Management of Patellar Chondral Defects with Autologous Matrix Induced Chondrogenesis (AMIC) Compared to Microfractures: A Four Years Follow-Up Clinical Trial
Abstract
1. Introduction
2. Material and Methods
2.1. Patients Recruitment
2.2. Surgical Technique
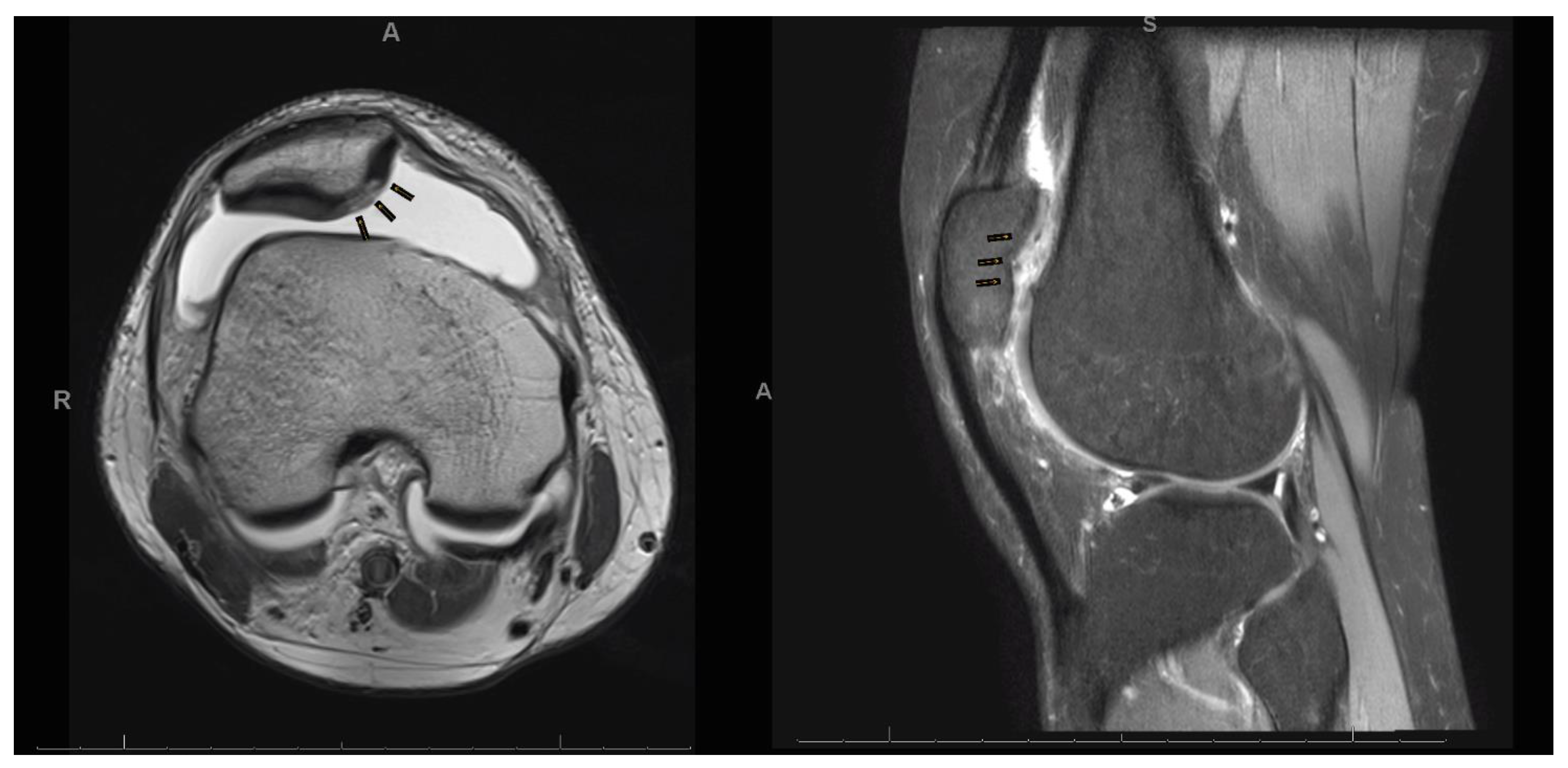
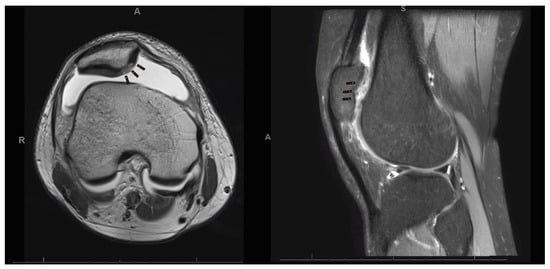
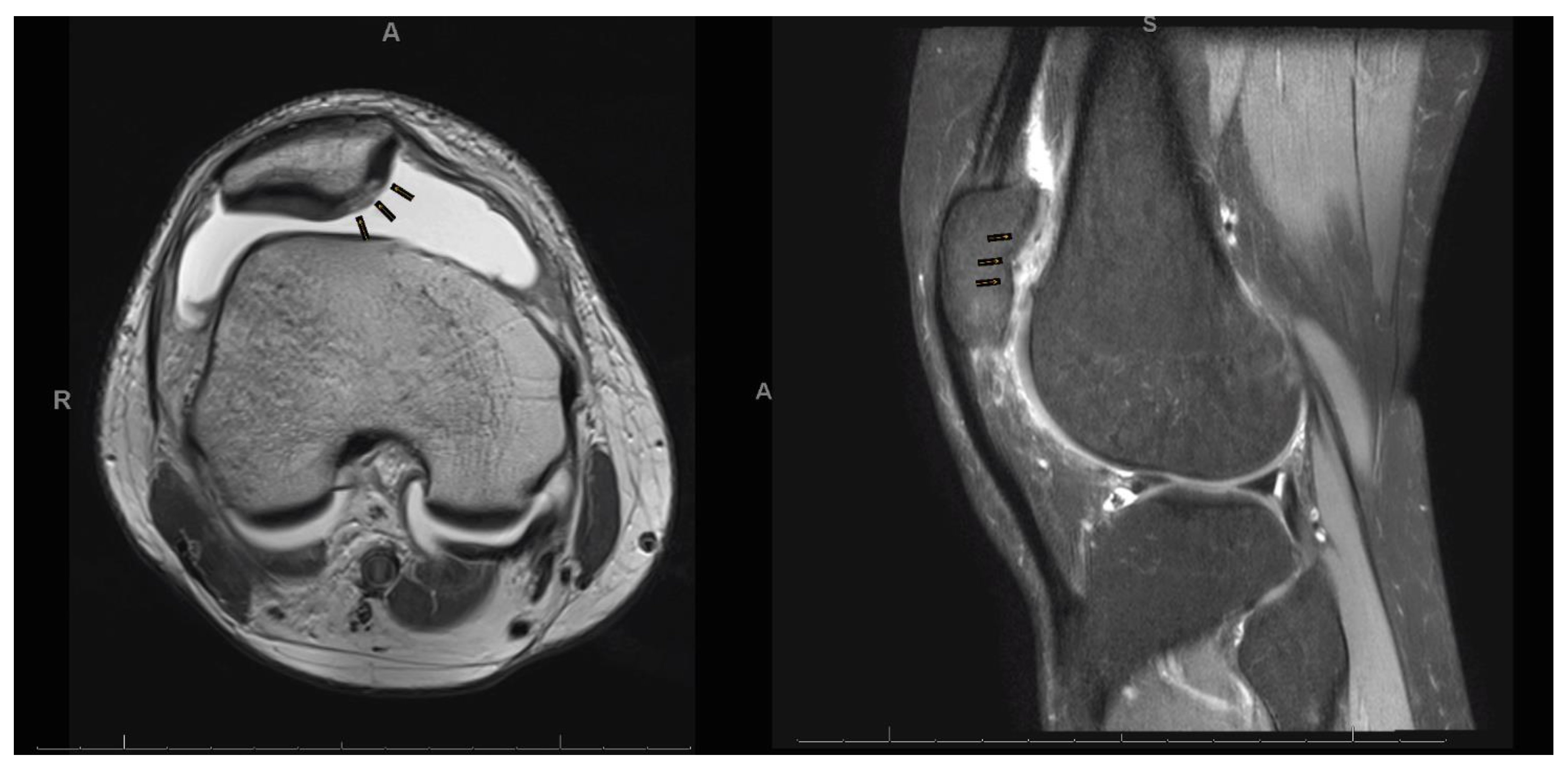
2.3. Outcomes of Interest
2.4. Statistical Analysis
3. Results
3.1. Recruitment Process
3.2. Patients Demographics
3.3. Outcomes of Interest
3.4. Complication
4. Discussion
5. Conclusions
Author Contributions
Funding
Institutional Review Board Statement
Informed Consent Statement
Data Availability Statement
Acknowledgments
Conflicts of Interest
References
- Aroen, A.; Loken, S.; Heir, S.; Alvik, E.; Ekeland, A.; Granlund, O.G.; Engebretsen, L. Articular cartilage lesions in 993 consecutive knee arthroscopies. Am. J. Sports Med. 2004, 32, 211–215. [Google Scholar] [CrossRef]
- Migliorini, F.; Berton, A.; Salvatore, G.; Candela, V.; Khan, W.; Longo, U.G.; Denaro, V. Autologous Chondrocyte Implantation and Mesenchymal Stem Cells for the Treatments of Chondral Defects Of The Knee- A Systematic Review. Curr. Stem Cell Res. Ther. 2020, 15, 547–556. [Google Scholar] [CrossRef] [PubMed]
- Heir, S.; Nerhus, T.K.; Rotterud, J.H.; Loken, S.; Ekeland, A.; Engebretsen, L.; Aroen, A. Focal cartilage defects in the knee impair quality of life as much as severe osteoarthritis: A comparison of knee injury and osteoarthritis outcome score in 4 patient categories scheduled for knee surgery. Am. J. Sports Med. 2010, 38, 231–237. [Google Scholar] [CrossRef]
- Filardo, G.; Kon, E.; Berruto, M.; Di Martino, A.; Patella, S.; Marcheggiani Muccioli, G.M.; Zaffagnini, S.; Marcacci, M. Arthroscopic second generation autologous chondrocytes implantation associated with bone grafting for the treatment of knee osteochondritis dissecans: Results at 6 years. Knee 2012, 19, 658–663. [Google Scholar] [CrossRef]
- Bertho, P.; Pauvert, A.; Pouderoux, T.; Robert, H. Treatment of large deep osteochondritis lesions of the knee by autologous matrix-induced chondrogenesis (AMIC): Preliminary results in 13 patients. Orthop. Traumatol. Surg. Res. 2018, 104, 695–700. [Google Scholar] [CrossRef] [PubMed]
- Aae, T.F.; Randsborg, P.H.; Luras, H.; Aroen, A.; Lian, O.B. Microfracture is more cost-effective than autologous chondrocyte implantation: A review of level 1 and level 2 studies with 5 year follow-up. Knee Surg. Sports Traumatol. Arthrosc. 2018, 26, 1044–1052. [Google Scholar] [CrossRef]
- El-Rashidy, H.; Villacis, D.; Omar, I.; Kelikian, A.S. Fresh osteochondral allograft for the treatment of cartilage defects of the talus: A retrospective review. J. Bone Jt. Surg. Am. 2011, 93, 1634–1640. [Google Scholar] [CrossRef] [PubMed]
- Behrens, P.; Bitter, T.; Kurz, B.; Russlies, M. Matrix-associated autologous chondrocyte transplantation/implantation (MACT/MACI)--5-year follow-up. Knee 2006, 13, 194–202. [Google Scholar] [CrossRef]
- Basad, E.; Wissing, F.R.; Fehrenbach, P.; Rickert, M.; Steinmeyer, J.; Ishaque, B. Matrix-induced autologous chondrocyte implantation (MACI) in the knee: Clinical outcomes and challenges. Knee Surg. Sports Traumatol. Arthrosc. 2015, 23, 3729–3735. [Google Scholar] [CrossRef] [PubMed]
- Basad, E.; Ishaque, B.; Bachmann, G.; Sturz, H.; Steinmeyer, J. Matrix-induced autologous chondrocyte implantation versus microfracture in the treatment of cartilage defects of the knee: A 2-year randomised study. Knee Surg. Sports Traumatol. Arthrosc. 2010, 18, 519–527. [Google Scholar] [CrossRef]
- Bartlett, W.; Skinner, J.A.; Gooding, C.R.; Carrington, R.W.; Flanagan, A.M.; Briggs, T.W.; Bentley, G. Autologous chondrocyte implantation versus matrix-induced autologous chondrocyte implantation for osteochondral defects of the knee: A prospective, randomised study. J. Bone Jt. Surg. Br. 2005, 87, 640–645. [Google Scholar] [CrossRef]
- Shimozono, Y.; Hurley, E.T.; Nguyen, J.T.; Deyer, T.W.; Kennedy, J.G. Allograft Compared with Autograft in Osteochondral Transplantation for the Treatment of Osteochondral Lesions of the Talus. J. Bone Jt. Surg. Am. 2018, 100, 1838–1844. [Google Scholar] [CrossRef]
- Siebold, R.; Suezer, F.; Schmitt, B.; Trattnig, S.; Essig, M. Good clinical and MRI outcome after arthroscopic autologous chondrocyte implantation for cartilage repair in the knee. Knee Surg. Sports Traumatol. Arthrosc. 2018, 26, 831–839. [Google Scholar] [CrossRef]
- Niemeyer, P.; Laute, V.; Zinser, W.; Becher, C.; Kolombe, T.; Fay, J.; Pietsch, S.; Kuzma, T.; Widuchowski, W.; Fickert, S. A Prospective, Randomized, Open-Label, Multicenter, Phase III Noninferiority Trial to Compare the Clinical Efficacy of Matrix-Associated Autologous Chondrocyte Implantation with Spheroid Technology Versus Arthroscopic Microfracture for Cartilage Defects of the Knee. Orthop. J. Sports Med. 2019, 7, 2325967119854442. [Google Scholar] [CrossRef]
- Saris, D.B.; Vanlauwe, J.; Victor, J.; Almqvist, K.F.; Verdonk, R.; Bellemans, J.; Luyten, F.P. Treatment of symptomatic cartilage defects of the knee: Characterized chondrocyte implantation results in better clinical outcome at 36 months in a randomized trial compared to microfracture. Am. J. Sports Med. 2009, 37, 10S–19S. [Google Scholar] [CrossRef] [PubMed]
- Van Assche, D.; Staes, F.; Van Caspel, D.; Vanlauwe, J.; Bellemans, J.; Saris, D.B.; Luyten, F.P. Autologous chondrocyte implantation versus microfracture for knee cartilage injury: A prospective randomized trial, with 2-year follow-up. Knee Surg. Sports Traumatol. Arthrosc. 2010, 18, 486–495. [Google Scholar] [CrossRef]
- Vasiliadis, H.S.; Wasiak, J.; Salanti, G. Autologous chondrocyte implantation for the treatment of cartilage lesions of the knee: A systematic review of randomized studies. Knee Surg. Sports Traumatol. Arthrosc. 2010, 18, 1645–1655. [Google Scholar] [CrossRef] [PubMed]
- Gotze, C.; Nieder, C.; Felder, H.; Migliorini, F. AMIC for Focal Osteochondral Defect of the Talar Shoulder. Life 2020, 10, 328. [Google Scholar] [CrossRef]
- De Girolamo, L.; Schonhuber, H.; Vigano, M.; Bait, C.; Quaglia, A.; Thiebat, G.; Volpi, P. Autologous Matrix-Induced Chondrogenesis (AMIC) and AMIC Enhanced by Autologous Concentrated Bone Marrow Aspirate (BMAC) Allow for Stable Clinical and Functional Improvements at up to 9 Years Follow-Up: Results from a Randomized Controlled Study. J. Clin. Med. 2019, 8, 392. [Google Scholar] [CrossRef] [PubMed]
- Schiavone Panni, A.; Del Regno, C.; Mazzitelli, G.; D′Apolito, R.; Corona, K.; Vasso, M. Good clinical results with autologous matrix-induced chondrogenesis (Amic) technique in large knee chondral defects. Knee Surg. Sports Traumatol. Arthrosc. 2018, 26, 1130–1136. [Google Scholar] [CrossRef]
- Schagemann, J.; Behrens, P.; Paech, A.; Riepenhof, H.; Kienast, B.; Mittelstadt, H.; Gille, J. Mid-term outcome of arthroscopic AMIC for the treatment of articular cartilage defects in the knee joint is equivalent to mini-open procedures. Arch. Orthop. Trauma Surg. 2018, 138, 819–825. [Google Scholar] [CrossRef]
- Volz, M.; Schaumburger, J.; Frick, H.; Grifka, J.; Anders, S. A randomized controlled trial demonstrating sustained benefit of Autologous Matrix-Induced Chondrogenesis over microfracture at five years. Int. Orthop. 2017, 41, 797–804. [Google Scholar] [CrossRef] [PubMed]
- Anders, S.; Volz, M.; Frick, H.; Gellissen, J. A Randomized, Controlled Trial Comparing Autologous Matrix-Induced Chondrogenesis (AMIC(R)) to Microfracture: Analysis of 1- and 2-Year Follow-Up Data of 2 Centers. Open Orthop. J. 2013, 7, 133–143. [Google Scholar] [CrossRef] [PubMed]
- Chung, J.Y.; Lee, D.H.; Kim, T.H.; Kwack, K.S.; Yoon, K.H.; Min, B.H. Cartilage extra-cellular matrix biomembrane for the enhancement of microfractured defects. Knee Surg. Sports Traumatol. Arthrosc. 2014, 22, 1249–1259. [Google Scholar] [CrossRef]
- Sadlik, B.; Puszkarz, M.; Kosmalska, L.; Wiewiorski, M. All-Arthroscopic Autologous Matrix-Induced Chondrogenesis-Aided Repair of a Patellar Cartilage Defect Using Dry Arthroscopy and a Retraction System. J. Knee Surg. 2017, 30, 925–929. [Google Scholar] [CrossRef] [PubMed]
- Moher, D.; Hopewell, S.; Schulz, K.F.; Montori, V.; Gotzsche, P.C.; Devereaux, P.J.; Elbourne, D.; Egger, M.; Altman, D.G. CONSORT 2010 explanation and elaboration: Updated guidelines for reporting parallel group randomised trials. BMJ 2010, 340, c869. [Google Scholar] [CrossRef]
- Benthien, J.P.; Behrens, P. The treatment of chondral and osteochondral defects of the knee with autologous matrix-induced chondrogenesis (AMIC): Method description and recent developments. Knee Surg. Sports Traumatol. Arthrosc. 2011, 19, 1316–1319. [Google Scholar] [CrossRef]
- Kusano, T.; Jakob, R.P.; Gautier, E.; Magnussen, R.A.; Hoogewoud, H.; Jacobi, M. Treatment of isolated chondral and osteochondral defects in the knee by autologous matrix-induced chondrogenesis (AMIC). Knee Surg. Sports Traumatol. Arthrosc. 2012, 20, 2109–2115. [Google Scholar] [CrossRef] [PubMed]
- Marlovits, S.; Singer, P.; Zeller, P.; Mandl, I.; Haller, J.; Trattnig, S. Magnetic resonance observation of cartilage repair tissue (MOCART) for the evaluation of autologous chondrocyte transplantation: Determination of interobserver variability and correlation to clinical outcome after 2 years. Eur. J. Radiol. 2006, 57, 16–23. [Google Scholar] [CrossRef]
- Hawker, G.A.; Mian, S.; Kendzerska, T.; French, M. Measures of adult pain: Visual Analog Scale for Pain (VAS Pain), Numeric Rating Scale for Pain (NRS Pain), McGill Pain Questionnaire (MPQ), Short-Form McGill Pain Questionnaire (SF-MPQ), Chronic Pain Grade Scale (CPGS), Short Form-36 Bodily Pain Scale (SF-36 BPS), and Measure of Intermittent and Constant Osteoarthritis Pain (ICOAP). Arthritis Care Res. 2011, 63, S240–S252. [Google Scholar] [CrossRef]
- Mostafaee, N.; Negahban, H.; Shaterzadeh Yazdi, M.J.; Goharpey, S.; Mehravar, M.; Pirayeh, N. Responsiveness of a Persian version of Knee Injury and Osteoarthritis Outcome Score and Tegner activity scale in athletes with anterior cruciate ligament reconstruction following physiotherapy treatment. Physiother. Theory Pract. 2020, 36, 1019–1026. [Google Scholar] [CrossRef]
- Collins, N.J.; Misra, D.; Felson, D.T.; Crossley, K.M.; Roos, E.M. Measures of knee function: International Knee Documentation Committee (IKDC) Subjective Knee Evaluation Form, Knee Injury and Osteoarthritis Outcome Score (KOOS), Knee Injury and Osteoarthritis Outcome Score Physical Function Short Form (KOOS-PS), Knee Outcome Survey Activities of Daily Living Scale (KOS-ADL), Lysholm Knee Scoring Scale, Oxford Knee Score (OKS), Western Ontario and McMaster Universities Osteoarthritis Index (WOMAC), Activity Rating Scale (ARS), and Tegner Activity Score (TAS). Arthritis Care Res. 2011, 63, S208–S228. [Google Scholar] [CrossRef]
- Briggs, K.K.; Lysholm, J.; Tegner, Y.; Rodkey, W.G.; Kocher, M.S.; Steadman, J.R. The reliability, validity, and responsiveness of the Lysholm score and Tegner activity scale for anterior cruciate ligament injuries of the knee: 25 years later. Am. J. Sports Med. 2009, 37, 890–897. [Google Scholar] [CrossRef] [PubMed]
- Becher, C.; Ettinger, M.; Ezechieli, M.; Kaps, C.; Ewig, M.; Smith, T. Repair of retropatellar cartilage defects in the knee with microfracture and a cell-free polymer-based implant. Arch Orthop. Trauma Surg. 2015, 135, 1003–1010. [Google Scholar] [CrossRef] [PubMed]
- Curl, W.W.; Krome, J.; Gordon, E.S.; Rushing, J.; Smith, B.P.; Poehling, G.G. Cartilage injuries: A review of 31,516 knee arthroscopies. Arthroscopy 1997, 13, 456–460. [Google Scholar] [CrossRef]
- Hjelle, K.; Solheim, E.; Strand, T.; Muri, R.; Brittberg, M. Articular cartilage defects in 1000 knee arthroscopies. Arthroscopy 2002, 18, 730–734. [Google Scholar] [CrossRef] [PubMed]
- Widuchowski, W.; Lukasik, P.; Kwiatkowski, G.; Faltus, R.; Szyluk, K.; Widuchowski, J.; Koczy, B. Isolated full thickness chondral injuries. Prevalance and outcome of treatment. A retrospective study of 5233 knee arthroscopies. Acta Chir. Orthop. Traumatol. Cech. 2008, 75, 382–386. [Google Scholar]
- Widuchowski, W.; Widuchowski, J.; Trzaska, T. Articular cartilage defects: Study of 25,124 knee arthroscopies. Knee 2007, 14, 177–182. [Google Scholar] [CrossRef] [PubMed]
- Buda, R.; Baldassarri, M.; Perazzo, L.; Ghinelli, D.; Pagliazzi, G. A useful combination for the treatment of patellofemoral chondral lesions: Realignment procedure plus mesenchymal stem cell-retrospective analysis and clinical results at 48 months of follow-up. Eur. J. Orthop. Surg. Traumatol. 2019, 29, 461–470. [Google Scholar] [CrossRef]
- Ebert, J.R.; Fallon, M.; Smith, A.; Janes, G.C.; Wood, D.J. Prospective clinical and radiologic evaluation of patellofemoral matrix-induced autologous chondrocyte implantation. Am. J. Sports Med. 2015, 43, 1362–1372. [Google Scholar] [CrossRef]
- Gomoll, A.H.; Madry, H.; Knutsen, G.; van Dijk, N.; Seil, R.; Brittberg, M.; Kon, E. The subchondral bone in articular cartilage repair: Current problems in the surgical management. Knee Surg. Sports Traumatol. Arthrosc. 2010, 18, 434–447. [Google Scholar] [CrossRef]
- Macmull, S.; Jaiswal, P.K.; Bentley, G.; Skinner, J.A.; Carrington, R.W.; Briggs, T.W. The role of autologous chondrocyte implantation in the treatment of symptomatic chondromalacia patellae. Int. Orthop. 2012, 36, 1371–1377. [Google Scholar] [CrossRef]
- Meyerkort, D.; Ebert, J.R.; Ackland, T.R.; Robertson, W.B.; Fallon, M.; Zheng, M.H.; Wood, D.J. Matrix-induced autologous chondrocyte implantation (MACI) for chondral defects in the patellofemoral joint. Knee Surg. Sports Traumatol. Arthrosc. 2014, 22, 2522–2530. [Google Scholar] [CrossRef] [PubMed]
- Perdisa, F.; Filardo, G.; Sessa, A.; Busacca, M.; Zaffagnini, S.; Marcacci, M.; Kon, E. One-Step Treatment for Patellar Cartilage Defects with a Cell-Free Osteochondral Scaffold: A Prospective Clinical and MRI Evaluation. Am. J. Sports Med. 2017, 45, 1581–1588. [Google Scholar] [CrossRef]
- Teo, B.J.; Buhary, K.; Tai, B.C.; Hui, J.H. Cell-based therapy improves function in adolescents and young adults with patellar osteochondritis dissecans. Clin. Orthop. Relat. Res. 2013, 471, 1152–1158. [Google Scholar] [CrossRef]
- Mehl, J.; Huck, J.; Bode, G.; Hohloch, L.; Schmitt, A.; Sudkamp, N.P.; Niemeyer, P. Clinical mid- to long-term outcome after autologous chondrocyte implantation for patellar cartilage lesions and its correlation with the geometry of the femoral trochlea. Knee 2019, 26, 364–373. [Google Scholar] [CrossRef]
- Tradati, D.; De Luca, P.; Maione, A.; Uboldi, F.M.; Volpi, P.; de Girolamo, L.; Berruto, M. AMIC-Autologous Matrix-Induced Chondrogenesis Technique in Patellar Cartilage Defects Treatment: A Retrospective Study with a Mid-Term Follow-Up. J. Clin. Med. 2020, 9, 1184. [Google Scholar] [CrossRef]
- Gudas, R.; Kalesinskas, R.J.; Kimtys, V.; Stankevicius, E.; Toliusis, V.; Bernotavicius, G.; Smailys, A. A prospective randomized clinical study of mosaic osteochondral autologous transplantation versus microfracture for the treatment of osteochondral defects in the knee joint in young athletes. Arthroscopy 2005, 21, 1066–1075. [Google Scholar] [CrossRef] [PubMed]
- Richter, D.L.; Schenck, R.C., Jr.; Wascher, D.C.; Treme, G. Knee Articular Cartilage Repair and Restoration Techniques: A Review of the Literature. Sports Health 2016, 8, 153–160. [Google Scholar] [CrossRef] [PubMed]
- Smith, G.D.; Knutsen, G.; Richardson, J.B. A clinical review of cartilage repair techniques. J. Bone Jt. Surg. Br. 2005, 87, 445–449. [Google Scholar] [CrossRef]
- Steinwachs, M.R.; Guggi, T.; Kreuz, P.C. Marrow stimulation techniques. Injury 2008, 39, S26–S31. [Google Scholar] [CrossRef]
- Minas, T.; Bryant, T. The role of autologous chondrocyte implantation in the patellofemoral joint. Clin. Orthop. Relat. Res. 2005, 436, 30–39. [Google Scholar] [CrossRef] [PubMed]
- Rhee, S.J.; Pavlou, G.; Oakley, J.; Barlow, D.; Haddad, F. Modern management of patellar instability. Int. Orthop. 2012, 36, 2447–2456. [Google Scholar] [CrossRef]
- Migliorini, F.; Maffulli, N.; Eschweiler, J.; Quack, V.; Tingart, M.; Driessen, A. Lateral retinacular release combined with MPFL reconstruction for patellofemoral instability: A systematic review. Arch. Orthop. Trauma Surg. 2020, 1–10. [Google Scholar] [CrossRef]
- Migliorini, F.; Baroncini, A.; Eschweiler, J.; Tingart, M.; Maffulli, N. Interference screws vs. suture anchors for isolated medial patellofemoral ligament femoral fixation: A systematic review. J. Sport Health Sci. 2020. [Google Scholar] [CrossRef]
- Nomura, E.; Inoue, M. Cartilage lesions of the patella in recurrent patellar dislocation. Am. J. Sports Med. 2004, 32, 498–502. [Google Scholar] [CrossRef]
- Vollnberg, B.; Koehlitz, T.; Jung, T.; Scheffler, S.; Hoburg, A.; Khandker, D.; Hamm, B.; Wiener, E.; Diederichs, G. Prevalence of cartilage lesions and early osteoarthritis in patients with patellar dislocation. Eur. Radiol. 2012, 22, 2347–2356. [Google Scholar] [CrossRef] [PubMed]
- Migliorini, F.; Driessen, A.; Quack, V.; Gatz, M.; Tingart, M.; Eschweiler, J. Surgical versus conservative treatment for first patellofemoral dislocations: A meta-analysis of clinical trials. Eur. J. Orthop Surg. Traumatol. 2020, 30, 771–780. [Google Scholar] [CrossRef]
- Migliorini, F.; Driessen, A.; Quack, V.; Schenker, H.; Tingart, M.; Eschweiler, J. Patellar fixation graft via suture anchors versus tunnel techniques during isolated MPFL reconstruction for recurrent patellofemoral instability: A systematic review of the literature. Arch. Orthop. Trauma Surg. 2020, 140, 1201–1210. [Google Scholar] [CrossRef]
- Diederichs, G.; Issever, A.S.; Scheffler, S. MR imaging of patellar instability: Injury patterns and assessment of risk factors. Radiographics 2010, 30, 961–981. [Google Scholar] [CrossRef] [PubMed]
- Elias, D.A.; White, L.M.; Fithian, D.C. Acute lateral patellar dislocation at MR imaging: Injury patterns of medial patellar soft-tissue restraints and osteochondral injuries of the inferomedial patella. Radiology 2002, 225, 736–743. [Google Scholar] [CrossRef] [PubMed]
- Guerrero, P.; Li, X.; Patel, K.; Brown, M.; Busconi, B. Medial patellofemoral ligament injury patterns and associated pathology in lateral patella dislocation: An MRI study. Sports Med. Arthrosc. Rehabil. Ther. Technol. 2009, 1, 17. [Google Scholar] [CrossRef] [PubMed]
- Nomura, E.; Inoue, M.; Kurimura, M. Chondral and osteochondral injuries associated with acute patellar dislocation. Arthroscopy 2003, 19, 717–721. [Google Scholar] [CrossRef]
- Sanders, T.G.; Paruchuri, N.B.; Zlatkin, M.B. MRI of osteochondral defects of the lateral femoral condyle: Incidence and pattern of injury after transient lateral dislocation of the patella. AJR Am. J. Roentgenol. 2006, 187, 1332–1337. [Google Scholar] [CrossRef]
- Potter, H.G.; Linklater, J.M.; Allen, A.A.; Hannafin, J.A.; Haas, S.B. Magnetic resonance imaging of articular cartilage in the knee. An evaluation with use of fast-spin-echo imaging. J. Bone Jt. Surg. Am. 1998, 80, 1276–1284. [Google Scholar] [CrossRef] [PubMed]
- Migliorini, F.; Trivellas, A.; Colarossi, G.; Eschweiler, J.; Tingart, M.; Rath, B. Single- versus double-bundle patellar graft insertion for isolated MPFL reconstruction in patients with patellofemoral instability: A systematic review of the literature. Arch. Orthop. Trauma Surg. 2020, 140, 769–776. [Google Scholar] [CrossRef] [PubMed]
- Migliorini, F.; Trivellas, A.; Driessen, A.; Quack, V.; Tingart, M.; Eschweiler, J. Graft choice for isolated MPFL reconstruction: Gracilis versus semitendinosus. Eur. J. Orthop. Surg. Traumatol 2020, 30, 763–770. [Google Scholar] [CrossRef] [PubMed]
- Migliorini, F.; Rath, B.; Tingart, M.; Meisen, N.; Eschweiler, J. Surgical management for recurrent patellar dislocations in skeletally immature patients. Eur. J. Orthop. Surg. Traumatol. 2019, 29, 1815–1822. [Google Scholar] [CrossRef]
- Migliorini, F.; Rath, B.; Tingart, M.; Niewiera, M.; Eschweiler, J. Distal alignment procedures for patellofemoral instability: Comprehensive review of the literature. Eur. J. Orthop. Surg. Traumatol. 2019, 29, 1579–1588. [Google Scholar] [CrossRef] [PubMed]
- Saper, M.G.; Shneider, D.A. Diagnosis and treatment of lateral patellar compression syndrome. Arthrosc. Tech. 2014, 3, e633–e638. [Google Scholar] [CrossRef]
- Chen, J.B.; Chen, D.; Xiao, Y.P.; Chang, J.Z.; Li, T. Efficacy and experience of arthroscopic lateral patella retinaculum releasing through/outside synovial membrane for the treatment of lateral patellar compression syndrome. BMC Musculoskelet. Disord. 2020, 21, 108. [Google Scholar] [CrossRef]
- Ostermeier, S.; Holst, M.; Hurschler, C.; Windhagen, H.; Stukenborg-Colsman, C. Dynamic measurement of patellofemoral kinematics and contact pressure after lateral retinacular release: An in vitro study. Knee Surg. Sports Traumatol. Arthrosc. 2007, 15, 547–554. [Google Scholar] [CrossRef]
- Bentley, G.; Dowd, G. Current concepts of etiology and treatment of chondromalacia patellae. Clin. Orthop. Relat. Res. 1984, 189, 209–228. [Google Scholar]
- Dzioba, R.B. Diagnostic arthroscopy and longitudinal open lateral release. A four year follow-up study to determine predictors of surgical outcome. Am. J. Sports Med. 1990, 18, 343–348. [Google Scholar] [CrossRef] [PubMed]
- Fulkerson, J.P.; Shea, K.P. Disorders of patellofemoral alignment. J. Bone Jt. Surg. Am. 1990, 72, 1424–1429. [Google Scholar] [CrossRef] [PubMed]
- Ficat, P. The syndrome of lateral hyperpressure of the patella. Acta Orthop. Belg. 1978, 44, 65–76. [Google Scholar] [PubMed]
- Larson, R.L.; Cabaud, H.E.; Slocum, D.B.; James, S.L.; Keenan, T.; Hutchinson, T. The patellar compression syndrome: Surgical treatment by lateral retinacular release. Clin. Orthop. Relat. Res. 1978, 134, 158–167. [Google Scholar] [CrossRef]
- Gecha, S.R.; Torg, J.S. Clinical prognosticators for the efficacy of retinacular release surgery to treat patellofemoral pain. Clin. Orthop. Relat. Res. 1990, 253, 203–208. [Google Scholar] [CrossRef]
- Krompinger, W.J.; Fulkerson, J.P. Lateral retinacular release for intractable lateral retinacular pain. Clin. Orthop. Relat. Res. 1983, 179, 191–193. [Google Scholar] [CrossRef]
- Pagenstert, G.; Wolf, N.; Bachmann, M.; Gravius, S.; Barg, A.; Hintermann, B.; Wirtz, D.C.; Valderrabano, V.; Leumann, A.G. Open lateral patellar retinacular lengthening versus open retinacular release in lateral patellar hypercompression syndrome: A prospective double-blinded comparative study on complications and outcome. Arthroscopy 2012, 28, 788–797. [Google Scholar] [CrossRef]
- O′Neill, D.B. Open lateral retinacular lengthening compared with arthroscopic release. A prospective, randomized outcome study. J. Bone Jt. Surg. Am. 1997, 79, 1759–1769. [Google Scholar] [CrossRef]
- Fithian, D.C.; Paxton, E.W.; Post, W.R.; Panni, A.S.; International Patellofemoral Study, G. Lateral retinacular release: A survey of the International Patellofemoral Study Group. Arthroscopy 2004, 20, 463–468. [Google Scholar] [CrossRef]
- Mori, Y.; Fujimoto, A.; Okumo, H.; Kuroki, Y. Lateral retinaculum release in adolescent patellofemoral disorders: Its relationship to peripheral nerve injury in the lateral retinaculum. Bull. Hosp. Jt. Dis. Orthop. Inst. 1991, 51, 218–229. [Google Scholar]
- Parikh, S.; Noyes, F.R. Patellofemoral disorders: Role of computed tomography and magnetic resonance imaging in defining abnormal rotational lower limb alignment. Sports Health 2011, 3, 158–169. [Google Scholar] [CrossRef] [PubMed]
- Nomura, E.; Inoue, M.; Kobayashi, S. Generalized joint laxity and contralateral patellar hypermobility in unilateral recurrent patellar dislocators. Arthroscopy 2006, 22, 861–865. [Google Scholar] [CrossRef] [PubMed]
- ASTM. ASTM International: West Conshohocken, PA, USA, 2018; Available online: www.astm.org (accessed on 27 October 2020).
- Blackman, A.J.; Smith, M.V.; Flanigan, D.C.; Matava, M.J.; Wright, R.W.; Brophy, R.H. Correlation between magnetic resonance imaging and clinical outcomes after cartilage repair surgery in the knee: A systematic review and meta-analysis. Am. J. Sports Med. 2013, 41, 1426–1434. [Google Scholar] [CrossRef] [PubMed]
- Shive, M.S.; Stanish, W.D.; McCormack, R.; Forriol, F.; Mohtadi, N.; Pelet, S.; Desnoyers, J.; Methot, S.; Vehik, K.; Restrepo, A. BST-CarGel(R) Treatment Maintains Cartilage Repair Superiority over Microfracture at 5 Years in a Multicenter Randomized Controlled Trial. Cartilage 2015, 6, 62–72. [Google Scholar] [CrossRef] [PubMed]


| Endpoint | AMIC (n = 27) | MFx (n = 11) | P |
|---|---|---|---|
| Follow-up (months) | 45.1 ± 22.9 | 49.1 ± 33.7 | n.s. |
| Mean age | 35.8 ± 14.5 | 31.4 ± 11.3 | n.s. |
| Sex (female) | 48% (13 of 27) | 55% (6 of 11) | n.s. |
| Side (leg) | 59% (16 of 27) | 58% (7 of 11) | n.s. |
| Side (joint) | |||
| Medial facet | 48% (13 of 27) | 72% (8 of 27) | |
| Lateral facet | 52% (14 of 27) | 28% (3 of 27) | |
| Symptoms duration (months) | 68.7 ± 78.4 | 71.4 ± 83.3 | n.s. |
| Hospitalization (days) | 2.8 ± 1.1 | 1.8 ± 0.7 | 0.008 |
| Area of defect (cm2) | 2.7 ± 1.6 | 2.5 ± 0.6 | n.s. |
| BMI (kg/m2) | 26.9 ± 5.2 | 25.1 ± 3.4 | n.s. |
| Endpoint | AMIC (n = 27) | MFx (n = 11) | 95% CI | MD | P |
|---|---|---|---|---|---|
| IKDC | 89.3 ± 16.4 | 74.9 ± 11.5 | 3.375 to 25.425 | 14.4 | 0.01 |
| Lysholm | 89.6 ± 10.5 | 78.1 ± 14.0 | 3.100 to 19.900 | 11.5 | 0.009 |
| MOCART | 70.0 ± 17.3 | 58.8 ± 18.9 | 1.683 to 24.083 | 11.2 | 0.09 |
| VAS (0–10) | 1.3 ± 0.7 | 2.5 ± 1.5 | 1.918 to 0.482 | 1.2 | 0.002 |
| Tegner | 5.0 ± 1.7 | 3.5 ± 1.9 | 0.225 to 2.775 | 1.5 | 0.02 |
| Endpoint | AMIC (n = 27) | MFx (n = 11) | OR | 95% CI | P |
|---|---|---|---|---|---|
| Revision | 4% (1 of 27) | 27% (3 of 11) | 0.103 | 0.0093 to 1.1282 | 0.06 |
| Arthroplasty | 0% (0 of 27) | 9% (1 of 11) | 0.1273 | 0.0048 to 3.3780 | 0.2 |
| Failure | 4% (1 of 27) | 36% (4 of 11) | 0.067 | 0.0065 to 0.7022 | 0.02 |
Publisher’s Note: MDPI stays neutral with regard to jurisdictional claims in published maps and institutional affiliations. |
© 2021 by the authors. Licensee MDPI, Basel, Switzerland. This article is an open access article distributed under the terms and conditions of the Creative Commons Attribution (CC BY) license (http://creativecommons.org/licenses/by/4.0/).
Share and Cite
Migliorini, F.; Eschweiler, J.; Maffulli, N.; Driessen, A.; Rath, B.; Tingart, M.; Schenker, H. Management of Patellar Chondral Defects with Autologous Matrix Induced Chondrogenesis (AMIC) Compared to Microfractures: A Four Years Follow-Up Clinical Trial. Life 2021, 11, 141. https://doi.org/10.3390/life11020141
Migliorini F, Eschweiler J, Maffulli N, Driessen A, Rath B, Tingart M, Schenker H. Management of Patellar Chondral Defects with Autologous Matrix Induced Chondrogenesis (AMIC) Compared to Microfractures: A Four Years Follow-Up Clinical Trial. Life. 2021; 11(2):141. https://doi.org/10.3390/life11020141
Chicago/Turabian StyleMigliorini, Filippo, Jörg Eschweiler, Nicola Maffulli, Arne Driessen, Björn Rath, Markus Tingart, and Hanno Schenker. 2021. "Management of Patellar Chondral Defects with Autologous Matrix Induced Chondrogenesis (AMIC) Compared to Microfractures: A Four Years Follow-Up Clinical Trial" Life 11, no. 2: 141. https://doi.org/10.3390/life11020141
APA StyleMigliorini, F., Eschweiler, J., Maffulli, N., Driessen, A., Rath, B., Tingart, M., & Schenker, H. (2021). Management of Patellar Chondral Defects with Autologous Matrix Induced Chondrogenesis (AMIC) Compared to Microfractures: A Four Years Follow-Up Clinical Trial. Life, 11(2), 141. https://doi.org/10.3390/life11020141

