Hypertrophic Cardiomyopathy with Biventricular Involvement and Coronary Anomaly: A Case Report
Abstract
1. Introduction
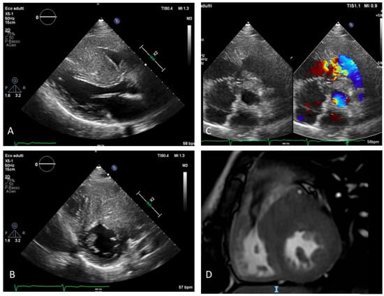
2. Case Description
3. Discussion
4. Conclusions
Author Contributions
Funding
Institutional Review Board Statement
Informed Consent Statement
Data Availability Statement
Conflicts of Interest
References
- Ommen, S.R.; Mital, S.; Burke, M.A.; Day, S.M.; Deswal, A.; Elliott, P.; Evanovich, L.L.; Hung, J.; Joglar, J.A.; Kantor, P. 2020 AHA/ACC Guideline for the Diagnosis and Treatment of Patients With Hypertrophic Cardiomyopathy: A Report of the American College of Cardiology/American Heart Association Joint Committee on Clinical Practice Guidelines. Circulation 2020, 142, e558–e631. [Google Scholar] [PubMed]
- Maron, B.J.; Towbin, J.A.; Thiene, G.; Antzelevitch, C.; Corrado, D.; Arnett, D.; Moss, A.J.; Seidman, C.E.; Young, J.B. Contemporary definitions and classification of the cardiomyopathies: An American Heart Association Scientific Statement from the Council on Clinical Cardiology, Heart Failure and Transplantation Committee; Quality of Care and Outcomes Research and Functional Genomics and Translational Biology Interdisciplinary Working Groups; and Council on Epidemiology and Prevention. Circulation 2006, 113, 1807–1816. [Google Scholar] [PubMed]
- Maron, B.J.; McIntosh, C.L.; Klues, H.G.; Cannon, R.O., 3rd; Roberts, W.C. Morphologic basis for obstruction to right ventricular outflow in hypertrophic cardiomyopathy. Am. J. Cardiol. 1993, 71, 1089–1094. [Google Scholar] [CrossRef]
- Nugent, A.W.; Daubeney, P.E.; Chondros, P.; Carlin, J.B.; Colan, S.D.; Cheung, M.; Davis, A.M.; Chow, C.W.; Weintraub, R.G. Clinical features and outcomes of childhood hypertrophic cardiomyopathy: Results from a national population-based study. Circulation 2005, 112, 1332–1338. [Google Scholar] [CrossRef] [PubMed]
- Berger, S.G.; Sjaastad, I.; Stokke, M.K. Right ventricular involvement in hypertrophic cardiomyopathy: Evidence and implications from current literature. Scand. Cardiovasc. J. 2021, 55, 195–204. [Google Scholar] [CrossRef] [PubMed]
- Quintana, E.; Johnson, J.N.; Sabate Rotes, A.; Cetta, F.; Ommen, S.R.; Schaff, H.V.; Dearani, J.A. Surgery for biventricular obstruction in hypertrophic cardiomyopathy in children and young adults: Technique and outcomesdagger. Eur. J. Cardiothorac. Surg. 2015, 47, 1006–1012. [Google Scholar] [CrossRef] [PubMed]
- Warnes, C.A.; Williams, R.G.; Bashore, T.M.; Child, J.S.; Connolly, H.M.; Dearani, J.A.; Del Nido, P.; Fasules, J.W.; Graham, T.P.; Hijazi, Z.M.; et al. ACC/AHA 2008 guidelines for the management of adults with congenital heart disease: A report of the American College of Cardiology/American Heart Association Task Force on Practice Guidelines (Writing Committee to Develop Guidelines on the Management of Adults With Congenital Heart Disease). Developed in Collaboration With the American Society of Echocardiography, Heart Rhythm Society, International Society for Adult Congenital Heart Disease, Society for Cardiovascular Angiography and Interventions, and Society of Thoracic Surgeons. J. Am. Coll. Cardiol. 2008, 52, e143–e263. [Google Scholar] [PubMed]
- Barr, P.A.; Celermajer, J.M.; Bowdler, J.D.; Cartmill, T.B. Idiopathic hypertrophic obstructive cardiomyopathy causing severe right ventricular outflow tract obstruction in infancy. Br. Heart J. 1973, 35, 1109–1115. [Google Scholar] [CrossRef][Green Version]
- Hayashi, S.I.; Tojyo, K.; Uchikawa, S.I.; Momose, T.; Misawa, T.; Yazaki, Y.; Kinoshita, O.; Hongo, M.; Kubo, K.; Imamura, H. Biventricular hypertrophic cardiomyopathy with right ventricular outflow tract obstruction associated with Noonan syndrome in an adult. Jpn Circ. J. 2001, 65, 132–135. [Google Scholar] [CrossRef]
- Thompson, D.; Patrick-Esteve, J.; Surcouf, J.W.; Rivera, D.; Castellanos, B.; Desai, P.; Lilje, C.; Lacassie, Y.; Marble, M.; Zambrano, R. RAF1 variants causing biventricular hypertrophic cardiomyopathy in two preterm infants: Further phenotypic delineation and review of literature. Clin. Dysmorphol. 2017, 26, 195–199. [Google Scholar] [CrossRef] [PubMed]
- Ekici, F.; Saylan Cevik, B.; Gunduz, M. Case images: Biventricular hypertrophic cardiomyopathy in a baby diagnosed with Pompe disease. Turk. Kardiyol. Dern. Ars. 2012, 40, 558. [Google Scholar] [CrossRef] [PubMed]
- Finocchiaro, G.; Knowles, J.W.; Pavlovic, A.; Perez, M.; Magavern, E.; Sinagra, G.; Haddad, F.; Ashley, E.A. Prevalence and clinical correlates of right ventricular dysfunction in patients with hypertrophic cardiomyopathy. Am. J. Cardiol. 2014, 113, 361–367. [Google Scholar] [CrossRef] [PubMed]
- Elliott, P.M.; Anastasakis, A.; Borger, M.A.; Borggrefe, M.; Cecchi, F. 2014 ESC Guidelines on diagnosis and management of hypertrophic cardiomyopathy: The Task Force for the Diagnosis and Management of Hypertrophic Cardiomyopathy of the European Society of Cardiology (ESC). Eur. Heart J. 2014, 35, 2733–2779. [Google Scholar] [PubMed]
- Maron, B.J.; Spirito, P.; Ackerman, M.J.; Casey, S.A.; Semsarian, C.; Estes, N.M.; Shannon, K.M.; Ashley, E.A.; Day, S.M.; Pacileo, G.; et al. Prevention of sudden cardiac death with implantable cardioverter-defibrillators in children and adolescents with hypertrophic cardiomyopathy. J. Am. Coll. Cardiol. 2013, 61, 1527–1535. [Google Scholar] [CrossRef] [PubMed]
- Baumgartner, H.; De Backer, J.; Babu-Narayan, S.V.; Budts, W.; Chessa, M.; Diller, G.P.; Lung, B.; Kluin, J.; Lang, I.M.; Meijboom, F.; et al. 2020 ESC Guidelines for the management of adult congenital heart disease. Eur. Heart J. 2021, 42, 563–645. [Google Scholar] [CrossRef] [PubMed]
- Buccheri, D.; Chirco, P.R.; Geraci, S.; Caramanno, G.; Cortese, B. Coronary Artery Fistulae: Anatomy, Diagnosis and Management Strategies. Heart Lung Circ. 2018, 27, 940–951. [Google Scholar] [CrossRef] [PubMed]
- Chung, T.; Yiannikas, J.; Freedman, S.B.; Kritharides, L. Unusual features of apical hypertrophic cardiomyopathy. Am. J. Cardiol. 2010, 105, 879–883. [Google Scholar] [CrossRef] [PubMed]
- Conway, S.; Herrey, A.S.; Rakhit, R.D. Apical hypertrophic cardiomyopathy associated with circumflex to left ventricular fistulae: A case report of two rare subtypes of rare conditions occurring together. Eur. Heart J. Case Rep. 2021, 5, ytaa552. [Google Scholar] [CrossRef]


Publisher’s Note: MDPI stays neutral with regard to jurisdictional claims in published maps and institutional affiliations. |
© 2022 by the authors. Licensee MDPI, Basel, Switzerland. This article is an open access article distributed under the terms and conditions of the Creative Commons Attribution (CC BY) license (https://creativecommons.org/licenses/by/4.0/).
Share and Cite
Bartolacelli, Y.; Bonetti, S.; Balducci, A.; Bulgarelli, A.; Ragni, L.; Donti, A. Hypertrophic Cardiomyopathy with Biventricular Involvement and Coronary Anomaly: A Case Report. Life 2022, 12, 1608. https://doi.org/10.3390/life12101608
Bartolacelli Y, Bonetti S, Balducci A, Bulgarelli A, Ragni L, Donti A. Hypertrophic Cardiomyopathy with Biventricular Involvement and Coronary Anomaly: A Case Report. Life. 2022; 12(10):1608. https://doi.org/10.3390/life12101608
Chicago/Turabian StyleBartolacelli, Ylenia, Simone Bonetti, Anna Balducci, Ambra Bulgarelli, Luca Ragni, and Andrea Donti. 2022. "Hypertrophic Cardiomyopathy with Biventricular Involvement and Coronary Anomaly: A Case Report" Life 12, no. 10: 1608. https://doi.org/10.3390/life12101608
APA StyleBartolacelli, Y., Bonetti, S., Balducci, A., Bulgarelli, A., Ragni, L., & Donti, A. (2022). Hypertrophic Cardiomyopathy with Biventricular Involvement and Coronary Anomaly: A Case Report. Life, 12(10), 1608. https://doi.org/10.3390/life12101608

