Accurate Quantitative Histomorphometric-Mathematical Image Analysis Methodology of Rodent Testicular Tissue and Its Possible Future Research Perspectives in Andrology and Reproductive Medicine
Abstract
1. Introduction
2. Materials and Methods: Basic Methodology and Conceptions
2.1. Rodent Testicular Histology Sections for Quantitative Image Analysis
2.1.1. Animals, Standard and Immunohistochemical Stainings
2.1.2. Digitization of the Stained Testis Tissue Cross Sections
2.2. Quantitative Histomorphometric-Mathematical Image Analysis Measurements on Digitized Pictures
2.2.1. Geometrical Measurements on Scanned Standard Hematoxylin-Eosin-Stained Slides
Total Seminiferous Tubule Number
The Counting of ‘Elongated Spermatid-Positive’ Seminiferous Tubules to Determine ‘Histomorphometric’ Bergmann-Kliesch Percentage Score
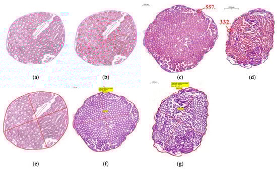
Total Testis Tissue Cross-Section Area, Perimeter and Average Total Testis Tissue Diameter
Random Choice of Predetermined Number of Seminiferous Tubule Cross-Sections for Further Detailed Investigation
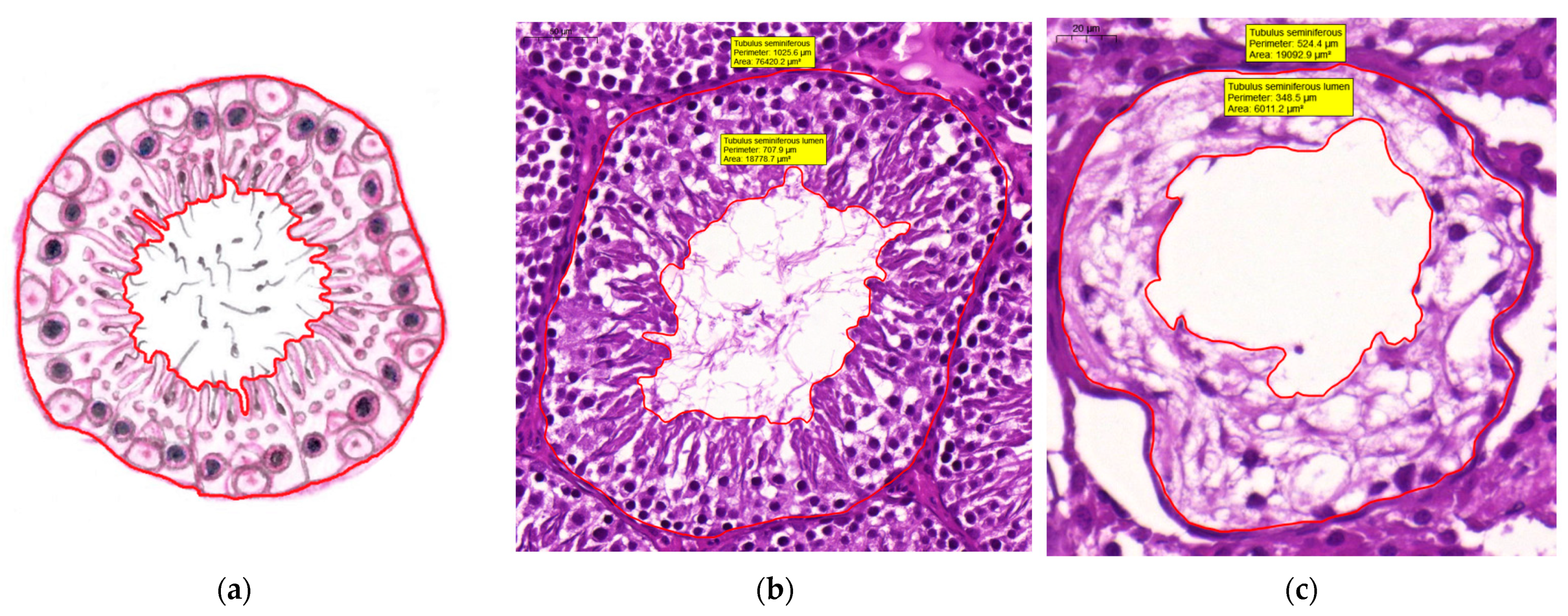
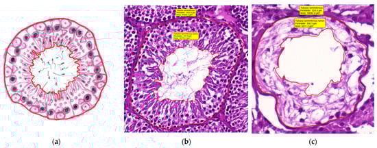
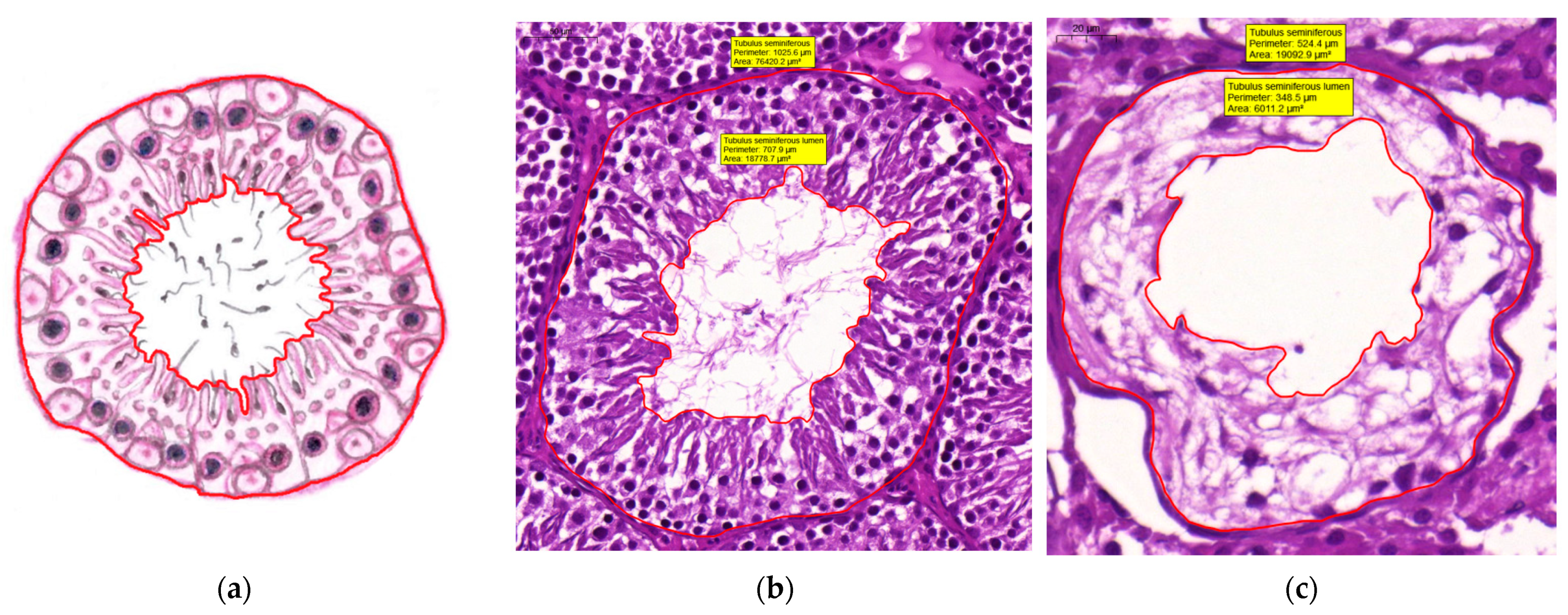
Area and perimeter measurements, calculations- Seminiferous tubule area (μm2) and perimeter (μm)
- Seminiferous tubule lumen area (μm2) and perimeter (μm)In case of tubular area measurement, we have to be careful to identify the tubule we have chosen and do not include the tubule wall. Otherwise repeated measurements can deform the statistics. In addition, when assigning the lumen of a tubule, we should precisely follow the luminal border. Although clear limits can be determined in certain cases, it is also possible that the borders of the lumen cannot be distinguished clearly from the spermatogenic epithelium (e.g., head of the sperm is still in Sertoli cell—in the spermatogenic epithelium—but the tail belongs to the lumen already). In this case, it might help if we consider the border to be the neck or midpiece of the sperm which is already separated from Sertoli cells.
- Spermatogenic epithelium area (μm2)From the abovementioned measured characteristics of a tubule, we can calculate the spermatogenic epithelium area of one particular tubule if we extract the lumen-area from the tubule-area of the tubule in question by using the following equation:
- Spermatogenic epithelium area ratio (%)A ratio of spermatogenic epithelium area and tubule-area of the same seminiferous tubule gives us the area percentage of the spermatogenic epithelium:
‘Distance’ measurements: Diameter and ‘Thickness’- Average seminiferous tubule diameter (μm)
- Average seminiferous tubule lumen diameter (μm)
- Average spermatogenic epithelium thickness (μm)
Other Useful Measurements
- Total interstitial and other tissue area (μm2)We can also discover some useful and interesting pieces of information about the possible changes of the interstitial components of testis tissue if we measure the area of all of the seminiferous tubules (in this case, the cross and longitudinal-sectioned tubules also) and extract it from total testis tissue cross-section (CS) area:
- Total seminiferous tubule area ratio (%)We can correlate the area of all of the seminiferous tubules (cross and longitudinal-sectioned tubules) with the total testis tissue cross-section area and with this calculation we receive information about what percentage of the testicular tissue area is occupied by tubular area:
- Total seminiferous tubule number ratio (pieces/μm2)With the following method, we can normalize the counted tubules data to the size of the investigated testis tissue cross section, so the different-sized testis tissue cross sections can be comparable:
2.2.2. Staining Intensity and Density Measurements on Digitalized Immunohistochemically-Stained Slides
- Randomly choosing a predetermined number of evaluable seminiferous tubules or other parts of the testicular tissue.For accurate evaluation of the level of expression, we randomly have to choose a predetermined number of both cross-sectioned and longitudinal-sectioned tubules from previously digitized pictures. In case of tubules, choosing only cross sections may simplify the evaluation. In the program we can manually round-select each evaluable tubule and cut it out from the original picture by clearing the background (Figure 2a,b). This can be done for each predetermined number of evaluable tubules. Thus, with this method we have only one single tubule in one picture without any background to distract from the tubule, and now we can disassemble the single stained tubule by color with the ‘Colour deconvolution’ plugin. Logically, a brown-colored picture shows DAB-staining that indicates the positively-stained area or components of the tubule, and a blue- or violet-colored picture represents the counterstained background (Figure 6a,b,e). By converting the colored pictures into 8-bit gray-scale images (‘Image/Type/8 bit’ option), we can set a threshold (‘Image/Adjust/Threshold’ option) for the stained structures in each picture, which has been selected by the program, usually with a red color (Figure 6b–f).With regard to determining the threshold (0–255) for the positively-stained area (DAB picture), it is advantageous to compare the threshold-selected positively-stained area on the DAB 8-bit gray-scale image with the original un-disassembled picture (only positively-stained components should be red) (Figure 6c compared to Figure 6a).To outline the total stained area, we should convert the counterstained blue picture into 8-bit grey-scale image and use the threshold-setting to select the entire stained area (all components are red) (Figure 6a,e,f). After threshold-setting, using the ‘Analyze/Measure’ function offered by the program, the stained area can be measured (in pixel) on each image and from the measured data, the positively-stained area percentage can be calculated if we compare the positively-stained area to the total stained area (Figure 6c compared to Figure 6f):
- Positively-stained area percentage (%):
- Uncalibrated optical density/OD (Arbitrary Unit):
3. Application of Our Technique: Realization and Implementation
3.1. Digitization of Hematoxylin-Eosin- and Immunohistochemically-Stained Slides


3.2. Quantitative Image Analysis of Histological Sections
3.2.1. Geometrical Measurements on Scanned Standard Hematoxylin-Eosin-Stained Slides



3.2.2. Quantitative Measurements on Digitalized Immunohistochemically-Stained Slides


4. Discussion and Conclusions
Supplementary Materials
Author Contributions
Funding
Institutional Review Board Statement
Informed Consent Statement
Data Availability Statement
Acknowledgments
Conflicts of Interest
References
- Cui, W. Mother or nothing: The agony of infertility. Bull. World Health Organ. 2010, 88, 881–882. [Google Scholar] [CrossRef] [PubMed]
- Zegers-Hochschild, F.; Adamson, G.D.; Dyer, S.; Racowsky, C.; de Mouzon, J.; Sokol, R.; Rienzi, L.; Sunde, A.; Schmidt, L.; Cooke, I.D.; et al. The International Glossary on Infertility and Fertility Care, 2017. Fertil. Steril. 2017, 108, 393–406. [Google Scholar] [CrossRef] [PubMed]
- Jungwirth, A.; Giwercman, A.; Tournaye, H.; Diemer, T.; Kopa, Z.; Dohle, G.; Krausz, C.; European Association of Urology Working Group on Male Infertility. European Association of Urology guidelines on Male Infertility: The 2012 update. Eur. Urol. 2012, 62, 324–332. [Google Scholar] [CrossRef] [PubMed]
- Johnsen, S.G. Testicular biopsy score count--a method for registration of spermatogenesis in human testes: Normal values and results in 335 hypogonadal males. Hormones 1970, 1, 2–25. [Google Scholar] [CrossRef]
- McLachlan, R.I.; Rajpert-De Meyts, E.; Hoei-Hansen, C.E.; de Kretser, D.M.; Skakkebaek, N.E. Histological evaluation of the human testis--approaches to optimizing the clinical value of the assessment: Mini review. Hum. Reprod. 2007, 22, 2–16. [Google Scholar] [CrossRef]
- Bergmann, M.; Kliesch, S. Testicular biopsy and histology. In Andrology Male Reproductive Health and Dysfunction; Nieschlag, E., Behre, H.M., Nieschlag, S., Eds.; Springer: Berlin/Heidelberg, Germany, 2010; pp. 155–167. [Google Scholar]
- Nieschlag, E.; Behre, H.M.; Nieschlag, S. Andrology: Male Reproductive Health and Dysfunction, 3rd ed.; Springer: Berlin/Heidelberg, Germany, 2010; Volume XVII, p. 629. [Google Scholar] [CrossRef]
- Roosen-Runge, E.C. Quantitative investigations on human testicular biopsies. I. Normal testis. Fertil. Steril. 1956, 7, 251–261. [Google Scholar] [CrossRef]
- Roosen-Runge, E.C.; Marberger, E.; Nelson, W.O. Quantitative investigations on human testicular biopsies. II. Infertility and other conditions. Fertil. Steril. 1957, 8, 203–219. [Google Scholar] [CrossRef]
- Schoffling, K.; Federlin, K.; Schmitt, W.; Pfeiffer, E.F. Histometric investigations on the testicular tissue of rats with alloxan diabetes and Chinese hamsters with spontaneous diabetes. Acta Endocrinol. 1967, 54, 335–346. [Google Scholar] [CrossRef]
- Usadel, K.H.; Mummert, W.; Schoffling, K. Histometric investigations on testicular tissue of obob-mice in various developmental stages before and after stimulation with gonadotropins. Acta Endocrinol. Suppl. 1971, 152, 48. [Google Scholar]
- Mancini, R.E.; Rosemberg, E.; Cullen, M.; Lavieri, J.C.; Vilar, O.; Bergada, C.; Andrada, J.A. Cryptorchid and Scrotal Human Testes. I. Cytological, Cytochemical and Quantitative Studies. J. Clin. Endocrinol. Metab. 1965, 25, 927–942. [Google Scholar] [CrossRef]
- Dykes, J.R. Histometric assessment of human testicular biopsies. J. Pathol. 1969, 97, 429–440. [Google Scholar] [CrossRef] [PubMed]
- Steinberger, E.; Tjioe, D.Y. A method for quantitative analysis of human seminiferous epithelium. Fertil Steril 1968, 19, 959–961. [Google Scholar] [CrossRef]
- Clermont, Y. The cycle of the seminiferous epithelium in man. Am. J. Anat. 1963, 112, 35–51. [Google Scholar] [CrossRef] [PubMed]
- Clermont, Y. Kinetics of spermatogenesis in mammals: Seminiferous epithelium cycle and spermatogonial renewal. Physiol. Rev. 1972, 52, 198–236. [Google Scholar] [CrossRef]
- Heller, C.G.; Clermont, Y. Spermatogenesis in man: An estimate of its duration. Science 1963, 140, 184–186. [Google Scholar] [CrossRef]
- Leblond, C.P.; Clermont, Y. Definition of the stages of the cycle of the seminiferous epithelium in the rat. Ann. N. Y. Acad. Sci. 1952, 55, 548–573. [Google Scholar] [CrossRef]
- Rowley, M.J.; Heller, C.G. Quantitation of the cells of the seminiferous epithelium of the human testis employing the sertoli cell as a constant. Z. Fur Zellforsch. Und Mikrosk. Anat. 1971, 115, 461–472. [Google Scholar] [CrossRef]
- Skakkebaek, N.E.; Heller, C.G. Quantification of human seminiferous epithelium. I. Histological studies in twenty-one fertile men with normal chromosome complements. J. Reprod. Fertil. 1973, 32, 379–389. [Google Scholar] [CrossRef]
- Skakkebaek, N.E.; Hulten, M.; Philip, J. Quantification of human seminiferous epithelium. IV. Histological studies in 17 men with numerical and structural autosomal aberrations. Acta Pathol. Microbiol. Scand. A 1973, 81, 112–124. [Google Scholar]
- Zukerman, Z.; Rodriguez-Rigau, L.J.; Weiss, D.B.; Chowdhury, A.K.; Smith, K.D.; Steinberger, E. Quantitative analysis of the seminiferous epithelium in human testicular biopsies, and the relation of spermatogenesis to sperm density. Fertil. Steril. 1978, 30, 448–455. [Google Scholar] [CrossRef]
- Levin, H.S. Testicular biopsy in the study of male infertility: Its current usefulness, histologic techniques, and prospects for the future. Hum. Pathol. 1979, 10, 569–584. [Google Scholar] [CrossRef]
- Dias, P.L. Histometric analysis of the effects of reserpine on the interstitial cells of the rat testis. Br. J. Exp. Pathol. 1982, 63, 518–521. [Google Scholar] [PubMed]
- Chakraborty, J.; Sinha-Hikim, A.P.; Jhunjhunwala, J. A simple method for quantitative analysis of human testicular biopsies from epon sections. Ann. N. Y. Acad. Sci. 1984, 438, 481–484. [Google Scholar] [CrossRef] [PubMed]
- Muller, J. Morphometry and histology of gonads from twelve children and adolescents with the androgen insensitivity (testicular feminization) syndrome. J. Clin. Endocrinol. Metab. 1984, 59, 785–789. [Google Scholar] [CrossRef]
- Hafez, M.M.; Heidger, P.M., Jr. Stereological study of Leydig cell density in the guinea pig testis. Arch. Androl. 1986, 17, 1–7. [Google Scholar] [CrossRef]
- Chen, C.; Scott, M.H.; Wolf, P.L.; Moossa, A.R.; Lee, S. Histometric investigations of the effect of cyclosporin A on the testicular tissue of rats. Exp. Mol. Pathol. 1988, 49, 185–195. [Google Scholar] [CrossRef]
- Berndtson, W.E.; Neefus, C.; Foote, R.H.; Amann, R.P. Optimal replication for histometric analyses of testicular function in rats or rabbits. Fundam. Appl. Toxicol. 1989, 12, 291–302. [Google Scholar] [CrossRef]
- Sosnik, H. Histometry of male gonad in liver cirrhosis. Gegenbaurs Morphol. Jahrb. 1990, 136, 295–325. [Google Scholar]
- Pylkkanen, L.; Jahnukainen, K.; Parvinen, M.; Santti, R. Testicular toxicity and mutagenicity of steroidal and non-steroidal estrogens in the male mouse. Mutat. Res. 1991, 261, 181–191. [Google Scholar] [CrossRef]
- Hirsch, I.H.; Kulp-Hugues, D.; McCue, P.; Flanigan, M.; Sedor, J.; Stevenson, A.; Staas, W.E. The value of quantitative testicular biopsy and deoxyribonucleic acid flow cytometry in predicting sperm recovery from electrostimulated ejaculates. J. Urol. 1993, 149, 1345–1349. [Google Scholar] [CrossRef]
- Ichihara, I.; Kawamura, H.; Pelliniemi, L.J. Ultrastructure and morphometry of testicular Leydig cells and the interstitial components correlated with testosterone in aging rats. Cell Tissue Res. 1993, 271, 241–255. [Google Scholar] [CrossRef] [PubMed]
- Thompson, T.L.; Berndtson, W.E. Testicular weight, Sertoli cell number, daily sperm production, and sperm output of sexually mature rabbits after neonatal or prepubertal hemicastration. Biol. Reprod. 1993, 48, 952–957. [Google Scholar] [CrossRef] [PubMed][Green Version]
- Matsui, H.; Mitsumori, K.; Yasuhara, K.; Onodera, H.; Shimo, T.; Takahashi, M. Morphological evaluation of cyclophosphamide testicular toxicity in rats using quantitative morphometry of spermatogenic cycle stages. J. Toxicol. Sci. 1995, 20, 407–414. [Google Scholar] [CrossRef][Green Version]
- Zayed, A.E.; Hifny, A.; Abou-Elmagd, A.; Wrobel, K.H. Seasonal changes in the intertubular tissue of the camel testis (Camelus dromedarius). Ann. Anat. 1995, 177, 199–212. [Google Scholar] [CrossRef]
- Lue, Y.; Hikim, A.P.; Wang, C.; Bonavera, J.J.; Baravarian, S.; Leung, A.; Swerdloff, R.S. Early effects of vasectomy on testicular structure and on germ cell and macrophage apoptosis in the hamster. J. Androl. 1997, 18, 166–173. [Google Scholar] [PubMed]
- De Miguel, M.P.; Marino, J.M.; Martinez-Garcia, F.; Nistal, M.; Paniagua, R.; Regadera, J. Pre- and post-natal growth of the human ductus epididymidis. A morphometric study. Reprod. Fertil. Dev. 1998, 10, 271–277. [Google Scholar] [CrossRef] [PubMed]
- Hata, J.; Takahashi, H.; Nakahara, C.; Namiki, A.; Uno, H.; Asano, S. Collaborative work to evaluate toxicity on male reproductive organs by repeated dose studies in rats: 1). Effects of 2-weeks daily administration of estradiol benzoate. J. Toxicol. Sci. 2000, 25, 23–31. [Google Scholar] [CrossRef] [PubMed]
- Watanabe, A.; Nakano, Y.; Endo, T.; Sato, N.; Kai, K.; Shiraiwa, K. Collaborative work to evaluate toxicity on male reproductive organs by repeated dose studies in rats: 27). Repeated toxicity study on ethylene glycol monomethyl ether for 2 and 4 weeks to detect effects on male reproductive organs in rats. J. Toxicol. Sci. 2000, 25, 259–266. [Google Scholar] [CrossRef]
- Sukura, A.; Makipaaa, R.; Vierula, M.; Rodriguez-Martinez, H.; Sundback, P.; Andersson, M. Hereditary sterilizing short-tail sperm defect in Finnish Yorkshire boars. J. Vet. Diagn. Investig. 2002, 14, 382–388. [Google Scholar] [CrossRef]
- Herrera-Alarcon, J.; Villagomez-Amezcua, E.; Gonzalez-Padilla, E.; Jimenez-Severiano, H. Stereological study of postnatal testicular development in Blackbelly sheep. Theriogenology 2007, 68, 582–591. [Google Scholar] [CrossRef]
- Ma, L.; Guo, Y.; Yuan, Y.; Li, Y.G.; Deng, X.Z.; Yang, Z.W. Morphometric study of the testis and reproductive tract (including sperm granuloma) after vasectomy in mature rats. Asian J. Androl. 2016, 18, 66–73. [Google Scholar] [CrossRef] [PubMed]
- Nihi, F.; Gomes, M.L.M.; Carvalho, F.A.R.; Reis, A.B.; Martello, R.; Melo, R.C.N.; Almeida, F.; Chiarini-Garcia, H. Revisiting the human seminiferous epithelium cycle. Hum. Reprod. 2017, 32, 1170–1182. [Google Scholar] [CrossRef] [PubMed]
- Umar, Z.; Qureshi, A.S.; Rehan, S.; Ijaz, M.; Faisal, T.; Umar, S. Effects of oral administration of black seed (Nigella sativa) oil on histomorphometric dynamics of testes and testosterone profile in rabbits. Pak. J. Pharm. Sci. 2017, 30, 531–536. [Google Scholar] [PubMed]
- Kazemi, S.; Feizi, F.; Aghapour, F.; Joorsaraee, G.A.; Moghadamnia, A.A. Histopathology and Histomorphometric Investigation of Bisphenol A and Nonylphenol on the Male Rat Reproductive System. N. Am. J. Med. Sci. 2016, 8, 215–221. [Google Scholar] [CrossRef] [PubMed]
- Sziva, R.E.; Fontanyi, Z.; Pal, E.; Hadjadj, L.; Monori-Kiss, A.; Horvath, E.M.; Benko, R.; Magyar, A.; Heinzlmann, A.; Benyo, Z.; et al. Vitamin D Deficiency Induces Elevated Oxidative and Biomechanical Damage in Coronary Arterioles in Male Rats. Antioxidants 2020, 9, 997. [Google Scholar] [CrossRef] [PubMed]
- Pal, E.; Hadjadj, L.; Fontanyi, Z.; Monori-Kiss, A.; Mezei, Z.; Lippai, N.; Magyar, A.; Heinzlmann, A.; Karvaly, G.; Monos, E.; et al. Vitamin D deficiency causes inward hypertrophic remodeling and alters vascular reactivity of rat cerebral arterioles. PLoS ONE 2018, 13, e0192480. [Google Scholar] [CrossRef]
- Ichihara, I.; Pelliniemi, L.J. Morphometric and ultrastructural analysis of stage-specific effects of Sertoli and spermatogenic cells seen after short-term testosterone treatment in young adult rat testes. Ann. Anat. 2007, 189, 520–532. [Google Scholar] [CrossRef]
- Zhu, Z.J.; Yang, S.; Li, Z. Transcriptome research on spermatogenic molecular drive in mammals. Asian J. Androl. 2015, 17, 961–971. [Google Scholar] [CrossRef]
- Gewiss, R.; Topping, T.; Griswold, M.D. Cycles, waves, and pulses: Retinoic acid and the organization of spermatogenesis. Andrology 2020, 8, 892–897. [Google Scholar] [CrossRef]
- Dhakal, H.P.; Coleman, J.; Przybycin, C.G. A Novel Dual Immunostain to Characterize Sloughed Cells in Testicular Biopsies for Infertility. Am. J. Surg. Pathol. 2019, 43, 1123–1128. [Google Scholar] [CrossRef]
- Dunnill, M.S.; Anderson, J.A.; Whitehead, R. Quantitative histological studies on age changes in bone. J. Pathol. Bacteriol. 1967, 94, 275–291. [Google Scholar] [CrossRef] [PubMed]
- Clermont, Y. Cycle of the seminiferous epithelium and mode of renewal of spermatogonia in the hamster. Rev. Can. Biol. 1954, 13, 208–245. [Google Scholar] [PubMed]
- Clermont, Y. Structure of the epithelium of the seminiferous tubules and the mechanism of regeneration of the spermatogonia in the duck. Arch. Anat. Microsc. Morphol. Exp. 1958, 47, 47–66. [Google Scholar] [PubMed]
- Clermont, Y. Cycle of the seminiferous epithelium of the guinea pig. A method for identification of the stages. Fertil. Steril. 1960, 11, 563–573. [Google Scholar] [CrossRef]
- Clermont, Y.; Perey, B. Quantitative study of the cell population of the seminiferous tubules in immature rats. Am. J. Anat 1957, 100, 241–267. [Google Scholar] [CrossRef]
- Clermont, Y.; Perey, B. The stages of the cycle of the seminiferous epithelium of the rat: Practical definitions in PA-Schiff-hematoxylin and hematoxylin-eosin stained sections. Rev. Can. Biol. 1957, 16, 451–462. [Google Scholar]
- Zamani, A.; Saki, F.; Hatami, N.; Koohpeyma, F. Stereological assessment of the effects of vitamin D deficiency on the rat testis. BMC Endocr. Disord. 2020, 20, 162. [Google Scholar] [CrossRef]
- Xu, J.; Lu, H.; Li, H.; Yan, C.; Wang, X.; Zang, M.; Rooij, D.G.; Madabhushi, A.; Xu, E.Y. Computerized spermatogenesis staging (CSS) of mouse testis sections via quantitative histomorphological analysis. Med. Image Anal. 2021, 70, 101835. [Google Scholar] [CrossRef]
- Dumont, L.; Levacher, N.; Schapman, D.; Rives-Feraille, A.; Moutard, L.; Delessard, M.; Saulnier, J.; Rondanino, C.; Rives, N. IHC_Tool: An open-source Fiji procedure for quantitative evaluation of cross sections of testicular explants. Reprod Biol. 2021, 21, 100507. [Google Scholar] [CrossRef]
- Giovagnoli, M.R.; Giansanti, D. Artificial Intelligence in Digital Pathology: What Is the Future? Part 1: From the Digital Slide Onwards. Healthcare 2021, 9, 858. [Google Scholar] [CrossRef]
- Giovagnoli, M.R.; Ciucciarelli, S.; Castrichella, L.; Giansanti, D. Artificial Intelligence in Digital Pathology: What Is the Future? Part 2: An Investigation on the Insiders. Healthcare 2021, 9, 1347. [Google Scholar] [CrossRef] [PubMed]
- Siristatidis, C.; Stavros, S.; Drakeley, A.; Bettocchi, S.; Pouliakis, A.; Drakakis, P.; Papapanou, M.; Vlahos, N. Omics and Artificial Intelligence to Improve In Vitro Fertilization (IVF) Success: A Proposed Protocol. Diagnostics 2021, 11, 743. [Google Scholar] [CrossRef] [PubMed]
- Zmuidinaite, R.; Sharara, F.I.; Iles, R.K. Current Advancements in Noninvasive Profiling of the Embryo Culture Media Secretome. Int. J. Mol. Sci. 2021, 22, 2513. [Google Scholar] [CrossRef]
- Nakata, H.; Iseki, S.; Mizokami, A. Three-dimensional reconstruction of testis cords/seminiferous tubules. Reprod. Med. Biol. 2021, 20, 402–409. [Google Scholar] [CrossRef] [PubMed]
- Sofikitis, N.V.; Miyagawa, I.; Zavos, P.M.; Toda, T.; Iino, A.; Terakawa, N. Confocal scanning laser microscopy of morphometric human sperm parameters: Correlation with acrosin profiles and fertilizing capacity. Fertil. Steril. 1994, 62, 376–386. [Google Scholar] [CrossRef]
- Yamamoto, Y.; Sofikitis, N.; Mio, Y.; Loutradis, D.; Kaponis, A.; Miyagawa, I. Morphometric and cytogenetic characteristics of testicular germ cells and Sertoli cell secretory function in men with non-mosaic Klinefelter’s syndrome. Hum. Reprod. 2002, 17, 886–896. [Google Scholar] [CrossRef]
- Iqbal, I.; Mustafa, G.; Ma, J. Deep Learning-Based Morphological Classification of Human Sperm Heads. Diagnostics 2020, 10, 325. [Google Scholar] [CrossRef]
- Krenz, H.; Sansone, A.; Fujarski, M.; Krallmann, C.; Zitzmann, M.; Dugas, M.; Kliesch, S.; Varghese, J.; Tuttelmann, F.; Gromoll, J. Machine learning based prediction models in male reproductive health: Development of a proof-of-concept model for Klinefelter Syndrome in azoospermic patients. Andrology 2021, in press. [Google Scholar] [CrossRef]
- Creasy, D.M.; Panchal, S.T.; Garg, R.; Samanta, P. Deep Learning-Based Spermatogenic Staging Assessment for Hematoxylin and Eosin-Stained Sections of Rat Testes. Toxicol. Pathol. 2021, 49, 872–887. [Google Scholar] [CrossRef]
- Ghoshal, B.; Hikmet, F.; Pineau, C.; Tucker, A.; Lindskog, C. DeepHistoClass: A Novel Strategy for Confident Classification of Immunohistochemistry Images Using Deep Learning. Mol. Cell Proteom. 2021, 20, 100140. [Google Scholar] [CrossRef]
- Baskaran, S.; Finelli, R.; Agarwal, A.; Henkel, R. Diagnostic value of routine semen analysis in clinical andrology. Andrologia 2021, 53, e13614. [Google Scholar] [CrossRef] [PubMed]
- Agarwal, A.; Panner Selvam, M.K.; Ambar, R.F. Validation of LensHooke(R) X1 PRO and Computer-Assisted Semen Analyzer Compared with Laboratory-Based Manual Semen Analysis. World J. Mens Health 2021, 39, 496–505. [Google Scholar] [CrossRef] [PubMed]
Publisher’s Note: MDPI stays neutral with regard to jurisdictional claims in published maps and institutional affiliations. |
© 2022 by the authors. Licensee MDPI, Basel, Switzerland. This article is an open access article distributed under the terms and conditions of the Creative Commons Attribution (CC BY) license (https://creativecommons.org/licenses/by/4.0/).
Share and Cite
Sziva, R.E.; Ács, J.; Tőkés, A.-M.; Korsós-Novák, Á.; Nádasy, G.L.; Ács, N.; Horváth, P.G.; Szabó, A.; Ke, H.; Horváth, E.M.; et al. Accurate Quantitative Histomorphometric-Mathematical Image Analysis Methodology of Rodent Testicular Tissue and Its Possible Future Research Perspectives in Andrology and Reproductive Medicine. Life 2022, 12, 189. https://doi.org/10.3390/life12020189
Sziva RE, Ács J, Tőkés A-M, Korsós-Novák Á, Nádasy GL, Ács N, Horváth PG, Szabó A, Ke H, Horváth EM, et al. Accurate Quantitative Histomorphometric-Mathematical Image Analysis Methodology of Rodent Testicular Tissue and Its Possible Future Research Perspectives in Andrology and Reproductive Medicine. Life. 2022; 12(2):189. https://doi.org/10.3390/life12020189
Chicago/Turabian StyleSziva, Réka Eszter, Júlia Ács, Anna-Mária Tőkés, Ágnes Korsós-Novák, György L. Nádasy, Nándor Ács, Péter Gábor Horváth, Anett Szabó, Haoran Ke, Eszter Mária Horváth, and et al. 2022. "Accurate Quantitative Histomorphometric-Mathematical Image Analysis Methodology of Rodent Testicular Tissue and Its Possible Future Research Perspectives in Andrology and Reproductive Medicine" Life 12, no. 2: 189. https://doi.org/10.3390/life12020189
APA StyleSziva, R. E., Ács, J., Tőkés, A.-M., Korsós-Novák, Á., Nádasy, G. L., Ács, N., Horváth, P. G., Szabó, A., Ke, H., Horváth, E. M., Kopa, Z., & Várbíró, S. (2022). Accurate Quantitative Histomorphometric-Mathematical Image Analysis Methodology of Rodent Testicular Tissue and Its Possible Future Research Perspectives in Andrology and Reproductive Medicine. Life, 12(2), 189. https://doi.org/10.3390/life12020189

