Influence of Single Nucleotide Polymorphism of ENPP1 and ADIPOQ on Insulin Resistance and Obesity: A Case—Control Study in a Javanese Population
Abstract
1. Introduction
2. Materials and Methods
2.1. Subjects and Ethics Statement
2.2. Blood Collection and Laboratory Measurement
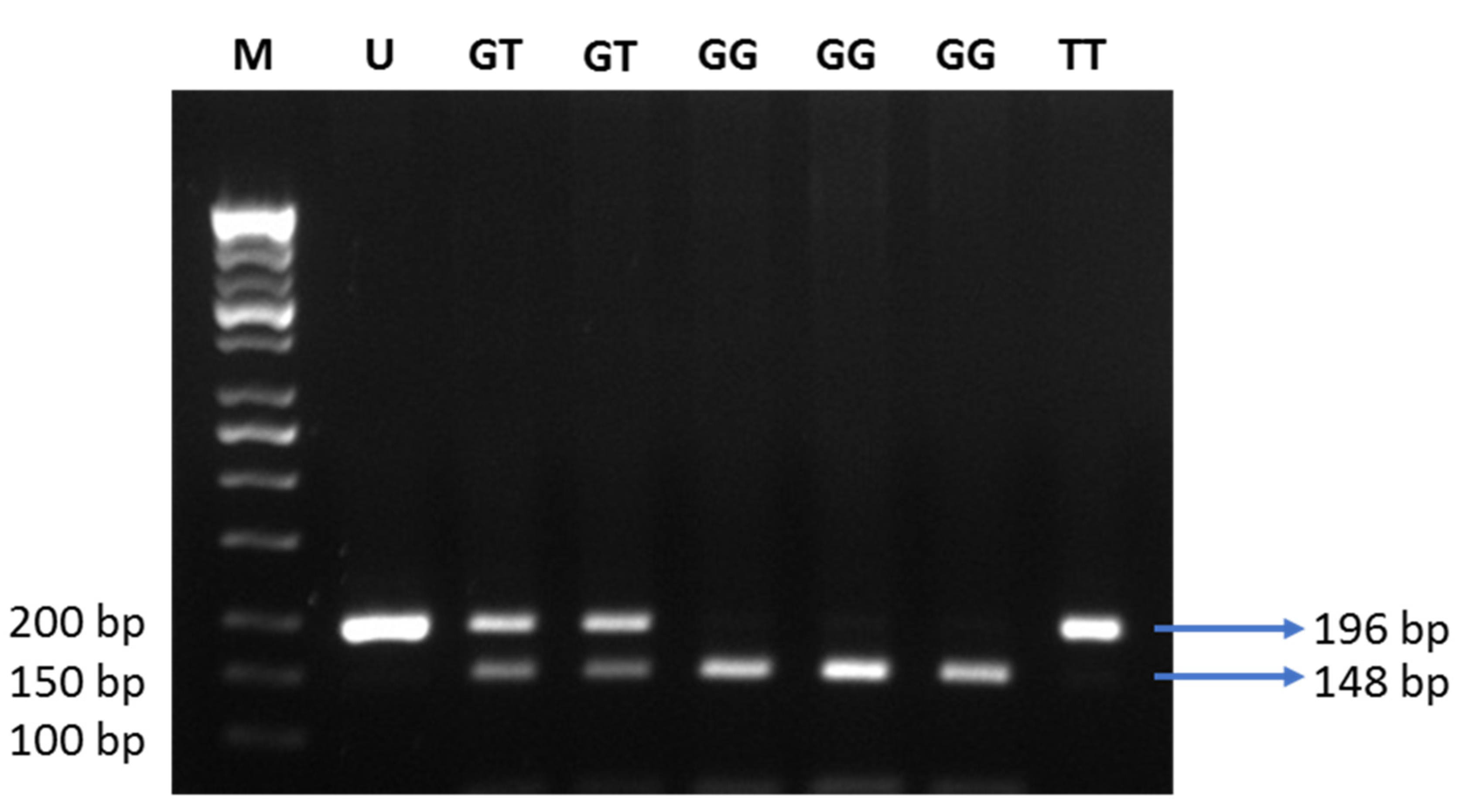
2.3. Genotyping
2.4. Statistical Analysis
3. Results
3.1. K121Q Polymorphism of ENPP1 Increased the Risk of Insulin Resistance
3.2. Plasma Adiponectin Level Was Not Associated with the +276G > T SNP of ADIPOQ Gene
4. Discussion
Author Contributions
Funding
Institutional Review Board Statement
Informed Consent Statement
Data Availability Statement
Acknowledgments
Conflicts of Interest
References
- WHO. Obesity and Overweight. In Media Centre Obesity and Overweight; World Health Organization: Geneva, Switzerland, 2016; Available online: http://www.who.int/mediacentre/factsheets/fs311/en/ (accessed on 19 May 2017).
- Roemling, C.; Qaim, M. Obesity trends and determinants in Indonesia. Appetite 2012, 58, 1005–1013. [Google Scholar] [CrossRef] [PubMed]
- Rachmi, C.N.; Li, M.; Alison Baur, L. Overweight and obesity in Indonesia: Prevalence and risk factors—A literature review. Public Health 2017, 147, 20–29. [Google Scholar] [CrossRef] [PubMed]
- Purnamasari, D. The Emergence of Non-communicable Disease in Indonesia. Acta Med. Indones. 2018, 50, 273–274. [Google Scholar] [PubMed]
- Nelson, D.L.; Cox, M.M. Lehninger Principle of Biochemistry, 4th ed.; WH Freeman and Company: New York, NY, USA, 2008. [Google Scholar]
- Haslam, D.W.; James, W.P. Obesity. Lancet 2005, 366, 1197–1209. [Google Scholar] [CrossRef]
- Park, J.; Euhus, D.M.; Scherer, P.E. Paracrine and endocrine effects of adipose tissue on cancer development and progression. Endocr. Rev. 2011, 32, 550–570. [Google Scholar] [CrossRef]
- Maddux, B.A.; Goldfine, I.D. Membrane glycoprotein PC-1 inhibition of insulin receptor function occurs via direct interaction with the receptor alpha-subunit. Diabetes 2000, 49, 13–29. [Google Scholar] [CrossRef][Green Version]
- Costanzo, B.V.; Trischitta, V.; Paola, R.D.; Spampinato, D.; Pizzuti, A.; Vigneri, R.; Frittitta, L. The Q allele variant (GLN121) of membrane glycoprotein PC-1 interacts with the insulin receptor and inhibits insulin signalling more effectively than the common K allele variant (LYS121). Diabetes 2001, 50, 831–836. [Google Scholar] [CrossRef][Green Version]
- Prakash, J.; Mittal, B.; Awasthi, S.; Agarwal, C.G.; Srivastava, N. K121Q ENPP1/PC-1 gene is associated with insulin resistance in a North Indian population. J. Genet. 2013, 92, 1–6. [Google Scholar] [CrossRef]
- Rasmussen, S.K.; Urhammer, S.A.; Pizzuti, A.; Echwald, S.M.; Ekstrøm, C.T.; Hansen, L.; Hansen, T.; Borch-Johnsen, K.; Frittitta, L.; Trischitta, V.; et al. The K121Q variant of human PC-1 gene is not associated with insulin resistance or type 2 diabetes among Danish Caucasians. Diabetes 2000, 49, 1608–1611. [Google Scholar] [CrossRef][Green Version]
- Keshavarz, P.; Inoue, H.; Sakamoto, Y.; Kunika, K.; Tanahashi, T.; Nakamura, N.; Yoshikawa, T. No evidence for association of the ENPP1 (PC-1) K121Q variant with risk of type 2 diabetes in a Japanese population. J. Hum. Genet. 2006, 51, 559–566. [Google Scholar] [CrossRef]
- Zhao, T.; Liu, Z.; Zhang, D.; Liu, Y.; Yang, Y.; Zhou, D.; Chen, Z.; Yu, L.; Zhang, Z.; Feng, G.; et al. The ENPP1 K121Q polymorphism is not associated with type 2 diabetes or obesity in the Chinese Han population. J. Hum. Genet. 2011, 56, 12–16. [Google Scholar] [CrossRef]
- Arita, Y.; Kihara, S.; Ouchi, N.; Takahashi, M.; Maeda, K.; Miyagawa, J.I.; Hotta, K.; Shimomura, I.; Nakamura, T.; Miyaoka, K.; et al. Paradoxical Decrease of an Adipose-Spesific Protein, Adiponectin, in Obesity. Biochem. Biophys. Res. Commun. 1999, 257, 79–83. [Google Scholar] [CrossRef] [PubMed]
- Berk, E.S.; Kovera, A.J.; Boozer, C.N.; Pi-Sunyer, F.X.; Johnson, J.A.; Albu, J.B. Adiponectin Levels during Low and High Fat Eucaloric Diets in Lean and Obese Women. Obes. Res. 2005, 13, 1566–1571. [Google Scholar] [CrossRef] [PubMed]
- Qatanani, M.; Lazar, M.A. Mechanism of obesity-associated insulin resistance: Many choices on the menu. Gene Dev. 2007, 21, 1443–1455. [Google Scholar] [CrossRef]
- Bruun, J.M.; Lihn, A.S.; Verdich, C.; Pedersen, S.B.; Toubro, S.; Astrup, A.; Richelsen, B. Regulation of adiponectin by adiposetissue-derive cytokines: In vivo and in vitro investigations in humans. Am. J. Physiol. Endocrinol. Metab. 2003, 285, 527–533. [Google Scholar] [CrossRef]
- Chuang, L.; Chiu, Y.; Sheu, W.H.; Hung, Y.; Ho, L.; Grove, J. Biethnic Comparisons of Autosomal Genomic Scan for Loci Linked to Plasma Adiponectin in Populations of Chinese and Japanese Origin. J. Clin. Endocrinol. Metab. 2004, 89, 5772–5778. [Google Scholar] [CrossRef] [PubMed][Green Version]
- Menzaghi, C.; Trischitta, V.; Doria, A. Genetic Influences of Adiponectin on Insulin Resistance, Type 2 Diabetes, and Cardiovascular Disease. Diabetes 2007, 56, 1196–1209. [Google Scholar] [CrossRef] [PubMed]
- Filippi., E.; Sentinelli, F.; Trischitta, V.; Romeo, S.; Arca, M.; Leonetti, F.; Di Mario, U.; Baroni, M.G. Association of the Human Adiponectin Gene and Insulin Resistance. Eur. J. Hum. Genet. 2004, 12, 199–205. [Google Scholar] [CrossRef] [PubMed]
- Hara, K.; Boutin, P.; Mori, Y.; Tobe, K.; Dina, C.; Yasuda, K. Genetic Variation in the Gene Encoding Adiponectin is Associated with an Increased Risk of Type 2 Diabetes in the Japanese Population. Diabetes 2002, 51, 536–540. [Google Scholar] [CrossRef] [PubMed]
- Hastuti, P.; Tasmini, T.; Utami, R.F.; Riwa, M.; Steven, S.; Sadewa, A.H. Variation of Resistin Gene Is Correlated with Insulin Resistance in Obese People of Indonesia. Open Access Maced. J. Med. Sci. 2019, 7, 1891–1895. [Google Scholar] [CrossRef]
- Hastuti, P.; Tasmini, T.; Sadewa, A.H.; Chornelia, D.M.; Karita, D. Level of Adipokines and Insulin Resistance in Obese Javanese Population. J. Med. Sci. 2017, 49, 56–63. [Google Scholar] [CrossRef]
- Frittitta, L.; Youngren, J.F.; Sbraccia, P.; D’Adamo, M.; Buongiorno, A.; Vigneri, R.; Goldfine, I.D.; Trischitta, V. Increased adipose tissue PC-1 protein content, but not tumour necrosis factor-a gene expression, is associated with a reduction of both whole body insulin sensitivity and insulin receptor tyrosine-kinase activity. Diabetologia 1997, 40, 282–289. [Google Scholar] [CrossRef][Green Version]
- Dong, H.; Maddux, B.A.; Altomonte, J.; Meseck, M.; Accili, D.; Terkeltaub, R.; Johnson, K.; Youngren, J.F.; Goldfine, L.D. Increased hepatic levels of insulin receptor inhibitor, PC-1/NPP1, induce insulin resistance and glucose intolerance. Diabetes 2005, 54, 367–372. [Google Scholar] [CrossRef][Green Version]
- Zhou, H.H.; Chin, C.N.; Wu, M.; Ni, W.; Quan, S.; Liu, F.; Dallas-Yang, Q.; Ellsworth, K.; Ho, T.; Zhang, A.; et al. Suppression of PC-1/ENPP-1 expression improves insulin sensitivity in vitro and in vivo. Eur. J. Pharmacol. 2009, 15, 346–352. [Google Scholar] [CrossRef] [PubMed]
- Maddux, B.A.; Chang, Y.N.; Accili, D.; McGuinness, O.P.; Youngren, J.F.; Goldfine, I.D. Overexpression of the insulin receptor inhibitor PC-1/ENPP1 induces insulin resistance and hyperglycemia. Am. J. Physiol. Endocrinol. Metab. 2006, 290, E746–E749. [Google Scholar] [CrossRef] [PubMed]
- González-Sánchez, J.L.; Zabena, C.; Martínez-Larrad, M.T.; Martínez-Calatrava, M.J.; Pérez-Barba, M.; Serrano-Ríos, M. Association of ENPP1 (PC-1) K121Q polymorphism with obesity-related parameters in subjects with metabolic syndrome. Clin. Endocrinol. 2008, 68, 724–729. [Google Scholar] [CrossRef]
- Grarup, N.; Urhammer, S.A.; Ek, J.; Albrechtsen, A.; Glümer, C.; Borch-Johnsen, K.; Jørgensen, T.; Hansen, T.; Pedersen, O. Studies of the relationship between the ENPP1 K121Q polymorphism and type 2 diabetes, insulin resistance and obesity in 7,333 Danish white subjects. Diabetologia 2006, 49, 2097–2104. [Google Scholar] [CrossRef] [PubMed]
- El Achhab, Y.; Meyre, D.; Bouatia-Naji, N.; Berraho, M.; Deweirder, M.; Vatin, V.; Delplanque, J.; Serhier, Z.; Lyoussi, B.; Nejjari, C.; et al. Association of the ENPP1 K121Q polymorphism with type 2 diabetes and obesity in the Moroccan population. Diabetes Metab. 2009, 35, 37–42. [Google Scholar] [CrossRef] [PubMed]
- Baratta, R.; Rossetti, P.; Prudente, S.; Barbetti, F.; Sudano, D.; Nigro, A.; Farina, M.G.; Pellegrini, F.; Trischitta, V.; Frittitta, L. Role of the ENPP1 K121Q polymorphism in glucose homeostasis. Diabetes 2008, 57, 3360–33644. [Google Scholar] [CrossRef] [PubMed][Green Version]
- Sortica, D.A.; Buffon, M.P.; Souza, B.M.; Nicoletto, B.B.; Santer, A.; Assmann, T.S.; Crispim, D.; Canani, L.H. Association between the ENPP1 K121Q polymorphism and risk of diabetic kidney disease: A systematic review and meta-analysis. PLoS ONE 2015, 10, e0118416. [Google Scholar] [CrossRef]
- Meyre, D.; Bouatia-Naji, N.; Vatin, V.; Veslot, J.; Samson, C.; Tichet, J.; Marre, M.; Balkau, B.; Froguel, P. ENPP1 K121Q polymorphism and obesity, hyperglycaemia and type 2 diabetes in the prospective DESIR Study. Diabetologia 2007, 50, 2090–2096. [Google Scholar] [CrossRef][Green Version]
- Hsiao, T.J.; Lin, E. The ENPP1 K121Q polymorphism is associated with type 2 diabetes and related metabolic phenotypes in a Taiwanese population. Mol. Cell. Endocrinol. 2016, 433, 20–25. [Google Scholar] [CrossRef]
- Weedon, M.N.; Shields, B.; Hitman, G.; Walker, M.; McCarthy, M.I.; Hattersley, A.T.; Frayling, T.M. No evidence of association of ENPP1 variants with type 2 diabetes or obesity in a study of 8089 U.K. Caucasians. Diabetes 2006, 55, 3175–3179. [Google Scholar] [CrossRef] [PubMed][Green Version]
- Morandi, A.; Pinelli, L.; Petrone, A.; Vatin, V.; Buzzetti, R.; Froguel, P.; Meyre, D. The Q121 variant of ENPP1 may protect from childhood overweight/obesity in the Italian population. Obesity 2006, 17, 202–206. [Google Scholar] [CrossRef]
- Wang, R.; Zhou, D.; Xi, B.; Ge, X.; Zhu, P.; Wang, B.; Zhou, M.; Huang, Y.; Liu, J.; Yu, Y.; et al. ENPP1/PC-1 gene K121Q polymorphism is associated with obesity in European adult populations: Evidence from a meta-analysis involving 24,324 subjects. Biomed. Environ. Sci. 2011, 24, 200–206. [Google Scholar] [CrossRef] [PubMed]
- Wang, Z.V.; Scherer, P.E. Adiponectin, the past two decades. J. Mol. Cell. Biol. 2016, 82, 93–100. [Google Scholar] [CrossRef] [PubMed]
- Turer, A.T.; Scherer, P.E. Adiponectin: Mechanistic insights and clinical implications. Diabetologia 2012, 55, 2319–2326. [Google Scholar] [CrossRef]
- Berg, A.H.; Combs, T.P.; Du, X.; Brownlee, M.; Scherer, P.E. The adipocyte-secreted protein Acrp30 enhances hepatic insulin action. Nat. Med. 2001, 7, 947–953. [Google Scholar] [CrossRef]
- Stern, J.H.; Rutkowski, J.M.; Scherer, P.E. Adiponectin, Leptin, and Fatty Acids in the Maintenance of Metabolic Homeostasis through Adipose Tissue Crosstalk. Cell Metab. 2016, 23, 770–784. [Google Scholar] [CrossRef]
- Fu, Y.; Luo, N.; Klein, R.L.; Garvey, W.T. Adiponectin promotes adipocyte differentiation, insulin sensitivity, and lipid accumulation. J. Lip. Res. 2005, 46, 1369–1379. [Google Scholar] [CrossRef]
- Sartika, C.R.; Lukito, W.; Wijaya, A. Adiponectin, total anti-oxidant status, and high sensitivity C-reactive protein in Indonesian men with metabolic syndrome. Med. J. Indones. 2009, 18, 262–268. [Google Scholar] [CrossRef]
- Liu, M.; Lium, F. Transcriptional and post translational regulation of adiponectin. Biochem. J. 2009, 425, 41–52. [Google Scholar] [CrossRef] [PubMed]
- Degawa-Yamauchi, M.; Moss, K.A.; Bovenkerk, J.E.; Shankar, S.S.; Morrison, C.L.; Lelliot, C.J.; Vidal-Puig, A.; Jones, R.; Considine, R.V. Regulation of adiponectin expression in human adipocytes: Effects of adiposity, glucocorticoids, and tumor necrosis factor alpha. Obes. Res. 2010, 13, 663–669. [Google Scholar] [CrossRef]
- Iwaki, M.; Matsuda, M.; Maeda, N.; Funahashi, T.; Matsuzawa, Y.; Makishima, M.; Shimomura, I. Induction of adiponectin, a fat-derived antidiabetic and antiatherogenic factor, by nuclear receptors. Diabetes 2003, 52, 1655–1663. [Google Scholar] [CrossRef] [PubMed]
- Qiang, L.; Wang, H.; Farmer, S.R. Adiponectin secretion is regulated by SIRT1 and the endoplasmic reticulum oxidoreductase Ero1-L alpha. Mol. Cell. Biol. 2007, 27, 4698–4707. [Google Scholar] [CrossRef] [PubMed]
- Banga, A.; Unal, R.; Tripathi, P.; Pokrovskaya, I.; Owens, R.J.; Kern, P.A.; Ranganathan, G. Adiponectin translation is increased by the PPARgamma agonists pioglitazone and omega-3 fatty acids. Am. J. Physiol. Endocrinol. Metab. 2009, 296, E480–E489. [Google Scholar] [CrossRef] [PubMed]
- Shimada, T.; Hiramatsu, N.; Okamura, M.; Hayakawa, K.; Kasai, A.; Yao, J.; Kitamura, M. Unexpected blockade of adipocyte differentiation by K-7174: Implication for endoplasmic reticulum stress. Biochem. Biophys. Res. Commun. 2007, 363, 355–360. [Google Scholar] [CrossRef] [PubMed]
- Zhang, B.; Berger, J.; Hu, E.; Szalkowski, D.; White-Carrington, S.; Spiegelman, B.M.; Moller, D.E. Negative regulation of peroxisome proliferator-activated receptor-gamma gene expression contributes to the antiadipogenic effects of tumor necrosis factor-alpha. Mol. Endocrinol. 1996, 10, 1457–1466. [Google Scholar] [CrossRef]
- Takahashi, M.; Arita, Y.; Yamagata, K.; Matsukawa, Y.; Okutomi, K.; Horie, M.; Shimomura, I.; Hotta, K.; Kuriyama, H.; Kihara, S.; et al. Genomic structure and mutations in adipose-specific gene, adiponectin. Int. J. Obes. 2000, 24, 861–868. [Google Scholar] [CrossRef]
- White, R.T.; Damm, D.; Hancock, N.; Rosen, B.S.; Lowell, B.B.; Usher, P.; Flier, J.S.; Spiegelman, B.M. Human adipsin is identical to complement factor D and is expressed at high levels in adipose tissue. J. Biol. Chem. 1992, 267, 9210–9213. [Google Scholar] [CrossRef]
- Platt, K.A.; Claffey, K.P.; Wilkison, W.O.; Spiegelman, B.M.; Ross, S.R. Independent regulation of adipose tissue-specificity and obesity response of the adipsin promoter in transgenic mice. J. Biol. Chem. 1994, 269, 28558–28562. [Google Scholar] [CrossRef]
- Khabour, O.F.; Alomari, M.A.; Obaid, A.A.A. The Relationship of adiponectin level and ADIPOQ gene variants with BMI among young adult women. Derm. Endocrinol. 2018, 10, e1477902. [Google Scholar] [CrossRef] [PubMed]
- Gui, M.H.; Li, X.; Jiang, S.F.; Gao, J.; Lu, D.R.; Gao, X. Association of the adiponectin gene rs1501299 G>T variant, serum adiponectin levels, and the risk of coronary artery disease in a Chinese population. Diabetes Res. Clin. Pract. 2012, 97, 499–504. [Google Scholar] [CrossRef]
- Al-Daghri, N.M.; Al-Attas, O.S.; Alokail, M.S.; Alkharfy, K.M.; Hussain, T.; Yakout, S.; Vinodson, B.; Sabico, S. Adiponectin gene polymorphisms (T45G and G276T), adiponectin levels and risk for metabolic diseases in an Arab population. Gene 2012, 493, 142–147. [Google Scholar] [CrossRef]
- Leu, H.B.; Chung, C.M.; Lin, S.J.; Jong, Y.S.; Pan, W.H.; Chen, J.W. Adiponectin gene polymorphism is selectively associated with the concomitant presence of metabolic syndrome and essential hypertension. PLoS ONE 2011, 6, e19999. [Google Scholar] [CrossRef]
- Shin, M.J.; Jang, Y.; Koh, S.J.; Chae, J.S.; Kim, O.Y.; Lee, J.E.; Ordovas, J.M.; Lee, J.H. The association of SNP276G>T at adiponectin gene with circulating adiponectin and insulin resistance in response to mild weight loss. Int. J. Obes. 2006, 30, 1702–1708. [Google Scholar] [CrossRef] [PubMed][Green Version]
- Mackawy, A.M.H.; Alzohairy, M.A.; Ahmed, E.A.; Badawy, M.E.H. Adiponectin Gene Polymorphism and the Incidence of Type 2 Diabetes Mellitus in Obese Patients in Qassim Region, Saudi Arabia. J. Am. Sci. 2011, 7, 432–443. [Google Scholar]
- Kacso, I.M.; Farcas, M.F.; Pop, I.V.; Bondor, C.I.; Potra, A.R.; Moldovan, D.; Rusu, C.; Nita, C.; Gherman, C.M.; Hancu, N.D. 276G>T Polymorphism of the ADIPOQ Gene Influences Plasma Adiponectin in Type 2 Diabetes Patients but Is Not Predictive for Presence of Type 2 Diabetes in a Caucasian Cohort from Romania. Maedica 2012, 7, 271–276. [Google Scholar] [PubMed]
- Kaur, H.; Badaruddoza, B.; Bains, V.; Kaur, A. Genetic association of ADIPOQ gene variants (−3971A>G and +276G>T) with obesity and metabolic syndrome in North Indian Punjabi population. PLoS ONE 2018, 13, e0204502. [Google Scholar] [CrossRef]






| Step | Temperature | Time | Cycle |
|---|---|---|---|
| Initial denaturation | 94 °C | 5 min | 1 |
| Denaturation | 94 °C | 1 min | 35 |
| Annealing | 55 °C | 40 s | 35 |
| Extension | 72 °C | 40 s | 35 |
| Final extension | 72 °C | 10 min | 1 |
| Variables | Lean | Obese | p Value |
|---|---|---|---|
| Females (n) | 28 | 28 | |
| Males (n) | 22 | 22 | |
| Age (years) | 24.47 ± 5.00 | 24.66 ± 5.29 | 0.7331 |
| Height (cm) | 160.47 ± 8.79 | 162.27 ± 9.55 | 0.4165 |
| Weight (kg) | 52.68 ± 6.88 | 80.55 ± 14.17 | 0.0042 |
| BMI (kg/m2) | 21.0 ± 5.16 | 31.2 ± 4.5 | 0.0027 |
| N | Obesity Status | OR (95% CI) | p Value | |||
|---|---|---|---|---|---|---|
| Yes | No | |||||
| Genotype | AA | 80 | 38 (76%) | 42 (84%) | reference | 0.320 |
| AC/CC | 20 | 12 (24%) | 8 (16%) | 1.7 (0.6–4.5) | ||
| Alleles | A | 179 | 87 (87%) | 92 (92%) | reference | 0.888 |
| C | 21 | 13 (13%) | 8 (8%) | 1.02 (0.6–2.0) | ||
| Group | Genotypes | Insulin Resistance Status | OR (95% CI) | p Value | |
|---|---|---|---|---|---|
| Yes | No | ||||
| Lean | AA | 17 (40.5%) | 25 (59.5%) | reference | |
| AC | 4 (50%) | 4 (50%) | 1.5 (0.3–6.7) | 0.618 | |
| Obese | AA | 30 (78.9%) | 8 (21.1%) | 5.5 (2.0–14.3) | 0.001 |
| AC/CC | 10 (83.3%) | 2 (16.7%) | 6.6 (1.3–34-5) | 0.025 | |
| Variables | Lean | Obese | p Value |
|---|---|---|---|
| Females (n) | 32 | 32 | |
| Males (n) | 23 | 23 | |
| Age (Years) | 22 | 22 | 0.5755 |
| Height (cm) | 160.3 ± 9.4 | 162 ± 9.92 | 0.3255 |
| Weight (kg) | 52.3 ± 7.80 | 80.8 ± 13.23 | <0.0001 |
| BMI (kg/m2) | 21.04 ± 1.7 | 31.34 ± 4.4 | <0.0001 |
| Obese (n = 55) | Lean (n = 55) | OR (CI 95%) | p Value | ||
|---|---|---|---|---|---|
| Genotypes | GG | 26 (47.3%) | 25 (45.5%) | reference | 0.848 |
| GT/TT | 29 (52.7%) | 30 (54.5%) | 1.08 (0.5–2.3) | ||
| Alleles | G | 79 (71.8%) | 77 (70%) | reference | 0.767 |
| T | 31 (28.2%) | 33 (30%) | 1.09 (0.61–1.96) |
Publisher’s Note: MDPI stays neutral with regard to jurisdictional claims in published maps and institutional affiliations. |
© 2021 by the authors. Licensee MDPI, Basel, Switzerland. This article is an open access article distributed under the terms and conditions of the Creative Commons Attribution (CC BY) license (https://creativecommons.org/licenses/by/4.0/).
Share and Cite
Arianti, R.; Ariani, N.L.; Muhammad, A.A.; Sadewa, A.H.; Farmawati, A.; Sunarti; Hastuti, P.; Kristóf, E. Influence of Single Nucleotide Polymorphism of ENPP1 and ADIPOQ on Insulin Resistance and Obesity: A Case—Control Study in a Javanese Population. Life 2021, 11, 552. https://doi.org/10.3390/life11060552
Arianti R, Ariani NL, Muhammad AA, Sadewa AH, Farmawati A, Sunarti, Hastuti P, Kristóf E. Influence of Single Nucleotide Polymorphism of ENPP1 and ADIPOQ on Insulin Resistance and Obesity: A Case—Control Study in a Javanese Population. Life. 2021; 11(6):552. https://doi.org/10.3390/life11060552
Chicago/Turabian StyleArianti, Rini, Nia Lukita Ariani, Al Azhar Muhammad, Ahmad Hamim Sadewa, Arta Farmawati, Sunarti, Pramudji Hastuti, and Endre Kristóf. 2021. "Influence of Single Nucleotide Polymorphism of ENPP1 and ADIPOQ on Insulin Resistance and Obesity: A Case—Control Study in a Javanese Population" Life 11, no. 6: 552. https://doi.org/10.3390/life11060552
APA StyleArianti, R., Ariani, N. L., Muhammad, A. A., Sadewa, A. H., Farmawati, A., Sunarti, Hastuti, P., & Kristóf, E. (2021). Influence of Single Nucleotide Polymorphism of ENPP1 and ADIPOQ on Insulin Resistance and Obesity: A Case—Control Study in a Javanese Population. Life, 11(6), 552. https://doi.org/10.3390/life11060552

