Next Article in Journal
Classical Borrelia Serology Does Not Aid in the Diagnosis of Persistent Symptoms Attributed to Lyme Borreliosis: A Retrospective Cohort Study
Previous Article in Journal
Female “Paradox” in Atrial Fibrillation—Role of Left Truncation Due to Competing Risks
 
 
Font Type:
Arial Georgia Verdana
Font Size:
Aa Aa Aa
Line Spacing:
Column Width:
Background:
Article

Comparative Proteomic Analysis of the Venoms from the Most Dangerous Scorpions in Morocco: Androctonus mauritanicus and Buthus occitanus

1
Laboratory of Venoms and Toxins, Pasteur Institute of Morocco, Casablanca 20360, Morocco
2
Laboratory of Biochemistry, Environment and Food Technology, Faculty of Sciences and Techniques of Mohammedia, Mohammedia 20650, Morocco
3
Jeffrey Cheah School of Medicine and Health Sciences, Monash University Malaysia, Bandar Sunway 47500, Malaysia
4
Atheris Laboratories, Case Postale 314, CH-1233 Bernex, Geneva, Switzerland
*
Author to whom correspondence should be addressed.
Life 2023, 13(5), 1133; https://doi.org/10.3390/life13051133
Submission received: 6 March 2023 / Revised: 27 April 2023 / Accepted: 3 May 2023 / Published: 5 May 2023
(This article belongs to the Special Issue Proteotranscriptomics-Guided Research on Insects and Arachnids Toxins)

Abstract

Morocco is known to harbor two of the world’s most dangerous scorpion species: the black Androctonus mauritanicus (Am) and the yellow Buthus occitanus (Bo), responsible for 83% and 14% of severe envenomation cases, respectively. Scorpion venom is a mixture of biological molecules of variable structures and activities, most of which are proteins of low molecular weights referred to as toxins. In addition to toxins, scorpion venoms also contain biogenic amines, polyamines, and enzymes. With the aim of investigating the composition of the Am and Bo venoms, we conducted an analysis of the venoms by mass spectrometry (ESI-MS) after separation by reversed-phase HPLC chromatography. Results from a total of 19 fractions obtained for the Am venom versus 22 fractions for the Bo venom allowed the identification of approximately 410 and 252 molecular masses, respectively. In both venoms, the most abundant toxins were found to range between 2–5 kDa and 6–8 kDa. This proteomic analysis not only allowed the drawing of an extensive mass fingerprint of the Androctonus mauritanicus and Buthus occitanus venoms but also provided a better insight into the nature of their toxins.

1. Introduction

From their iconic appearance to their venomous stings, scorpions are a captivating group of arthropods. These living fossils have persisted and kept their morphological characteristics for more than 400 million years [1]. They are represented by over 2000 different species classified into six families: Bothriuridae, Scorpionidae, Buthidae, Vejovidae, Chlaerilidae, and Chactidae [2,3]. The Buthidae family is widespread around the world, with 86 genera and 990 species. Scorpions belonging to this family are the most widely distributed and include the most dangerous genera, the Androctonus and Buthus in North Africa, Parabuthus in South Africa, Leiurus in the Near and Middle East, Tityus in South America, Centruroides in North and Central America and Mesobuthus in Asia [4,5,6,7,8]. Like most venomous animals, scorpions use their venom for predation or defense when threatened. This viscous secretion has a complex and specific composition; it consists of a cocktail of substances such as biogenic amines (histamine and serotonin), polyamines, and many enzymes [9,10]. However, the majority of scorpion venom bioactive molecules are peptides and small proteins. These toxins are mostly active on the ionic channels Na+ [11,12], K+ [13,14,15], Ca2+ [16], and Cl [17], on which they act with high potency and selectivity. These neurotoxins are characterized by a low molecular weight and a huge diversity of structures and modes of action that disrupt the transmission of nerve impulses [18]. Scorpion envenomation is a life-threatening emergency and a critical public health issue [19,20], causing more than 1.5 million cases, of which 2600 are lethal, especially in children [21]. This number is worryingly still growing over the world each year, and many cases remain unreported. In Morocco, scorpion envenomation is the leading cause of intoxication, accounting for 30 to 50% of cases reported by the Moroccan Poison Control Center, with 25,000 to 40,000 stings annually [22]. Most of the stings are observed in the southwestern provinces of the kingdom, in Kalaat-sraghna, El-Jadida, Agadir, and Tan-Tan [23], where the most incriminated species are mainly Androctonus mauritanicus (Am) known as ‘the black scorpion’ followed by Buthus occitanus (Bo) ‘the yellow scorpion’ [24,25,26]. During a sting, the toxins of these venoms diffuse rapidly from the injection site to different vascular compartments and induce peripheral nervous system stimulation with a massive release of neurotransmitters and cell mediators, thus generating various pathophysiological disorders at all the organic systems [27]. An exhaustive screening of scorpion venom bioactive molecules will be a good source of novel pharmacological tools for studying the toxins and understanding their activities, improving envenomation therapeutics, and discovering new drug candidates [28]. Until recently, different analytical techniques were used for the characterization of scorpion venom; most of the current knowledge has been obtained by conventional biochemical and pharmacological approaches, which consist in targeting the toxins or the fractions of interest without making an exhaustive characterization of the total venom of the scorpion, thus minimizing, indirectly, the characterization of other toxins or other venom components [29,30].
A new era in the characterization of scorpion venoms was developed, the venomics strategies allowing a major knowledge on the biochemical constitution of venoms of high potential impact in medicine and beyond. Mass spectrometry and next-generation sequencing remain the most widely used and well-documented [31]. Different types of mass spectrometers give access to a large amount of knowledge, going from simple molecular masses of intact components to primary sequences of peptides [32,33]. The most widely used is ESI-MS because its advantage of being more accurate and sensitive in mass determination [34]. Even though several studies have been done for these two venoms [25,35,36,37,38,39], no comparative proteomic study has been conducted before. The present work offers an exhaustive view of the mass fingerprinting of the most dangerous scorpions in Morocco, Androctonus mauritanicus and Buthus occitanus, using the proteomic strategies focusing on mass spectrometry, intending to obtain more fundamental knowledge on the compositional, toxical, and structural characteristics of these venoms.

2. Methods

2.1. Ethical Statements

The animals were handled according to the ethical guidelines adopted by the World Health Organization (WHO) and approved by a local Ethics Committee of the Institut Pasteur of Morocco under agreement number 8.3.A-2015.

2.2. Venom Preparation

A total of 500 specimens (male and female, juvenile and adult) of Androctonus mauritanicus and Buthus occitanus were captured from the region of Essaouira, where scorpion envenomation cases are recorded in abundance. The scorpions were kept in captivity in the scorpionarium of the Pasteur Institute of Morocco, with water ad libitum, and fed with insects in individual boxes to avoid scorpion cannibalism. The crude venom was milked by electrical stimulation, pooled, centrifuged at 12,000× g for 20 min, frozen, freeze-dried, and kept at −20 °C until use [26]. The concentration of the protein content of the venoms was determined using the estimation at 280 nm method, assuming that 1 unit of absorbance in a quartz cuvette with 1 cm optical path equals 1 mg/mL protein concentration [40,41].

2.3. Venom Lethality (LD50)

Lethal potency of the venoms was evaluated by measuring the Median Lethal Dose 50 (LD50) following the recommendations of the World Health Organization (WHO) [42]. The LD50 represents the dose that kills 50% of a homogeneous population of Swiss mice (18–22 g). Increasing doses of Am and Bo venoms were adjusted in isotonic NaCl solution, then injected, and mortality rates were recorded after 24 h. Two injection routes were used: intravenous (IV) and intraperitoneal (IP) [43]. The analysis of the different results was done using the GraphPad Prism 5 software (Version 5, Dotmatics, Boston, MA, USA) in accordance with the supplied algorithm [44].

2.4. Venom Separation by SDS-PAGE

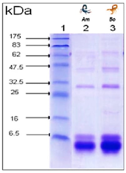
Following Laemmli SDS-PAGE method [45], electrophoretic analysis of Am and Bo venoms was performed on 15% polyacrylamide gel under reducing conditions in the presence of SDS. All samples were dissolved in a sample buffer (50 mM Tris–HCl, pH 6.8, 0.1 M DTT, 10% glycerol, 2% SDS, and 0.1% bromophenol blue). A constant electric current of 70 mA was applied for two hours. After migration, the gel was stained with Coomassie Brilliant Blue R250 [46,47]. Molecular weights were estimated using standard low-rank markers (Bio-Rad, Hercules, CA, USA).

2.5. Venom Fractionation by RP-HPLC

Crude venom samples were resuspended at 1 mg/mL 0.1% TFA in water (solution A) and submitted to a solid phase extraction on a Sep-Pak Plus C18 cartridge (360 mg, 55–105 μm, Waters, Milford, MA, USA), conditioned with methanol and equilibrated with solution A. After loading and washing with 10 mL solution A, the elution of peptides and proteins was performed using 3–5 mL of solution B (0.1% TFA in 70% acetonitrile and 30% water). The eluate was collected and freeze-dried on a SpeedVac concentrator (SC 250 DDA SpeedVac Plus, Thermo Savant, Waltham, MA, USA).
Am and Bo extracts (1 mg) were subsequently fractionated by RP-HPLC using a C-18 analytical column (4.6 × 250 mm, 4 µm particle size, 300 A pore size) as previously described [48]. Briefly, the column was equilibrated with solvent A, and fractions were eluted using a 0–100% gradient of solvent B (acetonitrile/0.08% TFA) over 120 min at a flow rate of 1.0 mL/min at 25 °C. The elutate medium was monitored by UV absorbance at wavelength of 280 nm, and fractions were collected using an automated Gilson fraction collector at detector output. Three different HPLC runs were performed.

2.6. Mass Spectrometry Analysis

An aliquot of each fraction obtained by RP-HPLC has been submitted to a mass spectrometry (online LC-ESI-MS) analysis. Peptide profiles were assessed using an Alliance 2795 HPLC separation module (Waters, Milford, MA, USA) fitted with a post-column split; 5% of the eluate was directed towards the electrospray ionization source of a Quattro Micro mass spectrometer (Micromass-Waters, Milford, MA, USA) and 95% towards a 2487 UV diode array detector (Waters), using a 1%/min gradient of acetonirine in 0.1% formic acid (FA) in water. The Masslynx 4 Micromass® software (Waters, Milford, MA, USA) was used for data analysis.

2.7. Tryptic Digestion

The fractions obtained by HPLC (0.5 mg) were mixed with 25 μL of 100 mM ammonium bicarbonate (pH 7.0), 25 μL of trifluoroethanol and 1 μL of 200 mM DTT, agitated and incubated at 90 °C for 20 min. After cooling samples at room temperature, proteins were alkylated with 4 μL of 200 mM iodoacetamide in the dark at room temperature for 1 h. Excess of iodoacetamide was blocked by addition of 1 μL DTT through incubation for 1 h at room temperature. Samples were diluted with water and ammonium bicarbonate to adjust pH (7–9). Proteolytic digestion was performed using a trypsin solution at a ratio of 1/20 (enzyme/substrate), followed by overnight incubation at 37 °C. Trypsin activity was removed using 1 μL FA. The samples were freeze-dried and stored at −20 °C until use.

2.8. LC/MS/MS Characterization

Online LC/MS/MS of venom samples dissolved in 0.1% TFA to a concentration of 1 mg/mL was performed using a C8 analytical column (75 µm × 43 mm, 5 µm particle size, 300 Å) with solvent A (0.1% TFA) and solvent C (90% acetonitrile in 0.1% TFA). Electrospray mass spectra were acquired on a PE-SCIEX API 300 LC/MS/<MS system with an Ionspray atmospheric pressure ionization source. Samples (1 µL) were infused into the LC/MS/MS system and analyzed in positive ionization mode. Full scan data were acquired at an orifice potential of 80 V over the ion range 600–3000 m/z with a step size of 0.2 u. Data processing was performed with the aid of the software package Biomultiview (PE-SCIEX, Concord, ON, Canada). MS/MS analysis and N-terminal sequence were straightforwardly assigned by BLAST analysis (http://www.ncbi.nlm.nih.gov/BLAST) to a previously reported protein or to a known protein family.

3. Results

3.1. Protein Quantification

The results obtained revealed that the yield of proteins after the SepPak extraction was 0.897 and 0.771 mg/mL for the Am and Bo venoms, respectively.

3.2. Lethality of A. mauritanicus and B. occitanus Venoms

The toxicity of the venoms was determined by measuring the LD50 with 95% confidence intervals. The results show that the Am venom is three times more toxic compared to that of the Bo (Table 1). The LD50 measured using the intravenous route (IV) was almost the same as that obtained by the intraperitoneal route (IP). This reveals that the molecules responsible for mortality in the case of scorpion envenomation are molecules with low molecular weights diffusing rapidly through the bloodstream and that their bioavailability is very high.

3.3. Electrophoretic Profile

The venom proteins were analyzed by SDS-PAGE separation and Coomassie staining. Electrophoresis analysis revealed that the venom consisted primarily of one major protein band with a molecular weight of approximately 6.5 kDa, consistent with low molecular weight toxins (Figure 1).

3.4. HPLC

The HPLC chromatograms revealed the complexity of the venoms, which were found to contain hundreds of bioactive molecules with diverse biological properties. Interestingly, each venom displayed a unique profile, underscoring the distinctiveness of each species. HPLC analysis facilitated the isolation of 19 fractions from the Am venom and 22 from the Bo venom (Figure 2), suggesting that the Bo venom is more complex than that of the Am.

3.5. Mass Fingerprinting of Am and Bo Venoms

Through the analysis of the different fractions obtained from HPLC separation, we were able to detect 410 and 252 different molecular masses in the Am and Bo venoms, respectively (Figure 3). These findings confirmed that the Am venom is richer in molecules than the Bo venom, potentially explaining why it is associated with more severe cases of envenomation.
Our initial proteomic approach allowed us to create a mass fingerprint of each venom by identifying molecular masses between 500 and 8000 Da for the Am venom and 500 and 7000 Da for the Bo venom, which were then categorized into different ranges. In both venoms, the greatest number of signals were identified in masses ranging from 2–5 kDa, followed by those over 5 kDa in the case of the Am venom and under 2 kDa for the Bo venom. Although other masses were also identified, they were present at a lower percentage, particularly those over 10 kDa (Figure 4).

3.6. Composition of Am and Bo Venoms

Based on the results of our comparative analysis, we found that the Am venom is composed of 79% neurotoxins (relative values based on MS signal intensities), with 47% of these toxins targeting Na+ channels, referred to as NaScTxs. Among NaScTxs, α-NaScTxs were found to be more abundant than β-NaScTxs, making up 88% of the total. We also identified Toxin AaHIT4 (P21150), which can target both site 3 and site 4 of the sodium channel. Additionally, we detected α and β-KScTxs, which account for 23% of the total composition. Toxins targeting Cl channels (ClScTxs) and Ca2+ channels (CaScTxs) were less prevalent, constituting only 6% and 3%, respectively. The enzymatic composition was estimated at 12%.
Concerning the Bo venom, neurotoxins were once again the major toxins, representing 70% of the composition, with 44% targeting Na+ channels. Both α-NaScTxs and β-NaScTxs were detected, with a predominance of the alpha group comprising 75% of NaScTxs. KscTxs, ClScTxs, and CaScTxs represented 15%, 6%, and 2% of the total composition, respectively, while enzymes were estimated to make up 15% (Figure 5).
The toxic fractions of the venoms of both Am and Bo contain a high proportion of NaScTxs, which constitute more than 60% of the total venom content (Figure 6). These long toxins, with molecular masses ranging from 4 to 8 kDa, exert their biological effects on both the peripheral and central nervous systems. Remarkably, NaScTxs are the main contributors to the mortality caused by these venoms, accounting for over 73% of the lethal effects. In contrast, the shorter toxins found in the 3–4 kDa mass range, such as KScTxs, ClScTxs, and CaScTxs, predominantly affect the function of these specific ion channels. These toxins display activity only on the central nervous system and contribute to the toxic effects of the venom but not to its lethality, as is the case for the NaScTxs.

3.7. Mass Spectrometry Identification

MS/MS data processing was performed using the ProteomeDiscover 2.2 software (Thermo Fisher Scientific, Waltham, MA, USA), and the identification of the different peptides/proteins was achieved by sequence homology, querying the Uniprot database (https://www.uniprot.org). The identified proteins were classified into different families according to their function by referring to the UniProt and InterPro databases (https://www.ebi.ac.uk). The list of potential proteins obtained from the analysis has been inserted in a dedicated of proteins and related peptides identifiable with sequences matching known proteins. The analysis of the mass spectrometry data also indicated that there is a high sequence homology with other scorpion venoms species such as Leiurus quinquestriatus quinquestriatus, Androctonus australis, Mesobuthus martensii, and Lychas mucronatus.
Previously identified peptides were found in the Am venom, corresponding to neurotoxins, namely alpha-toxin Amm3, alpha-toxin Amm5, alpha-toxin Amm8, neurotoxin P2, potassium channel toxin alpha-KTx 15. 3, potassium channel toxin alpha-KTx 3.1, potassium channel toxin alpha-KTx 5.2 and potassium channel toxin alpha-KTx 8.1 (Table 2).
However, some identified sequences share sequence similarities with peptides characterized in the venom of other scorpions. Thus, for the Am venom, we found 19 homologies of sequences matching other scorpion venom peptides (Table 2).
Similarly, the Bo venom also contained peptides corresponding to previously identified neurotoxins, including alpha-like toxin Bom3, alpha-like toxin Bom4, alpha-mammal toxin Bot3, alpha-toxin Bot1, alpha-toxin Bot11, Beta-toxin BotIT2, and Neuro-toxin Bot2. Interestingly, a peptide previously identified in the venom of the viper Daboia russelli siamensis was also found in the Bo venom (Table 3). In total, 71% of the peptides in the Bo venom showed similarity with other species, while the Am venom shared 61% of its peptides with other species. This finding is of great importance in the development of antivenoms with a broad spectrum of protection.

4. Discussion

Despite their small size, Scorpions are feared for their potent venom. It is a complex mixture of different components, of which folded peptides are the most dominant [49,50]. They have been studied for decades using conventional bioactivity-guided approaches broadly used with natural substances that consist of purifying the biomolecule of interest prior to studying its structure and function. Unfortunately, these studies only reflected a partial picture of the whole venom, and the information obtained is in favor of the abundant toxins in the venoms of the most incriminated species, leaving aside those rare or more difficult to collect that remain largely unexplored. Analytical studies of venoms have ongoingly improved with the help of technological developments. The implementation of recent venomics approaches (mass spectrometry, NextGen sequencing) in the field facilitated the obtaining of information from these matrices [51].
Venom profiling by mass spectrometry initiated in the early Nineties remains a fundamental approach to global venom exploration. Such data, with or without chromatographic fractionation, produces a global picture of the venom and reveals its complex composition. For this purpose, a mass fingerprint of the Moroccan scorpion venoms of Androctonus mauritanicus and Buthus occitanus was performed after an HPLC separation and by using mass spectrometry (ESI-MS and ESI-LC/MS/MS).
LD50 results have confirmed what was already known: A. mauritanicus and B. occitanus venoms are very toxic. Previous biochemical characterization studies had reported the medical importance of A. mauritanicus and B. occitanus, which are involved in 83% and 14% of envenomation cases in Morocco, respectively. These studies have shown that A. mauritanicus is the most dangerous scorpion in Morocco [52]. Its venom is highly toxic, with an LD50 of 2.4 µg/mouse, and responsible for adverse pathophysiological effects and intense electrolyte imbalance. Meanwhile, B. occitanus is considered the second most dangerous scorpion in the kingdom, with an LD50 of 5.7 µg/mouse [36,38,43].
Buthidae venoms are known to be harmful since numerous of their components (especially NaTxs) have an affinity for human receptors [53]. The main difference between the venom of a Buthidae and a non-Buthidae scorpion is that NaTxs are predominant and more abundant in the venom of the Buthidae family [17,54,55,56]. They are responsible for the lethality, the neurotoxic effects and have a leading role in the complications of scorpionism [57]. According to their physiological effects on voltage-gated sodium ion channels, NaTxs can be divided into two groups, named α-NaTx and β-NaTx [58]. The difference between these two groups is that α-NaTxs bind to site 3 and delay or inhibit the channel’s normal inactivation process, while β-NaTxs bind to site 4 and encourage the channel opening at more negative membrane potentials [59].
This study correlates well with previous works of proteomic analysis of scorpion venom, in which toxins that impair Na+ and K+ channels constitute the main toxin components of Buthidae venoms [60,61]. Thus, our findings show that the majority of mass in A. mauritanicus and B. occitanus venoms are composed of long toxins that target Na+ channels, accounting for 66% and 62%, respectively. Short toxins, which act on K+, Cl, and Ca2+ ion channels, constitute 34% of A. mauritanicus venom and 38% of B. occitanus venom. On the other hand, peptides with molecular masses less than 2 kDa and enzymes with molecular masses greater than 10 kDa are less abundant in both venoms. These results corroborate previous studies on A. mauritanicus and B. occitanus venoms, which identified NaScTxs and KScTx neurotoxins as the main components [25,39,62,63,64,65,66,67,68,69,70,71].
Similarly, the proteomic analysis of the venom of the species Centruroides tecomanus (family Buthidae) showed an abundance of molecular masses (7–8 kDa) corresponding to neurotoxins targeting voltage-gated Na+ channels followed by those corresponding to neurotoxins acting on K+, Cl, and Ca2+ ion channels (4–5 kDa) [72]. A neurotoxin-rich composition has been demonstrated as well in other venoms of scorpions belonging to the Buthidae family: Tityus serrulatus, Centruroides limpidus, Centruroides hirsutipalpus, Mesobuthus martensii, Tityus metuendus, Androctonus bicolor and Mesobuthus tamulus as well as to the Scorpionidae family: Heterometrus longimanus and Heterometrus petersii [49,72,73,74,75,76,77]. At the same time, the venom composition of the scorpions Rhopalurus agamemnon (family Buthidae), Megacormus gertschi (family Euscorpiidae), and Thorellius atrox (family Vaejovidae) present a composition rich in enzymes [78,79,80].
The abundance of toxins targeting Na+ channels in these venoms explains why these scorpions are so dangerous, as these toxins are responsible for mortality. This raises the hypothesis that scorpions can be classified according to their dangerousness based on the percentage of sodium-channel toxins present in their venom. Noteworthy, the development of an adjuvant able to block Na+ channel receptors would significantly reduce the mortality rate in populations at high risk of scorpionism. In contrast, short toxins specific to K+, Cl, and Ca2+ channels are responsible for toxicity and are less involved in lethality.
A total of 410 masses were found in the Am venom and 252 masses in that of the Bo. Although more molecular weights have been detected in the venom of Leiurus quinquestriatus hebraeus (554 masses), Tityus stigmurus (632 masses), and Pandinus cavimanus (700 masses), fewer compounds were obtained from the venoms of Centruroides limpidus (52 masses), Androctonus crassicauda (80 masses), Tityus costatus (90 masses), Tityus pachyrus (104 masses), Mesobuthus tamulus (110 masses), Tityus serrulatus (147 masses), Rhophalurus junceus, Tityus metuendus and Mesobuthus martenssi (200 amasses), Serradigitus gertschi (204 masses), Tityus discrepans (205 masses), Paravaejovis schwenkmeyeri (212 masses), and Rhopalurus agamemnon (230 masses) [72,75,77,80,81,82,83,84,85,86,87,88,89,90,91,92,93].
However, we noted that A. mauritanicus scorpion venom is richer in NaScTxs that target mammalian Na+ channels, namely the alpha toxin Amm5, which is considered the most lethal toxin identified so far in Moroccan scorpion venom [25]. In addition, the identification of alpha-toxin Amm3 and the alpha-toxin-like toxin Lqq 5, the most lethal toxin of the scorpion Leiurus quinquestriatus that shares a 95.3% sequence similarity with alpha-toxin Amm 5, explains why the venom of the scorpion A. mauritanicus is estimated to be the most toxic and responsible for the most severe envenomations in Morocco [52,70].
These results illustrate the great polymorphism of the toxins of scorpions A. mauritanicus and B. occitanus. Among those involved in the pathophysiology of envenomations, we found NaScTxs and KscTxs; these two families work in synergy to generate a prolonged depolarization of the cell membrane and thus a neuronal excitation which causes the stimulation of the sympathetic and parasympathetic nervous system leading to the release of cellular mediators responsible for all the alterations observed during a scorpion envenomation. The high content of these neurotoxins in the venoms A. mauritanicus and B. occitanus explains their toxicity and their involvement in the most serious cases of envenomation in our country.

5. Conclusions

Herein, we have demonstrated that a multi-faceted proteomic strategy, including cutting-edge separation and characterization techniques, can provide valuable insights into the composition and toxicology of scorpion venoms. Specifically, our results show that the venoms of Androctonus mauritanicus and Buthus occitanus scorpions contain a highly complex mixture of hundreds of distinct peptides, mainly neurotoxins, with NaScTxs and KScTxs as the predominant components, representing 70% and 59% of the venom composition, respectively. By elucidating the toxicological profiles of these venoms, our findings provide a critical foundation for improving the understanding of the pharmacological mechanisms involved in envenomation and for developing effective antivenom therapies. Overall, this study highlights the importance of using advanced proteomic techniques for the characterization and analysis of complex biological samples, with broad implications for biomedical research and drug discovery.

Author Contributions

Conceptualization, I.H. and N.O.; Methodology, I.H.; Validation, A.S., R.S. and N.O.; Formal analysis, I.H. and N.O.; Data curation, I.H. and R.S.; Writing—original draft, I.H., S.K., A.S. and N.O.; Writing—review & editing, A.H., S.A., I.O. and R.S.; Visualization, I.H. and A.S. All authors have read and agreed to the published version of the manuscript.

Funding

This research received no external funding.

Institutional Review Board Statement

The animals were handled according to the ethical guidelines adopted by the World Health Organization (WHO) and approved by a local Ethics Committee of the Institut Pasteur of Morocco under agreement number 8.3.A-2015.

Informed Consent Statement

Not applicable.

Data Availability Statement

Not applicable.

Acknowledgments

We thank the staff of the Experimental Center of Tit Mellil, Institut Pasteur of Morocco, for providing the laboratory animals, as well as the facilities to support this research.

Conflicts of Interest

The authors declared no potential conflict of interest with respect to the research, authorship, and/or publication of this article.

References

  1. Lourenco, W.R. Diversity and endemism in tropical versus temperate scorpion communities. C. R. Séances Soc. Biogéogr. 1994, 70, 155–160. [Google Scholar]
  2. Ward, M.J.; Ellsworth, S.A.; Nystrom, G.S. A global accounting of medically significant scorpions: Epidemiology, major toxins, and comparative resources in harmless counterparts. Toxicon 2018, 151, 137–155. [Google Scholar] [CrossRef] [PubMed]
  3. Briggs, D.E.G. Scorpions take to the water. Nature 1987, 326, 645–646. [Google Scholar] [CrossRef]
  4. Lourenço, W.R.; Cuellar, O. Scorpions, scorpionism, life history strategies and parthenogenesis. J. Venom. Anim. Toxins 1995, 1, 51–62. [Google Scholar] [CrossRef]
  5. Debont, T.; Swerts, A.; van der Walt, J.J.; Müller, G.J.; Verdonck, F.; Daenens, P.; Tytgat, J. Comparison and characterization of the venoms of three Parabuthus scorpion species occurring in southern Africa. Toxicon 1998, 36, 341–352. [Google Scholar] [CrossRef]
  6. Prendini, L.; Wheeler, W.C. Scorpion higher phylogeny and classification, taxonomic anarchy, and standards for peer review in online publishing. Cladistics 2005, 21, 446–494. [Google Scholar] [CrossRef]
  7. Dehesa-Dávila, M.; Possani, L.D. Scorpionism and serotherapy in Mexico. Toxicon 1994, 32, 1015–1018. [Google Scholar] [CrossRef]
  8. Graham, M.R. Scorpions of the World. J. Arachnol. 2011, 39, 166–167. [Google Scholar] [CrossRef]
  9. Shulov, A.; Levy, G.; Efrati, P.; Zlotkin, E.; Miranda, F.; Rochat, H. Venoms of Buthinae. In Arthropod Venoms; Handbook of Experimental Pharmacology/Handbuch der Experimentellen Pharmakologie; Bettini, S., Ed.; Springer: Berlin/Heidelberg, Germany, 1978; pp. 309–369. [Google Scholar] [CrossRef]
  10. Fontecilla-Camps, J.C.; Almassy, R.J.; Suddath, F.L.; Bugg, C.E. The three-dimensional structure of scorpion neurotoxins. Toxicon 1982, 20, 1–7. [Google Scholar] [CrossRef]
  11. Catterall, W.A. Neurotoxins that Act on Voltage-Sensitive Sodium Channels in Excitable Membranes. Annu. Rev. Pharmacol. Toxicol. 1980, 20, 15–43. [Google Scholar] [CrossRef]
  12. Rochat, H.; Bernard, P.; Couraud, F. Scorpion toxins: Chemistry and mode of action. Adv. Cytopharmacol. 1979, 3, 325–334. [Google Scholar]
  13. Carbone, E.; Wanke, E.; Prestipino, G.; Possani, L.D.; Maelicke, A. Selective blockage of voltage-dependent K+ channels by a novel scorpion toxin. Nature 1982, 296, 90–91. [Google Scholar] [CrossRef]
  14. Domingos Possani, L.; Martin, B.M.; Svendsen, I. The primary structure of noxiustoxin: A K+ channel blocking peptide, purified from the venom of the scorpion Centruroides noxius Hoffmann. Carlsberg Res. Commun. 1982, 47, 285–289. [Google Scholar] [CrossRef]
  15. Miller, C.; Moczydlowski, E.; Latorre, R.; Phillips, M. Charybdotoxin, a protein inhibitor of single Ca2+-activated K+ channels from mammalian skeletal muscle. Nature 1985, 313, 316–318. [Google Scholar] [CrossRef]
  16. Valdivia, H.H.; Possani, L.D. Peptide Toxins as Probes of Ryanodine Receptor Structure and Function. Trends Cardiovasc. Med. 1998, 8, 111–118. [Google Scholar] [CrossRef]
  17. DeBin, J.A.; Maggio, J.E.; Strichartz, G.R. Purification and characterization of chlorotoxin, a chloride channel ligand from the venom of the scorpion. Am. J. Physiol. Physiol. 1993, 264, C361–C369. [Google Scholar] [CrossRef]
  18. Gwee, M.C.; Nirthanan, S.N.; Khoo, H.-E.; Gopalakrishnakone, P.; Kini, M.; Cheah, L.-S. Autonomic effects of some scorpion venoms and toxins. Clin. Exp. Pharmacol. Physiol. 2002, 29, 795–801. [Google Scholar] [CrossRef]
  19. Chippaux, J.-P.; Goyffon, M. Epidemiology of scorpionism: A global appraisal. Acta Trop. 2008, 107, 71–79. [Google Scholar] [CrossRef]
  20. Santos, M.S.V.; Silva, C.G.L.; Neto, B.S.; Grangeiro, C.R.P.; Lopes, V.H.G.; Teixeira, A.G., Jr.; Bezerra, D.A.; Luna, J.; Cordeiro, J.B.; Goncalves, J.; et al. Clinical and Epidemiological Aspects of Scorpionism in the World: A Systematic Review. Wilderness Environ. Med. 2016, 27, 504–518. [Google Scholar] [CrossRef]
  21. Chippaux, J.-P. Emerging options for the management of scorpion stings. Drug Des. Dev. Ther. 2012, 6, 165–173. [Google Scholar] [CrossRef]
  22. El Hidan, M.A.; Touloun, O.; El Oufir, R.; Boumezzough, A. Epidemiological and spatial analysis of scorpion stings in two regions of Morocco: Marrakesh-Tensift-Al Haouz and Souss-Massa-Draa. J. Coast Life Med. 2016, 4, 299–304. [Google Scholar] [CrossRef]
  23. El Oufir, R. Piqures et Envenimations Scorpioniques (PES); Rapports general et specifiques. Revue toxicologie Maroc; Centre Anti Poison du Maroc (CAPM): Rabat, Morocco, 2019; Volume 43, p. 11. [Google Scholar]
  24. Ghalim, N.; Benslimane, A.; Sebti, F.; El-Hafny, B.; Lazar, N.; Moustanir, R.; Heikel, J. Scorpion envenomation and serotherapy in Morocco. Am. J. Trop. Med. Hyg. 2000, 62, 277–283. [Google Scholar] [CrossRef] [PubMed]
  25. Oukkache, N.; Rosso, J.-P.; Alami, M.; Ghalim, N.; Saïle, R.; Hassar, M.; Bougis, P.E.; Martin-Eauclaire, M.-F. New analysis of the toxic compounds from the Androctonus mauretanicus mauretanicus scorpion venom. Toxicon 2008, 51, 835–852. [Google Scholar] [CrossRef] [PubMed]
  26. Oukkache, N.; Chgoury, F.; Lalaoui, M.; Cano, A.A.; Ghalim, N. Comparison between two methods of scorpion venom milking in Morocco. J. Venom. Anim. Toxins Incl. Trop. Dis. 2013, 19, 1–5. [Google Scholar] [CrossRef]
  27. Ladjel-Mendil, A.; Martin-Eauclaire, M.F.; Laraba-Djebari, F. Neuropathophysiological Effect and Immuno-Inflammatory Response Induced by Kaliotoxin of Androctonus Scorpion Venom. Neuroimmunomodulation 2013, 20, 99–106. [Google Scholar] [CrossRef]
  28. Ortiz, E.; Gurrola, G.B.; Schwartz, E.F.; Possani, L.D. Scorpion venom components as potential candidates for drug development. Toxicon 2015, 93, 125–135. [Google Scholar] [CrossRef]
  29. Abdel-Rahman, M.A.; Harrison, P.L.; Strong, P.N. Snapshots of scorpion venomics. J. Arid. Environ. 2015, 112, 170–176. [Google Scholar] [CrossRef]
  30. Smith, J.J.; Alewood, P.F. Modern Venom Profiling: Mining into Scorpion Venom Biodiversity. In Scorpion Venoms; Gopalakrishnakone, P., Possani, L.D., Schwartz, E.F., Rodríguez de la Vega, R.C., Eds.; Springer: Dordrecht, The Netherlands, 2015; p. 547. Available online: http://link.springer.com/10.1007/978-94-007-6404-0_26 (accessed on 5 March 2023).
  31. Compton, P.D.; Kelleher, N.L. Spinning up mass spectrometry for whole protein complexes. Nat. Methods 2012, 9, 1065–1066. [Google Scholar] [CrossRef]
  32. Pimenta, A.M.C.; Stöcklin, R.; Favreau, P.; Bougis, P.E.; Martin-Eauclaire, M.F. Moving pieces in a proteomic puzzle: Mass fingerprinting of toxic fractions from the venom of Tityus serrulatus (Scorpiones, Buthidae): Mass fingerprinting of Tityus serrulatus toxic fractions. Rapid Commun. Mass Spectrom. 2001, 15, 1562–1572. [Google Scholar] [CrossRef]
  33. Favreau, P.; Menin, L.; Michalet, S.; Perret, F.; Cheneval, O.; Stöcklin, M.; Bulet, P.; Stöcklin, R. Mass spectrometry strategies for venom mapping and peptide sequencing from crude venoms: Case applications with single arthropod specimen. Toxicon 2006, 47, 676–687. [Google Scholar] [CrossRef]
  34. Banerjee, S.; Mazumdar, S. Electrospray Ionization Mass Spectrometry: A technique to access the information beyond the molecular weight of the analyte. Int. J. Anal. Chem. 2012, 2012, 282574. [Google Scholar] [CrossRef]
  35. Aboumaâd, B.; Lahssaini, M.; Tiger, A.; Benhassain, S.M. Clinical comparison of scorpion envenomation by Androctonus mauritanicus and Buthus occitanus in children. Toxicon 2014, 90, 337–343. [Google Scholar] [CrossRef]
  36. Daoudi, K.; Chgoury, F.; Rezzak, M.; Bourouah, O.; Boussadda, L.; Soukri, A.; Sabatier, J.-M.; Oukkache, N. Consequences of Androctonus mauretanicus and Buthus occitanus scorpion venoms on electrolyte levels in rabbits. Heliyon 2017, 3, e00221. [Google Scholar] [CrossRef]
  37. Emerich, B.L.; De Lima, M.E.; Martin-Eauclaire, M.-F.; Bougis, P.E. Comparative analyses and implications for antivenom serotherapy of four Moroccan scorpion Buthus occitanus venoms: Subspecies tunetanus, paris, malhommei, and mardochei. Toxicon 2018, 149, 26–36. [Google Scholar] [CrossRef]
  38. Darkaoui, B.; Lafnoune, A.; Chgoury, F.; Daoudi, K.; Chakir, S.; Mounaji, K.; Karkouri, M.; Cadi, R.; Naoual, O. Induced pathophysiological alterations by the venoms of the most dangerous Moroccan scorpions Androctonus mauretanicus and Buthus occitanus: A comparative pathophysiological and toxic-symptoms study. Hum. Exp. Toxicol. 2022, 41, 2872. [Google Scholar] [CrossRef]
  39. Daoudi, K.; Malosse, C.; Lafnoune, A.; Darkaoui, B.; Chakir, S.; Sabatier, J.M.; Cadi, R.; Oukkache, N. Mass spectrometry-based top-down and bottom-up approaches for proteomic analysis of the Moroccan Buthus occitanus scorpion venom. FEBS Open Bio 2021, 11, 1867–1892. [Google Scholar] [CrossRef]
  40. Layne, E. Spectrophotometric and turbidimetric methods for measuring proteins. In Methods in Enzymology; Academic Press: Cambridge, MA, USA, 1957; p. 447. Available online: https://www.sciencedirect.com/science/article/pii/S0076687957034138 (accessed on 5 March 2023).
  41. Stoscheck, C.M. Quantitation of protein. In Methods in Enzymology; Guide to Protein, Purification; Deutscher, M.P., Ed.; Academic Press: Cambridge, MA, USA, 1990; Volume 182, pp. 50–68. Available online: https://www.sciencedirect.com/science/article/pii/007668799082008P (accessed on 5 March 2023).
  42. World Health Organization. Progress in the Characterization of Venoms and Standardization of Antivenoms. 1981. Available online: https://apps.who.int/iris/handle/10665/37282 (accessed on 5 March 2023).
  43. Oukkache, N.; El Jaoudi, R.; Ghalim, N.; Chgoury, F.; Bouhaouala, B.; El Mdaghri, N.; Sabatier, J.-M. Evaluation of the Lethal Potency of Scorpion and Snake Venoms and Comparison between Intraperitoneal and Intravenous Injection Routes. Toxins 2014, 6, 1873–1881. [Google Scholar] [CrossRef]
  44. Trevors, J.T. A BASIC program for estimating LD50 values using the IBM-PC®. Bull. Environ. Contam. Toxicol. 1986, 37, 18–26. [Google Scholar] [CrossRef]
  45. Laemmli, U.K. Cleavage of Structural Proteins during the Assembly of the Head of Bacteriophage T4. Nature 1970, 227, 680–685. [Google Scholar] [CrossRef]
  46. O’Farrell, P.H. High resolution two-dimensional electrophoresis of proteins. J. Biol. Chem. 1975, 250, 4007–4021. [Google Scholar] [CrossRef]
  47. Carrette, O.; Burkhard, P.R.; Sanchez, J.-C.; Hochstrasser, D.F. State-of-the-art two-dimensional gel electrophoresis: A key tool of proteomics research. Nat. Protoc. 2006, 1, 812–823. [Google Scholar] [CrossRef] [PubMed]
  48. Aguilar, M.I.; Hearn, M.T.W. High-resolution reversed-phase high-performance liquid chromatography of peptides and proteins. In Methods in Enzymology; Elsevier: Amsterdam, The Netherlands, 1996; p. 3. Available online: https://linkinghub.elsevier.com/retrieve/pii/S0076687996700034 (accessed on 5 March 2023).
  49. Zhang, L.; Shi, W.; Zeng, X.-C.; Ge, F.; Yang, M.; Nie, Y.; Bao, A.; Wu, S.; Guoji, E. Unique diversity of the venom peptides from the scorpion Androctonus bicolor revealed by transcriptomic and proteomic analysis. J. Proteom. 2015, 128, 231–250. [Google Scholar] [CrossRef] [PubMed]
  50. Deng, Y.; Gu, J.; Yan, Z.; Wang, M.; Ma, C.; Zhang, J.; Jiang, G.; Ge, M.; Xu, S.; Xu, Z.; et al. De novo transcriptomic analysis of the venomous glands from the scorpion Heterometrus spinifer revealed unique and extremely high diversity of the venom peptides. Toxicon 2018, 143, 1–19. [Google Scholar] [CrossRef] [PubMed]
  51. Abd El-Aziz, T.M.; Soares, A.G.; Stockand, J.D. Advances in venomics: Modern separation techniques and mass spectrometry. J. Chromatogr. B 2020, 1160, 122352. [Google Scholar] [CrossRef]
  52. Nadia, A.; Rachid, H.; Nadra, L.; Naima, R.; Azeddine, S. Méta-analyse des données des envenimations scorpioniques au Maroc. SMETox J. 2018, 1, 115–122. [Google Scholar]
  53. Borges, A.; Graham, M.R.; Gopalakrishnakone, P.; Calvete, J.J. Phylogenetics of Scorpions of Medical Importance. In Venom Genomics and Proteomics; Gopalakrishnakone, P., Calvete, J.J., Eds.; Springer: Dordrecht, The Netherlands, 2016; pp. 81–104. [Google Scholar] [CrossRef]
  54. Zeng, X.C.; Peng, F.; Luo, F.; Zhu, S.Y.; Liu, H.; Li, W.X. Molecular cloning and characterization of four scorpion K+-toxin-like peptides: A new subfamily of venom peptides (α-KTx14) and genomic analysis of a member. Biochimie 2001, 83, 883–889. [Google Scholar] [CrossRef]
  55. Abdel-Rahman, M.A.; Quintero-Hernandez, V.; Possani, L.D. Venom proteomic and venomous glands transcriptomic analysis of the Egyptian scorpion Scorpio maurus palmatus (Arachnida: Scorpionidae). Toxicon 2013, 74, 193–207. [Google Scholar] [CrossRef]
  56. Quintero-Hernández, V.; Ramírez-Carreto, S.; Romero-Gutiérrez, M.T.; Valdez-Velázquez, L.L.; Becerril, B.; Possani, L.D.; Ortiz, E. Transcriptome Analysis of Scorpion Species Belonging to the Vaejovis Genus. PLoS ONE 2015, 10, e0117188. [Google Scholar] [CrossRef]
  57. Almaaytah, A.; Albalas, Q. Scorpion venom peptides with no disulfide bridges: A review. Peptides 2014, 51, 35–45. [Google Scholar] [CrossRef]
  58. Couraud, F.; Jover, E.; Dubois, J.; Rochat, H. Two types of scorpion toxin receptor sites, one related to the activation, the other to the inactivation of the action potential sodium channel. Toxicon 1982, 20, 9–16. [Google Scholar] [CrossRef]
  59. Quintero-Hernández, V.; Jiménez-Vargas, J.; Gurrola, G.; Valdivia, H.; Possani, L. Scorpion venom components that affect ion-channels function. Toxicon 2013, 76, 328–342. [Google Scholar] [CrossRef]
  60. Cid-Uribe, J.I.; Veytia-Bucheli, J.I.; Romero-Gutierrez, T.; Ortiz, E.; Possani, L.D. Scorpion venomics: A 2019 overview. Expert Rev. Proteom. 2020, 17, 67–83. [Google Scholar] [CrossRef]
  61. Isbister, G.K.; Bawaskar, H.S. Scorpion Envenomation. N. Engl. J. Med. 2014, 371, 457–463. [Google Scholar] [CrossRef]
  62. Rosso, J.; Rochat, H. Characterization of ten proteins from the venom of the Moroccan scorpion Androctonus mauretanicus mauretanicus, six of which are toxic to the mouse. Toxicon 1985, 23, 113–125. [Google Scholar] [CrossRef]
  63. Zerrouk, H.; Bougis, P.; Céard, B.; Benslimane, A.; Martin-Eauclaire, M. Analysis by high-performance liquid chromatography of Androctonus mauretanicus mauretanicus (black scorpion) venom. Toxicon 1991, 29, 951–960. [Google Scholar] [CrossRef]
  64. Crest, M.; Jacquet, G.; Gola, M.; Zerrouk, H.; Benslimane, A.; Rochat, H.; Mansuelle, P.; Martin-Eauclaire, M.F. Kaliotoxin, a novel peptidyl inhibitor of neuronal BK-type Ca(2+)-activated K+ channels characterized from Androctonus mauretanicus mauretanicus venom. J. Biol. Chem. 1992, 267, 1640–1647. [Google Scholar] [CrossRef]
  65. Zerrouk, H.; Mansuelle, P.; Benslimane, A.; Rochat, H.; Martin-Eauclaire, M. Characterization of a new leiurotoxin I-like scorpion toxin. FEBS Lett. 1993, 320, 189–192. [Google Scholar] [CrossRef]
  66. Zerrouk, H.; Laraba-Djebari, F.; Fremont, V.; Meki, A.; Darbon, H.; Mansuelle, P.; Oughideni, R.; VAN Rietschoten, J.; Rochat, H.; Martin-Eauclaire, M. Characterization of PO1, a new peptide ligand of the apamin-sensitive Ca2+ activated K+ channel. Int. J. Pept. Protein Res. 1996, 48, 514–521. [Google Scholar] [CrossRef]
  67. Alami, M.; Ouafik, L.; Céard, B.; Legros, C.; Bougis, P.E.; Martin-Eauclaire, M.-F. Characterisation of the gene encoding the α-toxin Amm V from the scorpion Androctonus mauretanicus mauretanicus. Toxicon 2001, 39, 1579–1585. [Google Scholar] [CrossRef]
  68. Vacher, H.; Alami, M.; Crest, M.; Possani, L.D.; Bougis, P.E.; Martin-Eauclaire, M.-F. Expanding the scorpion toxin α-KTX 15 family with AmmTX3 from Androctonus mauretanicus. J. Biol. Inorg. Chem. 2002, 269, 6037–6041. [Google Scholar] [CrossRef]
  69. Almaaytah, A.; Tarazi, S.; Mhaidat, N.; Al-Balas, Q.; Mukattash, T.L. Mauriporin, a Novel Cationic α-Helical Peptide with Selective Cytotoxic Activity Against Prostate Cancer Cell Lines from the Venom of the Scorpion Androctonus mauritanicus. Int. J. Pept. Res. Ther. 2013, 19, 281–293. [Google Scholar] [CrossRef]
  70. Martin-Eauclaire, M.-F.; Céard, B.; Belghazi, M.; Lebrun, R.; Bougis, P.E. Characterization of the first K+ channel blockers from the venom of the Moroccan scorpion Buthus occitanus Paris. Toxicon 2013, 75, 168–176. [Google Scholar] [CrossRef] [PubMed]
  71. Oukkache, N.; Eljaoudi, R.; Chgoury, F.; Rocha, M.T.; Sabatier, J.-M. Characterization of Am IT, an anti-insect β-toxin isolated from the venom of scorpion Androctonus mauretanicus. Acta Physiol. Sonica 2015, 25, 295–304. [Google Scholar]
  72. Valdez-Velázquez, L.L.; Quintero-Hernández, V.; Romero-Gutiérrez, M.T.; Coronas, F.I.V.; Possani, L.D. Mass Fingerprinting of the Venom and Transcriptome of Venom Gland of Scorpion Centruroides tecomanus. PLoS ONE 2013, 8, e66486. [Google Scholar] [CrossRef] [PubMed]
  73. Bringans, S.; Eriksen, S.; Kendrick, T.; Gopalakrishnakone, P.; Livk, A.; Lock, R.; Lipscombe, R. Proteomic analysis of the venom of Heterometrus longimanus (Asian black scorpion). Proteomics 2008, 8, 1081–1096. [Google Scholar] [CrossRef]
  74. Ma, Y.; Zhao, Y.; Zhao, R.; Zhang, W.; He, Y.; Wu, Y.; Guo, L. Molecular diversity of toxic components from the scorpion Heterometrus petersii venom revealed by proteomic and transcriptome analysis. Proteomics 2010, 10, 2471–2485. [Google Scholar] [CrossRef]
  75. Xu, X.; Duan, Z.; Di, Z.; He, Y.; Li, J.; Li, Z.; Xie, C.; Zeng, X.; Cao, Z.; Wu, Y.; et al. Proteomic analysis of the venom from the scorpion Mesobuthus martensii. J. Proteom. 2014, 106, 162–180. [Google Scholar] [CrossRef]
  76. Valdez-Velázquez, L.L.; Cid-Uribe, J.; Romero-Gutierrez, M.T.; Olamendi-Portugal, T.; Jimenez-Vargas, J.M.; Possani, L.D. Transcriptomic and proteomic analyses of the venom and venom glands of Centruroides hirsutipalpus, a dangerous scorpion from Mexico. Toxicon 2020, 179, 21–32. [Google Scholar] [CrossRef]
  77. Das, B.; Patra, A.; Mukherjee, A.K. Correlation of Venom Toxinome Composition of Indian Red Scorpion (Mesobuthus tamulus) with Clinical Manifestations of Scorpion Stings: Failure of Commercial Antivenom to Immune-Recognize the Abundance of Low Molecular Mass Toxins of This Venom. J. Proteome Res. 2020, 19, 1847–1856. [Google Scholar] [CrossRef]
  78. Santibáñez-López, C.E.; Cid-Uribe, J.I.; Zamudio, F.Z.; Batista, C.V.F.; Ortiz, E.; Possani, L.D. Venom gland transcriptomic and venom proteomic analyses of the scorpion Megacormus gertschi Díaz-Najera, 1966 (Scorpiones: Euscorpiidae: Megacorminae). Toxicon 2017, 133, 95–109. [Google Scholar] [CrossRef]
  79. Romero-Gutierrez, T.; Peguero-Sanchez, E.; Cevallos, M.A.; Batista, C.V.F.; Ortiz, E.; Possani, L.D. A Deeper Examination of Thorellius atrox Scorpion Venom Components with Omic Technologies. Toxins 2017, 9, 399. [Google Scholar] [CrossRef]
  80. Magalhães, A.C.M.; de Santana, C.J.C.; Melani, R.D.; Domont, G.B.; Castro, M.S.; Fontes, W.; Roepstorff, P.; Júnior, O.R.P. Exploring the biological activities and proteome of Brazilian scorpion Rhopalurus agamemnon venom. J. Proteom. 2021, 237, 104119. [Google Scholar] [CrossRef]
  81. Diego-García, E.; Batista, C.V.; García-Gómez, B.I.; Lucas, S.; Candido, D.M.; Gómez-Lagunas, F.; Possani, L.D. The Brazilian scorpion Tityus costatus Karsch: Genes, peptides and function. Toxicon 2005, 45, 273–283. [Google Scholar] [CrossRef]
  82. Barona, J.; Batista, C.V.F.; Zamudio, F.Z.; Gomez-Lagunas, F.; Wanke, E.; Otero, R.; Possani, L.D. Proteomic analysis of the venom and characterization of toxins specific for Na+- and K+-channels from the Colombian scorpion Tityus pachyurus. Biochim. Biophys. Acta (BBA) Proteins Proteom. 2006, 1764, 76–84. [Google Scholar] [CrossRef]
  83. Batista, C.V.F.; D’Suze, G.; Gómez-Lagunas, F.; Zamudio, F.Z.; Encarnación, S.; Sevcik, C.; Possani, L.D. Proteomic analysis of Tityus discrepans scorpion venom and amino acid sequence of novel toxins. Proteomics 2006, 6, 3718–3727. [Google Scholar] [CrossRef]
  84. Nascimento, D.G.; Rates, B.; Santos, D.M.; Verano-Braga, T.; Barbosa-Silva, A.; Dutra, A.A.; Biondi, I.; Martin-Eauclaire, M.F.; De Lima, M.E.; Pimenta, A.M. Moving pieces in a taxonomic puzzle: Venom 2D-LC/MS and data clustering analyses to infer phylogenetic relationships in some scorpions from the Buthidae family (Scorpiones). Toxicon 2006, 47, 628–639. [Google Scholar] [CrossRef] [PubMed]
  85. Batista, C.; Román-González, S.; Salas-Castillo, S.; Zamudio, F.; Gómez-Lagunas, F.; Possani, L. Proteomic analysis of the venom from the scorpion Tityus stigmurus: Biochemical and physiological comparison with other Tityus species. Comp. Biochem. Physiol. Part C Toxicol. Pharmacol. 2007, 146, 147–157. [Google Scholar] [CrossRef] [PubMed]
  86. Caliskan, F.; García, B.I.; Coronas, F.I.; Batista, C.V.; Zamudio, F.Z.; Possani, L.D. Characterization of venom components from the scorpion Androctonus crassicauda of Turkey: Peptides and genes. Toxicon 2006, 48, 12–22. [Google Scholar] [CrossRef] [PubMed]
  87. Diego-García, E.; Peigneur, S.; Clynen, E.; Marien, T.; Czech, L.; Schoofs, L.; Tytgat, J. Molecular diversity of the telson and venom components from Pandinus cavimanus (Scorpionidae Latreille 1802): Transcriptome, venomics and function. Proteomics 2012, 12, 313–328. [Google Scholar] [CrossRef] [PubMed]
  88. Coronas, F.I.; Diego-García, E.; Restano-Cassulini, R.; de Roodt, A.R.; Possani, L.D. Biochemical and physiological characterization of a new Na+-channel specific peptide from the venom of the Argentinean scorpion Tityus trivittatus. Peptides 2015, 68, 11–16. [Google Scholar] [CrossRef]
  89. Rodríguez-Ravelo, R.; Batista, C.V.; Coronas, F.I.; Zamudio, F.Z.; Hernández-Orihuela, L.; Espinosa-López, G.; Ruiz-Urquiola, A.; Possani, L.D. Comparative proteomic analysis of male and female venoms from the Cuban scorpion Rhopalurus junceus. Toxicon 2015, 107, 327–334. [Google Scholar] [CrossRef]
  90. Batista, C.; Martins, J.; Restano-Cassulini, R.; Coronas, F.; Zamudio, F.; Procópio, R.; Possani, L. Venom characterization of the Amazonian scorpion Tityus metuendus. Toxicon 2018, 143, 51–58. [Google Scholar] [CrossRef]
  91. Romero-Gutiérrez, M.T.; Santibáñez-López, C.E.; Jiménez-Vargas, J.M.; Batista, C.V.F.; Ortiz, E.; Possani, L.D. Transcriptomic and Proteomic Analyses Reveal the Diversity of Venom Components from the Vaejovid Scorpion Serradigitus gertschi. Toxins 2018, 10, 359. [Google Scholar] [CrossRef]
  92. Cid-Uribe, J.I.; Santibáñez-López, C.E.; Meneses, E.P.; Batista, C.V.F.; Jiménez-Vargas, J.M.; Ortiz, E.; Possani, L.D. The diversity of venom components of the scorpion species Paravaejovis schwenkmeyeri (Scorpiones: Vaejovidae) revealed by transcriptome and proteome analyses. Toxicon 2018, 151, 47–62. [Google Scholar] [CrossRef]
  93. Verano-Braga, T.; Dutra, A.A.A.; León, I.R.; Melo-Braga, M.N.; Roepstorff, P.; Pimenta, A.M.C.; Kjeldsen, F. Moving Pieces in a Venomic Puzzle: Unveiling Post-translationally Modified Toxins from Tityus serrulatus. J. Proteome Res. 2013, 12, 3460–3470. [Google Scholar] [CrossRef]
Figure 1. Electrophoretic profile of venoms on polyacrylamide gel in the presence of SDS in reducing conditions. Lane 1: molecular mass markers, Lane 2: Am venom, Lane 3: Bo venom.
Figure 1. Electrophoretic profile of venoms on polyacrylamide gel in the presence of SDS in reducing conditions. Lane 1: molecular mass markers, Lane 2: Am venom, Lane 3: Bo venom.
Life 13 01133 g001
Figure 2. Reversed-phase HPLC profile of 1 mg protein of Am and Bo venoms performed with a linear gradient from solvent A (0.1% TFA in water) to 100% solvent B (0.10% TFA in acetonitrile) at a flow rate of 1 mL/min over 120 min.
Figure 2. Reversed-phase HPLC profile of 1 mg protein of Am and Bo venoms performed with a linear gradient from solvent A (0.1% TFA in water) to 100% solvent B (0.10% TFA in acetonitrile) at a flow rate of 1 mL/min over 120 min.
Life 13 01133 g002
Figure 3. Total ion current chromatograms generated by LC-MS analysis of Am and Bo venoms.
Figure 3. Total ion current chromatograms generated by LC-MS analysis of Am and Bo venoms.
Life 13 01133 g003
Figure 4. Molecular mass distribution of Am and Bo Venoms.
Figure 4. Molecular mass distribution of Am and Bo Venoms.
Life 13 01133 g004
Figure 5. Am and Bo venoms components.
Figure 5. Am and Bo venoms components.
Life 13 01133 g005
Figure 6. Percentage of toxins in Am and Bo venoms.
Figure 6. Percentage of toxins in Am and Bo venoms.
Life 13 01133 g006
Table 1. Comparison of median lethal dose (LD50) of Am and Bo venoms.
Table 1. Comparison of median lethal dose (LD50) of Am and Bo venoms.
VenomsLD50
Am VenomBo Venom
IV (µg/mouse)4.7 (4.1–5.4)15.2 (14.8–15.6)
IP (µg/mouse)5.8 (5.3–6.4)17.1 (16.7–17.5)
Table 2. Summary of the proteins associated with Am from the fractions obtained from the reverse phase HPLC fractionation and further analysis on LC/MS/MS.
Table 2. Summary of the proteins associated with Am from the fractions obtained from the reverse phase HPLC fractionation and further analysis on LC/MS/MS.
Proteins Associated with Am
Sample/FractionProtein NameMolecular
Weight (Da)
SequenceSwiss-Prot IDCoverage
(%)
A5, A6, A7, A8, A9, A10Alpha-toxin Amm3 OS = Androctonus mauritanicus mauritanicus7009.1(K)PVINITWLR NSKSVTDG(L)P0C91092.9
A7, A8, A9, A10, A11Alpha-toxin Amm5 OS = Androctonus mauritanicus mauritanicus7301.3(−)LKDGYIIDDLNCTFFCGR(N) P01482 89.7
A5, A6, A7Alpha-toxin Amm8 OS = Androctonus mauritanicus mauritanicus9654.2(K) LPDHVR (T) Q7YXD3 94.4
A1, A4, A5, A6Neurotoxin P2 OS = Androctonus mauritanicus mauritanicus3673.3(−) CGPCFTTDPYTESK (C)P0149893.8
A4, A5Potassium channel toxin alpha-KTx 15.3 OS = Androctonus mauritanicus mauritanicus3845.6(K) VIGVAAGK (C)P6020896.3
A2, A3Potassium channel toxin alpha-KTx 3.1 OS = Androctonus mauritanicus mauritanicus4156(K) CSGSPQCLKPCK (D)P2466288
A3, A4Potassium channel toxin alpha-KTx 5.2 OS = Androctonus mauritanicus mauritanicus3421.2(R) SLGLLGKCIGVK (C)P3171995.8
A2, A3, A4, A5, A7, A8, A11Potassium channel toxin alpha-KTx 8.1 OS = Androctonus mauritanicus mauritanicus3184.6(−) VSCEDCPEHCTQK (A)P5621594
Proteins Associated with other Species
Sample/FractionProtein NameMolecular
Weight (Da)
SequenceSwiss-Prot IDCoverage
(%)
A9, A10, A16, A17Alpha-mammal toxin Lqq5 OS = Leirus quinquestriatus quinquestriatus7301.3(−)LKDGYIVDDKNCTFFCGR(N)A7NGC577.3
A8Alpha-toxin BeM10 OS = Buthus eupeus7373.4(R) NAYCDEECK (K)P0149070.6
A6, A14Beta-bungarotoxin BF B1 chain OS = Bungarus fasciatus9636.2(R) AFYYLPSAK (R)B2KTG271
A8Beta-insect excitatory toxin 1 OS = Androctonus australis 9852 (K)KNGYAVDSSG(K)P0149799.5
A7Beta-insect excitatory toxin 2 OS = Androctonus australis9862.7(R)YAVDSSGK APECLLSN(K)P1514782.5
A8Beta-insect excitatory toxin LqhTTlc OS = Leirus quinquestriatus hebraeus9935.8(K) VMEISDTR (K)P6872377.3
A6, A7, A8, A9, A10Beta-toxin KAaM1 OS = Androctonus australis9104.8(K) YGYCYAFQCWCEYLEDK (N)Q4LCT097.3
A6, A7, A12, A19Neurotoxin BmK-M10 OS = Mesobuthus martensii9346.0(K) YGNACWCIK (L)Q6170585.4
A13, A15, A16Toxin Aah4 OS = Androctonus australis9156.7(K) NCVYHCYPPCGLCK (K)P4565882.3
A17, A18Neurotoxin LmNaTx34.5 (Fragment) OS = Lychas mucronatus9472.2(K)GGSYGYCYFWK(L)POC1673.1
A18Potassium channel toxin AaTXK-beta OS = Androctonus australis10,148.2(R)TILQTVVHK(V)P6993987.6
A10, A11Neurotoxin LmNaTx34.5 (Fragment) OS = Lychas mucronatus9472.2(R)AGREKGCK VWCVIN(N)P0CI6088.2
A4, A5Neurotoxin-1 OS = Androctonus australis9061(C)VYHCVPPCDGLCK(K)P0147999.6
A7, A8, A9Neurotoxin-like protein STR1 OS = Androctonus australis7640.8(R) DGYIVHDGTNCK (Y)P8095083.8
A11Potassium channel toxin AaTXK-beta OS = Androctonus australis10,148.2(R)TILQTVVHK(V)P6993987.6
A2Potassium channel toxin alpha-KTx 3.4 OS = Leirus quinquestriatus hebraeus4020.9(K) CTGSPQCLKPCK (D)P4611085.5
A2, A3Potassium channel toxin alpha-KTx 3.9 OS = Buthus occitanus tunetanus 4028 (C)KDAGMRFGKCMNRK(C)P5929098.7
A5, A6, A7, A8, A9Potassium channel toxin BmTXK-beta OS = Mesobuthus martensii10,430.6(K) LTSMSEYACPVIEK (W)Q9NJC685.6
A4, A5, A6, A7Potassium channel toxin BmTXK-beta-2 OS = Mesobuthus martensii10,212.2(K) TQFGCPAYQGYCDDHCQDIK (K)Q9N66178.4
A8, A9, A10, A11Toxin AaHIT4 OS = Androctonus australis7786.0(R) KSELWNYK (T)P2115097
A4Toxin BmKaITI OS = Mesobuthus martensii9649.3(R) DAYIAQNYNCVYCAR (D)Q9GQW388.2
A9Toxin BmTxKS4 OS = Mesobuthus martensii 8856 (K) GHSSCTNGLEMTEEDF (C)Q5F1N499.7
Table 3. Summary of the proteins associated with Bo from the fractions obtained from the reverse phase HPLC fractionation and further analysis on LC/MS/MS.
Table 3. Summary of the proteins associated with Bo from the fractions obtained from the reverse phase HPLC fractionation and further analysis on LC/MS/MS.
Proteins Associated with Bo
Sample/FractionProtein NameMWSequenceSwiss-Prot ID%
Coverage
B8, B9, B10Alpha-like toxin Bom3 OS = Buthus occitanus mardochei6871.8(K)LPDKVPIKVPGK(C)P1348893.4
B8, B12, B13Alpha-like toxin Bom4 OS = Buthus occitanus mardochei7296.3(K)YGNACWCEDLPDNVPIRIPGK(C)P5935491.3
B8Alpha-mammal toxin Bot3 (Fragment) OS = Buthus occitanus tunetanus8059.1(K)LKGESGYCQWASPYGNACYCYKLPDHVR(T)P0148583.3
B8, B9, B10, B11Alpha-toxin Bot1 OS = Buthus occitanus tunetanus7268.2(K)DLPDNVPIRIPGK(C)P0148888.2
B8Alpha-toxin Bot11 OS = Buthus occitanus tunetanus7468.5(R)YGNACWCYKLPDHVR(T)P0148692.0
B11, B12Beta-toxin BotIT2 OS = Buthus occitanus tunetanus6917.8(K)WGLACWCEDLPDEK(R)P5986382.1
B13Lipolysis-activating peptide 1-beta chain OS = Buthus occitanus tunetanus10,386.3(R)ELGILYGCK(G)P8480982.0
B8, B9, B10, B11, B12Neurotoxin Bot2 OS = Buthus occitanus tunetanus7354.4(−)GRDAYIAQPENCVYECAK(N)P01483100.0
B3, B4, B5, B6, B7, B8, B9, B13Potassium channel toxin alpha-KTx 9.5 OS = Buthus occitanus tunetanus 2949 (K)GKHAVPTCD DGVCN(C)P8474485.7
B6, B7, B8, B9, B10, B11, B12, B13, B14Potassium channel toxin BuTXK-beta OS = Buthus occitanus israelis10,192.2(K)YAVPESTLR(T)B8XH4089.8
B8Toxin Boma6a OS = Buthus occitanus mardochei7477.5(R)DAYCNDLCTK(N)P6025585.6
Proteins Associated with other Species
Sample/FractionProtein NameMWSequenceSwiss-Prot ID% Coverage
B8, B9, B10, B11Alpha-insect toxin Lqq3 OS = Leirus quinquestriatus quinquestriatus7240.2(K)YGNACWCYALPDNVPIRVPGKCH(-)P0148797.7
B10Alpha-like toxin BmK-M1 OS = Mesobuthus martensii3598.4(-)MCIPCFTTNPNMAAK(C)P4569781.0
B11, B12Beta-insect excitatory toxin BmK IT-AP OS = Mesobuthus martensii10,225.1(K)VYYADK(G)O7709180.8
B11Beta-insect excitatory toxin LqhITIa OS = Leirus quinquestriatus hebraeus9900.8(K)YCDFTIIN(-)P6872181.2
B12Beta-insect excitatory toxin LqhITIb OS = Leirus quinquestriatus hebraeus9958.8(K)KYCDFTIIN(-)P6872285.4
B10, B11, B12Beta-insect excitatory toxin LqhITIc OS = Leirus quinquestriatus hebraeus9935.8(K)VMEISDTR(K)P6872373.7
B11, B12, B13Beta-insect excitatory toxin LqhITId OS = Leirus quinquestriatus hebraeus9992.8(K)VYYAEK(G)P6872471.7
B10, B11, B12Beta-toxin Isom1 OS = Isometrus vittatus7908.1(R)KKYCDYTIIN(-)P0C5H186.2
B9, B10, B11, B12Chlorotoxin OS = Leirus quinquestriatus quinquestriatus4004.8(-)MCMPCFTTDHQMAR(K)P4563985.8
B8, B9, B10Chlorotoxin-like peptide OS = Androctonus australis3598.4(-)MCIPCFTTNPNMAAK(C)P8643677.8
B1L-amino-acid oxidase (Fragment) OS= Daboia russelli siamensis46,371.9(R)IFFAGEYTANAHGWIDSTIKSGLTAAR(D)Q4F86782.4
B2, B16Neurotoxin-1″ OS = Androctonus australis9060.8(K)DLPDNVPIK(D)PO147984.8
B13, B18Lipolysis-activating peptide 1-alpha chain OS = Mesobuthus martensii GN = LVP1a11,329.2(K)YYCTILGENEYCR(K)Q6WJF586.8
B14Neurotoxin MeuNaTx-6 OS = Buthus eupeus7995(K)PHNCVYECFDAFSSYCNGV(C)E7CZY989.4
B17Toxin AaHIT4 OS = Androctonus australis 7786.0 (K)LACYCQGAR(K)P2115096.1
B19Beta-insect excitatory toxin LqhIT1d OS = Leiurus quinquestriatus hebraeus 9992.8 (K)VYYAEK(G)P6872471.7
B20, B21Beta-toxin BmKAs1 OS = Mesobuthus martensii 9802.7 (K)LACYCEGAPK(S)Q9UAC887.3
B22Beta-insect excitatory toxin LqhIT1c OS = Leiurus quinquestriatus hebraeus 9935.8 (K)VMEISDTR(K)P6872373.7
B12, B13Neurotoxin-1 OS = Androctonus australis9060.8(K)DLPDNVPIK(D)P0147984.8
B8Potassium channel toxin alpha-KTx 15.2 OS = Mesobuthus martensii6206.6(K)AIGVAAGK(C)Q8I0L587.0
B14, B15Potassium channel toxin alpha-KTx 3.4 OS = Leirus quinquestriatus hebraeus4020.9(-)GVPINVK(C)P4611095.2
B3, B4, B5, B6, B8, B9, B13Potassium channel toxin alpha-KTx 8.5 OS = Odontobuthus doriae3188.6(-)VSCEDCPEHCSTQK(A)P0CC1282.2
B8, B9Potassium channel toxin BmTXK-beta OS = Mesobuthus martensii10,430.6(K)AIGKCEDTECK(C)Q9NJC690.6
B11Potassium channel toxin MeuTXKbeta3 OS = Buthus eupeus10,338.2(K)YAVPESTLR(T)A9XE6086.1
B12, B13Toxin AaHIT4 OS = Androctonus australis7786.0(K)LACYCQGAR(K)P2115096.1
B10, B11Toxin Aam2 OS = Androctonus amoreuxi9283(K)NGAESGYCQWFGRYGNA(C)Q86SE077.9
B8Toxin BmKa3 OS = Mesobuthus martensii9425.9(K)LPDKVPIR(V)Q9GUA785.7
B13Toxin Isom2 OS = Isometrus vittatus7884.75(K)VHYADKGYCCLLSCY(C)P0C5H298.7
B8, B9Toxin Lqh4 OS = Leirus quinquestriatus hebraeus7220.3(K)YGNACWCIK(L)P8364489.6
Disclaimer/Publisher’s Note: The statements, opinions and data contained in all publications are solely those of the individual author(s) and contributor(s) and not of MDPI and/or the editor(s). MDPI and/or the editor(s) disclaim responsibility for any injury to people or property resulting from any ideas, methods, instructions or products referred to in the content.

Share and Cite

MDPI and ACS Style

Hilal, I.; Khourcha, S.; Safi, A.; Hmyene, A.; Asnawi, S.; Othman, I.; Stöcklin, R.; Oukkache, N. Comparative Proteomic Analysis of the Venoms from the Most Dangerous Scorpions in Morocco: Androctonus mauritanicus and Buthus occitanus. Life 2023, 13, 1133. https://doi.org/10.3390/life13051133

AMA Style

Hilal I, Khourcha S, Safi A, Hmyene A, Asnawi S, Othman I, Stöcklin R, Oukkache N. Comparative Proteomic Analysis of the Venoms from the Most Dangerous Scorpions in Morocco: Androctonus mauritanicus and Buthus occitanus. Life. 2023; 13(5):1133. https://doi.org/10.3390/life13051133

Chicago/Turabian Style

Hilal, Ines, Soukaina Khourcha, Amal Safi, Abdelaziz Hmyene, Syafiq Asnawi, Iekhsan Othman, Reto Stöcklin, and Naoual Oukkache. 2023. "Comparative Proteomic Analysis of the Venoms from the Most Dangerous Scorpions in Morocco: Androctonus mauritanicus and Buthus occitanus" Life 13, no. 5: 1133. https://doi.org/10.3390/life13051133

APA Style

Hilal, I., Khourcha, S., Safi, A., Hmyene, A., Asnawi, S., Othman, I., Stöcklin, R., & Oukkache, N. (2023). Comparative Proteomic Analysis of the Venoms from the Most Dangerous Scorpions in Morocco: Androctonus mauritanicus and Buthus occitanus. Life, 13(5), 1133. https://doi.org/10.3390/life13051133

Note that from the first issue of 2016, this journal uses article numbers instead of page numbers. See further details here.

Article Metrics

Back to TopTop