Aminodihydrophthalazinedione Sodium Transdermal Therapeutic System Specific Activity on an ExperimentalModel of Extensive Liver Resection
Abstract
1. Introduction
2. Materials and Methods
2.1. Materials for the Production of Laboratory Samples of the Immunomodulator Transdermal Therapeutic System
2.2. The Production of Laboratory Samples of the Immunomodulator Transdermal Therapeutic System
2.3. Experimental Model of Extensive Liver Resection
2.4. The Research Design
2.5. Study of Biochemical Parameters of the Blood of Laboratory Animals
2.6. Study of the Recovery Dynamics of the Laboratory Animals Liver Mass
2.7. Histological Staining
2.8. Assessment of the Mitotic Index of the Laboratory Animals Liver
- M—the number of dividing cells,
- N—the total number of analyzed cells.
2.9. Statistical Analysis
3. Results
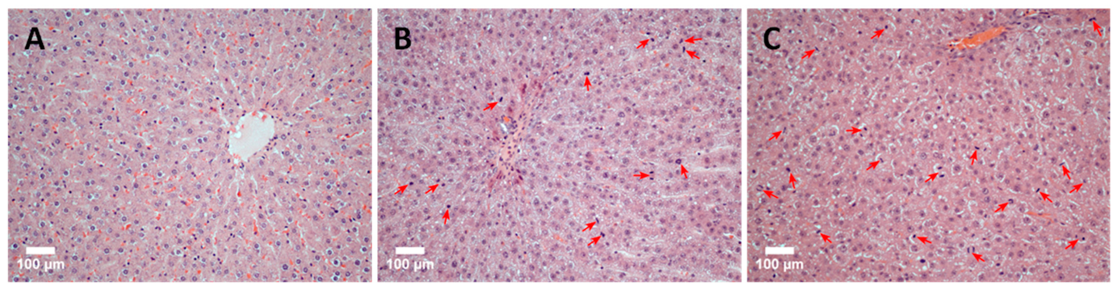
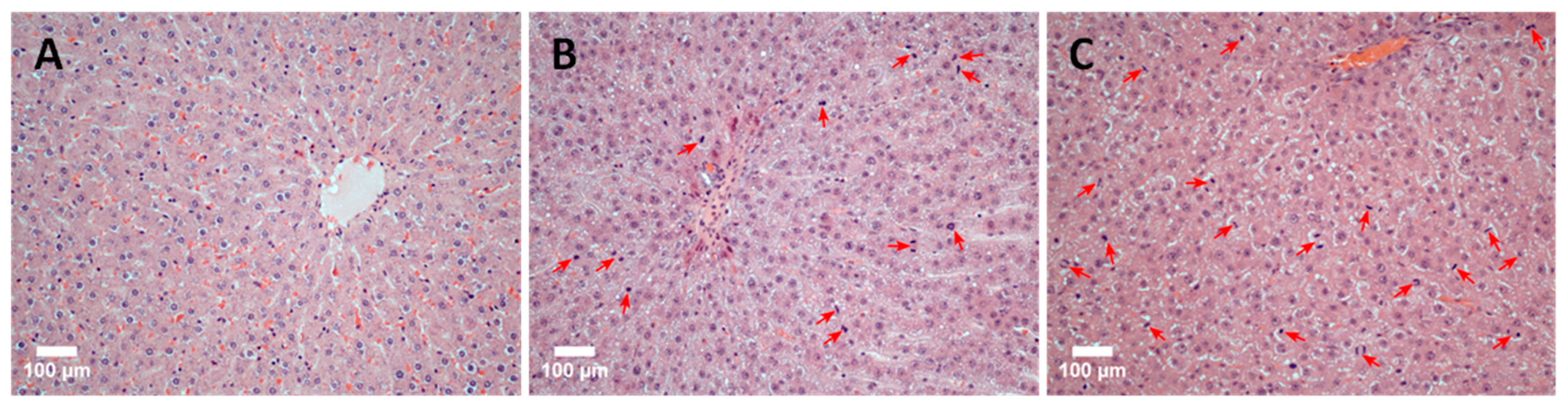
3.1. Assessment of the Mitotic Index
3.2. Results of the Study of Liver Remainder Weight Increase
3.3. Research of Blood Biochemical Parameters
4. Discussion
5. Conclusions
Author Contributions
Funding
Institutional Review Board Statement
Informed Consent Statement
Data Availability Statement
Acknowledgments
Conflicts of Interest
References
- Gandhi, K. Transdermal drug delivery, A review. Int. J. Pharm. Sci. 2012, 3, 379–388. [Google Scholar]
- Jadhav, A.; Vidhate, S.; More, A.; Bhujbal, N.; Kshirsaga, S. Review on Transdermal Drug Delivery System: Novel Approches. Sch. Acad. J. Pharm. 2018, 7, 407–413. [Google Scholar] [CrossRef]
- Kumbhar, V.B.; Malpure, P.S.; More, Y.M. A Review on transdermal drug delivery system. World J. Pharm. Pharm. Sci. 2018, 7, 1258–1269. [Google Scholar]
- Pawar, R.; Mishra, D.N.; Pawar, N. An updated review on global pharmaceutical formulation developments and future potential of non-invasive transdermal drug delivery system. Int. J. Pharm. Sci. Res. 2022, 13, 1896–1907. [Google Scholar] [CrossRef]
- Kriplani, P.; Guarve, K. Transdermal drug delivery: A step towards treatment of cancer. Recent Pat. Anticancer Drug Discov. 2022, 17, 253–267. [Google Scholar] [CrossRef]
- Singh, P.; Muhammad, I.; Nelson, N.; Tran, K.; Vinikoor, T.; Chorsi, M.; D’Orio, E.; Nguyen, T. Transdermal delivery for gene therapy. Drug Deliv. Transl. Res. 2022, 12, 2613–2633. [Google Scholar] [CrossRef]
- Dobrokhotova, Y.E.; Venediktova, M.Г.; Sarantsev, A.N.; Morozova, K.V.; Zykov, A.E.; Khasan, A.S.H.; Panova, N.P.; Savina, Y.A.; Suvorova, V.A. Experience in using sodium aminodyhydrophtalazindione as part of combination therapy of displatic changes of the uterine cervix epithelium associated with acute specific inflammation. Med. Council 2017, 20, 188–193. (In Russian) [Google Scholar] [CrossRef]
- Kuznetsova, E.G.; Kuryleva, O.M.; Salomatina, L.A.; Sevastyanov, V.I. Experimental Investigation of Immunomodulator Galavit® Diffusion in a Model System. Drug Dev. Regist. 2020, 9, 92–97. [Google Scholar] [CrossRef][Green Version]
- Kuznetsova, E.G.; Kuryleva, O.M.; Salomatina, L.A.; Kursakov, S.V.; Gonikova, Z.Z.; Nikolskaya, A.O.; Sevastianov, V.I. Comparative analysis of pharmacokinetic parameters of transdermal and intramuscular administration of Galavit®. Russ. J. Transpl. Artif. Organs 2021, 23, 114–121. [Google Scholar] [CrossRef]
- Belchusova, L.N.; Gazymov, M.M.; Tarasova, L.S. Liver regeneration under the influence of the immunomodulator lycopide. Actual Probl. Mod. Clin. Surg. 2015, 1, 27–31. [Google Scholar]
- Krasovsky, V.S.; Sentyurova, L.G.; Zurnajan, S.A. The experience of using “Laifferon” in liver injuries in an experiment. Int. J. Appl. Fundam. Res. 2015, 10, 240–243. [Google Scholar]
- Haele, M.V.; Snoeck, J.; Roskams, T. Human Liver Regeneration: An Etiology Dependent Process. Int. J. Mol. Sci. 2019, 20, 2332. [Google Scholar] [CrossRef]
- Gonikova, Z.Z.; Nikolskaya, A.O.; Kirsanova, L.A.; Shagidulin, M.U.; Onishchenko, N.A.; Sevastyanov, V.I. Comparative analysis of the effectiveness of stimulation of liver regeneration processes by bone marrow cells and the total RNA of these cells. Russ. J. Transpl. Artif. Organs 2019, 21, 113–121. [Google Scholar] [CrossRef]
- Mao, S.A.; Glorioso, J.M.; Nyberg, S.L. Liver regeneration. Transl. Res. 2014, 163, 352–362. [Google Scholar] [CrossRef]
- Michalopoulos, G.; Bhushan, B. Liver regeneration: Biological and pathological mechanisms and implications. Nat. Rev. Gastroenterol. Hepatol. 2021, 18, 40–55. [Google Scholar] [CrossRef]
- Liu, M. Proliferation-inhibiting pathways in liver regeneration. Mol. Med. Rep. 2017, 16, 23–35. [Google Scholar] [CrossRef]
- Li, Y.; Lu, L.; Cai, X. Liver regeneration and cell transplantation for end-stage liver disease. Biomolecules 2021, 11, 1907. [Google Scholar] [CrossRef]
- Yushkov, B.G. Immune system cells and regeneration regulation. Bull. Sib. Med. 2017, 16, 94–105. [Google Scholar] [CrossRef]
- Baretta, G.A.; Gama Filho, O.; Toderke, E.L.; Tolazzi, A.R.; Matias, J.E. Effect of cyclosporine on liver regeneration in partial hepatectomized rats. Acta Cir. Bras. 2015, 30, 54–59. [Google Scholar] [CrossRef]
- Filho, O.G.; Toderke, E.L.; Baretta, G.A.; Sakamoto, D.G.; Agulham, M.A.; Tambara, E.M.; Matias, J.E. Tacrolimus-based immunossuppresion favours liver regeneration induced by extent hepatectomy in rats. Rev. Col. Bras. Cir. 2010, 37, 218–225. [Google Scholar] [CrossRef][Green Version]
- Toderke, E.L.; Baretta, G.A.P.; Filho, O.P.G.; Matias, J.E.F. Sirolimus influence on hepatectomy-induced liver regeneration in rats. Rev. Col. Bras. Cir. 2014, 41, 203–207. [Google Scholar] [CrossRef] [PubMed][Green Version]
- Krotova, O.A.; Granov, D.A.; Rutkin, I.O. “Insufficient liver size” syndrome after resection and transplantation of a liver fragment. Vestn. Hir. Im. I. I. Grek. 2012, 171, 113–116. (In Russian) [Google Scholar]
- Andreev, A.; Ostroushko, A.P.; Laptieva, A.Y.; Glukhov, A.A. Reparative regeneration of the liver after segmental resection (literature review). Postgrad. Bull. Volga Reg. 2018, 18, 183–190. (In Russian) [Google Scholar] [CrossRef]
- Yelchaninov, A.V.; Fatkhudinov, T.K.H. Mammalian Liver Regeneration: Intercellular Interactions. M. Nauka 2020, 126c. (In Russian) [Google Scholar]
- Tong, X.; Yin, L. Circadian rhythms in liver physiology and liver diseases. Compr. Physiol. 2013, 3, 917–940. [Google Scholar] [CrossRef]
- Onishchenko, N.A.; Fomenko, E.V.; Nikolskaya, A.O.; Gonikova, Z.Z.; Shagidulin MYu Balyasin, M.V.; Elchaninov, A.V.; Sevastyanov, V.I. Activation of regenerative processes in the liver when using cell-bone marrow total RNA. Russ. J. Transpl. Artif. Organs 2020, 22, 134–142. [Google Scholar] [CrossRef]
- Yelchaninov, A.V.; Fatkhudinov, T.X.; Makarov, A.V.; Glinkina, V.V.; Bolshakova, G.B. Regeneration of mammalian liver. Clin. Exp. Morphol. 2012, 4, 57–61. (In Russian) [Google Scholar]
- Kotiv, B.N.; Dzidzava, I.I.; Slobodyanik, A.V.; Shanin, Y.N.; Iontsev, V.I. Assessment of liver function during its extensive resections. Clin. Pathophysiol. 2013, 1, 49–65. (In Russian) [Google Scholar]
- Davydova, A.V. Clinical Interpretation of Biochemical Blood Analysis in Liver Diseases: A Textbook for Students; GBOU VPO IGMU of the Ministry of Health of Russia: Irkutsk, Russia, 2013. (In Russian)
- Korobkova, L.I.; Velsher, L.Z.; Germanov, A.B.; Grishina, T.J.; Stanulis, A.J.; Gene, G.P.; Schepelyaev, D.O.; Izrailov, R.E. Role of immunomodulator Galavit in oncological and surgical practice. Russ. Biother. J. 2004, 3, 87–92. (In Russian) [Google Scholar]
- Pyo, S.M.; Maibach, H. Skin Metabolism: Relevance of Skin Enzymes for Rational Drug Design. Skin Pharmacol. Physiol. 2019, 32, 283–294. [Google Scholar] [CrossRef]
- Akhtar, N.; Singh, V.; Yusuf, M.; Khan, R.A. Non-invasive drug delivery technology: Development and current status of transdermal drug delivery devices, techniques and Biomedical applications. Biomed. Eng. Biomed. Tech. 2020, 65, 243–272. [Google Scholar] [CrossRef]
- Szunerits, S.; Boukherroub, R. Heat: A Highly Efficient Skin Enhancer for Transdermal Drug Delivery. Front. Bioeng. Biotechnol. 2018, 6, 15. [Google Scholar] [CrossRef]
- Wan, H.-F.; Li, J.-X.; Liao, H.-T.; Liao, M.-H.; Luo, L.; Xu, L.; Yuan, K.-F.; Zeng, Y. Nicotinamide induces liver regeneration andimproves liver regeneration and improves liver function by activating SIRT1. Mol. Med. Rep. 2019, 19, 555–562. [Google Scholar] [CrossRef]
- Mukherjee, S.; Chellappa, K.; Moffitt, A.; Ndungu, J.; Dellinger, R.W.; Davis, J.G.; Agarwal, B.; Baur, J.A. Nicotinamide adenine dinucleotide biosynthesis promotes liver regeneration. Hepatology 2017, 65, 616–630. [Google Scholar] [CrossRef]
- Parlak, O.; Sisman, C.I.; Ucar, A.E.; Kusdemir, A. The effect of carnitine on liver regeneration after partial hepatectomy. Bratisl. Lek. Listy 2014, 115, 125–130. [Google Scholar] [CrossRef]
- Mangieri, C.W.; Mc Cartt, J.C.; Strode, M.A. Perioperative hepatocyte growth factor (HGF) infusions improve hepatic regeneration following portal branch ligation (PBL) in rodents. Surg. Endosc. 2017, 31, 2789–2797. [Google Scholar] [CrossRef]
- Van de Aarschot, L.F.M.; Jansen, P.L.M.; Schaap, F.G.; Damink, S.W.M. The role of bile salts in liver regeneration. Hepatol. Int. 2016, 10, 733–740. [Google Scholar] [CrossRef]
- Chen, X.; Zhao, Y.; Wang, F.; Bei, Y.; Xiao, J.; Yang, C. Micrornas in liver regeneration. Cell Physiol. Biochem. 2015, 37, 615–628. [Google Scholar] [CrossRef]
- Song, G.; Sharma, A.D.; Roll, G.R.; Ng, R.; Lee, A.; Blelloch, R.H.; Frandsen, N.M.; Willenbring, H. MicroRNAs control hepatocyte proliferation during liver regeneration. Hepatology 2010, 51, 1735–1743. [Google Scholar] [CrossRef]









| Marking of the Group (Study Duration, h/Group Number) | Groups | Number of Animals |
|---|---|---|
| 24/1 | Laboratory animals after ELR and TTS application within 24 h | 5 |
| 24/2 | Laboratory animals after ELR (after 24 h) without TTS application | 5 |
| 48/1 | Laboratory animals after ELR and TTS application within 48 h | 12 |
| 48/2 | Laboratory animals after ELR (after 48 h) without TTS application | 10 |
| 72/1 | Laboratory animals after ELR and TTS application within 72 h | 5 |
| 72/2 | Laboratory animals after ELR (after 72 h) without TTS application | 5 |
| Intact animals | 5 |
Disclaimer/Publisher’s Note: The statements, opinions and data contained in all publications are solely those of the individual author(s) and contributor(s) and not of MDPI and/or the editor(s). MDPI and/or the editor(s) disclaim responsibility for any injury to people or property resulting from any ideas, methods, instructions or products referred to in the content. |
© 2023 by the authors. Licensee MDPI, Basel, Switzerland. This article is an open access article distributed under the terms and conditions of the Creative Commons Attribution (CC BY) license (https://creativecommons.org/licenses/by/4.0/).
Share and Cite
Kuznetsova, E.G.; Salomatina, L.A.; Kuryleva, O.M.; Kirsanova, L.A.; Gonikova, Z.Z.; Nikolskaya, A.O.; Shagidulin, M.Y.; Shmerko, N.P.; Sevastianov, V.I. Aminodihydrophthalazinedione Sodium Transdermal Therapeutic System Specific Activity on an ExperimentalModel of Extensive Liver Resection. Life 2023, 13, 658. https://doi.org/10.3390/life13030658
Kuznetsova EG, Salomatina LA, Kuryleva OM, Kirsanova LA, Gonikova ZZ, Nikolskaya AO, Shagidulin MY, Shmerko NP, Sevastianov VI. Aminodihydrophthalazinedione Sodium Transdermal Therapeutic System Specific Activity on an ExperimentalModel of Extensive Liver Resection. Life. 2023; 13(3):658. https://doi.org/10.3390/life13030658
Chicago/Turabian StyleKuznetsova, Eugenia G., Lydia A. Salomatina, Olga M. Kuryleva, Lyudmila A. Kirsanova, Zalina Z. Gonikova, Alla O. Nikolskaya, Murat Yu. Shagidulin, Natalya P. Shmerko, and Victor I. Sevastianov. 2023. "Aminodihydrophthalazinedione Sodium Transdermal Therapeutic System Specific Activity on an ExperimentalModel of Extensive Liver Resection" Life 13, no. 3: 658. https://doi.org/10.3390/life13030658
APA StyleKuznetsova, E. G., Salomatina, L. A., Kuryleva, O. M., Kirsanova, L. A., Gonikova, Z. Z., Nikolskaya, A. O., Shagidulin, M. Y., Shmerko, N. P., & Sevastianov, V. I. (2023). Aminodihydrophthalazinedione Sodium Transdermal Therapeutic System Specific Activity on an ExperimentalModel of Extensive Liver Resection. Life, 13(3), 658. https://doi.org/10.3390/life13030658

