Histological, Laboratorial, and Clinical Benefits of an Optimized Maintenance Strategy of a Potential Organ Donor—A Rabbit Experimental Model
Abstract
1. Introduction
2. Materials and Methods
2.1. Animals
2.2. Treatments
- Group A (control)—anesthesia + oro–tracheal intubation/ventilation + craniotomy + bolus infusion of 0.9% sodium chloride in case of hypotension, without exceeding 40 mL/kg;
- Group B (BD and volume replacement)—anesthesia + oro–tracheal intubation/ventilation + craniotomy + BD + bolus infusion of 0.9% sodium chloride in case of hypotension, without exceeding 40 mL/kg;
- Group C (BD and basic strategy)—anesthesia + oro–tracheal intubation/ventilation + craniotomy + BD + bolus infusion of 0.9% sodium chloride in case of hypotension, without exceeding 40 mL/kg + NA 0.05 − 2 mcg/kg/min in case of hemodynamic instability;
- Group D (BD and optimized strategy)—anesthesia + oro–tracheal intubation/ventilation + craniotomy + BD + induction of hemodynamic support optimized with bolus infusion of 0.9% sodium chloride without exceeding 40 mL/kg + continuous infusion of 0.04 U/h vasopressin + 15 mg/kg methylprednisolone + 4 mg/kg levothyroxine + 0.05 − 2 mcg/kg/min NA in case of hemodynamic instability.
2.3. Anesthesia and Induction of Brain Death
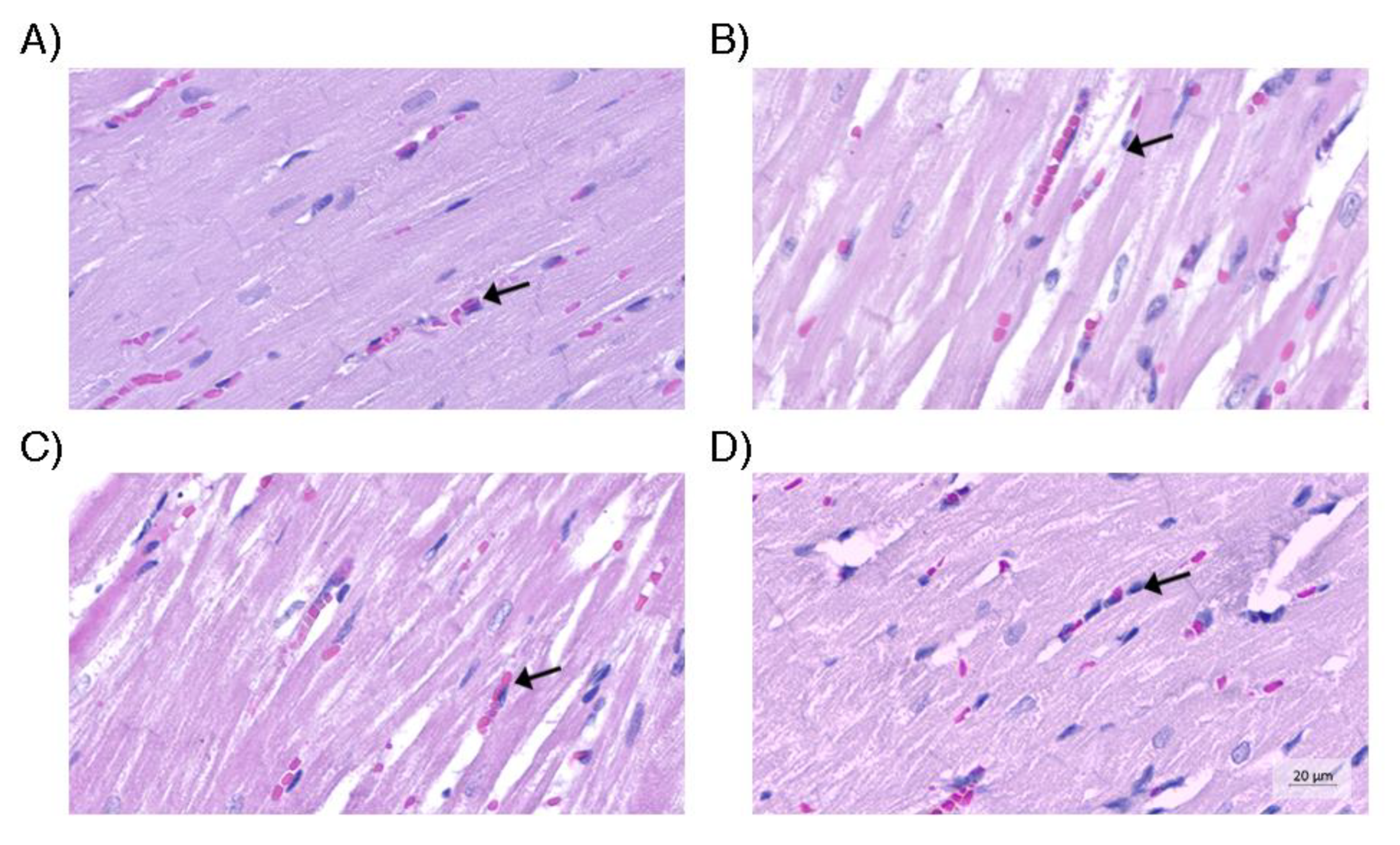
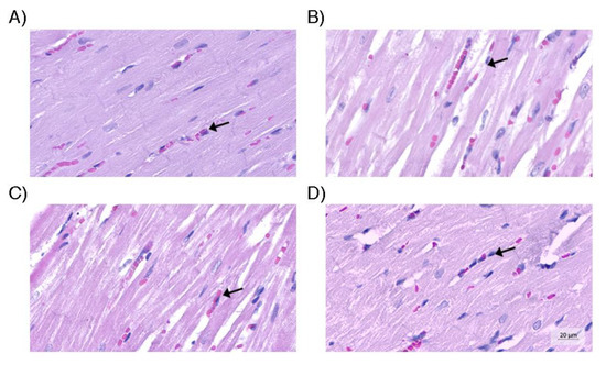
2.4. Laboratory and Histological Analyses
2.5. Statistical Analysis
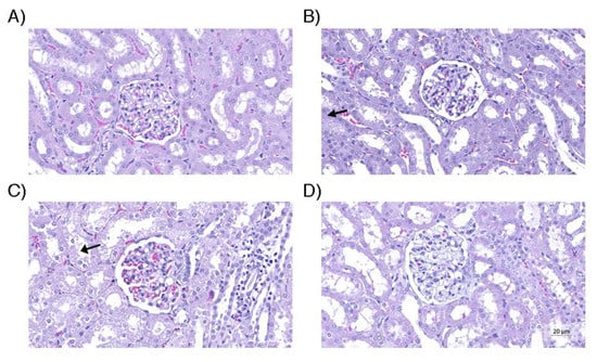
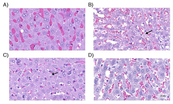
3. Results
4. Discussion
Author Contributions
Funding
Institutional Review Board Statement
Data Availability Statement
Acknowledgments
Conflicts of Interest
References
- Youn, T.S.; Greer, D.M. Brain death and management of a potential organ donor in the intensive care unit. Crit. Care Clin. 2014, 30, 813–831. [Google Scholar] [CrossRef] [PubMed]
- Martin-Loeches, I.; Sandiumenge, A.; Charpentier, J.; Kellum, J.A.; Gaffney, A.M.; Procaccio, F.; Westphal, G.A. Management of donation after brain death (DBD) in the ICU: The potential donor is identified, what’s next? Intensive Care Med. 2019, 45, 322–330. [Google Scholar] [CrossRef] [PubMed]
- Malinoski, D.J.; Daly, M.C.; Patel, M.S.; Oley-Graybill, C.; Foster, C.E.; Salim, A. Achieving donor management goals before deceased donor procurement is associated with more organs transplanted per donor. J. Trauma Inj. Infect. Crit. Care 2011, 71, 990–995. [Google Scholar] [CrossRef] [PubMed]
- da Silva Bento, P.; Santiago, A.D.; Vendrame Saes, L.S.; Erbs Pessoa, J.L.; Ockner Silva, T.L.; Schirmer, J.; de Aguiar Roza, B. Loss of Potential Donors Due to Hemodynamic Maintenance. Transplant. Proc. 2020, 52, 1226–1230. [Google Scholar] [CrossRef]
- Azarpira, N.; Nikeghbalian, S.; Kazemi, K.; Geramizadeh, B.; Malekpour, Z.; Malek-Hosseini, S.A. Association of increased plasma interleukin-6 and TNF-α levels in donors with the complication rates in liver transplant recipients. Int. J. Organ Transplant. Med. 2013, 4, 9–14. [Google Scholar]
- Bugge, J.F. Brain death and its implications for management of the potential organ donor. Acta Anaesthesiol. Scand. 2009, 53, 1239–1250. [Google Scholar] [CrossRef]
- Da Silva, I.R.F.; Frontera, J.A. Worldwide barriers to organ donation. JAMA Neurol. 2015, 72, 112–118. [Google Scholar] [CrossRef]
- Tullius, S.G.; Rabb, H. Improving the Supply and Quality of Deceased-Donor Organs for Transplantation. N. Engl. J. Med. 2018, 378, 1920–1929. [Google Scholar] [CrossRef]
- Bodí, M.A.; Pont, T.; Sandiumenge, A.; Oliver, E.; Gener, J.; Badía, M.; Mestre, J.; Muñoz, E.; Esquirol, X.; Llauradó, M.; et al. Brain death organ donation potential and life support therapy limitation in neurocritical patients. Med. Intensiva (Eng. Ed.) 2015, 39, 337–344. [Google Scholar] [CrossRef]
- Barklin, A. Systemic inflammation in the brain-dead organ donor. Acta Anaesthesiol. Scand. 2009, 53, 425–435. [Google Scholar] [CrossRef]
- Domínguez-Roldán, J.M.; García-Alfaro, C.; Jimenéz-González, P.I.; Hernández-Hazañas, F.; Gascón Castillo, M.L.; Egea Guerrero, J.J. Muerte encefálica: Repercusión sobre órganos y tejidos. Med. Intensiva 2009, 33, 434–441. [Google Scholar] [CrossRef]
- Chen, E.P.; Bittner, H.B.; Kendall, S.W.H.; Van Trigt, P. Hormonal and hemodynamic changes in a validated animal model of brain death. Crit. Care Med. 1996, 24, 1352–1359. [Google Scholar] [CrossRef]
- Floerchinger, B.; Oberhuber, R.; Tullius, S.G. Effects of brain death on organ quality and transplant outcome. Transplant. Rev. 2012, 26, 54–59. [Google Scholar] [CrossRef]
- Meyfroidt, G.; Gunst, J.; Martin-Loeches, I.; Smith, M.; Robba, C.; Taccone, F.S.; Citerio, G. Management of the brain-dead donor in the ICU: General and specific therapy to improve transplantable organ quality. Intensive Care Med. 2019, 45, 343–353. [Google Scholar] [CrossRef]
- Cardinal, H.; Lamarche, F.; Grondin, S.; Marsolais, P.; Lagacé, A.M.; Duca, A.; Albert, M.; Houde, I.; Boucher, A.; Masse, M.; et al. Organ donor management and delayed graft function in kidney transplant recipients: A multicenter retrospective cohort study. Am. J. Transplant. 2019, 19, 277–284. [Google Scholar] [CrossRef]
- Rebolledo, R.A.; Van Erp, A.C.; Ottens, P.J.; Wiersema-Buist, J.; Leuvenink, H.G.D.; Romanque, P. Anti-Apoptotic effects of 3,3′,5-triiodo-lthyronine in the liver of brain-dead rats. PLoS ONE 2015, 10, e0138749. [Google Scholar] [CrossRef]
- Lazzeri, C.; Bonizzoli, M.; Guetti, C.; Fulceri, G.E.; Peris, A. Hemodynamic management in brain dead donors. World J. Transplant. 2021, 11, 410–420. [Google Scholar] [CrossRef]
- McKeown, D.W.; Bonser, R.S.; Kellum, J.A. Management of the heartbeating brain-dead organ donor. Br. J. Anaesth. 2012, 108, 96–107. [Google Scholar] [CrossRef]
- Matesanz, R.; Domínguez-Gil, B.; Coll, E.; Mahíllo, B.; Marazuela, R. How Spain Reached 40 Deceased Organ Donors per Million Population. Am. J. Transplant. 2017, 17, 1447–1454. [Google Scholar] [CrossRef]
- Westphal, G.A.; Caldeira Filho, M.; Vieira, K.D.; Zaclikevis, V.R.; Bartz, M.C.M.; Wanzuita, R.; Teixeira, C.; Franke, C.; Machado, F.O.; Friedman, G.; et al. Diretrizes para manutenção de múltiplos órgãos no potencial doador adulto falecido: Parte I. Aspectos gerais e suporte hemodinâmico. Rev. Bras. Ter. Intensiva 2011, 23, 255–268. [Google Scholar] [CrossRef]
- Ranasinghe, A.M.; Bonser, R.S. Endocrine changes in brain death and transplantation. Best Pract. Res. Clin. Endocrinol. Metab. 2011, 25, 799–812. [Google Scholar] [CrossRef] [PubMed]
- Patel, M.S.; Zatarain, J.; De La Cruz, S.; Sally, M.B.; Ewing, T.; Crutchfield, M.; Enestvedt, C.K.; Malinoski, D.J. The impact of meeting donor management goals on the number of organs transplanted per expanded criteria donor: A prospective study from the UNOS region 5 donor management goals workgroup. JAMA Surg. 2014, 149, 969–975. [Google Scholar] [CrossRef] [PubMed]
- Patel, M.S.; De La Cruz, S.; Sally, M.B.; Groat, T.; Malinoski, D.J. Active Donor Management During the Hospital Phase of Care Is Associated with More Organs Transplanted per Donor. J. Am. Coll. Surg. 2017, 225, 525–531. [Google Scholar] [CrossRef] [PubMed]
- Westphal, G.A.; Coll, E.; de Souza, R.L.; Wagner, S.; Montemezzo, A.; Cani de Souza, F.C.; Torres, G.; Halla, S.; Carnin, T.C.; Machado, M.C.; et al. Positive impact of a clinical goal-directed protocol on reducing cardiac arrests during potential brain-dead donor maintenance. Crit. Care 2016, 20, 323. [Google Scholar] [CrossRef] [PubMed]
- Akande, O.; Chen, Q.; Toldo, S.; Lesnefsky, E.J.; Quader, M. Ischemia and reperfusion injury to mitochondria and cardiac function in donation after circulatory death hearts—An experimental study. PLoS ONE 2021, 15, e0243504. [Google Scholar] [CrossRef]
- Arnold, M.; Méndez-Carmona, N.; Wyss, R.K.; Joachimbauer, A.; Casoni, D.; Carrel, T.; Longnus, S. Comparison of Experimental Rat Models in Donation After Circulatory Death (DCD): In-situ vs. ex-situ Ischemia. Front. Cardiovasc. Med. 2021, 7, 596883. [Google Scholar] [CrossRef]
- Westphal, G.A.; Caldeira Filho, M.; Vieira, K.D.; Zaclikevis, V.R.; Bartz, M.C.M.; Wanzuita, R.; Réa-Neto, Á.; Teixeira, C.; Franke, C.; Machado, F.O.; et al. Diretrizes para manutenção de múltiplos órgãos no potencial doador adulto falecido: Parte III. Recomendações órgãos específicas. Rev. Bras. Ter. Intensiva 2011, 23, 410–425. [Google Scholar] [CrossRef]
- Westphal, G.A.; Caldeira Filho, M.; Vieira, K.D.; Zaclikevis, V.R.; Bartz, M.C.M.; Wanzuita, R.; Réa-Neto, Á.; Teixeira, C.; Franke, C.; Machado, F.O.; et al. Diretrizes para manutenção de múltiplos órgãos no potencial doador adulto falecido: Parte II. Ventilação mecânica, controle endócrino metabólico e aspectos hematológicos e infecciosos. Rev. Bras. Ter. Intensiva 2011, 23, 269–282. [Google Scholar] [CrossRef]
- Mascia, L.; Pasero, D.; Slutsky, A.S.; Arguis, M.J.; Berardino, M.; Grasso, S.; Munari, M.; Boifava, S.; Cornara, G.; Della Corte, F.; et al. Effect of a lung protective strategy for organ donors on eligibility and availability of lungs for transplantation: A randomized controlled trial. JAMA 2010, 304, 2620–2627. [Google Scholar] [CrossRef]
- Murugan, R.; Venkataraman, R.; Wahed, A.S.; Elder, M.; Carter, M.; Madden, N.J.; Kellum, J.A. Preload responsiveness is associated with increased interleukin-6 and lower organ yield from brain-dead donors. Crit. Care Med. 2009, 37, 2387–2393. [Google Scholar] [CrossRef]
- Dimopoulou, I.; Tsagarakis, S.; Anthi, A.; Milou, E.; Ilias, I.; Stavrakaki, K.; Charalambidis, C.; Tzanela, M.; Orfanos, S.; Mandragos, K.; et al. High prevalence of decreased cortisol reserve in brain-dead potential organ donors. Crit. Care Med. 2003, 31, 1113–1117. [Google Scholar] [CrossRef]
- Fonseca, N.M.; Goldenberg, S.; Gomes, P.d.O.; Lima, C.A.d.P. Anestesia em Coelhos/Anesthesia in Rabbits. Acta Cir. Bras. 1996, 11, 82–104. [Google Scholar]
- Biswas, S.S.; Chen, E.P.; Bittner, H.B.; Davis, R.D.; Van Trigt, P. Brain death further promotes ischemic reperfusion injury of the rabbit myocardium. Ann. Thorac. Surg. 1996, 62, 1808–1815. [Google Scholar] [CrossRef]
- Westphal, G.A.; Garcia, V.D.; De Souza, R.L.; Franke, C.A.; Vieira, K.D.; Birckholz, V.R.Z.; Machado, M.C.; De Almeida, E.R.B.; Machado, F.O.; Da Costa Sardinha, L.A.; et al. Guidelines for the assessment and acceptance of potential brain-dead organ donors. Rev. Bras. Ter. Intensiva 2016, 28, 220–255. [Google Scholar] [CrossRef]
- Westphal, G.A.; Robinson, C.C.; Cavalcanti, A.B.; Gonçalves, A.R.R.; Guterres, C.M.; Teixeira, C.; Stein, C.; Franke, C.A.; da Silva, D.B.; Pontes, D.F.S.; et al. Brazilian guidelines for the management of brain-dead potential organ donors. The task force of the AMIB, ABTO, BRICNet, and the General Coordination of the National Transplant System. Ann. Intensive Care 2020, 10, 169. [Google Scholar] [CrossRef]
- Chen, J.M.; Cullinane, S.; Spanier, T.B.; Artrip, J.H.; John, R.; Edwards, N.M.; Oz, M.C.; Landry, D.W. Vasopressin deficiency and pressor hypersensitivity in hemodynamically unstable organ donors. Circulation 1999, 100, II244–II246. [Google Scholar] [CrossRef]
- Lyons, J.M.; Pearl, J.M.; McLean, K.M.; Akhter, S.A.; Wagner, C.J.; Pandalai, P.K.; Duffy, J.Y. Glucocorticoid administration reduces cardiac dysfunction after brain death in pigs. J. Heart Lung Transplant. 2005, 24, 2249–2254. [Google Scholar] [CrossRef]
- Follette, D.M.; Rudich, S.M.; Babcock, W.D. Improved oxygenation and increased lung donor recovery with high-dose steroid administration after brain death. J. Heart Lung Transplant. 1998, 17, 423–429. [Google Scholar]
- Miñambres, E.; Pérez-Villares, J.M.; Chico-Fernández, M.; Zabalegui, A.; Dueñas-Jurado, J.M.; Misis, M.; Mosteiro, F.; Rodriguez-Caravaca, G.; Coll, E. Lung donor treatment protocol in brain dead-donors: A multicenter study. J. Heart Lung Transplant. 2015, 34, 773–780. [Google Scholar] [CrossRef]
- Greer, D.M.; Valenza, F.; Citerio, G. Improving donor management and transplantation success: More research is needed. Intensive Care Med. 2015, 41, 537–540. [Google Scholar] [CrossRef]
- van Zanden, J.E.; Rebolledo, R.A.; Hoeksma, D.; Bubberman, J.M.; Burgerhof, J.G.; Breedijk, A.; Yard, B.A.; Erasmus, M.E.; Leuvenink, H.G.D.; Hottenrott, M.C. Rat donor lung quality deteriorates more after fast than slow brain death induction. PLoS ONE 2020, 15, e0242827. [Google Scholar] [CrossRef] [PubMed]
- Dupuis, S.; Amiel, J.A.; Desgroseilliers, M.; Williamson, D.R.; Thiboutot, Z.; Serri, K.; Perreault, M.M.; Marsolais, P.; Frenette, A.J. Corticosteroids in the management of brain-dead potential organ donors: A systematic review. Br. J. Anaesth. 2014, 113, 346–359. [Google Scholar] [CrossRef] [PubMed]
- Hall, J.; Guyton, A. Temperatura Corporal, Controle da Temperatura e Febre. In Tratado de Fisiologia Médica; Elsevier Inc.: Amsterdam, The Netherlands, 2011. [Google Scholar]
- Clar, H.E. Disturbances of the hypothalamic thermoregulation. Acta Neurochir. 1985, 75, 106–112. [Google Scholar] [CrossRef] [PubMed]
- Kotloff, R.M.; Blosser, S.; Fulda, G.J.; Malinoski, D.; Ahya, V.N.; Angel, L.; Byrnes, M.C.; DeVita, M.A.; Grissom, T.E.; Halpern, S.D.; et al. Management of the Potential Organ Donor in the ICU: Society of Critical Care Medicine/American College of Chest Physicians/Association of Organ Procurement Organizations Consensus Statement. Crit. Care Med. 2015, 43, 1291–1325. [Google Scholar] [CrossRef]
- Niemann, C.U.; Feiner, J.; Swain, S.; Bunting, S.; Friedman, M.; Crutchfield, M.; Broglio, K.; Hirose, R.; Roberts, J.P.; Malinoski, D. Therapeutic Hypothermia in Deceased Organ Donors and Kidney-Graft Function. N. Engl. J. Med. 2015, 373, 405–414. [Google Scholar] [CrossRef]
- Blasi-Ibanez, A.; Hirose, R.; Feiner, J.; Freise, C.; Stock, P.G.; Roberts, J.P.; Niemann, C.U. Predictors associated with terminal renal function in deceased organ donors in the intensive care unit. Anesthesiology 2009, 110, 333–341. [Google Scholar] [CrossRef]
- Sally, M.B.; Ewing, T.; Crutchfield, M.; Patel, M.S.; Raza, S.; De La Cruz, S.; Zatarain, J.; Malinoski, D.J. Determining optimal threshold for glucose control in organ donors after neurologic determination of death: A United Network for Organ Sharing Region 5 Donor Management Goals Workgroup prospective analysis. J. Trauma Acute Care Surg. 2014, 76, 62–69. [Google Scholar] [CrossRef]
- Hall, J.; Guyton, A. Sistema Nervoso Autônomo e Medula Adrenal. In Tratado de Fisiologia Médica; Elsevier Inc.: Amsterdam, The Netherlands, 2011; pp. 771–780. [Google Scholar]
- Phadke, D.; Beller, J.P.; Tribble, C. The disparate effects of epinephrine and norepinephrine on hyperglycemia in cardiovascular surgery. Heart Surg. Forum 2018, 21, E522–E526. [Google Scholar] [CrossRef]
- Ferreruela, M.; Raurich, J.M.; Ayestarán, I.; Llompart-pou, A. Hyperlactatemia in ICU patients: Incidence, causes and associated mortality. J. Crit. Care 2017, 42, 200–205. [Google Scholar] [CrossRef]






Disclaimer/Publisher’s Note: The statements, opinions and data contained in all publications are solely those of the individual author(s) and contributor(s) and not of MDPI and/or the editor(s). MDPI and/or the editor(s) disclaim responsibility for any injury to people or property resulting from any ideas, methods, instructions or products referred to in the content. |
© 2023 by the authors. Licensee MDPI, Basel, Switzerland. This article is an open access article distributed under the terms and conditions of the Creative Commons Attribution (CC BY) license (https://creativecommons.org/licenses/by/4.0/).
Share and Cite
Tannous, L.A.; Westphal, G.A.; Ioshii, S.O.; de Lima Alves, G.N.; Pigatto, R.N.; Pinto, R.L.; de Carvalho, K.A.T.; Francisco, J.C.; Guarita-Souza, L.C. Histological, Laboratorial, and Clinical Benefits of an Optimized Maintenance Strategy of a Potential Organ Donor—A Rabbit Experimental Model. Life 2023, 13, 1439. https://doi.org/10.3390/life13071439
Tannous LA, Westphal GA, Ioshii SO, de Lima Alves GN, Pigatto RN, Pinto RL, de Carvalho KAT, Francisco JC, Guarita-Souza LC. Histological, Laboratorial, and Clinical Benefits of an Optimized Maintenance Strategy of a Potential Organ Donor—A Rabbit Experimental Model. Life. 2023; 13(7):1439. https://doi.org/10.3390/life13071439
Chicago/Turabian StyleTannous, Luana Alves, Glauco Adrieno Westphal, Sergio Ossamu Ioshii, Guilherme Naves de Lima Alves, Raul Nishi Pigatto, Rafael Luiz Pinto, Katherine Athayde Teixeira de Carvalho, Júlio Cesar Francisco, and Luiz César Guarita-Souza. 2023. "Histological, Laboratorial, and Clinical Benefits of an Optimized Maintenance Strategy of a Potential Organ Donor—A Rabbit Experimental Model" Life 13, no. 7: 1439. https://doi.org/10.3390/life13071439
APA StyleTannous, L. A., Westphal, G. A., Ioshii, S. O., de Lima Alves, G. N., Pigatto, R. N., Pinto, R. L., de Carvalho, K. A. T., Francisco, J. C., & Guarita-Souza, L. C. (2023). Histological, Laboratorial, and Clinical Benefits of an Optimized Maintenance Strategy of a Potential Organ Donor—A Rabbit Experimental Model. Life, 13(7), 1439. https://doi.org/10.3390/life13071439

