Surgical Treatment of Adolescent Idiopathic Scoliosis with the ApiFix Minimal Invasive Dynamic Correction System—A Preliminary Report of a 24-Month Follow-Up
Abstract
:1. Introduction
2. Materials and Methods
2.1. Study Design
2.2. Outcome Measures
2.3. Data Analysis and Statistical Evaluation
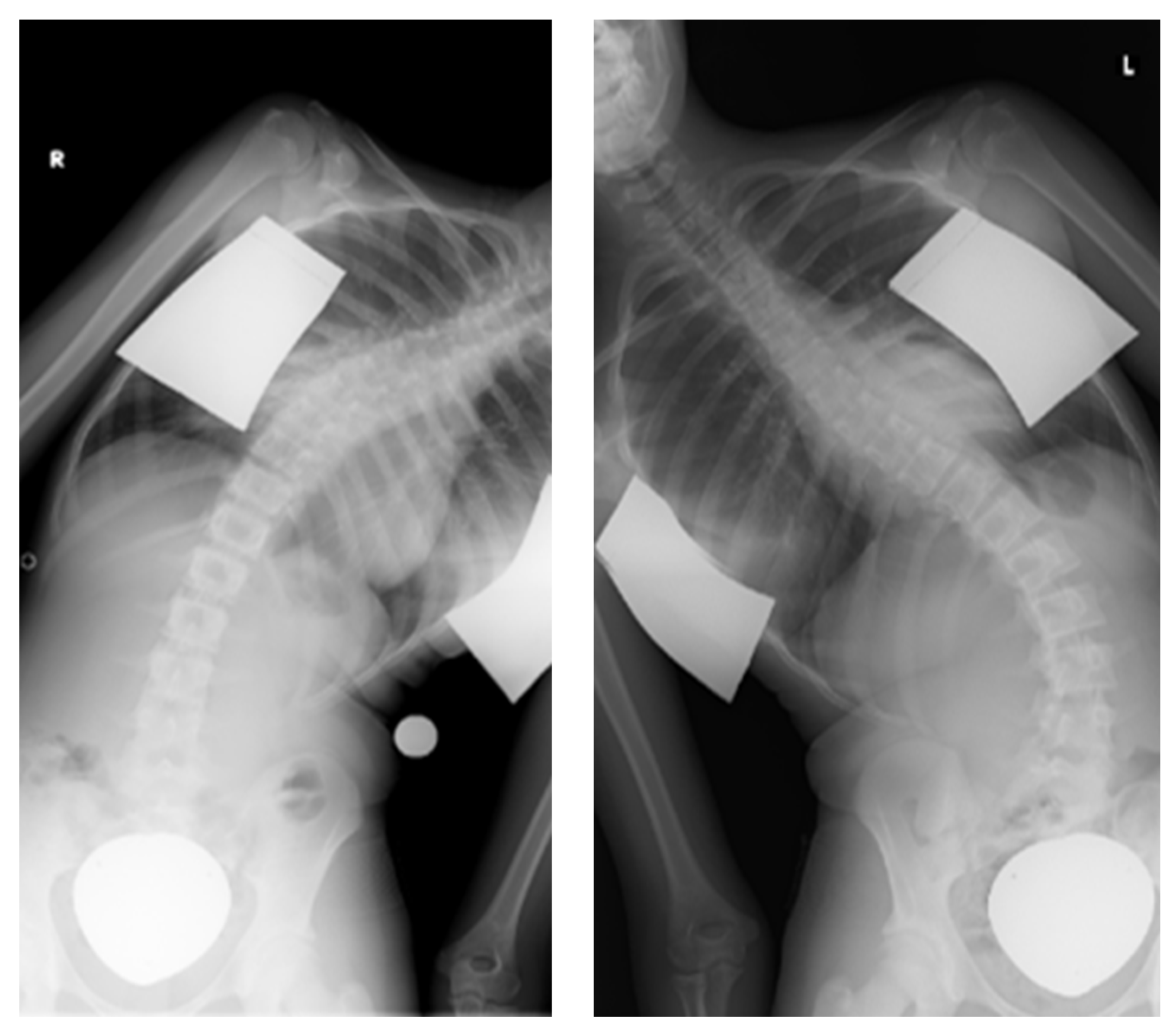
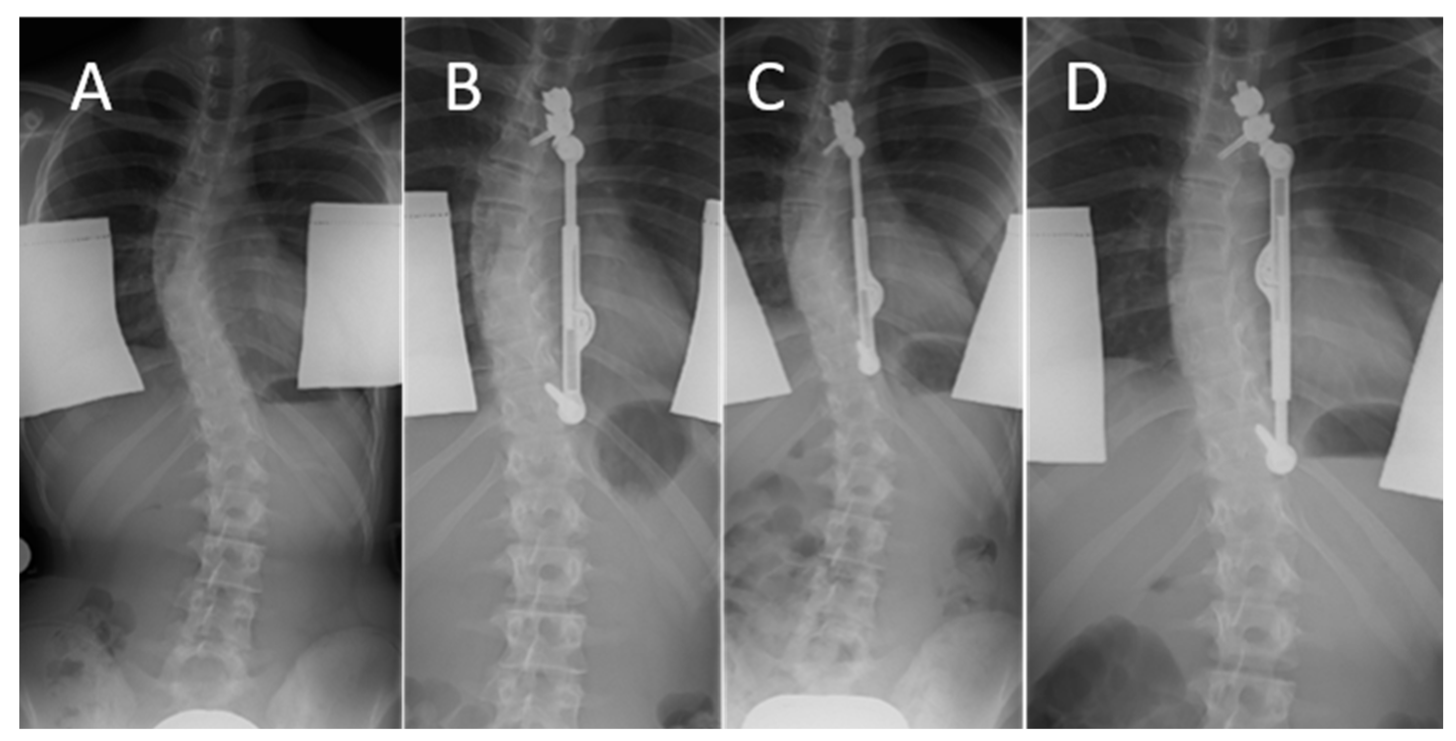
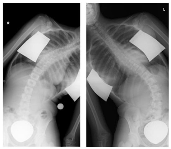
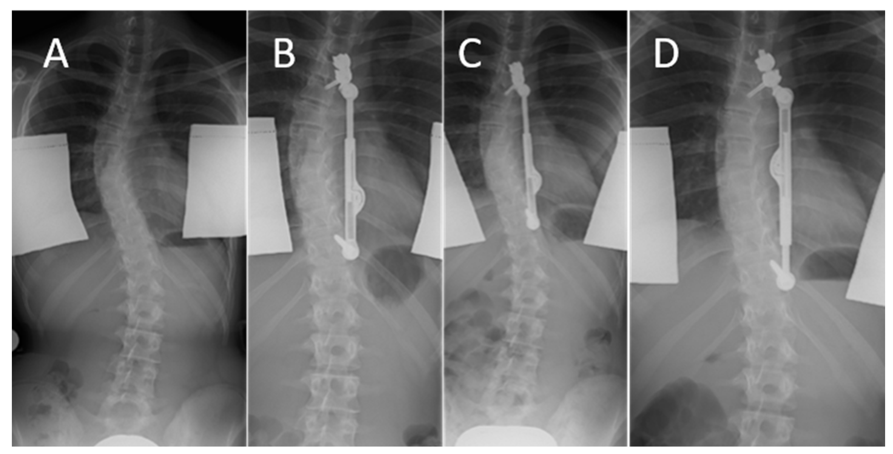
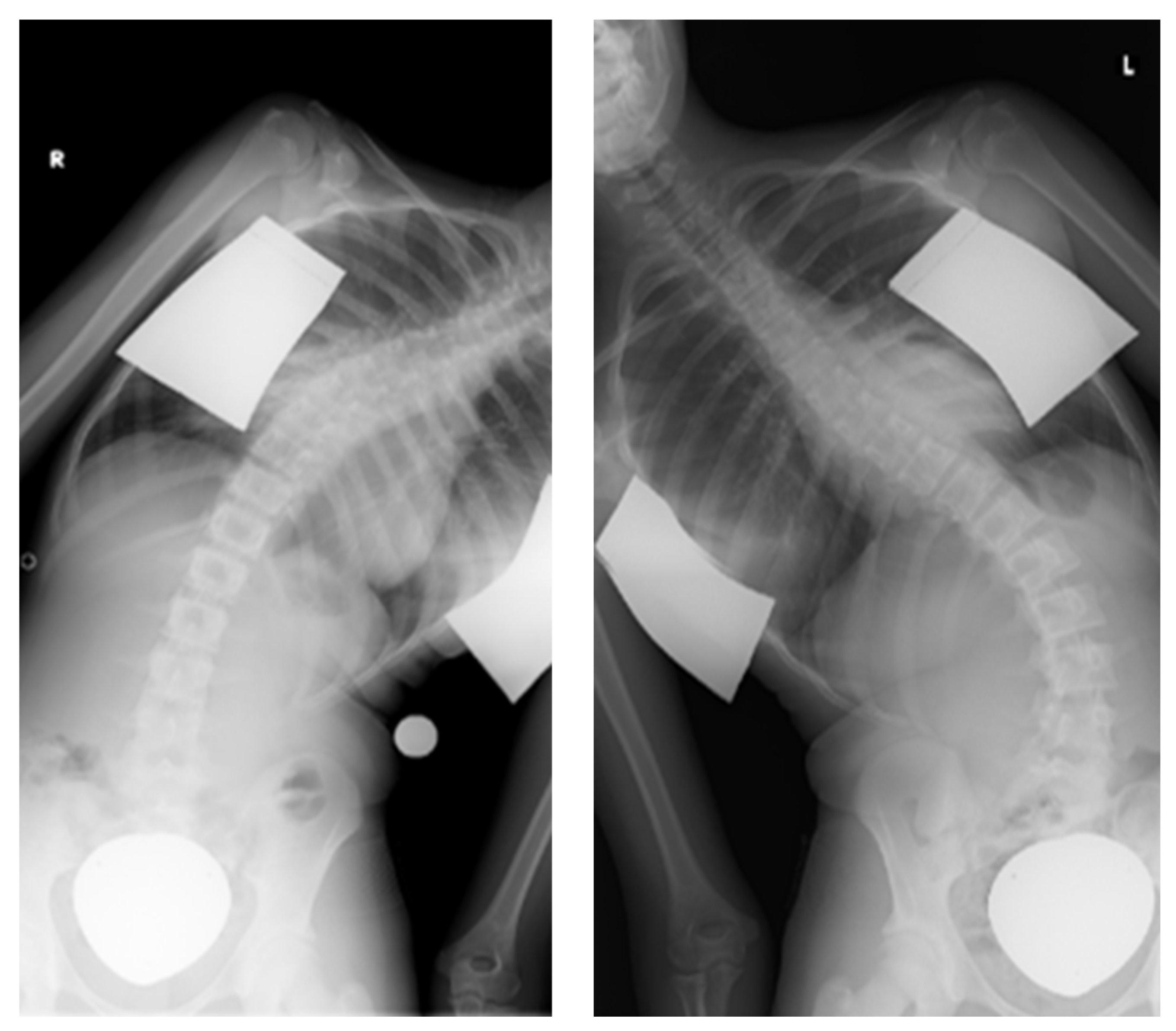
3. Results
3.1. Curve Correction during Follow-Up
3.2. Complications/Revisions
4. Discussion
Author Contributions
Funding
Institutional Review Board Statement
Informed Consent Statement
Data Availability Statement
Acknowledgments
Conflicts of Interest
References
- Uwe Niethard, F.; Carstens, C.; Döderlein, L.; Peschgens, T. (Eds.) KInderorthopädie; 2.Aktualisierte und Erweiterte Auflage 2009; Thieme: Stuttgart, Germany, 2009; ISBN 9783131065926. [Google Scholar]
- Hefti, F. Pathogenesis and biomechanics of adolescent idiopathic scoliosis (AIS). J. Child. Orthop. 2013, 7, 17–24. [Google Scholar] [CrossRef]
- Zaborowska-Sapeta, K.; Giżewski, T.; Binkiewicz-Glińska, A.; Kamelska-Sadowska, A.M.; Kowalski, I.M. The Duration of the correction loss after removing cheneau brace in patients with adolescent idiopathic scoliosis. Acta Orthop. Traumatol. Turc. 2019, 53, 61–67. [Google Scholar] [CrossRef] [PubMed]
- Cheung, Z.B.; Selverian, S.; Cho, B.H.; Ball, C.J.; Kang-Wook Cho, S. Idiopathic Scoliosis in Children and Adolescents: Emerging Techniques in Surgical Treatment. World Neurosurg. 2019, 130, e737–e742. [Google Scholar] [CrossRef] [PubMed]
- Risser, J.C. The classic: The iliac apophysis: An invaluable sign in the management of scoliosis. 1958. Clin. Orthop. Relat. Res. 2010, 468, 643–653. [Google Scholar] [CrossRef] [PubMed]
- Slattery, C.; Verma, K. Classifications in Brief: The Lenke Classification for Adolescent Idiopathic Scoliosis. Clin. Orthop. Relat. Res. 2018, 476, 2271–2276. [Google Scholar] [CrossRef]
- Negrini, S.; Donzelli, S.; Aulisa, A.G.; Czaprowski, D.; Schreiber, S.; de Mauroy, J.C.; Diers, H.; Grivas, T.B.; Knott, P.; Kotwicki, T.; et al. 2016 SOSORT guidelines: Orthopaedic and rehabilitation treatment of idiopathic scoliosis during growth. Scoliosis Spinal Disord. 2018, 13, 3. [Google Scholar] [CrossRef]
- Lenke, L.G. Lenke classification system of adolescent idiopathic scoliosis: Treatment recommendations. Instr. Course Lect. 2005, 54, 537–542. [Google Scholar]
- Lenke, L.G. The Lenke classification system of operative adolescent idiopathic scoliosis. Neurosurg. Clin. N. Am. 2007, 18, 199–206. [Google Scholar] [CrossRef]
- Dimitrijević, V.; Šćepanović, T.; Jevtić, N.; Rašković, B.; Milankov, V.; Milosević, Z.; Ninković, S.S.; Chockalingam, N.; Obradović, B.; Drid, P. Application of the Schroth Method in the Treatment of Idiopathic Scoliosis: A Systematic Review and Meta-Analysis. Int. J. Environ. Res. Public Health 2022, 19, 16730. [Google Scholar] [CrossRef]
- Hawary, R.E.; Zaaroor-Regev, D.; Floman, Y.; Lonner, B.S.; Alkhalife, Y.I.; Betz, R.R. Brace treatment in adolescent idiopathic scoliosis: Risk factors for failure—A literature review. Spine J. 2019, 19, 1917–1925. [Google Scholar] [CrossRef]
- Weiß, H. Konservative Skoliosebehandlung—Was ist evidenzbasiert? Deutsches Ärzteblatt 2010, 11, 440–444. [Google Scholar]
- Hariharan, A.R.; Shah, S.A.; Petfield, J.; Baldwin, M.; Yaszay, B.; Newton, P.O.; Lenke, L.G.; Lonner, B.S.; Miyanji, F.; Sponseller, P.D.; et al. Complications following surgical treatment of adolescent idiopathic scoliosis: A 10-year prospective follow-up study. Spine Deform. 2022, 10, 1097–1105. [Google Scholar] [CrossRef]
- Braun, S.; Brenneis, M.; Schönnagel, L.; Caffard, T.; Diaremes, P. Surgical Treatment of Spinal Deformities in Pediatric Orthopedic Patients. Life 2023, 13, 1341. [Google Scholar] [CrossRef]
- Courvoisier, A.; Baroncini, A.; Jeandel, C.; Barra, C.; Lefevre, Y.; Solla, F.; Gouron, R.; Métaizeau, J.-D.; Maximin, M.-C.; Cunin, V. Vertebral Body Tethering in AIS Management—A Preliminary Report. Children 2023, 10, 192. [Google Scholar] [CrossRef]
- Trobisch, P.; Suess, O.; Schwab, F. Idiopathic scoliosis. Dtsch. Arztebl. Int. 2010, 107, 875–883, quiz 884. [Google Scholar] [CrossRef]
- Trobisch, P.D.; Kobbe, P.; Baroncini, A. Dynamic Scoliosis Correction as Alternative Treatment for Patients with Adolescent Idiopathic Scoliosis: A Non-Fusion Surgical Technique. Z. Orthop. Unfall. 2020, 158, 641–646. [Google Scholar] [CrossRef]
- Raitio, A.; Syvänen, J.; Helenius, I. Vertebral Body Tethering: Indications, Surgical Technique, and a Systematic Review of Published Results. J. Clin. Med. 2022, 11, 2576. [Google Scholar] [CrossRef] [PubMed]
- Trobisch, P.; Migliorini, F.; Vanspauwen, T.; Baroncini, A. Pulmonary Complications after Vertebral Body Tethering: Incidence, Treatment, Outcomes and Risk Factor Analysis. J. Clin. Med. 2022, 11, 3778. [Google Scholar] [CrossRef] [PubMed]
- Baroncini, A.; Trobisch, P.; Blau, C.; Golias, C.; Kobbe, P.; Eschweiler, J.; Tingart, M.; Migliorini, F. Analysis of the pulmonary function in patients undergoing vertebral body tethering for adolescent idiopathic scoliosis. Eur. Spine J. 2022, 31, 1022–1027. [Google Scholar] [CrossRef] [PubMed]
- Guldeniz, O.; Yip, C.C.H.; Nafo, W.; Cheung, K.M.C. Biomechanics of the tether breakage: Tensile behaviour of a single-unit vertebral body tethering construct. Spine Deform. 2023, 11, 825–831. [Google Scholar] [CrossRef]
- Floman, Y.; Burnei, G.; Gavriliu, S.; Anekstein, Y.; Straticiuc, S.; Tunyogi-Csapo, M.; Mirovsky, Y.; Zarzycki, D.; Potaczek, T.; Arnin, U. Surgical management of moderate adolescent idiopathic scoliosis with ApiFix®: A short peri- apical fixation followed by post-operative curve reduction with exercises. Scoliosis 2015, 10, 4. [Google Scholar] [CrossRef] [PubMed]
- Floman, Y.; El-Hawary, R.; Lonner, B.S.; Betz, R.R.; Arnin, U. Vertebral growth modulation by posterior dynamic deformity correction device in skeletally immature patients with moderate adolescent idiopathic scoliosis. Spine Deform. 2021, 9, 149–153. [Google Scholar] [CrossRef] [PubMed]
- FDA. Food and Drug Administration. Center for Drug Evaluation and Research. Available online: https://www.fda.gov (accessed on 19 July 2023).
- Conformité Européenne. Available online: https://www.eu-richtlinien-online.de/de/informationen/ce-kennzeichnung (accessed on 19 July 2023).
- Stadhouder, A.; Holewijn, R.M.; Haanstra, T.M.; van Royen, B.J.; Kruyt, M.C.; de Kleuver, M. High Failure Rates of a Unilateral Posterior Peri-Apical Distraction Device (ApiFix) for Fusionless Treatment of Adolescent Idiopathic Scoliosis. J. Bone Jt. Surg. Am. 2021, 103, 1834–1843. [Google Scholar] [CrossRef]
- Hacquebord, J.H.; Leopold, S.S. In brief: The Risser classification: A classic tool for the clinician treating adolescent idiopathic scoliosis. Clin. Orthop. Relat. Res. 2012, 470, 2335–2338. [Google Scholar] [CrossRef]
- Newton, P.O.; Kluck, D.G.; Saito, W.; Yaszay, B.; Bartley, C.E.; Bastrom, T.P. Anterior Spinal Growth Tethering for Skeletally Immature Patients with Scoliosis: A Retrospective Look Two to Four Years Postoperatively. J. Bone Jt. Surg. Am. 2018, 100, 1691–1697. [Google Scholar] [CrossRef] [PubMed]
- Zhang, H.; Fan, Y.; Ni, S.; Pi, G. The preliminary outcomes of vertebral body tethering in treating adolescent idiopathic scoliosis: A systematic review. Spine Deform. 2022, 10, 1233–1243. [Google Scholar] [CrossRef] [PubMed]
- Zhu, F.; Qiu, X.; Liu, S.; Man-Chee Cheung, K. Minimum 3-year experience with vertebral body tethering for treating scoliosis: A systematic review and single-arm meta-analysis. J. Orthop. Surg. 2022, 30, 10225536221137753. [Google Scholar] [CrossRef]
- Shaw, K.A.; Welborn, M.C.; Matsumoto, H.; Parent, S.; Sachwani, N.; El-Hawary, R.; Skaggs, D.; Newton, P.O.; Blakemore, L.; Vitale, M.; et al. To tether or fuse? Significant equipoise remains in treatment recommendations for idiopathic scoliosis. Spine Deform. 2022, 10, 763–773. [Google Scholar] [CrossRef]
- Kocyigit, I.A.; Olgun, Z.D.; Demirkiran, H.G.; Ayvaz, M.; Yazici, M. Graduation Protocol After Growing-Rod Treatment: Removal of Implants without New Instrumentation Is Not a Realistic Approach. J. Bone Jt. Surg. Am. 2017, 99, 1554–1564. [Google Scholar] [CrossRef]
- Baroncini, A.; Trobisch, P.; Eschweiler, J.; Migliorini, F. Analysis of the risk factors for early tether breakage following vertebral body tethering in adolescent idiopathic scoliosis. Eur. Spine J. 2022, 31, 2348–2354. [Google Scholar] [CrossRef]
- Baroncini, A.; Migliorini, F.; Eschweiler, J.; Hildebrand, F.; Trobisch, P. The timing of tether breakage influences clinical results after VBT. Eur. Spine J. 2022, 31, 2362–2367. [Google Scholar] [CrossRef] [PubMed]
- Zygogiannis, K.; Pappa, E.; Antonopoulos, S.I.; Tsalimas, G.; Manolakos, K.; Chatzikomninos, I.; Moschos, S.; Thivaios, G.C.; Kalatzis, D.; Kalampokis, A. Surgical Site Infection Following the Correction of Adolescent Idiopathic Scoliosis With ApiFix: A Retrospective Study Analyzing Its Incidence and Recurrence. Cureus 2023, 15, e34494. [Google Scholar] [CrossRef] [PubMed]






| Curve Type | Structural Curve/Curves | Nonstructural Curve/Curves | No. of Structural Curves |
|---|---|---|---|
| 1 Main thoracic | Main thoracic # | Proximal thoracic Thoracolumbar/lumbar | 1 |
| 2 Double thoraric | Main thoracic # Proximal thoracic | Thoracolumbar/lumbar | 2 |
| 3 Double major | Main thoracic # Thoracolumbar/lumbar | Proximal thoracic | 2 |
| 4 Triple major | Main thoracic # Thoracolumbar/lumbar Proximal thoracic | 3 | |
| 5 Thoracolumbar/lumbar | Thoracolumbar/lumbar # | Main thoracic Proximal thoracic | 1 |
| 6 Thoracolumbar/lumbar-main thoracic | Thoracolumbar/lumbar # Main thoracic | Proximal thoracic | 2 |
| Risser Stage | No. of Patients | Percentage |
|---|---|---|
| 2 | 4 | 11.1 |
| 3 | 7 | 19.4 |
| 4 | 17 | 47.2 |
| 5 | 8 | 22.2 |
| Time after Index Surgery | Interventions |
|---|---|
| 13 months | Maximum distraction distance reached after growth spurt, implant replacement with longer implant including renewed intraoperative distraction |
| 18 months | Maximum distraction distance reached after growth spurt, implant replacement with longer implant including renewed intraoperative distraction |
| 20 months | Maximum distraction distance reached after growth spurt, implant replacement with longer implant including renewed intraoperative distraction |
| 22 months | Maximum distraction distance reached after growth spurt, implant replacement with longer implant including renewed intraoperative distraction |
| Time after Index Surgery | Reason for Revision | Action Taken |
|---|---|---|
| 7 days | Distal ApiFix screw was too long | Replacement with a shorter screw |
| 3 months | Screw dislocation with lateralization of the implant | Implant replacement |
| 11 months | Scar tissue excision with subsequent infection and fistula on the caudal wound pole | Complete removal of implant |
| 16 months | Loosening of screws with loss of curve correction | Complete removal of implant |
| 19 months | Loss of curve correction | Correction of kite angle, implant replacement with longer implant including renewed intraoperative distraction |
| 21 months | Low-grade infection with Cutibacterium acnes | Complete removal of implant |
| 22 months | Low-grade infection with Cutibacterium acnes | Complete removal of implant |
Disclaimer/Publisher’s Note: The statements, opinions and data contained in all publications are solely those of the individual author(s) and contributor(s) and not of MDPI and/or the editor(s). MDPI and/or the editor(s) disclaim responsibility for any injury to people or property resulting from any ideas, methods, instructions or products referred to in the content. |
© 2023 by the authors. Licensee MDPI, Basel, Switzerland. This article is an open access article distributed under the terms and conditions of the Creative Commons Attribution (CC BY) license (https://creativecommons.org/licenses/by/4.0/).
Share and Cite
Froehlich, S.; Mittelmeier, W.; Desai, B.; Pandey, S.J.; Raddatz, H.; Lembcke, B.; Klinder, A.; Osmanski-Zenk, K. Surgical Treatment of Adolescent Idiopathic Scoliosis with the ApiFix Minimal Invasive Dynamic Correction System—A Preliminary Report of a 24-Month Follow-Up. Life 2023, 13, 2032. https://doi.org/10.3390/life13102032
Froehlich S, Mittelmeier W, Desai B, Pandey SJ, Raddatz H, Lembcke B, Klinder A, Osmanski-Zenk K. Surgical Treatment of Adolescent Idiopathic Scoliosis with the ApiFix Minimal Invasive Dynamic Correction System—A Preliminary Report of a 24-Month Follow-Up. Life. 2023; 13(10):2032. https://doi.org/10.3390/life13102032
Chicago/Turabian StyleFroehlich, Susanne, Wolfram Mittelmeier, Biren Desai, Subash Jung Pandey, Herbert Raddatz, Bjoern Lembcke, Annett Klinder, and Katrin Osmanski-Zenk. 2023. "Surgical Treatment of Adolescent Idiopathic Scoliosis with the ApiFix Minimal Invasive Dynamic Correction System—A Preliminary Report of a 24-Month Follow-Up" Life 13, no. 10: 2032. https://doi.org/10.3390/life13102032
APA StyleFroehlich, S., Mittelmeier, W., Desai, B., Pandey, S. J., Raddatz, H., Lembcke, B., Klinder, A., & Osmanski-Zenk, K. (2023). Surgical Treatment of Adolescent Idiopathic Scoliosis with the ApiFix Minimal Invasive Dynamic Correction System—A Preliminary Report of a 24-Month Follow-Up. Life, 13(10), 2032. https://doi.org/10.3390/life13102032
