In Vivo Evaluation of the Anti-Schistosomal Potential of Ginger-Loaded Chitosan Nanoparticles on Schistosoma mansoni: Histopathological, Ultrastructural, and Immunological Changes
Abstract
1. Introduction
2. Materials and Methods
2.1. Preparation of Chitosan Nanoparticles (CsNPs)
2.2. Preparation of Ginger-Loaded Chitosan Nanoparticles (GCsNPs)
2.3. Experimental Design
- G1: uninfected, untreated.
- G2: infected, untreated.
- G3: infected/treated by praziquantel (PZQ, 500 mg/kg/day for 2 consecutive days).
- G4: infected/treated by ginger extract (500 mg/kg).
- G5: infected/treated by chitosan nanoparticles (3 mg/kg).
- G6: infected/treated ginger (250 mg/kg) loaded chitosan nanoparticles.
- G7: infected/treated ginger (500 mg/kg) loaded chitosan nanoparticles.
2.4. Infection of Mice
2.5. Preparation of Drugs and Mice Treatment
2.6. Microscopic Examination
2.6.1. Number of Granulomas
2.6.2. Measurement of Granulomas
2.6.3. Types of Granulomas
2.7. Scanning Electron Microscopy (SEM) Examination
2.8. Assessment of IL-4, IL-10, and TNF-α Levels
2.9. Statistics
3. Results
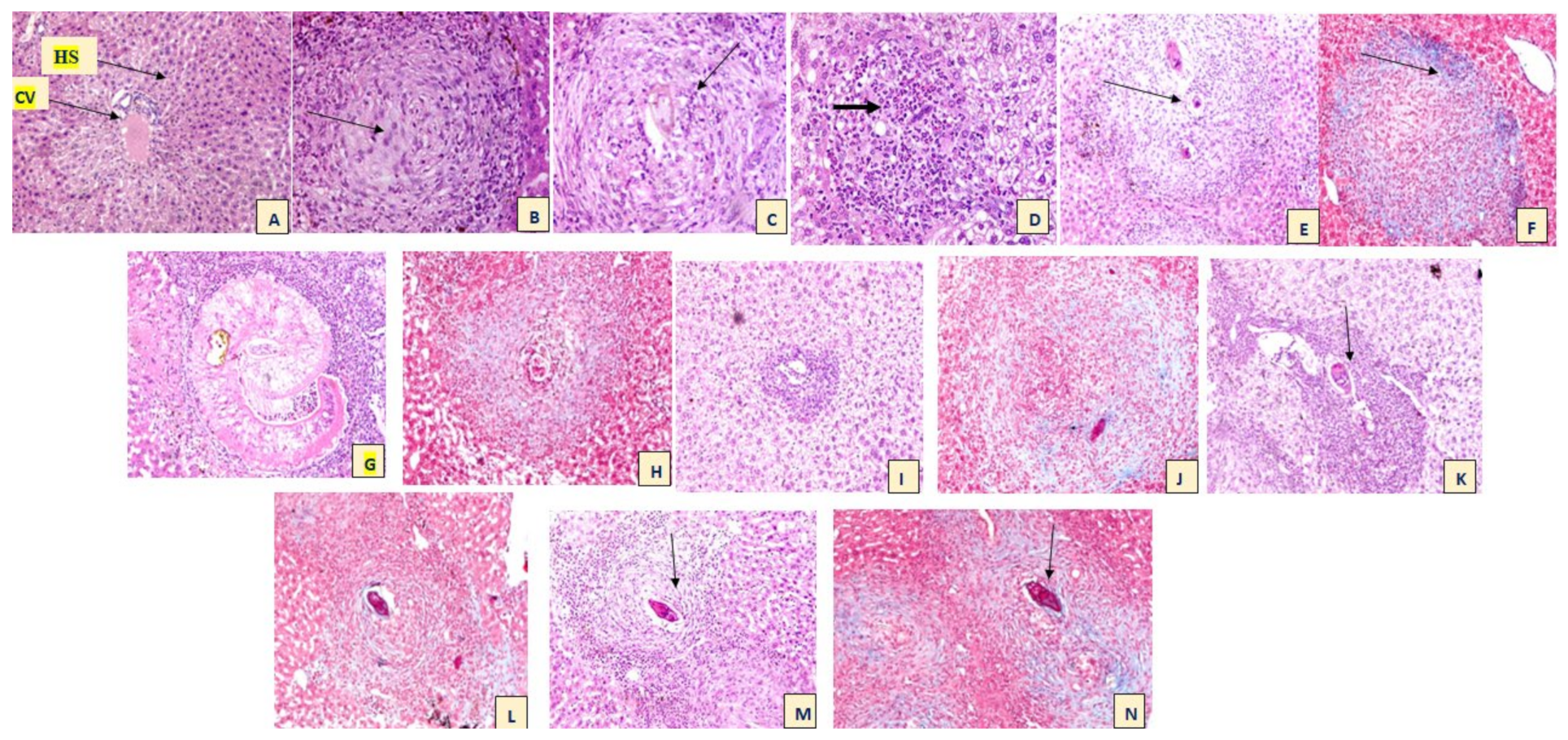
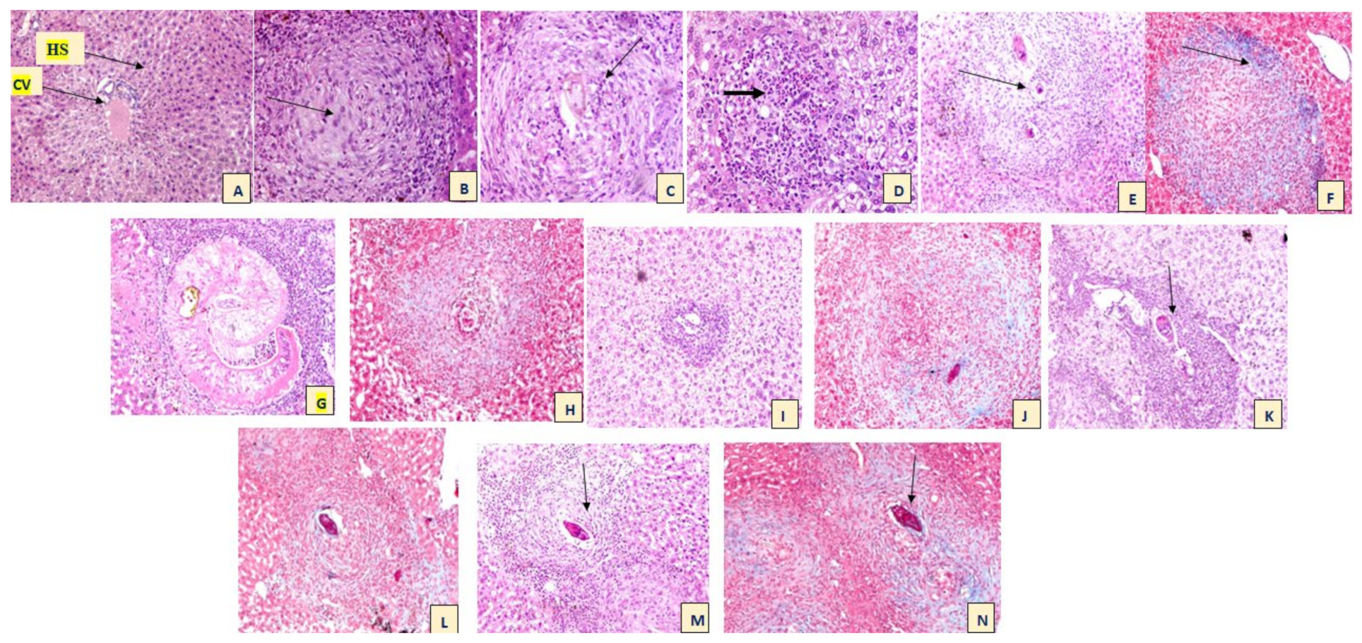
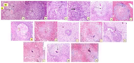
3.1. Histopathological Examination
3.2. Hepatic Granuloma Types and Mean Count
3.3. Scanning Electron Microscopy (SEM) Results
3.4. Immunological Results
4. Discussion
5. Conclusions
Supplementary Materials
Author Contributions
Funding
Institutional Review Board Statement
Informed Consent Statement
Data Availability Statement
Conflicts of Interest
References
- Klohe, K.; Koudou, B.G.; Fenwick, A.; Fleming, F.; Garba, A.; Gouvras, A.; Harding-Esch, E.M.; Knopp, S.; Molyneux, D.; D’Souza, S. A Systematic Literature Review of Schistosomiasis in Urban and Peri-Urban Settings. PLoS Negl. Trop. Dis. 2021, 15, e0008995. [Google Scholar] [CrossRef] [PubMed]
- Ganasegeran, K.; Abdulrahman, S.A. Epidemiology of Neglected Tropical Diseases. In Neglected Tropical Diseases and Phytochemicals in Drug Discovery; Wiley Online Books: Hoboken, NJ, USA, 2021; pp. 1–36. [Google Scholar] [CrossRef]
- Onasanya, A.; Bengtson, M.; Oladepo, O.; Van Engelen, J.; Diehl, J.C. Rethinking the Top-Down Approach to Schistosomiasis Control and Elimination in Sub-Saharan Africa. Front. Public Health 2021, 9, 622809. [Google Scholar] [CrossRef] [PubMed]
- Mostafa, O.; Eid, R.A.; Adly, M.A. Antischistosomal Activity of Ginger (Zingiber officinale) Against Schistosoma mansoni Harbored in C57 Mice. Parasitol. Res. 2011, 109, 395–403. [Google Scholar] [CrossRef] [PubMed]
- Caffrey, C.R.; El-Sakkary, N.; Mäder, P.; Krieg, R.; Becker, K.; Schlitzer, M.; Drewry, D.H.; Vennerstrom, J.L.; Grevelding, C.G. Drug discovery and development for schistosomiasis. In Neglected Tropical Diseases: Drug Discovery and Development; Wiley Online Books: Hoboken, NJ, USA, 2019; pp. 187–225. [Google Scholar] [CrossRef]
- Mtemeli, F.L.; Ndlovu, J.; Mugumbate, G.; Makwikwi, T.; Shoko, R. Advances in Schistosomiasis Drug Discovery Based on Natural Products. All Life 2022, 15, 608–622. [Google Scholar] [CrossRef]
- Neves, B.J.; Andrade, C.H.; Cravo, P.V. Natural Products as Leads in Schistosome Drug Discovery. Molecules 2015, 20, 1872–1903. [Google Scholar] [CrossRef]
- Tekwu, E.M.; Bosompem, K.M.; Anyan, W.K.; Appiah-Opong, R.; Owusu, K.B.; Tettey, M.D.; Kissi, F.A.; Appiah, A.A.; Penlap Beng, V.; Nyarko, A.K. In Vitro Assessment of Anthelmintic Activities of Rauwolfia vomitoria (Apocynaceae) Stem Bark and Roots Against Parasitic Stages of Schistosoma mansoni and Cytotoxic Study. J. Parasitol. Res. 2017, 2017, 2583969. [Google Scholar] [CrossRef]
- Polasa, K.; Nirmala, K. Ginger: Its Role in Xenobiotic Metabolism. ICMR Bull. 2003, 33, 57–62. [Google Scholar]
- Kumar, S.; Saxena, K.; Singh, U.N.; Saxena, R. Anti-Inflammatory Action of Ginger: A Critical Review in Anemia of Inflammation and its Future Aspects. Int. J. Herb. Med. 2013, 1, 16–20. [Google Scholar]
- Iqbal, Z.; Lateef, M.; Akhtar, M.S.; Ghayur, M.N.; Gilani, A.H. In Vivo Anthelmintic Activity of Ginger Against Gastrointestinal Nematodes of Sheep. J. Ethnopharmacol. 2006, 106, 285–287. [Google Scholar] [CrossRef]
- Dkhil, M.A.; Bauomy, A.A.; Diab, M.S.; Wahab, R.; Delic, D.; Al-Quraishy, S. Impact of Gold Nanoparticles on Brain of Mice Infected with Schistosoma mansoni. Parasitol. Res. 2015, 114, 3711–3719. [Google Scholar] [CrossRef]
- Soares, S.; Sousa, J.; Pais, A.; Vitorino, C. Nanomedicine: Principles, Properties, and Regulatory Issues. Front. Chem. 2018, 6, 360. [Google Scholar] [CrossRef] [PubMed]
- Safari, J.; Abedi-Jazini, Z.; Zarnegar, Z.; Sadeghi, M. Nanochitosan: A Biopolymer Catalytic System for the Synthesis of 2-Aminothiazoles. Catal. Commun. 2016, 77, 108–112. [Google Scholar] [CrossRef]
- Mohammadpour Dounighi, N.; Eskandari, R.; Avadi, M.R.; Zolfagharian, H.; Mir Mohammad Sadeghi, A.; Rezayat, M. Preparation and in Vitro Characterization of Chitosan Nanoparticles Containing Mesobuthus Eupeus Scorpion Venom as an Antigen Delivery System. J. Venom. Anim. Toxins Incl. Trop. Dis. 2012, 18, 44–52. [Google Scholar] [CrossRef]
- Penina, N.M.; Dorcas, Y.; Hellen, K.; Rebecca, W.; Kennedy, M.K.; Mokua, J. Determination of Effective Praziquantel Dose in Different Mouse Strains: BALB/C and Swiss Mice in Treatment of Schistosoma mansoni. J. Clin. Immunol. Immunopathol. Res. 2012, 4, 12–21. [Google Scholar]
- Bancroft, J.D.; Stevens, A. Histopathological Stains and Their Diagnostic Uses; Churchil Living Stone: Edinburgh, UK; London, UK; New York, NY, USA, 1975; pp. 7–46. [Google Scholar]
- Abd El-Aal, A.A.; El-Arousy, M.H.; El-Gendy, A.M.; Tunkul Ael, K.; Ismail, S.A.; El-Badry, A.A. Early Post-Treatment Immunoglobulin Profile in Human Schistosomiasis. J. Egypt. Soc. Parasitol. 2005, 35, 167–180. [Google Scholar]
- Kiernan, J.A. Histological and Histochemical Methods: Theory and Practice. Shock 1999, 12, 479. [Google Scholar]
- Sadek, G.; El-Aswad, B. Role of COX-2 in Pathogenesis of Intestinal Cryptosporidiosis and Effect of some Drugs on Treatment of Infection. Res. J. Parasitol. 2014, 9, 21–40. [Google Scholar] [CrossRef]
- Vale, N.; Gouveia, M.J.; Rinaldi, G.; Brindley, P.J.; Gärtner, F.; Correia da Costa, J.M. Praziquantel for Schistosomiasis: Single-Drug Metabolism Revisited, Mode of Action, and Resistance. Antimicrob. Agents Chemother. 2017, 61, 2582. [Google Scholar] [CrossRef]
- Oyeyemi, O.T.; de Jesus Jeremias, W.; Grenfell, R.F.Q. Schistosomiasis in Nigeria: Gleaning from the Past to Improve Current Efforts Towards Control. One Health 2020, 11, 100183. [Google Scholar] [CrossRef]
- Mtemeli, F.L.; Walter, I.; Tinago, T.; Shoko, R. An Assessment of the Molluscicidal Potential of Cucurbita maxima Seed Extracts on Biomphalaria pfeifferi and Bulinus globosus Snails. All Life 2021, 14, 244–255. [Google Scholar] [CrossRef]
- Lombardo, F.C.; Pasche, V.; Panic, G.; Endriss, Y.; Keiser, J. Life Cycle Maintenance and Drug-Sensitivity Assays for Early Drug Discovery in Schistosoma mansoni. Nat. Protoc. 2019, 14, 461–481. [Google Scholar] [CrossRef] [PubMed]
- Ferreira, L.G.; Oliva, G.; Andricopulo, A.D. From Medicinal Chemistry to Human Health: Current Approaches to Drug Discovery for Cancer and Neglected Tropical Diseases. An. Acad. Bras. Ciências 2018, 90, 645–661. [Google Scholar] [CrossRef] [PubMed]
- Süntar, I. Importance of Ethnopharmacological Studies in Drug Discovery: Role of Medicinal Plants. Phytochem. Rev. 2020, 19, 1199–1209. [Google Scholar] [CrossRef]
- Marxer, M.; Ingram, K.; Keiser, J. Development of an in Vitro Drug Screening Assay using Schistosoma haematobium Schistosomula. Parasites Vectors 2012, 5, 165. [Google Scholar] [CrossRef] [PubMed]
- Bergquist, R.; Utzinger, J.; Keiser, J. Controlling Schistosomiasis with Praziquantel: How Much Longer without a Viable Alternative? Infect. Dis. Poverty 2017, 6, 74. [Google Scholar] [CrossRef]
- Prasad, S.; Tyagi, A.K. Ginger and its Constituents: Role in Prevention and Treatment of Gastrointestinal Cancer. Gastroenterol. Res. Pract. 2015, 2015, 142979. [Google Scholar] [CrossRef]
- Ji, K.; Fang, L.; Zhao, H.; Li, Q.; Shi, Y.; Xu, C.; Wang, Y.; Du, L.; Wang, J.; Liu, Q. Ginger Oleoresin Alleviated γ-Ray Irradiation-Induced Reactive Oxygen Species Via the Nrf2 Protective Response in Human Mesenchymal Stem Cells. Oxidative Med. Cell. Longev. 2017, 2017, 1480294. [Google Scholar] [CrossRef]
- Stoner, G.D. Ginger: Is it Ready for Prime Time? Cancer Prev. Res. 2013, 6, 257–262. [Google Scholar] [CrossRef]
- Seif el-Din, S.H.; El-Lakkany, N.M.; Mohamed, M.A.; Hamed, M.M.; Sterner, O.; Botros, S.S. Potential effect of the medicinal plants Calotropis procera. Ficus elastica and Zingiber officinale against Schistosoma mansoni in mice. Pharm. Biol. 2014, 52, 144–150. [Google Scholar] [CrossRef][Green Version]
- Lin, R.; Chen, C.; Lee, J.; Lu, C.; Chung, L.; Yen, C. Larvicidal Constituents of Zingiber officinale (Ginger) Against Anisakis Simplex. Planta Med. 2010, 76, 1852–1858. [Google Scholar] [CrossRef]
- Lin, R.; Chen, C.; Chung, L.; Yen, C. Larvicidal Activities of Ginger (Zingiber officinale) against Angiostrongylus cantonensis. Acta Trop. 2010, 115, 69–76. [Google Scholar] [CrossRef] [PubMed]
- Amaral, K.B.; Silva, T.P.; Dias, F.F.; Malta, K.K.; Rosa, F.M.; Costa-Neto, S.F.; Gentile, R.; Melo, R.C. Histological Assessment of Granulomas in Natural and Experimental Schistosoma mansoni Infections using Whole Slide Imaging. PLoS ONE 2017, 12, e0184696. [Google Scholar] [CrossRef] [PubMed]
- Sanderson, L.; Bartlett, A.; Whitfield, P.J. In Vitro and in Vivo Studies on the Bioactivity of a Ginger (Zingiber officinale) Extract Towards Adult Schistosomes and their Egg Production. J. Helminthol. 2002, 76, 241–247. [Google Scholar] [CrossRef] [PubMed]
- El-Nour, A.; Mohamed, F.; Fadladdin, Y. Antischistosomal Activity of Zingiber officinale, Piper nigrum, and Coriandrum sativum Aqueous Plant Extracts on Hamster Infected with Schistosoma mansoni. J. Parasitol. Res. 2021, 2021, 6628787. [Google Scholar] [CrossRef]
- Prabaharan, M.; Mano, J.F. Chitosan-Based Particles as Controlled Drug Delivery Systems. Drug Deliv. 2004, 12, 41–57. [Google Scholar] [CrossRef] [PubMed]
- Idrees, H.; Zaidi, S.Z.J.; Sabir, A.; Khan, R.U.; Zhang, X.; Hassan, S. A Review of Biodegradable Natural Polymer-Based Nanoparticles for Drug Delivery Applications. Nanomaterials 2020, 10, 1970. [Google Scholar] [CrossRef]
- Kizaloglu, A.; Kilicay, E.; Karahaliloglu, Z.; Hazer, B.; Denkbas, E.B. The Preparation of Chitosan Membrane Improved with Nanoparticles Based on Unsaturated Fatty Acid for using in Cancer-Related Infections. J. Bioact. Compat. Polym. 2020, 35, 328–350. [Google Scholar] [CrossRef]
- Agarwal, M.; Nagar, D.P.; Srivastava, N.; Agarwal, M.K. Chitosan Nanoparticles-Based Drug Delivery: An Update. Int. J. Adv. Multidiscip. Res 2015, 2, 1–13. [Google Scholar]
- Caprifico, A.E.; Foot, P.J.; Polycarpou, E.; Calabrese, G. Overcoming the Blood-Brain Barrier: Functionalised Chitosan Nanocarriers. Pharmaceutics 2020, 12, 1013. [Google Scholar] [CrossRef]
- Tao, F.; Ma, S.; Tao, H.; Jin, L.; Luo, Y.; Zheng, J.; Xiang, W.; Deng, H. Chitosan-Based Drug Delivery Systems: From Synthesis Strategy to Osteomyelitis treatment—A Review. Carbohydr. Polym. 2021, 251, 117063. [Google Scholar] [CrossRef]
- Kumar, A.; Vimal, A.; Kumar, A. Why Chitosan? from Properties to Perspective of Mucosal Drug Delivery. Int. J. Biol. Macromol. 2016, 91, 615–622. [Google Scholar] [CrossRef] [PubMed]
- Kean, T.; Thanou, M. Biodegradation, Biodistribution and Toxicity of Chitosan. Adv. Drug Deliv. Rev. 2010, 62, 3–11. [Google Scholar] [CrossRef] [PubMed]
- Kean, T.; Thanou, M. Chitin and chitosan: Sources, production and medical applications. In Renewable Resources for Functional Polymers and Biomaterials; Royal Society of Chemistry: London, UK, 2011; pp. 292–318. [Google Scholar]
- Yang, Y.M.; Hu, W.; Wang, X.D.; Gu, X.S. The Controlling Biodegradation of Chitosan Fibers by N-Acetylation In Vitro and In Vivo. J. Mater. Sci. Mater. Med. 2007, 18, 2117–2121. [Google Scholar] [CrossRef] [PubMed]
- Banerjee, T.; Singh, A.K.; Sharma, R.K.; Maitra, A.N. Labeling Efficiency and Biodistribution of Technetium-99m Labeled Nanoparticles: Interference by Colloidal Tin Oxide Particles. Int. J. Pharm. 2005, 289, 189–195. [Google Scholar] [CrossRef]
- Thanou, M.; Verhoef, J.C.; Junginger, H.E. Oral Drug Absorption Enhancement by Chitosan and its Derivatives. Adv. Drug Deliv. Rev. 2001, 52, 117–126. [Google Scholar] [CrossRef]
- Sakr, S.A.; Saber, A. Ameliorative Effect of Ginger (Zingiber officinale) on Mancozeb Fungicide Induced Liver Injury in Albino Rats. Aust. J. Basic Appl. Sci. 2007, 1, 650–656. [Google Scholar]
- Elbaz, T.; Esmat, G. Hepatic and Intestinal Schistosomiasis. J. Adv. Res. 2013, 4, 445–452. [Google Scholar] [CrossRef]
- Mahmoud, M.A.Z.; Hassan, F.A.A.; Abed, A.G.; Omar, H.M. Role of Ginger in the Treatment of Schistosoma mansoni Infection a Histopathological Studies. Alex. J. Vet. Sci. 2017, 52, 198–204. [Google Scholar] [CrossRef]
- Aly, H.F.; Mantawy, M.M. Efficiency of Ginger (Zingbar officinale) Against Schistosoma mansoni Infection during Host–parasite Association. Parasitol. Int. 2013, 62, 380–389. [Google Scholar] [CrossRef]
- Abd El Wahab, W.M.; El-Badry, A.A.; Mahmoud, S.S.; El-Badry, Y.A.; El-Badry, M.A.; Hamdy, D.A. Ginger (Zingiber officinale)-Derived Nanoparticles in Schistosoma mansoni Infected Mice: Hepatoprotective and Enhancer of Etiological Treatment. PLoS Negl. Trop. Dis. 2021, 15, e0009423. [Google Scholar] [CrossRef]
- El-Derbawy, M.M.; El Kholy, W.A.E.M.S.; Baiuomy, I.R.; Salem, H.S. A Study of the Potential Therapeutic Effect of Ginger (Zingiber officinale) Loaded Nanoparticles on Murine Schistosomiasis Mansoni. J. Egypt. Soc. Parasitol. 2019, 49, 123–128. [Google Scholar] [CrossRef]
- Jiraungkoorskul, W.; Sahaphong, S.; Sobhon, P.; Riengrojpitak, S.; Kangwanrangsan, N. Effects of Praziquantel and Artesunate on the Tegument of Adult Schistosoma mekongi Harboured in Mice. Parasitol. Int. 2005, 54, 177–183. [Google Scholar] [CrossRef] [PubMed]
- Mostafa, O. Effects of Sedr Honey and/Or Black-Seed Oil on Schistosoma mansoni in Albino Mice: Parasitological, Biochemical and Scanning Electron Microscopical Studies. Egypt. J. Zool. 2005, 45, 449–469. [Google Scholar]
- Mona, N.; Metwally, A.; Kamel, G.; Guirguis, F.; Nevine, N. Evaluation of the Effect of Ro 15-5458 and Combined Antischistosomal Drugs on Different Strains of Schistosoma mansoni Infected Albino Mice: Histopathological and Parasitological Study. Egypt. J. Schistosomiasis Endem. Infect. Dis. 2000, 22, 115–136. [Google Scholar]
- Shereen, M.K.; Ahlam, F.M.; Marwa, M.N.; Hemat, S.A.; Fatma, F.H. In Vitro Effect and Scanning Electron Microscopic Changes of Nigella sativa Loaded Chitosan Nanoparticles on Schistosoma mansoni Adult. J. Med. Plants Res. 2019, 13, 66–72. [Google Scholar] [CrossRef]
- Sadek, G.S.; Harba, N.; Elrefai, S.A.; Sharaf El-Deen, S.A.; Saleh, M.M. Efficacy of Praziquantel Loaded Chitosan Nanoparticles Against both Adult and Schistosomula Stages of Schistosoma mansoni. J. Egypt. Soc. Parasitol. 2018, 48, 629–638. [Google Scholar] [CrossRef]
- El-Menyawy, H.M.; Metwally, K.M.; Aly, I.R.; Abo Elqasem, A.A.; Youssef, A.A. The Therapeutic role of Thymoquinone Bioactive Compound as Target Natural Product from Nigella sativa Loaded with Chitosan Nanoparticles on Schistosomiasis. Egypt. J. Hosp. Med. 2021, 84, 1818–1826. [Google Scholar] [CrossRef]
- Mostafa, O.M.; Shati, A.A.; Adly, M.A.; Bin Dajem, S.M.; Ibrahim, E.H.; Ahmed, O.M. Assessment of the Antischistosomal Activity of Ginger (Zingiber officinale) against Schistosoma mansoni Harbored in C57BL/6 Mice. J. Drug Res. Egypt. 2012, 33, 25–33. [Google Scholar]
- Aly, I.R.; Hendawy, M.A.; Ali, E.; Hassan, E.; Nosseir, M.M. Immunological and Parasitological Parameters After Treatment with Dexamethasone in Murine Schistosoma mansoni. Memórias Inst. Oswaldo Cruz 2010, 105, 729–735. [Google Scholar] [CrossRef]
- Wilson, M.S.; Cheever, A.W.; White, S.D.; Thompson, R.W.; Wynn, T.A. IL-10 Blocks the Development of Resistance to Re-Infection with Schistosoma mansoni. PLoS Pathog. 2011, 7, e1002171. [Google Scholar] [CrossRef]
- Brown, M.; Mawa, P.A.; Joseph, S.; Bukusuba, J.; Watera, C.; Whitworth, J.A.; Dunne, D.W.; Elliott, A.M. Treatment of Schistosoma mansoni Infection Increases Helminth-Specific Type 2 Cytokine Responses and HIV-1 Loads in Coinfected Ugandan Adults. J. Infect. Dis. 2005, 191, 1648–1657. [Google Scholar] [CrossRef] [PubMed]
- Hassan, F.; Abed, G.H.; Abdel-Samii, M.; Omar, H.M. Antischistosomal Activity of Ginger Aqueous Extract Against Experimental Schistosoma mansoni Infection in Mice. Biomark. J. 2016, 2, 12. [Google Scholar]
- Hamad, H.K.; Ramadan, N.F.; Mohamed, S.H.; Aly, I.R.; Zalat, R.S. Parasitological and Immunological Study of the Effect of Chitosan and Chitosan Nanoparticles Loaded with Spiramycin on Toxoplasmosis. J. Glob. Pharm. Technol. 2018, 10, 138–145. [Google Scholar]






Publisher’s Note: MDPI stays neutral with regard to jurisdictional claims in published maps and institutional affiliations. |
© 2022 by the authors. Licensee MDPI, Basel, Switzerland. This article is an open access article distributed under the terms and conditions of the Creative Commons Attribution (CC BY) license (https://creativecommons.org/licenses/by/4.0/).
Share and Cite
El-Derbawy, M.M.; Salem, H.S.; Raboo, M.; Baiuomy, I.R.; Fadil, S.A.; Fadil, H.A.; Ibrahim, S.R.M.; El Kholy, W.A. In Vivo Evaluation of the Anti-Schistosomal Potential of Ginger-Loaded Chitosan Nanoparticles on Schistosoma mansoni: Histopathological, Ultrastructural, and Immunological Changes. Life 2022, 12, 1834. https://doi.org/10.3390/life12111834
El-Derbawy MM, Salem HS, Raboo M, Baiuomy IR, Fadil SA, Fadil HA, Ibrahim SRM, El Kholy WA. In Vivo Evaluation of the Anti-Schistosomal Potential of Ginger-Loaded Chitosan Nanoparticles on Schistosoma mansoni: Histopathological, Ultrastructural, and Immunological Changes. Life. 2022; 12(11):1834. https://doi.org/10.3390/life12111834
Chicago/Turabian StyleEl-Derbawy, Mona M., Hala S. Salem, Mona Raboo, Ibrahim R. Baiuomy, Sana A. Fadil, Haifa A. Fadil, Sabrin R. M. Ibrahim, and Walaa A. El Kholy. 2022. "In Vivo Evaluation of the Anti-Schistosomal Potential of Ginger-Loaded Chitosan Nanoparticles on Schistosoma mansoni: Histopathological, Ultrastructural, and Immunological Changes" Life 12, no. 11: 1834. https://doi.org/10.3390/life12111834
APA StyleEl-Derbawy, M. M., Salem, H. S., Raboo, M., Baiuomy, I. R., Fadil, S. A., Fadil, H. A., Ibrahim, S. R. M., & El Kholy, W. A. (2022). In Vivo Evaluation of the Anti-Schistosomal Potential of Ginger-Loaded Chitosan Nanoparticles on Schistosoma mansoni: Histopathological, Ultrastructural, and Immunological Changes. Life, 12(11), 1834. https://doi.org/10.3390/life12111834

