Atrial Fibrillation Ablation in a Patient with Cor Triatriatum Sinister and Left Common Pulmonary Vein: Impact of Left Atrium Anatomy on Ablation Approach
Abstract
1. Introduction
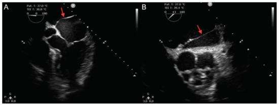
2. Case Presentation
3. Discussion
4. Conclusions
Author Contributions
Funding
Institutional Review Board Statement
Informed Consent Statement
Data Availability Statement
Conflicts of Interest
References
- Jha, A.K.; Makhija, N. Cor Triatriatum: A Review. Semin. Cardiothorac. Vasc. Anesth. 2017, 21, 178–185. [Google Scholar] [CrossRef]
- Rudienė, V.; Hjortshøj, C.M.S.; Glaveckaitė, S.; Zakarkaitė, D.; Petrulionienė, Ž.; Gumbienė, L.; Aidietis, A.; Sondergaard, L. Cor triatriatum sinistrum diagnosed in the adulthood: A systematic review. Heart 2019, 105, 1197–1202. [Google Scholar] [CrossRef] [PubMed]
- Ullah, W.; Sattar, Y.; Rauf, H.; Roomi, S.; Shah, M. A Systematic Review of a Long-forgotten Cause of Atrial Fibrillation and Stroke: Cor Triatriatum. Cureus 2019, 11, e6371. [Google Scholar] [CrossRef] [PubMed]
- Morishima, I.; Kanzaki, Y.; Furui, K.; Yamauchi, R.; Morita, Y.; Tsuboi, H. Three-dimensional visualization of the left atrium by intracardiac echocardiography facilitates trans-septal catheterization and atrial fibrillation catheter ablation in cor triatriatum sinister: A case report and literature review. J. Cardiol. Cases 2020, 22, 136–139. [Google Scholar] [CrossRef] [PubMed]
- Zepeda, I.A.; Morcos, P.; Castellanos, L.R. Cor Triatriatum Sinister Identified after New Onset Atrial Fibrillation in an Elderly Man. Case Rep. Med. 2014, 2014, 674018. [Google Scholar] [CrossRef]
- Karimianpour, A.; Cai, A.W.; Cuoco, F.A.; Sturdivant, J.L.; Litwin, S.E.; Wharton, J.M. Catheter ablation of atrial fibrillation in patients with cor triatriatum sinister; case series and review of literature. Pacing Clin. Electrophysiol. 2021, 44, 2084–2091. [Google Scholar] [CrossRef]
- Hayes, C.; Liu, S.; Tam, J.W.; Kass, M. Cor Triatriatum Sinister: An Unusual Cause of Atrial Fibrillation in Adults. Case Rep. Cardiol. 2018, 2018, 9242519. [Google Scholar] [CrossRef]
- Hindricks, G.; Potpara, T.; Dagres, N.; Arbelo, E.; Bax, J.J.; Blomström-Lundqvist, C.; Boriani, G.; Castella, M.; Dan, G.-A.; Dilaveris, P.E.; et al. 2020 ESC Guidelines for the diagnosis and management of atrial fibrillation developed in collaboration with the European Association for Cardio-Thoracic Surgery (EACTS): The Task Force for the diagnosis and management of atrial fibrillation of the European Society of Cardiology (ESC) Developed with the special contribution of the European Heart Rhythm Association (EHRA) of the ESC. Eur. Heart J. 2021, 42, 373–498. [Google Scholar] [CrossRef]
- Okada, A.; Kato, K.; Shoda, M.; Tabata, H.; Yoshie, K.; Kuwahara, K. Successful catheter ablation of atrial tachycardia in cor triatriatum sinister: A figure-of-8 reentry in the left atrial membrane. HeartRhythm Case Rep. 2020, 7, 109–111. [Google Scholar] [CrossRef]
- Istratoaie, S.; Roșu, R.; Cismaru, G.; Vesa, C.; Puiu, M.; Zdrenghea, D.; Pop, D.; Buzoianu, A.D. The Impact of Pulmonary Vein Anatomy on the Outcomes of Catheter Ablation for Atrial Fibrillation. Medicina 2019, 55, 727. [Google Scholar] [CrossRef]
- Xu, B.; Xing, Y.; Xu, C.; Peng, F.; Sun, Y.; Wang, S.; Guo, H. A left common pulmonary vein: Anatomical variant predicting good outcomes of repeat catheter ablation for atrial fibrillation. J. Cardiovasc. Electrophysiol. 2019, 30, 717–726. [Google Scholar] [CrossRef]
- Bhatia, N.L.; Humphries, J.; Chandrasekaran, K.; Srivathsan, K. Atrial fibrillation ablation in cor triatriatum: Value of intracardiac echocardiography. J. Interv. Card. Electrophysiol. 2009, 28, 153–155. [Google Scholar] [CrossRef]
- Fukumoto, K.; Takatsuki, S.; Miyoshi, S.; Tanimoto, K.; Nishiyama, N.; Aizawa, Y.; Kimura, T.; Fukuda, Y.; Sato, T.; Fukuda, K. Cor triatriatum sinister. Herz 2011, 37, 217–218. [Google Scholar] [CrossRef]
- Yamada, T.; Tabereaux, P.B.; McElderry, H.T.; Kay, G.N. Successful catheter ablation of atrial fibrillation in a patient with cor triatriatum sinister. Heart Rhythm 2008, 5, 903–904. [Google Scholar] [CrossRef]
- Yamada, T.; Tabereaux, P.B.; McElderry, H.T.; Doppalapudi, H.; Kay, G.N. Transseptal catheterization in the catheter ablation of atrial fibrillation in a patient with cor triatriatum sinister. J. Interv. Card. Electrophysiol. 2009, 25, 79–82. [Google Scholar] [CrossRef]
- Tokuda, M.; Yamane, T.; Tokutake, K.; Yokoyama, K.; Hioki, M.; Narui, R.; Tanigawa, S.-I.; Yamashita, S.; Inada, K.; Matsuo, S.; et al. Catheter ablation of persistent atrial fibrillation in a patient with cor triatriatum sinister demonstrating a total common trunk of the pulmonary vein. Heart Vessel. 2014, 31, 261–264. [Google Scholar] [CrossRef]
- Gavin, A.; Singleton, C.B.; McGavigan, A.D. Successful Multi-chamber Catheter Ablation of Persistent Atrial Fibrillation in Cor Triatriatum Sinister. Indian Pacing Electrophysiol. J. 2011, 11, 50–55. [Google Scholar]
- Borne, R.T.; Gonzalez, J.; Khanna, A.; Sauer, W.H.; Nguyen, D.T. Getting to the right left atrium: Catheter ablation of atrial fibrillation and mitral annular flutter in cor triatriatum. HeartRhythm Case Rep. 2016, 2, 502–505. [Google Scholar] [CrossRef]
- Paelinck, B.P.; Van Herck, P.L.; Vandaele, L.; Sarkozy, A. Echocardiographic guidance of pulmonary vein isolation catheter ablation procedure for recurrent atrial fibrillation in partial cor triatriatum. Kardiol. Pol. 2018, 76, 1575. [Google Scholar] [CrossRef]
- Shah, S.R.; Mohanty, G.P.; Gilligan, D.M.; Newton, C.M. Long-standing persistent atrial fibrillation ablation without use of fluoroscopy in a patient with cor triatriatum. HeartRhythm Case Rep. 2018, 5, 88–92. [Google Scholar] [CrossRef][Green Version]
- Ronsoni, R.M.; Silvestrini, T.L.; Essebag, V.; Lopes, R.D.; Saffi, M.A.L.; Leiria, T.L.L. Association of the left common ostium with clinical outcome after pulmonary vein isolation in atrial fibrillation. Indian Pacing Electrophysiol. J. 2020, 21, 95–100. [Google Scholar] [CrossRef]
- Winkle, R.A. HPSD ablation for AF high-power short-duration RF ablation for atrial fibrillation: A review. J. Cardiovasc. Electrophysiol. 2020, 32, 2813–2823. [Google Scholar] [CrossRef]
- Leo, M.; Pedersen, M.; Rajappan, K.; Ginks, M.R.; Hunter, R.J.; Bowers, R.; Kalla, M.; Bashir, Y.; Betts, T.R. Power, Lesion Size Index and Oesophageal Temperature Alerts during Atrial Fibrillation Ablation. Circ. Arrhythm. Electrophysiol. 2020, 13, 1102–1112. [Google Scholar] [CrossRef]
- Shin, D.G.; Ahn, J.; Han, S.-J.; Lim, H.E. Efficacy of high-power and short-duration ablation in patients with atrial fibrillation: A prospective randomized controlled trial. EP Eur. 2020, 22, 1495–1501. [Google Scholar] [CrossRef]
- McLellan, A.J.; Ling, L.-H.; Ruggiero, D.; Wong, M.C.; Walters, T.E.; Nisbet, A.; Shetty, A.K.; Azzopardi, S.; Taylor, A.J.; Morton, J.B.; et al. Pulmonary vein isolation: The impact of pulmonary venous anatomy on long-term outcome of catheter ablation for paroxysmal atrial fibrillation. Heart Rhythm 2014, 11, 549–556. [Google Scholar] [CrossRef]




Publisher’s Note: MDPI stays neutral with regard to jurisdictional claims in published maps and institutional affiliations. |
© 2022 by the authors. Licensee MDPI, Basel, Switzerland. This article is an open access article distributed under the terms and conditions of the Creative Commons Attribution (CC BY) license (https://creativecommons.org/licenses/by/4.0/).
Share and Cite
Minciună, I.-A.; Cismaru, G.; Puiu, M.; Roșu, R.; Amet, D.; Anghelina, D.; Gica, A.; Tomoaia, R.; Andronache, M.; Pop, D. Atrial Fibrillation Ablation in a Patient with Cor Triatriatum Sinister and Left Common Pulmonary Vein: Impact of Left Atrium Anatomy on Ablation Approach. Life 2022, 12, 992. https://doi.org/10.3390/life12070992
Minciună I-A, Cismaru G, Puiu M, Roșu R, Amet D, Anghelina D, Gica A, Tomoaia R, Andronache M, Pop D. Atrial Fibrillation Ablation in a Patient with Cor Triatriatum Sinister and Left Common Pulmonary Vein: Impact of Left Atrium Anatomy on Ablation Approach. Life. 2022; 12(7):992. https://doi.org/10.3390/life12070992
Chicago/Turabian StyleMinciună, Ioan-Alexandru, Gabriel Cismaru, Mihai Puiu, Radu Roșu, Denis Amet, Daniela Anghelina, Alexandra Gica, Raluca Tomoaia, Marius Andronache, and Dana Pop. 2022. "Atrial Fibrillation Ablation in a Patient with Cor Triatriatum Sinister and Left Common Pulmonary Vein: Impact of Left Atrium Anatomy on Ablation Approach" Life 12, no. 7: 992. https://doi.org/10.3390/life12070992
APA StyleMinciună, I.-A., Cismaru, G., Puiu, M., Roșu, R., Amet, D., Anghelina, D., Gica, A., Tomoaia, R., Andronache, M., & Pop, D. (2022). Atrial Fibrillation Ablation in a Patient with Cor Triatriatum Sinister and Left Common Pulmonary Vein: Impact of Left Atrium Anatomy on Ablation Approach. Life, 12(7), 992. https://doi.org/10.3390/life12070992

