Assessment of Ileal Crohn’s Disease Activity by Gastrointestinal Ultrasound and MR Enterography: A Pilot Study
Abstract
:1. Introduction
2. Materials and Methods
2.1. Study Population
2.2. Clinical Activity Scores and Laboratory Tests
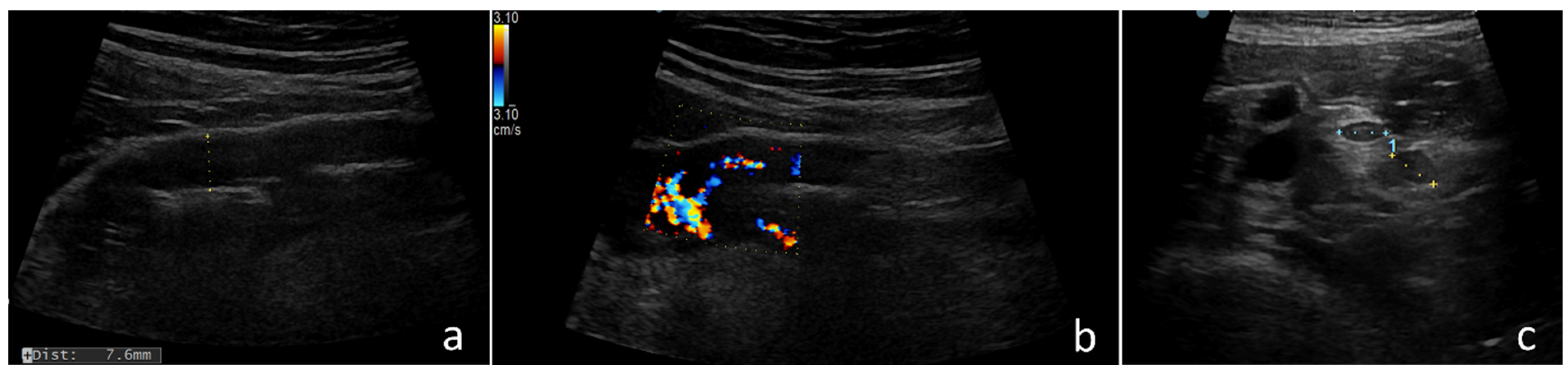
2.3. Ultrasound
- -
- Peak Enhancement (PE)—Figure 3b;
- -
- Wash-in Area Under the Curve (WiAUC);
- -
- Rise Time (RT);
- -
- Mean Transit Time Local (mTTl);
- -
- Time To Peak (TTP);
- -
- Wash-in Rate (WiR);
- -
- Wash-in Perfusion Index (WiPI);
- -
- Wash-out AUC (WoAUC);
- -
- Wash-in and Wash-out AUC (WiWoAUC);
- -
- Fall Time (FT);
- -
- Wash-out Rate (WoR);
- -
- Quality Of Fit between the echo-power signal and f(t) (QOF).


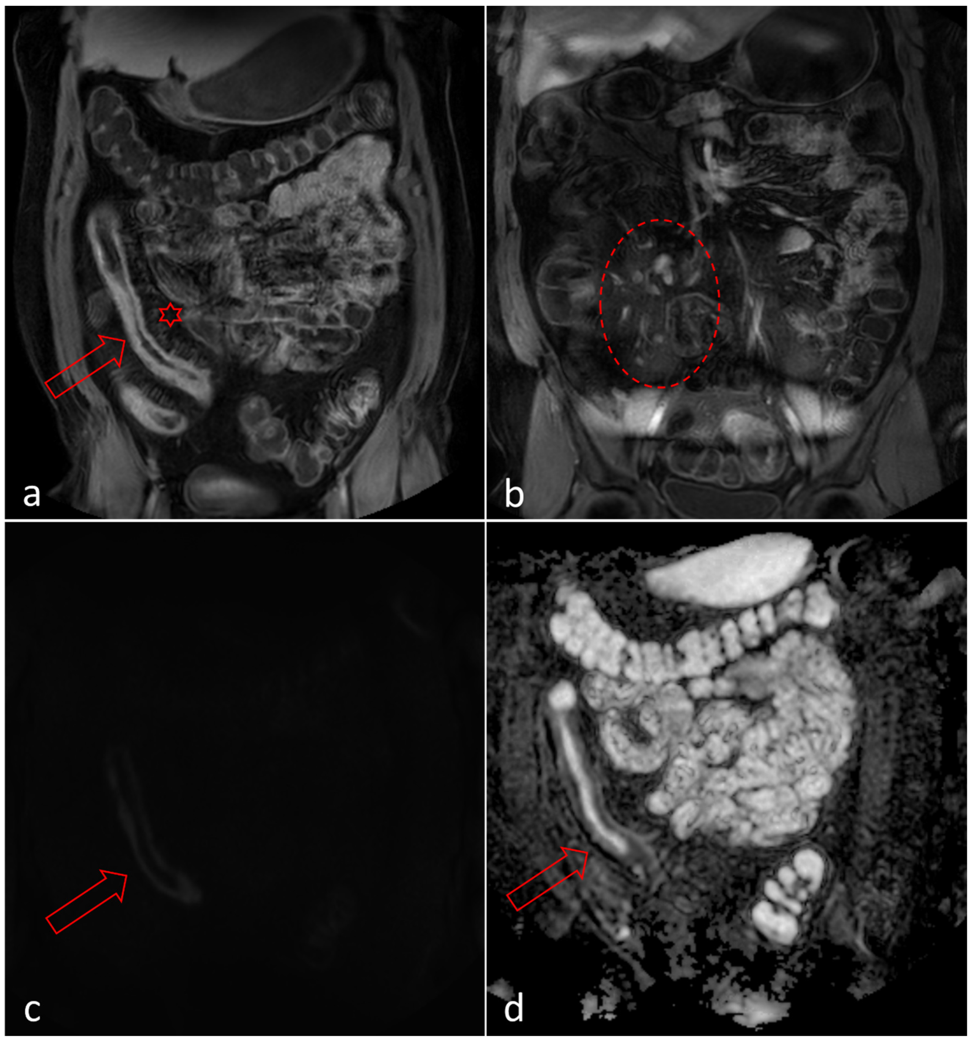
2.4. Magnetic Resonance Enterography
2.5. Statistical Analysis
3. Results

4. Discussion
Author Contributions
Funding
Institutional Review Board Statement
Informed Consent Statement
Data Availability Statement
Conflicts of Interest
Appendix A




| Parameters Evaluated | Disease’s Activity—No. of Patients (%) | |||
|---|---|---|---|---|
| Inactive | Active | |||
| Maximal wall thickness (mm) | <4 mm: 2 (4.54%) | Mild (4.0–6.0): 10 (22.73%) | Moderate (6.1–8.0): 26 (59.09%) | Severe (≥8.1): 6 (13.63%) |
| Limberg Score | Grade 0 and Grade 1: 12 (27.27%) | Grade 2: 22 (50%) | Grade 3: 8 (18.18%) | Grade 4: 2 (4.54%) |
| Ripollés Score | Inactive disease < 8.38: 8 (18.18%) | Active disease > 8.38: 36 (81.81%) | ||
| Simple CEUS Score | Inactive disease < 8.38: 6 (13.63%) | Active disease > 8.38: 38 (86.36%) | ||
| Simple US score | Inactive disease < 5.5: 2 (4.54%) | Active disease > 5.5: 42 (95.45%) | ||
| Medellin-Kowalewski Score | Inactive < 18.2 dB: 4 (9.09%) | Mild to moderate 18.2–22.8 dB: 8 (18.18%) | Moderate to severe >22.8 dB: 32 (72.72%) | |
| MaRIAs | Inactive < 1: 8 (18.18%) | Active disease ≥ 1: 10 (22.72%) | Severe lesions ≥ 2: 26 (59.09%) | |
| Crohn’s disease activity index | Remission (<150): 14 (31.81%) | Mild (150–220): 10 (22.72%) | Moderate (220–450): 20 (45.45%) | Severe (>450): 0 (0%) |
| Harvey–Bradshaw Index | Remission (<5): 8 (18.18%) | Mild (5–7): 16 (36.36%) | Moderate (8–16): 20 (45.45%) | Severe (>16): 0 (0%) |
| Faecal calprotectin (μg/g) | Inactive (<250 μg/g): 16 (36.36%) | Active (> 250 μg/g): 28 (63.63%) | ||
| CRP (mg/L) | Inactive (<10 mg/L): 19 (43.18%) | Active (>10 mg/L): 25 (56.81%) | ||
| Parameters | Sensitivity (%) | Specificity (%) | AUC | Positive Predictive Value (%) | Negative Predictive Value (%) |
|---|---|---|---|---|---|
| US—maximal wall thickness vs. CDAI | 100% | 14.29% | 0.876 | 71.43% | 100% |
| Limberg Score vs. CDAI | 93.33% | 71.43% | 0.980 | 87.50% | 83.33% |
| Ripollés Score vs. CDAI | 100% | 57.14% | 0.847 | 83.33% | 100% |
| Simple CEUS Score vs. CDAI | 100% | 42.86% | 0.847 | 78.95% | 100% |
| Simple US Score vs. CDAI | 100% | 14.29% | 0.895 | 71.43% | 100% |
| Medellin-Kowalewski Score vs. CDAI | 100% | 28.57% | 0.828 | 75% | 100% |
| MaRIAs Score vs. CDAI | 100% | 57.14% | 0.971 | 83.33% | 100% |
| US—maximal wall thickness vs. HBI | 100% | 25% | 0.888 | 85.71% | 100% |
| Limberg Score vs. HBI | 83.33% | 75% | 0.958 | 93.75% | 50% |
| Ripollés Score vs. HBI | 88.89% | 50% | 0.805 | 88.89% | 50% |
| Simple CEUS Score vs. HBI | 94.44% | 50% | 0.805 | 89.47% | 66.67% |
| Simple US Score vs. HBI | 100% | 25% | 0.916 | 85.71% | 100% |
| Medellin-Kowalewski Score vs. HBI | 100% | 50% | 0.805 | 90% | 100% |
| MaRIAs Score vs. HBI | 88.89% | 50% | 0.888 | 88.89% | 50% |
| Parameters | Sensitivity (%) | Specificity (%) | AUC | Positive Predictive Value (%) | Negative Predictive Value (%) |
|---|---|---|---|---|---|
| US—maximal wall thickness vs. FC | 100% | 16.67% | 0.9 | 66.67% | 100% |
| Limberg Score vs. FC | 100% | 83.33% | 1 | 90.91% | 100% |
| Ripollés Score vs. FC | 100% | 66.67% | 0.866 | 83.33% | 100% |
| Simple CEUS Score vs. FC | 100% | 50% | 0.866 | 76.92% | 100% |
| Simple US Score vs. FC | 100% | 16.67% | 0.9 | 66.67% | 100% |
| Medellin-Kowalewski Score vs. FC | 100% | 33.33% | 0.833 | 71.43% | 100% |
| MaRIAs Score vs. FC | 100% | 66.67% | 1 | 83.33% | 100% |
| US—maximal wall thickness vs. CRP | 100% | 12.50% | 0.727 | 61.11% | 100% |
| Limberg Score vs. CRP | 90.91% | 50% | 0.886 | 71.43% | 80% |
| Ripollés Score vs. CRP | 100% | 37.50% | 0.715 | 68.75% | 100% |
| Simple CEUS Score vs. CRP | 100% | 25% | 0.715 | 25% | 100% |
| Simple US Score vs. CRP | 100% | 12.50% | 0.750 | 61.11% | 100% |
| Medellin-Kowalewski Score vs. CRP | 100% | 12.50% | 0.715 | 61.11% | 100% |
| MaRIAs Score vs. CRP | 100% | 37.50% | 0.886 | 68.75% | 100% |
| Parameters | Pearson Correlation Coefficient | 95% Confidence Interval | p-Value |
|---|---|---|---|
| CDAI vs. US—maximal wall thickness | 0.502 | [0.24, 0.7] | <0.001 |
| CDAI vs. Limberg score | 0.667 | [0.46, 0.8] | <0.001 |
| CDAI vs. Ripollés score | 0.320 | [0.026, 0.56] | <0.05 |
| CDAI vs. Simple CEUS score | 0.324 | [0.031, 0.57] | <0.05 |
| CDAI vs. Simple US score | 0.598 | [0.37, 0.76] | <0.001 |
| CDAI vs. Medellin-Kowalewski score | 0.537 | [0.29, 0.72] | <0.001 |
| CDAI vs. MaRIAs | 0.614 | [0.39, 0.77] | <0.001 |
| HBI vs. US—maximal wall thickness | 0.352 | [0.062, 0.59] | <0.05 |
| HBI vs. Limberg score | 0.468 | [0.2, 0.67] | <0.01 |
| HBI vs. Ripollés score | 0.184 | [−0.12, 0.46] | >0.05 |
| HBI vs. Simple CEUS score | 0.186 | [−0.12, 0.46] | >0.05 |
| HBI vs. Simple US score | 0.420 | [0.14, 0.64] | <0.01 |
| HBI vs. Medellin-Kowalewski score | 0.459 | [0.19, 0.67] | <0.01 |
| HBI vs. MaRIAs | 0.594 | [0.36, 0.76] | <0.001 |
| Parameters | Pearson Correlation Coefficient | 95% Confidence Interval | p-Value |
|---|---|---|---|
| FC vs. US—maximal wall thickness | 0.419 | [0.083, 0.67] | <0.05 |
| FC vs. Limberg score | 0.446 | [0.12, 0.69] | <0.05 |
| FC vs. Ripollés score | 0.076 | [−0.28, 0.41] | >0.05 |
| FC vs. Simple CEUS score | 0.079 | [−0.28, 0.42] | >0.05 |
| FC vs. Simple US score | 0.395 | [0.054, 0.65] | <0.05 |
| FC vs. Medellin-Kowalewski score | 0.159 | [−0.2, 0.48] | >0.05 |
| FC vs. MaRIAs | 0.697 | [0.46, 0.84] | <0.001 |
| CRP vs. US—maximal wall thickness | 0.195 | [−0.13, 0.48] | >0.05 |
| CRP vs. Limberg score | 0.238 | [−0.088, 0.52] | >0.05 |
| CRP vs. Ripollés score | 0.030 | [−0.29, 0.35] | >0.05 |
| CRP vs. Simple CEUS score | 0.031 | [−0.29, 0.35] | >0.05 |
| CRP vs. Simple US score | 0.213 | [−0.11, 0.5] | >0.05 |
| CRP vs. Medellin-Kowalewski score | 0.298 | [−0.023, 0.56] | >0.05 |
| CRP vs. MaRIAs | 0.395 | [0.087, 0.64] | <0.05 |
References
- Freeman, H.J. Natural history and long-term clinical course of Crohn’s disease. World J. Gastroenterol. 2014, 20, 31–36. [Google Scholar] [CrossRef] [PubMed]
- Freeman, H.J. Application of the Montreal classification for Crohn’s disease to a single clinician database of 1015 patients. Can. J. Gastroenterol. Hepatol. 2007, 21, 363–366. [Google Scholar] [CrossRef] [PubMed]
- Odes, S.; Vardi, H.; Friger, M.; Wolters, F.; Hoie, O.; Moum, B.; Bernklev, T.; Yona, H.; Russel, M.; Munkholm, P.; et al. Effect of phenotype on health care costs in Crohn’s disease: A European study using the Montreal classification. J. Crohns Colitis. 2007, 1, 87–96. [Google Scholar] [CrossRef] [PubMed]
- Lamb, C.A.; Kennedy, N.A.; Raine, T.; Hendy, P.A.; Smith, P.J.; Limdi, J.K.; Hayee, B.; Lomer, M.C.E.; Parkes, G.C.; Selinger, C.; et al. British Society of Gastroenterology consensus guidelines on the management of inflammatory bowel disease in adults. Gut 2019, 68 (Suppl. S3), s1–s106, Erratum in Gut 2021, 70, 1. [Google Scholar] [CrossRef] [PubMed]
- D’Incà, R.; Caccaro, R. Measuring disease activity in Crohn’s disease: What is currently available to the clinician. Clin. Exp. Gastroenterol. 2014, 7, 151–161. [Google Scholar] [CrossRef]
- Dambha, F.; Tanner, J.; Carroll, N. Diagnostic imaging in Crohn’s disease: What is the new gold standard? Best. Pract. Res. Clin. Gastroenterol. 2014, 28, 421–436. [Google Scholar] [CrossRef]
- Taylor, S.A.; Mallett, S.; Bhatnagar, G.; Baldwin-Cleland, R.; Bloom, S.; Gupta, A.; Hamlin, P.J.; Hart, A.L.; Higginson, A.; Jacobs, I.; et al. Diagnostic accuracy of magnetic resonance enterography and small bowel ultrasound for the extent and activity of newly diagnosed and relapsed Crohn’s disease (METRIC): A multicentre trial. Lancet Gastroenterol. Hepatol. 2018, 3, 548–558. [Google Scholar] [CrossRef]
- Fiorino, G.; Bonifacio, C.; Malesci, A.; Balzarini, L.; Danese, S. MRI in Crohn’s disease--current and future clinical applications. Nat. Rev. Gastroenterol. Hepatol. 2011, 9, 23–31. [Google Scholar] [CrossRef]
- Lichtenstein, G.R.; Hanauer, S.B.; Sandborn, W.J. Practice Parameters Committee of American College of Gastroenterology. Management of Crohn’s disease in adults. Am. J. Gastroenterol. 2009, 104, 465–484. [Google Scholar] [CrossRef]
- Medellin-Kowalewski, A.; Wilkens, R.; Wilson, A.; Ruan, J.; Wilson, S.R. Quantitative Contrast-Enhanced Ultrasound Parameters in Crohn Disease: Their Role in Disease Activity Determination With Ultrasound. AJR Am. J. Roentgenol. 2016, 206, 64–73. [Google Scholar] [CrossRef]
- Horsthuis, K.; Bipat, S.; Bennink, R.J.; Stoker, J. Inflammatory bowel disease diagnosed with, U.S.; MR, scintigraphy, and CT: Meta-analysis of prospective studies. Radiology 2008, 247, 64–79. [Google Scholar] [CrossRef] [PubMed]
- Dong, J.; Wang, H.; Zhao, J.; Zhu, W.; Zhang, L.; Gong, J.; Li, Y.; Gu, L.; Li, J. Ultrasound as a diagnostic tool in detecting active Crohn’s disease: A meta-analysis of prospective studies. Eur. Radiol. 2014, 24, 26–33. [Google Scholar] [CrossRef]
- Liu, W.; Liu, J.; Xiao, W.; Luo, G. A Diagnostic Accuracy Meta-analysis of CT and MRI for the Evaluation of Small Bowel Crohn Disease. Acad. Radiol. 2017, 24, 1216–1225. [Google Scholar] [CrossRef] [PubMed]
- Panés, J.; Bouzas, R.; Chaparro, M.; García-Sánchez, V.; Gisbert, J.P.; de Guereñu, B.M.; Mendoza, J.L.; Paredes, J.M.; Quiroga, S.; Ripollés, T.; et al. Systematic review: The use of ultrasonography, computed tomography and magnetic resonance imaging for the diagnosis, assessment of activity and abdominal complications of Crohn’s disease. Aliment. Pharmacol. Ther. 2011, 34, 125–145. [Google Scholar] [CrossRef] [PubMed]
- Greenup, A.J.; Bressler, B.; Rosenfeld, G. Medical Imaging in Small Bowel Crohn’s Disease-Computer Tomography Enterography, Magnetic Resonance Enterography, and Ultrasound: “Which One Is the Best for What?”. Inflamm. Bowel Dis. 2016, 22, 1246–1261. [Google Scholar] [CrossRef]
- Best, W.R.; Becktel, J.M.; Singleton, J.W.; Kern, F., Jr. Development of a Crohn’s disease activity index. National Cooperative Crohn’s Disease Study. Gastroenterology 1976, 70, 439–444. [Google Scholar] [CrossRef]
- Harvey, R.F.; Bradshaw, J.M. A simple index of Crohn’s-disease activity. Lancet 1980, 1, 514. [Google Scholar] [CrossRef] [PubMed]
- Vermeire, S.; Van Assche, G.; Rutgeerts, P. Laboratory markers in IBD: Useful, magic, or unnecessary toys? Gut 2006, 55, 426–431. [Google Scholar] [CrossRef]
- Chen, P.; Zhou, G.; Lin, J.; Li, L.; Zeng, Z.; Chen, M.; Zhang, S. Serum Biomarkers for Inflammatory Bowel Disease. Front. Med. 2020, 7, 123. [Google Scholar] [CrossRef]
- Chamouard, P.; Richert, Z.; Meyer, N.; Rahmi, G.; Baumann, R. Diagnostic value of C-reactive protein for predicting activity level of Crohn’s disease. Clin. Gastroenterol. Hepatol. 2006, 4, 882–887. [Google Scholar] [CrossRef]
- Panes, J.; Bouhnik, Y.; Reinisch, W.; Stoker, J.; Taylor, S.; Baumgart, D.; Danese, S.; Halligan, S.; Marincek, B.; Matos, C.; et al. Imaging techniques for assessment of inflammatory bowel disease: Joint ECCO and ESGAR evidence-based consensus guidelines. J. Crohns Colitis. 2013, 7, 556–585. [Google Scholar] [CrossRef]
- Parente, F.; Greco, S.; Molteni, M.; Cucino, C.; Maconi, G.; Sampietro, G.M.; Danelli, P.G.; Cristaldi, M.; Bianco, R.; Gallus, S.; et al. Role of early ultrasound in detecting inflammatory intestinal disorders and identifying their anatomical location within the bowel. Aliment. Pharmacol. Ther. 2003, 18, 1009–1016. [Google Scholar] [CrossRef] [PubMed]
- Limberg, B. Diagnostik von chronisch-entzündlichen Darmerkrankungen durch Sonographie [Diagnosis of chronic inflammatory bowel disease by ultrasonography]. Z. Gastroenterol. 1999, 37, 495–508. [Google Scholar] [PubMed]
- Esteban, J.M.; Maldonado, L.; Sanchiz, V.; Minguez, M.; Benages, A. Activity of Crohn’s disease assessed by color Doppler ultrasound analysis of the affected loops. Eur. Radiol. 2001, 11, 1423–1428. [Google Scholar] [CrossRef]
- Spalinger, J.; Patriquin, H.; Miron, M.-C.; Marx, G.; Herzog, D.; Dubois, J.; Dubinsky, M.; Seidman, E.G. Doppler US in patients with crohn disease: Vessel density in the diseased bowel reflects disease activity. Radiology 2000, 217, 787–791. [Google Scholar] [CrossRef]
- Bodily, K.D.; Fletcher, J.G.; Solem, C.A.; Johnson, C.D.; Fidler, J.L.; Barlow, J.M.; Bruesewitz, M.R.; McCollough, C.H.; Sandborn, W.J.; Loftus, E.V.; et al. Crohn Disease: Mural attenuation and thickness at contrast-enhanced CT Enterography—Correlation with endoscopic and histologic findings of inflammation. Radiology 2006, 238, 505–516. [Google Scholar] [CrossRef] [PubMed]
- Taylor, S.A.; Punwani, S.; Rodriguez-Justo, M.; Bainbridge, A.; Greenhalgh, R.; De Vita, E.; Forbes, A.; Cohen, R.; Windsor, A.; Obichere, A.; et al. Mural Crohn disease: Correlation of dynamic contrast-enhanced MR imaging findings with angiogenesis and inflammation at histologic examination–pilot study. Radiology 2009, 251, 369–379. [Google Scholar] [CrossRef]
- Maconi, G.; Greco, S.; Duca, P.; Ardizzone, S.; Massari, A.; Cassinotti, A.; Radice, E.; Porro, G.B. Prevalence and clinical significance of sonographic evidence of mesenteric fat alterations in Crohn’s disease. Inflamm. Bowel Dis. 2008, 14, 1555–1561. [Google Scholar] [CrossRef]
- Romanini, L.; Passamonti, M.; Navarria, M.; Lanzarotto, F.; Villanacci, V.; Grazioli, L.; Calliada, F.; Maroldi, R. Quantitative analysis of contrast-enhanced ultrasonography of the bowel wall can predict disease activity in inflammatory bowel disease. Eur. J. Radiol. 2014, 83, 1317–1323. [Google Scholar] [CrossRef] [PubMed]
- Sidhu, P.S.; Cantisani, V.; Dietrich, C.F.; Gilja, O.H.; Saftoiu, A.; Bartels, E.; Bertolotto, M.; Calliada, F.; Clevert, D.-A.; Cosgrove, D.; et al. The EFSUMB Guidelines and Recommendations for the Clinical Practice of Contrast-Enhanced Ultrasound (CEUS) in Non-Hepatic Applications: Update 2017 (Long Version). Die EFSUMB-Leitlinien und Empfehlungen für den klinischen Einsatz des kontrastverstärkten Ultraschalls (CEUS) bei nicht-hepatischen Anwendungen: Update 2017 (Langversion). Ultraschall Med. 2018, 39, e2–e44. [Google Scholar] [CrossRef]
- Ripollés, T.; Poza, J.; Suarez Ferrer, C.; Martínez-Pérez, M.J.; Martín-Algíbez, A.; de Las Heras Paez, B. Evaluation of Crohn’s Disease Activity: Development of an Ultrasound Score in a Multicenter Study. Inflamm. Bowel Dis. 2021, 27, 145–154. [Google Scholar] [CrossRef] [PubMed]
- Paredes, J.M.; Ripollés, T.; Cortés, X.; Moreno, N.; Martínez, M.J.; Bustamante-Balén, M.; Delgado, F.; Moreno-Osset, E. Contrast-enhanced ultrasonography: Usefulness in the assessment of postoperative recurrence of Crohn’s disease. J. Crohns Colitis. 2013, 7, 192–201. [Google Scholar] [CrossRef]
- Ordás, I.; Rimola, J.; Alfaro, I.; Rodríguez, S.; Castro-Poceiro, J.; Ramírez-Morros, A.; Gallego, M.; Giner, À.; Barastegui, R.; Fernández-Clotet, A.; et al. Development and Validation of a Simplified Magnetic Resonance Index of Activity for Crohn’s Disease. Gastroenterology 2019, 157, 432–439.e1. [Google Scholar] [CrossRef] [PubMed]
- Horjus Talabur Horje, C.S.; Bruijnen, R.; Roovers, L.; Groenen, M.J.; Joosten, F.B.; Wahab, P.J. Contrast Enhanced Abdominal Ultrasound in the Assessment of Ileal Inflammation in Crohn’s Disease: A Comparison with MR Enterography. PLoS ONE 2015, 10, e0136105. [Google Scholar] [CrossRef] [PubMed]
- Sachar, D.B. Biomarkers Task Force of the IOIBD. Role of biomarkers in the study and management of inflammatory bowel disease: A “nonsystematic” review. Inflamm. Bowel Dis. 2014, 20, 2511–2518. [Google Scholar] [CrossRef]
- Dʼhaens, G.; Ferrante, M.; Vermeire, S.; Baert, F.; Noman, M.; Moortgat, L.; Geens, P.; Iwens, D.; Aerden, I.; Van Assche, G.; et al. Fecal calprotectin is a surrogate marker for endoscopic lesions in inflammatory bowel disease. Inflamm. Bowel Dis. 2012, 18, 2218–2224. [Google Scholar] [CrossRef]
- Rigazio, C.; Ercole, E.; Laudi, C.; Daperno, M.; Lavagna, A.; Crocellà, L.; Bertolino, F.; Viganò, L.; Sostegni, R.; Pera, A.; et al. Abdominal bowel ultrasound can predict the risk of surgery in Crohn’s disease: Proposal of an ultrasonographic score. Scand. J. Gastroenterol. 2009, 44, 585–593. [Google Scholar] [CrossRef]
- Swets, J.A. Measuring the accuracy of diagnostic systems. Science 1988, 240, 1285–1293. [Google Scholar] [CrossRef]
- Daperno, M.; D’Haens, G.; Van Assche, G.; Baert, F.; Bulois, P.; Maunoury, V.; Sostegni, R.; Rocca, R.; Pera, A.; Gevers, A. Development and validation of a new, simplified endoscopic activity score for Crohn’s disease: The SES-CD. Gastrointest. Endosc. 2004, 60, 505–512. [Google Scholar] [CrossRef]
- Sipponen, T.; Nuutinen, H.; Turunen, U.; Färkkilä, M. Endoscopic evaluation of Crohn’s disease activity: Comparison of the CDEIS and the SES-CD. Inflamm. Bowel Dis. 2010, 16, 2131–2136. [Google Scholar] [CrossRef]
- Schoepfer, A.M.; Beglinger, C.; Straumann, A.; Trummler, M.; Vavricka, S.R.; E Bruegger, L.; Seibold, F. Fecal calprotectin correlates more closely with the Simple Endoscopic Score for Crohn’s disease (SES-CD) than CRP, blood leukocytes, and the CDAI. Am. J. Gastroenterol. 2010, 105, 162–169. [Google Scholar] [CrossRef]
- Solem, C.A.; Loftus, E.V., Jr.; Tremaine, W.J.; Harmsen, W.S.; Zinsmeister, A.R.; Sandborn, W.J. Correlation of C-reactive protein with clinical, endoscopic, histologic, and radiographic activity in inflammatory bowel disease. Inflamm. Bowel Dis. 2005, 11, 707–712. [Google Scholar] [CrossRef] [PubMed]
- Sipponen, T.; Savilahti, E.; Kolho, K.L.; Nuutinen, H.; Turunen, U.; Färkkilä, M. Crohn’s disease activity assessed by fecal calprotectin and lactoferrin: Correlation with Crohn’s disease activity index and endoscopic findings. Inflamm. Bowel Dis. 2008, 14, 40–46. [Google Scholar] [CrossRef] [PubMed]
- Sipponen, T.; Kärkkäinen, P.; Savilahti, E.; Kolho, K.-L.; Nuutinen, H.; Turunen, U.; Färkkilä, M. Correlation of fecal calprotectin and lactoferrin with an endoscopic score for Crohn’s disease and histological findings. Aliment. Pharmacol. Ther. 2008, 28, 1221–1229. [Google Scholar] [CrossRef]
- Lin, J.-F.; Chen, J.-M.; Zuo, J.-H.; Yu, A.; Xiao, Z.-J.; Deng, F.-H.; Nie, B.; Jiang, B. Meta-analysis: Fecal calprotectin for assessment of inflammatory bowel disease activity. Inflamm. Bowel Dis. 2014, 20, 1407–1415. [Google Scholar] [CrossRef]
- Samuel, S.; Bruining, D.H.; Loftus, E.V., Jr.; Becker, B.; Fletcher, J.G.; Mandrekar, J.N.; Zinsmeister, A.R.; Sandborn, W.J. Endoscopic skipping of the distal terminal ileum in Crohn’s disease can lead to negative results from ileocolonoscopy. Clin. Gastroenterol. Hepatol. 2012, 10, 1253–1259. [Google Scholar] [CrossRef]
- Maaser, C.; Sturm, A.; Vavricka, S.R.; Kucharzik, T.; Fiorino, G.; Annese, V.; Calabrese, E.; Baumgart, D.C.; Bettenworth, D.; Borralho Nunes, P.; et al. European Crohn’s and Colitis Organisation [ECCO] and the European Society of Gastrointestinal and Abdominal Radiology [ESGAR]. ECCO-ESGAR Guideline for Diagnostic Assessment in IBD Part 1: Initial diagnosis, monitoring of known IBD, detection of complications. J. Crohns Colitis. 2019, 13, 144–164. [Google Scholar] [CrossRef]
- Fiorino, G.; Bonifacio, C.; Peyrin-Biroulet, L.; Minuti, F.; Repici, A.; Spinelli, A.; Fries, W.; Balzarini, L.; Montorsi, M.; Malesci, A.; et al. Prospective comparison of computed tomography enterography and magnetic resonance enterography for assessment of disease activity and complications in ileocolonic Crohn’s disease. Inflamm. Bowel Dis. 2011, 17, 1073–1080. [Google Scholar] [CrossRef]
- Puylaert, C.A.; Tielbeek, J.A.; Bipat, S.; Stoker, J. Grading of Crohn’s disease activity using, CT, MRI, US and scintigraphy: A meta-analysis. Eur. Radiol. 2015, 25, 3295–3313. [Google Scholar] [CrossRef] [PubMed]
- Steward, M.J.; Punwani, S.; Proctor, I.; Adjei-Gyamfi, Y.; Chatterjee, F.; Bloom, S.; Novelli, M.; Halligan, S.; Rodriguez-Justo, M.; Taylor, S.A. Non-perforating small bowel Crohn’s disease assessed by MRI enterography: Derivation and histopathological validation of an MR-based activity index. Eur. J. Radiol. 2012, 81, 2080–2088. [Google Scholar] [CrossRef]
- Rimola, J.; Ordás, I.; Rodriguez, S.; García-Bosch, O.; Aceituno, M.; Llach, J.; Ayuso, C.; Ricart, E.; Panés, J. Magnetic resonance imaging for evaluation of Crohn’s disease: Validation of parameters of severity and quantitative index of activity. Inflamm. Bowel Dis. 2011, 17, 1759–1768. [Google Scholar] [CrossRef]
- Tielbeek, J.A.; Makanyanga, J.C.; Bipat, S.; Pendsé, D.A.; Nio, C.Y.; Vos, F.M.; Taylor, S.A.; Stoker, J. Grading Crohn disease activity with MRI: Interobserver variability of MRI features, MRI scoring of severity, and correlation with Crohn disease endoscopic index of severity. AJR Am. J. Roentgenol. 2013, 201, 1220–1228. [Google Scholar] [CrossRef]
- Rimola, J.; Alvarez-Cofiño, A.; Pérez-Jeldres, T.; Ayuso, C.; Alfaro, I.; Rodríguez, S.; Ricart, E.; Ordás, I.; Panés, J. Comparison of three magnetic resonance enterography indices for grading activity in Crohn’s disease. J. Gastroenterol. 2017, 52, 585–593. [Google Scholar] [CrossRef] [PubMed]
- Mary, J.Y.; Modigliani, R. Development and validation of an endoscopic index of the severity for Crohn’s disease: A prospective multicentre study. Groupe d’Etudes Therapeutiques des Affections Inflammatoires du Tube Digestif (GETAID). Gut 1989, 30, 983–989. [Google Scholar] [CrossRef] [PubMed]
- Calabrese, E.; Maaser, C.; Zorzi, F.; Kannengiesser, K.; Hanauer, S.B.; Bruining, D.H.; Iacucci, M.; Maconi, G.; Novak, K.L.; Panaccione, R.; et al. Bowel Ultrasonography in the Management of Crohn’s Disease. A Review with Recommendations of an International Panel of Experts. Inflamm. Bowel Dis. 2016, 22, 1168–1183. [Google Scholar] [CrossRef]
- Monteleone, M.; Friedman, A.; Furfaro, F.; Dell’Era, A.; Bezzio, C.; Maconi, G. P139 The learning curve of intestinal ultrasonography in assessing inflammatory bowel disease—Preliminary results. J. Crohn Colitis 2013, 7, S64. [Google Scholar] [CrossRef]
- Miles, A.; Bhatnagar, G.; Halligan, S.; Gupta, A.; Tolan, D.; Zealley, I.; Taylor, S.A. METRIC investigators. Magnetic resonance enterography, small bowel ultrasound and colonoscopy to diagnose and stage Crohn’s disease: Patient acceptability and perceived burden. Eur. Radiol. 2019, 29, 1083–1093. [Google Scholar] [CrossRef] [PubMed]
- Maconi, G.; Nylund, K.; Ripolles, T.; Calabrese, E.; Dirks, K.; Dietrich, C.F.; Hollerweger, A.; Sporea, I.; Saftoiu, A.; Maaser, C.; et al. EFSUMB Recommendations and Clinical Guidelines for Intestinal Ultrasound (GIUS) in Inflammatory Bowel Diseases. Ultraschall Med. 2018, 39, 304–317. [Google Scholar] [CrossRef] [PubMed]
- Fraquelli, M.; Colli, A.; Casazza, G.; Paggi, S.; Colucci, A.; Massironi, S.; Duca, P.; Conte, D. Role of US in detection of Crohn disease: Meta-analysis. Radiology 2005, 236, 95–101. [Google Scholar] [CrossRef]
- Miao, Y.M.; Koh, D.M.; Amin, Z.; Healy, J.C.; Chinn, R.J.; Zeegen, R.; Westaby, D. Ultrasound and magnetic resonance imaging assessmentof active bowel segments in Crohn’s disease. Clin. Radiol. 2002, 57, 913–918. [Google Scholar] [CrossRef]
- Kunihiro, K.; Hata, J.; Manabe, N.; Mitsuoka, Y.; Tanaka, S.; Haruma, K.; Chayama, K. Predicting the need for surgery in Crohn’s disease with contrast harmonic ultrasound. Scand. J. Gastroenterol. 2007, 42, 577–585. [Google Scholar] [CrossRef] [PubMed]
- Rosenbaum, D.G.; Conrad, M.A.; Biko, D.M.; Ruchelli, E.D.; Kelsen, J.R.; Anupindi, S.A. Ultrasound and MRI predictors of surgical bowel resection in pediatric Crohn disease. Pediatr. Radiol. 2017, 47, 55–64. [Google Scholar] [CrossRef] [PubMed]
- Geyl, S.; Guillo, L.; Laurent, V.; D’Amico, F.; Danese, S.; Peyrin-Biroulet, L. Transmural healing as a therapeutic goal in Crohn’s disease: A systematic review. Lancet Gastroenterol. Hepatol. 2021, 6, 659–667. [Google Scholar] [CrossRef] [PubMed]
- Ma, L.; Li, W.; Zhuang, N.; Yang, H.; Liu, W.; Zhou, W.; Jiang, Y.; Li, J.; Zhu, Q.; Qian, J. Comparison of transmural healing and mucosal healing as predictors of positive long-term outcomes in Crohn’s disease. Ther. Adv. Gastroenterol. 2021, 14, 17562848211016259. [Google Scholar] [CrossRef]
- Lafeuille, P.; Hordonneau, C.; Vignette, J.; Blayac, L.; Dapoigny, M.; Reymond, M.; Rouquette, O.; Sollelis, E.; Boube, M.; Magnin, B.; et al. Transmural healing and MRI healing are associated with lower risk of bowel damage progression than endoscopic mucosal healing in Crohn’s disease. Aliment. Pharmacol. Ther. 2021, 53, 577–586. [Google Scholar] [CrossRef]
- Sasaki, T.; Kunisaki, R.; Kinoshita, H.; Kimura, H.; Kodera, T.; Nozawa, A.; Hanzawa, A.; Shibata, N.; Yonezawa, H.; Miyajima, E.; et al. Doppler ultrasound findings correlate with tissue vascularity and inflammation in surgical pathology specimens from patients with small intestinal Crohn’s disease. BMC Res. Notes 2014, 7, 363. [Google Scholar] [CrossRef]
- Novak, K.L.; Nylund, K.; Maaser, C.; Petersen, F.; Kucharzik, T.; Lu, C.; Allocca, M.; Maconi, G.; de Voogd, F.; Christensen, B.; et al. Expert Consensus on Optimal Acquisition and Development of the International Bowel Ultrasound Segmental Activity Score [IBUS-SAS]: A Reliability and Inter-rater Variability Study on Intestinal Ultrasonography in Crohn’s Disease. J. Crohns Colitis. 2021, 15, 609–616. [Google Scholar] [CrossRef]
- De Voogd, F.; Wilkens, R.; Gecse, K.; Allocca, M.; Novak, K.; Lu, C.; D’Haens, G.; Maaser, C. A Reliability Study: Strong Inter-Observer Agreement of an Expert Panel for Intestinal Ultrasound in Ulcerative Colitis. J. Crohns Colitis. 2021, 15, 1284–1290. [Google Scholar] [CrossRef]
- Dolinger, M.T.; Kayal, M. Intestinal ultrasound as a non-invasive tool to monitor inflammatory bowel disease activity and guide clinical decision making. World J. Gastroenterol. 2023, 29, 2272–2282. [Google Scholar] [CrossRef]
- Muñoz, F.; Ripollés, T.; Poza Cordón, J.; de Las Heras Páez de la Cadena, B.; Martínez-Pérez, M.J.; de Miguel, E.; Zabana, Y.; Mañosa Ciria, M.; Beltrán, B.; Barreiro-de Acosta, M. Recommendations of the Spanish Working Group on Crohn’s Disease and Ulcerative Colitis (GETECCU) on the use of abdominal ultrasound in inflammatory bowel disease. Gastroenterol. Hepatol. 2021, 44, 158–174, (In English and Spanish). [Google Scholar] [CrossRef]
- Danese, S.; Sans, M.; De La Motte, C.; Graziani, C.; West, G.; Phillips, M.H.; Pola, R.; Rutella, S.; Willis, J.; Gasbarrini, A.; et al. Angiogenesis as a novel component of inflammatory bowel disease pathogenesis. Gastroenterology 2006, 130, 2060–2073. [Google Scholar] [CrossRef] [PubMed]
- Deban, L.; Correale, C.; Vetrano, S.; Malesci, A.; Danese, S. Multiple pathogenic roles of microvasculature in inflammatory bowel disease: A Jack of all trades. Am. J. Pathol. 2008, 172, 1457–1466. [Google Scholar] [CrossRef] [PubMed]
- Sævik, F.; Gilja, O.H.; Nylund, K. Gastrointestinal Ultrasound Can Predict Endoscopic Activity in Crohn’s Disease. Gastrointestinaler Ultraschall zur Prädiktion der endoskopischen Krankheitsaktivität bei Morbus Crohn. Ultraschall Med. 2022, 43, 82–89. [Google Scholar] [CrossRef] [PubMed]
- Yigit, B.; Sezgin, O.; Yorulmaz, E.; Erturk, M.S.; Erdem, U.; Yanc, U.; Oyman, G.B.; Yorulmaz, H. Effectiveness and Power of Abdominal Ultrasonography in the Assessment of Crohn’s Disease Activity: Comparison with Clinical, Endoscopic, and CT Enterography Findings. Turk. J. Gastroenterol. 2022, 33, 294–303. [Google Scholar] [CrossRef]
- Cerrillo, E.; Beltrán, B.; Pous, S.; Echarri, A.; Gallego, J.C.; Iborra, M.; Pamies, J.; Nos, P. Fecal Calprotectin in Ileal Crohn’s Disease: Relationship with Magnetic Resonance Enterography and a Pathology Score. Inflamm. Bowel Dis. 2015, 21, 1572–1579. [Google Scholar] [CrossRef] [PubMed]
- Yamanashi, K.; Katsurada, T.; Nishida, M.; Onishi, R.; Omotehara, S.; Otagiri, S.; Sakurai, K.; Nagashima, K.; Kinoshita, K.; Takagi, R.; et al. Crohn’s Disease Activity Evaluation by Transabdominal Ultrasonography: Correlation with Double-Balloon Endoscopy. J. Ultrasound Med. 2021, 40, 2595–2605. [Google Scholar] [CrossRef]
- Pauls, S.; Gabelmann, A.; Schmidt, S.A.; Rieber, A.; Mittrach, C.; Haenle, M.M.; Brambs, H.-J.; Kratzer, W. Evaluating bowel wall vascularity in Crohn’s disease: A comparison of dynamic MRI and wideband harmonic imaging contrast-enhanced low MI ultrasound. Eur. Radiol. 2006, 16, 2410–2417. [Google Scholar] [CrossRef]
- Malagò, R.; D’onofrio, M.; Mantovani, W.; D’alpaos, G.; Foti, G.; Pezzato, A.; Caliari, G.; Cusumano, D.; Benini, L.; Mucelli, R.P. Contrast-enhanced ultrasonography (CEUS) vs. MRI of the small bowel in the evaluation of Crohn’s disease activity. Radiol. Med. 2012, 117, 268–281. [Google Scholar] [CrossRef]
- Roseira, J.; Ventosa, A.R.; de Sousa, H.T.; Brito, J. The new simplified MARIA score applies beyond clinical trials: A suitable clinical practice tool for Crohn’s disease that parallels a simple endoscopic index and fecal calprotectin. United Eur. Gastroenterol. J. 2020, 8, 1208–1216. [Google Scholar] [CrossRef]
- Freitas, M.; de Castro, F.D.; Macedo Silva, V.; Arieira, C.; Cúrdia Gonçalves, T.; Leite, S.; Moreira, M.J.; Cotter, J. Ultrasonographic scores for ileal Crohn’s disease assessment: Better, worse or the same as contrast-enhanced ultrasound? BMC Gastroenterol. 2022, 22, 252. [Google Scholar] [CrossRef]


| Age [mean (range)] | 43 (23–66) |
| Gender (male/female) | 18/26 |
| Disease behaviour | |
| Non-stricturing/non-penetrating | 36 |
| Stricturing | 8 |
| Penetrating | 0 |
| - Perianal disease | 2 |
| Crohn’s Disease Activity Index [mean (STDEV)] | 210.54 (84.61) |
| Harvey–Bradshaw Index [mean (STDEV)] | 7.04 (3.25) |
| US—Maximal Wall Thickness | Limberg Score | Ripollés Score | MaRIAs Score | |||||||||
|---|---|---|---|---|---|---|---|---|---|---|---|---|
| Sen (%) | Spe (%) | AUC | Sen (%) | Spe (%) | AUC | Sen (%) | Spe (%) | AUC | Sen (%) | Spe (%) | AUC | |
| Crohn’s disease activity index | 100 | 14.29 | 0.87 | 93.33 | 71.43 | 0.98 | 100 | 57.14 | 0.84 | 100 | 57.14 | 0.97 |
| Harvey–Bradshaw Index | 100 | 25 | 0.88 | 83.33 | 75% | 0.95 | 88.89 | 50 | 0.80 | 88.89 | 50 | 0.88 |
| Faecal calprotectin | 100 | 16.67 | 0.9 | 100 | 83.33 | 1 | 100 | 66.67 | 0.86 | 100 | 66.67 | 1 |
| C-reactive protein | 100 | 12.50 | 0.72 | 90.91 | 50 | 0.88 | 100 | 37.50 | 0.71 | 100 | 37.50 | 0.88 |
| US—Maximal Wall Thickness | Limberg Score | Medellin-Kowalewski Score | MaRIAs Score | |||||
|---|---|---|---|---|---|---|---|---|
| r | p-Value | r | p-Value | r | p-Value | r | p-Value | |
| Crohn’s disease activity index | 0.502 | <0.001 | 0.667 | <0.001 | 0.537 | <0.001 | 0.614 | <0.001 |
| Harvey–Bradshaw Index | 0.352 | <0.05 | 0.468 | <0.01 | 0.459 | <0.01 | 0.594 | <0.001 |
| Faecal calprotectin | 0.419 | <0.05 | 0.446 | <0.05 | 0.159 | >0.05 | 0.697 | <0.001 |
| C-reactive protein | 0.195 | >0.05 | 0.238 | >0.05 | 0.298 | >0.05 | 0.395 | <0.05 |
Disclaimer/Publisher’s Note: The statements, opinions and data contained in all publications are solely those of the individual author(s) and contributor(s) and not of MDPI and/or the editor(s). MDPI and/or the editor(s) disclaim responsibility for any injury to people or property resulting from any ideas, methods, instructions or products referred to in the content. |
© 2023 by the authors. Licensee MDPI, Basel, Switzerland. This article is an open access article distributed under the terms and conditions of the Creative Commons Attribution (CC BY) license (https://creativecommons.org/licenses/by/4.0/).
Share and Cite
Statie, R.-C.; Iordache, S.; Florescu, L.M.; Gheonea, I.-A.; Sacerdoțianu, V.-M.; Ungureanu, B.S.; Rogoveanu, I.; Gheonea, D.-I.; Ciurea, T.; Florescu, D.N. Assessment of Ileal Crohn’s Disease Activity by Gastrointestinal Ultrasound and MR Enterography: A Pilot Study. Life 2023, 13, 1754. https://doi.org/10.3390/life13081754
Statie R-C, Iordache S, Florescu LM, Gheonea I-A, Sacerdoțianu V-M, Ungureanu BS, Rogoveanu I, Gheonea D-I, Ciurea T, Florescu DN. Assessment of Ileal Crohn’s Disease Activity by Gastrointestinal Ultrasound and MR Enterography: A Pilot Study. Life. 2023; 13(8):1754. https://doi.org/10.3390/life13081754
Chicago/Turabian StyleStatie, Răzvan-Cristian, Sevastița Iordache, Lucian Mihai Florescu, Ioana-Andreea Gheonea, Victor-Mihai Sacerdoțianu, Bogdan Silviu Ungureanu, Ion Rogoveanu, Dan-Ionuț Gheonea, Tudorel Ciurea, and Dan Nicolae Florescu. 2023. "Assessment of Ileal Crohn’s Disease Activity by Gastrointestinal Ultrasound and MR Enterography: A Pilot Study" Life 13, no. 8: 1754. https://doi.org/10.3390/life13081754
APA StyleStatie, R.-C., Iordache, S., Florescu, L. M., Gheonea, I.-A., Sacerdoțianu, V.-M., Ungureanu, B. S., Rogoveanu, I., Gheonea, D.-I., Ciurea, T., & Florescu, D. N. (2023). Assessment of Ileal Crohn’s Disease Activity by Gastrointestinal Ultrasound and MR Enterography: A Pilot Study. Life, 13(8), 1754. https://doi.org/10.3390/life13081754

