Ultrasound Fusion: Applications in Musculoskeletal Imaging
Abstract
1. Introduction
2. Basic Concepts of Ultrasound Fusion
3. Clinical Applications
3.1. General Concepts
3.2. Musculoskeletal Applications of Ultrasound Fusion
3.2.1. Joint Injections
3.2.2. Sports Injuries
3.2.3. Targeted Evaluation of Myopathies
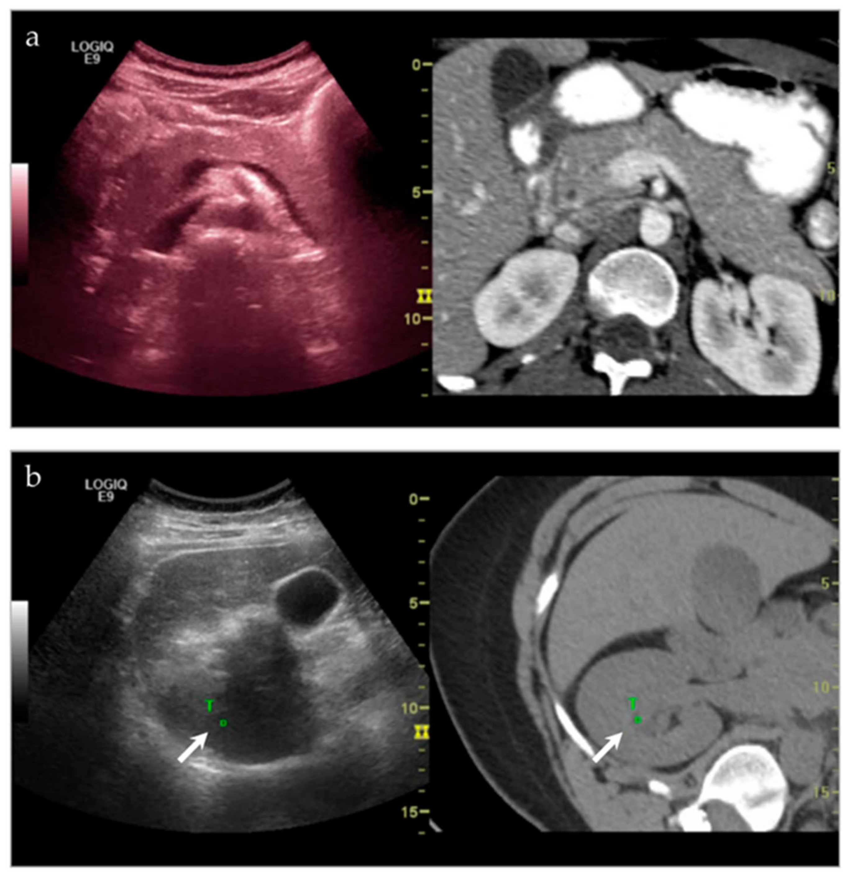
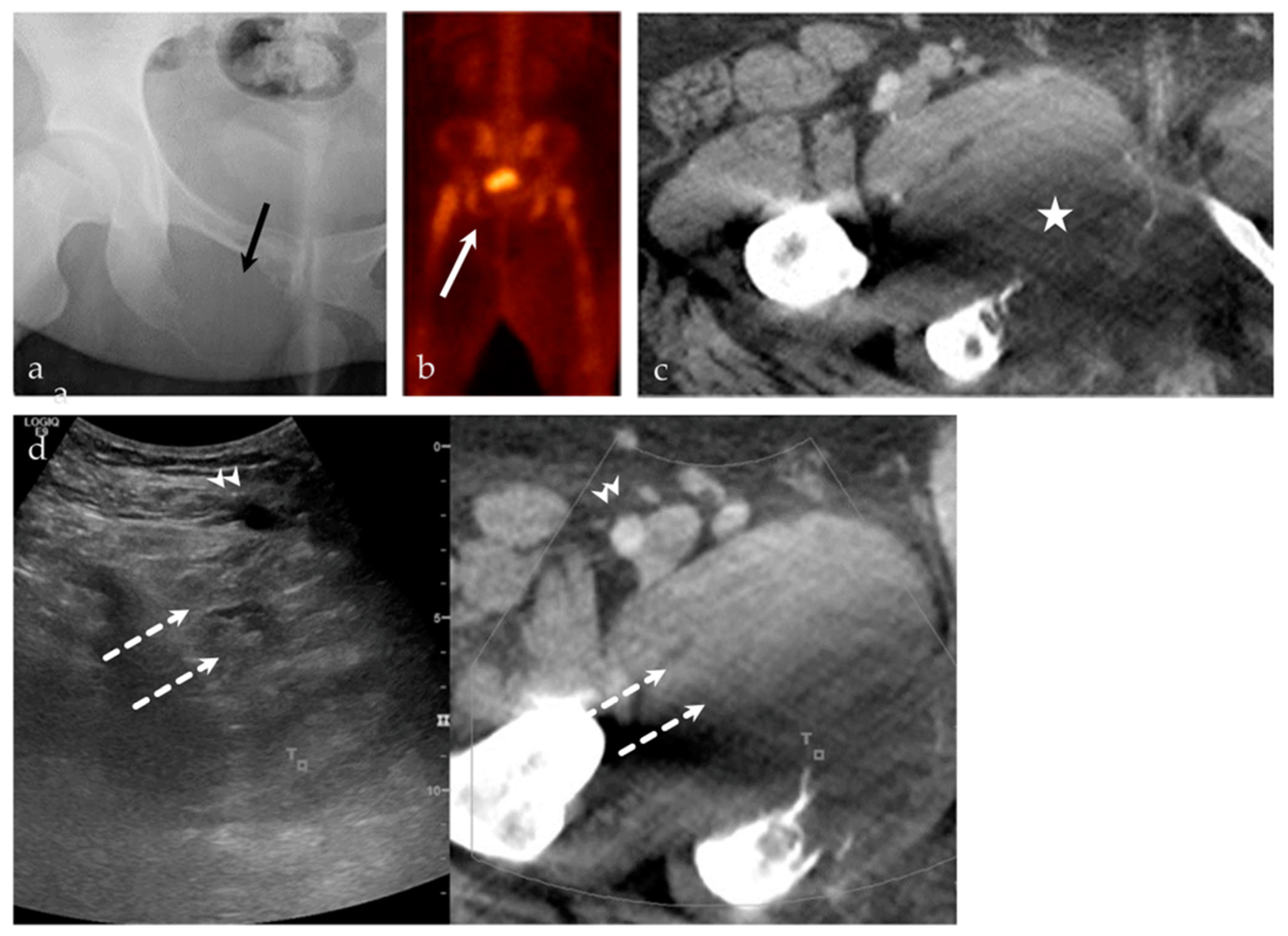
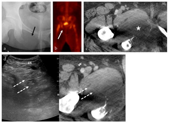
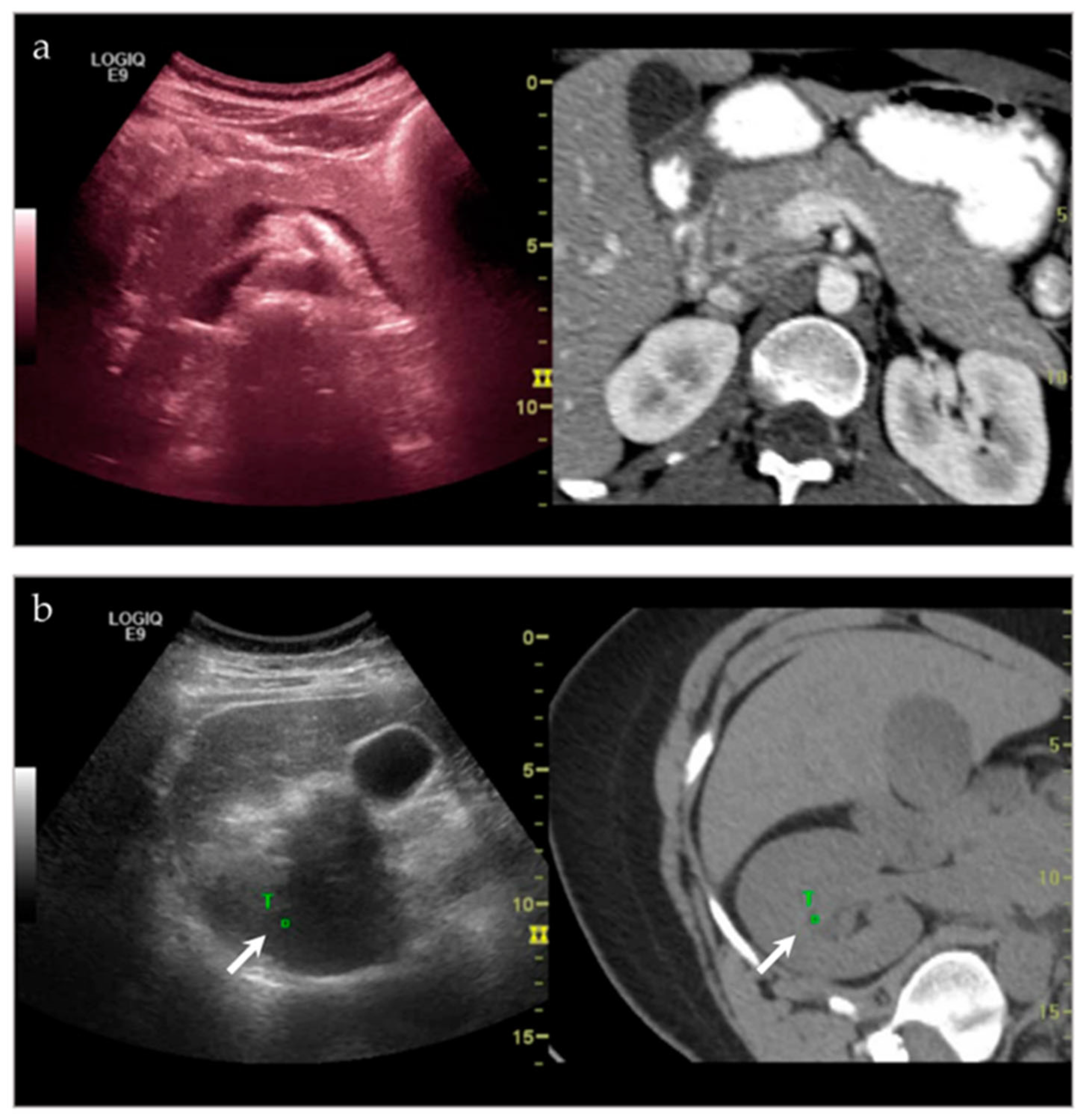
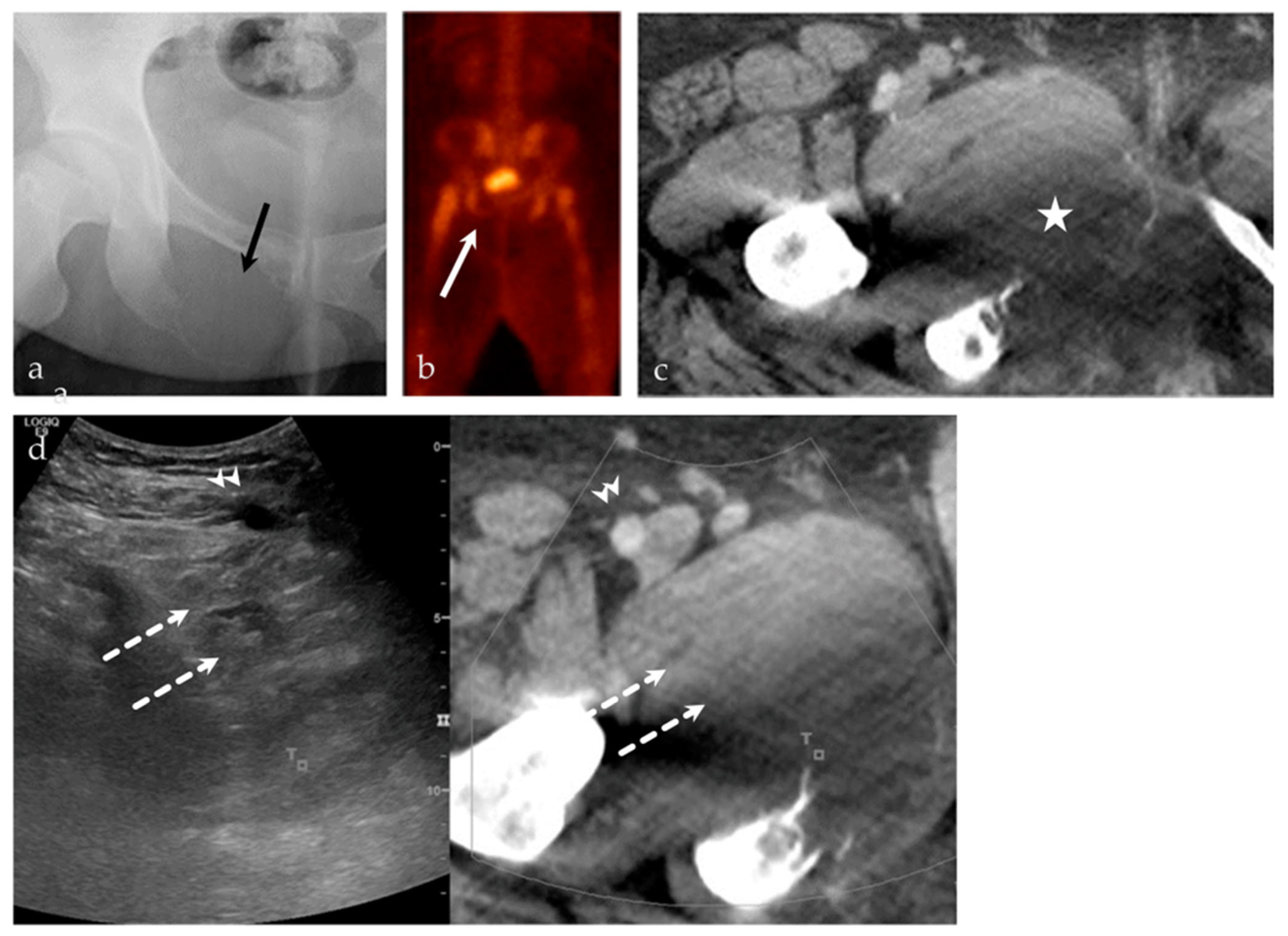
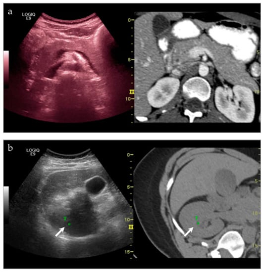
3.2.4. Targeted Percutaneous Lesion Biopsy and/or Aspiration
4. Conclusions
Author Contributions
Funding
Institutional Review Board Statement
Informed Consent Statement
Data Availability Statement
Conflicts of Interest
References
- Mullen, P.; Owen, C. MR, ultrasound fusion: Bridging the gap between clinical benefits, access and equipment utilization. In GE Healthcare: SignaPULSE—The Magazine of MR; Springer: Berlin/Heidelberg, Germany, 2009; pp. 64–68. [Google Scholar]
- Ewertsen, C.; Grossjohann, H.S.; Nielsen, K.R.; Torp-Pedersen, S.; Nielsen, M.B. Biopsy guided by real-time sonography fused with MRI: A phantom study. Am. J. Roentgenol. 2008, 190, 1671–1674. [Google Scholar] [CrossRef]
- Ewertsen, C. Image fusion between ultrasonography and CT, MRI or PET/CT for image guidance and intervention—A theoretical and clinical study. Dan. Med. Bull. 2010, 57, 1–16. [Google Scholar]
- Reynier, C.; Troccaz, J.; Fourneret, P.; Dusserre, A.; Gay-jeune, C.; Descotes, J.; Bolla, M.; Giraud, J.; Reynier, C.; Troccaz, J.; et al. MRI/TRUS data fusion for prostate brachytherapy. Med. Phys. 2004, 31, 1568–1575. [Google Scholar] [CrossRef]
- Kaplan, I.; Oldenburg, N.E.; Meskell, P.; Blake, M.; Church, P.; Holupka, E.J. Real time MRI-ultrasound image guided stereotactic prostate biopsy. Magn. Reson. Imaging 2002, 20, 295–299. [Google Scholar] [CrossRef]
- Siddiqui, M.M.; Rais-Bahrami, S.; Turkbey, B.; George, A.K.; Rothwax, J.; Shakir, N.; Okoro, C.; Raskolnikov, D.; Parnes, H.L.; Linehan, W.M.; et al. Comparison of MR/ultrasound fusion-guided biopsy with ultrasound-guided biopsy for the diagnosis of prostate cancer. JAMA—J. Am. Med. Assoc. 2015, 313, 390–397. [Google Scholar] [CrossRef] [PubMed]
- Lee, M.W. Fusion imaging of real-time ultrasonography with CT or MRI for hepatic intervention. Ultrasonography 2014, 33, 227–239. [Google Scholar] [CrossRef]
- Sandulescu, D.L.; Dumitrescu, D.; Rogoveanu, I.; Saftoiu, A. Hybrid ultrasound imaging techniques (fusion imaging). World J. Gastroenterol. 2011, 17, 49–52. [Google Scholar] [CrossRef]
- Hakime, A.; Deschamps, F.; De Carvalho, E.G.M.; Teriitehau, C.; Auperin, A.; De Baere, T. Clinical evaluation of spatial accuracy of a fusion imaging technique combining previously acquired computed tomography and real-time ultrasound for imaging of liver metastases. Cardiovasc. Intervent. Radiol. 2011, 34, 338–344. [Google Scholar] [CrossRef] [PubMed]
- Mauri, G.; Cova, L.; De Beni, S.; Ierace, T.; Tondolo, T.; Cerri, A.; Goldberg, S.N.; Solbiati, L. Real-Time US-CT/MRI Image Fusion for Guidance of Thermal Ablation of Liver Tumors Undetectable with US: Results in 295 Cases. Cardiovasc. Intervent. Radiol. 2015, 38, 143–151. [Google Scholar] [CrossRef] [PubMed]
- D’Onofrio, M.; Beleù, A.; De Robertis, R. Ultrasound-guided percutaneous procedures in pancreatic diseases: New techniques and applications. Eur. Radiol. Exp. 2019, 3, 2. [Google Scholar] [CrossRef]
- Ukimura, O.; Mitterberger, M.; Okihara, K.; Miki, T.; Pinggera, G.M.; Neururer, R.; Peschel, R.; Aigner, F.; Gradl, J.; Bartsch, G.; et al. Real-time virtual ultrasonographic radiofrequency ablation of renal cell carcinoma. BJU Int. 2008, 101, 707–711. [Google Scholar] [CrossRef]
- Freesmeyer, M.; Elsner, P.; Goetze, S.; Kaatz, M.; Winkens, T. Positron emission tomography/ultrasound fusion technique in patients with malignant melanoma. J. Med. Imaging Radiat. Oncol. 2015, 59, 320–325. [Google Scholar] [CrossRef] [PubMed]
- Jung, E.M.; Friedrich, C.; Hoffstetter, P.; Dendl, L.M.; Klebl, F.; Agha, A.; Wiggermann, P.; Stroszcynski, C.; Schreyer, A.G. Volume navigation with contrast enhanced ultrasound and image fusion for percutaneous interventions: First results. PLoS ONE 2012, 7, 1–7. [Google Scholar] [CrossRef] [PubMed]
- Ahmed, Y.; Novak, R.D.; Nakamoto, D.; Azar, N. Is ultrasound fusion a reasonable replacement for computed tomography in guiding abdominal interventions? J. Ultrasound Med. 2016, 35, 1131–1141. [Google Scholar] [CrossRef]
- Klauser, A.S.; De Zordo, T.; Feuchtner, G.M.; Djedovic, G.; Weiler, R.B.; Faschingbauer, R.; Schirmer, M.; Moriggl, B. Fusion of real-time US with CT images to guide sacroiliac joint injection in vitro and in vivo. Radiology 2010, 256, 547–553. [Google Scholar] [CrossRef]
- Wong-On, M.; Til-Pérez, L.; Balius, R. Evaluation of MRI-US Fusion Technology in Sports-Related Musculoskeletal Injuries. Adv. Ther. 2015, 32, 580–594. [Google Scholar] [CrossRef]
- Lee, K.H.; Lau, V.; Gao, Y.; Li, Y.L.; Fang, B.X.H.; Lee, R.; Lam, W.W.M. Ultrasound-MRI fusion for targeted biopsy of myopathies. Am. J. Roentgenol. 2019, 212, 1126–1128. [Google Scholar] [CrossRef] [PubMed]
- Lu, D.; Tchelepi, H. Ultrasound fusion role in interventional musculoskeletal radiology. Ultrasound Q. 2015, 31, 219–220. [Google Scholar] [CrossRef] [PubMed]
- Ewertsen, C.; Saftoiu, A.; Gruionu, L.G.; Karstrup, S.; Nielsen, M.B. Real-time image fusion involving diagnostic ultrasound. Am. J. Roentgenol. 2013, 200, 249–255. [Google Scholar] [CrossRef] [PubMed]
- Khalil, J.G.; Mott, M.P.; Parsons, T.W.; Banka, T.R.; Van Holsbeeck, M. 2011 mid-America orthopaedic association Dallas B. Phemister physician in training award: Can musculoskeletal tumors be diagnosed with ultrasound fusion-guided biopsy? Tumor. Clin. Orthop. Relat. Res. 2012, 470, 2280–2287. [Google Scholar] [CrossRef]
- Burke, C.J.; Bencardino, J.; Adler, R. The potential use of ultrasound magnetic resonance imaging fusion applicationsin musculoskeletal intervention. J. Ultrasound Med. 2017, 36, 217–224. [Google Scholar] [CrossRef] [PubMed]
- Esser, M.; Schneeweiss, S.; Nikolaou, K.; Horger, M. Complexity of ultrasound and CT fusion examinations: Are they feasible in the daily routine? Am. J. Roentgenol. 2016, 207, 712–717. [Google Scholar] [CrossRef] [PubMed]










| Age (Years)/ Gender | Lesion Location | Method of Biopsy | Diagnosis | Category of Disease |
|---|---|---|---|---|
| NA **/F | Right psoas muscle | US-CT fusion | Abscess | Infection |
| NA/F | Right parasternal region | US-CT | Metastatic disease, lung adenocarcinoma | Neoplastic, malignant |
| NA/NA | Left paraspinal region | US-CT | Metastatic disease, unknown carcinoma | Neoplastic, malignant |
| 17/M | Acromioclavicular joint | US-MRI | Metastatic disease, nasopharyngeal carcinoma | Neoplastic, malignant |
| 63/F | Left posterior iliac bone | US-PET | Metastatic disease, breast carcinoma | Neoplastic, malignant |
| 51/F | Left inferior pubic ramus | US-CT | Metastatic disease, breast carcinoma | Neoplastic, malignant |
| 45/M | Right acromion | US-MRI | Epithelioid hemangioma | Neoplastic, benign |
| 54/F | Left midfoot | US-MRI | Metastatic disease, melanoma | Neoplastic, malignant |
| 24/M | Right inferior pubic ramus | US-CT | Ewing sarcoma | Neoplastic, malignant |
| 93/M | Right femur | US-MRI | Metastatic disease, papillary thyroid carcinoma | Neoplastic, malignant |
| 51/M | Left parasymphyseal pubis | US-CT | Fibrous dysplasia | Metabolic |
| 54/F | Right acetabulum | US-CT | Metastatic disease, endometrial carcinoma | Neoplastic, malignant |
| 18/F | Left posterior knee | US-MRI | Parosteal osteosarcoma, with a chondroblastic component | Neoplastic, malignant |
| 60/F | Right anterior leg | US-MRI | Metastatic disease, endometrial carcinoma | Neoplastic, malignant |
| 53/M | Right thigh | US-CT | Necrotic muscle | ???? *** |
Disclaimer/Publisher’s Note: The statements, opinions and data contained in all publications are solely those of the individual author(s) and contributor(s) and not of MDPI and/or the editor(s). MDPI and/or the editor(s) disclaim responsibility for any injury to people or property resulting from any ideas, methods, instructions or products referred to in the content. |
© 2023 by the authors. Licensee MDPI, Basel, Switzerland. This article is an open access article distributed under the terms and conditions of the Creative Commons Attribution (CC BY) license (https://creativecommons.org/licenses/by/4.0/).
Share and Cite
Gross, J.S.; Yaeger, A.; Tchelepi, H.; Matcuk, G.R., Jr. Ultrasound Fusion: Applications in Musculoskeletal Imaging. Life 2023, 13, 1278. https://doi.org/10.3390/life13061278
Gross JS, Yaeger A, Tchelepi H, Matcuk GR Jr. Ultrasound Fusion: Applications in Musculoskeletal Imaging. Life. 2023; 13(6):1278. https://doi.org/10.3390/life13061278
Chicago/Turabian StyleGross, Jordan Scott, Andrew Yaeger, Hisham Tchelepi, and George R. Matcuk, Jr. 2023. "Ultrasound Fusion: Applications in Musculoskeletal Imaging" Life 13, no. 6: 1278. https://doi.org/10.3390/life13061278
APA StyleGross, J. S., Yaeger, A., Tchelepi, H., & Matcuk, G. R., Jr. (2023). Ultrasound Fusion: Applications in Musculoskeletal Imaging. Life, 13(6), 1278. https://doi.org/10.3390/life13061278

