Twenty-Three Months Repetitive Transcranial Magnetic Stimulation of the Primary Motor Cortex for Refractory Trigeminal Neuralgia: A Single-Case Study
Abstract
1. Introduction
2. Materials and Methods
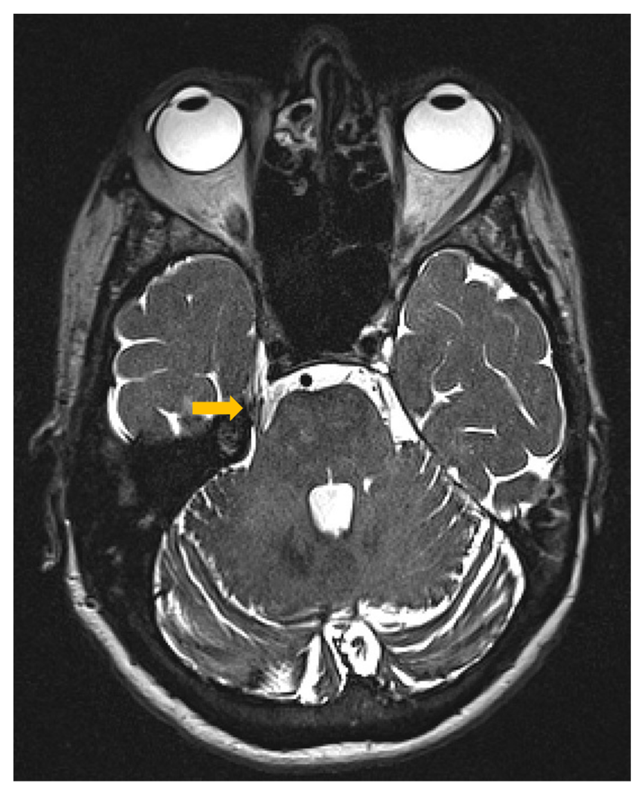
2.1. Patient
2.2. Experimental Assessment and Therapeutic Intervention
2.3. Repetitive Transcranial Magnetic Stimulation (rTMS)
3. Analysis
4. Results
5. Discussion
6. Limitations of the Study
7. Conclusions
Supplementary Materials
Author Contributions
Funding
Institutional Review Board Statement
Informed Consent Statement
Data Availability Statement
Acknowledgments
Conflicts of Interest
References
- Zakrzewska, J.M.; Linskey, M.E. Trigeminal neuralgia. BMJ 2014, 348, 1–9. [Google Scholar] [CrossRef] [PubMed]
- Pollack, I.F.; Jannetta, P.J.; Bissonette, D.J. Bilateral trigeminal neuralgia: A 14-year experience with microvascular decompression. J. Neurosurg. 1988, 68, 559–565. Available online: https://thejns.org/view/journals/j-neurosurg/68/4/article-p559.xml (accessed on 26 December 2022). [CrossRef] [PubMed]
- Glaser, M.A. Bilateral Trigeminal Neuralgia. Arch. Neurol. Psychiatry 1932, 28, 418. [Google Scholar] [CrossRef]
- Bendtsen, L.; Zakrzewska, J.M.; Heinskou, T.B.; Hodaie, M.; Leal, P.R.L.; Nurmikko, T.; Obermann, M.; Cruccu, G.; Maarbjerg, S. Advances in diagnosis, classification, pathophysiology, and management of trigeminal neuralgia. Lancet Neurol. 2020, 19, 784–796. [Google Scholar] [CrossRef] [PubMed]
- Siqueira, S.R.D.T.; Alves, B.; Malpartida, H.M.G.; Teixeira, M.J.; Siqueira, J.T.T. Abnormal expression of voltage-gated sodium channels Nav1.7, Nav1.3 and Nav1.8 in trigeminal neuralgia. Neuroscience 2009, 164, 573–577. Available online: https://linkinghub.elsevier.com/retrieve/pii/S0306452209013931 (accessed on 26 December 2022). [CrossRef] [PubMed]
- Tanaka, B.S.; Zhao, P.; Dib-Hajj, F.B.; Morisset, V.; Tate, S.; Waxman, S.G.; Dib-Hajj, S.D. A Gain-of-Function Mutation in Nav1.6 in a Case of Trigeminal Neuralgia. Mol. Med. 2016, 22, 338–348. [Google Scholar] [CrossRef] [PubMed]
- Gropper, M.A.; Miller, R.D. Miller’s Anesthesia (Ninth Edition—International), 9th ed.; Elsevier: Amsterdam, The Netherlands, 2020. [Google Scholar]
- Devor, M.; Amir, R.; Rappaport, Z.H. Pathophysiology of Trigeminal Neuralgia: The Ignition Hypothesis. Clin. J. Pain 2002, 18, 4–13. Available online: https://journals.lww.com/clinicalpain/Fulltext/2002/01000/Pathophysiology_of_Trigeminal_Neuralgia__The.2.aspx (accessed on 26 December 2022). [CrossRef]
- Henssen, D.J.H.A.; Hoefsloot, W.; Groenen, P.S.M.; Van Cappellen van Walsum, A.M.; Kurt, E.; Kozicz, T.; van Dongen, R.; Schutter, D.J.L.G.; Bartels, R.H.M.A. Bilateral vs. unilateral repetitive transcranial magnetic stimulation to treat neuropathic orofacial pain: A pilot study. Brain Stimul. 2019, 12, 803–805. Available online: https://linkinghub.elsevier.com/retrieve/pii/S1935861X19300543 (accessed on 26 December 2022). [CrossRef]
- Khedr, E.M. Longlasting antalgic effects of daily sessions of repetitive transcranial magnetic stimulation in central and peripheral neuropathic pain. J. Neurol. Neurosurg. Psychiatry 2005, 76, 833–838. [Google Scholar] [CrossRef] [PubMed]
- Hanna, J.; Shapiro, P.; Gover-Chamlou, A.; Komarczyk, E. Case Report: Repetitive Transcranial Magnetic Stimulation for Comorbid Treatment-Resistant Depression and Trigeminal Neuralgia. J. ECT 2019, 35, e37–e38. [Google Scholar] [CrossRef]
- Zaghi, S.; DaSilva, A.F.; Acar, M.; Lopes, M.; Fregni, F. One-Year rTMS Treatment for Refractory Trigeminal Neuralgia. J. Pain Symptom. Manag. 2009, 38, 1–5. [Google Scholar] [CrossRef]
- Tate, R.L.; Perdices, M.; Rosenkoetter, U.; Shadish, W.; Vohra, S.; Barlow, D.H.; Horner, R.; Kazdin, A.; Kratochwill, T.; McDonald, S.; et al. The Single-Case Reporting Guideline in BEhavioural Interventions (SCRIBE) 2016 Statement. Phys. Ther. 2016, 96, e1–e10. Available online: https://academic.oup.com/ptj/article/96/7/e1/2864911 (accessed on 26 December 2022). [CrossRef] [PubMed]
- Lobo, M.A.; Moeyaert, M.; Baraldi Cunha, A.; Babik, I. Single-Case Design, Analysis, and Quality Assessment for Intervention Research. J. Neurol. Phys. 2017, 41, 187–197. Available online: https://journals.lww.com/01253086-201707000-00007 (accessed on 26 December 2022). [CrossRef] [PubMed]
- Houdayer, E.; Degardin, A.; Cassim, F.; Bocquillon, P.; Derambure, P.; Devanne, H. The effects of low- and high-frequency repetitive TMS on the input/output properties of the human corticospinal pathway. Exp. Brain Res. 2008, 187, 207–217. [Google Scholar] [CrossRef] [PubMed]
- Rossi, S.; Hallett, M.; Rossini, M.P.; Pascual-Leone, A.; Safety of TMS Consensus Group. Safety, Ethical Considerations, and Application Guidelines for the Use of Transcranial Magnetic Stimulation in Clinical Practice and Research; Elsevier: Oxford, UK, 2009; Volume 120, p. 32. [Google Scholar]
- Lenz, A.S. Calculating Effect Size in Single-Case Research. Meas. Eval. Couns. Dev. 2013, 46, 64–73. [Google Scholar] [CrossRef]
- Andre-Obadia, N.; Magnin, M.; Simon, E.; Garcia-Larrea, L. Somatotopic effects of rTMS in neuropathic pain? A comparison between stimulation over hand and face motor areas. Eur. J. Pain 2018, 22, 707–715. [Google Scholar] [CrossRef]
- Lefaucheur, J.P.; Drouot, X.; Menard-Lefaucheur, I.; Zerah, F.; Bendib, B.; Cesaro, P.; Keravel, Y.; Nguyen, J.P. Neurogenic pain relief by repetitive transcranial magnetic cortical stimulation depends on the origin and the site of pain. J. Neurol. Neurosurg. Psychiatry 2004, 75, 612–616. [Google Scholar] [CrossRef]
- Nguyen, J.-P.; Lefaucheur, J.-P.; Decq, P.; Uchiyama, T.; Carpentier, A.; Fontaine, D.; Brugières, P.; Pollin, B.; Fève, A.; Rostaing, S.; et al. Chronic motor cortex stimulation in the treatment of central and neuropathic pain. Correlations between clinical, electrophysiological and anatomical data. Pain 1999, 82, 245–251. Available online: https://www.sciencedirect.com/science/article/pii/S0304395999000627 (accessed on 26 December 2022). [CrossRef]
- Yam, M.; Loh, Y.; Tan, C.; Khadijah Adam, S.; Abdul Manan, N.; Basir, R. General Pathways of Pain Sensation and the Major Neurotransmitters Involved in Pain Regulation. Int. J. Mol. Sci. 2018, 19, 2164. [Google Scholar] [CrossRef]
- Xie, Y. Glial involvement in trigeminal central sensitization. Acta Pharm. Sin. 2008, 29, 641–645. [Google Scholar] [CrossRef]
- Caudle, R.M.; King, C.; Nolan, T.A.; Suckow, S.K.; Vierck, C.J.; Neubert, J.K. Central Sensitization in the Trigeminal Nucleus Caudalis Produced by a Conjugate of Substance P and the A Subunit of Cholera Toxin. J. Pain 2010, 11, 838–846. Available online: https://linkinghub.elsevier.com/retrieve/pii/S1526590010005547 (accessed on 26 December 2022). [CrossRef] [PubMed]
- Gambeta, E.; Chichorro, J.G.; Zamponi, G.W. Trigeminal neuralgia: An overview from pathophysiology to pharmacological treatments. Mol. Pain. 2020, 16, 174480692090189. [Google Scholar] [CrossRef] [PubMed]
- Obermann, M.; Yoon, M.-S.; Ese, D.; Maschke, M.; Kaube, H.; Diener, H.-C.; Katsarava, Z. Impaired trigeminal nociceptive processing in patients with trigeminal neuralgia. Neurology 2007, 69, 835–841. [Google Scholar] [CrossRef] [PubMed]
- Gualdani, R.; Gailly, P.; Yuan, J.-H.; Yerna, X.; Di Stefano, G.; Truini, A.; Cruccu, G.; Dib-Hajj, S.D.; Waxman, S.G. A TRPM7 mutation linked to familial trigeminal neuralgia: Omega current and hyperexcitability of trigeminal ganglion neurons. Proc. Natl. Acad. Sci. USA 2022, 119, e2119630119. [Google Scholar] [CrossRef]
- Ab Aziz, C.B.; Ahmad, A.H. The role of the thalamus in modulating pain. Malays. J. Med. Sci. 2006, 13, 11–18. Available online: http://www.ncbi.nlm.nih.gov/pubmed/22589599 (accessed on 26 December 2022).
- Xie, Y.; Huo, F.; Tang, J. Cerebral cortex modulation of pain. Acta Pharm. Sin. 2009, 30, 31–41. Available online: http://www.nature.com/articles/aps200814 (accessed on 26 December 2022). [CrossRef]
- Passard, A.; Attal, N.; Benadhira, R.; Brasseur, L.; Saba, G.; Sichere, P.; Perrot, S.; Januel, D.; Bouhassira, D. Effects of unilateral repetitive transcranial magnetic stimulation of the motor cortex on chronic widespread pain in fibromyalgia. Brain 2007, 130, 2661–2670. [Google Scholar] [CrossRef]
- Lefaucheur, J.P.; Drouot, X.; Ménard-Lefaucheur, I.; Keravel, Y.; Nguyen, J.P. Motor cortex rTMS restores defective intracortical inhibition in chronic neuropathic pain. Neurology 2006, 67, 1568–1574. Available online: http://www.neurology.org/content/67/9/1568.abstract (accessed on 26 December 2022). [CrossRef]
- Chen, H.I.; Lee, J.Y.K. The measurement of pain in patients with trigeminal neuralgia. Clin. Neurosurg. 2010, 57, 129–133. [Google Scholar]



Disclaimer/Publisher’s Note: The statements, opinions and data contained in all publications are solely those of the individual author(s) and contributor(s) and not of MDPI and/or the editor(s). MDPI and/or the editor(s) disclaim responsibility for any injury to people or property resulting from any ideas, methods, instructions or products referred to in the content. |
© 2023 by the authors. Licensee MDPI, Basel, Switzerland. This article is an open access article distributed under the terms and conditions of the Creative Commons Attribution (CC BY) license (https://creativecommons.org/licenses/by/4.0/).
Share and Cite
Freigang, S.; Fresnoza, S.; Lehner, C.; Jasinskaitė, D.; Ali, K.M.; Zaar, K.; Mokry, M. Twenty-Three Months Repetitive Transcranial Magnetic Stimulation of the Primary Motor Cortex for Refractory Trigeminal Neuralgia: A Single-Case Study. Life 2023, 13, 126. https://doi.org/10.3390/life13010126
Freigang S, Fresnoza S, Lehner C, Jasinskaitė D, Ali KM, Zaar K, Mokry M. Twenty-Three Months Repetitive Transcranial Magnetic Stimulation of the Primary Motor Cortex for Refractory Trigeminal Neuralgia: A Single-Case Study. Life. 2023; 13(1):126. https://doi.org/10.3390/life13010126
Chicago/Turabian StyleFreigang, Sascha, Shane Fresnoza, Christian Lehner, Dominyka Jasinskaitė, Kariem Mahdy Ali, Karla Zaar, and Michael Mokry. 2023. "Twenty-Three Months Repetitive Transcranial Magnetic Stimulation of the Primary Motor Cortex for Refractory Trigeminal Neuralgia: A Single-Case Study" Life 13, no. 1: 126. https://doi.org/10.3390/life13010126
APA StyleFreigang, S., Fresnoza, S., Lehner, C., Jasinskaitė, D., Ali, K. M., Zaar, K., & Mokry, M. (2023). Twenty-Three Months Repetitive Transcranial Magnetic Stimulation of the Primary Motor Cortex for Refractory Trigeminal Neuralgia: A Single-Case Study. Life, 13(1), 126. https://doi.org/10.3390/life13010126

