Taurine Protects Doxorubicin-Induced Hepatotoxicity via Its Membrane-Stabilizing Effect in Rats
Abstract
:1. Introduction
2. Materials and Methods
2.1. Protein Carbonyl Assay
2.2. Catalase Activity
2.3. Total Antioxidant Status (TAS)
2.4. Total Oxidant Status (TOS)
2.5. Oxidative Stress Index (OSI)
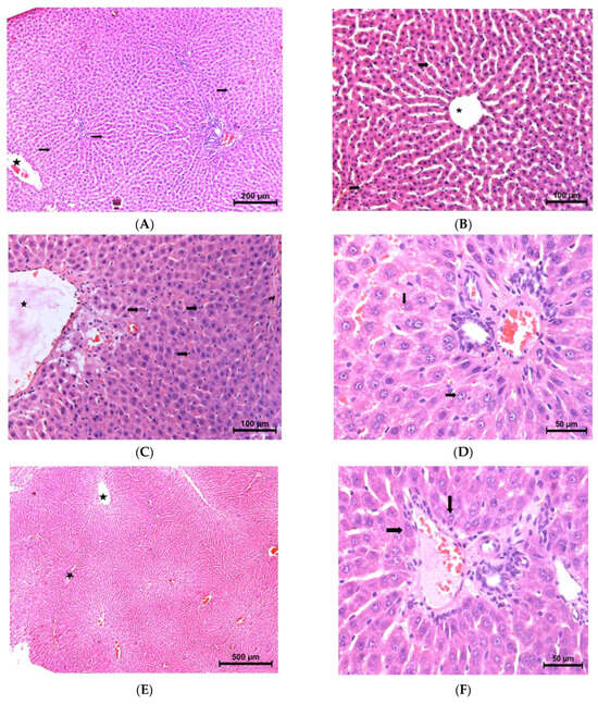
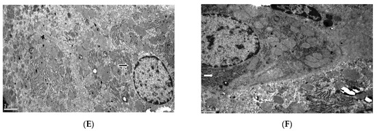
2.6. Histopathological Evaluations
2.7. Statistical Analysis
3. Results
3.1. Body Weight and Liver Weight of Animals
3.2. ALP, ALT, and AST Activity
3.3. PC Level and CAT Activity in Liver Tissue
3.4. Determination of Total Antioxidant Status (TAS), Total Oxidant Status (TOS), and Oxidative Stress Index (OSI)
3.5. Histopathological Examination
4. Discussion
5. Conclusions
Supplementary Materials
Author Contributions
Funding
Institutional Review Board Statement
Data Availability Statement
Acknowledgments
Conflicts of Interest
References
- Prasanna, P.L.; Renu, K.; Gopalakrishnan, A.V. New molecular and biochemical insights of doxorubicin-induced hepatotoxicity. Life Sci. 2020, 250, 117599. [Google Scholar] [CrossRef] [PubMed]
- Shokrzadeh, M.; Bagheri, A.; Ghassemi-Barghi, N.; Rahmanian, N.; Eskandani, M. Doxorubicin and doxorubicin-loaded nanoliposome induce senescence by enhancing oxidative stress, hepatotoxicity, and in vivo genotoxicity in male Wistar rats. Naunyn-Schmiedeberg’s Arch. Pharmacol. 2021, 394, 1803–1813. [Google Scholar] [CrossRef]
- Liu, X.; Qiu, Y.; Liu, Y.; Huang, N.; Hua, C.; Wang, Q.; Wu, Z.; Lu, J.; Song, P.; Xu, J.; et al. Citronellal ameliorates doxorubicin-induced hepatotoxicity via antioxidative stress, antiapoptosis, and proangiogenesis in rats. J. Biochem. Mol. Toxicol. 2020, 35, e22639. [Google Scholar] [CrossRef] [PubMed]
- Karaman, A.; Fadillioglu, E.; Turkmen, E.; Tas, E.; Yilmaz, Z. Protective effects of leflunomide against ischemia-reperfusion injury of the rat liver. Pediatr. Surg. Int. 2006, 22, 428–434. [Google Scholar] [CrossRef]
- Marchand, D.J.; Renton, K.W. Depression of cytochrome P-450-dependent drug biotransformation by adriamycin. Toxicol. Appl. Pharmacol. 1981, 58, 83–88. [Google Scholar] [CrossRef] [PubMed]
- Carvalho, C.; Santos, R.X.; Cardoso, S.; Correia, S.; Oliveira, P.J.; Santos, M.S.; Moreira, P.I. Doxorubicin: The Good, the Bad and the Ugly Effect. Curr. Med. Chem. 2009, 16, 3267–3285. [Google Scholar] [CrossRef] [PubMed]
- Mete, R.; Oran, M.; Topcu, B.; Oznur, M.; Seber, E.S.; Gedikbasi, A.; Yetisyigit, T. Protective effects of onion (Allium cepa) extract against doxorubicin-induced hepatotoxicity in rats. Toxicol. Ind. Health 2013, 32, 551–557. [Google Scholar] [CrossRef]
- Baliou, S.; Adamaki, M.; Ioannou, P.; Pappa, A.; Panayiotidis, M.I.; Spandidos, D.A.; Christodoulou, I.; Kyriakopoulos, A.M.; Zoumpourlis, V. Protective role of taurine against oxidative stress (Review). Mol. Med. Rep. 2021, 24, 1–19. [Google Scholar] [CrossRef]
- Wang, Y.; Mei, X.; Yuan, J.; Lu, W.; Li, B.; Xu, D. Taurine zinc solid dispersions attenuate doxorubicin-induced hepatotoxicity and cardiotoxicity in rats. Toxicol. Appl. Pharmacol. 2015, 289, 1–11. [Google Scholar] [CrossRef]
- Wu, G.-F.; Ren, S.; Tang, R.-Y.; Xu, C.; Zhou, J.-Q.; Lin, S.-M.; Feng, Y.; Yang, Q.-H.; Hu, J.-M.; Yang, J.-C. Antidepressant effect of taurine in chronic unpredictable mild stress-induced depressive rats. Sci. Rep. 2017, 7, 4989. [Google Scholar] [CrossRef]
- Kaur, J.; Singla, S.; Kumar, N. In vivo studies on the protective effect of propolis on doxorubicin-induced toxicity in liver of male rats. Toxicol. Int. 2014, 21, 191–195. [Google Scholar] [CrossRef] [PubMed]
- Aebi, H. Catalase. In Methods of Enzymatic Analysis, 2nd ed.; Bergmeyer, H.U., Ed.; Academic Press: Cambridge, MA, USA, 1974; Volume 2, pp. 673–684. [Google Scholar] [CrossRef]
- Bulucu, F.; Ocal, R.; Karadurmus, N.; Sahin, M.; Kenar, L.; Aydin, A.; Oktenli, C.; Koc, B.; Inal, V.; Yamanel, L.; et al. Effects of N-Acetylcysteine, Deferoxamine and Selenium on Doxorubicin-Induced Hepatotoxicity. Biol. Trace Element Res. 2009, 132, 184–196. [Google Scholar] [CrossRef] [PubMed]
- Rajendran, V.M.; Geibel, J.; Binder, H.J.; Parks, S.K.; Tresguerres, M.; Goss, G.G.; Donowitz, M.; Li, X.; Laverty, G.; McWilliams, C.; et al. Characterization of apical membrane Cl-dependent Na/H exchange in crypt cells of rat distal colon. Am. J. Physiol. Liver Physiol. 2001, 280, G400–G405. [Google Scholar] [CrossRef] [PubMed]
- Navarro, V.J.; Senior, J.R. Drug-Related Hepatotoxicity. N. Engl. J. Med. 2006, 354, 731–739. [Google Scholar] [CrossRef]
- Pieniążek, A.; Czepas, J.; Piasecka-Zelga, J.; Gwoździński, K.; Koceva-Chyła, A. Oxidative stress induced in rat liver by anticancer drugs doxorubicin, paclitaxel and docetaxel. Adv. Med. Sci. 2013, 58, 104–111. [Google Scholar] [CrossRef] [PubMed]
- El-Sayyad, I.H.; Ismail, M.F.; Shalaby, F.M.; Abou-El-Magd, R.; Gaur, R.L.; Fernando, A.; Raj, M.H.; Ouhtit, A. Histopathological effects of cisplatin, doxorubicin and 5-flurouracil (5-FU) on the liver of male albino rats. Int. J. Biol. Sci. 2009, 5, 466–473. [Google Scholar] [CrossRef]
- Kalender, Y.; Yel, M.; Kalender, S. Doxorubicin hepatotoxicity and hepatic free radical metabolism in rats: The effects of vitamin E and catechin. Toxicology 2005, 209, 39–45. [Google Scholar] [CrossRef]
- Vásquez-Garzón, V.R.; Arellanes-Robledo, J.; García-Román, R.; Aparicio-Rautista, D.I.; Villa-Treviño, S. Inhibition of reactive oxygen species and pre-neoplastic lesions by quercetin through an antioxidant defense mechanism. Free. Radic. Res. 2009, 43, 128–137. [Google Scholar] [CrossRef]
- Meister, A. Glutathione deficiency produced by inhibition of its synthesis, and its reversal; Applications in research and therapy. Pharmacol. Ther. 1991, 51, 155–194. [Google Scholar] [CrossRef]
- Khan, G.; Haque, S.E.; Anwer, T.; Ahsan, M.N.; Safhi, M.M.; Alam, M.F. Cardioprotective effect of green tea extract on doxorubicin-induced cardiotoxicity in rats. Acta Pol. Pharm.—Drug Res. 2014, 71, 861–868. [Google Scholar]
- Erdem, A.; Gündogan, N.; Usubütün, A.; Kılınç, K.; Erdem, R.; Kara, A.; Bozkurt, A. The protective effect of taurine against gentamicin-induced acute tubular necrosis in rats. Nephrol. Dial. Transpl. 2000, 15, 1175–1182. [Google Scholar] [CrossRef] [PubMed]
- Taş, S.; Dirican, M.; Sarandöl, E.; Serdar, Z. The effect of taurine supplementation on oxidative stress in experimental hypothyroidism. Cell Biochem. Funct. 2004, 24, 153–158. [Google Scholar] [CrossRef]
- Miyazaki, T.; Matsuzaki, Y. Taurine and liver diseases: A focus on the heterogeneous protective properties of taurine. Amino Acids 2012, 46, 101–110. [Google Scholar] [CrossRef] [PubMed]
- Zhao, X.; Zhang, J.; Tong, N.; Liao, X.; Wang, E.; Li, Z.; Luo, Y.; Zuo, H. Berberine Attenuates Doxorubicin-Induced Cardiotoxicity in Mice. J. Int. Med. Res. 2011, 39, 1720–1727. [Google Scholar] [CrossRef] [PubMed]
- Herman, E.H.; Zhang, J.; Chadwick, D.P.; Ferrans, V.J. Comparison of the protective effects of amifostine and dexrazoxane against the toxicity of doxorubicin in spontaneously hypertensive rats. Cancer Chemother. Pharmacol. 2000, 45, 329–334. [Google Scholar] [CrossRef] [PubMed]
- Zhao, X.; Zhang, J.; Tong, N.; Chen, Y.; Luo, Y. Protective Effects of Berberine on Doxorubicin-Induced Hepatotoxicity in Mice. Biol. Pharm. Bull. 2012, 35, 796–800. [Google Scholar] [CrossRef]
- Xi, Y.; Chi, Z.; Tao, X.; Zhai, X.; Zhao, Z.; Ren, J.; Yang, S.; Dong, D. Naringin against doxorubicin-induced hepatotoxicity in mice through reducing oxidative stress, inflammation, and apoptosis via the up-regulation of SIRT1. Environ. Toxicol. 2023, 38, 1153–1161. [Google Scholar] [CrossRef]
- Mohan, M.; Kamble, S.; Gadhi, P.; Kasture, S. Protective effect of Solanum torvum on doxorubicin-induced nephrotoxicity in rats. Food Chem. Toxicol. 2010, 48, 436–440. [Google Scholar] [CrossRef]
- Moss, D.W. Physicochemical and pathophysiological factors in the release of membrane-bound alkaline phosphatase from cells. Clin. Chim. Acta 1997, 257, 133–140. [Google Scholar] [CrossRef]
- Rašković, A.; Stilinović, N.; Kolarović, J.; Vasović, V.; Vukmirović, S.; Mikov, M. The Protective Effects of Silymarin against Doxorubicin-Induced Cardiotoxicity and Hepatotoxicity in Rats. Molecules 2011, 16, 8601–8613. [Google Scholar] [CrossRef]
- Lu, K.-L.; Tsai, C.-C.; Ho, L.-K.; Lin, C.-C.; Chang, Y.-S. Preventive effect of the Taiwan folk medicine Ixeris laevigata var. oldhami on alpha-naphthyl-isothiocyanate and carbon tetrachloride-induced acute liver injury in rats. Phytother. Res. 2002, 16, 45–50. [Google Scholar] [CrossRef] [PubMed]
- Das, J.; Ghosh, J.; Manna, P.; Sil, P.C. Taurine protects rat testes against doxorubicin-induced oxidative stress as well as p53, Fas and caspase 12-mediated apoptosis. Amino Acids 2011, 42, 1839–1855. [Google Scholar] [CrossRef] [PubMed]
- Chen, Y.X. Protective action of taurine on ischemia-reperfusion liver injury in rats and its mechanism. Zhonghua Yi Xue Za Zhi 1993, 73, 276–279+318–319. [Google Scholar] [PubMed]
- Subramanian, K.; Meyer, T. Calcium-Induced Restructuring of Nuclear Envelope and Endoplasmic Reticulum Calcium Stores. Cell 1997, 89, 963–971. [Google Scholar] [CrossRef] [PubMed]
- Davies, K.J.A. Oxidative Stress, Antioxidant Defenses, and Damage Removal, Repair, and Replacement Systems. IUBMB Life 2000, 50, 279–289. [Google Scholar] [CrossRef]
- Rajagopalan, S.; Politi, P.M.; Sinha, B.K.; Myers, E.C. Adriamycin-induced free radical formation in the perfused rat heart: Implications for cardiotoxicity. Cancer Res. 1988, 48, 4766–4769. [Google Scholar]
- Yagmurca, M.; Bas, O.; Mollaoglu, H.; Sahin, O.; Nacar, A.; Karaman, O.; Songur, A. Protective Effects of Erdosteine on Doxorubicin-induced Hepatotoxicity in Rats. Arch. Med. Res. 2007, 38, 380–385. [Google Scholar] [CrossRef]
- Hagar, H.H. The protective effect of taurine against cyclosporine A-induced oxidative stress and hepatotoxicity in rats. Toxicol. Lett. 2004, 151, 335–343. [Google Scholar] [CrossRef]
- Tabassum, H.; Rehman, H.; Banerjee, B.D.; Raisuddin, S.; Parvez, S. Attenuation of tamoxifen-induced hepatotoxicity by taurine in mice. Clin. Chim. Acta 2006, 370, 129–136. [Google Scholar] [CrossRef]
- Koch, O.R.; Pani, G.; Borrello, S.; Colavitti, R.; Cravero, A.; Farrè, S.; Galeotti, T. Oxidative stress and antioxidant defenses in ethanol-induced cell injury. Mol. Asp. Med. 2004, 25, 191–198. [Google Scholar] [CrossRef]
- Shacter, E. Quantification and significance of protein oxidation in biological samples. Drug Metab. Rev. 2000, 32, 307–326. [Google Scholar] [CrossRef] [PubMed]
- Cheeseman, K.H.; Slater, T.F. An introduction to free radical biochemistry. Br. Med. Bull. 1993, 49, 481–493. [Google Scholar] [CrossRef] [PubMed]
- Gerges, S.H.; El-Kadi, A.O. Sexual Dimorphism in the Expression of Cytochrome P450 Enzymes in Rat Heart, Liver, Kidney, Lung, Brain, and Small Intestine. Drug Metab. Dispos. 2022, 51, 81–94. [Google Scholar] [CrossRef]
- Kato, R.; Yamazoe, Y. Sex-specific cytochrome P450 as a cause of sex-and species-related differences in drug toxicity. Toxicol. Lett. 1992, 64–65, 661–667. [Google Scholar] [CrossRef]
- Grant, M.K.; Abdelgawad, I.Y.; Lewis, C.A.; Zordoky, B.N. Sexual Dimorphism in Doxorubicin-induced Systemic Inflammation: Implications for Hepatic Cytochrome P450 Regulation. Int. J. Mol. Sci. 2020, 21, 1279. [Google Scholar] [CrossRef] [PubMed]



| C (n = 7) | Tau (n = 8) | Dox (n = 8) | Dox+Tau (n = 8) | |
|---|---|---|---|---|
| Body weight at baseline (g) | 377.09 ± 23.47 | 333.00 ± 26.14 | 358.75 ± 36.82 | 360.00 ± 34.43 |
| Difference in body weight (g) | −4.16 ± 12.42 | 8.43 ± 27.64 | −30.09 ± 18.56 b | −21.65 ± 18.02 |
| Liver weight/100 g b.w. (g) | 2.74 ± 0.07 | 3.04 ± 0.26 * | 3.07 ± 0.33 # | 2.93 ± 0.09 |
| C (n = 7) | Tau (n = 8) | Dox (n = 7) | Dox+Tau (n = 8) | |
|---|---|---|---|---|
| ALP(s) (U/L) | 194.86 ± 30.59 | 205.88 ± 44.30 | 128.29 ± 23.50 *,a | 135.75 ± 21.61 a |
| ALT(s) (U/L) | 39.43 ± 2.70 | 46.63 ± 4.60 | 161.00 ± 49.70 #,a | 155.38 ± 57.59 # |
| AST(s) (U/L) | 104.71 ± 16.31 | 146.38 ± 30.02 | 276.57 ± 81.54 # | 328.75 ± 128.93 #,a |
| PC(t) (nmol/mg protein) | 7.81 ± 6.99 | 14.76 ± 7.50 | 16.79 ± 6.49 * | 16.54 ± 5.24 * |
| CAT(t) (k/g protein) | 6.23 ± 1.91 | 9.49 ± 2.13 | 6.04 ± 1.24 | 5.26 ± 1.98 b |
| TAS(t) (mmol Trolox Equivalent/L) | 5.22 ± 1.34 | 5.61 ± 0.78 | 3.02 ± 4.33 # | 3.14 ± 0.32 |
| TOS(t) (μmol H2O2 Equivalent/L) | 12.23 ± 2.38 | 11.27 ± 1.39 | 20.58 ± 3.99 # | 18.5 ± 1.46 |
| OSI (TOS/TAS) | 2.52 ± 0.87 | 2.04 ± 0.35 | 6.82 ± 1.05 # | 6.00 ± 1.00 # |
| C (n = 7) | Tau (n = 8) | Dox (n = 7) | Dox+Tau (n = 8) | |
|---|---|---|---|---|
| Granular degeneration of hepatocytes | 0.06 ± 0.16 | 0.13 ± 0.35 | 3.13 ± 0.35 c | 1.3 ± 0.59 e |
| Mononuclear cell infiltration | 0.33 ± 0.43 | 0.63 ± 0.69 | 2.75 ± 0.46 c | 0.88 ± 0.23 e |
| Sinusoidal narrowing | 0.28 ± 0.44 | 0.69 ± 0.70 | 2.00 ± 0.53 c | 0.75 ± 0.46 e |
| Vascular congestion | 0.22 ± 0.44 | 0.50 ± 0.46 | 2.25 ± 0.46 c | 1.19 ± 0.75 d,c |
| Vacuolation of hepatocyte | 0.06 ± 0.17 | 0.19 ± 0.37 | 2.62 ± 0.52 c | 1.06 ± 0.68 e,c |
| Pyknotic nuclei and heterochromatic nuclei in hepatocyte | 0.22 ± 0.44 | 0.38 ± 0.52 | 2.88 ± 0.35 c | 1.38 ± 0.52 e,c |
Disclaimer/Publisher’s Note: The statements, opinions and data contained in all publications are solely those of the individual author(s) and contributor(s) and not of MDPI and/or the editor(s). MDPI and/or the editor(s) disclaim responsibility for any injury to people or property resulting from any ideas, methods, instructions or products referred to in the content. |
© 2023 by the authors. Licensee MDPI, Basel, Switzerland. This article is an open access article distributed under the terms and conditions of the Creative Commons Attribution (CC BY) license (https://creativecommons.org/licenses/by/4.0/).
Share and Cite
Gedikli, E.; Barış, V.Ö.; Yersal, N.; Dinçsoy, A.B.; Müftüoğlu, S.F.; Erdem, A. Taurine Protects Doxorubicin-Induced Hepatotoxicity via Its Membrane-Stabilizing Effect in Rats. Life 2023, 13, 2031. https://doi.org/10.3390/life13102031
Gedikli E, Barış VÖ, Yersal N, Dinçsoy AB, Müftüoğlu SF, Erdem A. Taurine Protects Doxorubicin-Induced Hepatotoxicity via Its Membrane-Stabilizing Effect in Rats. Life. 2023; 13(10):2031. https://doi.org/10.3390/life13102031
Chicago/Turabian StyleGedikli, Esra, Veysel Özgür Barış, Nilgün Yersal, Adnan Berk Dinçsoy, Sevda Fatma Müftüoğlu, and Ayşen Erdem. 2023. "Taurine Protects Doxorubicin-Induced Hepatotoxicity via Its Membrane-Stabilizing Effect in Rats" Life 13, no. 10: 2031. https://doi.org/10.3390/life13102031
APA StyleGedikli, E., Barış, V. Ö., Yersal, N., Dinçsoy, A. B., Müftüoğlu, S. F., & Erdem, A. (2023). Taurine Protects Doxorubicin-Induced Hepatotoxicity via Its Membrane-Stabilizing Effect in Rats. Life, 13(10), 2031. https://doi.org/10.3390/life13102031

