The Efficacy of Immunotherapy in Long-Term Survival in Non-Small Cell Lung Cancer (NSCLC) Associated with the Syndrome of Inappropriate Antidiuretic Hormone Secretion (SIADH)
Abstract
1. Introduction
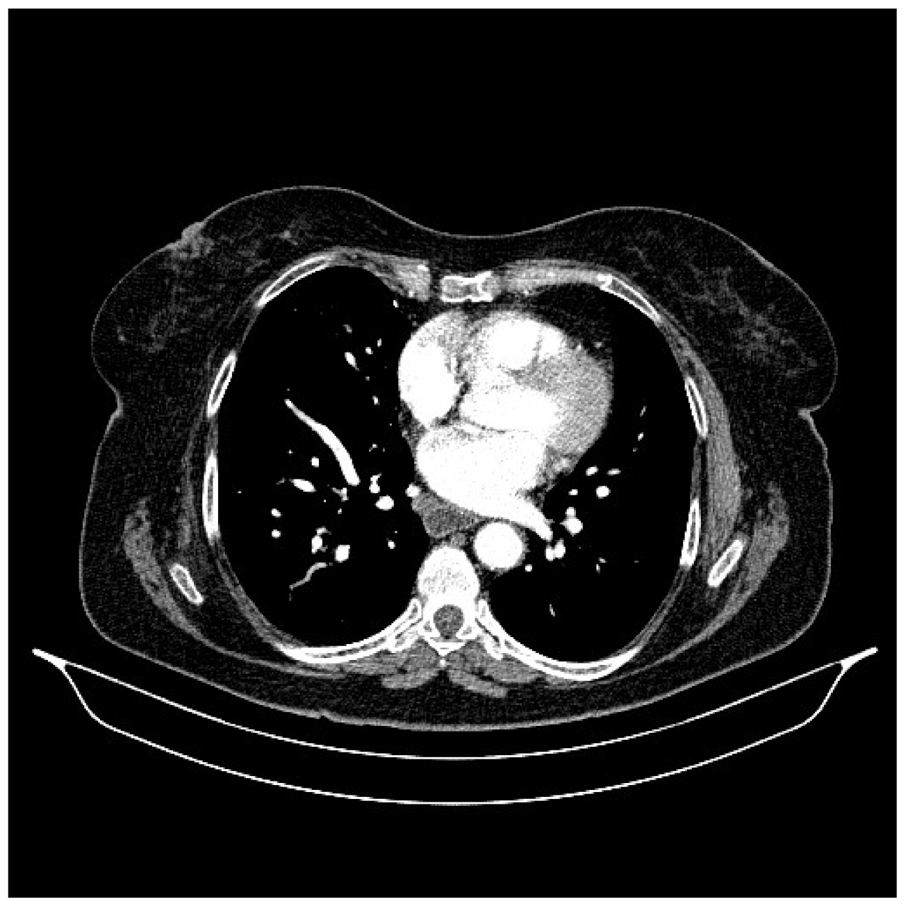
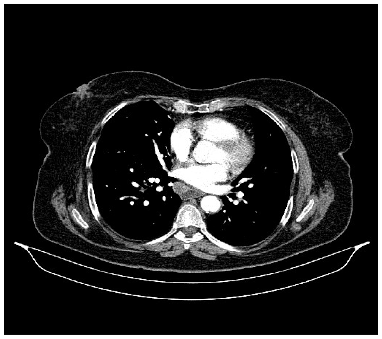
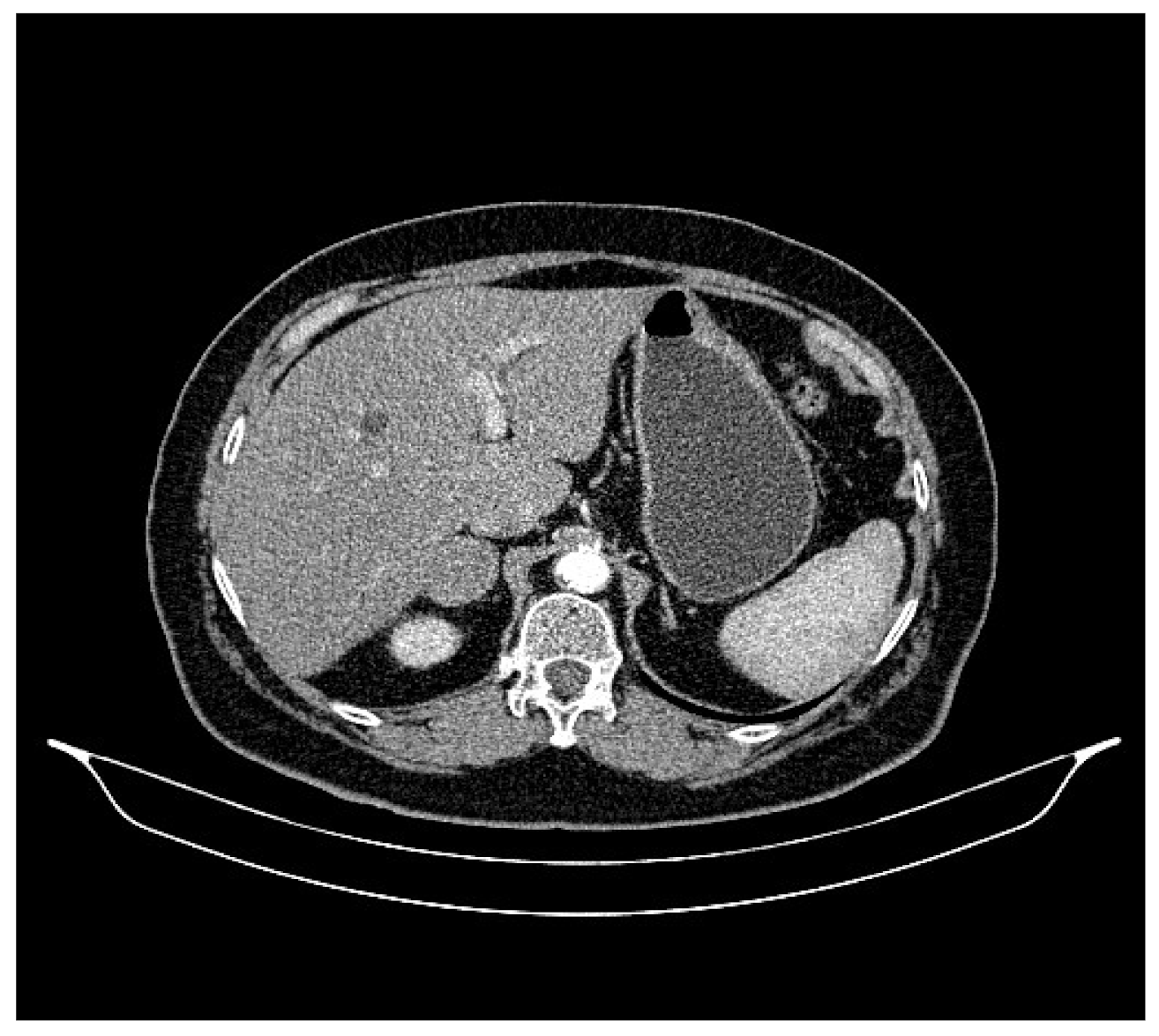
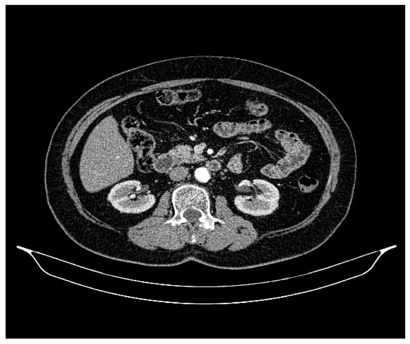
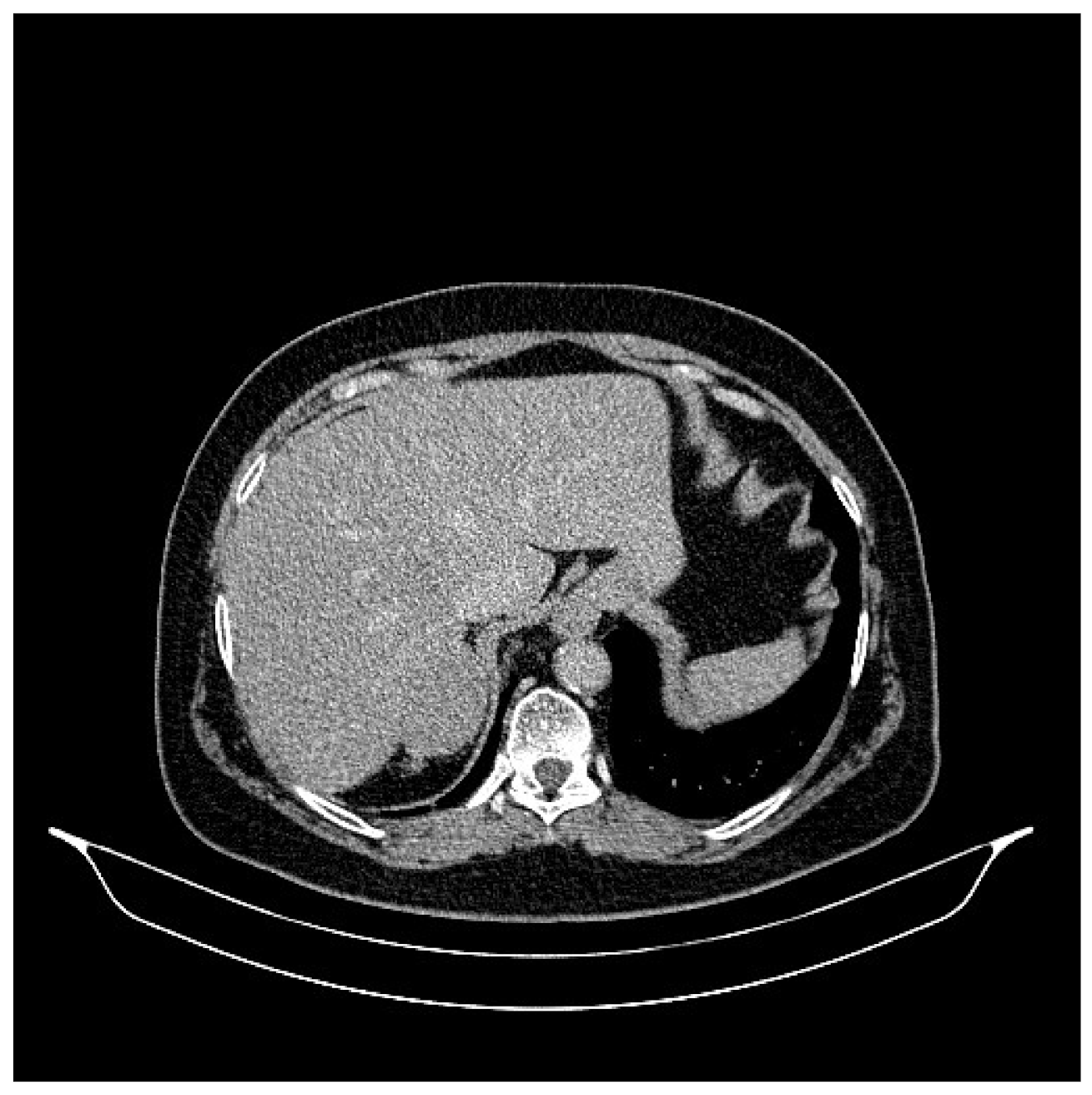
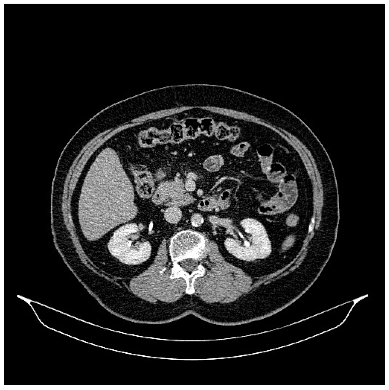
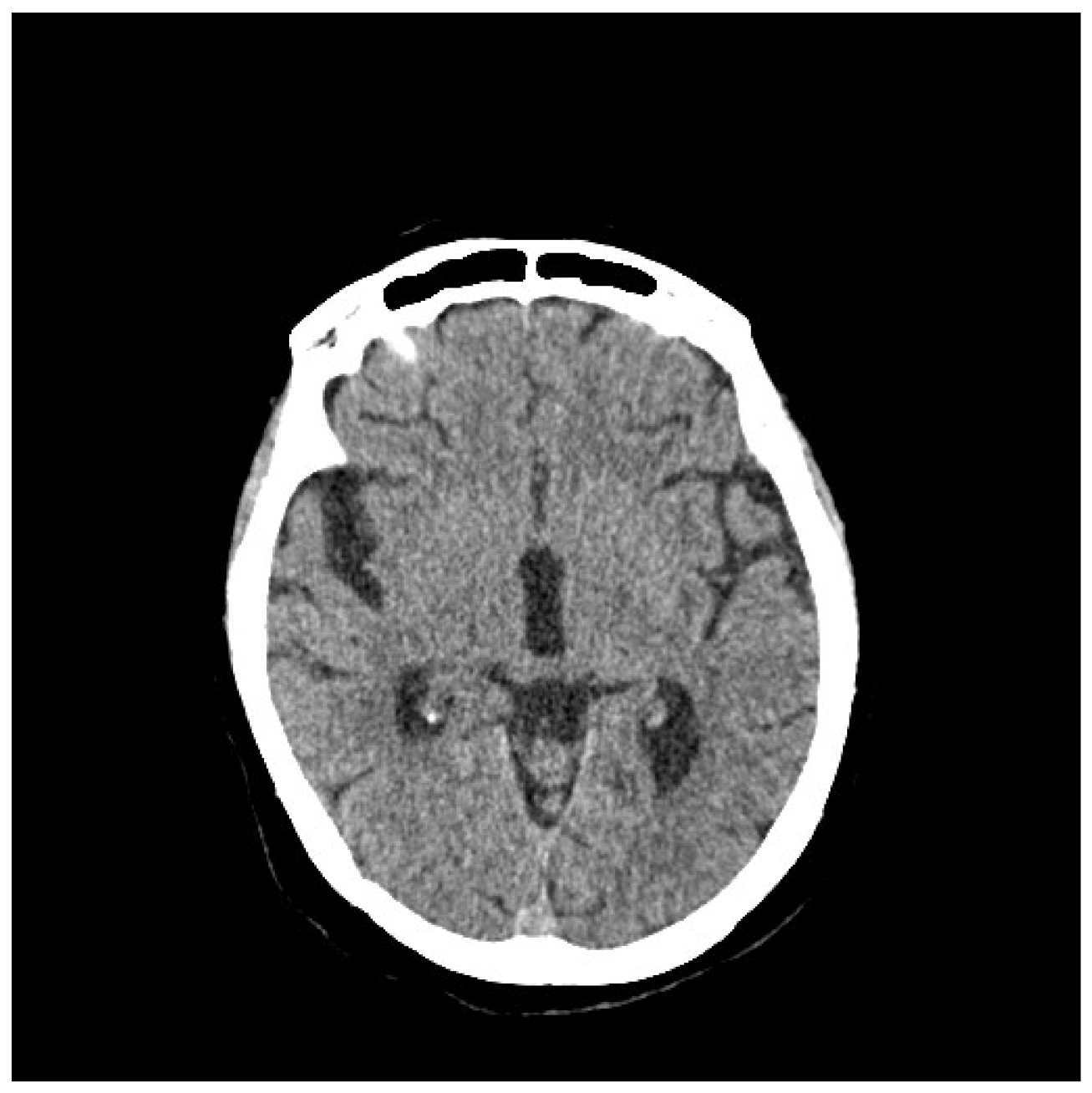
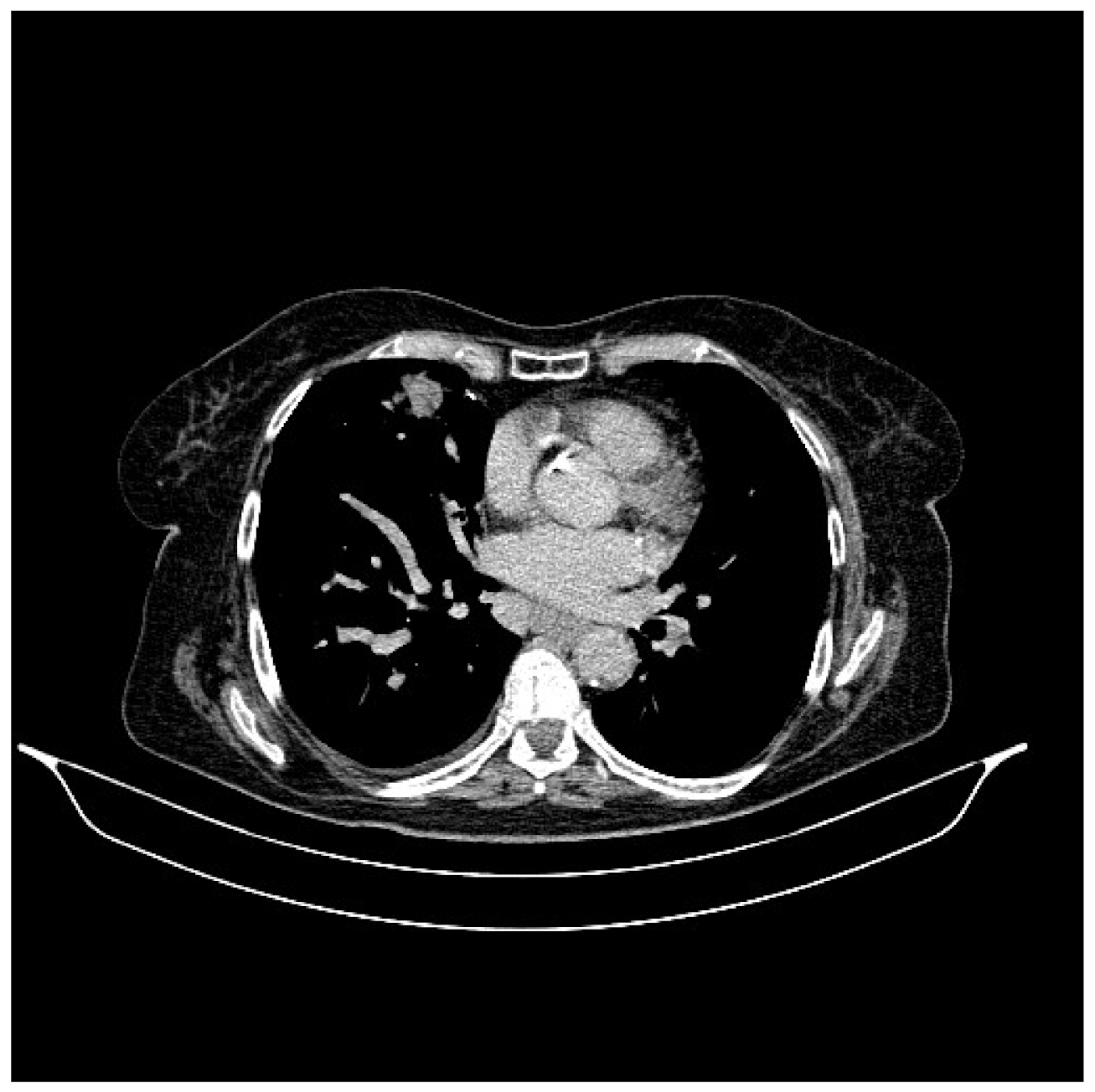
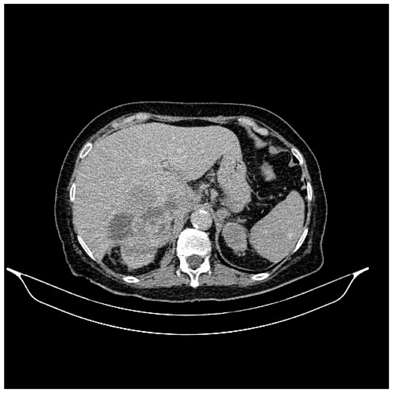
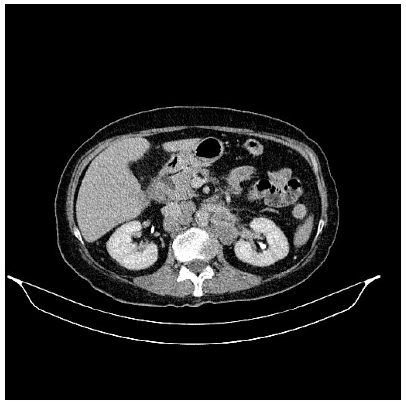
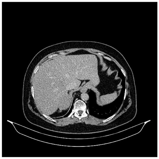
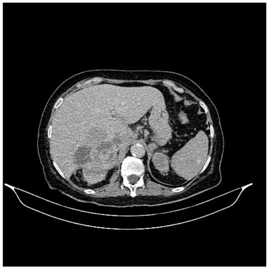
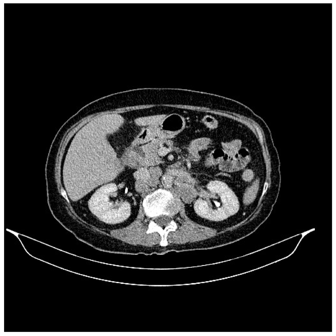
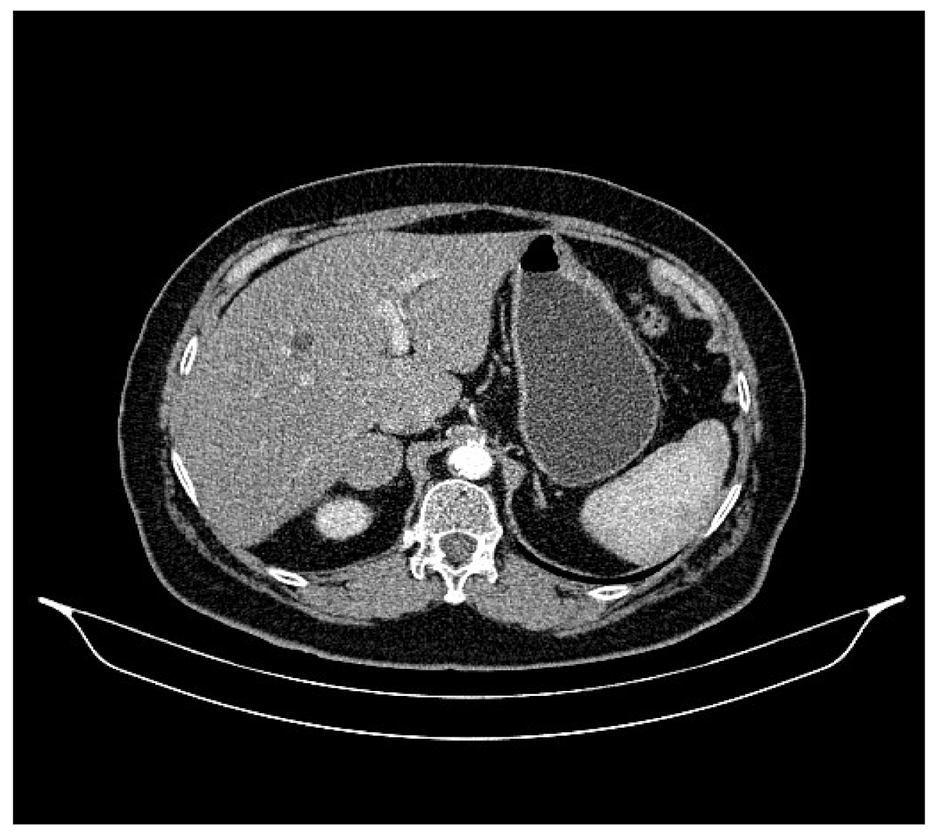
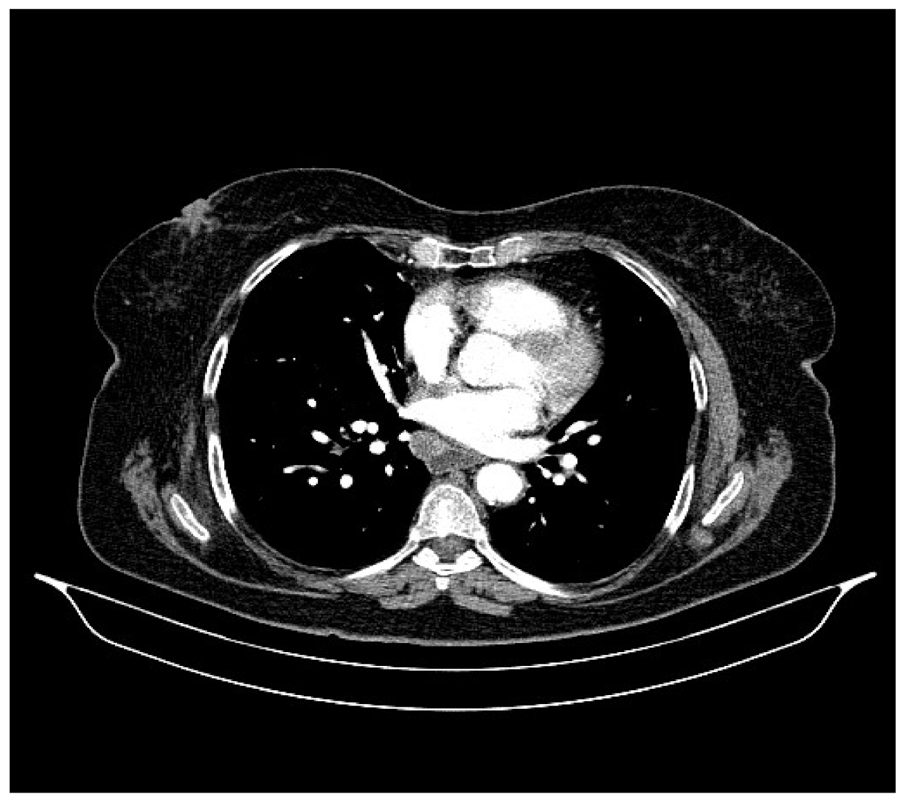
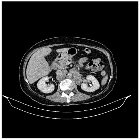
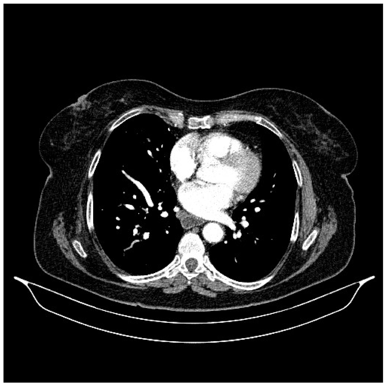
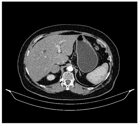
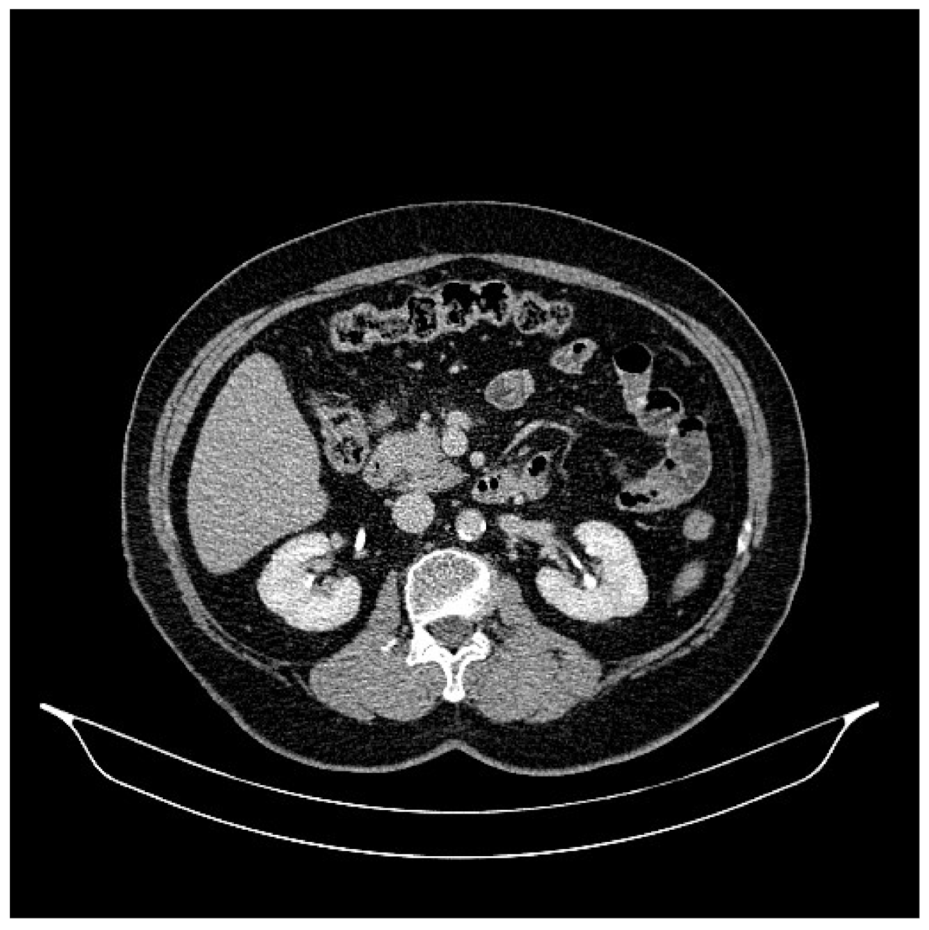
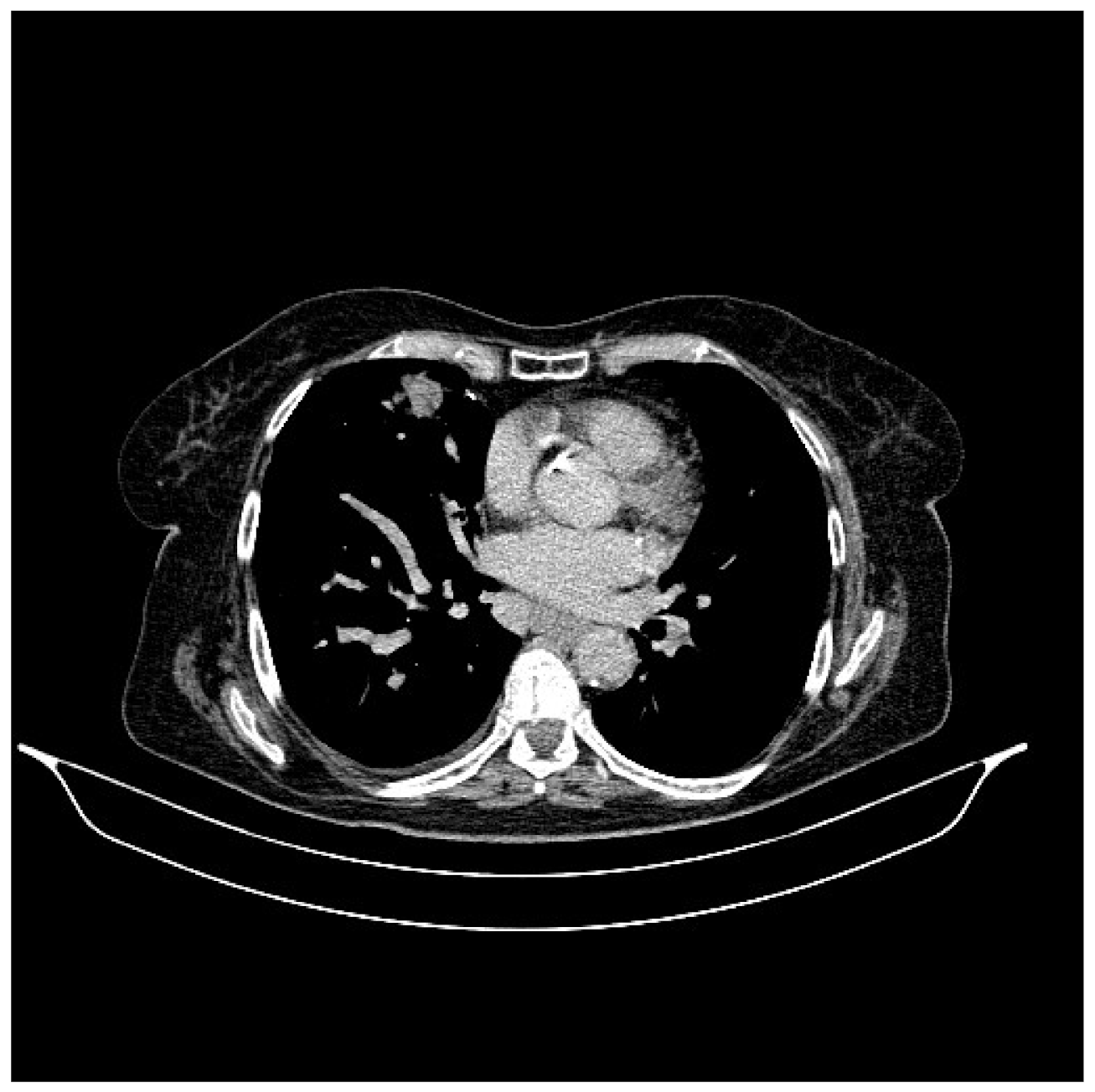
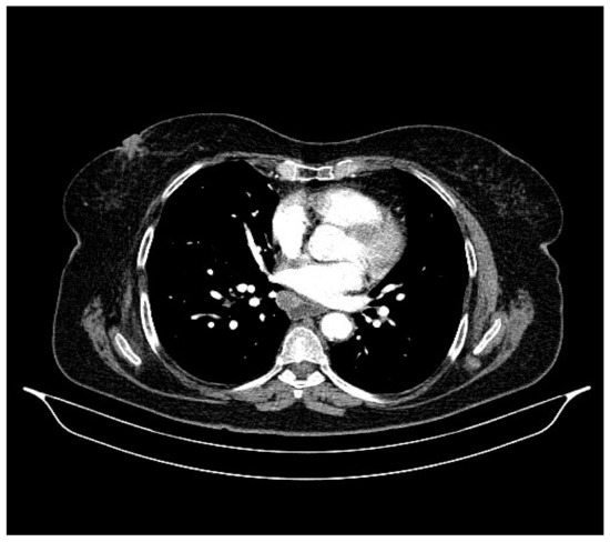
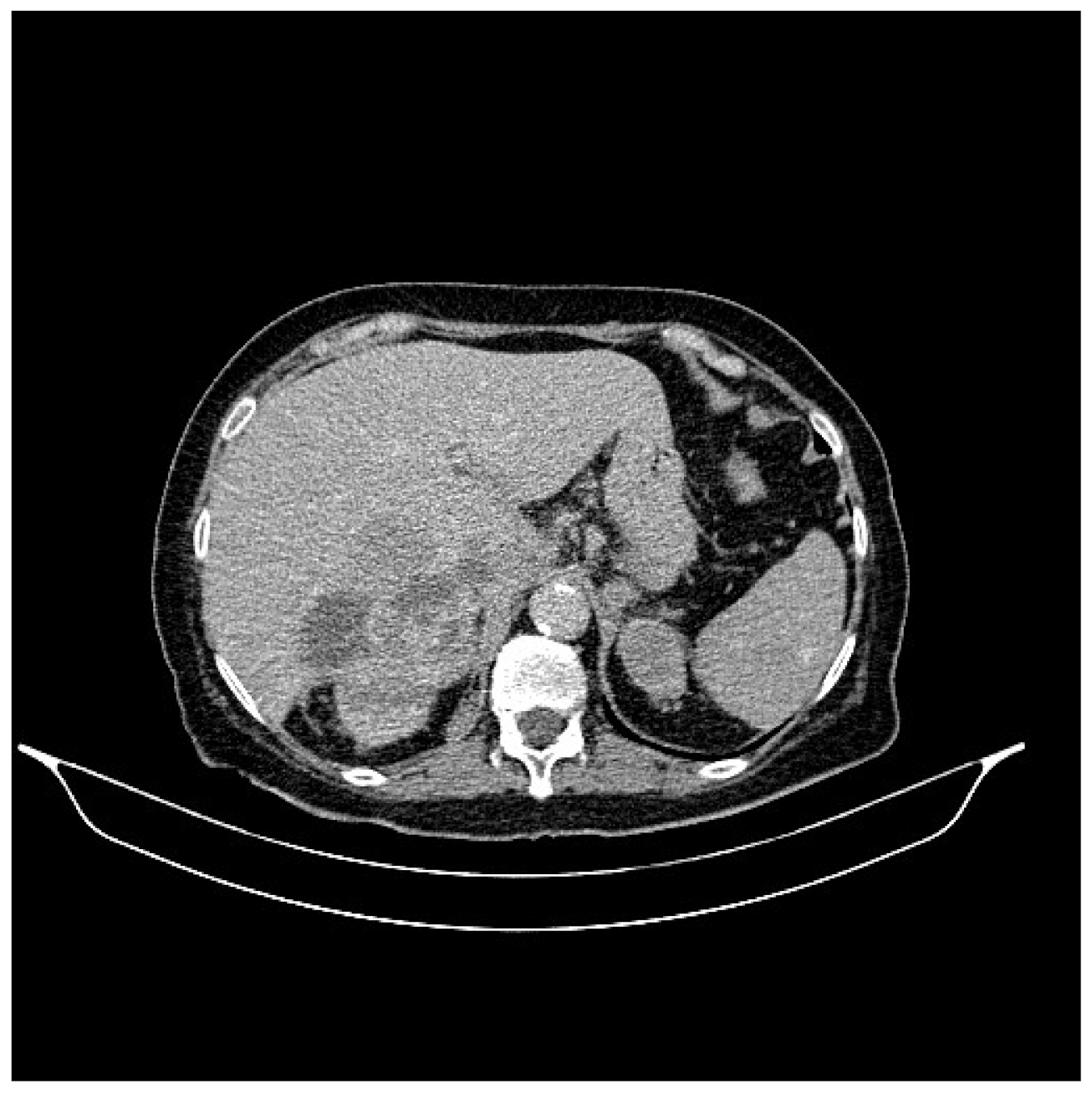
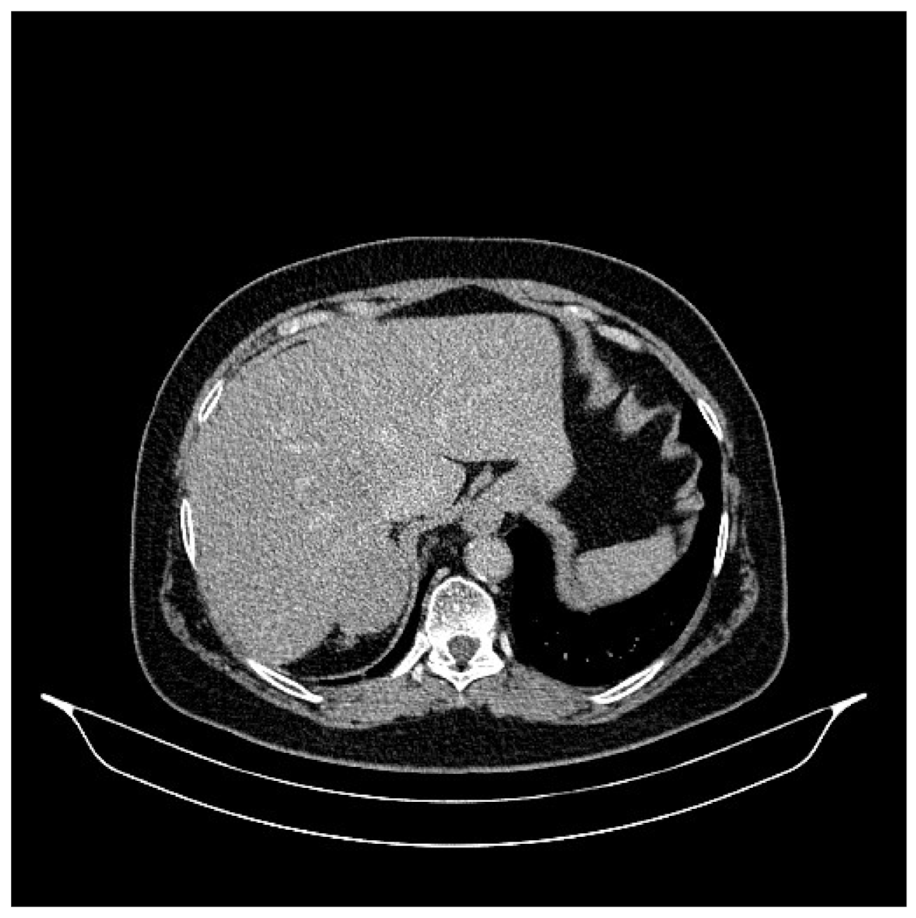
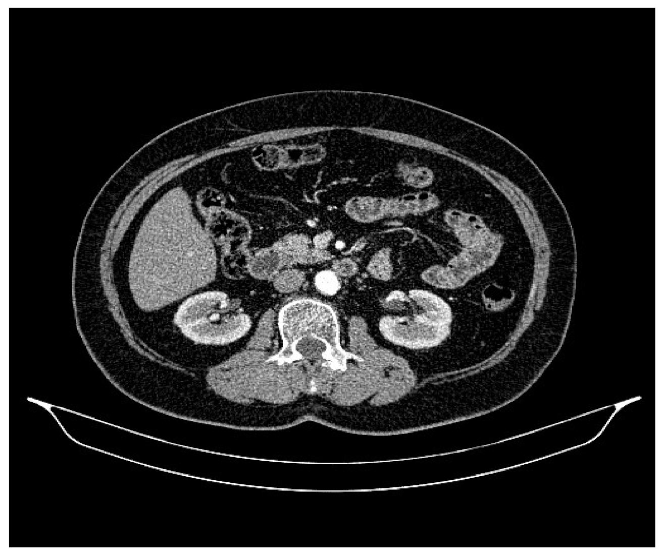
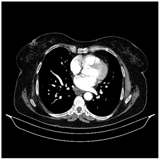
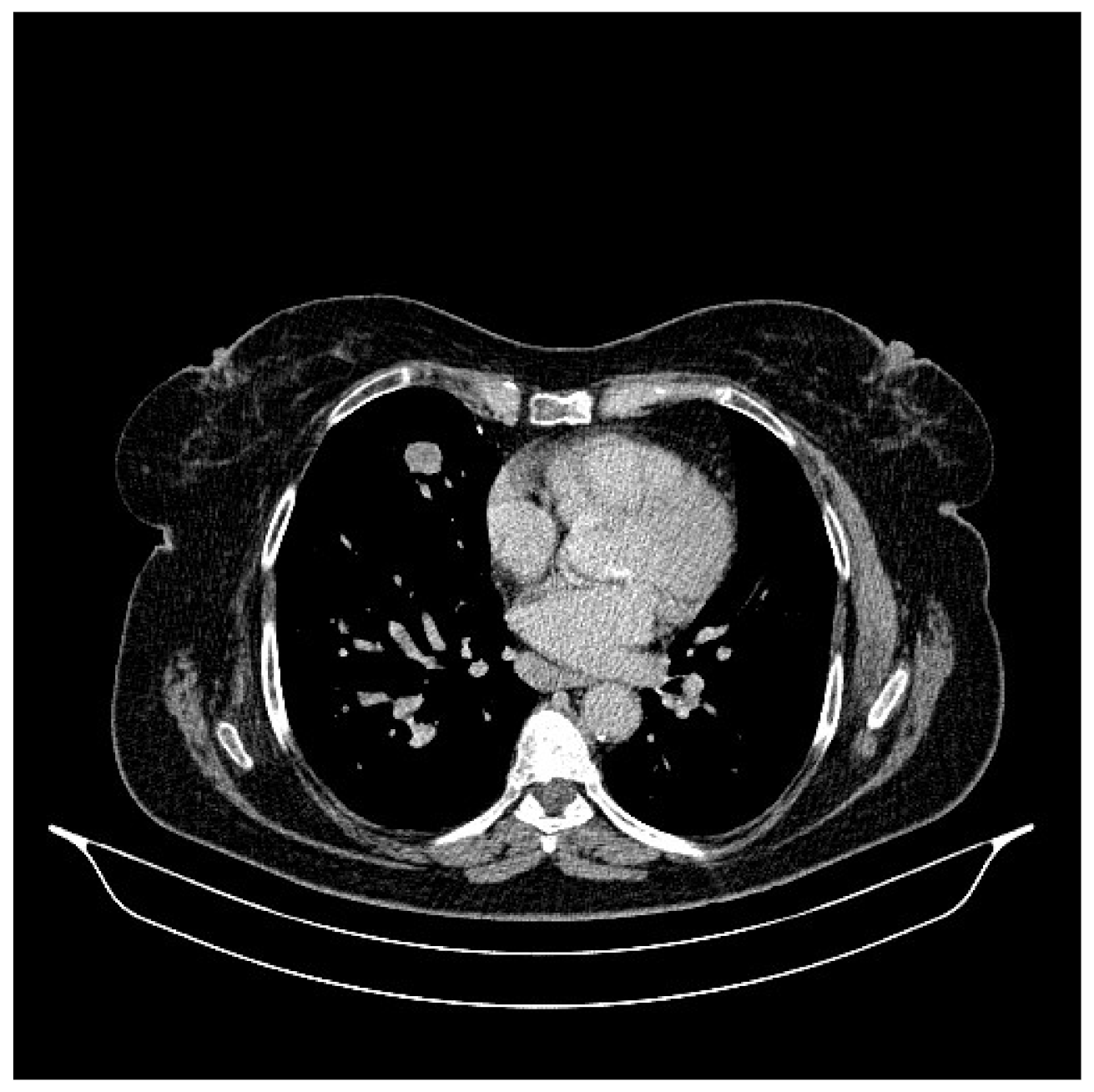
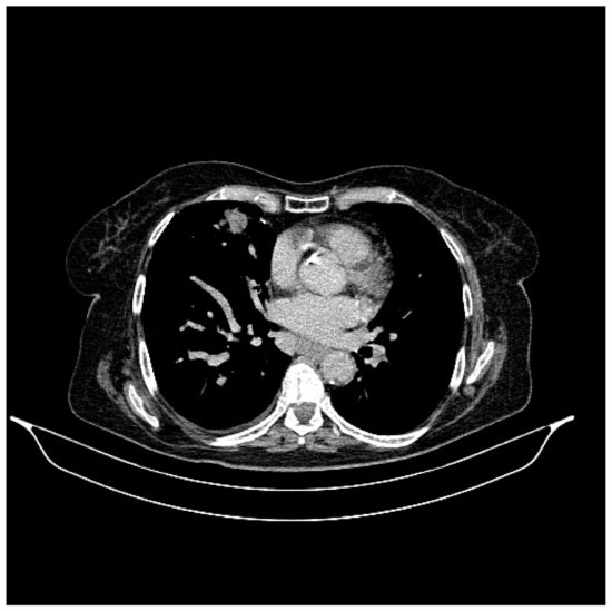
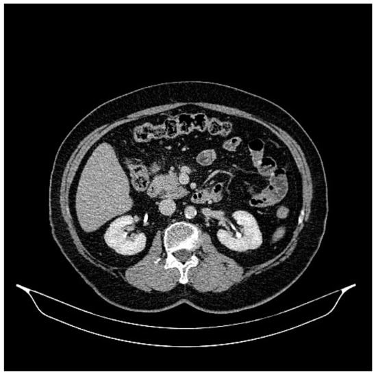
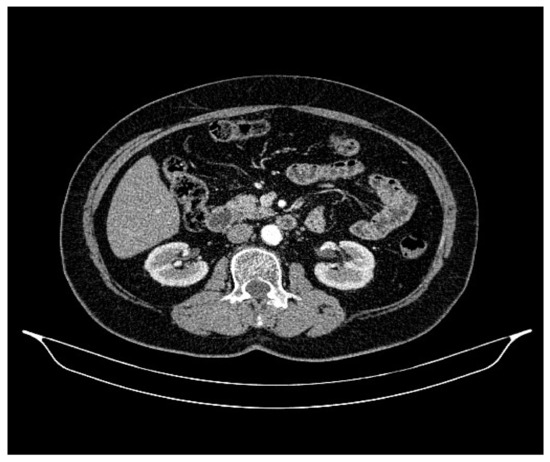
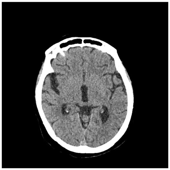
2. Case Presentation
3. Discussion
- SIADH in NSCLC (an extremely rare situation, 0.7%);
- Initiation of immunotherapy at the occurrence of severe hyponatremia, with its remission, and also the remission of two other episodes of hyponatremia (no other cases with obvious causal relationship between SIADG and a favorable response to immunotherapy have been reported);
- Long-term survival in the context of lung cancer diagnosed in 2016, metastasized in June 2019, the patient underwent immunotherapy with Nivolumab for three years and a half.
4. Conclusions
Author Contributions
Funding
Institutional Review Board Statement
Informed Consent Statement
Data Availability Statement
Conflicts of Interest
References
- Global Burden of Disease Cancer Collaboration. Global, Regional, and National Cancer Incidence, Mortality, Years of Life Lost, Years Lived with Disability, and Disability-Adjusted Life-Years for 29 Cancer Groups, 1990 to 2017: A Systematic Analysis for the Global Burden of Disease Study. JAMA Oncol. 2019, 5, 1749–1768. [Google Scholar] [CrossRef]
- Travis, W.D.; Brambilla, E.; Nicholson, A.G.; Yatabe, Y.; Austin, J.H.; Beasley, M.B.; Chirieac, L.R.; Dacic, S.; Duhig, E.; Flieder, D.B.; et al. The 2015 World Health Organization classification of lung tumors: Impact of genetic, clinical and radiologic advances since the 2004 classification. J. Thorac. Oncol. 2015, 10, 1243–1260. [Google Scholar] [CrossRef]
- Bray, F.; Ferlay, J.; Soerjomataram, I.; Siegel, R.L.; Torre, L.A.; Jemal, A. Global cancer statistics 2018: GLOBOCAN estimates of incidence and mortality worldwide for 36 cancers in 185 countries. CA Cancer J. Clin. 2018, 68, 394–424. [Google Scholar] [CrossRef]
- Krewski, D.; Lubin, J.H.; Zielinski, J.M.; Alavanja, M.; Catalan, V.S.; William Field, R.; Klotz, J.B.; Létourneau, E.G.; Lynch, C.F.; Lyon, J.L.; et al. A combined analysis of north American case-control studies of residential radon and lung cancer. J. Toxicol. Environ. Health Part A 2006, 69, 533–597. [Google Scholar] [CrossRef]
- Thandra, K.C.; Barsouk, A.; Saginala, K.; Aluru, J.S.; Barsouk, A. Epidemiology of lung cancer. Contemp. Oncol. 2021, 25, 45–52. [Google Scholar] [CrossRef]
- Available online: https://www.cancer.org/cancer/lung-cancer/detection-diagnosis-staging/survival-rates.html (accessed on 2 February 2023).
- Sibeoni, J.; Picard, C.; Orri, M.; Labey, M.; Bousquet, G.; Verneuil, L.; Revah-Levy, A. Patients’ quality of life during active cancer treatment: A qualitative study. BMC Cancer 2018, 18, 951. [Google Scholar] [CrossRef] [PubMed]
- Ciuhu, A.-N..; Rahnea-Nita, G.; Popescu, M.T.; Rahnea-Nita, R.A. Abstract P5-15-22: Evaluation of quality of life in patients with advanced and metastatic breast cancer proposed for palliative chemotherapy and best supportive care versus best supportive care. Cancer Res. 2015, 75, P5-15-22. [Google Scholar] [CrossRef]
- Cuesta, M.; Thompson, C.J. The Sydrome of inappropiate antidiuresis (SAID). Best Pract. Res. Clin. Endocrinol. Metab. 2016, 30, 175–187. [Google Scholar] [CrossRef]
- Grohe, C.; Berardi, R.; Burst, V. Hyponatremia-SIAH in lung cancer diagnostic and treatment algorithms. Crit. Rev. Oncol. Hematol. 2015, 96, 1–8. [Google Scholar] [CrossRef] [PubMed]
- Kanaji, N.; Watanabe, N.; Kita, N.; Bandoh, S.; Tadokoro, A.; Ishii, T.; Dobashi, H.; Matsunaga, T. Paraneoplastic syndromes associated with lung cancer. World J. Clin. Oncol. 2014, 5, 197–223. [Google Scholar] [CrossRef]
- Mentrasti, G.; Scortichini, L.; Torniai, M.; Giampieri, R.; Morgese, F.; Rinaldi, S.; Berardi, R. Syndrome of Inappropriate Antidiuretic Hormone Secretion (SIADH): Optimal Management. Ther. Clin. Risk Manag. 2020, 16, 663–672. [Google Scholar] [CrossRef] [PubMed]
- Jhaveri, K.D.; Wanchoo, R.; Sakhiya, V.; Ross, D.W.; Fishbane, S. Adverse renal effects of novel molecular oncologic targeted therapies: A narrative review. Kidney Int. Rep. 2016, 2, 108–123. [Google Scholar] [CrossRef]
- Cuesta, M.; Garahay, A.; Thompson, C.J. SIAD: Practical recommendations for diagnosis and management. J. Endocrinol. Investig. 2016, 39, 991–1001. [Google Scholar] [CrossRef] [PubMed]
- Wolchok, J. Putting the immunologic brakes on cancer. Cell 2018, 175, 1452–1454. [Google Scholar] [CrossRef] [PubMed]
- Hodi, F.S.; O’day, S.J.; McDermott, D.F.; Weber, R.W.; Sosman, J.A.; Haanen, J.B.; Gonzalez, R.; Robert, C.; Schadendorf, D.; Hassel, J.C.; et al. Improved survival with ipilimumab in patients with metastatic melanoma. N. Engl. J. Med. 2010, 363, 711–723. [Google Scholar] [CrossRef]
- Punekar, S.R.; Shum, E.; Grello, C.M.; Lau, S.C.; Velcheti, V. Immunotherapy in non-small cell lung cancer: Past, present, and future directions. Front. Oncol. 2022, 12, 877594. [Google Scholar] [CrossRef]
- Garon, E.B.; Rizvi, N.A.; Hui, R.; Leighl, N.; Balmanoukian, A.S.; Eder, J.P.; Patnaik, A.; Aggarwal, C.; Gubens, M.; Horn, L.; et al. Pembrolizumab for the treatment of non-small-cell lung cancer. N. Engl. J. Med. 2015, 372, 2018–2028. [Google Scholar] [CrossRef] [PubMed]
- Mehra, R.; Seiwert, T.Y.; Gupta, S.; Weiss, J.; Gluck, I.; Eder, J.P.; Burtness, B.; Tahara, M.; Keam, B.; Kang, H.; et al. Efficacy and safety of pembrolizumab in recurrent/metastatic head and neck squamous cell carcinoma: Pooled analyses after long-term follow-up in KEYNOTE-012. Br. J. Cancer 2018, 119, 153–159. [Google Scholar] [CrossRef]
- Rahnea-Nita, G.; Ciuhu, A.-N.; Rahnea-Nita, R.-A.; Stoian, A.-R. Novel Therapeutics Aspects in Advanced and Metastatic Non-small Cell Lung Cancer—Experience of Oncology Department of Chronic Disease St. Luke’s Hospital Bucharest, INTERDIAB 2017: DIABETES MELLITUS IN INTERNAL MEDICINE. In Proceedings of the 6th International Conference on Interdisciplinary Management of Diabetes Mellitus and Its Complications (INTERDIAB), Bucharest, Romania, 5 March 2020; pp. 156–162, ISBN 978-88-85813-79-3. [Google Scholar]
- Kusuki, M.; Iguchi, H.; Nakamura, A.; Nishiura, H.; Kanazawa, A.; Yamane, H. The syndrome of inappropriate antidiuretic hormone secretion associated with chemotherapy for hypopharyngeal cancer. Acta Otolaryngol. Suppl. 2004, 554, 74–77. [Google Scholar] [CrossRef]
- Talmi, Y.P.; Wolf, G.T.; Hoffman, H.T.; Krause, C.J. Elevated arginine vasopressin levels in squamous cell cancer of the head and neck. Laryngoscope 1996, 106 Pt 1, 317–321. [Google Scholar] [CrossRef]
- Tho, L.M.; Ferry, D. R Is the paraneoplastic syndrome of inappropriate antidiuretic hormone secretion in lung cancer always attributable to the small cell variety? Postgrad. Med. J. 2005, 81, e17. [Google Scholar] [CrossRef]
- Ellison, D.H.; Berl, T. The syndrome of inappropriate diuresis. N. Engl. J. Med. 2007, 356, 2064–2072. [Google Scholar] [CrossRef] [PubMed]
- McDonald, P.; Lane, C.; Rojas, G.E.; Masood, A. Syndrome of inappropriate anti-diuretic hormone in non-small cell lung carcinoma: A case report. Ecancer 2012, 6, 279. [Google Scholar]
- Sørenson, J.B.; Andersen, M.K.; Hansen, H.H. Syndrome of inappropriate secretion of antidiuretic hormone (SIADH) in malignant disease. J. Intern. Med. 1995, 238, 97–110. [Google Scholar] [CrossRef] [PubMed]











Disclaimer/Publisher’s Note: The statements, opinions and data contained in all publications are solely those of the individual author(s) and contributor(s) and not of MDPI and/or the editor(s). MDPI and/or the editor(s) disclaim responsibility for any injury to people or property resulting from any ideas, methods, instructions or products referred to in the content. |
© 2023 by the authors. Licensee MDPI, Basel, Switzerland. This article is an open access article distributed under the terms and conditions of the Creative Commons Attribution (CC BY) license (https://creativecommons.org/licenses/by/4.0/).
Share and Cite
Rahnea-Nita, R.-A.; Stoian, A.-R.; Anghel, R.-M.; Rebegea, L.-F.; Ciuhu, A.-N.; Bacinschi, X.-E.; Zgura, A.-F.; Trifanescu, O.-G.; Toma, R.-V.; Constantin, G.B.; et al. The Efficacy of Immunotherapy in Long-Term Survival in Non-Small Cell Lung Cancer (NSCLC) Associated with the Syndrome of Inappropriate Antidiuretic Hormone Secretion (SIADH). Life 2023, 13, 1279. https://doi.org/10.3390/life13061279
Rahnea-Nita R-A, Stoian A-R, Anghel R-M, Rebegea L-F, Ciuhu A-N, Bacinschi X-E, Zgura A-F, Trifanescu O-G, Toma R-V, Constantin GB, et al. The Efficacy of Immunotherapy in Long-Term Survival in Non-Small Cell Lung Cancer (NSCLC) Associated with the Syndrome of Inappropriate Antidiuretic Hormone Secretion (SIADH). Life. 2023; 13(6):1279. https://doi.org/10.3390/life13061279
Chicago/Turabian StyleRahnea-Nita, Roxana-Andreea, Alexandru-Rares Stoian, Rodica-Maricela Anghel, Laura-Florentina Rebegea, Anda-Natalia Ciuhu, Xenia-Elena Bacinschi, Anca-Florina Zgura, Oana-Gabriela Trifanescu, Radu-Valeriu Toma, Georgiana Bianca Constantin, and et al. 2023. "The Efficacy of Immunotherapy in Long-Term Survival in Non-Small Cell Lung Cancer (NSCLC) Associated with the Syndrome of Inappropriate Antidiuretic Hormone Secretion (SIADH)" Life 13, no. 6: 1279. https://doi.org/10.3390/life13061279
APA StyleRahnea-Nita, R.-A., Stoian, A.-R., Anghel, R.-M., Rebegea, L.-F., Ciuhu, A.-N., Bacinschi, X.-E., Zgura, A.-F., Trifanescu, O.-G., Toma, R.-V., Constantin, G. B., & Rahnea-Nita, G. (2023). The Efficacy of Immunotherapy in Long-Term Survival in Non-Small Cell Lung Cancer (NSCLC) Associated with the Syndrome of Inappropriate Antidiuretic Hormone Secretion (SIADH). Life, 13(6), 1279. https://doi.org/10.3390/life13061279

