Organ-Specific Differentiation of Human Adipose-Derived Stem Cells in Various Organs of Xenotransplanted Rats: A Pilot Study
Abstract
1. Introduction
2. Materials and Methods
2.1. Patient Population and Sample Collection
2.2. ADSC Isolation, Culture, and Identification
2.3. Phenotyping
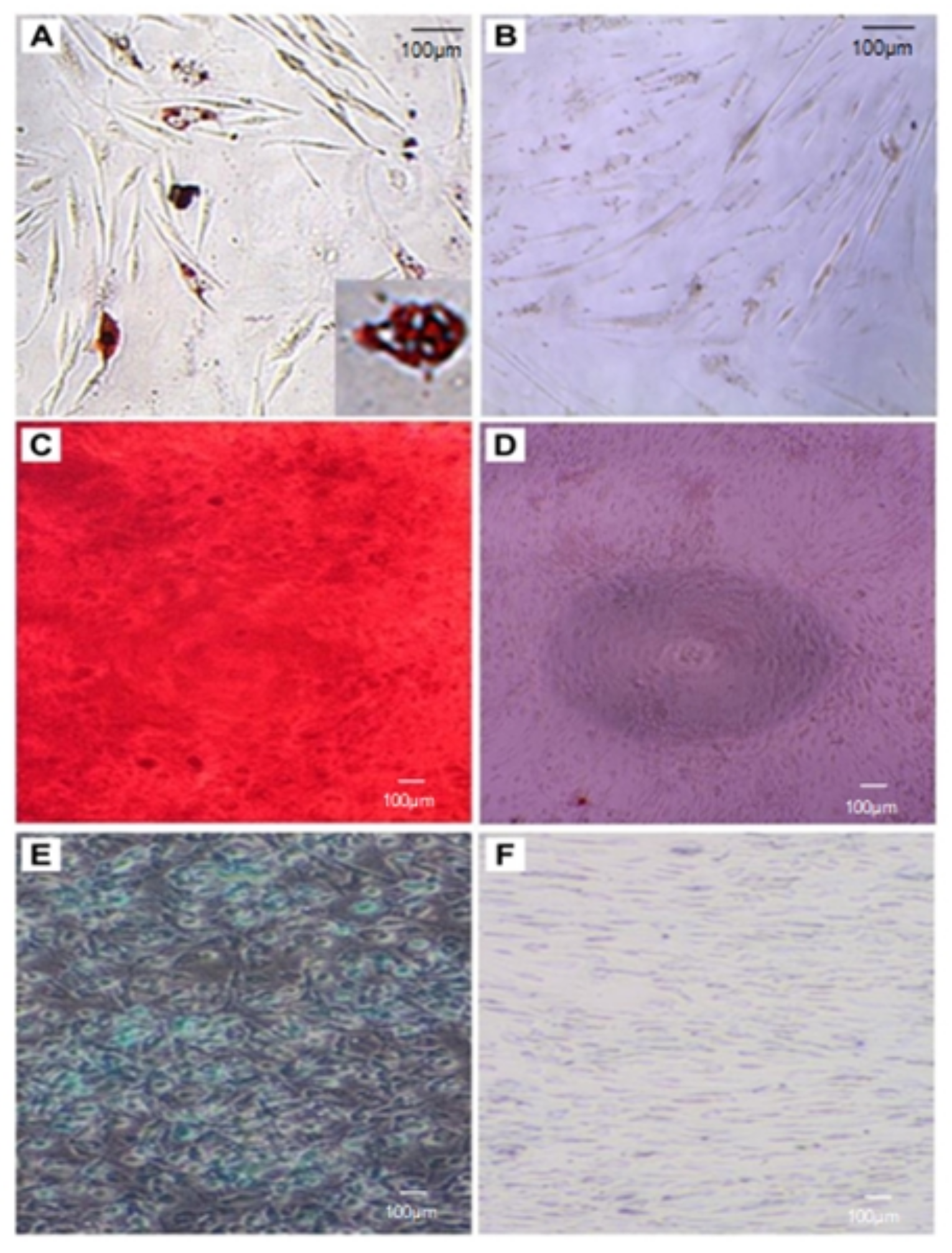
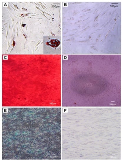
2.4. Adipogenic, Osteogenic, and Chondrogenic Differentiation and Identification
2.5. Transplantation of Cells into Animal Organs
2.6. Detection of Human and Rat Cells by Quantitative Real-Time Polymerase Chain Reaction
2.7. Histological Evaluation for Transplanted Tissues
2.8. Statistical Analysis
3. Results
3.1. Identification of ADSC by Immunofluorescence
3.2. Transplantation of h-ADSCs into Rats
3.3. Human- and Rat-Specific Reference Genes in h-ADSC-Injected Organs
4. Discussion
Supplementary Materials
Author Contributions
Funding
Institutional Review Board Statement
Informed Consent Statement
Data Availability Statement
Acknowledgments
Conflicts of Interest
References
- Rolston, K.V. Infections in Cancer Patients with Solid Tumors: A Review. Infect. Dis. Ther. 2017, 6, 69–83. [Google Scholar] [CrossRef] [PubMed]
- Ring, A.; Kirchhoff, P.; Goertz, O.; Behr, B.; Daigeler, A.; Lehnhardt, M.; Harati, K. Reconstruction of Soft-Tissue Defects at the Foot and Ankle after Oncological Resection. Front. Surg. 2016, 3, 15. [Google Scholar] [CrossRef] [PubMed]
- Samsonraj, R.M.; Raghunath, M.; Nurcombe, V.; Hui, J.H.; van Wijnen, A.J.; Cool, S.M. Concise Review: Multifaceted Characterization of Human Mesenchymal Stem Cells for Use in Regenerative Medicine. Stem Cells Transl. Med. 2017, 6, 2173–2185. [Google Scholar] [CrossRef] [PubMed]
- Vermette, M.; Trottier, V.; Menard, V.; Saint-Pierre, L.; Roy, A.; Fradette, J. Production of a new tissue-engineered adipose substitute from human adipose-derived stromal cells. Biomaterials 2007, 28, 2850–2860. [Google Scholar] [CrossRef] [PubMed]
- Nihad, M.; Shenoy, P.S.; Bose, B. Cell therapy research for Diabetes: Pancreatic beta cell differentiation from pluripotent stem cells. Diabetes Res. Clin. Pract. 2021, 181, 109084. [Google Scholar] [CrossRef] [PubMed]
- Han, Y.; Li, X.; Zhang, Y.; Han, Y.; Chang, F.; Ding, J. Mesenchymal Stem Cells for Regenerative Medicine. Cells 2019, 8, 886. [Google Scholar] [CrossRef]
- Zuk, P.A.; Zhu, M.; Ashjian, P.; De Ugarte, D.A.; Huang, J.I.; Mizuno, H.; Alfonso, Z.C.; Fraser, J.K.; Benhaim, P.; Hedrick, M.H. Human adipose tissue is a source of multipotent stem cells. Mol. Biol. Cell. 2002, 13, 4279–4295. [Google Scholar] [CrossRef]
- Hu, L.R.; Pan, J. Adipose-derived stem cell therapy shows promising results for secondary lymphedema. World J. Stem Cells 2020, 12, 612–620. [Google Scholar] [CrossRef]
- Wei, H.J.; Zeng, R.; Lu, J.H.; Lai, W.F.; Chen, W.H.; Liu, H.Y.; Chang, Y.T.; Deng, W.P. Adipose-derived stem cells promote tumor initiation and accelerate tumor growth by interleukin-6 production. Oncotarget 2015, 6, 7713–7726. [Google Scholar] [CrossRef]
- Rowan, B.G.; Gimble, J.M.; Sheng, M.; Anbalagan, M.; Jones, R.K.; Frazier, T.P.; Asher, M.; Lacayo, E.A.; Friedlander, P.L.; Kutner, R.; et al. Human adipose tissue-derived stromal/stem cells promote migration and early metastasis of triple negative breast cancer xenografts. PLoS ONE 2014, 9, e89595. [Google Scholar] [CrossRef]
- Rowan, B.G.; Lacayo, E.A.; Sheng, M.; Anbalagan, M.; Gimble, J.M.; Jones, R.K.; Joseph, W.J.; Friedlander, P.L.; Chiu, E.S. Human Adipose Tissue-Derived Stromal/Stem Cells Promote Migration and Early Metastasis of Head and Neck Cancer Xenografts. Aesthet Surg. J. 2016, 36, 93–104. [Google Scholar] [CrossRef]
- Min, S.Y.; Kim, H.Y.; Jung, S.Y.; Kwon, Y.; Shin, K.H.; Lee, S.; Kim, S.W.; Kang, H.S.; Yun, Y.H.; Lee, E.S. Oncological safety and quality of life associated with mastectomy and immediate breast reconstruction with a latissimus dorsi myocutaneous flap. Breast J. 2010, 16, 356–361. [Google Scholar] [CrossRef]
- Mazini, L.; Ezzoubi, M.; Malka, G. Overview of current adipose-derived stem cell (ADSCs) processing involved in therapeutic advancements: Flow chart and regulation updates before and after COVID-19. Stem Cell Res. Ther. 2021, 12, 1. [Google Scholar] [CrossRef]
- Kamada, Y.; Yoshida, Y.; Saji, Y.; Fukushima, J.; Tamura, S.; Kiso, S.; Hayashi, N. Transplantation of basic fibroblast growth factor-pretreated adipose tissue-derived stromal cells enhances regression of liver fibrosis in mice. Am. J. Physiol. Gastrointest. Liver Physiol. 2009, 296, G157–G167. [Google Scholar] [CrossRef][Green Version]
- Huch, M.; Koo, B.K. Modeling mouse and human development using organoid cultures. Development 2015, 142, 3113–3125. [Google Scholar] [CrossRef]
- Kim, U.; Shin, D.G.; Park, J.S.; Kim, Y.J.; Park, S.I.; Moon, Y.M.; Jeong, K.S. Homing of adipose-derived stem cells to radiofrequency catheter ablated canine atrium and differentiation into cardiomyocyte-like cells. Int. J. Cardiol. 2011, 146, 371–378. [Google Scholar] [CrossRef]
- Bang, O.Y. An apology: Inadvertent error in our article published in June 2005 issue of the Annals of Neurology (Ann Neurol 2005;57:874-882). Ann. Neurol. 2005, 58, 659. [Google Scholar] [CrossRef]
- Spees, J.L.; Gregory, C.A.; Singh, H.; Tucker, H.A.; Peister, A.; Lynch, P.J.; Hsu, S.C.; Smith, J.; Prockop, D.J. Internalized antigens must be removed to prepare hypoimmunogenic mesenchymal stem cells for cell and gene therapy. Mol. Ther. 2004, 9, 747–756. [Google Scholar] [CrossRef]
- Megaloikonomos, P.D.; Panagopoulos, G.N.; Bami, M.; Igoumenou, V.G.; Dimopoulos, L.; Milonaki, A.; Kyriakidou, M.; Mitsiokapa, E.; Anastassopoulou, J.; Mavrogenis, A.F. Harvesting, Isolation and Differentiation of Rat Adipose-Derived Stem Cells. Curr. Pharm. Biotechnol. 2018, 19, 19–29. [Google Scholar] [CrossRef]
- Horwitz, E.M.; Le Blanc, K.; Dominici, M.; Mueller, I.; Slaper-Cortenbach, I.; Marini, F.C.; Deans, R.J.; Krause, D.S.; Keating, A. Clarification of the nomenclature for MSC: The International Society for Cellular Therapy position statement. Cytotherapy 2005, 7, 393–395. [Google Scholar] [CrossRef]
- Dominici, M.; Le Blanc, K.; Mueller, I.; Slaper-Cortenbach, I.; Marini, F.; Krause, D.; Deans, R.; Keating, A.; Prockop, D.; Horwitz, E. Minimal criteria for defining multipotent mesenchymal stromal cells. The International Society for Cellular Therapy position statement. Cytotherapy 2006, 8, 315–317. [Google Scholar] [CrossRef]
- Doi, R.; Tsuchiya, T.; Mitsutake, N.; Nishimura, S.; Matsuu-Matsuyama, M.; Nakazawa, Y.; Ogi, T.; Akita, S.; Yukawa, H.; Baba, Y.; et al. Transplantation of bioengineered rat lungs recellularized with endothelial and adipose-derived stromal cells. Sci. Rep. 2017, 7, 8447. [Google Scholar] [CrossRef]
- Tsuji, W.; Rubin, J.P.; Marra, K.G. Adipose-derived stem cells: Implications in tissue regeneration. World J. Stem Cells 2014, 6, 312–321. [Google Scholar] [CrossRef]
- Campbell, N.G.; Suzuki, K. Cell delivery routes for stem cell therapy to the heart: Current and future approaches. J. Cardiovasc. Transl. Res. 2012, 5, 713–726. [Google Scholar] [CrossRef]
- Gnecchi, M.; Zhang, Z.; Ni, A.; Dzau, V.J. Paracrine mechanisms in adult stem cell signaling and therapy. Circ. Res. 2008, 103, 1204–1219. [Google Scholar] [CrossRef]
- Sart, S.; Ma, T.; Li, Y. Preconditioning stem cells for in vivo delivery. BioRes. Open Access 2014, 3, 137–149. [Google Scholar] [CrossRef]
- Hu, S.; Huang, M.; Nguyen, P.K.; Gong, Y.; Li, Z.; Jia, F.; Lan, F.; Liu, J.; Nag, D.; Robbins, R.C.; et al. Novel microRNA prosurvival cocktail for improving engraftment and function of cardiac progenitor cell transplantation. Circulation 2011, 124, S27–S34. [Google Scholar] [CrossRef]
- Yang, D.; Wang, W.; Li, L.; Peng, Y.; Chen, P.; Huang, H.; Guo, Y.; Xia, X.; Wang, Y.; Wang, H.; et al. The relative contribution of paracine effect versus direct differentiation on adipose-derived stem cell transplantation mediated cardiac repair. PLoS ONE 2013, 8, e59020. [Google Scholar] [CrossRef]
- Seo, M.J.; Suh, S.Y.; Bae, Y.C.; Jung, J.S. Differentiation of human adipose stromal cells into hepatic lineage in vitro and in vivo. Biochem. Biophys. Res. Commun. 2005, 328, 258–264. [Google Scholar] [CrossRef]
- Harn, H.J.; Lin, S.Z.; Hung, S.H.; Subeq, Y.M.; Li, Y.S.; Syu, W.S.; Ding, D.C.; Lee, R.P.; Hsieh, D.K.; Lin, P.C.; et al. Adipose-derived stem cells can abrogate chemical-induced liver fibrosis and facilitate recovery of liver function. Cell Transplant. 2012, 21, 2753–2764. [Google Scholar] [CrossRef]
- Zengin, E.; Chalajour, F.; Gehling, U.M.; Ito, W.D.; Treede, H.; Lauke, H.; Weil, J.; Reichenspurner, H.; Kilic, N.; Ergun, S. Vascular wall resident progenitor cells: A source for postnatal vasculogenesis. Development 2006, 133, 1543–1551. [Google Scholar] [CrossRef] [PubMed]
- Emadedin, M.; Labibzadeh, N.; Fazeli, R.; Mohseni, F.; Hosseini, S.E.; Moghadasali, R.; Mardpour, S.; Azimian, V.; Goodarzi, A.; Ghorbani Liastani, M.; et al. Percutaneous Autologous Bone Marrow-Derived Mesenchymal Stromal Cell Implantation Is Safe for Reconstruction of Human Lower Limb Long Bone Atrophic Nonunion. Cell J. 2017, 19, 159–165. [Google Scholar] [CrossRef] [PubMed]
- Taghiyar, L.; Jahangir, S.; Khozaei Ravari, M.; Shamekhi, M.A.; Eslaminejad, M.B. Cartilage Repair by Mesenchymal Stem Cell-Derived Exosomes: Preclinical and Clinical Trial Update and Perspectives. Adv. Exp. Med. Biol. 2021, 1326, 73–93. [Google Scholar] [CrossRef] [PubMed]
- Pittenger, M.F.; Discher, D.E.; Peault, B.M.; Phinney, D.G.; Hare, J.M.; Caplan, A.I. Mesenchymal stem cell perspective: Cell biology to clinical progress. NPJ Regen. Med. 2019, 4, 22. [Google Scholar] [CrossRef] [PubMed]
- Lardenois, A.; Jagot, S.; Lagarrigue, M.; Guevel, B.; Ledevin, M.; Larcher, T.; Dubreil, L.; Pineau, C.; Rouger, K.; Guevel, L. Quantitative proteome profiling of dystrophic dog skeletal muscle reveals a stabilized muscular architecture and protection against oxidative stress after systemic delivery of MuStem cells. Proteomics 2016, 16, 2028–2042. [Google Scholar] [CrossRef] [PubMed]
- Tang, X.; Daneshmandi, L.; Awale, G.; Nair, L.S.; Laurencin, C.T. Skeletal Muscle Regenerative Engineering. Regen. Eng. Transl. Med. 2019, 5, 233–251. [Google Scholar] [CrossRef] [PubMed]
- Naderi, N.; Combellack, E.J.; Griffin, M.; Sedaghati, T.; Javed, M.; Findlay, M.W.; Wallace, C.G.; Mosahebi, A.; Butler, P.E.; Seifalian, A.M.; et al. The regenerative role of adipose-derived stem cells (ADSC) in plastic and reconstructive surgery. Int. Wound J. 2017, 14, 112–124. [Google Scholar] [CrossRef]
- The 3(rd) National Festival & International Congress on Stem Cell & Regenerative Medicine. Bioimpacts 2018, 8, S1–S129. [CrossRef]
- Kim, J.; Koo, B.K.; Knoblich, J.A. Human organoids: Model systems for human biology and medicine. Nat. Rev. Mol. Cell Biol. 2020, 21, 571–584. [Google Scholar] [CrossRef]
- Krampera, M.; Galipeau, J.; Shi, Y.; Tarte, K.; Sensebe, L. Immunological characterization of multipotent mesenchymal stromal cells--The International Society for Cellular Therapy (ISCT) working proposal. Cytotherapy 2013, 15, 1054–1061. [Google Scholar] [CrossRef]
- Deo, D.; Marchioni, M.; Rao, P. Mesenchymal Stem/Stromal Cells in Organ Transplantation. Pharmaceutics 2022, 14, 791. [Google Scholar] [CrossRef] [PubMed]
- Chen, Y.; Shao, J.Z.; Xiang, L.X.; Dong, X.J.; Zhang, G.R. Mesenchymal stem cells: A promising candidate in regenerative medicine. Int. J. Biochem. Cell Biol. 2008, 40, 815–820. [Google Scholar] [CrossRef] [PubMed]






| RNaseP Positive | RNaseP Negative | Fail | |
|---|---|---|---|
| Subcutaneous fat (n = 17) | 12 (70.6%) | 4 (23.5%) | 1 (5.9%) |
| Skin (n = 17) | 5 (29.4%) | 10 (58.8%) | 2 (11.8%) |
| Liver (n = 17) | 9 (52.9%) | 8 (47.1%) | 0 (0%) |
| Kidney (n = 17) | 5 (29.4%) | 12 (70.6%) | 0 (0%) |
| Pancreas (n = 4) | 2 (50.0%) | 2 (50.0%) | 0 (0%) |
| Spleen (n = 16) | 2 (12.5%) | 14 (87.5%) | 0 (0%) |
Publisher’s Note: MDPI stays neutral with regard to jurisdictional claims in published maps and institutional affiliations. |
© 2022 by the authors. Licensee MDPI, Basel, Switzerland. This article is an open access article distributed under the terms and conditions of the Creative Commons Attribution (CC BY) license (https://creativecommons.org/licenses/by/4.0/).
Share and Cite
Park, J.H.; Choi, Y.J.; Kang, S.Y.; Ju, H.; Min, K.-W.; Kim, N.Y.; Park, H.Y.; Kim, E.S.; Kwon, M.J.; Suh, Y.J. Organ-Specific Differentiation of Human Adipose-Derived Stem Cells in Various Organs of Xenotransplanted Rats: A Pilot Study. Life 2022, 12, 1116. https://doi.org/10.3390/life12081116
Park JH, Choi YJ, Kang SY, Ju H, Min K-W, Kim NY, Park HY, Kim ES, Kwon MJ, Suh YJ. Organ-Specific Differentiation of Human Adipose-Derived Stem Cells in Various Organs of Xenotransplanted Rats: A Pilot Study. Life. 2022; 12(8):1116. https://doi.org/10.3390/life12081116
Chicago/Turabian StylePark, Jung Ho, Yeon Ju Choi, So Young Kang, Hyunjeong Ju, Kyueng-Whan Min, Nan Young Kim, Ha Young Park, Eun Soo Kim, Mi Jung Kwon, and Yong Joon Suh. 2022. "Organ-Specific Differentiation of Human Adipose-Derived Stem Cells in Various Organs of Xenotransplanted Rats: A Pilot Study" Life 12, no. 8: 1116. https://doi.org/10.3390/life12081116
APA StylePark, J. H., Choi, Y. J., Kang, S. Y., Ju, H., Min, K.-W., Kim, N. Y., Park, H. Y., Kim, E. S., Kwon, M. J., & Suh, Y. J. (2022). Organ-Specific Differentiation of Human Adipose-Derived Stem Cells in Various Organs of Xenotransplanted Rats: A Pilot Study. Life, 12(8), 1116. https://doi.org/10.3390/life12081116

