Abstract
Recently, researchers have been intensively looking for novel, safe antibiotic alternatives because of the prevalence of many clinical and subclinical diseases affecting bird flocks and the risks of using antibiotics in subtherapeutic doses as feed additives. The present study intended to evaluate the potential use of 1,3-β-glucans (GLC) as antibiotic alternative growth promotors and assessed the effect of their dietary inclusion on the growth performance, carcass traits, chemical composition of breast muscles, economic efficiency, blood biochemical parameters, liver histopathology, antioxidant activity, and the proinflammatory response of broiler chickens. This study used 200 three-day-old ROSS broiler chickens (50 chicks/group, 10 chicks/replicate, with an average body weight of 98.71 ± 0.17 g/chick). They were assigned to four experimental groups with four dietary levels of GLC, namely 0, 50, 100, and 150 mg kg−1, for a 35-day feeding period. Birds fed diets containing GLC showed an identical different growth rate to the control group. However, the total feed intake (TFI) increased quadratically in the GLC50 and GLC100 groups as compared to that in the control group. GLC addition had no significant effect on the weights of internal and immune organs, except for a decrease in bursal weight in the GLC150 group (p = 0.01). Dietary GLC addition increased the feed cost and total cost at 50 and 100 mg kg−1 doses. The percentages of n-3 and n-6 PUFA in the breast muscle of broiler chickens fed GLC-supplemented diets increased linearly in a dose-dependent manner (p < 0.01). The serum alanine aminotransferase (ALT) level and the uric acid level were quadratically increased in the GLC150 group. The serum levels of total antioxidant capacity, catalase, superoxide dismutase, interleukin-1β, and interferon-gamma linearly increased, while the MDA level decreased in the GLC-fed groups in a dose-dependent manner. Normal histological characterization of different liver structures in the different groups with moderate round cells was noted as a natural immune response around the hepatic portal area. The different experimental groups showed an average percentage of positive immunostaining to the proinflammatory marker transforming growth factor-beta with an increase in the dose of GLC addition. The results suggest that GLC up to 100 mg kg−1 concentration can be used as a feed additive in the diets of broiler chickens and shows no adverse effects on their growth, dressing percentage, and internal organs. GLC addition in diets improves the antioxidant activity and immune response in birds. GLC help enrich the breast muscle with n-3 and n-6 polyunsaturated fatty acids.
1. Introduction
The economic production of broiler chickens is critical for sustained meat supply, and feed is a crucial factor that influences the economic and productive performance of broiler chickens [1,2]. Antibiotic supplements are used in animal diets to boost their growth, feed efficiency, and disease resistance. Irrational use of antibiotics in animal feed has resulted in an increase in antibiotic-resistant bacteria, thereby endangering human health and influencing the natural growth of livestock production. Since the prohibition of antibiotic use as a feed additive in 2006 by the European Union, there is an urgent need to investigate and broaden the range of antibiotic alternatives [3]. Several potential immune modulators may act as substitutes for antibiotics used in animal production to promote growth and disease resistance [4,5,6]. Specific feed ingredients in poultry diets improve digestion by creating a favorable gut environment [2]. Different feed additives can now be used as growth promoters instead of antibiotics [4,7].
β-glucans (GLC) are glucan polymers derived from the cell walls of yeast, fungi, and bacteria as well as cereal grains such as barley and oat [8]. 1,3 β-glucans are chains of glucose molecules linked together by β-glycosidic bonds between carbons #1 and #3. Significant structural variations in GLC from these sources lead to differences in their physiological mechanisms [9]. Because of their highly branched structure, GLC derived from yeast and fungal sources are the most efficient for boosting immunity against pathogenic organisms [10,11]. These GLC can reduce coccidia infection in growing pullets and laying hens [12]. GLC can boost both innate and adaptive immune responses [8].
The addition of GLC to feed enhanced gut health and disease resistance in birds challenged with necrotic enteritis by stimulating the gene expression of antimicrobial peptides [13]. By enhancing the populations of cells secreting IgA and goblet cells, yeast-based GLC can serve as growth inducers and prospective antibiotic alternatives against specific microorganisms in birds [14]. Moreover, macrophages obtained from chickens fed a diet supplemented with GLC showed upregulated expression of IL-1 [15], IL-2, interferon (IFN)-γ [16], IL-4, and IL-18 [17]. Additionally, yeast GLC boosted humoral and cell-mediated immune responses in broilers [8,18]. Other studies have found that yeast GLC are absorbed through the intestinal mucosa and promote the innate immune system, thereby causing a higher production of macrophages, monocytes, and cytokines and a lower susceptibility to diseases [8,19]. GLC supplementation increased lysozyme and complement levels, increased CD3 and CD20 expression, altered tight junction protein expression, and improved phagocytic activity [20,21].
In the present study, we used algae-based GLC produced from a unique species of microalgae (Euglena gracilis) with more than 50% content of 1,3 β-glucan, unlike yeast-based GLC that contain 5–15% 1,3 β-glucan. The high digestibility of algal cells makes GLC more bioavailable without extraction. Therefore, the aim of the present study was to assess the potential effects of the dietary addition of algae-based GLC as antibiotic alternative growth promoters on some production performance and health aspects of broiler chickens such as growth, carcass traits, economic efficiency, chemical composition of breast muscles, blood biochemical parameters, liver histopathology, antioxidant activity, and proinflammatory responses in broiler chickens.
2. Materials and Methods
2.1. Birds, Experimental Design, and Diets
The experimental protocol received ethical approval from the Institutional Animal Care and Use Committee of Zagazig University in Egypt (approval no. ZU-IACUC/2/F/153/2022).
A total of 200 one-day-old mixed chicks (Ross 308 broiler) were obtained from a commercial chick producer (Al-Abrar Hatchery, Abou Hammad, Al Sharqia Governorate, Egypt). Chicks were reared in an open, well-ventilated house with sawdust bedding (7 birds/m2). The experiment lasted for 35 days. During the first week, the building temperature was set at 34 °C and gradually reduced until it reached 25 °C at the end of the experiment. The illumination regime was set to 23:1 h light/dark, then 20:4 h light/dark until the end of the experiment. The birds were exposed to a 3-day adaptation period prior to the experiment to achieve an average body weight (BW) of 98.71 ± 0.17 g. They were then randomly assigned to four treatment groups with five replicates for each group (10 chicks/replicate). Chicks were fed basal diets supplemented with four concentrations of GLC (AletaTM, Kemin Industries, Scott Ave Des Moines, IA, USA): 0, 50, 100, and 150 mg kg−1 of diet. The treatment groups were designated as GLC0, GLC50, GLC100, and GLC150, respectively. The birds were fed the experimental diets on three feeding periods: starter (4th–10th day), grower (11th–23rd day), and finisher period (24th–35th day). The GLC was mechanically mixed with other feed ingredients and offered to the birds in a mash form. The proximate composition of the basal diet is shown in Table 1. The experimental diets and bird management conditions were designed in accordance with the Ross 308 broiler nutrition specifications, AVIAGEN [22]. The birds that remained after the study were released.
Table 1.
The proximate chemical composition of the basal diet as fed basis (%).
2.2. Growth Performance
Chickens were singly weighed on the 4th day of life to determine the average initial BW. BW, BW gain (BWG), and feed intake (FI) were then recorded at 10, 23, and 35 days. The feed conversion ratio (FCR) was calculated by dividing FI by BWG.
The protein efficiency ratio (PER) was calculated according to McDonald et al. [23].
The relative growth rate (RGR) was calculated according to Brody [24].
where W1 = initial body weight (g) and W2 = final body weight (g).
2.3. Sampling
At the end of the feeding period, the birds (10 birds/group) were euthanized by cervical dislocation [25]. The blood was collected in plain centrifuge tubes without an anticoagulant and centrifuged at 3000 rpm for 15 min to separate serum [26]. Samples from the breast muscle were collected for fatty acid analysis and proximate composition determination. The serum samples were stored in a deep freezer at −20 °C until physicochemical analysis. We collected liver samples for histological analysis and liver and spleen samples for immunohistochemistry.
2.4. Carcass, Gut, and Immune Organ Characteristics
Ten birds from each group were randomly chosen, fasted, and euthanized by cervical dislocation [25]. The weight of hot carcass was determined. The plucked and eviscerated carcasses were stripped of their feet; feathers; heads; and internal organs such as the liver, heart, gizzard, bursa of Fabricus, spleen, and digestive system. The carcass weight was determined, and the dressing percentage was estimated as follows:
2.5. Fatty Acid Profile and Chemical Composition of Breast Muscles
At the end of the feeding period, five breast muscle samples were collected from each group. The proximate composition of the breast muscles (percentage content of dry matter, crude protein, fat, and ash) was determined. We also extracted the oils from the breast muscle by using a solvent mixture of chloroform/methanol (2:1, v/v) for fatty acid analysis [27]. The chemical composition of the breast muscles and fatty acid profile in the extracted oil were determined following the method of AOAC [28].
2.6. Blood Biochemical Indices
An automatic biochemical analyzer (Robonik Prietest ECO, Navi Mumbai, India) was used to measure serum creatinine and uric acid levels [29,30]. We also measured the serum levels of alanine aminotransferase (ALT) and aspartate aminotransferase (AST) [31].
2.7. Antioxidant Activity and Inflammatory Indices
The serum malondialdehyde (MDA) level was measured according to the method of Mcdonald and Hultin [32]. We also measured serum superoxide dismutase (SOD) activity [33], catalase (CAT) [34], and total antioxidant capacity (TAC) [35]. Specific ELISA assay kits (MyBioSource, San Diego, CA, USA; Cat. No. MBS700243 and MBS2024496) were used to measure interferon-gamma (IFN-γ) and interleukin-1β (IL-1β) levels, respectively.
2.8. Liver Histology
Following the method of Omar et al. [5], samples were extracted from the chicken’s liver and fixed in neutral buffered formalin (10%) for the histopathological study.
2.9. Immunohistochemistry
The inflammatory response of broiler chickens fed GLC was investigated in the leucocytic populations of the liver and spleen by determining TGF-β levels according to the methods described by Amer et al. [36].
2.10. Economic Efficiency
The feed cost (FC), total cost (TC), total return (TR), and net profit (NP) were calculated according to the method of El-Telbany and Atallah [37] and Dunning and Daniels [38] as follows:
TC (USD) = Fixed cost + Variable cost (FC, USD);
FC/kg gain = Total FC/Total BWG;
TR (USD)/bird = Price of kg × live BW/bird;
NP (USD) = TR − TC;
Economic efficiency (EE) = NP (USD)/total FC (USD).
Performance index% (PI) was calculated according to the method of North and Bell [39] as follows:
PI% = final live BW (kg)/FCR × 100.
2.11. Statistical Analysis
The normality of the data was verified using the Shapiro–Wilk test, and the homogeneity of variance among the components of the experimental treatments was confirmed by Levene’s test. The data were analyzed using one-way analysis of variance (ANOVA) and the GLM procedure in SPSS (SPSS Inc., Chicago, IL, USA). By using orthogonal polynomial contrasts, the linear and quadratic effects of GLC were demonstrated. Tukey’s test was used to compare mean differences with a 5% probability. The data variation was represented as pooled SEM, and the significance level was established at p < 0.05.
3. Results
3.1. Growth Performance
Table 2 shows the growth parameters of broiler chickens fed on the experimental diets. During the starter, growth, and finisher periods, there was no significant effect of the dietary addition of GLC with different levels on BW, BWG, and FCR of chickens (p > 0.05). The only exception was the feed intake that quadratically increased in the GLC100 group during the grower period and in the GLC50 group during the finisher period relative to the GLC0 group (p < 0.01). The overall performance was nonsignificant among the groups for final BW, total BWG, FCR, RGR, and PER (p > 0.05). The total feed intake was quadratically augmented in the GLC50 and GLC100 groups as compared to that in the control group (GLC0) (p < 0.01).
Table 2.
Effects of dietary GLC on the growth of birds.
3.2. Carcass, Gut, and Immune Organ Characteristic
GLC supplementation showed no significant effects on the dressing percentage and intestine, spleen, gizzard, and liver weight (p > 0.05). However, the bursal weight was decreased in the GLC150 group (p = 0.01) (Table 3).
Table 3.
Effects of dietary GLC supplementation on the characteristics of carcass, gut, and immune organs (%).
3.3. Composition and Fatty Acid Profile of Breast Muscles
Dietary GLC supplementation did not significantly affect the dry matter, crude protein, fat, and ash content of breast muscles (p > 0.05). The breast muscles of birds fed GLC-supplemented diets showed a linear increase in the percentages of α-linolenic acid, eicosapentaenoic acid, docosapentaenoic acid, docosahexaenoic acid, linoleic acid, arachidonic acid, n-3 PUFA, and n-6 PUFA (p < 0.01) (Table 4).
Table 4.
Effects of dietary GLC on the composition and fatty acid profile of breast muscles.
3.4. Serum Biochemical Parameters
The liver and kidney function test results represented by the serum levels of ALT, AST, uric acid, and creatinine are shown in Table 5. The ALT level was quadratically increased in the GLC150 group (p = 0.03). The GLC150 group showed a linear increase in uric acid levels (p = 0.03). The serum AST and creatinine levels did not differ significantly between the groups.
Table 5.
Effects of dietary GLC supplementation on serum biochemical parameters.
3.5. Antioxidant Capacity and Inflammatory Indices
The effects of GLC supplementation on the antioxidant and inflammatory indices are shown in Table 6. The serum TAC, CAT, SOD, IL-1β, and IFN-γ levels linearly increased in the GLC-fed groups (p < 0.01). In contrast, the MDA levels were linearly reduced in the GLC-fed groups (p < 0.01).
Table 6.
Effects of dietary GLC on the serum antioxidant and inflammatory indices.
3.6. Histological Examination of the Liver
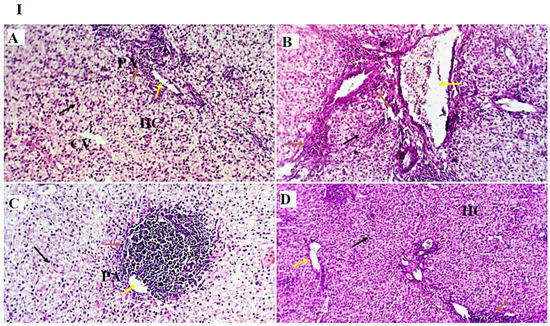
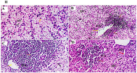
The examined liver sections from the GLC0, GLC50, GLC100, and GLC150 groups showed the standard histomorphological structure of the liver. Mild portal vascular dilatation was observed in the GLC100 group. Moderate peri-portal lymphocytic aggregation were observed in GLC50, 100, and 150 (Figure 1I,II)).

Figure 1.
(I,II). Photomicrographs from the liver ((I): H&E × 100 magnification, (II): H&E × 400 magnification) of chicken fed diet supplemented with 0 mg/kg (A), 50 mg/kg (B), 100 mg/kg (C), and 150 mg/kg (D) of GLC showing standard histological structure, including the portal area (PA, yellow arrow), hepatocytes (HC, black arrow) noted as a small mass around the central veins (CV), and a few to moderate round cells observed as a natural immune response around the portal area (PA, arrow). The 150 mg/kg group showed mild dilation of hepatic sinusoids (HS, red arrow).
3.7. Immunohistochemical Analysis
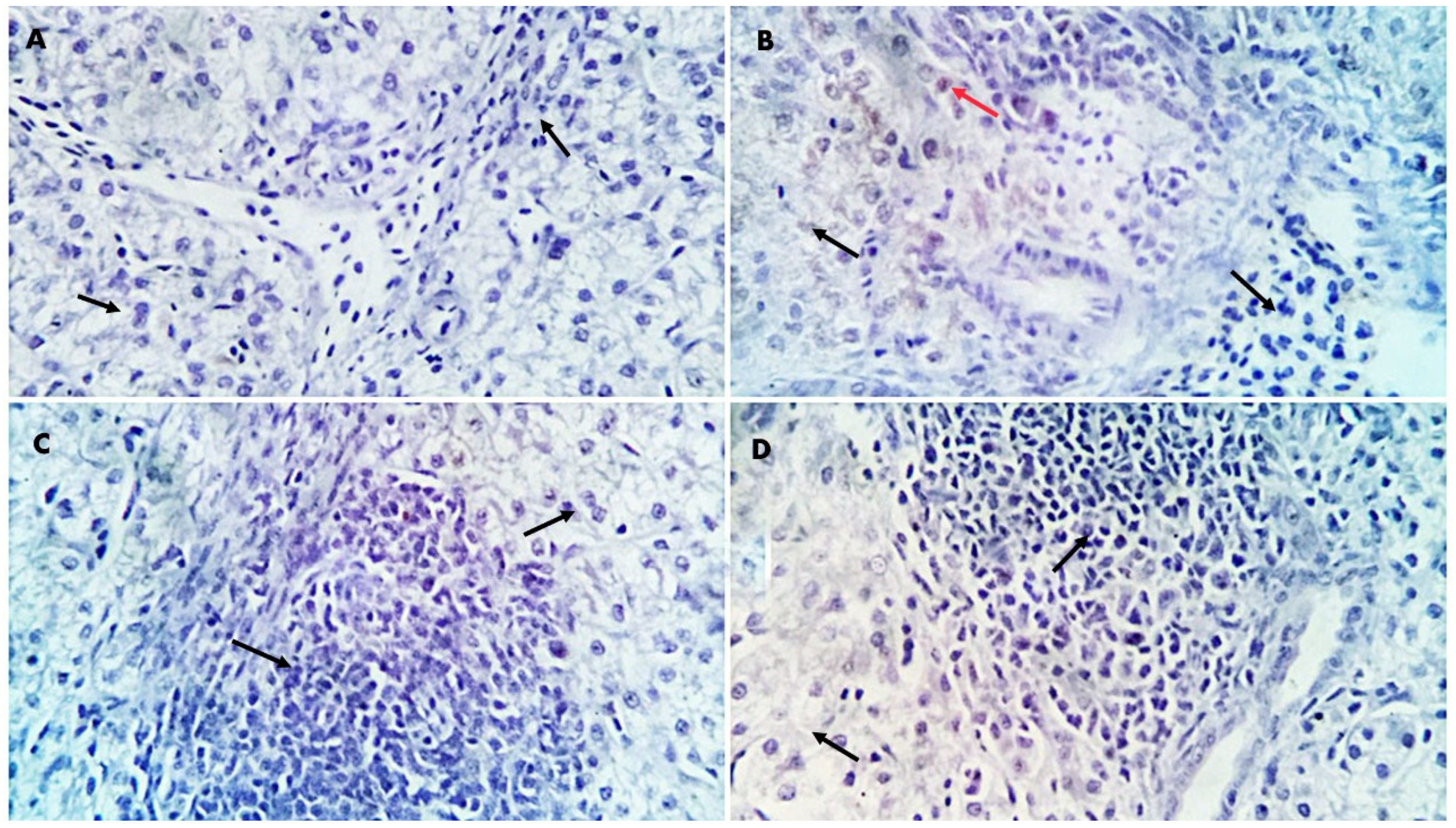
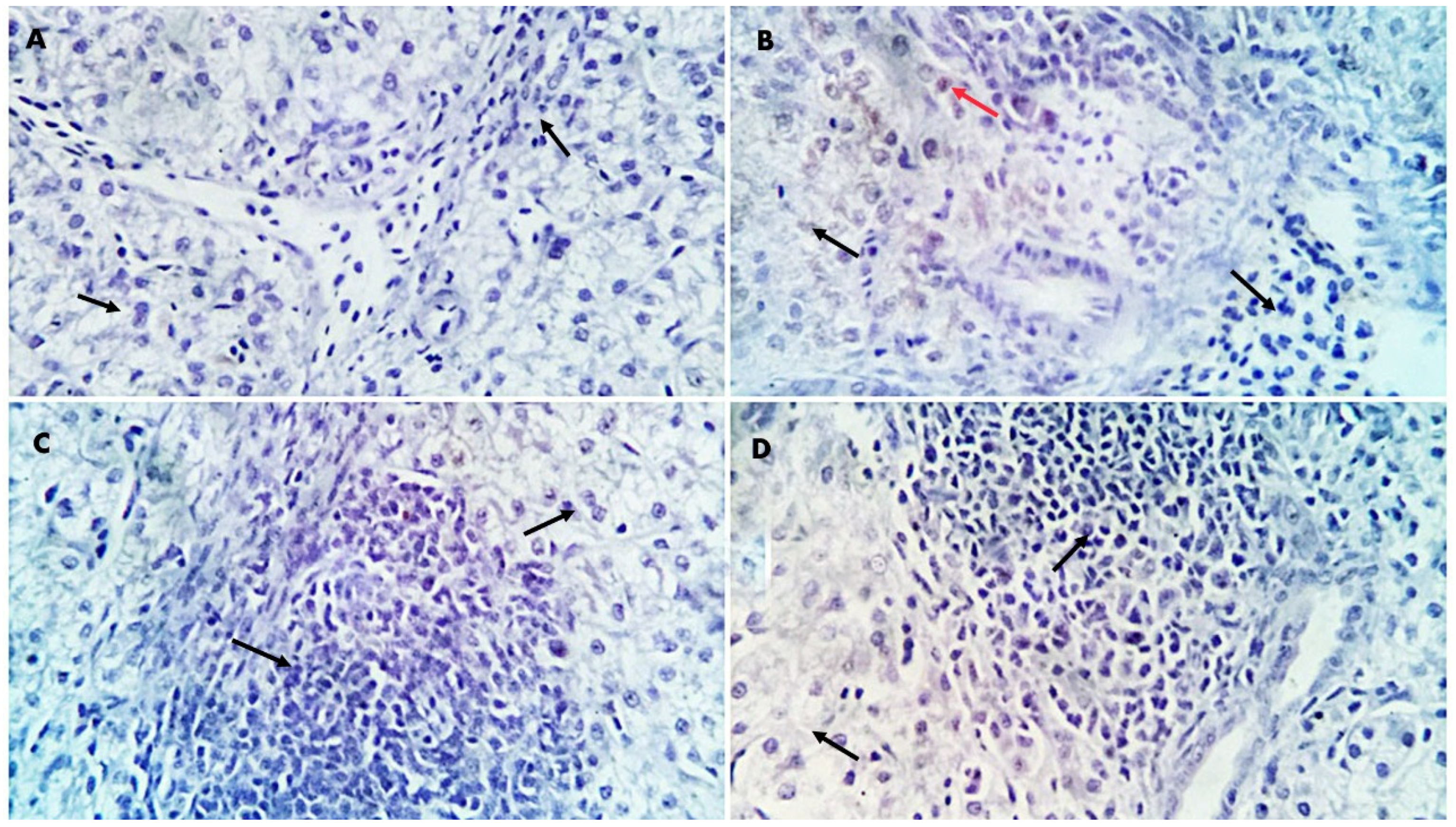
Morphometric analysis of liver and spleen sections revealed significant upregulation in the percentages of positive cells per three high-power fields to the proinflammatory indicator (TGF-β) (p < 0.01) in the different GLC-supplemented groups as follows: 0.15%, 0.995%, 2.22%, and 6.36% for GLC0, GLC50, GLC100, and GLC150 groups, respectively, in the liver sections (Figure 2A and Figure 3), and 0.08%, 0.79%, 1.39%, and 2.94% for GLC0, GLC50, GLC100, and GLC150 groups, respectively, in the spleen sections (Figure 2B and Figure 4).
Figure 2.
TGF-β morphometric analysis data in the liver (A) and spleen (B) of the experimental groups: 0 mg/kg (GLC0), 50 mg/kg (GLC50), 100 mg/kg (GLC100), and 150 mg/kg (GLC150). Mean values with different superscripts (a, b, c, d) in the same row differ significantly at p < 0.05. TGF-β: transforming growth factor β.
Figure 3.
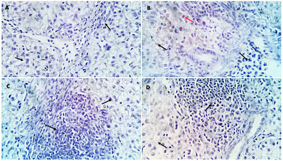
Positive and negative immunostained TGF-β cells (red and black arrows, respectively) in the liver sections. (A): GLC0, (B): GLC50, (C): GLC100, (D): GLC150. × 400 magnifications.
Figure 4.
Positive and negative immunostained TGF-β cells (red and black arrows, respectively) in the spleen sections. (A): GLC0, (B): GLC50, (C): GLC100, (D): GLC150. × 400 magnifications.
3.8. Economic Efficiency
Dietary GLC supplementation quadratically increased FC and TC at 50 and 100 mg kg−1 concentrations (p < 0.01). However, TR, NR, FC/kg gain, PI%, and EE were not affected by GLC supplementation (p > 0.05) (Table 7).
Table 7.
Effect of dietary GLC supplementation on economic efficiency.
4. Discussion
GLC have important biological activities and play an important function in disease prevention and animal production performance [40]. In the present study, birds fed GLC-enriched diets grew at the same rate as the GLC0 group. In contrast, the GLC50 and GLC100 groups showed an increase in their total feed intake. This is supported by the fact that the energy contribution of GLC is used for immunity and other physiological functions, such as antioxidant activity, rather than bird growth. Similarly, Chae et al. [41] reported that GLC-fed birds consumed more feed than nonsupplemented birds. Zhang et al. [42] noted no significant effect of 1,000 mg kg−1 GLC (derived from Agrobacterium sp.) on birds’ growth. Cox et al. [8] showed no significant differences in the growth of broilers fed diets supplemented with 200 or 1000 mg glucans kg−1 diet with or without an Eimeria challenge. Zhang et al. [16] demonstrated an increased average daily gain and improved FCR in broiler chickens fed β1,3/1,6-glucan-supplemented diets. Zhang et al. [43] reported enhanced BWG and FCR of heat-stressed chicks by increasing energy digestibility. Chae et al. [41] found increased BWG of chickens fed finisher diets containing 200 and 400 mg kg−1 GLC (derived from Saccharomyces cerevisiae). In contrast, Kazempour et al. [44] reported that GLC supplementation (30 g kg−1) reduced feed intake and daily average gain and improved FCR in broiler chickens during the starter, grower, and finisher periods.
In the current study, dietary GLC supplementation did not influence the carcass traits; dressing percentage; and the weights of the spleen, liver, intestine, and gizzard. These results indicate that GLC supplementation had no negative effects on the internal organs of birds. The bursal weight was decreased at the highest GLC concentration of 150 mg kg−1; this may be due to increased inflammatory response. Similarly, Tang et al. [45] reported no effect of GLC on the carcass features of Peking ducks. In the study of Kazempour et al. [44], GLC at 30 g kg−1 concentration had no effect on the internal organs, namely the liver, spleen, and pancreas of broiler chickens; however, it decreased the abdominal fat and increased the weight of the small intestine and gizzards.
Many factors affect meat quality, such as diet composition, genetic structure, sex, housing management, slaughter method, and the type of muscle fibers [46]. The recent trend in poultry consumption demonstrates the significance of meat quality assurance in poultry establishments [47]. The chemistry of chicken meat is important because it affects storage and processing. Scarce information is available on the effect of 1,3-β-glucans on the fatty acid content of broiler muscles. Hence, it was difficult to compare the present results with previous reports. In the present study, dietary GLC changed the fatty acid profile of breast muscles. In the breast muscles of chickens fed GLC-supplemented diets, the percentages of α-linolenic acid, eicosapentaenoic acid, docosapentaenoic acid, docosahexaenoic acid, linoleic acid, arachidonic acid, total n-3, and total n-6 PUFA continued to increase in a concentration-dependent manner. Our results suggested that dietary GLC may affect lipid metabolism. The n-3 and n-6 PUFA play critical roles in human nutrition. They are precursors to various biological compounds, including prostaglandins, eicosanoids, and thromboxanes, which regulate the activity of the immune and cardiovascular systems [48]. Salah et al. [49] found increased n-3 PUFA content in the breast muscles of birds fed a synbiotic-supplemented diet. In the current study, however, GLC addition had no effect on breast muscle composition as measured by the content of dry matter, crude protein, fat, and ash. These findings support the growth performance results and demonstrate that the energy contribution of GLC was not used for the bird’s growth or muscle formation. Tang et al. [45] demonstrated no significant changes in the chemical composition (crude protein, fat, and ash) and fatty acid content in the meat of Peking ducks fed Sophy β-glucans-supplemented diet in comparison with the control and the bacitracin zinc groups.
Regarding the liver and kidney function tests, the current study showed that the GLC150 group had higher serum ALT and uric acid levels, while their levels did not stray from the normal levels [50]. Moreover, no differences in serum AST and creatinine levels were noted between the groups. These results may be attributed to the mild inflammatory responses caused by the highest level of GLC (150 mg kg−1), as observed in the results of the liver histopathological examination, where normal liver histoarchitecture was found in all experimental groups with mild portal vascular dilatation and lymphoplasmacytic aggregations in the GLC100 group. A minimal number of inflammatory cells were recorded in the GLC0 and GLC50 groups. The GLC150 group showed moderate peri-portal lymphocytic aggregation.
Regarding the antioxidant status of broiler chickens in response to dietary GLC supplementation, the results showed increased serum levels of TAC, CAT, and SOD. The MDA levels in GLC-fed groups were decreased in a concentration-dependent manner. GLC can boost the antioxidant capacity of animals by enhancing the activity of the antioxidant enzymes CAT, SOD, and glutathione peroxidase, as well as by enhancing the scavenging activity of the superoxide anion and the hydroxyl radical and by preventing lipid peroxidation [40]. The combination of the hydroxyl groups of GLC and the metal ion inhibits the generation of hydroxyl radicals and prevents lipid peroxidation [51,52]. Guo et al. [53] reported that GLC protects the cells of the porcine jejunum epithelial cell line IPEC-J2 cells from oxidative stress induced by deoxysqualenol by reducing the levels of reactive oxygen species and MDA and by upregulating the glutathione level. Our results proposed that GLC can provide a protective effect against oxidative stress by stimulating the antioxidant system. Liu et al. [54] discovered that the addition of yeast cell wall components to the broiler chicken diet increased the levels of intestinal reduced glutathione and glutathione reductase.
Regarding the inflammatory responses in broiler chickens fed with a GLC-supplemented diet, the results showed increased serum levels of IL-1β and IFN-γ in the GLC-fed groups in a concentration-dependent manner. Moreover, dietary GLC supplementation increased TGF-β immunoexpression in chicken liver and spleen tissues in a concentration-dependent manner. Proinflammatory cytokines (interferon-γ and IL-1β), which are essential immune proteins, are endogenous signaling molecules that facilitate cellular defense against inflammatory response [55]. Broiler chickens fed diets supplemented with GLC showed improved cell-mediated [41,56] and humoral immune responses [15,16]. The ability of GLC to enhance the immune response establishes their possible use as an antibiotic alternative by preventing numerous economically critical pathogens, for instance, Escherichia coli and Salmonella enterica [19,57]. GLC may activate macrophages or monocytes by inducing the major histocompatibility complex (MHC) compound [16]. Immune potentiation occurs because of this activity, which includes the activation of T-helper and natural killer cells, cytotoxic macrophages, T-cell development and differentiation, and the initiation of the alternative complement pathway [58]. The other signaling messengers, such as IL-1, IL-2, IFN-γ, and TNF-α, may also be included in the immuno-regulating system. The results of liver histopathology confirmed these findings, wherein moderate-to-high peri-portal lymphocytic aggregation was observed in the GLC100 and GLC150 groups. The accumulation of portal inflammatory cells appears to be a highly resistant and defensive mechanism rather than a destructive inflammatory process.
From an economic point of view, dietary GLC supplementation did not affect the TR, NP, performance index, and EE of the treated groups. This effect was due to the increase in the amount of feed intake by birds in the GLC50 and GLC100 groups with no change in the growth rate of birds. However, birds fed GLC-enriched diets have the advantages of transferring energy to the development of immune response and antioxidant capability, which improves the health and performance of birds. These results have more economic value than weight gain in maintaining adequate health of chicken flocks because clinical and subclinical diseases result in reduced feed intake, weight, and severe morbidity and mortality, which consequently harm animal welfare and cause substantial economic problems to poultry producers [13,59].
5. Conclusions
Based on the study outcomes, we can conclude that dietary GLC can be used as a feed additive in the diet schedule of broiler chickens at a concentration of up to 100 mg kg−1 with no adverse effects on growth, carcass traits, and internal organs. The addition of GLC improves the antioxidant status of the fed birds by enhancing the activity of antioxidant enzymes, namely CAT, SOD, and glutathione peroxidase. GLC also boosts immunity by enhancing the release of proinflammatory cytokines. Furthermore, GLC supplementation helps enrich breast muscles with n-3 and n-6 PUFA. However, a limitation of this study is that it used mixed chickens and only five replicates per treatment. Therefore, using mono-sex chickens and a higher number of replications in future studies is recommended.
Author Contributions
Conceptualization: S.A.A.; Formal analysis S.A.A.; Methodology: S.A.A., A.B., A.G., A.A.M., N.A.A.-A., R.R., E.M.R., S.M.I., E.M.Y., A.-W.A.A.-W. and S.J.D.; Writing—original draft: S.A.A. Writing—review and editing: S.A.A., A.B., A.G., A.A.M., N.A.A.-A., R.R., E.M.R. and S.M.I. All authors have read and agreed to the published version of the manuscript.
Funding
This study was supported by Zagazig University, Egypt.
Institutional Review Board Statement
The ethical approval of the experimental protocol was obtained from the Institutional Animal Care and Use Committee of Zagazig University, Egypt (approval no. ZU-IACUC/2/F/153/2022). All animal experiments were performed based on the recommendations described in “The Guide for the Care and Use of Laboratory Animals in scientific investigations”.
Informed Consent Statement
Not applicable.
Data Availability Statement
The datasets generated or analyzed during the current study are not publicly available but are available from the corresponding author upon reasonable request.
Acknowledgments
This work was supported by Researchers Supporting project number (RSPD2023R700), King Saud University, Riyadh, Saudi Arabia.
Conflicts of Interest
The authors declare that they have no conflict of interest.
References
- Amer, S.A.; Naser, M.A.; Abdel-Wareth, A.A.; Saleh, A.A.; Elsayed, S.A.; Metwally, A.E. Effect of dietary supplementation of alpha-galactosidase on the growth performance, ileal digestibility, intestinal morphology, and biochemical parameters in broiler chickens. BMC Vet. Res. 2020, 16, 144. [Google Scholar] [CrossRef] [PubMed]
- Amer, S.A.; Mohamed, W.A.; Gharib, H.S.; Al-Gabri, N.A.; Gouda, A.; Elabbasy, M.T.; El-Rahman, A.; Ghada, I.; Omar, A.E. Changes in the growth, ileal digestibility, intestinal histology, behavior, fatty acid composition of the breast muscles, and blood biochemical parameters of broiler chickens by dietary inclusion of safflower oil and vitamin C. BMC Vet. Res. 2021, 17, 68. [Google Scholar] [CrossRef] [PubMed]
- Ungemach, F.R.; Müller-Bahrdt, D.; Abraham, G. Guidelines for prudent use of antimicrobials and their implications on antibiotic usage in veterinary medicine. Int. J. Med. Microbiol. 2006, 296, 33–38. [Google Scholar] [CrossRef] [PubMed]
- Amer, S.A.; Al-Khalaifah, H.S.; Gouda, A.; Osman, A.; Goda, N.I.; Mohammed, H.A.; Darwish, M.I.; Hassan, A.M.; Mohamed, S.K.A. Potential effects of anthocyanin-rich roselle (Hibiscus sabdariffa L.) extract on the growth, intestinal histomorphology, blood biochemical parameters, and the immune status of broiler chickens. Antioxidants 2022, 11, 544. [Google Scholar] [CrossRef]
- Omar, A.E.; Al-Khalaifah, H.S.; Osman, A.; Gouda, A.; Shalaby, S.I.; Roushdy, E.M.; Abdo, S.A.; Ali, S.A.; Hassan, A.M.; Amer, S.A. Modulating the Growth, Antioxidant Activity, and Immunoexpression of Proinflammatory Cytokines and Apoptotic Proteins in Broiler Chickens by Adding Dietary Spirulina platensis Phycocyanin. Antioxidants 2022, 11, 991. [Google Scholar] [CrossRef]
- Ibrahim, R.E.; Ahmed, S.A.; Amer, S.A.; Al-Gabri, N.A.; Ahmed, A.I.; Abdel-Warith, A.-W.A.; Younis, E.-S.M.; Metwally, A.E. Influence of vitamin C feed supplementation on the growth, antioxidant activity, immune status, tissue histomorphology, and disease resistance in Nile tilapia, Oreochromis niloticus. Aquac. Rep. 2020, 18, 100545. [Google Scholar] [CrossRef]
- Amer, S.A.; Tolba, S.A.; AlSadek, D.M.; Abdel Fattah, D.M.; Hassan, A.M.; Metwally, A.E. Effect of supplemental glycerol monolaurate and oregano essential oil blend on the growth performance, intestinal morphology, and amino acid digestibility of broiler chickens. BMC Vet. Res. 2021, 17, 1–12. [Google Scholar] [CrossRef]
- Cox, C.; Sumners, L.; Kim, S.; McElroy, A.; Bedford, M.; Dalloul, R. Immune responses to dietary β-glucan in broiler chicks during an Eimeria challenge. Poult. Sci. 2010, 89, 2597–2607. [Google Scholar] [CrossRef]
- Volman, J.J.; Ramakers, J.D.; Plat, J. Dietary modulation of immune function by β-glucans. Physiol. Behav. 2008, 94, 276–284. [Google Scholar] [CrossRef]
- Harada, T.; Ohno, N. Contribution of dectin-1 and granulocyte macrophage–colony stimulating factor (GM-CSF) to immunomodulating actions of β-glucan. Int. Immunopharmacol. 2008, 8, 556–566. [Google Scholar] [CrossRef]
- Soltanian, S.; Stuyven, E.; Cox, E.; Sorgeloos, P.; Bossier, P. Beta-glucans as immunostimulant in vertebrates and invertebrates. Crit. Rev. Microbiol. 2009, 35, 109–138. [Google Scholar] [CrossRef] [PubMed]
- Markazi, A.D.; Perez, V.; Sifri, M.; Shanmugasundaram, R.; Selvaraj, R.K. Effect of whole yeast cell product supplementation (CitriStim®) on immune responses and cecal microflora species in pullet and layer chickens during an experimental coccidial challenge. Poult. Sci. 2017, 96, 2049–2056. [Google Scholar] [CrossRef] [PubMed]
- Tian, X.; Shao, Y.; Wang, Z.; Guo, Y. Effects of dietary yeast β-glucans supplementation on growth performance, gut morphology, intestinal Clostridium perfringens population and immune response of broiler chickens challenged with necrotic enteritis. Anim. Feed Sci. Technol. 2016, 215, 144–155. [Google Scholar] [CrossRef]
- Anwar, M.; Muhammad, F.; Awais, M.; Akhtar, M. A review of β-glucans as a growth promoter and antibiotic alternative against enteric pathogens in poultry. World’s Poult. Sci. J. 2017, 73, 651–661. [Google Scholar] [CrossRef]
- Guo, Y.; Ali, R.; Qureshi, M. The influence of β-glucan on immune responses in broiler chicks. Immunopharmacol. Immunotoxicol. 2003, 25, 461–472. [Google Scholar] [CrossRef] [PubMed]
- Zhang, B.; Guo, Y.; Wang, Z. The Modulating Effect of β-1, 3/1, 6-glucan Supplementation in the Diet on Performance and Immunological Responses of Broiler Chickens. Asian-Australas. J. Anim. Sci. 2008, 21, 237–244. [Google Scholar] [CrossRef]
- Alizadeh, M.; Rogiewicz, A.; McMillan, E.; Rodriguez-Lecompte, J.; Patterson, R.; Slominski, B. Effect of yeast-derived products and distillers dried grains with solubles (DDGS) on growth performance and local innate immune response of broiler chickens challenged with Clostridium perfringens. Avian Pathol. 2016, 45, 334–345. [Google Scholar] [CrossRef]
- Shao, Y.; Guo, Y.; Wang, Z. β-1, 3/1, 6-Glucan alleviated intestinal mucosal barrier impairment of broiler chickens challenged with Salmonella enterica serovar Typhimurium. Poult. Sci. 2013, 92, 1764–1773. [Google Scholar] [CrossRef]
- Lowry, V.; Farnell, M.; Ferro, P.; Swaggerty, C.; Bahl, A.; Kogut, M. Purified β-glucan as an abiotic feed additive up-regulates the innate immune response in immature chickens against Salmonella enterica serovar Enteritidis. Int. J. Food Microbiol. 2005, 98, 309–318. [Google Scholar] [CrossRef]
- Amer, S.A.; Attia, G.A.; Aljahmany, A.A.; Mohamed, A.K.; Ali, A.A.; Gouda, A.; Alagmy, G.N.; Megahed, H.M.; Saber, T.; Farahat, M. Effect of 1, 3-Beta Glucans Dietary Addition on the Growth, Intestinal Histology, Blood Biochemical Parameters, Immune Response, and Immune Expression of CD3 and CD20 in Broiler Chickens. Animals 2022, 12, 3197. [Google Scholar] [CrossRef]
- Chuammitri, P.; Redmond, S.B.; Kimura, K.; Andreasen, C.B.; Lamont, S.J.; Palić, D. Heterophil functional responses to dietary immunomodulators vary in genetically distinct chicken lines. Vet. Immunol. Immunopathol. 2011, 142, 219–227. [Google Scholar] [CrossRef] [PubMed]
- AVIAGEN. Ross Broiler Management Manual. 2009. Available online: http://eu.aviagen.com/assets/Tech_Center/BB_Foreign_Language_Docs/Spanish_TechDocs/RossBroilerHandbook2014-ES.pdf_ (accessed on 6 November 2014).
- McDonald, P.; Edwards, R.; Greenhalgh, J. Animal Nutrition: By P. McDonald, RA Edwards and JFD Greenhalgh; Oliver & Boyd: Edinburgh, UK, 1973. [Google Scholar]
- Brody, S. Bioenergetics and Growth, with Special Reference to the Efficiency Complex in Domestic Animals; Reinhold: New York, NY, USA, 1945. [Google Scholar]
- Association, A.V.M. AVMA Guidelines for the Euthanasia of Animals: 2013 Edition; American Veterinary Medical Association: Schaumburg, IL, USA, 2013. [Google Scholar]
- Hashem, M.A.; Abd-Allah, N.A.; Mahmoud, E.A.; Amer, S.A.; Alkafafy, M. A preliminary study on the effect of psyllium husk ethanolic extract on hyperlipidemia, hyperglycemia, and oxidative stress induced by triton X-100 injection in rats. Biology 2021, 10, 335. [Google Scholar] [CrossRef] [PubMed]
- Belitz, H.-D.; Grosch, W.; Schieberle, P. Meat. Food Chem. 2009, 563–616. [Google Scholar]
- AOAC. Official Methods of Analysis of AOAC International; AOAC: Rockville, MD, USA, 2000. [Google Scholar]
- Henry, R. Determination of serum creatinine. In Clinical Chemistry: Principles, Techniques, and Correlations, 2nd ed.; Harper Row Publisher: New York, NY, USA, 1974. [Google Scholar]
- Sanders, G.; Pasman, A.; Hoek, F. Determination of uric acid with uricase and peroxidase. Clin. Chim. Acta 1980, 101, 299–303. [Google Scholar] [CrossRef]
- Reitman, S.; Frankel, S. Determination of serum glutamic oxaloacetic transaminase and pyruvic transaminase by colorimetric method. Am. J. Clin. Path. 1957, 28, 57–65. [Google Scholar] [CrossRef]
- Mcdonald, R.E.; Hultin, H.O. Some characteristics of the enzymic lipid peroxidation system in the microsomal fraction of flounder skeletal muscle. J. Food Sci. 1987, 52, 15–21. [Google Scholar] [CrossRef]
- Nishikimi, M.; Rao, N.A.; Yagi, K. The occurrence of superoxide anion in the reaction of reduced phenazine methosulfate and molecular oxygen. Biochem. Biophys. Res. Commun. 1972, 46, 849–854. [Google Scholar] [CrossRef]
- Aebi, H. [13] Catalase in vitro. In Methods in Enzymology; Elsevier: Amsterdam, The Netherlands, 1984; Volume 105, pp. 121–126. [Google Scholar]
- Rice-Evans, C.; Miller, N.J. 241 Total antioxidant status in plasma and body fluids. Methods Enzymol. 1994, 234, 279–293. [Google Scholar]
- Amer, S.A.; Abdel-Wareth, A.A.; Gouda, A.; Saleh, G.K.; Nassar, A.H.; Sherief, W.R.; Albogami, S.; Shalaby, S.I.; Abdelazim, A.M.; Abomughaid, M.M. Impact of Dietary Lavender Essential Oil on the Growth and Fatty Acid Profile of Breast Muscles, Antioxidant Activity, and Inflammatory Responses in Broiler Chickens. Antioxidants 2022, 11, 1798. [Google Scholar] [CrossRef]
- El-Telbany, M.; Atallah, S. Some Culture Factors Affecting the Productive and Economic Efficiency of Mugil Capito nursing in Earthen Pond System 9th Scientific Cingrees; Faculty Of Veterinary Medicine Assiut University: Asyut, Egypt, 2000; pp. 19–20. [Google Scholar]
- Dunning, R.; Daniels, H. Hybrid Striped Bass Production in Ponds: Enterprise Budget; Southern Regional Aquaculture Center: Stoneville, MI, USA, 2001. [Google Scholar]
- North, M.; Bell, D. Breeder management. In Commercial Chicken Production Manual; The Avi. Publishing Company. Inc.: Westport, CT, USA, 1984; pp. 240–321. [Google Scholar]
- Liu, Y.; Wu, Q.; Wu, X.; Algharib, S.A.; Gong, F.; Hu, J.; Luo, W.; Zhou, M.; Pan, Y.; Yan, Y. Structure, preparation, modification, and bioactivities of β-glucan and mannan from yeast cell wall: A review. Int. J. Biol. Macromol. 2021, 173, 445–456. [Google Scholar] [CrossRef]
- Chae, B.; Lohakare, J.; Moon, W.; Lee, S.; Park, Y.; Hahn, T.-W. Effects of supplementation of β-glucan on the growth performance and immunity in broilers. Res. Vet. Sci. 2006, 80, 291–298. [Google Scholar] [CrossRef]
- Zhang, Z.; Zhou, T.; Ao, X.; Kim, I. Effects of β-glucan and Bacillus subtilis on growth performance, blood profiles, relative organ weight and meat quality in broilers fed maize–soybean meal based diets. Livest. Sci. 2012, 150, 419–424. [Google Scholar] [CrossRef]
- Zhang, S.; Ou, J.; Luo, Z.; Kim, I.H. Effect of dietary β-1, 3-glucan supplementation and heat stress on growth performance, nutrient digestibility, meat quality, organ weight, ileum microbiota, and immunity in broilers. Poult. Sci. 2020, 99, 4969–4977. [Google Scholar] [CrossRef] [PubMed]
- Kazempour, F.; Shargh, M.S.; Jahanian, R.; Hassani, S. Effect of dietary β-glucan supplementation on growth performance, carcass characteristics and gut morphology in broiler chicks fed diets containing different theronine levels. Anim. Feed Sci. Technol. 2017, 234, 186–194. [Google Scholar] [CrossRef]
- Tang, X.; Gao, J.; Yuan, F.; Zhang, W.; Shao, Y.; Sakurai, F.; Li, Z. Effects of Sophy β-glucan on growth performance, carcass traits, meat composition, and immunological responses of Peking ducks. Poult. Sci. 2011, 90, 737–745. [Google Scholar] [CrossRef] [PubMed]
- Lombardi-Boccia, G.; Lanzi, S.; Aguzzi, A. Aspects of meat quality: Trace elements and B vitamins in raw and cooked meats. J. Food Compos. Anal. 2005, 18, 39–46. [Google Scholar] [CrossRef]
- Gaya, L.d.G.; Mourão, G.B.; Ferraz, J.B.S.; Mattos, E.C.d.; Costa, A.M.M.A.d.; Michelan Filho, T.; Rosa, A.F.; Felício, A.M.; Eler, J.P. Estimates of heritability and genetic correlations for meat quality traits in broilers. Sci. Agric. 2011, 68, 620–625. [Google Scholar] [CrossRef]
- Grashorn, M. Functionality of poultry meat. J. Appl. Poult. Res. 2007, 16, 99–106. [Google Scholar] [CrossRef]
- Salah, A.S.; Ahmed-Farid, O.A.; El-Tarabany, M.S. Carcass yields, muscle amino acid and fatty acid profiles, and antioxidant indices of broilers supplemented with synbiotic and/or organic acids. J. Anim. Physiol. Anim. Nutr. 2019, 103, 41–52. [Google Scholar] [CrossRef]
- Nunes, R.; Broch, J.; Wachholz, L.; De Souza, C.; Damasceno, J.; Oxford, J.; Bloxham, D.; Billard, L.; Pesti, G. Choosing sample sizes for various blood parameters of broiler chickens with normal and non-normal observations. Poult. Sci. 2018, 97, 3746–3754. [Google Scholar] [CrossRef]
- Tang, Q.; Huang, G.; Zhao, F.; Zhou, L.; Huang, S.; Li, H. The antioxidant activities of six (1→ 3)-β-d-glucan derivatives prepared from yeast cell wall. Int. J. Biol. Macromol. 2017, 98, 216–221. [Google Scholar] [CrossRef]
- Liu, Y.; Huang, G. The derivatization and antioxidant activities of yeast mannan. Int. J. Biol. Macromol. 2018, 107, 755–761. [Google Scholar] [CrossRef] [PubMed]
- Guo, W.; Gu, X.; Tong, Y.; Wang, X.; Wu, J.; Chang, C. Protective effects of mannan/β-glucans from yeast cell wall on the deoxyniyalenol-induced oxidative stress and autophagy in IPEC-J2 cells. Int. J. Biol. Macromol. 2019, 135, 619–629. [Google Scholar] [CrossRef] [PubMed]
- Liu, N.; Wang, J.; Liu, Z.; Wang, Y.; Wang, J. Effect of supplemental yeast cell walls on growth performance, gut mucosal glutathione pathway, proteolytic enzymes and transporters in growing broiler chickens. J. Anim. Sci. 2018, 96, 1330–1337. [Google Scholar] [CrossRef]
- Hietbrink, F.; Koenderman, L.; Rijkers, G.T.; Leenen, L.P. Trauma: The role of the innate immune system. World J. Emerg. Surg. 2006, 1, 1–11. [Google Scholar] [CrossRef] [PubMed]
- Chen, H.; Li, D.; Chang, B.; Gong, L.; Piao, X.; Yi, G.; Zhang, J. Effects of lentinan on broiler splenocyte proliferation, interleukin-2 production, and signal transduction. Poult. Sci. 2003, 82, 760–766. [Google Scholar] [CrossRef] [PubMed]
- Huff, G.; Huff, W.; Farnell, M.; Rath, N.; de Los Santos, F.S.; Donoghue, A. Bacterial clearance, heterophil function, and hematological parameters of transport-stressed turkey poults supplemented with dietary yeast extract. Poult. Sci. 2010, 89, 447–456. [Google Scholar] [CrossRef]
- Bohn, J.A.; BeMiller, J.N. (1→ 3)-β-d-Glucans as biological response modifiers: A review of structure-functional activity relationships. Carbohydr. Polym. 1995, 28, 3–14. [Google Scholar] [CrossRef]
- Timbermont, L.; Haesebrouck, F.; Ducatelle, R.; Van Immerseel, F. Necrotic enteritis in broilers: An updated review on the pathogenesis. Avian Pathol. 2011, 40, 341–347. [Google Scholar] [CrossRef]
Disclaimer/Publisher’s Note: The statements, opinions and data contained in all publications are solely those of the individual author(s) and contributor(s) and not of MDPI and/or the editor(s). MDPI and/or the editor(s) disclaim responsibility for any injury to people or property resulting from any ideas, methods, instructions or products referred to in the content. |
© 2023 by the authors. Licensee MDPI, Basel, Switzerland. This article is an open access article distributed under the terms and conditions of the Creative Commons Attribution (CC BY) license (https://creativecommons.org/licenses/by/4.0/).




