A Comparative Study of Short-Term Vascular and Stromal Alterations of the Choroid Following Half-Fluence Photodynamic Therapy in Pachychoroid Neovasculopathy and Chronic Central Serous Chorioretinopathy
Abstract
:1. Introduction
2. Materials and Methods
2.1. Photodynamic Therapy Protocol
2.2. Statistical Analysis
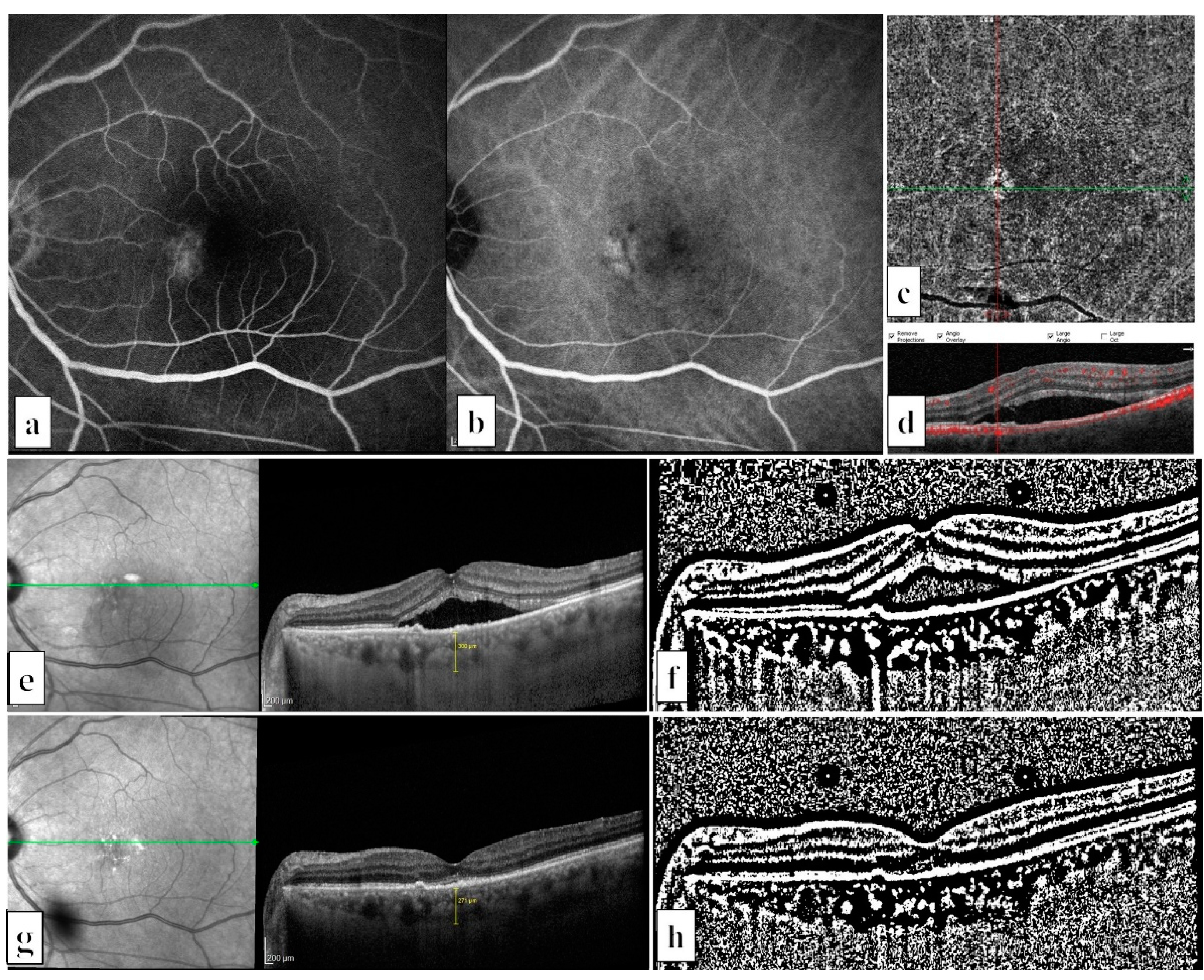
3. Results
4. Discussion
5. Conclusions
Author Contributions
Funding
Institutional Review Board Statement
Informed Consent Statement
Data Availability Statement
Acknowledgments
Conflicts of Interest
References
- Gallego-Pinazo, R.; Dolz-Marco, R.; Gómez-Ulla, F.; Mrejen, S.; Freund, K.B. Pachychoroid diseases of the macula. Med. Hypothesis Discov. Innov. Ophthalmol. 2014, 3, 111–115. [Google Scholar]
- Cheung, C.M.G.; Lee, W.K.; Koizumi, H.; Dansingani, K.; Lai, T.Y.Y.; Freund, K.B. Pachychoroid disease. Eye 2019, 33, 14–33. [Google Scholar] [CrossRef] [PubMed]
- Pang, C.E.; Freund, K.B. Pachychoroid neovasculopathy. Retina 2015, 35, 1–9. [Google Scholar] [CrossRef] [PubMed]
- Spaide, R.F. The Ambiguity of Pachychoroid. Retina 2021, 41, 231–237. [Google Scholar] [CrossRef] [PubMed]
- Chan, W.-M.; Lam, D.S.C.; Lai, T.Y.Y.; Tam, B.S.M.; Liu, D.T.L.; Chan, C.K.M. Choroidal vascular remodelling in central serous chorioretinopathy after indocyanine green guided photodynamic therapy with verteporfin: A novel treatment at the primary disease level. Br. J. Ophthalmol. 2003, 87, 1453–1458. [Google Scholar] [CrossRef] [PubMed]
- Schmidt-Erfurth, U.; Laqua, H.; Schlötzer-Schrehard, U.; Viestenz, A.; Naumann, G.O.H. Histopathological changes following photodynamic therapy in human eyes. Arch. Ophthalmol. 2002, 120, 835–844. [Google Scholar] [PubMed]
- Reibaldi, M.; Boscia, F.; Avitabile, T.; Russo, A.; Cannemi, V.; Uva, M.; Reibaldi, A. Low-fluence photodynamic therapy in longstanding chronic central serous chorioretinopathy with foveal and gravitational atrophy. Eur. J. Ophthalmol. 2009, 19, 154–158. [Google Scholar] [CrossRef]
- Chan, W.-M.; Lai, T.Y.; Lai, R.Y.; Liu, D.T.; Lam, D.S. Half-dose verteporfin photodynamic therapy for acute central serous chorioretinopathy: One-year results of a randomized controlled trial. Ophthalmology 2008, 115, 1756–1765. [Google Scholar] [CrossRef]
- Özmert, E.; Demirel, S.; Yanık, Ö.; Batıoğlu, F. Low-Fluence Photodynamic Therapy versus Subthreshold Micropulse Yellow Wavelength Laser in the Treatment of Chronic Central Serous Chorioretinopathy. J. Ophthalmol. 2016, 2016, 3513794. [Google Scholar] [CrossRef]
- Demirel, S.; Özcan, G.; Yanık, Ö.; Batıoğlu, F.; Özmert, E. Vascular and structural alterations of the choroid evaluated by optical coherence tomography angiography and optical coherence tomography after half-fluence photodynamic therapy in chronic central serous chorioretinopathy. Graefe’s Arch. Clin. Exp. Ophthalmol. 2019, 257, 905–912. [Google Scholar] [CrossRef]
- Kitajima, Y.; Maruyama-Inoue, M.; Ito, A.; Sato, S.; Inoue, T.; Yamane, S.; Kadonosono, K. One-year outcome of combination therapy with intravitreal anti-vascular endothelial growth factor and photodynamic therapy in patients with pachychoroid neovasculopathy. Graefe’s Arch. Clin. Exp. Ophthalmol. 2020, 258, 1279–1285. [Google Scholar] [CrossRef]
- Lee, J.H.; Lee, W.K. One-Year Results of Adjunctive Photodynamic Therapy for Type 1 Neovascularization Associated with Thickened Choroid. Retina 2016, 36, 889–895. [Google Scholar] [CrossRef]
- Matsumoto, H.; Mukai, R.; Kikuchi, Y.; Morimoto, M.; Akiyama, H. One-year outcomes of half-fluence photodynamic therapy combined with intravitreal injection of aflibercept for pachychoroid neovasculopathy without polypoidal lesions. Jpn. J. Ophthalmol. 2020, 64, 203–209. [Google Scholar] [CrossRef]
- Roy, R.; Saurabh, K.; Shah, D.; Goel, S. Treatment outcomes of pachychoroid neovasculopathy with photodynamic therapy and anti-vascular endothelial growth factor. Indian J. Ophthalmol. 2019, 67, 1678–1683. [Google Scholar] [CrossRef]
- Manabe, S.; Shiragami, C.; Hirooka, K.; Izumibata, S.; Tsujikawa, A.; Shiraga, F. Change of regional choroid thickness after reduced-fluence photodynamic therapy for chronic central serous chorioretinopathy. Am. J. Ophthalmol. 2015, 159, 644–651.e1. [Google Scholar] [CrossRef] [PubMed]
- Maruko, I.; Iida, T.; Sugano, Y.; Ojima, A.; Ogasawara, M.; Spaide, R.F. Subfoveal choroidal thickness after treatment of central serous chorioretinopathy. Ophthalmology 2010, 117, 1792–1799. [Google Scholar] [CrossRef]
- Sonoda, S.; Sakamoto, T.; Yamashita, T.; Shirasawa, M.; Uchino, E.; Terasaki, H.; Tomita, M. Choroidal structure in normal eyes and after photodynamic therapy determined by binarization of optical coherence tomographic images. Investig. Ophthalmol. Vis. Sci. 2014, 55, 3893–3899. [Google Scholar] [CrossRef]
- Agrawal, R.; Gupta, P.; Tan, K.-A.; Cheung, C.M.G.; Wong, T.-Y.; Cheng, C.-Y. Choroidal vascularity index as a measure of vascular status of the choroid: Measurements in healthy eyes from a population-based study. Sci. Rep. 2016, 6, 21090. [Google Scholar] [CrossRef]
- Agrawal, R.; Ding, J.; Sen, P.; Rousselot, A.; Chan, A.; Nivison-Smith, L.; Wei, X.; Mahajan, S.; Kim, R.; Mishra, C.; et al. Exploring choroidal angioarchitecture in health and disease using choroidal vascularity index. Prog. Retin. Eye Res. 2020, 77, 100829. [Google Scholar] [CrossRef]
- Yamashiro, K.; Hosoda, Y.; Miyake, M.; Takahashi, A.; Ooto, S.; Tsujikawa, A. Hypothetical pathogenesis of age-related macular degeneration and pachychoroid diseases derived from their genetic characteristics. Jpn. J. Ophthalmol. 2020, 64, 555–567. [Google Scholar] [CrossRef]
- Castro-Navarro, V.; Behar-Cohen, F.; Chang, W.; Joussen, A.M.; Lai, T.Y.Y.; Navarro, R.; Pearce, I.; Yanagi, Y.; Okada, A.A. Pachychoroid: Current concepts on clinical features and pathogenesis. Graefe’s Arch. Clin. Exp. Ophthalmol. 2020, 259, 1385–1400. [Google Scholar] [CrossRef] [PubMed]
- Agrawal, R.; Chhablani, J.; Tan, K.A.; Shah, S.; Sarvaiya, C.; Banker, A. Choroidal Vascularity Index in Central Serous Chorioretinopathy. Retina 2016, 36, 1646–1651. [Google Scholar] [CrossRef] [PubMed]
- Tan, K.A.; Agrawal, R. Luminal and Stromal Areas of Choroid Determined by Binarization Method of Optical Coherence Tomographic Images. Am. J. Ophthalmol. 2015, 160, 394. [Google Scholar] [CrossRef] [PubMed]
- Iovino, C.; Au, A.; Chhablani, J.; Parameswarappa, D.C.; Rasheed, M.A.; Cennamo, G.; Cennamo, G.; Montorio, D.; Ho, A.C.; Xu, D.; et al. Choroidal Anatomic Alterations After Photodynamic Therapy for Chronic Central Serous Chorioretinopathy: A Multicenter Study. Am. J. Ophthalmol. 2020, 217, 104–113. [Google Scholar] [CrossRef]
- Lee, M.; Lee, H.; Kim, H.C.; Chung, H. Changes in Stromal and Luminal Areas of the Choroid in Pachychoroid Diseases: Insights into the Pathophysiology of Pachychoroid Diseases. Investig. Ophthalmol. Vis. Sci. 2018, 59, 4896–4908. [Google Scholar] [CrossRef]
- Demirel, S.; Yanık, Ö.; Özcan, G.; Batıoğlu, F.; Özmert, E. A comparative study on the choroidal vascularity index and the determination of cut-off values in the pachychoroid spectrum diseases. Jpn. J. Ophthalmol. 2021, 65, 482–491. [Google Scholar] [CrossRef]
- Demirel, S.; Özcan, G.; Yanık, Ö.; Batıoğlu, F.; Özmert, E. A comparative study of the choroidal vascularity indexes in the fellow eyes of patients with pachychoroid neovasculopathy and central serous chorioretinopathy by binarization method. Graefe’s Arch. Clin. Exp. Ophthalmol. 2020, 258, 1649–1654. [Google Scholar] [CrossRef]
- Matsumoto, H.; Kishi, S.; Mukai, R.; Akiyama, H. Remodeling of macular vortex veins in pachychoroid neovasculopathy. Sci. Rep. 2019, 9, 14689. [Google Scholar] [CrossRef]
- Mohabati, D.; van Dijk, E.H.; van Rijssen, T.J.; de Jong, E.K.; Breukink, M.B.; Martinez-Ciriano, J.P.; Dijkman, G.; Hoyng, C.B.; Fauser, S.; Yzer, S.; et al. Clinical spectrum of severe chronic central serous chorioretinopathy and outcome of photodynamic therapy. Clin. Ophthalmol. 2018, 12, 2167–2176. [Google Scholar] [CrossRef]
- Son, B.K.; Kim, K.; Kim, E.S.; Yu, S.-Y. Long-Term Outcomes of Full-Fluence and Half-Fluence Photodynamic Therapy for Chronic Central Serous Chorioretinopathy. Ophthalmologica 2019, 241, 105–115. [Google Scholar] [CrossRef]
- Manayath, G.; Verghese, S.; Ranjan, R.; Agrawal, H.; Khanna, A.; Narendran, V.; Chhablani, J. Long-term outcomes of half-fluence photodynamic therapy and eplerenone in chronic central serous chorioretinopathy: A comparative study. Eur. J. Ophthalmol. 2021, 31, 3110–3116. [Google Scholar] [CrossRef]
- Lai, F.H.; Ng, D.S.; Bakthavatsalam, M.; Chan, V.C.; Young, A.L.; Luk, F.O.; Tsang, C.W.; Brelén, M.E. A Multicenter Study on the Long-term Outcomes of Half-dose Photodynamic Therapy in Chronic Central Serous Chorioretinopathy. Am. J. Ophthalmol. 2016, 170, 91–99. [Google Scholar] [CrossRef]
- Demirel, S.; Yanık, Ö.; Batıoğlu, F.; Özmert, E. Treatment outcomes of photodynamic therapy and findings predicting treatment success in pachychoroid-associated neovascularization. Eur. J. Ophthalmol. 2022, 32, 1662–1670. [Google Scholar] [CrossRef] [PubMed]


| PNV n = 18 | Chronic CSCR n = 35 | p Value | |||
|---|---|---|---|---|---|
| Mean | SD | Mean | SD | ||
| Baseline choroidal characteristics | |||||
| 384.9 | 122.9 | 461.3 | 106.5 | 0.023 a |
| 1.050 | 0.341 | 1.398 | 0.429 | 0.004 a |
| 0.770 | 0.254 | 1.041 | 0.317 | 0.005 b |
| 0.280 | 0.090 | 0.357 | 0.121 | 0.023 b |
| 73.17 | 2.29 | 74.55 | 2.64 | 0.067 a |
| Post hf-PDT choroidal characteristics | |||||
| 353.1 | 116.9 | 399.6 | 109.9 | 0.160 a |
| 1.000 | 0.326 | 1.197 | 0.396 | 0.128 b |
| 0.737 | 0.239 | 0.896 | 0.304 | 0.128 b |
| 0.263 | 0.09 | 0.301 | 0.098 | 0.195 b |
| 73.65 | 2.26 | 74.68 | 2.47 | 0.123 b |
| Baseline | Post- hf-PDT | p Value | |||
|---|---|---|---|---|---|
| Mean | SD | Mean | SD | ||
| Pachychoroid neovasculopathy, n = 18 | |||||
| 384.9 | 122.9 | 353.1 | 116.9 | 0.002 a |
| 1.050 | 0.341 | 1.000 | 0.326 | 0.021 a |
| 0.770 | 0.254 | 0.737 | 0.239 | 0.031 b |
| 0.280 | 0.090 | 0.263 | 0.09 | 0.073 a |
| 73.17 | 2.29 | 73.65 | 2.26 | 0.416 a |
| Chronic central serous chorioretinopathy, n = 35 | |||||
| 461.3 | 106.5 | 399.6 | 109.9 | <0.001 a |
| 1.398 | 0.429 | 1.197 | 0.396 | <0.001 b |
| 1.041 | 0.317 | 0.896 | 0.304 | <0.001 b |
| 0.357 | 0.121 | 0.301 | 0.098 | <0.001 b |
| 74.55 | 2.64 | 74.68 | 2.47 | 0.876 b |
| PNV n = 18 | Chronic CSCR n = 35 | p Value | |||
|---|---|---|---|---|---|
| Mean | SD | Mean | SD | ||
| Percentage changes in the choroidal measurements | |||||
| 8.04% | 10.17 | 13.43% | 10.66 | 0.083 a |
| 4.61% | 7.73 | 13.86% | 11.66 | 0.001 b |
| 4.02% | 7.57 | 13.53% | 12.56 | 0.002 b |
| 5.74% | 13.01 | 14.11% | 13.02 | 0.031 a |
| −0.70% | 3.31 | −0.26% | 3.85 | 0.677 a |
Publisher’s Note: MDPI stays neutral with regard to jurisdictional claims in published maps and institutional affiliations. |
© 2022 by the authors. Licensee MDPI, Basel, Switzerland. This article is an open access article distributed under the terms and conditions of the Creative Commons Attribution (CC BY) license (https://creativecommons.org/licenses/by/4.0/).
Share and Cite
Yanık, Ö.; Demirel, S.; Batıoğlu, F.; Özmert, E. A Comparative Study of Short-Term Vascular and Stromal Alterations of the Choroid Following Half-Fluence Photodynamic Therapy in Pachychoroid Neovasculopathy and Chronic Central Serous Chorioretinopathy. Life 2022, 12, 1304. https://doi.org/10.3390/life12091304
Yanık Ö, Demirel S, Batıoğlu F, Özmert E. A Comparative Study of Short-Term Vascular and Stromal Alterations of the Choroid Following Half-Fluence Photodynamic Therapy in Pachychoroid Neovasculopathy and Chronic Central Serous Chorioretinopathy. Life. 2022; 12(9):1304. https://doi.org/10.3390/life12091304
Chicago/Turabian StyleYanık, Özge, Sibel Demirel, Figen Batıoğlu, and Emin Özmert. 2022. "A Comparative Study of Short-Term Vascular and Stromal Alterations of the Choroid Following Half-Fluence Photodynamic Therapy in Pachychoroid Neovasculopathy and Chronic Central Serous Chorioretinopathy" Life 12, no. 9: 1304. https://doi.org/10.3390/life12091304
APA StyleYanık, Ö., Demirel, S., Batıoğlu, F., & Özmert, E. (2022). A Comparative Study of Short-Term Vascular and Stromal Alterations of the Choroid Following Half-Fluence Photodynamic Therapy in Pachychoroid Neovasculopathy and Chronic Central Serous Chorioretinopathy. Life, 12(9), 1304. https://doi.org/10.3390/life12091304
