Clusterin and Its Potential Regulatory microRNAs as a Part of Secretome for the Diagnosis of Abnormally Invasive Placenta: Accreta, Increta, and Percreta Cases
Abstract
1. Introduction
2. Materials and Methods
2.1. Patients
2.2. RNA Isolation from Peripheral Blood Plasma
2.3. RNA Isolation from the Placental Tissue
2.4. Reverse Transcription and Quantitative Real-Time PCR
2.5. miRNA Deep Sequencing
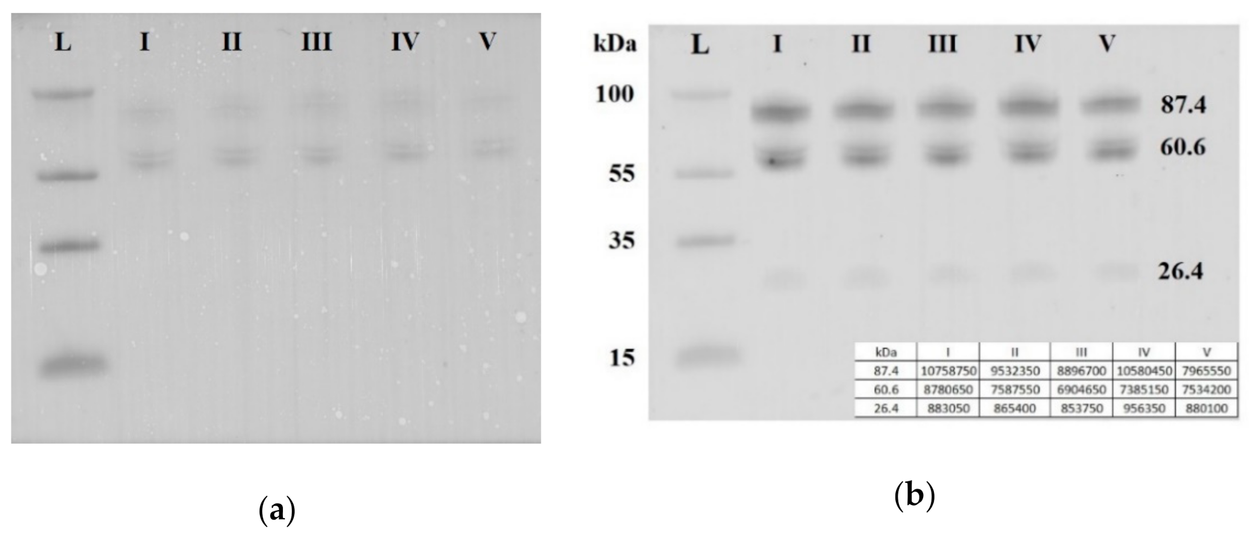
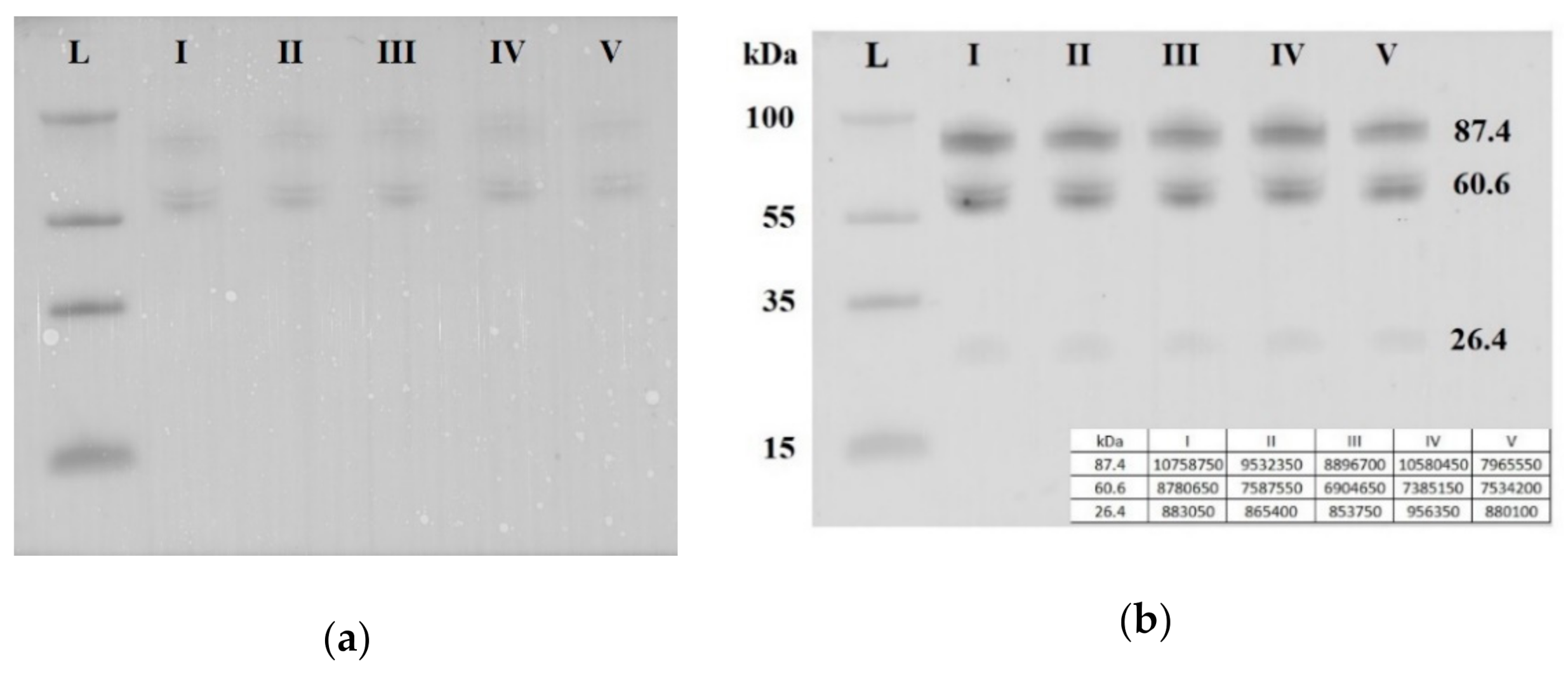
2.6. Western Blotting
2.7. Statistical Analysis of the Obtained Data
3. Results
3.1. Histological Analysis of the Placenta
3.2. Selection of miRNAs That Potentially Regulate E-Cadherin and Clusterin
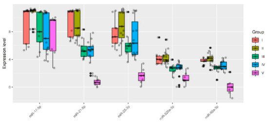
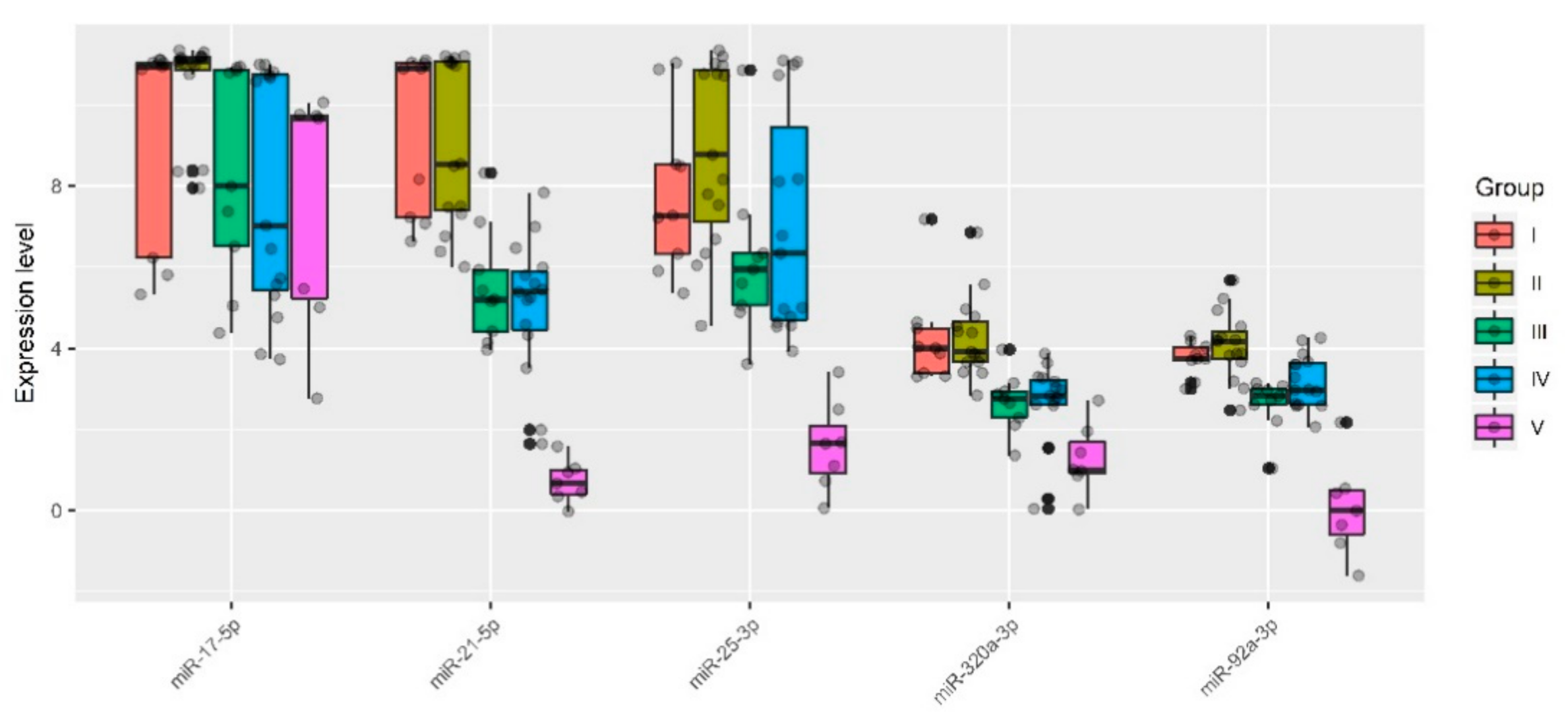
3.3. Quantitative RT-PCR Analysis of the Selected miRNAs
3.4. Deep Sequencing of miRNAs from Placenta Tissue Samples of Women in Groups III, IV, and V
3.5. Quantitative Analysis of Potential Targets of miRNAs—Participants in the EMT
3.5.1. E-Cadherin Quantitation in the Peripheral Blood Plasma of Pregnant Women
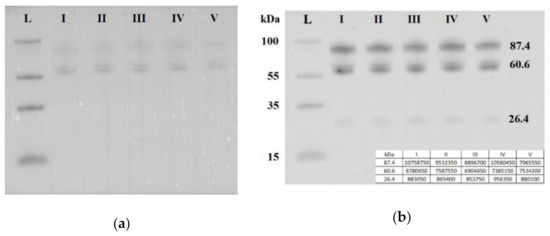
3.5.2. Quantitation of the Clusterin Secretory form in the Peripheral Blood Plasma of Pregnant Women
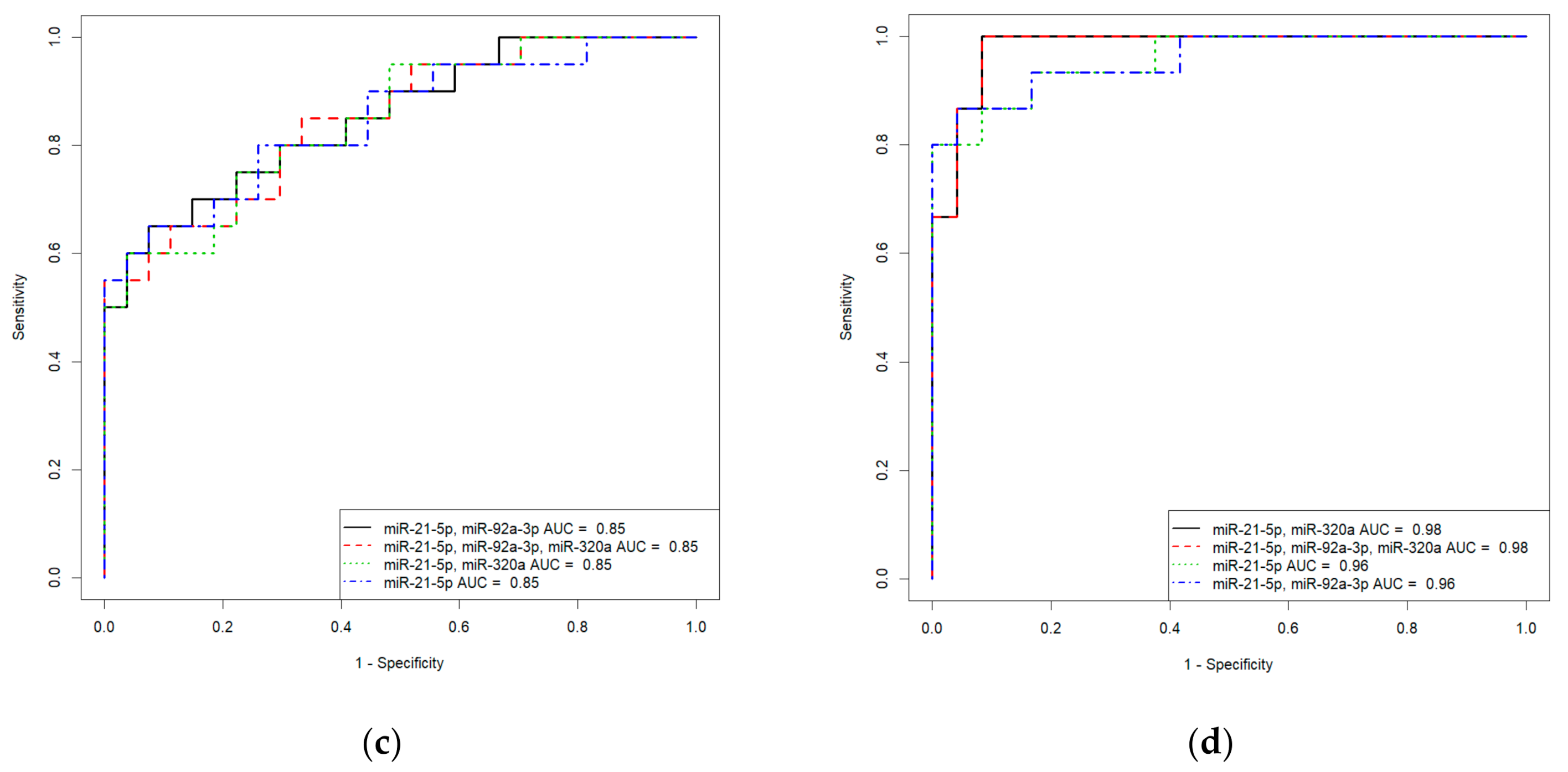
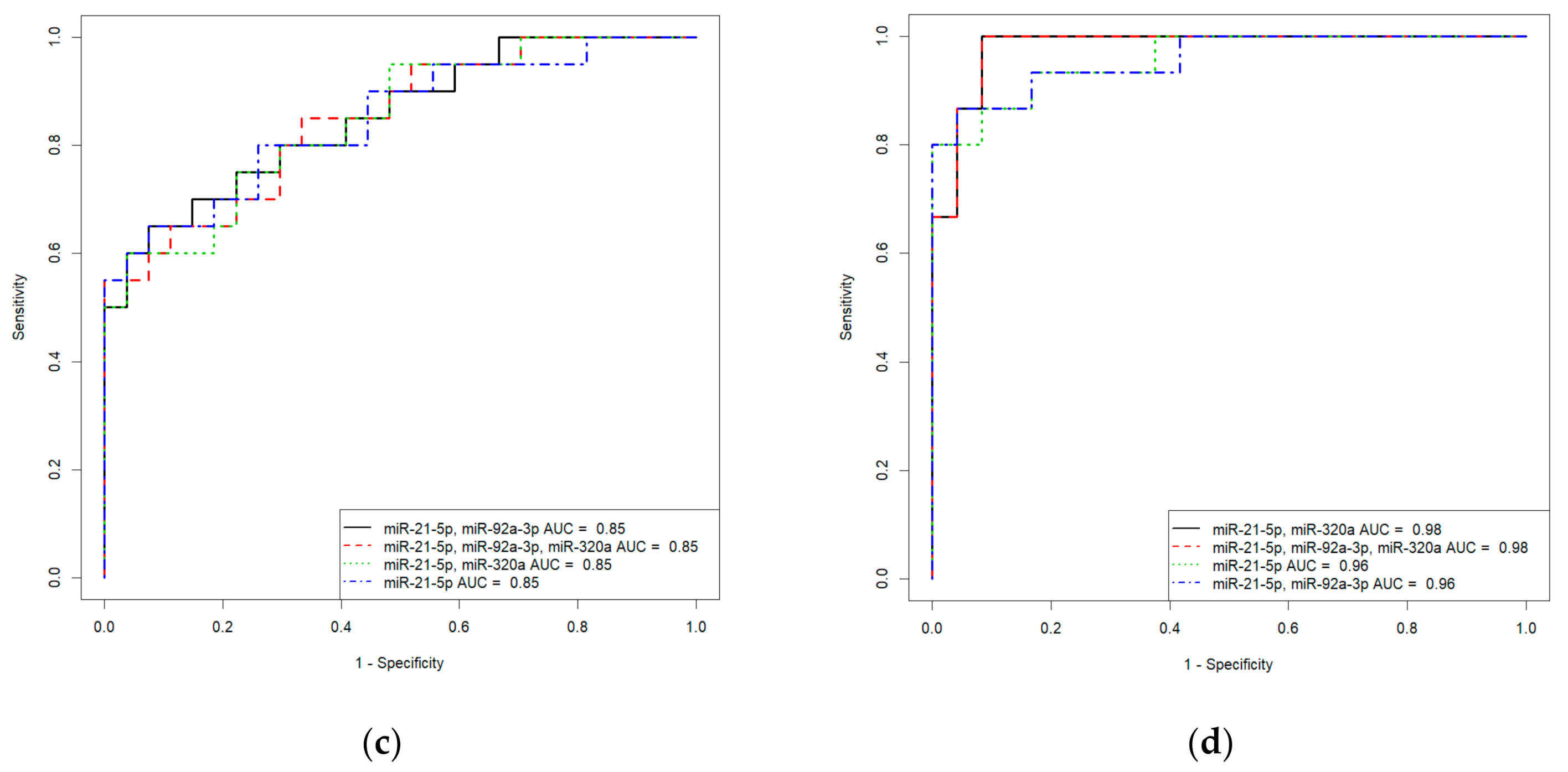
3.6. Development of Logistic Regression Models for Each form of AIP
4. Discussion
5. Conclusions
Supplementary Materials
Author Contributions
Funding
Institutional Review Board Statement
Informed Consent Statement
Data Availability Statement
Conflicts of Interest
References
- Silver, R.M. (Ed.) Placenta Accreta Syndrome; CRC Press: Boca Raton, FL, USA, 2017; ISBN 9781498745963. [Google Scholar]
- Tseng, J.J.; Chou, M.M. Differential expression of growth-, angiogenesis- and invasion-related factors in the development of placenta accreta. Taiwan. J. Obstet. Gynecol. 2006, 45, 100–106. [Google Scholar] [CrossRef]
- Tseng, J.J.; Hsu, S.L.; Wen, M.C.; Ho, E.S.C.; Chou, M.M. Expression of epidermal growth factor receptor and c-erbB-2 oncoprotein in trophoblast populations of placenta accreta. Am. J. Obstet. Gynecol. 2004, 191, 2106–2113. [Google Scholar] [CrossRef] [PubMed]
- Goh, W.; Yamamoto, S.Y.; Thompson, K.S.; Bryant-Greenwood, G.D. Relaxin, its rfeceptor (RXFP1), and insulin-like peptide 4 expression through gestation and in placenta accreta. Reprod. Sci. 2013, 20, 968–980. [Google Scholar] [CrossRef] [PubMed]
- Soyama, H.; Miyamoto, M.; Ishibashi, H.; Iwahashi, H.; Matsuura, H.; Kakimoto, S.; Suzuki, R.; Sakamoto, T.; Hada, T.; Takano, M. Placenta previa may acquire invasive nature by factors associated with epithelial-mesenchymal transition and matrix metalloproteinases. J. Obstet. Gynaecol. Res. 2020, 1–8. [Google Scholar] [CrossRef]
- Desai, N.; Krantz, D.; Roman, A.; Fleischer, A.; Boulis, S.; Rochelson, B. Elevated first trimester PAPP-A is associated with increased risk of placenta accreta. Prenat. Diagn. 2014, 34, 159–162. [Google Scholar] [CrossRef]
- Laursen, L.S.; Kjaer-Sorensen, K.; Andersen, M.H.; Oxvig, C. Regulation of insulin-like growth factor (IGF) bioactivity by sequential proteolytic cleavage of IGF binding protein-4 and -5. Mol. Endocrinol. 2007, 21, 1246–1257. [Google Scholar] [CrossRef] [PubMed]
- Giudice, L.C.; Conover, C.A.; Bale, L.; Faessen, G.H.; Ilg, K.; Sun, I.; Imani, B.; Suen, L.F.; Irwin, J.C.; Christiansen, M.; et al. Identification and regulation of the IGFBP-4 protease and its physiological inhibitor in human trophoblasts and endometrial stroma: Evidence for paracrine regulation of IGF-II bioavailability in the placental bed during human implantation. J. Clin. Endocrinol. Metab. 2002, 87, 2359–2366. [Google Scholar] [CrossRef] [PubMed]
- Jordan, N.V.; Johnson, G.L.; Abell, A.N. Tracking the intermediate stages of epithelial-mesenchymal transition in epithelial stem cells and cancer. Cell Cycle 2011, 10, 2865–2873. [Google Scholar] [CrossRef]
- Barbosa, C.C.; Calhoun, S.H.; Wieden, H. Non-coding RNAs: What are we missing? Biochem. Cell Biol. 2020, 98, 23–30. [Google Scholar] [CrossRef]
- Khan, S.; Ayub, H.; Khan, T.; Wahid, F. MicroRNA biogenesis, gene silencing mechanisms and role in breast, ovarian and prostate cancer. Biochimie 2019, 167, 12–24. [Google Scholar] [CrossRef]
- Lee, H.J. Additional stories of microRNAs. Exp. Biol. Med. 2014, 239, 1275–1279. [Google Scholar] [CrossRef]
- Denis, H.; Ndlovu, M.N.; Fuks, F. Regulation of mammalian DNA methyltransferases: A route to new mechanisms. EMBO Rep. 2011, 12, 647–656. [Google Scholar] [CrossRef]
- Arif, K.M.T.; Elliott, E.K.; Haupt, L.M.; Griffiths, L.R. Regulatory Mechanisms of Epigenetic miRNA Relationships in Human Cancer and Potential as Therapeutic Targets. Cancers 2020, 12, 2922. [Google Scholar] [CrossRef]
- Tang, L.; Chen, H.-Y.; Hao, N.-B.; Tang, B.; Guo, H.; Yong, X.; Dong, H.; Yang, S.-M. microRNA inhibitors: Natural and artificial sequestration of microRNA. Cancer Lett. 2017, 407, 139–147. [Google Scholar] [CrossRef]
- Garg, M. Targeting microRNAs in epithelial-to-mesenchymal transition-induced cancer stem cells: Therapeutic approaches in cancer. Expert Opin. Ther. Targets 2015, 19, 285–297. [Google Scholar] [CrossRef]
- Kalluri, R.; Weinberg, R.A. The basics of epithelial-mesenchymal transition. J. Clin. Investig. 2009, 119, 1420–1428. [Google Scholar] [CrossRef] [PubMed]
- Jauniaux, E.; Burton, G.J. Pathophysiology of placenta accreta spectrum disorders: A review of current findings. Clin. Obstet. Gynecol. 2018, 61, 743–754. [Google Scholar] [CrossRef] [PubMed]
- Duzyj, C.M.; Buhimschi, I.A.; Motawea, H.; Laky, C.A.; Cozzini, G.; Zhao, G.; Funai, E.F.; Buhimschi, C.S. The invasive phenotype of placenta accreta extravillous trophoblasts associates with loss of E-cadherin. Placenta 2015, 36, 645–651. [Google Scholar] [CrossRef]
- Peng, M.; Deng, J.; Zhou, S.; Tao, T.; Su, Q.; Yang, X.; Yang, X. The role of Clusterin in cancer metastasis. Cancer Manag. Res. 2019, 11, 2405–2414. [Google Scholar] [CrossRef] [PubMed]
- Wilson, M.R.; Zoubeidi, A. Clusterin as a therapeutic target. Expert Opin. Ther. Targets 2017, 21, 201–213. [Google Scholar] [CrossRef] [PubMed]
- Rodríguez-Rivera, C.; Garcia, M.M.; Molina-Álvarez, M.; González-Martín, C.; Goicoechea, C. Clusterin: Always protecting. Synthesis, function and potential issues. Biomed. Pharmacother. 2021, 134, 111174. [Google Scholar] [CrossRef] [PubMed]
- Satapathy, S.; Wilson, M.R. The Dual Roles of Clusterin in Extracellular and Intracellular Proteostasis. Trends Biochem. Sci. 2021. [Google Scholar] [CrossRef] [PubMed]
- Rohne, P.; Prochnow, H.; Koch-Brandt, C. The CLU-files: Disentanglement of a mystery. Biomol. Concepts 2016, 7, 1–15. [Google Scholar] [CrossRef] [PubMed]
- Rizzi, F.; Coletta, M.; Bettuzzi, S. Clusterin (CLU): From One Gene and Two Transcripts to Many Proteins, 1st ed.; Elsevier Inc.: Philadelphia, PA, USA, 2009; Volume 104. [Google Scholar]
- Pucci, S.; Bettuzzi, S. The Shifting Balance between CLU Forms during Tumor Progression, 1st ed.; Elsevier Inc.: Philadelphia, PA, USA, 2009; Volume 104. [Google Scholar]
- Tellez, T.; Garcia-Aranda, M.; Redondo, M. The Role of Clusterin in Carcinogenesis and its Potential Utility as Therapeutic Target. Curr. Med. Chem. 2016, 23, 4297–4308. [Google Scholar] [CrossRef] [PubMed]
- Pucci, S.; Mazzarelli, P.; Nucci, C.; Ricci, F.; Spagnoli, L.G. CLU “In and Out”: Looking for a Link. In Advances in Cancer Research; Academic Press: New York, NY, USA, 2009; Volume 105, pp. 93–113. ISBN 0065-230X. [Google Scholar]
- Massimiani, M.; Lacconi, V.; La Civita, F.; Ticconi, C.; Rago, R.; Campagnolo, L. Molecular Signaling Regulating Endometrium-Blastocyst Crosstalk. Int. J. Mol. Sci. 2019, 21, 23. [Google Scholar] [CrossRef]
- Shin, J.K.; Han, K.A.; Kang, M.Y.; Kim, Y.S.; Park, J.K.; Choi, W.J.; Lee, S.A.; Lee, J.H.; Choi, W.S.; Paik, W.Y. Expression of clusterin in normal and preeclamptic placentas. J. Obstet. Gynaecol. Res. 2008, 34, 473–479. [Google Scholar] [CrossRef]
- Watanabe, H.; Hamada, H.; Yamada, N.; Sohda, S.; Yamakawa-Kobayashi, K.; Yoshikawa, H.; Arinami, T. Proteome analysis reveals elevated serum levels of clusterin in patients with preeclampsia. Proteomics 2004, 4, 537–543. [Google Scholar] [CrossRef]
- Langmead, B.; Trapnell, C.; Pop, M.; Salzberg, S.L. Ultrafast and memory-efficient alignment of short DNA sequences to the human genome. Genome Biol. 2009, 10, 10. [Google Scholar] [CrossRef]
- Team, R.C. A Language and Environment for Statistical Computing. R Foundation for Statistical Computing, Vienna, Austria. Available online: https://www.r-project.org (accessed on 10 March 2021).
- Love, M.I.; Huber, W.; Anders, S. Moderated estimation of fold change and dispersion for RNA-seq data with DESeq2. Genome Biol. 2014, 15, 550. [Google Scholar] [CrossRef]
- Schägger, H. Tricine–SDS-PAGE. Nat. Protoc. 2006, 1, 16–23. [Google Scholar] [CrossRef]
- Team, R. RStudio: Integrated Development for R. RStudio. Available online: http://www.rstudio.com/ (accessed on 23 March 2021).
- McLaughlin, M.J.; Sainani, K.L. Bonferroni, Holm, and Hochberg corrections: Fun names, serious changes to p values. Phys. Med. Rehabil. 2014, 6, 544–546. [Google Scholar] [CrossRef] [PubMed]
- Wang, R.; Wang, G. Protein Modification and Autophagy Activation. Adv. Exp. Med. Biol. 2019, 1206, 237–259. [Google Scholar] [CrossRef] [PubMed]
- Yang, X.; Qian, K. Protein O-GlcNAcylation: Emerging mechanisms and functions. Nat. Rev. Mol. Cell Biol. 2017, 18, 452–465. [Google Scholar] [CrossRef]
- Tang, M.K.S.; Yue, P.Y.K.; Ip, P.P.; Huang, R.L.; Lai, H.C.; Cheung, A.N.Y.; Tse, K.Y.; Ngan, H.Y.S.; Wong, A.S.T. Soluble E-cadherin promotes tumor angiogenesis and localizes to exosome surface. Nat. Commun. 2018, 9, 1–15. [Google Scholar] [CrossRef] [PubMed]
- Tang, M.K.S.; Ip, P.P.; Wong, A.S.T. New insights into the role of soluble E-cadherin in tumor angiogenesis. Cell Stress 2018, 2, 236–238. [Google Scholar] [CrossRef] [PubMed]
- Theodoraki, M.-N.; Yerneni, S.S.; Brunner, C.; Theodorakis, J.; Hoffmann, T.K.; Whiteside, T.L. Plasma-derived Exosomes Reverse Epithelial-to-Mesenchymal Transition after Photodynamic Therapy of Patients with Head and Neck Cancer. Oncoscience 2018, 5, 75. [Google Scholar] [CrossRef]
- David, J.M.; Rajasekaran, A.K. Dishonorable discharge: The oncogenic roles of cleaved E-cadherin fragments. Cancer Res. 2012, 72, 2917–2923. [Google Scholar] [CrossRef]
- Christou, N.; Perraud, A.; Blondy, S.; Jauberteau, M.-O.; Battu, S.; Mathonnet, M. The extracellular domain of E cadherin linked to invasiveness in colorectal cancer: A new resistance and relapses monitoring serum-bio marker? J. Cancer Res. Clin. Oncol. 2017, 143, 1177–1190. [Google Scholar] [CrossRef]
- French, M.E.; Koehler, C.F.; Hunter, T. Emerging functions of branched ubiquitin chains. Cell Discov. 2021, 7, 6. [Google Scholar] [CrossRef]
- Madadi, S.; Schwarzenbach, H.; Lorenzen, J.; Soleimani, M. MicroRNA expression studies: Challenge of selecting reliable reference controls for data normalization. Cell. Mol. Life Sci. 2019, 76, 3497–3514. [Google Scholar] [CrossRef]
- Xie, H.A.N.; Qiao, P.; Lu, Y.I.; Li, Y.; Tang, Y. Increased expression of high mobility group box protein 1 and vascular endothelial growth factor in placenta previa. Mol. Med. Rep. 2017, 9051–9059. [Google Scholar] [CrossRef]
- Han, Q.; Zheng, L.; Liu, Z. Expression of b-catenin in human trophoblast and its role in placenta accreta and placenta previa. J. Int. Med. Res. 2019. [Google Scholar] [CrossRef]
- Bartels, H.C.; Postle, J.D.; Downey, P.; Brennan, D.J. Placenta Accreta Spectrum: A Review of Pathology, Molecular Biology, and Biomarkers. Dis. Markers 2018, 2018, 1507674. [Google Scholar] [CrossRef] [PubMed]
- Das, V.; Bhattacharya, S.; Chikkaputtaiah, C.; Hazra, S.; Pal, M. The basics of epithelial–mesenchymal transition (EMT): A study from a structure, dynamics, and functional perspective. J. Cell. Physiol. 2019, 234, 14535–14555. [Google Scholar] [CrossRef] [PubMed]
- Greening, D.W.; Gopal, S.K.; Mathias, R.A.; Liu, L.; Sheng, J.; Zhu, H.-J.; Simpson, R.J. Emerging roles of exosomes during epithelial-mesenchymal transition and cancer progression. Semin. Cell Dev. Biol. 2015, 40, 60–71. [Google Scholar] [CrossRef] [PubMed]
- Devaux, C.A.; Mezouar, S.; Mege, J.-L. The E-Cadherin Cleavage Associated to Pathogenic Bacteria Infections Can Favor Bacterial Invasion and Transmigration, Dysregulation of the Immune Response and Cancer Induction in Humans. Front. Microbiol. 2019, 10, 2598. [Google Scholar] [CrossRef] [PubMed]
- Grabowska, M.M.; Day, M.L. Soluble E-cadherin: More than a symptom of disease. Front. Biosci. Landmark Ed. 2012, 17, 1948–1964. [Google Scholar] [CrossRef] [PubMed]
- Ito, K.; Okamoto, I.; Araki, N.; Kawano, Y.; Nakao, M.; Fujiyama, S.; Tomita, K.; Mimori, T.; Saya, H. Calcium influx triggers the sequential proteolysis of extracellular and cytoplasmic domains of E-cadherin, leading to loss of beta-catenin from cell-cell contacts. Oncogene 1999, 18, 7080–7090. [Google Scholar] [CrossRef]
- Marambaud, P.; Shioi, J.; Serban, G.; Georgakopoulos, A.; Sarner, S.; Nagy, V.; Baki, L.; Wen, P.; Efthimiopoulos, S.; Shao, Z.; et al. A presenilin-1/gamma-secretase cleavage releases the E-cadherin intracellular domain and regulates disassembly of adherens junctions. EMBO J. 2002, 21, 1948–1956. [Google Scholar] [CrossRef]
- Steinhusen, U.; Weiske, J.; Badock, V.; Tauber, R.; Bommert, K.; Huber, O. Cleavage and shedding of E-cadherin after induction of apoptosis. J. Biol. Chem. 2001, 276, 4972–4980. [Google Scholar] [CrossRef]
- Mayerle, J.; Schnekenburger, J.; Krüger, B.; Kellermann, J.; Ruthenbürger, M.; Weiss, F.U.; Nalli, A.; Domschke, W.; Lerch, M.M. Extracellular cleavage of E-cadherin by leukocyte elastase during acute experimental pancreatitis in rats. Gastroenterology 2005, 129, 1251–1267. [Google Scholar] [CrossRef]
- Loh, C.-Y.; Chai, J.Y.; Tang, T.F.; Wong, W.F.; Sethi, G.; Shanmugam, M.K.; Chong, P.P.; Looi, C.Y. The E-Cadherin and N-Cadherin Switch in Epithelial-to-Mesenchymal Transition: Signaling, Therapeutic Implications, and Challenges. Cells 2019, 8, 1118. [Google Scholar] [CrossRef]
- Hall, M.K.; Weidner, D.A.; Dayal, S.; Schwalbe, R.A. Cell surface N-glycans influence the level of functional E-cadherin at the cell-cell border. FEBS Open Bio 2014, 4, 892–897. [Google Scholar] [CrossRef]
- Chen, A.; Beetham, H.; Black, M.A.; Priya, R.; Telford, B.J.; Guest, J.; Wiggins, G.A.R.; Godwin, T.D.; Yap, A.S.; Guilford, P.J. E-cadherin loss alters cytoskeletal organization and adhesion in non-malignant breast cells but is insufficient to induce an epithelial-mesenchymal transition. BMC Cancer 2014, 14, 552. [Google Scholar] [CrossRef]
- Hollestelle, A.; Peeters, J.K.; Smid, M.; Timmermans, M.; Verhoog, L.C.; Westenend, P.J.; Heine, A.A.J.; Chan, A.; Sieuwerts, A.M.; Wiemer, E.A.C.; et al. Loss of E-cadherin is not a necessity for epithelial to mesenchymal transition in human breast cancer. Breast Cancer Res. Treat. 2013, 138, 47–57. [Google Scholar] [CrossRef] [PubMed]
- Shannan, B.; Seifert, M.; Leskov, K.; Willis, J.; Boothman, D.; Tilgen, W.; Reichrath, J. Challenge and promise: Roles for clusterin in pathogenesis, progression and therapy of cancer. Cell Death Differ. 2006, 13, 12–19. [Google Scholar] [CrossRef] [PubMed]
- Pucci, S.; Bonanno, E.; Pichiorri, F.; Angeloni, C.; Spagnoli, L.G. Modulation of different clusterin isoforms in human colon tumorigenesis. Oncogene 2004, 23, 2298–2304. [Google Scholar] [CrossRef] [PubMed]
- Criswell, T.; Klokov, D.; Beman, M.; Lavik, J.P.; Boothman, D.A. Repression of IR-inducible clusterin expression by the p53 tumor suppressor protein. Cancer Biol. Ther. 2003, 2, 372–380. [Google Scholar] [CrossRef] [PubMed]
- Cervellera, M.; Raschella, G.; Santilli, G.; Tanno, B.; Ventura, A.; Mancini, C.; Sevignani, C.; Calabretta, B.; Sala, A. Direct transactivation of the anti-apoptotic gene apolipoprotein J (clusterin) by B-MYB. J. Biol. Chem. 2000, 275, 21055–21060. [Google Scholar] [CrossRef]
- Santilli, G.; Aronow, B.J.; Sala, A. Essential requirement of apolipoprotein J (clusterin) signaling for IkappaB expression and regulation of NF-kappaB activity. J. Biol. Chem. 2003, 278, 38214–38219. [Google Scholar] [CrossRef]
- Shen, K.-H.; Liao, A.C.-H.; Hung, J.-H.; Lee, W.-J.; Hu, K.-C.; Lin, P.-T.; Liao, R.-F.; Chen, P.-S. α-Solanine inhibits invasion of human prostate cancer cell by suppressing epithelial-mesenchymal transition and MMPs expression. Molecules 2014, 19, 11896–11914. [Google Scholar] [CrossRef] [PubMed]
- Hu, J.L.; Wang, W.; Lan, X.L.; Zeng, Z.C.; Liang, Y.S.; Yan, Y.R.; Song, F.Y.; Wang, F.F.; Zhu, X.H.; Liao, W.J.; et al. CAFs secreted exosomes promote metastasis and chemotherapy resistance by enhancing cell stemness and epithelial-mesenchymal transition in colorectal cancer. Mol. Cancer 2019, 18, 91. [Google Scholar] [CrossRef]
- Yang, B.; Feng, X.; Liu, H.; Tong, R.; Wu, J.; Li, C.; Yu, H.; Chen, Y.; Cheng, Q.; Chen, J.; et al. High-metastatic cancer cells derived exosomal miR92a-3p promotes epithelial-mesenchymal transition and metastasis of low-metastatic cancer cells by regulating PTEN/Akt pathway in hepatocellular carcinoma. Oncogene 2020, 39, 6529–6543. [Google Scholar] [CrossRef] [PubMed]
- Wan, W.; Wan, W.; Long, Y.; Li, Q.; Jin, X.; Wan, G.; Zhang, F.; Lv, Y.; Zheng, G.; Li, Z.; et al. MiR-25-3p promotes malignant phenotypes of retinoblastoma by regulating PTEN/Akt pathway. Biomed. Pharmacother. 2019, 118, 109111. [Google Scholar] [CrossRef]
- Konoshenko, M.; Sagaradze, G.; Orlova, E.; Shtam, T.; Proskura, K.; Kamyshinsky, R.; Yunusova, N.; Alexandrova, A.; Efimenko, A.; Tamkovich, S. Total Blood Exosomes in Breast Cancer: Potential Role in Crucial Steps of Tumorigenesis. Int. J. Mol. Sci. 2020, 21, 7341. [Google Scholar] [CrossRef] [PubMed]
- Xu, P.; Zhao, Y.; Liu, M.; Wang, Y.; Wang, H.; Li, Y.; Zhu, X.; Yao, Y.; Wang, H.; Qiao, J.; et al. Variations of MicroRNAs in Human Placentas and Plasma From Preeclamptic Pregnancy. Hypertension 2014, 63, 1276–1284. [Google Scholar] [CrossRef]
- Choi, S.-Y.; Yun, J.; Lee, O.-J.; Han, H.-S.; Yeo, M.-K.; Lee, M.-A.; Suh, K.-S. MicroRNA expression profiles in placenta with severe preeclampsia using a PNA-based microarray. Placenta 2013, 34, 799–804. [Google Scholar] [CrossRef]
- Xie, N.; Jia, Z.; Li, L. miR-320a upregulation contributes to the development of preeclampsia by inhibiting the growth and invasion of trophoblast cells by targeting interleukin 4. Mol. Med. Rep. 2019. [Google Scholar] [CrossRef]
- Jauniaux, E.; Kingdom, J.C.; Silver, R.M. A comparison of recent guidelines in the diagnosis and management of placenta accreta spectrum disorders. Best Pract. Res. Clin. Obstet. Gynaecol. 2020. [Google Scholar] [CrossRef]
- Chen, S.; Pang, D.; Li, Y.; Zhou, J.; Liu, Y.; Yang, S.; Liang, K.; Yu, B. Serum miRNA biomarker discovery for placenta accreta spectrum. Placenta 2020, 101, 215–220. [Google Scholar] [CrossRef]









| Group of Pregnant Women 1 | AIP | Scar on the Uterus | Placenta Previa | Age 2 | Number of Pregnancies in History 2 | Number of Previous Cesarean Sections 2 |
|---|---|---|---|---|---|---|
| I (n = 10) | abs | yes | no | 36.5 (33; 39) | 3 (3; 3.8) | 1 (1; 1.8) |
| IIa (n = 9) | abs | no | yes | 36 (36; 39) | 3 (1; 3) | 0 (0; 0) ** |
| IIb (n = 8) | abs | yes | yes | 37.5 (34; 38.3) | 3 (2.8; 6.3) | 2 (1; 2.3) |
| III (n = 10) | accreta | yes | yes | 34 (33; 35.8) | 4 (3.3; 5) | 2 (2; 3) * |
| IV (n = 20) | increta | yes | yes | 33 (29.5; 36.3) | 4 (3; 5) | 2 (1; 2) |
| V (n = 7) | percreta | yes | yes | 33 (32; 33) | 4 (2.5; 4) | 2 (1.5; 2) |
| miRNA | miRNA Gene Target | miRNA Accession Number (miRBase) | Nucleotide Sequence of Sense Primer for PCR, 5′-3′ | PCR Primers Annealing Temperature, ℃ |
|---|---|---|---|---|
| miR-320a-3p | CDH, CLU | MIMAT0000510 | aaaagctgggttgagagggcga | 59.5 |
| miR-17-5p | CDH, CLU | MIMAT0000070 | caaagtgcttacagtgcaggtag | 55 |
| miR-21-5p | CDH, CLU | MIMAT0000076 | tagcttatcagactgatgttga | 54.6 |
| miR-1323 | CDH, CLU | MIMAT0005795 | tcaaaactgaggggcattttct | 51 |
| miR-25-3p | CDH, CLU | MIMAT0000081 | cattgcacttgtctcggtctga | 56 |
| miR-138-5p | CDH, CLU | MIMAT0000430 | agctggtgttgtgaatcaggccg | 54.6 |
| miR-34a-5p | CDH, CLU | MIMAT0000255 | tggcagtgtcttagctggttgt | 51.3 |
| miR-92a-3p | CDH, CLU | MIMAT0000092 | tattgcacttgtcccggcctgt | 60 |
| miR-30a-5p | CLU | MIMAT0000087 | tgtaaacatcctcgactggaag | 54.6 |
| miR-30c-5p | CLU | MIMAT0000244 | tgtaaacatcctacactctcagc | 49.1 |
| miR-371a-5p | CDH | MIMAT0004687 | actcaaactgtgggggcact | 54.6 |
| miR-506-3p | CDH | MIMAT0002878 | taaggcacccttctgagtaga | 51.3 |
| miR-382-5p | endogenous control for PCR | MIMAT0000737 | gaagttgttcgtggtggattcg | 49.1 |
| miRNA | Group | Ме | Q1 | Q3 | Mann–Whitney Test, p-Value | Bonferroni Adjustments for 20 Tests (5 miRNAs & 4 Comparisons), p-Value |
|---|---|---|---|---|---|---|
| miR-17-5p | I | 10.95 | 6.23 | 11.04 | ||
| miR-17-5p | IIa + IIb | 11.07 | 10.87 | 11.19 | 0.055163 | 1 |
| miR-17-5p | III | 8 | 6.51 | 10.85 | 0.135911 | 1 |
| miR-17-5p | IV | 7.02 | 5.44 | 10.75 | 0.040858 | 0.81716 |
| miR-17-5p | V | 9.67 | 5.24 | 9.75 | 0.054895 | 1 |
| miR-21-5p | I | 10.89 | 7.23 | 11.03 | ||
| miR-21-5p | IIa + IIb | 8.55 | 7.4 | 11.06 | 0.725852 | 1 |
| miR-21-5p | III | 5.2 | 4.42 | 5.93 | <0.0001 | 0.0198 |
| miR-21-5p | IV | 5.39 | 4.46 | 5.89 | <0.0001 | <0.0001 |
| miR-21-5p | V | 0.67 | 0.4 | 0.99 | 0.000175 | 0.0035 |
| miR-25-3p | I | 7.28 | 6.33 | 8.53 | ||
| miR-25-3p | IIa + IIb | 8.77 | 7.11 | 10.87 | 0.317547 | 1 |
| miR-25-3p | III | 5.94 | 5.06 | 6.35 | 0.077005 | 1 |
| miR-25-3p | IV | 6.34 | 4.71 | 9.45 | 0.289503 | 1 |
| miR-25-3p | V | 1.65 | 0.91 | 2.09 | 0.000175 | 0.0035 |
| miR-320a-3p | I | 4 | 3.39 | 4.49 | ||
| miR-320a-3p | IIa + IIb | 3.91 | 3.66 | 4.66 | 0.815253 | 1 |
| miR-320a-3p | III | 2.75 | 2.29 | 2.94 | 0.000494 | 0.00988 |
| miR-320a-3p | IV | 2.84 | 2.6 | 3.22 | <0.0001 | 0.00092 |
| miR-320a-3p | V | 1.01 | 0.92 | 1.69 | 0.000175 | 0.0035 |
| miR-92a-3p | I | 3.74 | 3.71 | 4.04 | ||
| miR-92a-3p | IIa + IIb | 4.17 | 3.75 | 4.4 | 0.215228 | 1 |
| miR-92a-3p | III | 2.82 | 2.61 | 3 | 0.000165 | 0.0033 |
| miR-92a-3p | IV | 2.98 | 2.62 | 3.64 | 0.025147 | 0.50294 |
| miR-92a-3p | V | −0.01 | −0.58 | 0.48 | 0.000175 | 0.0035 |
| miRNA | I vs. II, Mann–Whitney Test, p-Value | Order | Holm–Bonferroni Test, p-Value | Significance 1 |
| miR-17-5p | 0.05516 | 1 | 0.01000 | 0 |
| miR-92a-3p | 0.21523 | 2 | 0.01250 | 0 |
| miR-25-3p | 0.31755 | 3 | 0.01667 | 0 |
| miR-21-5p | 0.72585 | 4 | 0.02500 | 0 |
| miR-320a-3p | 0.81525 | 5 | 0.05000 | 0 |
| miRNA | I vs. III, Mann–Whitney Test, p-Value | Order | Holm–Bonferroni Test, p-Value | Significance 1 |
| miR-21-5p | 0.0001 | 1 | 0.01000 | 1 |
| miR-92a-3p | 0.0002 | 2 | 0.01250 | 1 |
| miR-320a-3p | 0.0005 | 3 | 0.01667 | 1 |
| miR-25-3p | 0.0770 | 4 | 0.02500 | 0 |
| miR-17-5p | 0.1359 | 5 | 0.05000 | 0 |
| miRNA | I vs. IV, Mann–Whitney Test, p-Value | Order | Holm–Bonferroni Test, p-Value | Significance 1 |
| miR-21-5p | 0.00010 | 1 | 0.01000 | 1 |
| miR-320a-3p | 0.00010 | 2 | 0.01250 | 1 |
| miR-92a-3p | 0.02515 | 3 | 0.01667 | 0 |
| miR-17-5p | 0.04086 | 4 | 0.02500 | 0 |
| miR-25-3p | 0.28950 | 5 | 0.05000 | 0 |
| miRNA | I vs. V, Mann–Whitney Test, p-Value | Order | Holm–Bonferroni Test, p-Value | Significance 1 |
| miR-21-5p | 0.00018 | 1 | 0.01000 | 1 |
| miR-92a-3p | 0.00018 | 2 | 0.01250 | 1 |
| miR-320a-3p | 0.00018 | 3 | 0.01667 | 1 |
| miR-25-3p | 0.00018 | 4 | 0.02500 | 1 |
| miR-17-5p | 0.05490 | 5 | 0.05000 | 0 |
| miRNA | Group | Ме | Q1 | Q3 | Mann–Whitney Test, p-Value | Bonferroni Adjustments for 15 Tests (5 miRNAs & 3 Comparisons) |
|---|---|---|---|---|---|---|
| miR-17-5p | IIa + IIb | 11.07 | 10.87 | 11.19 | ||
| miR-17-5p | III | 8 | 6.51 | 10.85 | 0.00167 | 0.02499 |
| miR-17-5p | IV | 7.02 | 5.44 | 10.75 | 0.00014 | 0.0021 |
| miR-17-5p | V | 9.67 | 5.24 | 9.75 | 0.00289 | 0.043275 |
| miR-21-5p | IIa + IIb | 8.55 | 7.4 | 11.06 | ||
| miR-21-5p | III | 5.2 | 4.42 | 5.93 | 0.00015 | 0.00222 |
| miR-21-5p | IV | 5.39 | 4.46 | 5.89 | <0.0001 | <0.0001 |
| miR-21-5p | V | 0.67 | 0.4 | 0.99 | <0.0001 | <0.0001 |
| miR-25-3p | IIa + IIb | 8.77 | 7.11 | 10.87 | ||
| miR-25-3p | III | 5.94 | 5.06 | 6.35 | 0.00826 | 0.12383 |
| miR-25-3p | IV | 6.34 | 4.71 | 9.45 | 0.08920 | 1 |
| miR-25-3p | V | 1.65 | 0.91 | 2.09 | <0.0001 | 0.00117 |
| miR-320a-3p | IIa + IIb | 3.91 | 3.66 | 4.66 | ||
| miR-320a-3p | III | 2.75 | 2.29 | 2.94 | 0.00029 | 0.00441 |
| miR-320a-3p | IV | 2.84 | 2.6 | 3.22 | <0.0001 | 0.00396 |
| miR-320a-3p | V | 1.01 | 0.92 | 1.69 | <0.0001 | <0.0001 |
| miR-92a-3p | IIa + IIb | 4.17 | 10.87 | 11.19 | ||
| miR-92a-3p | III | 2.82 | 6.51 | 10.85 | 0.00015 | 0.00222 |
| miR-92a-3p | IV | 11.07 | 5.44 | 10.75 | 0.00316 | 0.04733 |
| miR-92a-3p | V | 8 | 5.24 | 9.75 | <0.0001 | 0.00093 |
| miRNA | II vs. III, Mann–Whitney Test, p-Value | Order | Holm–Bonferroni Test, p-Value | Significance |
| miR-21-5p | 0.00015 | 1 | 0.01 | 1 |
| miR-92a-3p | 0.00015 | 2 | 0.0125 | 1 |
| miR-320a-3p | 0.00029 | 3 | 0.01667 | 1 |
| miR-25-3p | 0.00826 | 4 | 0.025 | 1 |
| miR-17-5p | 0.00167 | 5 | 0.05 | 1 |
| miRNA | II vs. IV, Mann–Whitney Test, p-Value | Order | Holm–Bonferroni Test, p-Value | Significance |
| miR-21-5p | <0.0001 | 1 | 0.01 | 1 |
| miR-320a-3p | <0.0001 | 2 | 0.0125 | 1 |
| miR-17-5p | 0.00014 | 3 | 0.01667 | 1 |
| miR-92a-3p | 0.00316 | 4 | 0.025 | 1 |
| miR-25-3p | 0.08920 | 5 | 0.05 | 0 |
| miRNA | II vs. V, Mann–Whitney Test, p-Value | Order | Holm–Bonferroni test, p-Value | Significance |
| miR-21-5p | <0.0001 | 1 | 0.01 | 1 |
| miR-320a-3p | <0.0001 | 2 | 0.0125 | 1 |
| miR-92a-3p | <0.0001 | 3 | 0.01667 | 1 |
| miR-25-3p | <0.0001 | 4 | 0.025 | 1 |
| miR-17-5p | 0.00289 | 5 | 0.05 | 1 |
| miRNA 1 | III_P1 | III_P2 | III_P3 | IV_P4 | IV_P5 | IV_P8 | V_P6 | V_P7 | FC (IV/III) | FC (V/III) | p (IV vs. III) | p (V vs. III) | |
|---|---|---|---|---|---|---|---|---|---|---|---|---|---|
| miR-17-5p | 255 | 255 | 328 | 268 | 1000 | 1287 | 1734 | 1567 | 3.9 | 6.5 | 0.026 | <0.001 | |
| miR-21-5p | 18,635 | 11,690 | 8478 | 6522 | 12,449 | 16,980 | 23,703 | 25,653 | 1.1 | 2.1 | 0.851 | 0.030 | |
| miR-25-3p | 2988 | 1954 | 1830 | 1280 | 47,991 | 82,556 | 75,469 | 108,393 | 24.6 | 47.0 | <0.001 | <0.001 | |
| miR-92a-3p | 19,470 | 19,215 | 34,320 | 23,702 | 453,638 | 590,837 | 857,646 | 911,579 | 23.3 | 45.4 | <0.001 | <0.001 | |
| miR-320a-3p | 10,183 | 11,134 | 11,309 | 14,033 | 19,978 | 21,489 | 39,849 | 33,092 | 1.8 | 3.3 | 0.023 | <0.001 | |
| miRNA 1 | III_N1 | III_N2 | III_N3 | IV_N4 | IV_N5 | IV_N8 | V_N6 | V_N7 | FC (IV/III) | FC (V/III) | p (IV vs. III) | p (V vs. III) |
|---|---|---|---|---|---|---|---|---|---|---|---|---|
| miR-17-5p | 301 | 218 | 212 | 208 | 741 | 1122 | 767 | 389 | 3.4 | 2.7 | 0.104 | 0.048 |
| miR-21-5p | 8290 | 6505 | 6265 | 11,066 | 17,856 | 15,617 | 26,978 | 7142 | 2.4 | 2.6 | 0.158 | 0.064 |
| miR-25-3p | 2451 | 1716 | 1222 | 1211 | 40,054 | 84,350 | 49,601 | 2940 | 23.3 | 15.3 | <0.001 | <0.001 |
| miR-92a-3p | 15,612 | 18,053 | 27,168 | 22,394 | 288,269 | 722,332 | 647,513 | 14,940 | 16.0 | 18.3 | <0.001 | 0.002 |
| miR-320a-3p | 6485 | 8611 | 10,781 | 15,287 | 30,893 | 22,918 | 29,831 | 5513 | 2.7 | 2.1 | 0.075 | 0.191 |
| I | II | III | IV | V | |
|---|---|---|---|---|---|
| Me | 1.13727 | 1.55384 | 0.70564 | 0.62291 | 0.54514 |
| stdev | 0.21091 | 0.69933 | 0.11278 | 0.09199 | 0.21387 |
| p * | 0.06561 | <0.001 | <0.001 | <0.001 | |
| p ** | 0.00405 | 0.00222 | 0.00167 |
| Biomarker | AUC | Sp | Se | Cutoff | i | К |
|---|---|---|---|---|---|---|
| Placenta accreta | ||||||
| “Clusterin” | 1 | 1 | 1 | 0.5 | 1832.89 | −2232.65 |
| “miR-21-5p + miR-92a-3p + miR-320a-3р” | 1 | 1 | 1 | 0.5 | 4526.11 | −141.53 −868.31 −244.95 |
| “miR-21-5p + miR-92a-3p” | 0.995 | 1 | 1 | 0.262 | 64.43 | −3.32 −13.08 |
| “miR-92a-3p + miR-320a-3p” | 0.986 | 0.958 | 1 | 0.275 | 22.9 | −4.02 −3.25 |
| “miR-21-5p + miR-320a-3р” | 0.958 | 1 | 0.888 | 0.425 | 11.39 | −0.66 −2.19 |
| Placenta increta | ||||||
| “Clusterin” | 1 | 1 | 1 | 0.5 | 287.91 | −372.61 |
| “miR-21-5p + miR-320a-3p” | 0.981 | 0.958 | 1 | 0.263 | 16.70 | −1.25 −2.41 |
| “miR-21-5p + miR-92a-3p + miR-320a-3р” | 0.981 | 0.916 | 1 | 0.277 | 16.96 | −1.24 −0.16 −2.34 |
| “miR-21-5p” | 0.958 | 1 | 0.933 | 0.73 | 12.35 | −1.89 |
| “miR-21-5p + miR-92a-3p” | 0.958 | 1 | 0.933 | 0.545 | 15.59 | −1.68 −1.25 |
| Placenta percreta | ||||||
| “miR-320a-3p” | 1 | 1 | 1 | 0.5 | 828.41 | −298.44 |
Publisher’s Note: MDPI stays neutral with regard to jurisdictional claims in published maps and institutional affiliations. |
© 2021 by the authors. Licensee MDPI, Basel, Switzerland. This article is an open access article distributed under the terms and conditions of the Creative Commons Attribution (CC BY) license (http://creativecommons.org/licenses/by/4.0/).
Share and Cite
Timofeeva, A.V.; Fedorov, I.S.; Pirogova, M.M.; Vasilchenko, O.N.; Chagovets, V.V.; Ezhova, L.S.; Zabelina, T.M.; Shmakov, R.G.; Sukhikh, G.T. Clusterin and Its Potential Regulatory microRNAs as a Part of Secretome for the Diagnosis of Abnormally Invasive Placenta: Accreta, Increta, and Percreta Cases. Life 2021, 11, 270. https://doi.org/10.3390/life11040270
Timofeeva AV, Fedorov IS, Pirogova MM, Vasilchenko ON, Chagovets VV, Ezhova LS, Zabelina TM, Shmakov RG, Sukhikh GT. Clusterin and Its Potential Regulatory microRNAs as a Part of Secretome for the Diagnosis of Abnormally Invasive Placenta: Accreta, Increta, and Percreta Cases. Life. 2021; 11(4):270. https://doi.org/10.3390/life11040270
Chicago/Turabian StyleTimofeeva, Angelika V., Ivan S. Fedorov, Mariya M. Pirogova, Oksana N. Vasilchenko, Vitaliy V. Chagovets, Larisa S. Ezhova, Tatiana M. Zabelina, Roman G. Shmakov, and Gennadiy T. Sukhikh. 2021. "Clusterin and Its Potential Regulatory microRNAs as a Part of Secretome for the Diagnosis of Abnormally Invasive Placenta: Accreta, Increta, and Percreta Cases" Life 11, no. 4: 270. https://doi.org/10.3390/life11040270
APA StyleTimofeeva, A. V., Fedorov, I. S., Pirogova, M. M., Vasilchenko, O. N., Chagovets, V. V., Ezhova, L. S., Zabelina, T. M., Shmakov, R. G., & Sukhikh, G. T. (2021). Clusterin and Its Potential Regulatory microRNAs as a Part of Secretome for the Diagnosis of Abnormally Invasive Placenta: Accreta, Increta, and Percreta Cases. Life, 11(4), 270. https://doi.org/10.3390/life11040270

