Enhancing the Chemosensitivity of MKN-45 Gastric Cancer Cells to Docetaxel via B7H6 Suppression: A Novel Therapeutic Strategy
Abstract
1. Introduction
2. Materials and Methods
2.1. Cell Culture and Cell Lines Selection
2.2. Transfection of B7H6 siRNA
2.3. MTT Assay and Cell Viability
2.4. Wound-Healing Assay
2.5. Colony-Forming Unit Assay
2.6. Apoptosis Assay
2.7. Cell Cycle Analysis
2.8. RNA Extraction, cDNA Synthesis, and qRT-PCR
2.9. Statistical Analysis
3. Results
3.1. Cell Line Selection
3.2. Optimizing the Dosage of B7H6 siRNA Using the Electroporation Technique
3.3. Assessing Viability of MKN-45 Cells Transfected with B7H6 siRNA and Treated with Docetaxel Alone and in Combination for Potential Synergy
3.4. Investigation of MKN-45 Cell Migration with B7H6 siRNA and Docetaxel Treatment, Individually and Combined, Using Wound-Healing Assay
3.5. Combined Treatment with B7H6 siRNA and Docetaxel Results of Colony-Forming Ability in MKN-45 Cells
3.6. Flow Cytometry Analysis of B7H6 siRNA and Docetaxel-Induced Apoptosis in MKN-45 Cells
3.7. Analysis of Flow Cytometry Reveals the Effects of B7H6 siRNA and Docetaxel Treatment on Cell Cycle in MKN-45 Cells
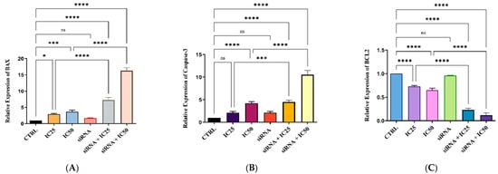
3.8. Expression Changes in Target Genes in MKN-45 Cells Following B7H6 siRNA Transfection and Docetaxel Treatment
4. Discussion
5. Conclusions
Author Contributions
Funding
Institutional Review Board Statement
Informed Consent Statement
Data Availability Statement
Conflicts of Interest
References
- Bray, F.; Laversanne, M.; Sung, H.; Ferlay, J.; Siegel, R.L.; Soerjomataram, I.; Jemal, A. Global cancer statistics 2022: GLOBOCAN estimates of incidence and mortality worldwide for 36 cancers in 185 countries. CA Cancer J. Clin. 2024, 74, 229–263. [Google Scholar] [CrossRef] [PubMed]
- Cuzzuol, B.R.; Vieira, E.S.; Araújo, G.R.L.; Apolonio, J.S.; de Carvalho, L.S.; da Silva Junior, R.T.; de Brito, B.B.; de Melo, F.F. Gastric cancer: A brief review, from risk factors to treatment. Arch. Gastroenterol. Res. 2020, 1, 34–39. [Google Scholar]
- Siddiqi, A.; Johnston, F.M. The perioperative and operative management of esophageal and gastric cancer. Surg. Oncol. Clin. 2023, 32, 65–81. [Google Scholar] [CrossRef] [PubMed]
- Amanat, M.; Nemeth, C.L.; Fine, A.S.; Leung, D.G.; Fatemi, A. Antisense oligonucleotide therapy for the nervous system: From bench to bedside with emphasis on pediatric neurology. Pharmaceutics 2022, 14, 2389. [Google Scholar] [CrossRef] [PubMed]
- Sever, R.; Brugge, J.S. Signal transduction in cancer. Cold Spring Harb. Perspect. Med. 2015, 5, a006098. [Google Scholar] [CrossRef]
- Alizadeh, N.; Kazemi, T.; Hemmat, N.; Jafarlou, M.; Baradaran, B. The combination of PD-L1 and CTLA-4 suppression significantly decreased the expression levels of cancer stem cell factors in the pancreatic cancer cell line. ImmunoAnalysis 2023, 3, 6. [Google Scholar] [CrossRef]
- Knudsen, D.R.; Raman, P.; Ettefa, F.; De Ravin, L.; Jose, A.M. Target-specific requirements for RNA interference can be explained by a single regulatory network. bioRxiv 2023. [Google Scholar] [CrossRef]
- Darvin, P.; Toor, S.M.; Sasidharan Nair, V.; Elkord, E. Immune checkpoint inhibitors: Recent progress and potential biomarkers. Exp. Mol. Med. 2018, 50, 1–11. [Google Scholar] [CrossRef]
- Bagchi, S.; Yuan, R.; Engleman, E.G. Immune checkpoint inhibitors for the treatment of cancer: Clinical impact and mechanisms of response and resistance. Annu. Rev. Pathol. Mech. Dis. 2021, 16, 223–249. [Google Scholar] [CrossRef]
- Alizadeh, N.; Mosaferi, E.; Farzadi, L.; Majidi, J.; Monfaredan, A.; Yousefi, B.; Baradaran, B. Frequency of null allele of Human Leukocyte Antigen-G (HLA-G) locus in subjects to recurrent miscarriage. Int. J. Reprod. BioMedicine 2016, 14, 459. [Google Scholar] [CrossRef]
- Leung, J.; Suh, W.-K. The CD28-B7 family in anti-tumor immunity: Emerging concepts in cancer immunotherapy. Immune Netw. 2014, 14, 265–276. [Google Scholar] [CrossRef] [PubMed]
- Ni, L.; Dong, C. New B7 family checkpoints in human cancers. Mol. Cancer Ther. 2017, 16, 1203–1211. [Google Scholar] [CrossRef] [PubMed]
- Geiger, F. Roles of Transient Receptor Potential (TRP) Cation Channels in Primary Pulmonary Fibroblasts. Ph.D. Thesis, Loyola Marymount University, Los Angeles, CA, USA, 2023. [Google Scholar]
- Sharma, A.; Ramena, G.T.; Elble, R.C. Advances in intracellular calcium signaling reveal untapped targets for cancer therapy. Biomedicines 2021, 9, 1077. [Google Scholar] [CrossRef] [PubMed]
- Meng, S.; Alanazi, R.; Ji, D.; Bandura, J.; Luo, Z.-W.; Fleig, A.; Feng, Z.-P.; Sun, H.-S. Role of TRPM7 kinase in cancer. Cell Calcium 2021, 96, 102400. [Google Scholar] [CrossRef]
- Santoni, G.; Morelli, M.B.; Marinelli, O.; Nabissi, M.; Santoni, M.; Amantini, C. Calcium signaling and the regulation of chemosensitivity in cancer cells: Role of the transient receptor potential channels. Calcium Signal. 2020, 505–517. [Google Scholar] [CrossRef]
- Al-Batran, S.-E.; Homann, N.; Pauligk, C.; Goetze, T.O.; Meiler, J.; Kasper, S.; Kopp, H.-G.; Mayer, F.; Haag, G.M.; Luley, K. Perioperative chemotherapy with fluorouracil plus leucovorin, oxaliplatin, and docetaxel versus fluorouracil or capecitabine plus cisplatin and epirubicin for locally advanced, resectable gastric or gastro-oesophageal junction adenocarcinoma (FLOT4): A randomised, phase 2/3 trial. Lancet 2019, 393, 1948–1957. [Google Scholar]
- Petrioli, R.; Francini, E.; Cherri, S.; Marrelli, D.; Rovello, F.; Fiaschi, A.I.; Miano, S.T.; Savelli, V.; Calomino, N.; Farsi, M. Feasibility of modified docetaxel, oxaliplatin, capecitabine followed by capecitabine as maintenance chemotherapy as first-line therapy for patients with metastatic gastric or gastroesophageal cancer. Anti-Cancer Drugs 2020, 31, 292–297. [Google Scholar] [CrossRef]
- Marrelli, D.; Piccioni, S.A.; Carbone, L.; Petrioli, R.; Costantini, M.; Malagnino, V.; Bagnacci, G.; Rizzoli, G.; Calomino, N.; Piagnerelli, R. Posterior and Para-Aortic (D2plus) Lymphadenectomy after Neoadjuvant/Conversion Therapy for Locally Advanced/Oligometastatic Gastric Cancer. Cancers 2024, 16, 1376. [Google Scholar] [CrossRef] [PubMed]
- Li, D.; Xiang, S.; Shen, J.; Xiao, M.; Zhao, Y.; Wu, X.; Du, F.; Ji, H.; Li, M.; Zhao, Q. Comprehensive understanding of B7 family in gastric cancer: Expression profile, association with clinicopathological parameters and downstream targets. Int. J. Biol. Sci. 2020, 16, 568. [Google Scholar] [CrossRef]
- Bjørnsen, E.G.; Thiruchelvam-Kyle, L.; Hoelsbrekken, S.E.; Henden, C.; Saether, P.C.; Boysen, P.; Daws, M.R.; Dissen, E. B7H6 is a functional ligand for NKp30 in rat and cattle and determines NKp30 reactivity toward human cancer cell lines. Eur. J. Immunol. 2019, 49, 54–65. [Google Scholar] [CrossRef]
- Jiang, T.; Wu, W.; Zhang, H.; Zhang, X.; Zhang, D.; Wang, Q.; Huang, L.; Wang, Y.; Hang, C. High expression of B7-H6 in human glioma tissues promotes tumor progression. Oncotarget 2017, 8, 37435. [Google Scholar] [CrossRef] [PubMed]
- Chen, X.-J.; Shen, J.; Zhang, G.-B.; Chen, W.-C. B7-H6 protein expression has no prognostic significance in human gastric carcinoma. Pathol. Oncol. Res. 2014, 20, 203–207. [Google Scholar] [CrossRef]
- Amir Taghavi, B.; Alizadeh, N.; Saeedi, H.; Karim Ahangar, N.; Derakhshani, A.; Hajiasgharzadeh, K.; Silvestris, N.; Baradaran, B.; Brunetti, O. Targeted therapy of B7 family checkpoints as an innovative approach to overcome cancer therapy resistance: A review from chemotherapy to immunotherapy. Molecules 2022, 27, 3545. [Google Scholar] [CrossRef]
- Kang, B.W.; Kwon, O.-K.; Chung, H.Y.; Yu, W.; Kim, J.G. Taxanes in the treatment of advanced gastric cancer. Molecules 2016, 21, 651. [Google Scholar] [CrossRef] [PubMed]
- Suzuki, T.; Yoshida, K.; Wada, Y.; Hamai, Y.; Sentani, K.; Oue, N.; Yasui, W. Melanoma-associated antigen-A1 expression predicts resistance to docetaxel and paclitaxel in advanced and recurrent gastric cancer. Oncol. Rep. 2007, 18, 329–336. [Google Scholar] [CrossRef] [PubMed]
- Safaei, S.; Amini, M.; Najjary, S.; Mokhtarzadeh, A.; Bolandi, N.; Saeedi, H.; Alizadeh, N.; Javadrashid, D.; Baradaran, B. miR-200c increases the sensitivity of breast cancer cells to Doxorubicin through downregulating MDR1 gene. Exp. Mol. Pathol. 2022, 125, 104753. [Google Scholar] [CrossRef]
- Eslamkhah, S.; Alizadeh, N.; Safaei, S.; Mokhtarzadeh, A.; Amini, M.; Baghbanzadeh, A.; Baradaran, B. Micro RNA-34a sensitizes MCF-7 breast cancer cells to carboplatin through the apoptosis induction. Gene Rep. 2021, 25, 101361. [Google Scholar] [CrossRef]
- Pulanco, M.C.; Madsen, A.T.; Tanwar, A.; Corrigan, D.T.; Zang, X. Recent advancements in the B7/CD28 immune checkpoint families: New biology and clinical therapeutic strategies. Cell. Mol. Immunol. 2023, 20, 694–713. [Google Scholar] [CrossRef]
- Dolatkhah, K.; Alizadeh, N.; Mohajjel-Shoja, H.; Abdoli Shadbad, M.; Hajiasgharzadeh, K.; Aghebati-Maleki, L.; Baghbanzadeh, A.; Hosseinkhani, N.; Karim Ahangar, N.; Baradaran, B. B7 immune checkpoint family members as putative therapeutics in autoimmune disease: An updated overview. Int. J. Rheum. Dis. 2022, 25, 259–271. [Google Scholar] [CrossRef]
- Banu, N.; Riera-Leal, A.; Haramati, J.; Ortiz-Lazareno, P.C.; Panikar, S.S.; Bastidas-Ramirez, B.E.; Gutierrez-Silerio, G.Y.; Solorzano-Ibarra, F.; Tellez-Bañuelos, M.C.; Gutierrez-Franco, J. B7-H6, an immunoligand for the natural killer cell activating receptor NKp30, reveals inhibitory effects on cell proliferation and migration, but not apoptosis, in cervical cancer derived-cell lines. BMC Cancer 2020, 20, 1083. [Google Scholar] [CrossRef]
- Fiegler, N.; Textor, S.; Arnold, A.; Rölle, A.; Oehme, I.; Breuhahn, K.; Moldenhauer, G.; Witzens-Harig, M.; Cerwenka, A. Downregulation of the activating NKp30 ligand B7-H6 by HDAC inhibitors impairs tumor cell recognition by NK cells. Blood J. Am. Soc. Hematol. 2013, 122, 684–693. [Google Scholar] [CrossRef] [PubMed]
- Ahangar, N.K.; Khalaj-Kondori, M.; Alizadeh, N.; Mokhtarzadeh, A.; Baghbanzadeh, A.; Shadbad, M.A.; Dolatkhah, K.; Baradaran, B. Silencing tumor-intrinsic HHLA2 potentiates the anti-tumoral effect of paclitaxel on MG63 cells: Another side of immune checkpoint. Gene 2023, 855, 147086. [Google Scholar] [CrossRef] [PubMed]
- Taghavi, B.A.; Salehi, M.; Mokhtarzadeh, A.; Baradaran, B. Suppression of B7-H7 Enhanced MCF-7 Cancer Cell Line’s Chemosensitivity to Paclitaxel. Mol. Biotechnol. 2024, 1–9. [Google Scholar] [CrossRef] [PubMed]
- Spit, M.; ten Dijke, P. TGF-β Pathway. In Encyclopedia of Molecular Pharmacology; Springer: Cham, Switzerland, 2022; pp. 1485–1497. [Google Scholar]
- Hu, Y.; Zeng, T.; Xiao, Z.; Hu, Q.; Li, Y.; Tan, X.; Yue, H.; Wang, W.; Tan, H.; Zou, J. Immunological role and underlying mechanisms of B7-H6 in tumorigenesis. Clin. Chim. Acta 2020, 502, 191–198. [Google Scholar] [CrossRef]








| Gene | Forward Primer Sequence (5′→3′) | Reverse Primer Sequence (5′→3′) |
|---|---|---|
| B7H6 | CCGGACTGAGTGCTTCTCCT | CCTGTTGCTGTCCTGGTAGT |
| BAX | TGCAGAGGATGATTGCTGAC | GATCAGCTCGGGCACTTTAG |
| BCL-2 | CCTGTGGATGACTGAGTACCTGA | GAGACAGCCAGGAGAAATCAAAC |
| Caspase-3 | GAACTGGACTGTGGCATTGAG | AGTTTCAGCATGGTTTGTGAGC |
| GAPDH | GTAACCCGTTGAACCCCATT | CCATCCAATCGGTAGTAGCG |
Disclaimer/Publisher’s Note: The statements, opinions and data contained in all publications are solely those of the individual author(s) and contributor(s) and not of MDPI and/or the editor(s). MDPI and/or the editor(s) disclaim responsibility for any injury to people or property resulting from any ideas, methods, instructions or products referred to in the content. |
© 2024 by the authors. Licensee MDPI, Basel, Switzerland. This article is an open access article distributed under the terms and conditions of the Creative Commons Attribution (CC BY) license (https://creativecommons.org/licenses/by/4.0/).
Share and Cite
Aslan, E.S.; Akcali, N.; Yavas, C.; Eslamkhah, S.; Gur, S.; Karcioglu Batur, L. Enhancing the Chemosensitivity of MKN-45 Gastric Cancer Cells to Docetaxel via B7H6 Suppression: A Novel Therapeutic Strategy. Life 2024, 14, 1546. https://doi.org/10.3390/life14121546
Aslan ES, Akcali N, Yavas C, Eslamkhah S, Gur S, Karcioglu Batur L. Enhancing the Chemosensitivity of MKN-45 Gastric Cancer Cells to Docetaxel via B7H6 Suppression: A Novel Therapeutic Strategy. Life. 2024; 14(12):1546. https://doi.org/10.3390/life14121546
Chicago/Turabian StyleAslan, Elif Sibel, Nermin Akcali, Cuneyd Yavas, Sajjad Eslamkhah, Savas Gur, and Lutfiye Karcioglu Batur. 2024. "Enhancing the Chemosensitivity of MKN-45 Gastric Cancer Cells to Docetaxel via B7H6 Suppression: A Novel Therapeutic Strategy" Life 14, no. 12: 1546. https://doi.org/10.3390/life14121546
APA StyleAslan, E. S., Akcali, N., Yavas, C., Eslamkhah, S., Gur, S., & Karcioglu Batur, L. (2024). Enhancing the Chemosensitivity of MKN-45 Gastric Cancer Cells to Docetaxel via B7H6 Suppression: A Novel Therapeutic Strategy. Life, 14(12), 1546. https://doi.org/10.3390/life14121546

