Tensins in Kidney Function and Diseases
Abstract
1. Introduction
2. Tensin Expressions in the Kidney
3. Tensins in Chronic Kidney Diseases
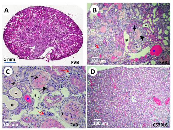
3.1. TNS1
3.2. TNS2
3.3. TNS3
3.4. CTEN/Tensin-4
4. Chronic-Kidney-Disease-Related Pathways or Biomarkers
5. Tensins in Renal Cell Carcinoma
6. Conclusions
Author Contributions
Funding
Institutional Review Board Statement
Informed Consent Statement
Data Availability Statement
Acknowledgments
Conflicts of Interest
References
- Winograd-Katz, S.E.; Fässler, R.; Geiger, B.; Legate, K.R. The integrin adhesome: From genes and proteins to human disease. Nat. Rev. Mol. Cell Biol. 2014, 15, 273–288. [Google Scholar] [CrossRef]
- Katz, M.; Amit, I.; Citri, A.; Shay, T.; Carvalho, S.; Lavi, S.; Milanezi, F.; Lyass, L.; Amariglio, N.; Jacob-Hirsch, J.; et al. A reciprocal tensin-3-cten switch mediates EGF-driven mammary cell migration. Nat. Cell Biol. 2007, 9, 961–969. [Google Scholar] [CrossRef] [PubMed]
- Lo, S.H.; Janmey, P.A.; Hartwig, J.H.; Chen, L.B. Interactions of tensin with actin and identification of its three distinct actin-binding domains. J. Cell Biol. 1994, 125, 1067–1075. [Google Scholar] [CrossRef] [PubMed]
- Blangy, A. Tensins are versatile regulators of Rho GTPase signalling and cell adhesion. Biol. Cell 2017, 109, 115–126. [Google Scholar] [CrossRef] [PubMed]
- Georgiadou, M.; Ivaska, J. Tensins: Bridging AMP-Activated Protein Kinase with Integrin Activation. Trends Cell Biol. 2017, 27, 703–711. [Google Scholar] [CrossRef]
- Lee, J.; Koh, A.; Jeong, H.; Kim, E.; Ha, T.S.; Saleem, M.A.; Ryu, S.H. C1-Ten is a PTPase of nephrin, regulating podocyte hypertrophy through mTORC1 activation. Sci. Rep. 2017, 7, 12346. [Google Scholar] [CrossRef]
- Kim, E.; Kim, D.H.; Singaram, I.; Jeong, H.; Koh, A.; Lee, J.; Cho, W.; Ryu, S.H. Cellular phosphatase activity of C1-Ten/Tensin2 is controlled by Phosphatidylinositol-3,4,5-triphosphate binding through the C1-Ten/Tensin2 SH2 domain. Cell Signal. 2018, 51, 130–138. [Google Scholar] [CrossRef]
- Wu, Z.Y.; Chiu, C.L.; Lo, E.; Lee, Y.J.; Yamada, S.; Lo, S.H. Hyperactivity of Mek in TNS1 knockouts leads to potential treatments for cystic kidney diseases. Cell Death Dis. 2019, 10, 871. [Google Scholar] [CrossRef]
- Liao, Y.C.; Lo, S.H. Tensins—Emerging insights into their domain functions, biological roles and disease relevance. J. Cell Sci. 2021, 134, jcs254029. [Google Scholar] [CrossRef]
- Chen, H.; Ishii, A.; Wong, W.K.; Chen, L.B.; Lo, S.H. Molecular characterization of human tensin. Biochem. J. 2000, 351 Pt 2, 403–411. [Google Scholar] [CrossRef]
- Chen, H.; Duncan, I.C.; Bozorgchami, H.; Lo, S.H. Tensin1 and a previously undocumented family member, tensin2, positively regulate cell migration. Proc. Natl. Acad. Sci. USA 2002, 99, 733–738. [Google Scholar] [CrossRef] [PubMed]
- Cui, Y.; Liao, Y.C.; Lo, S.H. Epidermal growth factor modulates tyrosine phosphorylation of a novel tensin family member, tensin3. Mol. Cancer Res. 2004, 2, 225–232. [Google Scholar] [CrossRef] [PubMed]
- Lo, S.H.; Lo, T.B. Cten, a COOH-terminal tensin-like protein with prostate restricted expression, is down-regulated in prostate cancer. Cancer Res. 2002, 62, 4217–4221. [Google Scholar] [PubMed]
- Hong, S.Y.; Shih, Y.P.; Lo, A.; Lo, S.H. Identification of subcellular targeting sequences of Cten reveals its role in cell proliferation. Biochim. Biophys. Acta Mol. Cell Res. 2019, 1866, 450–458. [Google Scholar] [CrossRef] [PubMed]
- Dina, C.; Bouatia-Naji, N.; Tucker, N.; Delling, F.N.; Toomer, K.; Durst, R.; Perrocheau, M.; Fernandez-Friera, L.; Solis, J.; Le Tourneau, T.; et al. Genetic association analyses highlight biological pathways underlying mitral valve prolapse. Nat. Genet. 2015, 47, 1206–1211. [Google Scholar] [CrossRef]
- Soler Artigas, M.; Wain, L.V.; Repapi, E.; Obeidat, M.; Sayers, I.; Burton, P.R.; Johnson, T.; Zhao, J.H.; Albrecht, E.; Dominiczak, A.F.; et al. Effect of five genetic variants associated with lung function on the risk of chronic obstructive lung disease, and their joint effects on lung function. Am. J. Respir. Crit. Care Med. 2011, 184, 786–795. [Google Scholar] [CrossRef]
- Yang, J.; Zhou, H.; Liang, B.; Xiao, J.; Su, Z.; Chen, H.; Ma, C.; Li, D.; Feng, Y.; Ou, X. Association of five genetic variants with chronic obstructive pulmonary disease susceptibility and spirometric phenotypes in a Chinese Han population. Respirology 2014, 19, 262–268. [Google Scholar] [CrossRef]
- Ferreira, M.A.; Matheson, M.C.; Tang, C.S.; Granell, R.; Ang, W.; Hui, J.; Kiefer, A.K.; Duffy, D.L.; Baltic, S.; Danoy, P.; et al. Genome-wide association analysis identifies 11 risk variants associated with the asthma with hay fever phenotype. J. Allergy Clin. Immunol. 2014, 133, 1564–1571. [Google Scholar] [CrossRef]
- Geramoutsou, C.; Nikou, S.; Karavias, D.; Arbi, M.; Tavlas, P.; Tzelepi, V.; Lygerou, Z.; Maroulis, I.; Bravou, V. Focal adhesion proteins in hepatocellular carcinoma: RSU1 a novel tumour suppressor with prognostic significance. Pathol. Res. Pract. 2022, 235, 153950. [Google Scholar] [CrossRef]
- Fleming, J.C.; Woo, J.; Moutasim, K.; Hanley, C.J.; Frampton, S.J.; Wood, O.; Ward, M.; Woelk, C.H.; Ottensmeier, C.H.; Hafizi, S.; et al. CTEN Induces Tumour Cell Invasion and Survival and Is Prognostic in Radiotherapy-Treated Head and Neck Cancer. Cancers 2020, 12, 2963. [Google Scholar] [CrossRef]
- Klein, A.P.; Wolpin, B.M.; Risch, H.A.; Stolzenberg-Solomon, R.Z.; Mocci, E.; Zhang, M.; Canzian, F.; Childs, E.J.; Hoskins, J.W.; Jermusyk, A.; et al. Genome-wide meta-analysis identifies five new susceptibility loci for pancreatic cancer. Nat. Commun. 2018, 9, 556. [Google Scholar] [CrossRef] [PubMed]
- Albasri, A.; Al-Ghamdi, S.; Fadhil, W.; Aleskandarany, M.; Liao, Y.C.; Jackson, D.; Lobo, D.N.; Lo, S.H.; Kumari, R.; Durrant, L.; et al. Cten signals through integrin-linked kinase (ILK) and may promote metastasis in colorectal cancer. Oncogene 2011, 30, 2997–3002. [Google Scholar] [CrossRef] [PubMed]
- He, W.; Ju, D.; Jie, Z.; Zhang, A.; Xing, X.; Yang, Q. Aberrant CpG-methylation affects genes expression predicting survival in lung adenocarcinoma. Cancer Med. 2018, 7, 5716–5726. [Google Scholar] [CrossRef]
- Misono, S.; Seki, N.; Mizuno, K.; Yamada, Y.; Uchida, A.; Sanada, H.; Moriya, S.; Kikkawa, N.; Kumamoto, T.; Suetsugu, T.; et al. Molecular Pathogenesis of Gene Regulation by the miR-150 Duplex: miR-150-3p Regulates TNS4 in Lung Adenocarcinoma. Cancers 2019, 11, 601. [Google Scholar] [CrossRef] [PubMed]
- Albasri, A.; Aleskandarany, M.; Benhasouna, A.; Powe, D.G.; Ellis, I.O.; Ilyas, M.; Green, A.R. CTEN (C-terminal tensin-like), a novel oncogene overexpressed in invasive breast carcinoma of poor prognosis. Breast Cancer Res. Treat. 2011, 126, 47–54. [Google Scholar] [CrossRef] [PubMed]
- Sakashita, K.; Mimori, K.; Tanaka, F.; Kamohara, Y.; Inoue, H.; Sawada, T.; Hirakawa, K.; Mori, M. Prognostic relevance of Tensin4 expression in human gastric cancer. Ann. Surg. Oncol. 2008, 15, 2606–2613. [Google Scholar] [CrossRef] [PubMed]
- Sawazaki, S.; Oshima, T.; Sakamaki, K.; Aoyama, T.; Sato, T.; Shiozawa, M.; Yoshikawa, T.; Rino, Y.; Imada, T.; Masuda, M. Clinical Significance of Tensin 4 Gene Expression in Patients with Gastric Cancer. In Vivo 2017, 31, 1065–1071. [Google Scholar] [CrossRef]
- Aratani, K.; Komatsu, S.; Ichikawa, D.; Ohashi, T.; Miyamae, M.; Okajima, W.; Imamura, T.; Kiuchi, J.; Nishibeppu, K.; Kosuga, T.; et al. Overexpression of CTEN relates to tumor malignant potential and poor outcomes of adenocarcinoma of the esophagogastric junction. Oncotarget 2017, 8, 84112–84122. [Google Scholar] [CrossRef]
- Chen, J.; Zhang, Y.; Deng, G.; Ma, J.; Wu, X.; Qu, Y.; Zeng, S. Correlation between the expression of C-terminal tensin-like protein and the prognosis of hepatocellular carcin.noma. Zhong Nan Da Xue Xue Bao Yi Xue Ban 2014, 39, 1233–1239. [Google Scholar] [CrossRef]
- Sjoestroem, C.; Khosravi, S.; Zhang, G.; Martinka, M.; Li, G. C-terminal tensin-like protein is a novel prognostic marker for primary melanoma patients. PLoS ONE 2013, 8, e80492. [Google Scholar] [CrossRef]
- Hong, S.Y.; Shih, Y.P.; Sun, P.; Hsieh, W.J.; Lin, W.C.; Lo, S.H. Down-regulation of tensin2 enhances tumorigenicity and is associated with a variety of cancers. Oncotarget 2016, 7, 38143–38153. [Google Scholar] [CrossRef] [PubMed]
- Chang, C.C.; Liu, Y.C.; Lin, C.H.; Liao, Y.C. Histone acetyltransferase p300 mediates the upregulation of CTEN induced by the activation of EGFR signaling in cancer cells. Biochem. Biophys. Res. Commun. 2021, 534, 53–58. [Google Scholar] [CrossRef]
- Lo, S.H. C-terminal tensin-like (CTEN): A promising biomarker and target for cancer. Int. J. Biochem. Cell Biol. 2014, 51, 150–154. [Google Scholar] [CrossRef] [PubMed]
- Burghel, G.J.; Lin, W.Y.; Whitehouse, H.; Brock, I.; Hammond, D.; Bury, J.; Stephenson, Y.; George, R.; Cox, A. Identification of candidate driver genes in common focal chromosomal aberrations of microsatellite stable colorectal cancer. PLoS ONE 2013, 8, e83859. [Google Scholar] [CrossRef] [PubMed]
- Zhou, H.M.; Fang, Y.Y.; Weinberger, P.M.; Ding, L.L.; Cowell, J.K.; Hudson, F.Z.; Ren, M.; Lee, J.R.; Chen, Q.K.; Su, H.; et al. Transgelin increases metastatic potential of colorectal cancer cells in vivo and alters expression of genes involved in cell motility. BMC Cancer 2016, 16, 55. [Google Scholar] [CrossRef]
- Zhou, H.; Zhang, Y.; Wu, L.; Xie, W.; Li, L.; Yuan, Y.; Chen, Y.; Lin, Y.; He, X. Elevated transgelin/TNS1 expression is a potential biomarker in human colorectal cancer. Oncotarget 2018, 9, 1107–1113. [Google Scholar] [CrossRef]
- Lo, S.H.; Yu, Q.C.; Degenstein, L.; Chen, L.B.; Fuchs, E. Progressive kidney degeneration in mice lacking tensin. J. Cell Biol. 1997, 136, 1349–1361. [Google Scholar] [CrossRef]
- Cho, A.R.; Uchio-Yamada, K.; Torigai, T.; Miyamoto, T.; Miyoshi, I.; Matsuda, J.; Kurosawa, T.; Kon, Y.; Asano, A.; Sasaki, N.; et al. Deficiency of the tensin2 gene in the ICGN mouse: An animal model for congenital nephrotic syndrome. Mamm. Genome 2006, 17, 407–416. [Google Scholar] [CrossRef]
- Nishino, T.; Sasaki, N.; Nagasaki, K.; Ahmad, Z.; Agui, T. Genetic background strongly influences the severity of glomerulosclerosis in mice. J. Vet. Med. Sci. 2010, 72, 1313–1318. [Google Scholar] [CrossRef]
- Dixon, E.E.; Maxim, D.S.; Halperin Kuhns, V.L.; Lane-Harris, A.C.; Outeda, P.; Ewald, A.J.; Watnick, T.J.; Welling, P.A.; Woodward, O.M. GDNF drives rapid tubule morphogenesis in a novel 3D in vitro model for ADPKD. J. Cell Sci. 2020, 133, jcs249557. [Google Scholar] [CrossRef]
- Ashraf, S.; Kudo, H.; Rao, J.; Kikuchi, A.; Widmeier, E.; Lawson, J.A.; Tan, W.Z.; Hermle, T.; Warejko, J.K.; Shril, S.; et al. Mutations in six nephrosis genes delineate a pathogenic pathway amenable to treatment. Nat. Commun. 2018, 9, 1960. [Google Scholar] [CrossRef]
- Nishino, T.; Sasaki, N.; Chihara, M.; Nagasaki, K.; Torigoe, D.; Kon, Y.; Agui, T. Distinct distribution of the tensin family in the mouse kidney and small intestine. Exp. Anim. 2012, 61, 525–532. [Google Scholar] [CrossRef] [PubMed]
- Takahara, H.; Shirato, I.; Asanuma, K.; Yamashita, M.; Takeda, Y.; Tomino, Y. Tensin is expressed in glomerular mesangial cells and is related to their attachment to surrounding extracellular matrix. J. Histochem. Cytochem. 2004, 52, 683–691. [Google Scholar] [CrossRef] [PubMed]
- Wilson, P.D.; Burrow, C.R. Cystic diseases of the kidney: Role of adhesion molecules in normal and abnormal tubulogenesis. Exp. Nephrol. 1999, 7, 114–124. [Google Scholar] [CrossRef] [PubMed]
- Wilson, P.D. Molecular mechanisms of polycystic kidney disease. Biochim. Biophys. Acta 2011, 1812, 1201. [Google Scholar] [CrossRef]
- Sigurbjornsdottir, S.; Mathew, R.; Leptin, M. Molecular mechanisms of de novo lumen formation. Nat. Rev. Mol. Cell Biol. 2014, 15, 665–676. [Google Scholar] [CrossRef]
- Bryant, D.M.; Mostov, K.E. From cells to organs: Building polarized tissue. Nat. Rev. Mol. Cell Biol. 2008, 9, 887–901. [Google Scholar] [CrossRef]
- Datta, A.; Bryant, D.M.; Mostov, K.E. Molecular regulation of lumen morphogenesis. Curr. Biol. 2011, 21, R126–R136. [Google Scholar] [CrossRef]
- Lee, Y.J.; Yamada, S.; Lo, S.H. Phase transition of tensin-1 during the focal adhesion disassembly and cell division. Proc. Natl. Acad. Sci. USA 2023, 120, e2303037120. [Google Scholar] [CrossRef]
- Repapi, E.; Sayers, I.; Wain, L.V.; Burton, P.R.; Johnson, T.; Obeidat, M.; Zhao, J.H.; Ramasamy, A.; Zhai, G.; Vitart, V.; et al. Genome-wide association study identifies five loci associated with lung function. Nat. Genet. 2010, 42, 36–44. [Google Scholar] [CrossRef]
- Ogura, A.; Asano, T.; Matsuda, J.; Takano, K.; Nakagawa, M.; Fukui, M. Characteristics of mutant mice (ICGN) with spontaneous renal lesions: A new model for human nephrotic syndrome. Lab. Anim. 1989, 23, 169–174. [Google Scholar] [CrossRef] [PubMed]
- Ogura, A.; Asano, T.; Suzuki, O.; Yamamoto, Y.; Noguchi, Y.; Kawaguchi, H.; Yamaguchi, Y. Hereditary nephrotic syndrome with progression to renal failure in a mouse model (ICGN strain): Clinical study. Nephron 1994, 68, 239–244. [Google Scholar] [CrossRef] [PubMed]
- Uchio, K.; Manabe, N.; Kinoshita, A.; Tamura, K.; Miyamoto, M.; Ogura, A.; Yamamoto, Y.; Miyamoto, H. Abnormalities of extracellular matrices and transforming growth factor beta1 localization in the kidney of the hereditary nephrotic mice (ICGN strain). J. Vet. Med. Sci. 1999, 61, 769–776. [Google Scholar] [CrossRef] [PubMed]
- Uchio, K.; Manabe, N.; Tamura, K.; Miyamoto, M.; Yamaguchi, M.; Ogura, A.; Yamamoto, Y.; Miyamoto, H. Decreased matrix metalloproteinase activity in the kidneys of hereditary nephrotic mice (ICGN strain). Nephron 2000, 86, 145–151. [Google Scholar] [CrossRef]
- Uchio-Yamada, K.; Manabe, N.; Yamaguchi, M.; Akashi, N.; Goto, Y.; Yamamoto, Y.; Ogura, A.; Miyamoto, H. Localization of extracellular matrix receptors in ICGN mice, a strain of mice with hereditary nephrotic syndrome. J. Vet. Med. Sci. 2001, 63, 1171–1178. [Google Scholar] [CrossRef]
- Nishino, T.; Sasaki, N.; Nagasaki, K.; Ichii, O.; Kon, Y.; Agui, T. The 129 genetic background affects susceptibility to glomerulosclerosis in tensin2-deficient mice. Biomed. Res. 2012, 33, 53–56. [Google Scholar] [CrossRef]
- Sasaki, H.; Marusugi, K.; Kimura, J.; Kitamura, H.; Nagasaki, K.; Torigoe, D.; Agui, T.; Sasaki, N. Genetic background-dependent diversity in renal failure caused by the tensin2 gene deficiency in the mouse. Biomed. Res. 2015, 36, 323–330. [Google Scholar] [CrossRef]
- Marusugi, K.; Nakano, K.; Sasaki, H.; Kimura, J.; Yanobu-Takanashi, R.; Okamura, T.; Sasaki, N. Functional validation of tensin2 SH2-PTB domain by CRISPR/Cas9-mediated genome editing. J. Vet. Med. Sci. 2016, 78, 1413–1420. [Google Scholar] [CrossRef]
- Uchio-Yamada, K.; Monobe, Y.; Akagi, K.I.; Yamamoto, Y.; Ogura, A.; Manabe, N. Tensin2-deficient mice on FVB/N background develop severe glomerular disease. J. Vet. Med. Sci. 2016, 78, 811–818. [Google Scholar] [CrossRef]
- Uchio-Yamada, K.; Yasuda, K.; Oh-Hashi, K.; Manabe, N. Abnormal glomerular basement membrane maturation impairs mesangial cell differentiation during murine postnatal nephrogenesis. Am. J. Physiol. Ren. Physiol. 2023, 324, F124–F134. [Google Scholar] [CrossRef]
- Sasaki, H.; Kimura, J.; Nagasaki, K.; Marusugi, K.; Agui, T.; Sasaki, N. Mouse chromosome 2 harbors genetic determinants of resistance to podocyte injury and renal tubulointerstitial fibrosis. BMC Genet. 2016, 17, 69. [Google Scholar] [CrossRef] [PubMed]
- Takahashi, Y.; Sasaki, H.; Okawara, S.; Sasaki, N. Genetic loci for resistance to podocyte injury caused by the tensin2 gene deficiency in mice. BMC Genet. 2018, 19, 24. [Google Scholar] [CrossRef] [PubMed]
- Sasaki, H.; Sasaki, N. Tensin 2-deficient nephropathy: Mechanosensitive nephropathy, genetic susceptibility. Exp. Anim. 2022, 71, 252–263. [Google Scholar] [CrossRef] [PubMed]
- Sasaki, H.; Takahashi, Y.; Ogawa, T.; Hiura, K.; Nakano, K.; Sugiyama, M.; Okamura, T.; Sasaki, N. Deletion of the Tensin2 SH2-PTB domain, but not the loss of its PTPase activity, induces podocyte injury in FVB/N mouse strain. Exp. Anim. 2020, 69, 135–143. [Google Scholar] [CrossRef] [PubMed]
- Inoki, K.; Mori, H.; Wang, J.; Suzuki, T.; Hong, S.; Yoshida, S.; Blattner, S.M.; Ikenoue, T.; Ruegg, M.A.; Hall, M.N.; et al. mTORC1 activation in podocytes is a critical step in the development of diabetic nephropathy in mice. J. Clin. Investig. 2011, 121, 2181–2196. [Google Scholar] [CrossRef] [PubMed]
- Borsani, G.; Piovani, G.; Zoppi, N.; Bertini, V.; Bini, R.; Notarangelo, L.; Barlati, S. Cytogenetic and molecular characterization of a de-novo t(2p;7p) translocation involving TNS3 and EXOC6B genes in a boy with a complex syndromic phenotype. Eur. J. Med. Genet. 2008, 51, 292–302. [Google Scholar] [CrossRef]
- Evers, C.; Maas, B.; Koch, K.A.; Jauch, A.; Janssen, J.W.; Sutter, C.; Parker, M.J.; Hinderhofer, K.; Moog, U. Mosaic deletion of EXOC6B: Further evidence for an important role of the exocyst complex in the pathogenesis of intellectual disability. Am. J. Med. Genet. A 2014, 164, 3088–3094. [Google Scholar] [CrossRef]
- Kwon, S.H.; Nedvetsky, P.I.; Mostov, K.E. Transcriptional profiling identifies TNS4 function in epithelial tubulogenesis. Curr. Biol. 2011, 21, 161–166. [Google Scholar] [CrossRef]
- Chiu, C.L.; Hong, S.Y.; Tan, Y.; Lee, Y.R.; Shih, Y.P.; Tepper, C.G.; Lo, S.H. C-terminal tensin-like (CTEN) knockin alleviates cystic kidney defects in Tensin-1 knockout mice. Genes Dis. 2022, in press. [Google Scholar] [CrossRef]
- Cheah, J.S.; Jacobs, K.A.; Heinrich, V.; Lo, S.H.; Yamada, S. Force-induced recruitment of cten along keratin network in epithelial cells. Proc. Natl. Acad. Sci. USA 2019, 116, 19799–19801. [Google Scholar] [CrossRef]
- Webster, A.C.; Nagler, E.V.; Morton, R.L.; Masson, P. Chronic Kidney Disease. Lancet 2017, 389, 1238–1252. [Google Scholar] [CrossRef] [PubMed]
- Ruiz-Ortega, M.; Rayego-Mateos, S.; Lamas, S.; Ortiz, A.; Rodrigues-Diez, R.R. Targeting the progression of chronic kidney disease. Nat. Rev. Nephrol. 2020, 16, 269–288. [Google Scholar] [CrossRef] [PubMed]
- Yuan, Q.; Tang, B.; Zhang, C. Signaling pathways of chronic kidney diseases, implications for therapeutics. Signal Transduct. Target. Ther. 2022, 7, 182. [Google Scholar] [CrossRef] [PubMed]
- Wang, Z.; Ye, J.; Dong, F.; Cao, L.; Wang, M.; Sun, G. TNS1: Emerging Insights into Its Domain Function, Biological Roles, and Tumors. Biology 2022, 11, 1571. [Google Scholar] [CrossRef] [PubMed]
- Lousa, I.; Reis, F.; Beirão, I.; Alves, R.; Belo, L.; Santos-Silva, A. New Potential Biomarkers for Chronic Kidney Disease Management-A Review of the Literature. Int. J. Mol. Sci. 2020, 22, 43. [Google Scholar] [CrossRef]
- Goreczny, G.J.; Forsythe, I.J.; Turner, C.E. Hic-5 regulates fibrillar adhesion formation to control tumor extracellular matrix remodeling through interaction with tensin1. Oncogene 2018, 37, 1699–1713. [Google Scholar] [CrossRef]
- Singh, M.P.; Rai, S.; Singh, N.K.; Srivastava, S. Transcriptomic landscape of early age onset of colorectal cancer identifies novel genes and pathways in Indian CRC patients. Sci. Rep. 2021, 11, 11765. [Google Scholar] [CrossRef]
- Zhu, C.; Wang, S.; Zheng, M.; Chen, Z.; Wang, G.; Ma, J.; Zhang, B.; Huang, W.; Sun, X.; Wang, C. miR-31-5p modulates cell progression in lung adenocarcinoma through TNS1/p53 axis. Strahlenther. Onkol. 2022, 198, 304–314. [Google Scholar] [CrossRef]
- Martuszewska, D.; Ljungberg, B.; Johansson, M.; Landberg, G.; Oslakovic, C.; Dahlback, B.; Hafizi, S. Tensin3 is a negative regulator of cell migration and all four Tensin family members are downregulated in human kidney cancer. PLoS ONE 2009, 4, e4350. [Google Scholar] [CrossRef]
- Carter, J.A.; Gorecki, D.C.; Mein, C.A.; Ljungberg, B.; Hafizi, S. CpG dinucleotide-specific hypermethylation of the TNS3 gene promoter in human renal cell carcinoma. Epigenetics 2013, 8, 739–747. [Google Scholar] [CrossRef]
- Wood, S.L.; Knowles, M.A.; Thompson, D.; Selby, P.J.; Banks, R.E. Proteomic studies of urinary biomarkers for prostate, bladder and kidney cancers. Nat. Rev. Urol. 2013, 10, 206–218. [Google Scholar] [CrossRef] [PubMed]
- Nagasu, H.; Sogawa, Y.; Kidokoro, K.; Itano, S.; Yamamoto, T.; Satoh, M.; Sasaki, T.; Suzuki, T.; Yamamoto, M.; Wigley, W.C.; et al. Bardoxolone methyl analog attenuates proteinuria-induced tubular damage by modulating mitochondrial function. FASEB J. 2019, 33, 12253–12263. [Google Scholar] [CrossRef] [PubMed]




Disclaimer/Publisher’s Note: The statements, opinions and data contained in all publications are solely those of the individual author(s) and contributor(s) and not of MDPI and/or the editor(s). MDPI and/or the editor(s) disclaim responsibility for any injury to people or property resulting from any ideas, methods, instructions or products referred to in the content. |
© 2023 by the authors. Licensee MDPI, Basel, Switzerland. This article is an open access article distributed under the terms and conditions of the Creative Commons Attribution (CC BY) license (https://creativecommons.org/licenses/by/4.0/).
Share and Cite
Huang, C.-W.; Lo, S.H. Tensins in Kidney Function and Diseases. Life 2023, 13, 1244. https://doi.org/10.3390/life13061244
Huang C-W, Lo SH. Tensins in Kidney Function and Diseases. Life. 2023; 13(6):1244. https://doi.org/10.3390/life13061244
Chicago/Turabian StyleHuang, Chien-Wei, and Su Hao Lo. 2023. "Tensins in Kidney Function and Diseases" Life 13, no. 6: 1244. https://doi.org/10.3390/life13061244
APA StyleHuang, C.-W., & Lo, S. H. (2023). Tensins in Kidney Function and Diseases. Life, 13(6), 1244. https://doi.org/10.3390/life13061244
