Radiation Doses in Cardiovascular Computed Tomography
Abstract
1. Introduction
2. Dose Definitions and Applications in Computed Tomography
2.1. MSAD—Multiple Scan Average Dose
2.2. CTDI—Computed Tomography Dose Index
2.3. CTDIvol—Volumetric Computed Tomography Dose Index
2.4. DLP—Dose-Length Product
2.5. SSDE—Size-Specific Dose Estimates
2.6. ED—Effective Dose
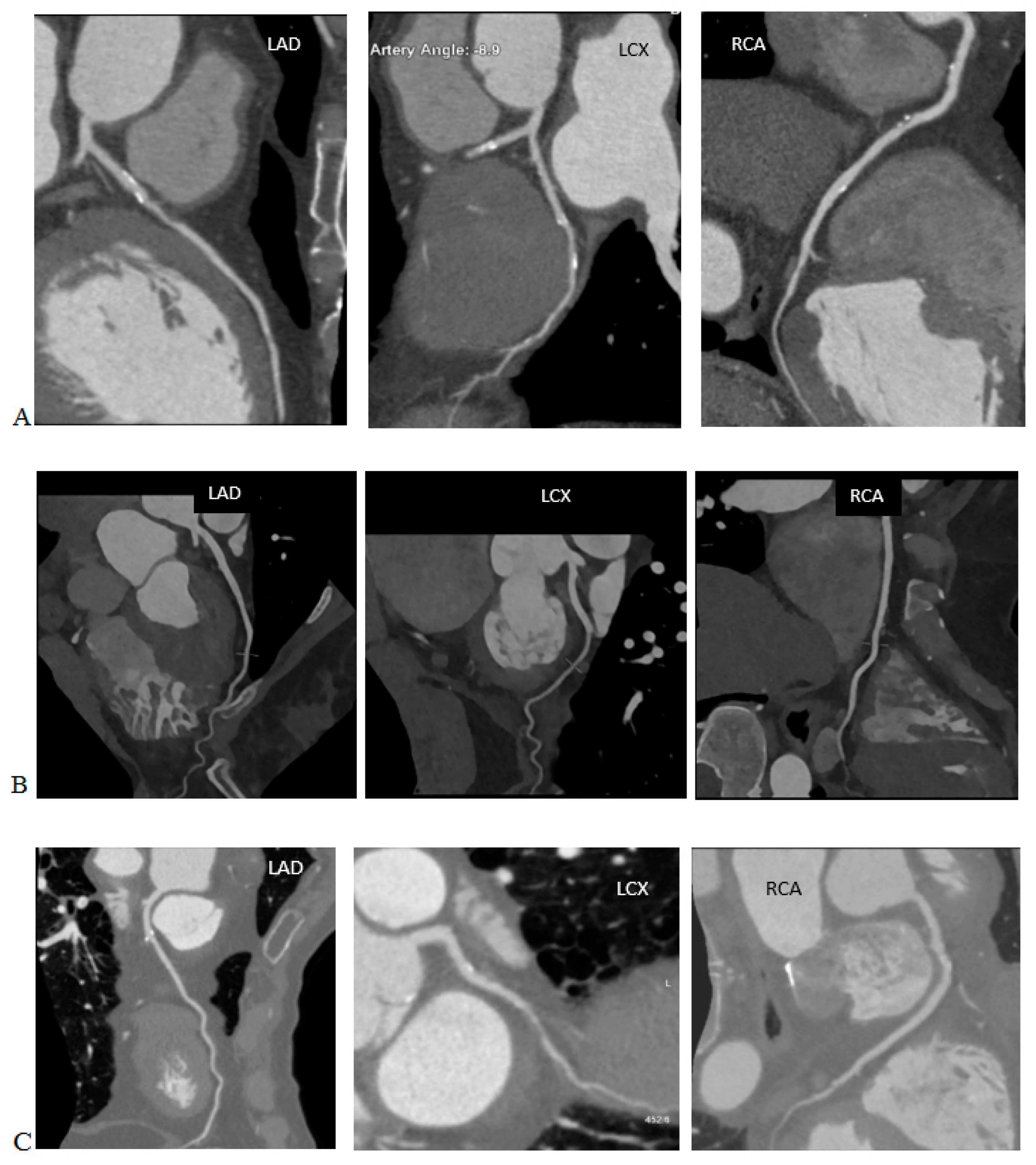
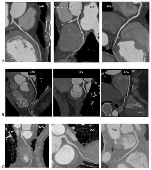
3. Radiation Doses in Cardiovascular CT Scans—A Review of Reports
4. Optimization Methods—Reduction in the Radiation Dose
- CT tube voltage reduction
- ECG-monitored radiation modulation (tube current)
- Iterative image reconstruction
- Deep learning-based image reconstruction and deep learning-based image denoising
- Reduction in the scan range (scan length)
- Prospective study protocols
- Modulation of the current intensity depends on the attenuation of the radiation
- Heart rate control
- Rational use of the calcium score coronary artery calcification test
- Multi-slice, dual-source and wide-field tomography
4.1. CT Tube Voltage Reduction
4.2. ECG-Monitored Radiation Modulation (Tube Current)
4.3. Iterative Image Reconstructions
4.4. Deep Learning-Based Image Reconstruction and Deep Learning-Based Image Denoising
4.5. Reduction in the Scan Range (Scan Length)
4.6. Prospective Study Protocols
4.7. The Modulation of the Current Intensity Depends on the Attenuation of the Radiation
4.8. Heart Rate Control
4.9. Rational Use of Calcium Score
4.10. Multi-Slice, Dual-Source and Wide-Field Tomography
5. Doses in the TAVI Studies
6. The Postulated New Values of The Organ Conversion Factor—k
7. Summary
Author Contributions
Funding
Institutional Review Board Statement
Informed Consent Statement
Data Availability Statement
Conflicts of Interest
Abbreviations
| ACR | American College of Radiology |
| AEC | Automatic exposure control |
| AHA | American Heart Association |
| ALARA | As low as reasonably achievable |
| BEIR Committee | Biologic Effects of Ionizing Radiation Committee |
| BMI | Body mass index |
| CS | Calcium score |
| CT | Computed tomography |
| CTA | Coronary tomography angiography |
| CTCA | Computed tomography coronary angiography |
| CTDI | Computed tomography dose index |
| CTDIvol | Volumetric computed tomography dose index |
| DLP | Dose-length product |
| DLR | Deep learning reconstruction |
| DLIR | Deep learning image reconstruction |
| ED | Effective dose |
| ERD | Effective radiation dose |
| FBP | Filtered back projection |
| ICA | Invasive coronarography angiography |
| IEC | International Electrotechnical Commission |
| IR | Iterative reconstruction |
| LAR | Lifetime attributable risk |
| LET | Linear energy transfer |
| MOSFET | Metal-oxide-semiconductor field-effect transistor |
| RDSR | Radiation dose structured report |
| SSCT | Society of Cardiovascular Computed Tomography |
| TAVI | Transcatheter aortic valve implantation |
| TAVR | Transcatheter aortic valve implantation replacement |
| UNSCEAR | United Nations Scientific Committee on the Effects of Atomic Radiation |
References
- Kordolaimi, S.D.; Efstathopoulos, E.P. Computed Tomography Radiation Dosimetry: From the indicators to the indications. J. Comput. Assist. Tomogr. 2014, 38, 807–814. [Google Scholar] [CrossRef] [PubMed]
- Harell, G.S.; Guthaner, D.F.; Breiman, R.S.; Morehouse, C.C.; Seppi, E.J.; Marshall, W.H.; Wexler, L. Stop-Action Cardiac Computed Tomography. Radiology 1977, 123, 515–517. [Google Scholar] [CrossRef]
- Guthaner, D.; Wexler, L.; Harell, G. CT demonstration of cardiac structures. Am. J. Roentgenol. 1979, 133, 75–81. [Google Scholar] [CrossRef] [PubMed]
- Budoff, M.; Achenbach, S.; Hecht, H.N.J. Atlas of Cardiovascular Computed Tomography; Springer: Berlin/Heidelberg, Germany, 2018. [Google Scholar]
- Achenbach, S.; Giesler, T.; Ropers, D.; Ulzheimer, S.; Derlien, H.; Schulte, C.; Wenkel, E.; Moshage, W.; Bautz, W.; Daniel, W.G.; et al. Detection of Coronary Artery Stenoses by Contrast-Enhanced, Retrospectively Electrocardiographically-Gated, Multislice Spiral Computed Tomography. Circulation 2001, 103, 2535–2538. [Google Scholar] [CrossRef] [PubMed]
- Knuuti, J.; Wijns, W.; Saraste, A.; Capodanno, D.; Barbato, E.; Funck-Brentano, C.; Prescott, E.; Storey, R.F.; Deaton, C.; Cuisset, T.; et al. 2019 ESC Guidelines for the diagnosis and management of chronic coronary syndromes. Eur. Heart J. 2020, 41, 407–477, Erratum in Eur. Heart J. 2020, 41, 4242. [Google Scholar] [CrossRef] [PubMed]
- Collet, J.P.; Thiele, H.; Barbato, E.; Barthélémy, O.; Bauersachs, J.; Bhatt, D.L.; Dendale, P.; Dorobantu, M.; Edvardsen, T.; Folliguet, T.; et al. 2020 ESC Guidelines for the management of acute coronary syndromes in patients presenting without persistent ST-segment elevation. Eur. Heart J. 2021, 42, 1289–1367, Erratum in Eur. Heart J. 2021, 42, 1908; Erratum in Eur. Heart J. 2021, 42, 1925; Erratum in Eur. Heart J. 2021, 42, 2298. [Google Scholar] [CrossRef]
- Mayo, J.R.; Leipsic, J.A. Radiation dose in cardiac CT. AJR Am. J. Roentgenol. 2009, 192, 646–653. [Google Scholar] [CrossRef] [PubMed]
- Costello, J.E.; Cecava, N.D.; Tucker, J.E.; Bau, J.L. Radiatradiation and chest: Current controversies and dose reduction strategies. AJR Am. J. Roentgenol. 2013, 201, 1283–1290. [Google Scholar] [CrossRef]
- Sarma, A.; Heilbrun, M.E.; Conner, K.E.; Stevens, S.M.; Woller, S.C.; Elliott, C.G. Radiation and chest CT scan examinations: What do we know? Chest 2012, 142, 750–760. [Google Scholar] [CrossRef]
- Committee to Assess Health Risks from Exposure to Low Levels of Ionizing Radiation. National Research Council. Health Risks from Exposure to low levels of Ionizing Radiation: BEIR VII–Phase 2; National Academies Press: Washington, DC, USA, 2006. [Google Scholar]
- Cardis, E.; Vrijheid, M.; Blettner, M.; Gilbert, E.; Hakama, M.; Hill, C.; Howe, G.; Kaldor, J.; Muirhead, C.R.; Schubauer-Berigan, M.; et al. The 15-Country Collaborative Study of Cancer Risk among Radiation Workers in the Nuclear Industry: Estimates of Radiation-Related Cancer Risks. Radiat. Res. 2007, 167, 396–416. [Google Scholar] [CrossRef]
- Imanishi, Y.; Fukui, A.; Niimi, H.; Itoh, D.; Nozaki, K.; Nakaji, S.; Ishizuka, K.; Tabata, H.; Furuya, Y.; Uzura, M.; et al. Radiation-induced temporary hair loss as a radiation damage only occurring in patients who had the combination of MDCT and DSA. Eur. Radiol. 2004, 15, 41–46. [Google Scholar] [CrossRef] [PubMed]
- Kreuzer, M.; Auvinen, A.; Cardis, E.; Hall, J.; Jourdain, J.-R.; Laurier, D.; Little, M.P.; Peters, A.; Raj, K.; Russell, N.S.; et al. Low-dose ionising radiation and cardiovascular diseases—Strategies for molecular epidemiological studies in Europe. Mutat. Res. Mol. Mech. Mutagen. 2015, 764, 90–100. [Google Scholar] [CrossRef] [PubMed]
- Tang, F.R.; Loganovsky, K. Low dose or low dose rate ionizing radiation-induced health effect in the human. J. Environ. Radioact. 2018, 192, 32–47. [Google Scholar] [CrossRef] [PubMed]
- Baselet, B.; Rombouts, C.; Benotmane, A.M.; Baatout, S.; Aerts, A. Cardiovascular diseases related to ionizing radiation: The risk of low-dose exposure (Review). Int. J. Mol. Med. 2016, 38, 1623–1641. [Google Scholar] [CrossRef]
- Liu, X.-C.; Zhou, P.-K. Tissue Reactions and Mechanism in Cardiovascular Diseases Induced by Radiation. Int. J. Mol. Sci. 2022, 23, 14786. [Google Scholar] [CrossRef]
- Skrzyński, W. Tomograficzny Indeks Dawki CTDI. Available online: https://www.researchgate.net/publication/315658247_Tomograficzny_indeks_dawki_CTDI (accessed on 15 November 2022).
- Shapiro, B.P.; Young, P.M.; Kantor, B.; Choe, Y.H.; McCollough, C.H.; Gerber, T.C. Radiation Dose Reduction in CT Coronary Angiography. Curr. Cardiol. Rep. 2010, 12, 59–67. [Google Scholar] [CrossRef]
- Huda, W.; Tipnis, S.; Sterzik, A.; Schoepf, U.J. Computing effective dose in cardiac CT. Phys. Med. Biol. 2010, 55, 3675–3684. [Google Scholar] [CrossRef]
- Gerber, T.C.; Carr, J.J.; Arai, A.E.; Dixon, R.L.; Ferrari, V.A.; Gomes, A.S.; Heller, G.V.; McCollough, C.H.; McNitt-Gray, M.F.; Mettler, F.A.; et al. Ionizing Radiation in Cardiac Imaging: A science advisory from the American Heart Association Committee on Cardiac Imaging of the Council on Clinical Cardiology and Committee on Cardiovascular Imaging and Intervention of the Council on Cardiovascular Radiology and Intervention. Circulation 2009, 119, 1056–1065. [Google Scholar] [CrossRef]
- Kalender, W.A. Dose in x-ray computed tomography. Phys. Med. Biol. 2014, 59, R129–R150. [Google Scholar] [CrossRef]
- Trattner, S.; Halliburton, S.; Thompson, C.M.; Xu, Y.; Chelliah, A.; Jambawalikar, S.R.; Peng, B.; Peters, M.R.; Jacobs, J.E.; Ghesani, M.; et al. Cardiac-Specific Conversion Factors to Estimate Radiation Effective Dose from Dose-Length Product in Computed Tomography. JACC Cardiovasc. Imaging. 2018, 11, 64–74. [Google Scholar] [CrossRef]
- Geleijns, J.; Joemai, R.M.S.; Dewey, M.; de Roos, A.; Zankl, M.; Cantera, A.C.; Artells, M.S. Radiation Exposure to Patients in a Multicenter Coronary Angiography Trial (CORE 64). Am. J. Roentgenol. 2011, 196, 1126–1132. [Google Scholar] [CrossRef]
- Lin, Z.X.; Zhou, C.S.; Schoepf, U.J.; Eid, M.; Duguay, T.M.; Greenberg, W.T.; Luo, S.; Quan, W.; Zhou, F.; Lu, G.M.; et al. Coronary CT angiography radiation dose trends: A 10-year analysis to develop institutional diagnostic reference levels. Eur. J. Radiol. 2019, 113, 140–147. [Google Scholar] [CrossRef]
- Schmermund, A.; Marwan, M.; Hausleiter, J.; Barth, S.; Bruder, O.; Kerber, S.; Korosoglou, G.; Leber, A.; Moshage, W.; Schröder, S.; et al. Declining radiation dose of coronary computed tomography angiography: German cardiac CT registry experience 2009–2014. Clin. Res. Cardiol. 2017, 106, 905–912. [Google Scholar] [CrossRef]
- Alkhorayef, M.; Sulieman, A.; Alzahrani, K.; Abuzaid, M.; Alomair, O.I.; Almuwannis, M.; Alghamdi, S.; Tamam, N.; Bradley, D.A. Radiation risk for patients undergoing cardiac computed tomography examinations. Appl. Radiat. Isot. 2020, 168, 109520. [Google Scholar] [CrossRef] [PubMed]
- Lubbers, M.; Dedic, A.; Coenen, A.; Galema, T.; Akkerhuis, J.; Bruning, T.; Krenning, B.; Musters, P.; Ouhlous, M.; Liem, A.; et al. Calcium imaging and selective computed tomography angiography in comparison to functional testing for suspected coronary artery disease: The multicentre, randomized CRESCENT trial. Eur. Hear. J. 2016, 37, 1232–1243. [Google Scholar] [CrossRef]
- Stocker, T.J.; Deseive, S.; Leipsic, J.; Hadamitzky, M.; Chen, M.Y.; Rubinshtein, R.; Heckner, M.; Bax, J.J.; Fang, X.M.; Grove, E.L.; et al. Reduction in radiation exposure in cardio-vascular computed tomography imaging: Results from the PROspective multicenter registry on radiaTion dose Estimates of cardiac CT angIOgraphy iN daily practice in 2017 (PROTECTION VI). Eur. Heart J. 2018, 39, 3715–3723. [Google Scholar] [CrossRef] [PubMed]
- Stocker, T.J.; Leipsic, J.; Hadamitzky, M.; Chen, M.Y.; Rubinshtein, R.; Deseive, S.; Heckner, M.; Bax, J.J.; Kitagawa, K.; Marques, H.; et al. Application of Low Tube Potentials in CCTA: Results from the PROTECTION VI Study. JACC Cardiovasc. Imaging. 2020, 13, 425–434. [Google Scholar] [CrossRef] [PubMed]
- Stocker, T.J.; Deseive, S.; Chen, M.; Leipsic, J.; Hadamitzky, M.; Rubinshtein, R.; Grove, E.L.; Fang, X.-M.; Lesser, J.; Maurovich-Horvat, P.; et al. Rationale and design of the worldwide prospective multicenter registry on radiation dose estimates of cardiac CT angiography in daily practice in 2017 (PROTECTION VI). J. Cardiovasc. Comput. Tomogr. 2017, 12, 81–85. [Google Scholar] [CrossRef] [PubMed]
- Harries, I.; Weir-McCall, J.R.; Williams, M.C.; Shambrook, J.; Roditi, G.; Bull, R.; Morgan-Hughes, G.J.; Nicol, E.D.; Moss, A.J. CT imaging prior to transcatheter aortic valve implantation in the UK. Open Hear. 2020, 7, e001233. [Google Scholar] [CrossRef]
- Alhailiy, A.B.; Ekpo, E.U.; A Ryan, E.; Kench, P.L.; Brennan, P.C.; McEntee, M.F. Diagnostic reference levels for cardiac ct angiography in australia. Radiat. Prot. Dosim. 2018, 182, 525–531. [Google Scholar] [CrossRef]
- Mafalanka, F.; Etard, C.; Rehel, J.L.; Pesenti-Rossi, D.; Amrar-Vennier, F.; Baron, N.; Christiaens, L.; Convers-Domart, R.; Defez, D.; Douek, P.; et al. Establishment of diagnostic reference levels in cardiac CT in France: A need for patient dose optimisation. Radiat. Prot. Dosim. 2014, 164, 116–119. [Google Scholar] [CrossRef] [PubMed]
- Alhailiy, A.B.; Kench, P.L.; McEntee, M.F.; Brennan, P.C.; A Ryan, E. Establishing diagnostic reference levels for cardiac computed tomography angiography in saudi arabia. Radiat. Prot. Dosim. 2018, 181, 129–134. [Google Scholar] [CrossRef] [PubMed]
- Chen, L.-G.; Wu, P.-A.; Tu, H.-Y.; Sheu, M.-H.; Huang, L.-C. Diagnostic reference levels of cardiac computed tomography angiography in a single medical center in taiwan: A 3-y analysis. Radiat. Prot. Dosim. 2021, 194, 36–41. [Google Scholar] [CrossRef] [PubMed]
- Einstein, A.J.; Henzlova, M.J.; Rajagopalan, S. Estimating Risk of Cancer Associated with Radiation Exposure From 64-Slice Computed Tomography Coronary Angiography. JAMA 2007, 298, 317–323. [Google Scholar] [CrossRef] [PubMed]
- Hurwitz, L.M.; Reiman, R.E.; Yoshizumi, T.T.; Goodman, P.C.; Toncheva, G.; Nguyen, G.; Lowry, C. Radiation Dose from Contemporary Cardiothoracic Multidetector CT Protocols with an Anthropomorphic Female Phantom: Implications for Cancer Induction. Radiology 2007, 245, 742–750. [Google Scholar] [CrossRef]
- Huda, W. Radiation Doses and Risks in Chest Computed Tomography Examinations. Proc. Am. Thorac. Soc. 2007, 4, 316–320. [Google Scholar] [CrossRef]
- Truong, Q.A.; Rinehart, S.; Abbara, S.; Achenbach, S.; Berman, D.S.; Bullock-Palmer, R.; Carrascosa, P.; Chinnaiyan, K.M.; Dey, D.; Ferencik, M.; et al. Coronary computed tomographic imaging in women: An expert consensus statement from the Society of Cardiovascular Computed Tomography. J. Cardiovasc. Comput. Tomogr. 2018, 12, 451–466. [Google Scholar] [CrossRef]
- Strona Ministerstwa Klimatu i Środowiska Rzeczpospolitej Polskiej. Available online: https://www.gov.pl/web/klimat/promieniowanie-jonizujace (accessed on 18 November 2022).
- Bischoff, B.; Hein, F.; Meyer, T.; Hadamitzky, M.; Martinoff, S.; Schömig, A.; Hausleiter, J. Impact of a reduced tube voltage on CT angi-ography and radiation dose: Results of the PROTECTION I study. JACC Cardiovasc. Imaging. 2009, 2, 940–946. [Google Scholar] [CrossRef]
- Piechowiak, E.I.; Peter, J.-F.W.; Kleb, B.; Klose, K.J.; Heverhagen, J. Intravenous Iodinated Contrast Agents Amplify DNA Radiation Damage at CT. Radiology 2015, 275, 692–697. [Google Scholar] [CrossRef]
- Spears, J.R.; Schoepf, U.J.; Henzler, T.; Joshi, G.; Moscariello, A.; Vliegenthart, R.; Cho, Y.J.; Apfaltrer, P.; Rowe, G.; Weininger, M.; et al. Comparison of the Effect of Iterative Reconstruction versus Filtered Back Projection on Cardiac CT Postprocessing. Acad. Radiol. 2014, 21, 318–324. [Google Scholar] [CrossRef]
- Naoum, C.; Blanke, P.; Leipsic, J. Iterative reconstruction in cardiac CT. J. Cardiovasc. Comput. Tomogr. 2015, 9, 255–263. [Google Scholar] [CrossRef] [PubMed]
- Tumur, O.; Soon, K.; Brown, F.; Mykytowycz, M. New scanning technique using Adaptive Statistical Iterative Reconstruction (ASIR) significantly reduced the radiation dose of cardiac CT. J. Med Imaging Radiat. Oncol. 2013, 57, 292–296. [Google Scholar] [CrossRef] [PubMed]
- Renker, M.; Ramachandra, A.; Schoepf, U.J.; Raupach, R.; Apfaltrer, P.; Rowe, G.W.; Vogt, S.; Flohr, T.G.; Kerl, J.M.; Bauer, R.W.; et al. Iterative image reconstruction techniques: Applications for cardiac CT. J. Cardiovasc. Comput. Tomogr. 2011, 5, 225–230. [Google Scholar] [CrossRef] [PubMed]
- Shin, Y.J.; Chang, W.; Ye, J.C.; Kang, E.; Oh, D.Y.; Lee, Y.J.; Park, J.H.; Kim, Y.H. Low-Dose Abdominal CT Using a Deep Learning-Based Denoising Algorithm: A Comparison with CT Reconstructed with Filtered Back Projection or Iterative Reconstruction Algorithm. Korean J. Radiol. 2020, 21, 356–364. [Google Scholar] [CrossRef]
- Kulathilake, K.A.S.H.; Abdullah, N.A.; Sabri, A.Q.M.; Lai, K.W. A review on Deep Learning approaches for low-dose Computed Tomography restoration. Complex Intell. Syst. 2021, 1–33. [Google Scholar] [CrossRef] [PubMed]
- Kaur, R.; Juneja, M.; Mandal, A.K. A comprehensive review of denoising techniques for abdominal CT images. Multimedia Tools Appl. 2018, 77, 22735–22770. [Google Scholar] [CrossRef]
- Nagayama, Y.; Sakabe, D.; Goto, M.; Emoto, T.; Oda, S.; Nakaura, T.; Kidoh, M.; Uetani, H.; Funama, Y.; Hirai, T. Deep Learning–based Reconstruction for Lower-Dose Pediatric CT: Technical Principles, Image Characteristics, and Clinical Implementations. Radiographics 2021, 41, 1936–1953. [Google Scholar] [CrossRef]
- Benz, D.C.; Ersözlü, S.; Mojon, F.L.A.; Messerli, M.; Mitulla, A.K.; Ciancone, D.; Kenkel, D.; Schaab, J.A.; Gebhard, C.; Pazhenkottil, A.P.; et al. Radiation dose reduction with deep-learning image reconstruction for coronary computed tomography angiography. Eur. Radiol. 2021, 32, 2620–2628. [Google Scholar] [CrossRef]
- Bernard, A.; Comby, P.-O.; Lemogne, B.; Haioun, K.; Ricolfi, F.; Chevallier, O.; Loffroy, R. Deep learning reconstruction versus iterative reconstruction for cardiac CT angiography in a stroke imaging protocol: Reduced radiation dose and improved image quality. Quant. Imaging Med. Surg. 2021, 11, 392–401. [Google Scholar] [CrossRef]
- Kang, E.; Koo, H.J.; Yang, D.H.; Seo, J.B.; Ye, J.C. Cycle-consistent adversarial denoising network for multiphase coronary CT angiography. Med Phys. 2018, 46, 550–562. [Google Scholar] [CrossRef]
- Kosmala, A.; Petritsch, B.; Weng, A.M.; Bley, T.A.; Gassenmaier, T. Radiation dose of coronary CT angiography with a third-generation dual-source CT in a “real-world” patient population. Eur. Radiol. 2018, 29, 4341–4348. [Google Scholar] [CrossRef] [PubMed]
- Madaj, P.; Li, D.; Nakanishi, R.; Andreini, D.; Pontone, G.; Conte, E.; Franzcr, R.O.; Hamilton-Craig, C.; Nimmagadda, M.; Kim, N.; et al. Lower Radiation Dosing in Cardiac CT Angiography: The CONVERGE Registry. J. Nucl. Med. Technol. 2020, 48, 58–62. [Google Scholar] [CrossRef] [PubMed]
- Soschynski, M.; Hagen, F.; Baumann, S.; Hagar, M.T.; Weiss, J.; Krauss, T.; Schlett, C.L.; Mühlen, C.V.Z.; Bamberg, F.; Nikolaou, K.; et al. High Temporal Resolution Dual-Source Photon-Counting CT for Coronary Artery Disease: Initial Multicenter Clinical Experience. J. Clin. Med. 2022, 11, 6003. [Google Scholar] [CrossRef] [PubMed]
- Blanke, P.; Weir-McCall, J.R.; Achenbach, S.; Delgado, V.; Hausleiter, J.; Jilaihawi, H.; Marwan, M.; Nørgaard, B.L.; Piazza, N.; Schoenhagen, P.; et al. Computed tomography imaging in the context of transcatheter aortic valve implantation (TAVI)/transcatheter aortic valve replacement (TAVR) an expert consensus document of the Society of Cardiovascular Computed Tomography. JACC: Cardiovasc. Imaging 2019, 12, 1–24. [Google Scholar] [CrossRef]
- Shnayien, S.; Beetz, N.L.; Bressem, K.K.; Hamm, B.; Niehues, S.M. Comparison of a High-Pitch Non-ECG-Gated and a Prospective ECG-Gated Protocol for Preprocedural Computed Tomography Imaging Before TAVI/TAVR. Rofo 2022, 195, 139–147. [Google Scholar] [CrossRef]
- Dankerl, P.; Hammon, M.; Seuss, H.; Tröbs, M.; Schuhbaeck, A.; Hell, M.M.; Cavallaro, A.; Achenbach, S.; Uder, M.; Marwan, M. Computer-aided evaluation of low-dose and low-contrast agent third-generation dual-source CT angiography prior to transcatheter aortic valve implantation (TAVI). Int. J. Comput. Assist. Radiol. Surg. 2016, 12, 795–802. [Google Scholar] [CrossRef]
- Schicchi, N.; Fogante, M.; Pirani, P.E.; Agliata, G.; Piva, T.; Tagliati, C.; Marcucci, M.; Francioso, A.; Giovagnoni, A. Third generation dual source CT with ultra-high pitch protocol for TAVI planning and coronary tree assessment: Feasibility, image quality and diagnostic performance. Eur. J. Radiol. 2019, 122, 108749. [Google Scholar] [CrossRef]
- Annoni, A.D.; Andreini, D.; Pontone, G.; Mancini, M.E.; Formenti, A.; Mushtaq, S.; Baggiano, A.; Conte, E.; Guglielmo, M.; Muscogiuri, G.; et al. CT angiography prior to TAVI procedure using third-generation scanner with wide volume coverage: Feasibility, renal safety and diagnostic accuracy for coronary tree. Br. J. Radiol. 2018, 91, 20180196. [Google Scholar] [CrossRef]
- Wuest, W.; Anders, K.; Schuhbaeck, A.; May, M.S.; Gauss, S.; Marwan, M.; Arnold, M.; Ensminger, S.; Muschiol, G.; Daniel, W.G.; et al. Dual source multidetector CT-angiography before Transcatheter Aortic Valve Implantation (TAVI) using a high-pitch spiral acquisition mode. Eur. Radiol. 2011, 22, 51–58. [Google Scholar] [CrossRef]





| Study | Year of the Survey/Publication | Kind of Protocol | Radiation Doses |
|---|---|---|---|
| CORE-64 study | 2010 (publication) | CCTA | ED 19 mSv (range: 16–26 mSv) DLP 633.3 mGy*cm (range: 533.3–866.6 mGy*cm) (mean) k = 0.030 mSv/mGy*cm |
| CS | ED 1.7–2.6 mSv DLP 56.6–86.6 mGy*cm (mean) k = 0.030 mSv/mGy*cm | ||
| University Center in Nanjing (China) | 2007–2016 (survey) | CS+CCTA | DLP 661.2 mGy*cm (range: 315.2–940.0 mGy*cm) (median) |
| 2016 (survey) | CS+CCTA | DLP 268.2 mGy*cm (range: 183.0–393.6 mGy*cm) (median) | |
| German Cardiac CT Registry | 2009–2014 (survey) | CCTA | DLP 255 mGy*cm (median) k = 0.014 mSv/mGy*cm |
| CS | DLP 40 mGy*cm (median) k = 0.014 mSv/mGy*cm | ||
| 2014 (survey) | CCTA | DLP 176 mGy*cm (median) k = 0.014 mSv/mGy*cm | |
| USA multicentre data | 2012 (publication) | CCTA | DLP 621–1143 mGy*cm (mean) k = 0.014 mSv/mGy*cm |
| CS | DLP 214 mGy*cm (mean) k = 0.014 mSv/mGy*cm | ||
| TROCT | DLP 286–1386 mGy*cm (mean) k = 0.014 mSv/mGy*cm | ||
| Saudi Arabia four centres | 2020 (publication) | CS+CCTA | DLP 383.8 ± 354 mGy*cm (mean) |
| CRESCENT | 2011–2013 (survey) | CS+CCTA | ED 8.5 mSv DLP 607.1 mGy*cm (mean) k = 0.014 mSv/mGy*cm |
| CS | ED 2.4 mSv DLP 171.4 mGy*cm (mean) k = 0.014 mSv/mGy*cm | ||
| PROTECTION VI | 2017 (survey) | CCTA | 195 mGy*cm (range: 110–338 mGy*cm) (median) |
| CS+CCTA | 252 mGy*cm (range: 154–412 mGy*cm) |
| Study | Year of the Survey/Publication | Reference Level |
|---|---|---|
| PROTECTION I | 2007 | DLP 1200 mGy*cm |
| PROTECTION VI | 2017 | DLP 400 mGy*cm |
| DRL in CCTA in Australia | 2018 | DLP 268 mGy*cm for the CCTA DLP 137 mGy*cm for the CS |
| DRL in CCTA in France | 2013 | DLP 370 mGy*cm for the prospective protocols DLP 870 mGy*cm for the retrospective protocols |
| DRL in CCTA in Saudi Arabia | 2016 | DLP 393 mGy*cm for the prospective protocols DLP 1057 mGy*cm for the retrospective protocols |
| DRL in CCTA in Taiwan | 2017–2019 | DLP 560.1 mGy*cm for the CCTA DLP 39.2 mGy*cm for the CS |
| Ionising Radiation (Medical Exposure) Regulations UK | 2017 | DLP 380 mGy*cm for the retrospective acquisitions with an ECG gating |
| DLP 170 mGy*cm for the prospective acquisitions without padding |
Disclaimer/Publisher’s Note: The statements, opinions and data contained in all publications are solely those of the individual author(s) and contributor(s) and not of MDPI and/or the editor(s). MDPI and/or the editor(s) disclaim responsibility for any injury to people or property resulting from any ideas, methods, instructions or products referred to in the content. |
© 2023 by the authors. Licensee MDPI, Basel, Switzerland. This article is an open access article distributed under the terms and conditions of the Creative Commons Attribution (CC BY) license (https://creativecommons.org/licenses/by/4.0/).
Share and Cite
Kędzierski, B.; Macek, P.; Dziadkowiec-Macek, B.; Truszkiewicz, K.; Poręba, R.; Gać, P. Radiation Doses in Cardiovascular Computed Tomography. Life 2023, 13, 990. https://doi.org/10.3390/life13040990
Kędzierski B, Macek P, Dziadkowiec-Macek B, Truszkiewicz K, Poręba R, Gać P. Radiation Doses in Cardiovascular Computed Tomography. Life. 2023; 13(4):990. https://doi.org/10.3390/life13040990
Chicago/Turabian StyleKędzierski, Bartłomiej, Piotr Macek, Barbara Dziadkowiec-Macek, Krystian Truszkiewicz, Rafał Poręba, and Paweł Gać. 2023. "Radiation Doses in Cardiovascular Computed Tomography" Life 13, no. 4: 990. https://doi.org/10.3390/life13040990
APA StyleKędzierski, B., Macek, P., Dziadkowiec-Macek, B., Truszkiewicz, K., Poręba, R., & Gać, P. (2023). Radiation Doses in Cardiovascular Computed Tomography. Life, 13(4), 990. https://doi.org/10.3390/life13040990

