Enhanced Resolution of Neutron Autoradiography with UV-C Sensitization to Study Boron Microdistribution in Animal Models
Abstract
1. Introduction
2. Materials and Methods
2.1. Biological Samples
- Samples coming from normal BDIX rats (Charles River Lab., Wilmington, DE, USA). The animals were housed as previously described (e.g., [36]) Reference organs (liver, kidney, and lung) of normal rats excised 3–4 h post intravenous infusion of BPA (18 mg 10B kg−1 body weight (bw)) or GB-10 (50 mg 10B kg−1 bw) [37,38].
2.2. Nuclear Track Detectors
2.3. Nuclear Tracks Generation: Neutron Irradiation
2.4. Imprint Generation: UV-C Exposure
2.5. Histological Analysis
2.6. Imprint and Track Etching
2.7. Observation and Analysis
3. Results and Discussion
3.1. Observation of Imprints and Nuclear Tracks
3.2. Neutron Fluence
3.3. Evaluation of Homogeneous Samples
3.4. Tuning the Conditions for Lexan
3.5. Fading Effect
3.6. Absorbance of Tissue at Different Thicknesses
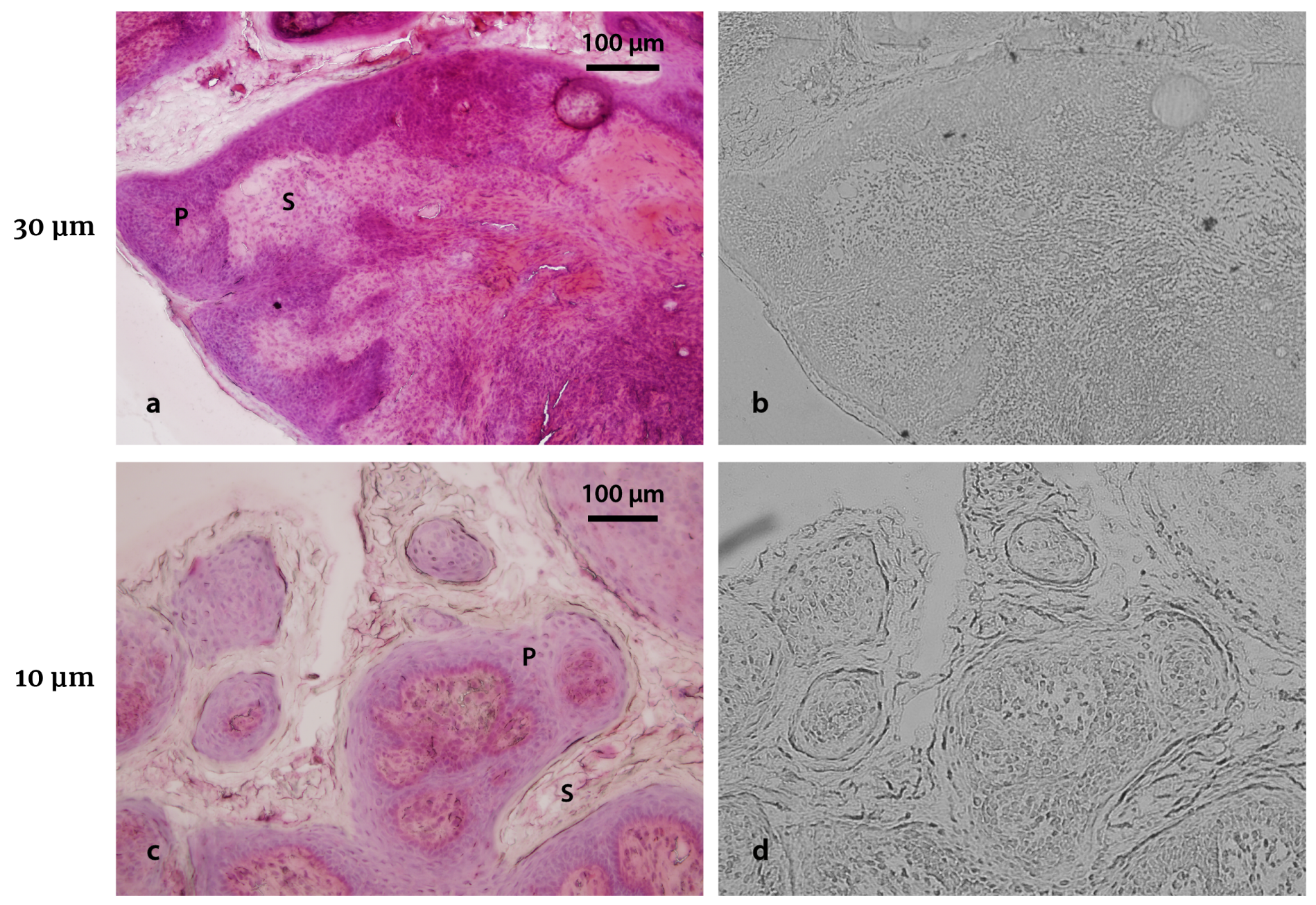
3.7. Analysis of Heterogeneous Samples
3.8. Imprint Formation at Different Tissue Thicknesses
3.9. Evaluation of Staining Agents
3.10. Final Comparison between PC and PADC
- 1.
- Biodistribution study at the conditions established in the animal mode;
- 2.
- Tissue sectioning at 10 m, unless a specific thickness is stated;
- 3.
- Neutron irradiation at 10 n cm ;
- 4.
- Eosin staining, unless a specific agent is required;
- 5.
- UV-C exposure;
- 6.
- Staining for observation;
- 7.
- ROI determination;
- 8.
- Etching with PEW for 4 min;
- 9.
- Re-exploration of ROIs;
- 10.
- Nuclear track density determination;
- 11.
- Application of a correction factor related to fading;
- 12.
- Boron concentration determination.
4. Conclusions
Author Contributions
Funding
Institutional Review Board Statement
Informed Consent Statement
Data Availability Statement
Acknowledgments
Conflicts of Interest
Abbreviations
| BNC | Boron neutron capture reaction | 
| BNCT | Boron neutron capture therapy | 
| bw | Body weight | 
| BPA | Boronophenylalanine | 
| CEv | Evaporation coefficient | 
| GB-10 | Decahydrodecaborate | 
| H | Hematoxylin | 
| E | Eosin | 
| NTD | Nuclear track detector | 
| PADC | Polyallyldiglycolcarbonate | 
| P | Parenchyma: neoplastic cells | 
| PC | Polycarbonate | 
| PEW | Etching solution prepared with KOH, water, and alcohol | 
| ROI | Region of interest | 
| RTD | Relative track density | 
| SEM | Scanning electron microscope | 
| S | Stroma: non-neoplastic connective tissue | 
| UV | Ultraviolet | 
| Vb | Bulk velocity | 
References
- Moss, R.L. Critical Review, with an Optimistic Outlook, on Boron Neutron Capture Therapy (BNCT). Appl. Radiat. Isot. 2014, 88, 2–11. [Google Scholar] [CrossRef] [PubMed]
- Chen, Y.W.; Lee, Y.Y.; Lin, C.F.; Pan, P.S.; Chen, J.K.; Wang, C.W.; Hsu, S.M.; Kuo, Y.C.; Lan, T.L.; Hsu, S.P.; et al. Salvage Boron Neutron Capture Therapy for Malignant Brain Tumor Patients in Compliance with Emergency and Compassionate Use: Evaluation of 34 Cases in Taiwan. Biology 2021, 10, 334. [Google Scholar] [CrossRef] [PubMed]
- Hirose, K.; Konno, A.; Hiratsuka, J.; Yoshimoto, S.; Kato, T.; Ono, K.; Otsuki, N.; Hatazawa, J.; Tanaka, H.; Takayama, K.; et al. Boron Neutron Capture Therapy Using Cyclotron-Based Epithermal Neutron Source and Borofalan (10B) for Recurrent or Locally Advanced Head and Neck Cancer (JHN002): An Open-Label Phase II Trial. Radiother. Oncol. 2021, 155, 182–187. [Google Scholar] [CrossRef] [PubMed]
- Kawabata, S.; Suzuki, M.; Hirose, K.; Tanaka, H.; Kato, T.; Goto, H.; Narita, Y.; Miyatake, S.I. Accelerator-Based BNCT for Patients with Recurrent Glioblastoma: A Multicenter Phase II Study. Neuro-Oncol. Adv. 2021, 3, vdab067. [Google Scholar] [CrossRef]
- González, S.J.; Bonomi, M.R.; Cruz, G.A.S.; Blaumann, H.R.; Larrieu, O.A.; Menéndez, P.; Rebagliati, R.J.; Longhino, J.; Feld, D.B.; Dagrosa, M.A.; et al. First BNCT Treatment of a Skin Melanoma in Argentina: Dosimetric Analysis and Clinical Outcome. Appl. Radiat. Isot. 2004, 61, 1101–1105. [Google Scholar] [CrossRef]
- Futamura, G.; Kawabata, S.; Siba, H.; Kuroiwa, T.; Suzuki, M.; Kondo, N.; Ono, K.; Sakurai, Y.; Tanaka, M.; Todo, T.; et al. A Case of Radiation-Induced Osteosarcoma Treated Effectively by Boron Neutron Capture Therapy. Radiat. Oncol. Lond. Engl. 2014, 9, 237. [Google Scholar] [CrossRef]
- Suzuki, M. Boron Neutron Capture Therapy (BNCT): A Unique Role in Radiotherapy with a View to Entering the Accelerator-Based BNCT Era. Int. J. Clin. Oncol. 2020, 25, 43–50. [Google Scholar] [CrossRef]
- Zonta, A.; Prati, U.; Roveda, L.; Ferrari, C.; Zonta, S.; Clerici, A.M.; Zonta, C.; Pinelli, T.; Fossati, F.; Altieri, S.; et al. Clinical Lessons from the First Applications of BNCT on Unresectable Liver Metastases. J. Phys. Conf. Ser. 2006, 41, 484–495. [Google Scholar] [CrossRef]
- Wittig, A.; Michel, J.; Moss, R.L.; Stecher-Rasmussen, F.; Arlinghaus, H.F.; Bendel, P.; Mauri, P.L.; Altieri, S.; Hilger, R.; Salvadori, P.A.; et al. Boron Analysis and Boron Imaging in Biological Materials for Boron Neutron Capture Therapy (BNCT). Crit. Rev. Oncol. Hematol. 2008, 68, 66–90. [Google Scholar] [CrossRef]
- Monti Hughes, A. Importance of Radiobiological Studies for the Advancement of Boron Neutron Capture Therapy (BNCT). Expert Rev. Mol. Med. 2022, 24, e14. [Google Scholar] [CrossRef]
- Ciani, L.; Bortolussi, S.; Postuma, I.; Cansolino, L.; Ferrari, C.; Panza, L.; Altieri, S.; Ristori, S. Rational Design of Gold Nanoparticles Functionalized with Carboranes for Application in Boron Neutron Capture Therapy. Int. J. Pharm. 2013, 458, 340–346. [Google Scholar] [CrossRef] [PubMed]
- Ogura, K.; Yanagie, H.; Eriguchi, M.; Matsumoto, T.; Kobayashi, H. Application of CR-39 for alpha-autoradiography and in vivo detection of 10B accumulations in tumor bearing mice. Radiat. Meas. 1999, 31, 389–394. [Google Scholar] [CrossRef]
- Ferrari, C.; Zonta, C.; Cansolino, L.; Clerici, A.M.; Gaspari, A.; Altieri, S.; Bortolussi, S.; Stella, S.; Bruschi, P.; Dionigi, P.; et al. Selective Uptake of P-Boronophenylalanine by Osteosarcoma Cells for Boron Neutron Capture Therapy. Appl. Radiat. Isot. 2009, 67, S341–S344. [Google Scholar] [CrossRef] [PubMed]
- Lu, X.Q.; Kiger, W.S. Application of a Novel Microdosimetry Analysis and Its Radiobiological Implication for High-LET Radiation. Radiat. Res. 2009, 171, 646–656. [Google Scholar] [CrossRef] [PubMed]
- Aldossari, S.; McMahon, G.; Lockyer, N.P.; Moore, K.L. Microdistribution and Quantification of the Boron Neutron Capture Therapy Drug BPA in Primary Cell Cultures of Human Glioblastoma Tumour by NanoSIMS. Analyst 2019, 144, 6214–6224. [Google Scholar] [CrossRef] [PubMed]
- Kalot, G.; Godard, A.; Busser, B.; Pliquett, J.; Broekgaarden, M.; Motto-Ros, V.; Wegner, K.D.; Resch-Genger, U.; Köster, U.; Denat, F.; et al. Aza-BODIPY: A New Vector for Enhanced Theranostic Boron Neutron Capture Therapy Applications. Cells 2020, 9, 1953. [Google Scholar] [CrossRef]
- Nikezic, D.; Yu, K.N. Formation and Growth of Tracks in Nuclear Track Materials. Mater. Sci. Eng. R Rep. 2004, 46, 51–123. [Google Scholar] [CrossRef]
- Lamart, S.; Miller, B.W.; der Meeren, A.V.; Tazrart, A.; Angulo, J.F.; Griffiths, N.M. Actinide Bioimaging in Tissues: Comparison of Emulsion and Solid Track Autoradiography Techniques with the iQID Camera. PLoS ONE 2017, 12, e0186370. [Google Scholar] [CrossRef]
- Konishi, T.; Kodaira, S.; Itakura, Y.; Ohsawa, D.; Homma-Takeda, S. Imaging uranium distribution on rat kidney sections through detection of alpha tracks using CR-39 plastic nuclear tracj detector. Radiat. Prot. Dosim. 2019, 183, 242–246. [Google Scholar] [CrossRef]
- Tanaka, H.; Sakurai, Y.; Suzuki, M.; Masunaga, S.I.; Takamiya, K.; Maruhashi, A.; Ono, K. Development of a Simple and Rapid Method of Precisely Identifying the Position of 10B Atoms in Tissue: An Improvement in Standard Alpha Autoradiography. J. Radiat. Res. 2014, 55, 373–380. [Google Scholar] [CrossRef]
- Postuma, I.; Bortolussi, S.; Protti, N.; Ballarini, F.; Bruschi, P.; Ciani, L.; Ristori, S.; Panza, L.; Ferrari, C.; Cansolino, L.; et al. An Improved Neutron Autoradiography Set-up for 10B Concentration Measurements in Biological Samples. Rep. Pract. Oncol. Radiother. 2016, 21, 123–128. [Google Scholar] [CrossRef] [PubMed]
- Portu, A.; Carpano, M.; Dagrosa, A.; Cabrini, R.L.; Saint Martin, G. Qualitative Autoradiography with Polycarbonate Foils Enables Histological and Track Analyses on the Same Section. Biotech. Histochem. 2013, 88, 217–221. [Google Scholar] [CrossRef] [PubMed]
- Vidal, C.; Portu, A.; Thorp, S.I.; Curotto, P.; Pozzi, E.; Saint Martin, G. Optical Density Analysis in Autoradiographic Images from BNCT Protocols. Radiat. Meas. 2018, 119, 121–124. [Google Scholar] [CrossRef]
- Portu, A.; Bernaola, O.A.; Nievas, S.; Liberman, S.; Saint Martin, G. Measurement of 10B Concentration through Autoradiography Images in Polycarbonate Nuclear Track Detectors. Radiat. Meas. 2011, 46, 1154–1159. [Google Scholar] [CrossRef]
- Hsu, C.F.; Liu, H.M.; Peir, J.J.; Liao, J.W.; Chen, K.S.; Chen, Y.W.; Chuang, Y.J.; Chou, F.I. Therapeutic Efficacy and Radiobiological Effects of Boric-Acid-Mediated BNCT in an Osteosarcoma-Bearing SD Rat Model. Life 2023, 13, 514. [Google Scholar] [CrossRef] [PubMed]
- Provenzano, L.; Olivera, M.S.; Saint Martin, G.; Rodríguez, L.M.; Fregenal, D.; Thorp, S.I.; Pozzi, E.C.; Curotto, P.; Postuma, I.; Altieri, S.; et al. Extending Neutron Autoradiography Technique for Boron Concentration Measurements in Hard Tissues. Appl. Radiat. Isot. 2018, 137, 62–67. [Google Scholar] [CrossRef]
- Molinari, A.J.; Thorp, S.I.; Portu, A.M.; Saint Martin, G.; Pozzi, E.C.; Heber, E.M.; Bortolussi, S.; Itoiz, M.E.; Aromando, R.F.; Monti Hughes, A.; et al. Assessing Advantages of Sequential Boron Neutron Capture Therapy (BNCT) in an Oral Cancer Model with Normalized Blood Vessels. Acta Oncol. 2015, 54, 99–106. [Google Scholar] [CrossRef]
- Garabalino, M.A.; Olaiz, N.; Portu, A.; Saint Martin, G.; Thorp, S.I.; Pozzi, E.C.; Curotto, P.; Itoiz, M.E.; Monti Hughes, A.; Colombo, L.L.; et al. Electroporation Optimizes the Uptake of Boron-10 by Tumor for Boron Neutron Capture Therapy (BNCT) Mediated by GB-10: A Boron Biodistribution Study in the Hamster Cheek Pouch Oral Cancer Model. Radiat. Environ. Biophys. 2019, 58, 455–467. [Google Scholar] [CrossRef]
- Bortolussi, S.; Postuma, I.; Protti, N.; Provenzano, L.; Ferrari, C.; Cansolino, L.; Dionigi, P.; Galasso, O.; Gasparini, G.; Altieri, S.; et al. Understanding the Potentiality of Accelerator Based-Boron Neutron Capture Therapy for Osteosarcoma: Dosimetry Assessment Based on the Reported Clinical Experience. Radiat. Oncol. 2017, 12, 130. [Google Scholar] [CrossRef]
- Bortolussi, S.; Bakeine, J.G.; Ballarini, F.; Bruschi, P.; Gadan, M.A.; Protti, N.; Stella, S.; Clerici, A.; Ferrari, C.; Cansolino, L.; et al. Boron Uptake Measurements in a Rat Model for Boron Neutron Capture Therapy of Lung Tumours. Appl. Radiat. Isot. 2011, 69, 394–398. [Google Scholar] [CrossRef]
- Espain, M.S.; Viegas, A.M.D.; Trivillin, V.A.; Saint Martin, G.; Thorp, S.I.; Curotto, P.; Pozzi, E.C.C.; González, S.J.; Portu, A.M. Neutron Autoradiography to Study the Microdistribution of Boron in the Lung. Appl. Radiat. Isot. 2020, 165, 109331. [Google Scholar] [CrossRef] [PubMed]
- Portu, A.; Molinari, A.J.; Thorp, S.I.; Pozzi, E.C.; Curotto, P.; Schwint, A.E.; Saint Martin, G. Neutron Autoradiography to Study Boron Compound Microdistribution in an Oral Cancer Model. Int. J. Radiat. Biol. 2015, 91, 329–335. [Google Scholar] [CrossRef] [PubMed]
- Portu, A.M.; Rossini, A.E.; Gadan, M.A.; Bernaola, O.A.; Thorp, S.I.; Curotto, P.; Pozzi, E.C.C.; Cabrini, R.L.; Saint Martin, G. Experimental Set up for the Irradiation of Biological Samples and Nuclear Track Detectors with UV C. Rep. Pract. Oncol. Radiother. 2016, 21, 129–134. [Google Scholar] [CrossRef] [PubMed]
- Portu, A.; Rossini, A.E.; Thorp, S.I.; Curotto, P.; Pozzi, E.C.C.; Granell, P.; Golmar, F.; Cabrini, R.L.; Saint Martin, G. Simultaneous Observation of Cells and Nuclear Tracks from the Boron Neutron Capture Reaction by UV-C Sensitization of Polycarbonate. Microsc. Microanal. 2015, 21, 796–804. [Google Scholar] [CrossRef] [PubMed]
- Gadan, M.A.; Lloyd, R.; Saint Martin, G.; Olivera, M.S.; Policastro, L.; Portu, A.M. Neutron Autoradiography Combined with UV-C Sensitization: Toward the Intracellular Localization of Boron. Microsc. Microanal. 2019, 25, 1331–1340. [Google Scholar] [CrossRef]
- Pozzi, E.C.C.; Trivillin, V.A.; Colombo, L.L.; Monti Hughes, A.; Thorp, S.I.; Cardoso, J.E.; Garabalino, M.A.; Molinari, A.J.; Heber, E.M.; Curotto, P.; et al. Boron neutron capture therapy (BNCT) for liver metastasis in an experimental model: Dose–response at five-week follow-up based on retrospective dose assessment in individual rats. Radiat. Environ. Biophys. 2013, 52, 481–491. [Google Scholar] [CrossRef]
- Trivillin, V.A.; Garabalino, M.A.; Colombo, L.L.; González, S.J.; Farías, R.O.; Monti Hughes, A.; Pozzi, E.C.; Bortolussi, S.; Altieri, S.; Itoiz, M.E.; et al. Biodistribution of the Boron Carriers Boronophenylalanine (BPA) and/or Decahydrodecaborate (GB-10) for Boron Neutron Capture Therapy (BNCT) in an Experimental Model of Lung Metastases. Appl. Radiat. Isot. 2014, 88, 94–98. [Google Scholar] [CrossRef]
- Garabalino, M.A.; Monti Hughes, A.; Molinari, A.J.; Heber, E.M.; Pozzi, E.C.; Cardoso, J.E.; Colombo, L.L.; Nievas, S.; Nigg, D.W.; Aromando, R.F.; et al. Boron Neutron Capture Therapy (BNCT) for the Treatment of Liver Metastases: Biodistribution Studies of Boron Compounds in an Experimental Model. Radiat. Environ. Biophys. 2011, 50, 199–207. [Google Scholar] [CrossRef]
- Heber, E.M.; Trivillin, V.A.; Nigg, D.W.; Itoiz, M.E.; Gonzalez, B.N.; Rebagliati, R.J.; Batistoni, D.; Kreimann, E.L.; Schwint, A.E. Homogeneous Boron Targeting of Heterogeneous Tumors for Boron Neutron Capture Therapy (BNCT): Chemical Analyses in the Hamster Cheek Pouch Oral Cancer Model. Arch. Oral Biol. 2006, 51, 922–929. [Google Scholar] [CrossRef]
- Molinari, A.J.; Pozzi, E.C.; Monti Hughes, A.; Heber, E.M.; Garabalino, M.A.; Thorp, S.I.; Miller, M.; Itoiz, M.E.; Aromando, R.F.; Nigg, D.W.; et al. Tumor Blood Vessel “Normalization” Improves the Therapeutic Efficacy of Boron Neutron Capture Therapy (BNCT) in Experimental Oral Cancer. Radiat. Res. 2012, 177, 59–68. [Google Scholar] [CrossRef]
- Saint Martin, G.; Portu, A.; Cruz, G.A.S.; Bernaola, O.A. Stochastic Simulation of Track Density in Nuclear Track Detectors for 10B Measurements in Autoradiography. Nucl. Instrum. Methods Phys. Res. Sect. B Beam Interact. Mater. At. 2011, 269, 2781–2785. [Google Scholar] [CrossRef]
- L’Annunziata, M.F. Handbook of Radioactivity Analysis; Academic Press: Cambridge, MA, USA, 2012; pp. 410–499. [Google Scholar]
- Ogawara, R.; Kusumoto, T.; Konishi, T.; Hamano, T.; Kodaira, S. Detection of alpha and 7Li particles from 10B(n, α)7Li reactions using a combination of CR-39 nuclear track detector and potassium hydroxide-ethanol-water solution in accelerator-based neutron fields. Nucl. Instrum. Methods Phys. Res. B Beam Interact. Mater. At. 2020, 467, 9–12. [Google Scholar] [CrossRef]
- Saint Martin, G.; Portu, A.M.; Ibarra, M.L.; Alurralde, M. UV-C Radiation Effect on Nuclear Tracks of Different Ions in Polycarbonate. Radiat. Phys. Chem. 2020, 173, 108936. [Google Scholar] [CrossRef]
- Miller, M.; Quintana, J.; Ojeda, J.; Langan, S.; Thorp, S.; Pozzi, E.; Sztejnberg, M.; Estryk, G.; Nosal, R.; Saire, E.; et al. New Irradiation Facility for Biomedical Applications at the RA-3 Reactor Thermal Column. Appl. Radiat. Isot. 2009, 67, 226–229. [Google Scholar] [CrossRef]
- Espector, N.; Portu, A.M.; Espain, M.S.; Leyva, G.; Saint Martin, G. Measurement of an Evaporation Coefficient in Tissue Sections as a Correction Factor for 10B Determination. Histochem. Cell Biol. 2023, 160, 3–10. [Google Scholar] [CrossRef]
- Portu, A.; Postuma, I.; Gadan, M.A.; Saint Martin, G.; Olivera, M.S.; Altieri, S.; Protti, N.; Bortolussi, S. Inter-Comparison of Boron Concentration Measurements at INFN-University of Pavia (Italy) and CNEA (Argentina). Appl. Radiat. Isot. 2015, 105, 35–39. [Google Scholar] [CrossRef]
- Espector, N.M.; Portu, A.; Cruz, G.A.S.; Saint Martin, G. Evaporation Process in Histological Tissue Sections for Neutron Autoradiography. Radiat. Environ. Biophys. 2018, 57, 153–162. [Google Scholar] [CrossRef]












| Condition | n | UV+n | n+UV | 
|---|---|---|---|
| RTD [%] | 100 ± 16 | 92 ± 15 | 91 ± 12 | 
| 10B cc [ug g−1] | 7.3 ± 0.7 | 6.6 ± 0.8 | 6.5 ± 0.6 | 
| Disclaimer/Publisher’s Note: The statements, opinions and data contained in all publications are solely those of the individual author(s) and contributor(s) and not of MDPI and/or the editor(s). MDPI and/or the editor(s) disclaim responsibility for any injury to people or property resulting from any ideas, methods, instructions or products referred to in the content. | 
© 2023 by the authors. Licensee MDPI, Basel, Switzerland. This article is an open access article distributed under the terms and conditions of the Creative Commons Attribution (CC BY) license (https://creativecommons.org/licenses/by/4.0/).
Share and Cite
Portu, A.M.; Espain, M.S.; Thorp, S.I.; Trivillin, V.A.; Curotto, P.; Monti Hughes, A.; Pozzi, E.C.C.; Garabalino, M.A.; Palmieri, M.A.; Granell, P.N.; et al. Enhanced Resolution of Neutron Autoradiography with UV-C Sensitization to Study Boron Microdistribution in Animal Models. Life 2023, 13, 1578. https://doi.org/10.3390/life13071578
Portu AM, Espain MS, Thorp SI, Trivillin VA, Curotto P, Monti Hughes A, Pozzi ECC, Garabalino MA, Palmieri MA, Granell PN, et al. Enhanced Resolution of Neutron Autoradiography with UV-C Sensitization to Study Boron Microdistribution in Animal Models. Life. 2023; 13(7):1578. https://doi.org/10.3390/life13071578
Chicago/Turabian StylePortu, Agustina Mariana, María Sol Espain, Silvia Inés Thorp, Verónica Andrea Trivillin, Paula Curotto, Andrea Monti Hughes, Emiliano César Cayetano Pozzi, Marcela Alejandra Garabalino, Mónica Alejandra Palmieri, Pablo Nicolás Granell, and et al. 2023. "Enhanced Resolution of Neutron Autoradiography with UV-C Sensitization to Study Boron Microdistribution in Animal Models" Life 13, no. 7: 1578. https://doi.org/10.3390/life13071578
APA StylePortu, A. M., Espain, M. S., Thorp, S. I., Trivillin, V. A., Curotto, P., Monti Hughes, A., Pozzi, E. C. C., Garabalino, M. A., Palmieri, M. A., Granell, P. N., Golmar, F., Schwint, A. E., & Saint Martin, G. (2023). Enhanced Resolution of Neutron Autoradiography with UV-C Sensitization to Study Boron Microdistribution in Animal Models. Life, 13(7), 1578. https://doi.org/10.3390/life13071578
 
        



 
       