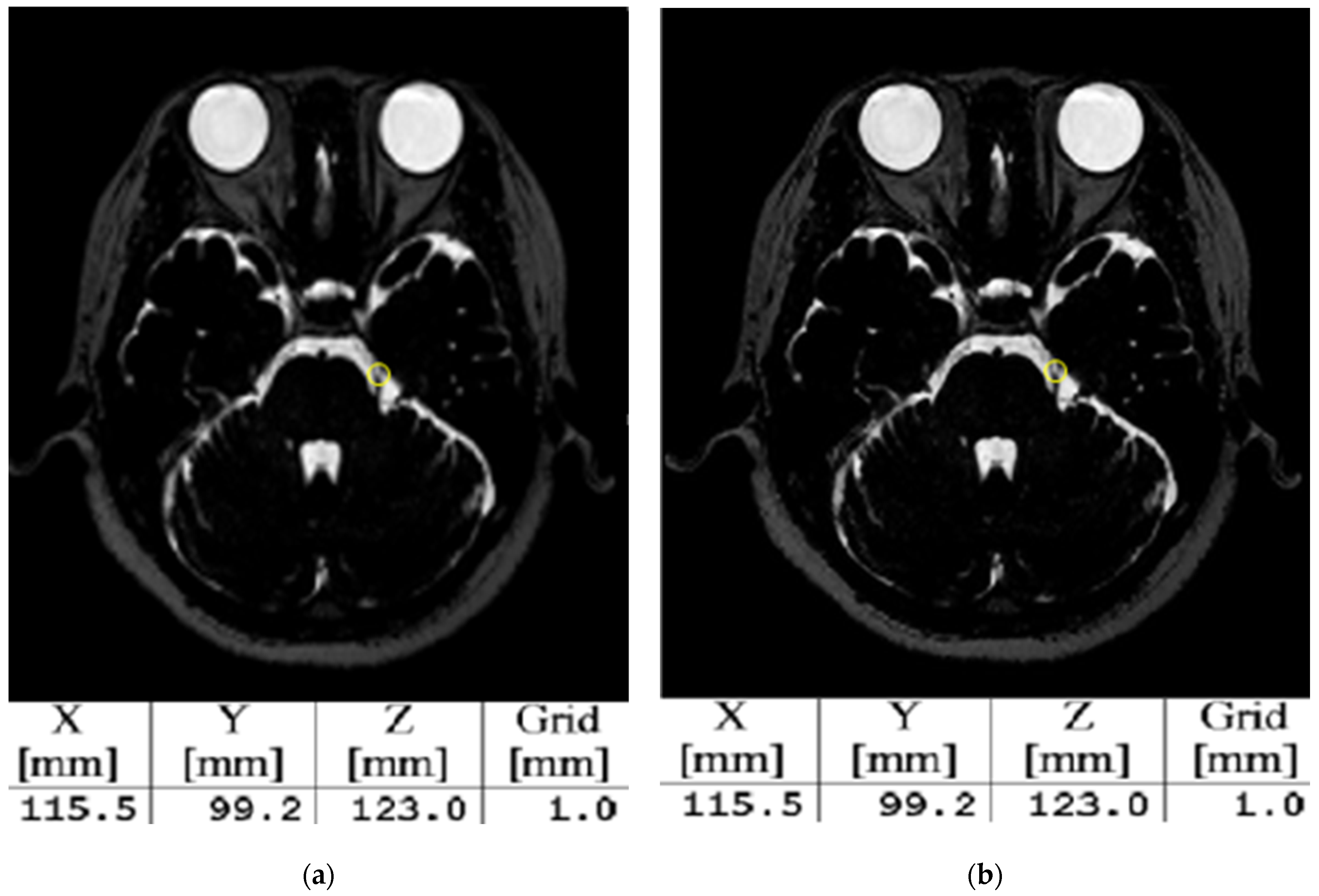
2.7. Evaluation of Image Quality and Coordinates of Surgical Planning
3. Results
3.1. Improving the Image Quality of the Trigeminal Nerve
3.2. Evaluation of Image Quality and Coordinates of Surgical Planning
4. Discussions
5. Conclusions
Author Contributions
Funding
Institutional Review Board Statement
Informed Consent Statement
Data Availability Statement
Acknowledgments
Conflicts of Interest
Abbreviations
References
- Eller, J.L.; Raslan, A.M.; Burchiel, K.J. Trigeminal neuralgia: Definition and classification. J. Neurosurg. 2005, 18, 1–3. [Google Scholar] [CrossRef]
- Zagzoog, N.; Attar, A.; Takroni, R. Endoscopic versus open microvascular decompression for trigeminal neuralgia: A systematic review and comparative meta-analysis. J. Neurosurg. 2018, 131, 1532–1540. [Google Scholar] [CrossRef] [PubMed]
- Athanasiou, T.C.; Patel, N.K.; Renowden, S.A.; Coakham, H.B. Some patients with multiple sclerosis have neurovascular compression causing their trigeminal neuralgia and can be treated effectively with MVD: Report of five cases. Br. J. Neurosurg. 2009, 19, 463–468. [Google Scholar] [CrossRef]
- Park, C.K.; Park, B.J. Surgical Treatment for Trigeminal Neuralgia. J. Korean Neurosurg. Soc. 2022, 65, 615–621. [Google Scholar] [CrossRef]
- Sato, D.; Hayashi, M.; Horiba, A.; Horisawa, S.; Kawamata, T. Long-Term Results of Gamma Knife Radiosurgery for Trigeminal Neuralgia. World Neurosurg. 2023, 171, e787–e791. [Google Scholar] [CrossRef] [PubMed]
- Franzini, A.; Picozzi, P.; Farinaro, G.; Bono, B.; Navarria, P.; Pessina, F. Gamma Knife Radiosurgery Targeting the Trigeminal Nerve for Tumor-Related Trigeminal Neuralgia: A Case Series. World Neurosurg. 2023, 175, e413–e420. [Google Scholar] [CrossRef] [PubMed]
- Hu, Y.S.; Lee, C.C.; Wu, C.A.; Lin, C.J.; Yang, H.C.; Guo, W.Y.; Liu, K.D.; Chung, W.Y.; Shiau, C.Y.; Wu, H.M. Magnetic resonance imaging signal characteristics associated with prognosis of skull base chordoma after gamma knife radiosurgery. J. Neuro-Oncol. 2023, 161, 45–46. [Google Scholar] [CrossRef] [PubMed]
- Kim, M.J.; Jung, H.H.; Kim, Y.B.; Chang, J.H.; Chang, J.W.; Park, K.Y.; Chang, W.S. Comparison of Single-Session, Neoadjuvant, and Adjuvant Embolization Gamma Knife Radiosurgery for Arteriovenous Malformation. Neurosurgery 2023, 92, 986–997. [Google Scholar] [CrossRef] [PubMed]
- Yamamoto, M.; Lde, M.; Nishio, S.I.; Urakawa, Y. Gamma Knife radiosurgery for numerous brain metastases: Is this a safe treatment? Int. J. Radiat. Oncol. Biol. Phys. 2002, 53, 1279–1283. [Google Scholar] [CrossRef]
- Massager, N.; Abeloos, L.; Devriendt, D.; Beeck, M.O.D.; Levivier, M.L. Clinical Evaluation of Targeting Accuracy of Gamma Knife Radiosurgery in Trigeminal Neuralgia. Int. J. Radiat. Oncol. Biol. Phys. 2007, 69, 1514–1520. [Google Scholar] [CrossRef]
- Hu, W.H.; Wang, X.; Liu, L.N.; Shao, X.Q.; Zhang, K.; Ma, Y.S.; Ai, L.; Li, J.J.; Zhang, J.G. Multimodality Image Post-processing in Detection of Extratemporal MRI-Negative Cortical Dysplasia. Front. Neurosci. 2018, 9, 450. [Google Scholar] [CrossRef]
- Chow, L.S.; Paley, M.N.J. Recent advances on optic nerve magnetic resonance imaging and post-processing. Magn. Reson. Imaging 2021, 79, 76–84. [Google Scholar] [CrossRef]
- Dey, N.; Ashour, A.S.; Beagum, S.; Pistola, D.S.; Gospodinov, M.; Gospodinova, E.P.; Tavares, J.M.R.S. Parameter Optimization for Local Polynomial Approximation based Intersection Confidence Interval Filter Using Genetic Algorithm: An Application for Brain MRI Image De-Noising. J. Imaging 2015, 1, 60–84. [Google Scholar] [CrossRef]
- Sheng, R.F.; Zheng, L.Y.; Jin, K.P.; Sun, W.; Liao, S.; Zeng, M.S.; Dai, Y.M. Single-breath-hold T2WI liver MRI with deep learning-based reconstruction: A clinical feasibility study in comparison to conventional multi-breath-hold T2WI liver MRI. Magn. Reson. Imaging 2021, 81, 75–81. [Google Scholar] [CrossRef] [PubMed]
- Guo, H.; Song, X.; Vandorpe, R.; Zhang, Y.; Chen, W.; Zhang, N.; Schmidt, M.H.; Rockwood, K. Evaluation of Common Structural Brain Changes in Aging and Alzheimer Disease with the Use of an MRI-Based Brain Atrophy and Lesion Index: A Comparison between T1WI and T2WI at 1.5T and 3T. Am. J. Neuroradiol. 2014, 35, 504–512. [Google Scholar] [CrossRef]
- Schocke, M.F.H.; Seppi, K.; Esterhammer, R.; Kremser, C.; Jaschke, W.; Poewe, W.; Wenning, G.K. Diffusion-weighted MRI differentiates the Parkinson variant of multiple system atrophy from PD. Neurology 2002, 58, 575–580. [Google Scholar] [CrossRef]
- Mangia, S.; Svatkova, A.; Mascali, D.; Nissi, M.J.; Burton, P.C.; Bednarik, P.; Auerbach, E.J.; Giove, F.; Eberly, L.E.; Howell, M.J.; et al. Multi-modal Brain MRI in Subjects with PD and Irbd. Front. Neurosci. 2017, 11, 709. [Google Scholar] [CrossRef]
- Aissiou, M.; Perie, D.; Gervais, J.; Trochu, F. Development of a progressive dual kriging technique for 2D and 3D multi-parametric MRI data interpolation. Comp. Meth. Biomech. Biomed. Eng. 2013, 1, 69–78. [Google Scholar] [CrossRef]
- Masutani, E.M.; Bahrami, N.; Hsiao, A. Deep Learning Single-Frame and Multiframe Super-Resolution for Cardiac MRI. Radiology 2020, 295, 552–561. [Google Scholar] [CrossRef]
- Yue, L.; Shen, H.; Li, J.; Yuan, Q.; Zhang, H.; Zhang, L. Image super-resolution: The techniques, applications, and future. Signal Process. 2016, 128, 389–408. [Google Scholar] [CrossRef]
- Jiang, M.; Zhi, M.; Wei, L.; Yang, X.; Zhang, J.; Li, Y.; Wang, P.; Huang, J.; Yang, G. FA-GAN: Fused attentive generative adversarial networks for MRI image super-resolution. Comput. Med. Imaging Graph. 2021, 92, 101969. [Google Scholar] [CrossRef] [PubMed]
- Wang, L.; Zhu, H.; He, Z.; Jia, Y.; Du, J. Adjacent slices feature transformer network for single anisotropic 3D brain MRI image super-resolution. Biomed. Signal. Process Control 2022, 72, 103339. [Google Scholar] [CrossRef]
- Hernandez, M.D.C.V.; Maconick, L.C.; Tan, E.M.J.; Wardlaw, J.M. Identification of mineral deposits in the brain on radiological images: A systematic review. Eur. Radiol. 2021, 22, 2371–2381. [Google Scholar] [CrossRef] [PubMed]
- Ozturk, T.; Talo, M.; Yildirim, E.A.; Baloglu, U.B.; Yildirim, O.; Acharya, U.R. Automated detection of COVID-19 cases using deep neural networks with X-ray images. Comput. Biol. Med. 2020, 121, 103792. [Google Scholar] [CrossRef] [PubMed]
- Hillbom, M.; Saloheimo, P.; Fujioka, S.; Wszolek, Z.K.; Juvela, S.; Leone, M.A. Diagnosis and management of Marchiafava–Bignami disease: A review of CT/MRI confirmed cases. J. Neurol. Neurosurg. Psychiatry 2014, 85, 168–173. [Google Scholar] [CrossRef]
- Glide-Hurst, C.K.; Paulson, E.S.; McGee, K.; Tyagi, N.; Hu, Y.; Balter, J.; Bayouth, J. Task group 284 report: Magnetic resonance imaging simulation in radiotherapy: Considerations for clinical implementation, optimization, and quality assurance. Med. Phys. 2021, 48, e636–e670. [Google Scholar] [CrossRef]
- Price, R.R.; Axel, L.; Morgen, T.; Newman, R.; Perman, W.; Schneiders, N.; Selikson, M.; Wood, M.; Thomas, S.R. Quality assurance methods and phantoms for magnetic resonance imaging: Report of AAPM nuclear magnetic resonance Task Group No. 1. Med. Phys. 1990, 17, 287–295. [Google Scholar] [CrossRef]
- Yanasak, M.; Clarke, G.; Stafford, R.J.; Goerner, F.; Steckner, M.; Bercha, I.; Och, J.; Amurao, M. Parallel Imaging in MRI: Technology, Applications, and Quality Control. Med. Phys. 2015, 118, 1–42. [Google Scholar] [CrossRef]
- Veraart, J.; Novikov, D.S.; Christianes, D.; Ades-aron, B.; Sijbers, J.; Fieremans, E. Denoising of diffusion MRI using random matrix theory. Neuroimage 2016, 142, 394–406. [Google Scholar] [CrossRef]
- Sagheer, S.V.M.; George, S.N. A review on medical image denoising algorithms. Biomed. Signal. Process. Control 2020, 61, 102036. [Google Scholar] [CrossRef]
- Mohan, J.; Krishnaveni, V.; Guo, Y. A survey on the magnetic resonance image denoising methods. Biomed. Signal. Process. Control 2014, 9, 56–69. [Google Scholar] [CrossRef]
- Kim, J.W.; Lee, J.K.; Lee, K.M. Accurate Image Super-Resolution Using Very Deep Convolutional Networks. arXiv 2016, arXiv:1511.04587. [Google Scholar] [CrossRef]
- Hitawala, S.; Li, Y.; Wang, X.; Yang, D. Image Super-Resolution Using VDSR-ResNeXt and SRCGAN. arXiv 2018, arXiv:1810.05731. [Google Scholar] [CrossRef]
- Hwang, J.J.; Jung, Y.H.; Cho, B.H.; Heo, M.S. Very deep super-resolution for efficient cone-beam computed tomographic image restoration. Imaging Sci. Dent. 2020, 50, 331–337. [Google Scholar] [CrossRef]
- Tabacaru, G.; Moldovanu, S.; Răducan, E.; Barbu, M. A Robust Machine Learning Model for Diabetic Retinopathy Classification. J. Imaging 2024, 10, 8. [Google Scholar] [CrossRef]
- Onishi, M.; Ise, T. Explainable identification and mapping of trees using UAV RGB image and deep learning. Sci. Rep. 2021, 11, 903. [Google Scholar] [CrossRef] [PubMed]
- Lingling, F.; Hanyu, Z.; Jiaxin, Z.; Xianghai, W. Image classification with an RGB-channel nonsubsampled contourlet transform and a convolutional neural network. Neurocomputing 2020, 396, 266–277. [Google Scholar] [CrossRef]
- Du, J.; Zhou, H.; Qian, K.; Tan, W.; Zhang, Z.; Gu, L.; Yu, Y. RGB-IR Cross Input and Sub-Pixel Upsampling Network for Infrared Image Super-Resolution. Sensors 2020, 20, 281. [Google Scholar] [CrossRef]
- Khandelwal, J.; Sharma, V.K. W-VDSR: Wavelet-based secure image transmission using machine learning VDSR neural network. Multimed. Tools Appl. 2023, 82, 42147–42172. [Google Scholar] [CrossRef]
- Liu, J.F.; Jiang, C.; Zheng, J. Uncertainty propagation method for high-dimensional black-box problems via Bayesian deep neural network. Struct. Multidiscip. Optim. 2022, 65, 83. [Google Scholar] [CrossRef]






| MRI Methods | Image Resolution | Bit Processing (bits) | Number of Images (n) | Sequence | Recovery Time (msec) | Echo Time (msec) | Number of Excitations | Flip Angle (o) |
|---|---|---|---|---|---|---|---|---|
| T2WI | 512 × 512 | 16 | 147 | Spin echo | 2500 | 100 | 1 | - |
| T1WI | 150 | Gradient | 5 | 2.5 | 1 | 8 | ||
| CE-T1WI | 147 | 2 | ||||||
| VISTA | 116 | Spin echo | 2000 | 316 | 1 | 90 | ||
| PD | 95 | Spin echo | 2000 | 30 | 1 | 90 |
| System | Computer Environment |
|---|---|
| Computer language | Matlab R2023a |
| Image processing | Image processing toolbox |
| Deep learning implementation | Deep learning toolbox |
| Dataset processing and computation | Parallel computing toolbox |
| Operating system | Windows 11 education |
| Central processing unit | Intel core i9-12900KF |
| Graphic processing unit | GeForce RTX 3080 12 GB |
| Options | Hyper Parameter | Value Setting |
|---|---|---|
| Mini batch options | Max epoch | 100 |
| Mini batch size | 64 | |
| Training options | Optimizer | Stochastic gradient descent with momentum |
| Momentum | 0.9 | |
| L2 regularization | 0.0001 | |
| Gradient threshold | 0.01 | |
| Gradient threshold method | L2 norm | |
| Initial learning rate | 0.1 | |
| Learning rate factor | 0.1 | |
| Learn rate drop factor | 10 |
| Network | Layer Setting |
|---|---|
| Input layer | 41 × 41 × 1 (Y channel) |
| Convolution layer | 3 × 3 filter operation |
| ReLU layer | Activation function |
| Output layer | Replace with regression layer |
| Dataset | Scale Factor | * Image Quality | |||
|---|---|---|---|---|---|
| * PSNR (db) | ** SSIM | ||||
| Bicubic Interpolation | Super Resolution | Bicubic Interpolation | Super Resolution | ||
| Internal MRI data | ×2 | 31.5 | 32.6 | 0.9 | 0.95 |
| ×3 | 26.3 | 26.4 | 0.84 | 0.86 | |
| ×4 | 26.5 | 27.6 | 0.83 | 0.86 | |
Disclaimer/Publisher’s Note: The statements, opinions and data contained in all publications are solely those of the individual author(s) and contributor(s) and not of MDPI and/or the editor(s). MDPI and/or the editor(s) disclaim responsibility for any injury to people or property resulting from any ideas, methods, instructions or products referred to in the content. |
© 2024 by the authors. Licensee MDPI, Basel, Switzerland. This article is an open access article distributed under the terms and conditions of the Creative Commons Attribution (CC BY) license (https://creativecommons.org/licenses/by/4.0/).
Share and Cite
Hwang, J.H.; Park, C.K.; Kang, S.B.; Choi, M.K.; Lee, W.H. Deep Learning Super-Resolution Technique Based on Magnetic Resonance Imaging for Application of Image-Guided Diagnosis and Surgery of Trigeminal Neuralgia. Life 2024, 14, 355. https://doi.org/10.3390/life14030355
Hwang JH, Park CK, Kang SB, Choi MK, Lee WH. Deep Learning Super-Resolution Technique Based on Magnetic Resonance Imaging for Application of Image-Guided Diagnosis and Surgery of Trigeminal Neuralgia. Life. 2024; 14(3):355. https://doi.org/10.3390/life14030355
Chicago/Turabian StyleHwang, Jun Ho, Chang Kyu Park, Seok Bin Kang, Man Kyu Choi, and Won Hee Lee. 2024. "Deep Learning Super-Resolution Technique Based on Magnetic Resonance Imaging for Application of Image-Guided Diagnosis and Surgery of Trigeminal Neuralgia" Life 14, no. 3: 355. https://doi.org/10.3390/life14030355
APA StyleHwang, J. H., Park, C. K., Kang, S. B., Choi, M. K., & Lee, W. H. (2024). Deep Learning Super-Resolution Technique Based on Magnetic Resonance Imaging for Application of Image-Guided Diagnosis and Surgery of Trigeminal Neuralgia. Life, 14(3), 355. https://doi.org/10.3390/life14030355

