The Role of Echocardiography in the Contemporary Diagnosis and Prognosis of Cardiac Sarcoidosis: A Comprehensive Review
Abstract
1. Introduction
2. The Current Role of TTE in Screening for Cardiac Sarcoidosis
3. The Position of Echocardiography within Current Diagnostic Criteria
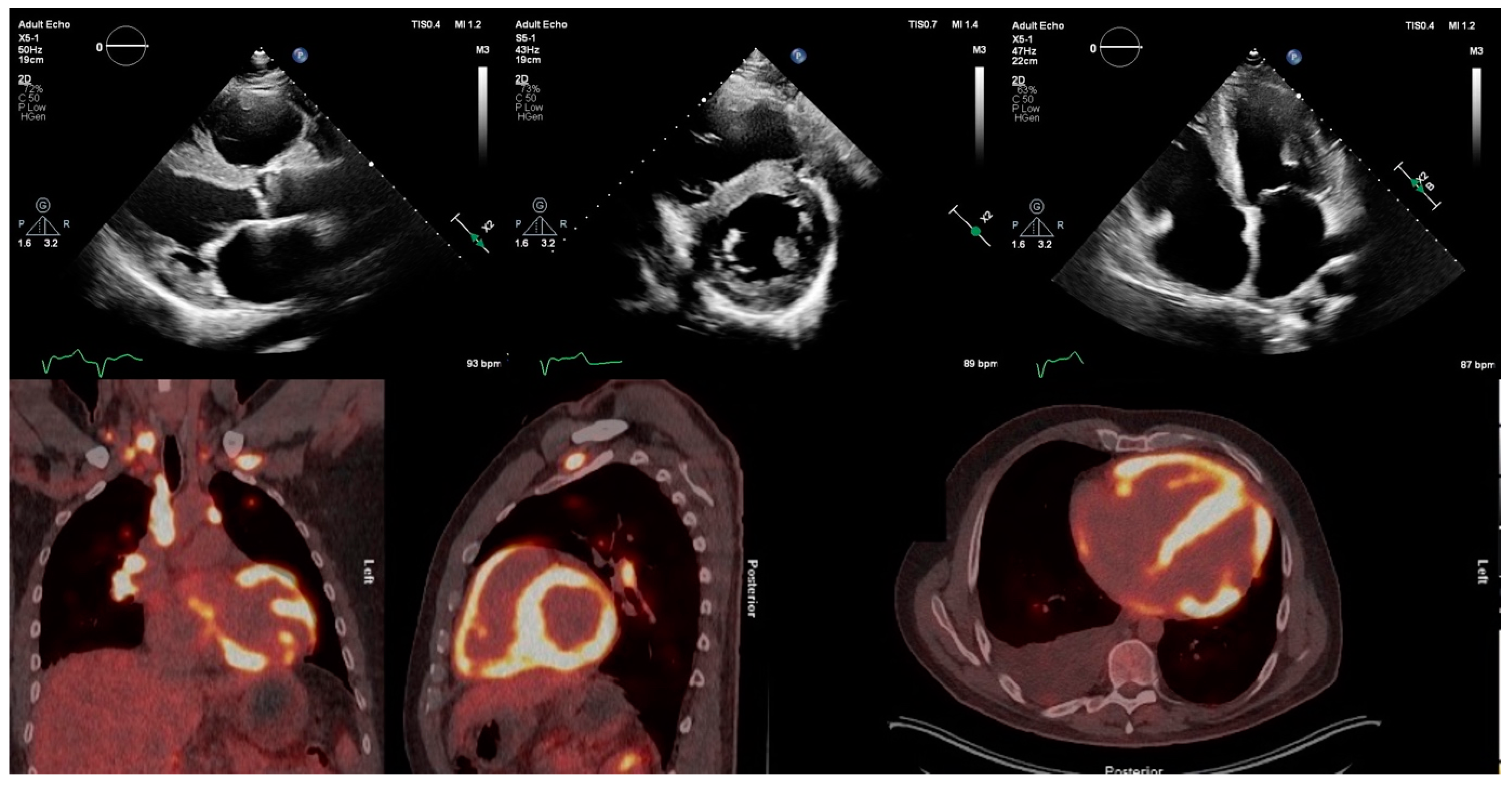
4. Echocardiographic Abnormalities in the Diagnosis of Cardiac Sarcoidosis
4.1. Regional Wall Motion Abnormalities
4.2. Right-Ventricular Abnormalities
4.3. Valvular Abnormalities
4.4. Pericardial Abnormalities
4.5. Left-Atrial Abnormalities
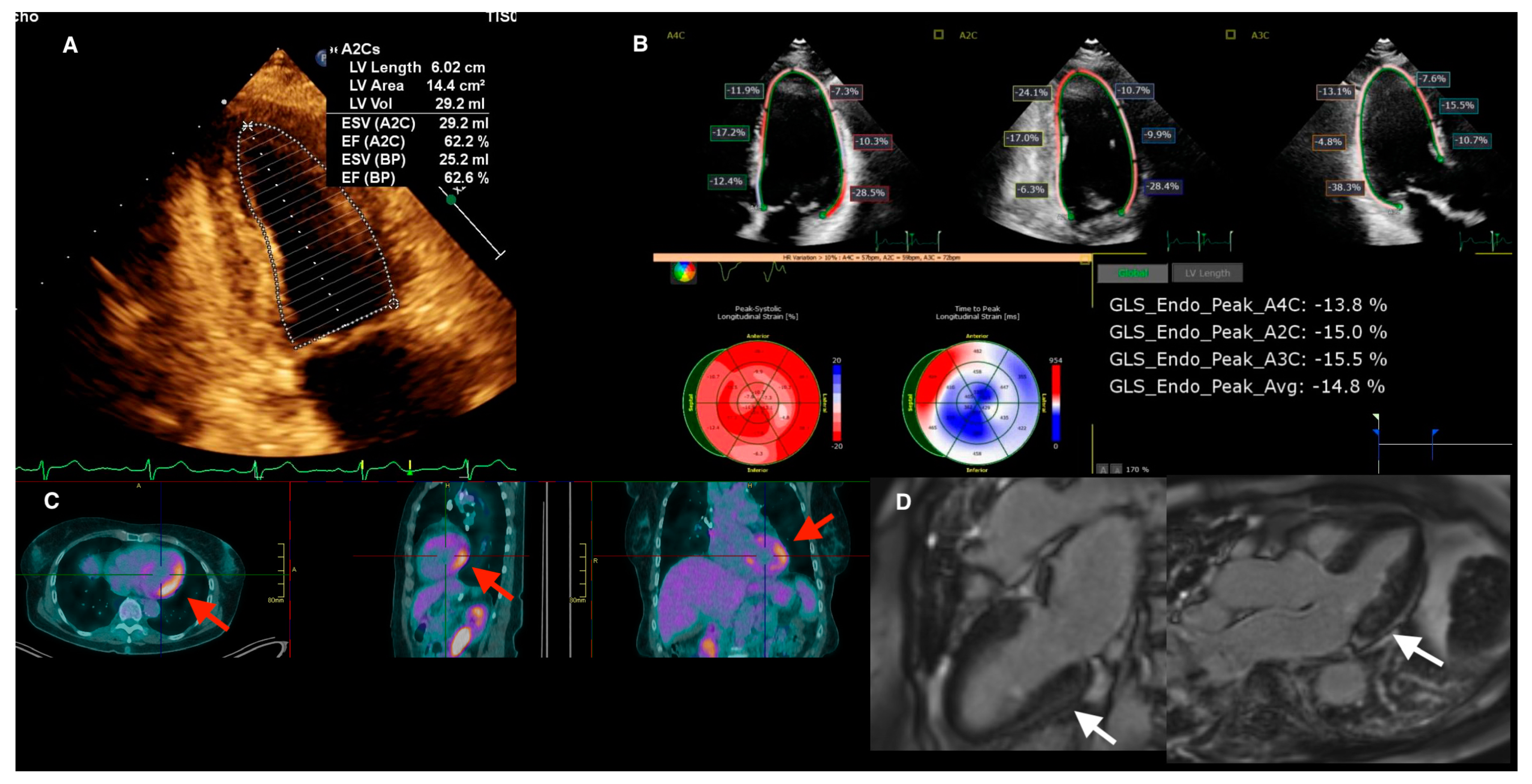
4.6. Left-Ventricular Strain
| Study | Number of Sarcoidosis Patients | Number of Controls | Inclusion Criteria | Number of New CS Diagnoses | Criteria for CS Diagnosis | GLS Values (Sarcoidosis V Controls) or Cut-Off for CS Diagnosis | Sensitivity, Specificity and AUC for CS at Cut-Off. (NR = Not Reported) | Strain Software |
|---|---|---|---|---|---|---|---|---|
| Joyce, 2014 [43] | 100 | 100 | Patients with or without biopsy-proven extracardiac sarcoidosis | 6 | JMHW | −17.3% ± 2.5% vs. −20.0% ± 1.6% | NR | EchoPac |
| Murtagh, 2016 [50] | 31 | 31 | Biopsy-proven extracardiac sarcoidosis and preserved LVEF referred for CMR and TTE | 31 | LGE + | Cut-off for CS diagnosis −17% | Sens: 94% Spec: 94% AUC: 0.94 | EchoInsight |
| Chen, 2018 [48] | 54 | 54 | Biopsy-proven extracardiac sarcoidosis, cardiac symptoms, and ECG changes | 3 | JMHW ± HRS | −16.8 ± 5.0 vs. −20.1 ± 3.2 | NR | GE Vivid |
| Kusunose, 2019 [46] | 139 | 52 | Biopsy-proven extracardiac sarcoidosis referred for evaluation of CS | 38 | JMHW | Cut-off for CS diagnosis −18% (basal longitudinal strain) | Sens: 89% Spec: 69% AUC: 0.86 | GE Vivid |
| Di Stefano, 2020 [45] | 122 | 97 | Biopsy-proven extracardiac sarcoidosis referred for evaluation of CS | 83 | HRS | Cut-off for CS diagnosis −16.3% | Sens: 82% Spec: 81% AUC: 0.91 | GE Vivid |
4.7. Right-Ventricular Strain
4.8. Left-Atrial Strain
4.9. Three-Dimensional Echocardiography
5. The Role of Echocardiography in Patients with Confirmed CS
6. Prognostic Value of Echocardiography in Cardiac Sarcoidosis
7. Future Applications
8. Conclusions
Author Contributions
Funding
Informed Consent Statement
Data Availability Statement
Conflicts of Interest
References
- Birnie, D.H.; Nery, P.B.; Ha, A.C.; Beanlands, R.S.B. Cardiac Sarcoidosis. J. Am. Coll. Cardiol. 2016, 68, 411–421. [Google Scholar] [CrossRef]
- Moller, D.R.; Rybicki, B.A.; Hamzeh, N.Y.; Montgomery, C.G.; Chen, E.S.; Drake, W.; Fontenot, A.P. Genetic, Immunologic, and Environmental Basis of Sarcoidosis. Ann. Am. Thorac. Soc. 2017, 14 (Suppl. 6), S429–S436. [Google Scholar] [CrossRef] [PubMed]
- Iwai, K.; Tachibana, T.; Takemura, T.; Matsui, Y.; Kitalchi, M.; Kawabata, Y. Pathological studies on sarcoidosis autopsy. I. Epidemiological features of 320 cases in Japan. Pathol. Int. 1993, 43, 372–376. [Google Scholar] [CrossRef] [PubMed]
- Chiu, C.-Z.; Nakatani, S.; Zhang, G.; Tachibana, T.; Ohmori, F.; Yamagishi, M.; Kitakaze, M.; Tomoike, H.; Miyatake, K. Prevention of left ventricular remodeling by long-term corticosteroid therapy in patients with cardiac sarcoidosis. Am. J. Cardiol. 2005, 95, 143–146. [Google Scholar] [CrossRef]
- Kandolin, R.; Lehtonen, J.; Airaksinen, J.; Vihinen, T.; Miettinen, H.; Ylitalo, K.; Kaikkonen, K.; Tuohinen, S.; Haataja, P.; Kerola, T.; et al. Cardiac sarcoidosis: Epidemiology, characteristics, and outcome over 25 years in a nationwide study. Circulation 2015, 131, 624–632. [Google Scholar] [CrossRef]
- Kouranos, V.; Sharma, R. Cardiac sarcoidosis: State-of-the-art review. Heart 2021, 107, 1591–1599. [Google Scholar] [CrossRef]
- Shammas, R.L.; Movahed, A. Sarcoidosis of the Heart. Clin. Cardiol. 1993, 16, 462–472. [Google Scholar] [CrossRef]
- Cooper, L.T.; Baughman, K.L.; Feldman, A.M.; Frustaci, A.; Jessup, M.; Kuhl, U.; Levine, G.N.; Narula, J.; Starling, R.C.; Towbin, J.; et al. The Role of Endomyocardial Biopsy in the Management of Cardiovascular Disease. Circulation 2007, 116, 2216–2233. [Google Scholar] [CrossRef]
- Cheng, K.; Monaghan, M.; Kenny, A.; Rana, B.; Steeds, R.; Mackay, C.; van der Westhuizen, D. 3D echocardiography: Benefits and steps to wider implementation. Br. J. Cardiol. 2018, 25, 63–68. [Google Scholar] [CrossRef]
- Muraru, D.; Niero, A.; Rodriguez-Zanella, H.; Cherata, D.; Badano, L. Three-dimensional speckle-tracking echocardiography: Benefits and limitations of integrating myocardial mechanics with three-dimensional imaging. Cardiovasc. Diagn. Ther. 2018, 8, 101–117. [Google Scholar] [CrossRef]
- Birnie, D.H.; Sauer, W.H.; Bogun, F.; Cooper, J.M.; Culver, D.A.; Duvernoy, C.S.; Judson, M.A.; Kron, J.; Mehta, D.; Nielsen, J.C.; et al. HRS Expert Consensus Statement on the Diagnosis and Management of Arrhythmias Associated With Cardiac Sarcoidosis. Heart Rhythm. 2014, 11, 1304–1323. [Google Scholar] [CrossRef] [PubMed]
- Holtzclaw, A.W.; Mrsic, Z.; Church, T.L.; Shumar, J.N.; Liotta, R.A.; Aslam, S.N.; Fontana, J.R.; Nations, J.A.; Lazarus, A.; Browning, R.F.; et al. Optimizing routine screening for cardiac sarcoidosis through use of commonly available studies. Respir. Med. 2021, 178, 106331. [Google Scholar] [CrossRef] [PubMed]
- Mehta, D.; Lubitz, S.A.; Frankel, Z.; Wisnivesky, J.P.; Einstein, A.J.; Goldman, M.; Machac, J.; Teirstein, A. Cardiac Involvement in Patients with Sarcoidosis. Chest 2008, 133, 1426–1435. [Google Scholar] [CrossRef] [PubMed]
- Freeman, A.M.; Curran-Everett, D.; Weinberger, H.D.; Fenster, B.E.; Buckner, J.K.; Gottschall, E.B.; Sauer, W.H.; Maier, L.A.; Hamzeh, N.Y. Predictors of cardiac sarcoidosis using commonly available cardiac studies. Am. J. Cardiol. 2013, 112, 280–285. [Google Scholar] [CrossRef] [PubMed]
- Kouranos, V.; Tzelepis, G.E.; Rapti, A.; Mavrogeni, S.; Aggeli, K.; Douskou, M.; Prasad, S.; Koulouris, N.; Sfikakis, P.; Wells, A.; et al. Complementary Role of CMR to Conventional Screening in the Diagnosis and Prognosis of Cardiac Sarcoidosis. JACC Cardiovasc. Imaging 2017, 10, 1437–1447. [Google Scholar] [CrossRef]
- Hiraga, H.; Yuwai, K.; Hiroe, M. Guidelines for the Diagnosis of Cardiac Sarcoidosis Study Report of Diffuse Pulmonary Diseases; Japanese Ministry of Health and Welfare: Tokyo, Japan, 1993; pp. 23–24. [Google Scholar]
- Judson, M.A.; Costabel, U.; Drent, M.; Wells, A.; Maier, L.; Koth, L.; Shigemitsu, H.; Culver, D.A.; Gelfand, J.; Valeyre, D.; et al. The WASOG Sarcoidosis Organ Assessment Instrument: An update of a previous clinical tool. Sarcoidosis Vasc. Diffus. Lung Dis. Off. J. WASOG 2014, 31, 19–27. [Google Scholar]
- Terasaki, F.; Azuma, A.; Anzai, T.; Ishizaka, N.; Ishida, Y.; Isobe, M.; Inomata, T.; Ishibashi-Ueda, H.; Eishi, Y.; Kitakaze, M.; et al. JCS 2016 Guideline on Diagnosis and Treatment of Cardiac Sarcoidosis. Circ. J. 2019, 83, 2329–2388. [Google Scholar] [CrossRef]
- Murtagh, G.; Laffin, L.J.; Beshai, J.F.; Maffessanti, F.; Bonham, C.A.; Yu, Z.; Addetia, K.; Mor-Avi, V.; Moss, J.D.; Hogarth, D.K.; et al. Prognosis of Myocardial Damage in Sarcoidosis Patients With Preserved Left Ventricular Ejection Fraction: Risk Stratification Using Cardiovascular Magnetic Resonance. Circ. Cardiovasc. Imaging 2016, 9, e003738. [Google Scholar] [CrossRef]
- Nabeta, T.; Kitai, T.; Naruse, Y.; Taniguchi, T.; Yoshioka, K.; Tanaka, H.; Okumura, T.; Sato, S.; Baba, Y.; Kida, K.; et al. Risk stratification of patients with cardiac sarcoidosis: The ILLUMINATE-CS registry. Eur. Heart J. 2022, 43, 3450–3459. [Google Scholar] [CrossRef]
- Kurmann, R.; Mankad, S.V.; Mankad, R. Echocardiography in Sarcoidosis. Curr. Cardiol. Rep. 2018, 20, 118. [Google Scholar] [CrossRef]
- Slart, R.H.J.A.; Glaudemans, A.W.J.M.; Lancellotti, P.; Hyafil, F.; Blankstein, R.; Schwartz, R.G.; Jaber, W.A.; Russell, R.; Gimelli, A.; Rouzet, F.; et al. A joint procedural position statement on imaging in cardiac sarcoidosis: From the Cardiovascular and Inflammation & Infection Committees of the European Association of Nuclear Medicine, the European Association of Cardiovascular Imaging, and the American Society of Nuclear Cardiology. J. Nucl. Cardiol. 2018, 25, 298–319. [Google Scholar] [PubMed]
- Yazaki, Y.; Isobe, M.; Hiroe, M.; Morimoto, S.-I.; Hiramitsu, S.; Nakano, T.; Izumi, T.; Sekiguchi, M. Prognostic determinants of long-term survival in Japanese patients with cardiac sarcoidosis treated with prednisone. Am. J. Cardiol. 2001, 88, 1006–1010. [Google Scholar] [CrossRef]
- Tana, C.; Schiavone, C.; Ticinesi, A.; Ricci, F.; Giamberardino, M.A.; Cipollone, F.; Silingardi, M.; Meschi, T.; Dietrich, C.F. Ultrasound imaging of abdominal sarcoidosis: State of the art. World J. Cases 2019, 7, 809–818. [Google Scholar] [CrossRef]
- Tana, C.; Dietrich, C.F.; Schiavone, C. Hepatosplenic sarcoidosis: Contrast-enhanced ultrasound findings and implications for clinical practice. BioMed Res. Int. 2014, 2014, 926203. [Google Scholar] [CrossRef] [PubMed]
- Tanizawa, K.; Handa, T.; Nagai, S.; Yokomatsu, T.; Ueda, S.; Ikezoe, K.; Ogino, S.; Hirai, T.; Izumi, T. Basal interventricular septum thinning and long-term left ventricular function in patients with sarcoidosis. Respir. Investig. 2022, 60, 385–392. [Google Scholar] [CrossRef]
- Nagano, N.; Nagai, T.; Sugano, Y.; Morita, Y.; Asaumi, Y.; Aiba, T.; Kanzaki, H.; Kusano, K.; Noguchi, T.; Yasuda, S.; et al. Association between Basal Thinning of Interventricular Septum and Adverse Long-Term Clinical Outcomes in Patients with Cardiac Sarcoidosis. Circ. J. 2015, 79, 1601–1608. [Google Scholar] [CrossRef]
- Morimoto, S.; Uemura, A.; Sugimoto, K.; Ishii, J.; Hiramitsu, S.; Katoh, Y. A proposal for diagnostic criteria of basal thinning of the ventricular septum in cardiac sarcoidosis: A multicenter study. Circ. J. 2006, 70 (Suppl. I), 215. [Google Scholar] [CrossRef]
- Roberts, W.; McAllister, H.; Ferrans, V. Sarcoidosis of the heart. A clinicopathologic study of 35 necropsy patients (group I) and review of 78 previously described necropsy patients (group II). Am. J. Med. 1977, 63, A81. [Google Scholar] [CrossRef]
- Tavora, F.; Cresswell, N.; Li, L.; Ripple, M.; Solomon, C.; Burke, A. Comparison of Necropsy Findings in Patients With Sarcoidosis Dying Suddenly from Cardiac Sarcoidosis Versus Dying Suddenly from Other Causes. Am. J. Cardiol. 2009, 104, 571–577. [Google Scholar] [CrossRef]
- Blankstein, R.; Osborne, M.; Naya, M.; Waller, A.; Kim, C.K.; Murthy, V.L.; Kazemian, P.; Kwong, R.Y.; Tokuda, M.; Skali, H.; et al. Cardiac Positron Emission Tomography Enhances Prognostic Assessments of Patients With Suspected Cardiac Sarcoidosis. J. Am. Coll. Cardiol. 2014, 63, 329–336. [Google Scholar] [CrossRef]
- Manabe, O.; Yoshinaga, K.; Ohira, H.; Sato, T.; Tsujino, I.; Yamada, A.; Oyama-Manabe, N.; Masuda, A.; Magota, K.; Nishimura, M.; et al. Right ventricular 18F-FDG uptake is an important indicator for cardiac involvement in patients with suspected cardiac sarcoidosis. Ann. Nucl. Med. 2014, 28, 656–663. [Google Scholar] [CrossRef] [PubMed]
- Philips, B.; Madhavan, S.; James, C.A.; Riele, A.S.T.; Murray, B.; Tichnell, C.; Bhonsale, A.; Nazarian, S.; Judge, D.P.; Calkins, H.; et al. Arrhythmogenic Right Ventricular Dysplasia/Cardiomyopathy and Cardiac Sarcoidosis. Circ. Arrhythmia Electrophysiol. 2014, 7, 230–236. [Google Scholar] [CrossRef] [PubMed]
- Sykora, D.; Young, K.A.; Elwazir, M.Y.; Bois, J.P.; Arment, C.A.; Chareonthaitawee, P.; Kolluri, N.; Ezzeddine, O.F.A.; Cooper, L.T.; Rosenbaum, A.N. The Mechanism and Natural History of Mitral Regurgitation in Cardiac Sarcoidosis. Am. J. Cardiol. 2023, 191, 84–91. [Google Scholar] [CrossRef] [PubMed]
- Okafor, J.; Azzu, A.; Ahmed, R.; Cassimon, B.; Wechalekar, K.; Wells, A.; Kouranos, V.; Baksi, A.J.; Sharma, R.; Guha, K.; et al. A rare case of extensive biventricular cardiac sarcoidosis with reversible torrential tricuspid regurgitation. J. Nucl. Cardiol. 2023. [Google Scholar] [CrossRef]
- Goyal, S.B.; Aragam, J.R. Cardiac Sarcoidosis With Primary Involvement of the Tricuspid Valve. Cardiol. Rev. 2006, 14, e12–e13. [Google Scholar] [CrossRef] [PubMed]
- Ayyala, U.S.; Nair, A.P.; Padilla, M.L. Cardiac Sarcoidosis. Clin. Chest Med. 2008, 29, 493–508. [Google Scholar] [CrossRef]
- Verkleeren, J.L.; Glover, M.U.; Bloor, C.; Joswig, B.C. Cardiac tamponade secondary to sarcoidosis. Am. Heart J. 1983, 106, 601–603. [Google Scholar] [CrossRef]
- Darda, S.; Zughaib, M.E.; Alexander, P.B.; Machado, C.E.; David, S.W.; Saba, S. Cardiac Sarcoidosis Presenting as Constrictive Pericarditis. Tex. Heart Inst. J. 2014, 41, 319–323. [Google Scholar] [CrossRef]
- Aso, S.-I.; Izawa, A.; Abe, N.; Motoki, H.; Kasai, H.; Tomita, T.; Kumazaki, S.; Koyama, J.; Yazaki, Y.; Ikeda, U. A case of left atrial involvement of cardiac sarcoidosis manifesting as atrial flutter treated with corticosteroids. J. Cardiol. Cases 2010, 1, e71–e74. [Google Scholar] [CrossRef]
- Nobuyuki Enzan Kisho Ohtani Nagaoka, K.; Sakamoto, I.; Tsutsui, H. Left atrial involvement of cardiac sarcoidosis manifesting as left atrial re-entrant tachycardia. Eur. Heart J. Cardiovasc. Imaging 2019, 20, 948. [Google Scholar] [CrossRef]
- JJoyce, E.; Ninaber, M.K.; Katsanos, S.; Debonnaire, P.; Kamperidis, V.; Bax, J.J.; Taube, C.; Delgado, V.; Marsan, N.A. Subclinical left ventricular dysfunction by echocardiographic speckle-tracking strain analysis relates to outcome in sarcoidosis. Eur. J. Heart Fail. 2014, 17, 51–62. [Google Scholar] [CrossRef] [PubMed]
- Buckberg, G.; Hoffman, J.I.E.; Mahajan, A.; Saleh, S.; Coghlan, C. Cardiac Mechanics Revisited. Circulation 2008, 118, 2571–2587. [Google Scholar] [CrossRef] [PubMed]
- Kansal, M.M.; Panse, P.M.; Abe, H.; Caracciolo, G.; Wilansky, S.; Tajik, A.J.; Khandheria, B.K.; Sengupta, P.P. Relationship of contrast-enhanced magnetic resonance imaging-derived intramural scar distribution and speckle tracking echocardiography-derived left ventricular two-dimensional strains. Eur. Heart J. Cardiovasc. Imaging 2011, 13, 152–158. [Google Scholar] [CrossRef] [PubMed][Green Version]
- Di Stefano, C.; Bruno, G.; Arciniegas Calle, M.C.; Acharya, G.A.; Fussner, L.M.; Ungprasert, P.; Cooper, L.T., Jr.; Blauwet, L.A.; Ryu, J.H.; Pellikka, P.A.; et al. Diagnostic and predictive value of speckle tracking echocardiography in cardiac sarcoidosis. BMC Cardiovasc. Disord. 2020, 20, 21. [Google Scholar] [CrossRef]
- Kusunose, K.; Fujiwara, M.; Yamada, H.; Nishio, S.; Saijo, Y.; Yamada, N.; Hirata, Y.; Torii, Y.; Ise, T.; Yamaguchi, K.; et al. Deterioration of biventricular strain is an early marker of cardiac involvement in confirmed sarcoidosis. Eur. Heart J. Cardiovasc. Imaging 2020, 21, 796–804. [Google Scholar] [CrossRef]
- Barssoum, K.; Altibi, A.M.; Rai, D.; Kumar, A.; Kharsa, A.; Chowdhury, M.; Thakkar, S.; Shahid, S.; Abdelazeem, M.; Abuzaid, A.S.; et al. Speckle tracking echocardiography can predict subclinical myocardial involvement in patients with sarcoidosis: A meta-analysis. Echocardiography 2020, 37, 2061–2070. [Google Scholar] [CrossRef] [PubMed]
- Chen, J.; Lei, J.; Scalzetti, E.; McGrath, M.; Feiglin, D.; Voelker, R.; Wang, J.; Iannuzzi, M.C.; Liu, K. Myocardial contractile patterns predict future cardiac events in sarcoidosis. Int. J. Cardiovasc. Imaging 2018, 34, 251–262. [Google Scholar] [CrossRef]
- Felekos, I.; Aggeli, C.; Gialafos, E.; Kouranos, V.; Rapti, A.; Sfikakis, P.; Koulouris, N.; Tousoulis, D. Global longitudinal strain and long-term outcomes in asymptomatic extracardiac sarcoid patients with no apparent cardiovascular disease. Echocardiography 2018, 35, 804–808. [Google Scholar] [CrossRef]
- Murtagh, G.; Laffin, L.; Patel, K.V.; Patel, A.V.; Bonham, C.A.; Yu, Z.; Addetia, K.; El-Hangouche, N.; Maffesanti, F.; Mor-Avi, V.; et al. Improved detection of myocardial damage in sarcoidosis using longitudinal strain in patients with preserved left ventricular ejection fraction. Echocardiography 2016, 33, 1344–1352. [Google Scholar] [CrossRef]
- Geyer, H.; Caracciolo, G.; Abe, H.; Wilansky, S.; Carerj, S.; Gentile, F.; Nesser, H.-J.; Khandheria, B.; Narula, J.; Sengupta, P.P. Assessment of Myocardial Mechanics Using Speckle Tracking Echocardiography: Fundamentals and Clinical Applications. J. Am. Soc. Echocardiogr. 2010, 23, 351–369. [Google Scholar] [CrossRef]
- Scatteia, A.; Baritussio, A.; Bucciarelli-Ducci, C. Strain imaging using cardiac magnetic resonance. Heart Fail. Rev. 2017, 22, 465–476. [Google Scholar] [CrossRef] [PubMed]
- Taylor, R.J.; Umar, F.; Lin, E.L.S.; Ahmed, A.; Moody, W.E.; Mazur, W.; Stegemann, B.; Townend, J.N.; Steeds, R.P.; Leyva, F. Mechanical effects of left ventricular midwall fibrosis in non-ischemic cardiomyopathy. J. Cardiovasc. Magn. Reson. 2015, 18, 1. [Google Scholar] [CrossRef] [PubMed]
- Orii, M.; Hirata, K.; Tanimoto, T.; Shiono, Y.; Shimamura, K.; Yamano, T.; Ino, Y.; Yamaguchi, T.; Kubo, T.; Tanaka, A.; et al. Myocardial Damage Detected by Two-Dimensional Speckle-Tracking Echocardiography in Patients with Extracardiac Sarcoidosis: Comparison with Magnetic Resonance Imaging. J. Am. Soc. Echocardiogr. 2015, 28, 683–691. [Google Scholar] [CrossRef]
- Liao, J.-N.; Chao, T.-F.; Kuo, J.-Y.; Sung, K.-T.; Tsai, J.-P.; Lo, C.-I.; Lai, Y.-H.; Su, C.-H.; Hung, C.-L.; Yeh, H.-I.; et al. Age, Sex, and Blood Pressure-Related Influences on Reference Values of Left Atrial Deformation and Mechanics from a Large-Scale Asian Population. Circ. Cardiovasc. Imaging 2017, 10, e006077. [Google Scholar] [CrossRef] [PubMed]
- Tigen, K.; Sunbul, M.; Karaahmet, T.; Tasar, O.; Dundar, C.; Yalcinsoy, M.; Takir, M.; Akkaya, E. Early Detection of Bi-ventricular and Atrial Mechanical Dysfunction Using Two-Dimensional Speckle Tracking Echocardiography in Patients with Sarcoidosis. Lung 2015, 193, 669–675. [Google Scholar] [CrossRef]
- Değirmenci, H.; Demirelli, S.; Arısoy, A.; Ermiş, E.; Araz, Ö.; Bakırcı, E.M.; Hamur, H.; Büyüklü, M.; Topal, E. Myocardial deformation and total atrial conduction time in the prediction of cardiac involvement in patients with pulmonary sarcoidosis. Clin. Respir. J. 2015, 11, 68–77. [Google Scholar] [CrossRef]
- Tsuji, T.; Tanaka, H.; Matsumoto, K.; Miyoshi, T.; Hiraishi, M.; Kaneko, A.; Ryo, K.; Fukuda, Y.; Tatsumi, K.; Onishi, T.; et al. Capability of three-dimensional speckle tracking radial strain for identification of patients with cardiac sarcoidosis. Int. J. Cardiovasc. Imaging 2013, 29, 317–324. [Google Scholar] [CrossRef]
- Lehtonen, J.; Uusitalo, V.; Pöyhönen, P.; Mäyränpää, M.I.; Kupari, M. Cardiac sarcoidosis: Phenotypes, diagnosis, treatment, and prognosis. Eur. Heart J. 2023, 44, 1495–1510. [Google Scholar] [CrossRef]
- Kusano, K.; Ishibashi, K.; Noda, T.; Nakajima, K.; Nakasuka, K.; Terasaki, S.; Hattori, Y.; Nagayama, T.; Mori, K.; Takaya, Y.; et al. Prognosis and Outcomes of Clinically Diagnosed Cardiac Sarcoidosis Without Positive Endomyocardial Biopsy Findings. JACC Asia 2021, 1, 385–395. [Google Scholar] [CrossRef]
- Sperry, B.W.; Ibrahim, A.; Negishi, K.; Negishi, T.; Patel, P.; Popović, Z.B.; Culver, D.; Brunken, R.; Marwick, T.H.; Tamarappoo, B. Incremental Prognostic Value of Global Longitudinal Strain and 18F-Fludeoxyglucose Positron Emission Tomography in Patients with Systemic Sarcoidosis. Am. J. Cardiol. 2017, 119, 1663–1669. [Google Scholar] [CrossRef]
- Wang, J.; Zhang, J.; Hosadurg, N.; Iwanaga, Y.; Chen, Y.; Liu, W.; Wan, K.; Patel, A.R.; Wicks, E.C.; Gkoutos, G.V.; et al. Prognostic Value of RV Abnormalities on CMR in Patients with Known or Suspected Cardiac Sarcoidosis. JACC Cardiovasc. Imaging 2023, 16, 361–372. [Google Scholar] [CrossRef]
- Albakaa, N.K.; Sato, K.; Iida, N.; Yamamoto, M.; Machino-Ohtsuka, T.; Ishizu, T.; Ieda, M. Association between right ventricular longitudinal strain and cardiovascular events in patients with cardiac sarcoidosis. J. Cardiol. 2022, 80, 549–556. [Google Scholar] [CrossRef] [PubMed]
- Zhang, S.; Tong, X.; Zhang, T.; Wang, D.; Liu, S.; Wang, L.; Fan, H. Prevalence of Sarcoidosis-Associated Pulmonary Hypertension: A Systematic Review and Meta-Analysis. Front. Cardiovasc. Med. 2022, 8, 809594. [Google Scholar] [CrossRef] [PubMed]
- Diaz-Guzman, E.; Farver, C.; Parambil, J.; Culver, D.A. Pulmonary hypertension caused by sarcoidosis. Clin. Chest Med. 2008, 29, 549–563. [Google Scholar] [CrossRef] [PubMed]
- Katsushika, S.; Kodera, S.; Nakamoto, M.; Ninomiya, K.; Kakuda, N.; Shinohara, H.; Matsuoka, R.; Ieki, H.; Uehara, M.; Higashikuni, Y.; et al. Deep Learning Algorithm to Detect Cardiac Sarcoidosis From Echocardiographic Movies. Circ. J. 2021, 86, 87–95. [Google Scholar] [CrossRef] [PubMed]






| Screening | Conventional TTE lacks overall sensitivity (25–35%) but has high PPV (92%) in setting of cardiac symptoms and ECS. |
| Abnormal TTE or normal TTE with cardiac symptoms warrants LGE-CMR ± FDG-PET investigation. | |
| Diagnosis | TTE abnormalities include RWMA in noncoronary distribution (35–50%), RV impairment (19%), pericardial abnormalities (19%), ≥moderate MR (11%), and basal septal thinning (4%). |
| Heart Rhythm Society guidelines incorporate unexplained LVEF < 40% + biopsy proven ECS as criteria for clinical CS diagnosis. | |
| Japanese Circulation Society guidelines incorporate septal thinning, ventricular wall aneurysm, or regional wall thickening as a major criterion. | |
| LV GLS, RV GLS, and RV FWS are significantly more impaired in sarcoidosis patients with cardiac involvement compared to those without. | |
| There is limited current research on the incremental diagnostic value of LA strain and 3D echocardiography. | |
| Surveillance | TTE is crucial for serial monitoring of LVEF, diastolic function, valvular pathology, and emergent pulmonary hypertension. |
| New deterioration in LVEF warrants further investigation for possible inflammatory recurrence. | |
| Prognosis | Reduced LVEF and increased LV cavity dimensions are associated with adverse outcomes. |
| Basal septal thinning presence on TTE is linked to increased mortality, ventricular arrythmias, and future LVEF decline. |
Disclaimer/Publisher’s Note: The statements, opinions and data contained in all publications are solely those of the individual author(s) and contributor(s) and not of MDPI and/or the editor(s). MDPI and/or the editor(s) disclaim responsibility for any injury to people or property resulting from any ideas, methods, instructions or products referred to in the content. |
© 2023 by the authors. Licensee MDPI, Basel, Switzerland. This article is an open access article distributed under the terms and conditions of the Creative Commons Attribution (CC BY) license (https://creativecommons.org/licenses/by/4.0/).
Share and Cite
Okafor, J.; Khattar, R.; Sharma, R.; Kouranos, V. The Role of Echocardiography in the Contemporary Diagnosis and Prognosis of Cardiac Sarcoidosis: A Comprehensive Review. Life 2023, 13, 1653. https://doi.org/10.3390/life13081653
Okafor J, Khattar R, Sharma R, Kouranos V. The Role of Echocardiography in the Contemporary Diagnosis and Prognosis of Cardiac Sarcoidosis: A Comprehensive Review. Life. 2023; 13(8):1653. https://doi.org/10.3390/life13081653
Chicago/Turabian StyleOkafor, Joseph, Rajdeep Khattar, Rakesh Sharma, and Vasilis Kouranos. 2023. "The Role of Echocardiography in the Contemporary Diagnosis and Prognosis of Cardiac Sarcoidosis: A Comprehensive Review" Life 13, no. 8: 1653. https://doi.org/10.3390/life13081653
APA StyleOkafor, J., Khattar, R., Sharma, R., & Kouranos, V. (2023). The Role of Echocardiography in the Contemporary Diagnosis and Prognosis of Cardiac Sarcoidosis: A Comprehensive Review. Life, 13(8), 1653. https://doi.org/10.3390/life13081653

