Next Article in Journal
Conformal η-Ricci Solitons on Riemannian Submersions under Canonical Variation
Next Article in Special Issue
The Single Axiomatization on CCRL-Fuzzy Rough Approximation Operators and Related Fuzzy Topology
Previous Article in Journal
The Laplace Transform of Composed Functions and Bivariate Bell Polynomials
Previous Article in Special Issue
Comparison of Overlap and Grouping Functions
 
 
Font Type:
Arial Georgia Verdana
Font Size:
Aa Aa Aa
Line Spacing:
Column Width:
Background:
Article

Pseudo Overlap Functions, Fuzzy Implications and Pseudo Grouping Functions with Applications

1
Department of Mathematics, Shaanxi University of Science & Technology, Xi’an 710021, China
2
Shaanxi Joint Laboratory of Artificial Intelligence, Shaanxi University of Science & Technology, Xi’an 710021, China
3
Departamento de Estadistica, Matematicas e Informatica, Universidad Publica de Navarra, Campus Arrosadia s/n, 31006 Pamplona, Spain
4
Departamento de Informatica e Matematica Aplicada, Universidade Federal do Rio Grande do Norte, Natal 59078-970, Brazil
*
Author to whom correspondence should be addressed.
Axioms 2022, 11(11), 593; https://doi.org/10.3390/axioms11110593
Submission received: 5 October 2022 / Revised: 22 October 2022 / Accepted: 23 October 2022 / Published: 26 October 2022
(This article belongs to the Special Issue Non-classical Logics and Related Algebra Systems)

Abstract

Overlap and grouping functions are important aggregation operators, especially in information fusion, classification and decision-making problems. However, when we do more in-depth application research (for example, non-commutative fuzzy reasoning, complex multi-attribute decision making and image processing), we find overlap functions as well as grouping functions are required to be commutative (or symmetric), which limit their wide applications. For the above reasons, this paper expands the original notions of overlap functions and grouping functions, and the new concepts of pseudo overlap functions and pseudo grouping functions are proposed on the basis of removing the commutativity of the original functions. Some examples and construction methods of pseudo overlap functions and pseudo grouping functions are presented, and the residuated implication (co-implication) operators derived from them are investigated. Not only that, some applications of pseudo overlap (grouping) functions in multi-attribute (group) decision-making, fuzzy mathematical morphology and image processing are discussed. Experimental results show that, in many application fields, pseudo overlap functions and pseudo grouping functions have greater flexibility and practicability.

1. Introduction

The aggregation function (or aggregation operator) is an important concept in decision theory, information fusion and fuzzy inference systems etc. (see [1,2]). The process of combining several (numerical) values into a single representative one is called aggregation, and the function performing this process is called aggregation function. As a special aggregation operator, the concept of overlap functions (OF for short) is proposed in [3] by scholars such as H. Bustince. Since then, OFs as well as associated grouping functions have become a new hot direction, with rich research achievements (see [4,5,6,7,8,9,10]), and have been applied in many fields, such as multi-attribute (group) decision-making, rule-based classification and image processing etc. (see [11,12,13]).
In recent years, in order to expand the application scope of OFs and grouping functions, many scholars have put forward some more general concepts, such as r -(quasi-)overlap functions [14] etc. However, all of them keep the requirement of commutativity (symmetry). This paper mainly removes the commutativity of OFs as well as grouping functions, thus studies more general aggregation functions, that is, pseudo overlap functions as well as pseudo grouping functions.
It is necessary to emphasize the motivation for studying pseudo overlap (grouping) functions. Our main starting points include the following aspects:
(1) For aggregation functions, the commutativity is not always necessary, for example, a copula is a kind of aggregation function which is closely related to overlap function, but a copula could be non-commutative (see [15]). So, it is natural to investigate non-commutative overlap (grouping) functions;
(2) From the perspective of fuzzy logic theory, overlap functions are closely related to t-norms and fuzzy reasoning. The notion of t-norm is generalized to the non-commutative case, that is, pseudo t-norm, which plays an important role in non-commutative fuzzy logic (see [16,17,18]). Therefore, and in the same way, it becomes natural to study pseudo overlap (grouping) functions;
(3) The overlap functions can be applied to multi-attribute (group) decision problems, but when multiple attributes (or multiple decision makers) have different importance, overlap functions may display some limitations due to the commutativity. Then, it is necessary to extend overlap function to non-commutative case. In fact, I. A. Da Silva et al. constructed a kind of weighted average operators based on n-dimensional overlap functions (see Theorem 3.1 in [13]), which are non-commutative overlap functions when a weak condition is attached;
(4) In the theory of mathematical morphology, t-norms and fuzzy implication operators are the basic tools (see [19,20,21,22,23]). Similar to fuzzy morphology based on t-norms, we can construct a new mathematical morphology based on overlap functions. More generally, since the theory of mathematical morphology endowing non-commutative operators has wider applicability (see [24,25]), the establishment of corresponding fuzzy erosion and dilation operators considering pseudo overlap (grouping) functions can expand the existing fuzzy mathematical morphology theory;
(5) Moreover, grouping functions can be applied to image segmentation [11,12], but for image processing, the target object and background are usually unequal. In order to express such inequality (or asymmetry), we naturally select non-commutative operators, that is, pseudo grouping functions. We have reason to believe that we can obtain a better effect when we use pseudo grouping functions to edge extraction and threshold segmentation of images.
Based on the above considerations, we will study the basic properties and some applications of pseudo overlap (grouping) functions in detail. This paper is organized as follows. In Section 2, we review some preliminary concepts (pseudo t-norm, pseudo t-conorm, copula, overlap function, grouping function, fuzzy implication and residuated lattice). In Section 3, we give the notion of (n-dimension) pseudo overlap functions as well as some concrete examples, provide some construction methods, illustrate the relevant conclusions of residuated implications induced by pseudo overlap functions, and analyze the relationship between overlap functions and residuated lattices. In Section 4, we investigate pseudo grouping functions and co-implications derived from them. Section 5 presents some applications of pseudo overlap (grouping) functions in multi-attribute group decision making (MAGDM for short), fuzzy mathematical morphology and image processing. Finally, conclusions are declared in Section 6.

2. Preliminaries

In this part we state a few basic notions as well as results.
Definition 1
([16,26]). A bivariate operator T on [ 0 , 1 ] is known as a pseudo t-norm when and only when:
(pt1) T meets associativity;
(pt2) T is increasing concerning both arguments, i.e., T ( x , z ) T ( y , z ) as well as T ( z , x ) T ( z , y ) when taking random x , y , z [ 0 , 1 ] , x y ;
(pt3) T has unit element 1, that is, T ( c , 1 ) = c = T ( 1 , c ) , when taking random c [ 0 , 1 ] .
Definition 2
([16]). The bivariate operator S on [ 0 , 1 ] is known as a pseudo t-conorm when and only when:
(ps1) S meets associativity;
(ps2) S is increasing about both arguments, i.e., S ( x , z ) S ( y , z ) as well as S ( z , x ) S ( z , y ) when taking random x , y , z [ 0 , 1 ] , x y ;
(ps3) S has unit element 0, i.e., S ( x , 0 ) = x = S ( 0 , x ) , when taking random x [ 0 , 1 ] .
Definition 3
([27]). The binary operation C on [ 0 , 1 ] is known as a copula when C meets conditions as below, for arbitrary k , k , l , l [ 0 , 1 ] satisfying k k as well as l l :
(C1) C ( k , l ) + C ( k , l ) C ( k , l ) + C ( k , l ) ;
(C2) C ( k , 0 ) = C ( 0 , k ) = 0 ;
(C3) C ( l , 1 ) = C ( 1 , l ) = l .
Definition 4
([28]). An algebra L = ( L , , , , , , 0 , 1 ) is known as a residuated lattice when meets the requirements as below:
(L1) ( L , , , 0 , 1 ) is a lattice with 0 as the lower bound and 1 as the upper bound;
(L2) ( L , , 1 ) is a monoid with 1 as neutral element;
(L3) x y z iff x y z y x z , when taking arbitrary x , y , z L .
Definition 5
([4]). A bivariate mapping I on [ 0 , 1 ] is known as a fuzzy implication when taking random u , v , w [ 0 , 1 ] , I meets:
(I1) monotonic decreasing concerning the first element: I ( v , w ) I ( u , w ) when u v ;
(I2) monotonic increasing concerning the second element: I ( u , v ) I ( u , w ) when v w ;
(I3) three boundary conditions: I (0, 0) = 1, I (1, 1) = 1, I (1, 0) = 0.
Next, we give some properties of fuzzy implication:
Definition 6
([4]). A fuzzy implication I on [ 0 , 1 ] satisfies:
(NP) Neutral property, i.e., I ( 1 , e ) = e , 0 e 1 .
(EP) Exchange property, i.e., I ( x , I ( y , z ) ) = I ( y , I ( x , z ) ) , x , y , z [ 0 , 1 ] .
(IP) Identity property, i.e., I ( x , x ) = 1 , x [ 0 , 1 ] .
(LOP) Left ordering property, i.e., x y I ( x , y ) = 1 , x , y [ 0 , 1 ] .
(ROP) Right ordering property, i.e., I ( s , t ) = 1 s t , s , t [ 0 , 1 ] .
(OP) Ordering property, i.e., I ( s , t ) = 1 s t , s , t [ 0 , 1 ] .
(CB) Consequent boundary, i.e., t I ( s , t ) , s , t [ 0 , 1 ] .
(SIB) Sub-iterative boolean property, i.e., I ( s , I ( s , t ) ) I ( s , t ) , s , t [ 0 , 1 ] .
(IB) Iterative Boolean property, i.e., I ( s , I ( s , t ) ) = I ( s , t ) , s , t [ 0 , 1 ] .
(SBC) Strong boundary condition for 0, i.e., i 0 I ( i , 0 ) = 0 , i [ 0 , 1 ] .
(LBC) Left boundary condition, i.e., I ( 0 , a ) = 1 , a [ 0 , 1 ] .
(RBC) Right boundary condition, i.e., I ( b , 1 ) = 1 , b [ 0 ,   1 ] .
(EP1) Exchange property for 1, i.e., I ( l , I ( m , n ) ) = 1 I ( m , I ( l , n ) ) = 1 , l , m , n [ 0 ,   1 ] .
(PEP) Pseudo exchange property, i.e., I ( p , r ) q I ( q , r ) p , p , q , r [ 0 ,   1 ] .
Definition 7
([3,4]). A bivariate function O on [ 0 ,   1 ] is said to be an overlap function (OF for short) when O meets statements as below:
(O1) It meets commutativity;
(O2) Its value is 0 iff x y = 0 ;
(O3) Its value is 1 iff x = y = 1 ;
(O4) It meets monotonic increasing property;
(O5) It meets continuity.
Definition 8
([5]). A binary operation G on [ 0 ,   1 ] is said to be a grouping function when G meets statements as follows:
(G1) It meets commutativity;
(G2) Its value is 0 when and only when values of x and y are 0;
(G3) Its value is 1 when and only when at least one of x and y is 1;
(G4) It meets monotonic increasing property;
(G5) It meets continuity.
Theorem 1
([3]). An operator O: [ 0 ,   1 ] 2 [ 0 ,   1 ] meets (O1)∼(O5) when and only when there exist bivariate operations h, g on [ 0 ,   1 ] with
O ( x , y ) = h ( x , y ) h ( x , y ) + g ( x , y ) ,
where
( 1 ) h and g satisfy symmetry;
( 2 ) h satisfies monotonic increasing property and g satisfies monotone decreasing property;
( 3 ) the value of h is 0 when and only when at least one of x and y has a value of 0;
( 4 ) the value of g is 0 when and only when values of x and y are 1;
( 5 ) h as well as g satisfy continuity.
Definition 9
([29,30,31]). A binary operation C: [ 0 ,   1 ] 2 [ 0 ,   1 ] is said to be a co-implication if it satisfies:
( C 1 ) decreasing about its first element;
( C 2 ) increasing about its second variable;
( C 3 ) C ( 0 , 0 ) = 0 ;
( C 4 ) C ( a , b ) = 0 when a = 1 as well as b = 1 ;
( C 5 ) C ( c , d ) = 1 when c = 0 as well as d = 1 .
Definition 10
([4]). An n-dimension mapping A on [ 0 ,   1 ] is known as an aggregation operation when requirements as below are satisfied:
(A1) A is monotonically increasing concerning all elements: for every i { 1 , 2 , , n } , A ( a 1 , , a n )   A ( a 1 , , a i 1 , y , a i + 1 , , a n ) when a i y ;
(A2) A meets requirements: (i) A ( a 1 , , a n ) = 0 when a i = 0 (i = 1, …, n) and (ii) A ( a 1 , , a n ) = 1 when a i = 1 (i = 1, …, n).

3. Pseudo Overlap Functions and Their Residuated Implications

In this section, we consider existing outcomes of residuated implication to introduce the concept of pseudo overlap functions and residuated implication derived from them. Then, we elaborate the relationship between pseudo overlap functions and continuous pseudo t-norms and copulas, and expand the dimension to explain the definition of multidimensional pseudo overlap functions. After that, we also illustrate the general construction method of pseudo overlap functions, and finally provide some examples to explain in detail.
Definition 11.
A bivariate mapping O: [ 0 ,   1 ] 2 [ 0 ,   1 ] is called a pseudo overlap function (briefly POF) when it meets statements as follows:
(O1′) The value of O is 0 iff at least one of the two variables has a value of 0;
(O2′) The value of O is 1 iff values of two variables are 1;
(O3′) O meets monotonic increment;
(O4′) O meets continuity.
Obviously, every overlap function is a pseudo overlap function. Now, we will provide some examples of POFs.
Example 1.
(1) The operation O: [ 0 ,   1 ] 2 [ 0 ,   1 ] defined, when taking arbitrary a , b [ 0 ,   1 ] , as
O ( a , b ) = a p b q ,   p ,   q > 0
is a POF. When p = q , O is an OF.
(2) An operation O: [ 0 ,   1 ] 2 [ 0 ,   1 ] defined, when taking random x , y [ 0 ,   1 ] , as
O ( x , y ) = m i n { x p , y q } , p , q > 0
is a POF. When p = q , O is an OF.
(3) A mapping O: [ 0 ,   1 ] 2 [ 0 ,   1 ] defined, when taking random x , y [ 0 ,   1 ] , as
O ( x , y ) = 5 x y + 17 22 , i f ( x , y ) A 1 90 x y 56 , i f ( x , y ) A 2 9 x 8 , i f ( x , y ) A 3 2 y 2 11 + 105 x 88 , i f ( x , y ) A 4 9 y 7 , i f ( x , y ) A 5 7 x 7 44 + 205 y 154 , i f ( x , y ) A 6
is a pseudo overlap function, where A 1 = { ( x , y ) | 0.8 x 1 , 0.7 y 1 , ( x , y ) ( 0.8 , 0.7 ) } , A 2 = { ( x , y ) | 0 x 0.8 , 0 y 0.7 } , A 3 = { ( x , y ) | 0 x < 0.8 , 0.7 < y 1 , y 1 3 x 8 } , A 4 = { ( x , y ) | 0 x < 0.8 , 0.7 < y 1 , y > 1 3 x 8 } , A 5 = { ( x , y ) | 0.8 < x 1 , 0 y < 0.7 , y 7 2 ( 1 x ) } , A 6 = { ( x , y ) | 0.8 < x 1 , 0 y < 0.7 , y > 7 2 ( 1 x ) } , specific interval distribution is as follows (see Figure 1).
Lemma 1
([16]). Given a pseudo t-norm T on [ 0 ,   1 ] meeting continuity, then it meets commutativity, i.e., it is a t-norm.
Theorem 2.
Let O: [ 0 , 1 ] 2 [ 0 ,   1 ] be a POF. Then
( 1 ) if O is commutative, then it is an overlap function.
( 2 ) if O is pseudo t-norm, then it is a positive continuous t-norm (where, “positive” means x 0 and y 0 O ( x , y ) > 0 ).
( 3 ) if O is pseudo t-norm, then it is a copula if and only if it satisfies Lipschitz property with constant 1 (that is, x 1 , x 2 , y 1 , y 2 [ 0 ,   1 ] , | O ( x 1 , y 1 ) O ( x 2 , y 2 ) | | x 1 x 2 | + | y 1 y 2 | ).
Proof. 
(1) It follows from Definitions 7 and 11;
(2) If O is pseudo t-norm, since O is a pseudo overlap function, by Definition 11 (O4’), O is continuous. Using Lemma 1, we know that O is commutative. By (1), O meets (O1)∼(O5). Thus, O is a t-norm satisfying continuity and has no nontrivial zero factors;
(3) Suppose that O is a pseudo overlap function and pseudo t-norm. By (2) we know that O is a positive continuous t-norms. Applying Theorem 1 in [15], we can get that O is a copula if and only if it satisfies Lipschitz property with constant 1. □
According to the proof of Theorem 2 in [15], we get that every positive copula is a pseudo overlap function. Therefore, we obtain the diagram in Figure 2 with the relationship between some concepts.
The following example shows that there are some POFs and pseudo t-norms which are not copulas.
Example 2.
The operation O: [ 0 ,   1 ] 2 [ 0 ,   1 ] defined, when taking arbitrary x , y [ 0 ,   1 ] , as
O ( x , y ) = 0.5 x y i f ( x , y ) [ 0 ,   0.5 ] 2 , x · 2 4 ( 1 y ) i f ( x , y ) [ 0 ,   0.5 ] × ( 0.5 , 1 ] , y · 2 4 ( 1 x ) i f ( x , y ) ( 0.5 , 1 ] × [ 0 ,   0.5 ] , 2 4 x + 4 y 7 i f ( x , y ) ( 0.5 , 1 ] 2 a n d x + y < 1.5 , x + y 1 i f ( x , y ) ( 0.5 , 1 ] 2 a n d x + y 1.5 .
Then, O meets (O1’)(O4’) as well as being a t-norm, but it is not a copula (see [32,33]).
Definition 12.
The n-dimension ( n 2 ) mapping O on [ 0 ,   1 ] is known as an n-ary pseudo overlap function when properties as below are established:
(O1n) O ( x 1 , , x n ) = 0 when and only when there is at least a certain x i ( i = 1 , , n ) with a value of 0;
(O2n) The value of O is 1 when and only when the values of its all elements are 1;
(O3n) O meets monotonic increment;
(O4n) O is continuous.
Example 3.
(1) An operation O: [ 0 ,   1 ] n [ 0 ,   1 ] formulated, when taking arbitrary x 1 , x 2 , , x n [ 0 ,   1 ] , as
O ( x 1 , , x n ) = i = 1 n 1 x i · x n 2
is an n-dimension pseudo overlap function.
(2) The operator O: [ 0 ,   1 ] n [ 0 ,   1 ] given, when taking arbitrary x 1 , x 2 , , x n [ 0 ,   1 ] , as
O ( x 1 , , x n ) = m i n { x 1 , x 2 , , x n 1 , x n }
is an n-dimension pseudo overlap function.
Next, we provide some construction methods and theorems of POFs.
Theorem 3.
The operation O: [ 0 ,   1 ] 2 [ 0 ,   1 ] is a POF when and only when there exist bivariate operators f, g on [ 0 ,   1 ] with
O ( x , y ) = f ( x , y ) f ( x , y ) + g ( x , y ) ,
where
( 1 ) f meets monotonic increment and g meets monotonic decreasing property;
( 2 ) f ( x , y ) = 0 when and only when x = 0 or y = 0 ;
( 3 ) g ( x , y ) = 0 when and only when x = y = 1 ;
( 4 ) f as well as g meeting continuity.
Proof. 
(⇐) By (2), we get: x y = 0 iff f ( x , y ) = 0 O ( x , y ) = 0 , i.e., the mapping O satisfies (O1’).
By (3), we get: x y = 1 g ( x , y ) = 0 O ( x , y ) = 1 , i.e., the mapping O satisfies (O2’).
By (1), assume that x 1 x 2 , then for any y [ 0 ,   1 ] , f ( x 1 , y ) g ( x 2 , y ) f ( x 2 , y ) g ( x 1 , y ) . Then we consider f ( x 1 , y ) f ( x 2 , y ) as the common factor, we get f ( x 1 , y ) ( f ( x 2 , y ) + g ( x 2 , y ) ) f ( x 2 , y ) ( g ( x 1 , y ) + f ( x 1 , y ) ) , i.e., O ( x 1 , y ) O ( x 2 , y ) . Since an analogous calculation holds for the other variable, O is non-decreasing, that is, the mapping O satisfies (O3’).
By (4), we know that O is continuous, i.e., the mapping O satisfies (O4’).
(⇒) Consider that O meets (O1’)∼(O4’), and assume f ( x , y ) = O ( x , y ) and g ( x , y ) = 1 O ( x , y ) . Then the function O ( x , y ) = f ( x , y ) f ( x , y ) + g ( x , y ) is well-defined. Besides, it is obvious that requirements (1)∼(4) hold. □
Proposition 1.
Let φ 1 , φ 2 , φ 3 : [ 0 ,   1 ] [ 0 ,   1 ] be continuous and monotonically increasing operations satisfying φ i ( x ) = 0 when and only when x = 0 , φ i ( x ) = 1 when and only when x = 1 ( i = 1 , 2 , 3 ) , and let O be a 2-dimension pseudo overlap function. Then the operation O φ 1 , φ 2 , φ 3 is defined as:
O φ 1 , φ 2 , φ 3 ( x , y ) = φ 1 ( O ( φ 2 ( x ) , φ 3 ( y ) ) )
also meets (O1’)(O4’).
Proof. 
Obviously, O φ 1 , φ 2 , φ 3 meets (O3’) and (O4’). We just need to reveal that two boundary conditions are true. Suppose first that O φ 1 , φ 2 , φ 3 ( x , y ) = 0 . According to the properties that are met by φ 1 , it is obvious that this can be established when and only when O ( φ 2 ( x ) , φ 3 ( y ) ) = 0 . However, because O is a POF, when and only when φ 2 ( x ) = 0 or φ 3 ( y ) = 0 when and only when x y = 0 . Analogously, another condition (O2’) can be proven. □
Proposition 2.
Given POFs O 1 , , O n , let M: [ 0 ,   1 ] n [ 0 ,   1 ] be a continuous aggregate operation meeting M ( x 1 , , x n ) = 0 only if x i = 0 for some i = 1 , , n and M ( x 1 , , x n ) = 1 only if x i = 1 for a certain i = 1 , , n . Then operator O ( x , y ) = M ( O 1 ( x , y ) , , O n ( x , y ) ) fits (O1’)(O4’).
Proof. 
Clearly, the operator meets (O3’) and (O4’). (O1’) and (O2’) are proven as below. We can discover that, when M ( O 1 ( x , y ) , , O n ( x , y ) ) = 0 , for a certain i { 1 , , n } it is clear that O i ( x , y ) = 0 . Because O i is a POF, it means x = 0 or y = 0 . On the contrary, if x = 0 or y = 0 then O i ( x , y ) = 0 when taking arbitrary i { 1 , , n } , as well as thus O ( x , y ) = M ( 0 , , 0 ) = 0 . Analogously, another (O2’) can be proven. □
Corollary 1.
Given an n-ary aggregation operation M on [ 0 ,   1 ] satisfying continuity and min M max. Let O 1 , , O n be POFs, then operation O ( x , y ) = M ( O 1 ( x , y ) , , O n ( x , y ) ) meets (O1’)(O4’).
Proof. 
From min ( x 1 , , x n ) M ( x 1 , , x n ) , we get that M ( x 1 , , x n ) = 0 implies min ( x 1 , , x n ) = 0 , i.e., x j = 0 for a certain j = 1 , , n . Thus, it satisfies the condition required in Proposition 2. Another condition is verified similarly making use of the non-equality M max. □
Proposition 3.
Given a POF O, as well as T being a positive continuous pseudo t-norm. Further,
(1) the mapping O T : [ 0 ,   1 ] 2 [ 0 ,   1 ] formulated by O T ( x , y ) = O ( x , y ) T ( x , y ) meets (O1’)(O4’);
(2) for arbitrary pseudo t-norm T 1 : [ 0 ,   1 ] 2 [ 0 ,   1 ] with continuity and no nontrivial zero factors, the mapping O T T 1 : [ 0 ,   1 ] 2 [ 0 ,   1 ] given by O T T 1 ( x , y ) = T 1 ( O ( x , y ) , T ( x , y ) ) is a pseudo overlap function.
Proof. 
(1) Evidently, O T is continuous and monotonous. Then O T ( c , d ) = 0 iff O ( c , d ) T ( c , d ) = 0 iff c d = 0 , O T ( c , d ) = 1 iff O ( c , d ) = 1 and T ( c , d ) = 1 iff c d = 1 are established, so O T is a POF;
(2) It is clear that O T T 1 is continuous and monotonous. Then O T T 1 ( c , d ) = 0 T 1 ( O ( c , d ) , T ( c , d ) ) = 0 iff O ( c , d ) = 0 T ( c , d ) = 0 c d = 0 , O T T 1 ( c , d ) = 1 T 1 ( O ( c , d ) , T ( c , d ) ) = 1 O ( c , d ) = 1 T ( c , d ) = 1 c d = 1 are established, so O T T 1 is a pseudo overlap function. □
Theorem 4.
Given POFs O 1 , O 2 , , O n : [ 0 ,   1 ] 2 [ 0 ,   1 ] , w 1 , w 2 , , w n on [ 0 ,   1 ] satisfying i = 1 n w i = 1 , then operation O formulated by O ( x , y ) = i = 1 n w i O i ( x , y ) meets (O1’)(O4’).
Proof. 
Evidently, O is continuous and monotonous. Due to O ( x , y ) = 0 i = 1 n w i O i ( x , y ) = 0 i = 1 , 2 , , n , w i O i ( x , y ) = 0 , and i = 1 n w i = 1 , so k { 1 , 2 , , n } , s.t. w k 0 , i.e., O k ( x , y ) = 0 x y = 0 . Additionally, due to O ( x , y ) = 1 iff i = 1 n w i O i ( x , y ) = 1 = i = 1 n w i , so i = 1 n w i O i ( x , y ) i = 1 n w i = 0 , i.e., i = 1 n w i [ O i ( x , y ) 1 ] = 0 . Because w i [ O i ( x , y ) 1 ] 0 , w i [ O i ( x , y ) 1 ] = 0 . Similarly, due to i = 1 n w i = 1 0 , so k { 1 , 2 , , n } , s.t. w k 0 , then O k ( x , y ) 1 = 0 O k ( x , y ) = 1 x y = 1 . Therefore, O is a POF. □
Theorem 5.
Given a POF O on [ 0 ,   1 ] , as well as T 1 , T 2 : [ 0 ,   1 ] 2 [ 0 ,   1 ] are pseudo t-norms without divisors of zero and satisfy continuity, then the mapping O given by O ( u , v ) = O ( T 1 ( u , v ) , T 2 ( u , v ) ) is a pseudo overlap function.
Proof. 
One easily verifies that O is continuous and monotonous. Then O ( u , v ) = 0 iff O ( T 1 ( u , v ) , T 2 ( u , v ) ) = 0 iff T 1 ( u , v ) T 2 ( u , v ) = 0 u v = 0 , and O ( u , v ) = 1 iff O ( T 1 ( u , v ) , T 2 ( u , v ) ) = 1 T 1 ( u , v ) T 2 ( u , v ) = 1 iff T 1 ( u , v ) = T 2 ( u , v ) = 1 u v = 1 . □
In the existing literature, some scholars have shown that fuzzy conjunctions can induce residual implication, such as t-norms, t-conorms and overlap functions etc. Additionally, some conjunctions can also induce two residuated implications by removing commutativity, such as pseudo t-norms and pseudo t-conorms. Moreover, since the function can still induce fuzzy implication without commutativity, we can define two residuated implications which satisfy the residual property induced by pseudo overlap function, namely residuated implication R O ( 1 ) , R O ( 2 ) .
Definition 13.
Let O be a POF on [ 0 ,   1 ] . Two bivariate mappings R O ( 1 ) and R O ( 2 ) on [ 0 ,   1 ] are called left (right) residuated implications, when taking any x , y [ 0 ,   1 ] :
R O ( 1 ) ( x , y ) = s u p { z [ 0 ,   1 ] | O ( z , x ) y } ,
R O ( 2 ) ( x , y ) = s u p { z [ 0 ,   1 ] | O ( x , z ) y } .
Obviously, R O ( 1 ) = R O ( 2 ) if the considered pseudo overlap function is commutative. Binary functions R O ( 1 ) and R O ( 2 ) are called residuals associated with pseudo overlap function O on the first and second variables, respectively.
Theorem 6.
Let O be a POF on [ 0 ,   1 ] ; statements as follows are equivalent:
( 1 ) O is infinitely ∨-distributive in its first variable;
( 2 ) O ( x , y ) z when and only when x R O ( 1 ) ( y , z ) when taking arbitrary x , y , z [ 0 ,   1 ] ; (RP1)
( 3 ) O ( R O ( 1 ) ( x , y ) , x ) y for any x , y [ 0 ,   1 ] ;
( 4 ) R O ( 1 ) ( x , y ) = m a x { z [ 0 ,   1 ] | O ( z , x ) y } when taking any x , y [ 0 ,   1 ] .
Moreover, conditions as below are equivalent:
( 1 ) O is infinitely ∨-distributive in its second variable;
( 2 ) O ( x , y ) z iff y R O ( 2 ) ( x , z ) for arbitrary 0 < x , y , z < 1 ; (RP2)
( 3 ) O ( x , R O ( 2 ) ( x , y ) ) y when taking any x , y [ 0 ,   1 ] ;
( 4 ) R O ( 2 ) ( x , y ) = m a x { z [ 0 ,   1 ] | O ( x , z ) y } when taking any x , y [ 0 ,   1 ] .
Proof. 
By Theorem 4.1 in [34] (or Theorem 3.1 in [35]), we get that the conditions (1)∼(4) are equivalent. By Theorem 4.2 in [34], we get that the conditions (1’)∼(4’) are equivalent. □
Proposition 4.
Given two pseudo overlap functions O 1 , O 2 , let R O 1 ( 1 ) , R O 1 ( 2 ) be the residuated implications induced by O 1 and R O 2 ( 1 ) , R O 2 ( 2 ) be the residuated implications induced by O 2 . Then,
( 1 ) O 1 O 2 if and only if R O 2 ( 1 ) R O 1 ( 1 ) , if and only if R O 2 ( 2 ) R O 1 ( 2 ) .
( 2 ) O 1 = O 2 if and only if R O 2 ( 1 ) = R O 1 ( 1 ) , if and only if R O 2 ( 2 ) = R O 1 ( 2 ) .
Proof. 
(1) By the definition of residuated implication, R O 1 ( 1 ) = s u p { z | O 1 ( z , x ) y } , R O 1 ( 2 ) = s u p { z | O 1 ( x , z ) y } , R O 2 ( 1 ) = s u p { z | O 2 ( z , x ) y } , R O 2 ( 2 ) = s u p { z | O 2 ( x , z ) y } . We hold that O 1 O 2
⇔ ( x , y , z [ 0 ,   1 ] , O 1 ( z , x ) y when O 2 ( z , x ) y )
⇔ ( x , y [ 0 ,   1 ] , { z [ 0 ,   1 ] | O 2 ( z , x ) y } { z [ 0 ,   1 ] | O 1 ( z , x ) y } )
⇔ ( x , y [ 0 , 1 ] , s u p { z [ 0 ,   1 ] | O 2 ( z , x ) y } s u p { z [ 0 ,   1 ] | O 1 ( z , x ) y } )
⇔ ( R O 2 ( 1 ) R O 1 ( 1 ) ).
Similarly, we have O 1 O 2 R O 2 ( 2 ) R O 1 ( 2 ) .
(2) It follows from (1). □
In the following table, we provide some examples of pseudo overlap functions and their residuated implications (see Table 1).
In Table 1, ① is m i n { m a x { 1 x , y ( 1 α ) ( x 1 ) α x 2 + 1 α } , y α x 2 } ,
② is m i n { m a x { 1 x , α 1 + ( 1 α ) 2 + 4 α x [ ( 1 α ) ( 1 x ) + y ] 2 α x } , y α x } ,
③ is x + α x α x 2 3 ( α x α x 2 ) + γ + δ 3 + γ + δ 3 , where γ = ( y 2 ( α x α x 2 ) ( x + α x α x 2 ) 3 27 ( α x α x 2 ) 3 ) 2 ( x + α x α x 2 ) 6 729 ( α x α x 2 ) 6 and δ = ( x + α x α x 2 ) 3 27 ( α x α x 2 ) 3 y 2 ( α x α x 2 ) ,
④ is x + α x + α 2 x 4 2 α 2 x 3 + α 2 x 2 2 α x 3 + 2 α x 2 + 4 α x y 4 α y + x 2 α x 2 2 ( α x α x 2 ) .
In the following, some properties that pseudo overlap functions and residuated implications R O ( 1 ) , R O ( 2 ) satisfy are presented.
Proposition 5.
Let O: [ 0 , 1 ] 2 [ 0 ,   1 ] be a POF. Then statements as below hold:
( 1 ) R O ( 1 ) , R O ( 2 ) satisfy (NP) if and only if 1 is the neutral element of O;
( 2 ) R O ( 2 ) satisfies (EP) if and only if O is associative, i.e., O ( r , O ( s , t ) ) = O ( s , O ( r , t ) ) , for arbitrary r , s , t [ 0 , 1 ] ;
( 3 ) R O ( 2 ) satisfies (IP) when and only when O satisfies O ( x , 1 ) x , for arbitrary x [ 0 , 1 ] ;
( 4 ) R O ( 2 ) satisfies (LOP) when and only when O satisfies O ( x , 1 ) x , for arbitrary x [ 0 , 1 ] ;
( 5 ) R O ( 2 ) satisfies (ROP) when and only when O satisfies O ( m , 1 ) m , for arbitrary m [ 0 , 1 ] ;
( 6 ) R O ( 2 ) satisfies (OP) when and only when O satisfies O ( x , 1 ) = x , x [ 0 , 1 ] ;
( 7 ) R O ( 2 ) satisfies (CB) if O ( p , q ) m i n { p , q } ;
( 8 ) R O ( 1 ) satisfies (SIB) if and only if R O ( 1 ) satisfies (CB), R O ( 2 ) satisfies (SIB) if and only if R O ( 2 ) satisfies (CB);
( 9 ) R O ( 1 ) , R O ( 2 ) satisfies (IB) if O ( x , y ) = m i n { x , y } ;
( 10 ) R O ( 1 ) , R O ( 2 ) satisfies (SBC), (LBC) and (RBC);
( 11 ) R O ( 1 ) , R O ( 2 ) satisfies (CB) if O has unit element 1.
Proof. 
(1) (⇒) Suppose for arbitrary x [ 0 , 1 ] , R O ( 1 ) ( 1 , x ) = s u p { z | O ( z , 1 ) x } = x , so for a random x [ 0 , 1 ] , one has O ( x , 1 ) x . If we take some x 0 in [0, 1], one has O ( x 0 , 1 ) < x 0 , then taking z = O ( x 0 , 1 ) . According to RP1, z < x 0 R O ( 1 ) ( 1 , z ) , which is contradiction. Similarly, R O ( 2 ) ( 1 , x ) = s u p { z | O ( 1 , z ) x } = x O ( 1 , x ) x . According to RP2, O ( 1 , x ) = x when taking each x [ 0 , 1 ] . So O has unit element 1.
(⇐) Suppose O ( x , 1 ) = x as well as O ( 1 , x ) = x , for arbitrary x [ 0 , 1 ] . So R O ( 1 ) ( 1 , x ) = s u p { z | O ( z , 1 ) x } = s u p { z | z x } = x , R O ( 2 ) ( 1 , x ) = s u p { z | O ( 1 , z ) x } = s u p { z | z x } = x ;
(2) For all r , s , t [ 0 , 1 ] , suppose O ( r , O ( s , t ) ) = O ( s , O ( r , t ) ) = a . According to RP2, O ( r , O ( s , t ) ) = a and O ( s , O ( r , t ) ) = a O ( s , t ) = R O ( 2 ) ( r , a ) and O ( r , t ) ) = R O ( 2 ) ( s , a ) t = R O ( 2 ) ( s , R O ( 2 ) ( r , a ) ) and t = R O ( 2 ) ( r , R O ( 2 ) ( s , a ) ) , i.e., R O ( 2 ) ( r , R O ( 2 ) ( s , a ) ) = R O ( 2 ) ( s , R O ( 2 ) ( r , a ) ) ;
(3) When taking random x [ 0 , 1 ] , R O ( 2 ) ( x , x ) = s u p { z | O ( x , z ) x } = 1 O ( x , 1 ) x ;
(4) (⇒) For an arbitrary x [ 0 , 1 ] , due to x x , R O ( 2 ) ( x , x ) = s u p { z | O ( x , z ) x } = 1 O ( x , 1 ) x .
(⇐) If we take random x , y [ 0 , 1 ] , then because O ( x , z ) O ( x , 1 ) x y when taking each z [ 0 , 1 ] , R O ( 2 ) ( x , y ) = s u p { z | O ( x , z ) y } = 1 ;
(5) (⇒) For any m [ 0 , 1 ] , R O ( 2 ) ( m , O ( m , 1 ) ) = s u p { z [ 0 ,   1 ] | O ( m , z ) O ( m , 1 ) } = 1 , so m O ( m , 1 ) .
(⇐) Assume O ( m , 1 ) m , for arbitrary m [ 0 , 1 ] . R O ( 2 ) ( m , n ) = s u p { z [ 0 ,   1 ] | O ( m , z ) n } = 1 O ( m , 1 ) n m O ( m , 1 ) n , i.e., m n ;
(6) Obviously, it can be obtained from the above two certificates;
(7) For arbitrary p , q [ 0 , 1 ] , O ( p , q ) m i n { p , q } O ( p , q ) q q { z [ 0 ,   1 ] | O ( p , z ) q } q s u p { z [ 0 ,   1 ] | O ( p , z ) q } = R O ( 2 ) ( p , q ) ;
(8) When taking random x , y [ 0 , 1 ] , because O fits monotonic increment, we have y R O ( 1 ) ( x , y ) y s u p { z [ 0 ,   1 ] | O ( z , x ) y } { z [ 0 ,   1 ] | O ( z , x ) y } { z [ 0 ,   1 ] | O ( z , x ) R O ( 1 ) ( x , y ) } s u p { z [ 0 ,   1 ] | O ( z , x ) y } s u p { z [ 0 ,   1 ] | O ( z , x ) R O ( 1 ) ( x , y ) } R O ( 1 ) ( x , y ) R O ( 1 ) ( x , R O ( 1 ) ( x , y ) ) . Similarly, y R O ( 2 ) ( x , y ) R O ( 2 ) ( x , y ) R O ( 2 ) ( x , R O ( 2 ) ( x , y ) ) ;
(9) When taking random x , y [ 0 , 1 ] , R O ( 1 ) ( x , y ) = s u p { z [ 0 ,   1 ] | m i n ( z , x ) y } = 1 , x y y , x > y when O ( x , y ) = m i n { x , y } . Then, whenever x y , R O ( 1 ) ( x , R O ( 1 ) ( x , y ) ) = R O ( 1 ) ( x , 1 ) = 1 = R O ( 1 ) ( x , y ) . On the other side, R O ( 1 ) ( x , R O ( 1 ) ( x , y ) ) = R O ( 1 ) ( x , y ) when x > y . Similarly, R O ( 2 ) ( x , R O ( 2 ) ( x , y ) ) = R O ( 2 ) ( x , y ) ;
(10) When taking random x [ 0 , 1 ] , suppose x 0 , R O ( 1 ) ( x , 0 ) = s u p { z [ 0 ,   1 ] | O ( z , x ) 0 } , since O ( z , x ) 0 , then O ( z , x ) = 0 z = 0 , i.e., R O ( 1 ) ( x , 0 ) = 0 . When taking a random x , y [ 0 , 1 ] , obviously, R O ( 1 ) ( 0 , y ) = s u p { z [ 0 ,   1 ] | O ( z , 0 ) y } = 1 , R O ( 1 ) ( x , 1 ) = s u p { z [ 0 ,   1 ] | O ( z , x ) 1 } = 1 . Similarly, R O ( 2 ) ( x , 0 ) = 0 , R O ( 2 ) ( 0 , y ) = 1 and R O ( 2 ) ( x , 1 ) = 1 ;
(11) Suppose O has 1 as a neutral element, i.e., for any y [ 0 , 1 ] , O ( 1 , y ) = y = O ( y , 1 ) . Since O is increasing, O ( y , x ) O ( y , 1 ) = y and O ( x , y ) O ( 1 , y ) = y . According to RP1 and RP2, we have that y R O ( 1 ) ( x , y ) , y R O ( 2 ) ( x , y ) . □
Remark 1.
Since the two functions R O ( 1 ) and R O ( 2 ) are induced by the pseudo overlap function without commutativity, the above proposition can also expand some properties, such as:
( 2 ) R O ( 1 ) satisfies (EP) when and only when O satisfies O ( O ( x , y ) , z ) = O ( O ( x , z ) , y ) ;
( 3 ) R O ( 1 ) satisfies (IP) when and only when O satisfies O ( 1 , x ) x , x [ 0 , 1 ] ;
( 4 ) R O ( 1 ) satisfies (LOP) when and only when O satisfies O ( 1 , x ) x , x [ 0 , 1 ] ;
( 5 ) R O ( 1 ) satisfies (ROP) when and only when O satisfies O ( 1 , x ) x , x [ 0 , 1 ] ;
( 6 ) R O ( 1 ) satisfies(OP)when and only when O satisfies O ( 1 , x ) = x , x [ 0 , 1 ] .
The proof is similar to the above proposition.

4. Pseudo Grouping Functions and Their Residuated Co-Implications

In this section, we show notions of pseudo grouping functions as well as discuss residuated co-implications (the notion of co-implication was first proposed by B. De Baets and J. Fodor in [29]; it is also called deresiduum, see [35]). In addition, we also provide the general construction method of pseudo grouping functions. Finally, we provide some detailed examples.
Definition 14.
The binary mapping G: [ 0 , 1 ] 2 [ 0 ,   1 ] is known as a pseudo grouping function (briefly PGF) when G meets the requirements as below:
( G 1 ) The value of G is 0 when and only when values of two elements are 0;
( G 2 ) The value of G is 1 when and only when at least one of x and y has a value of 1;
( G 3 ) G meets monotonic increment;
( G 4 ) G meets continuity.
Observe that a PGF can be obtained by duality from a pseudo overlap function. We have the following basic result.
Proposition 6.
Let O be a pseudo overlap function and N a continuous negation such that N ( x ) = 0 when and only when x = 1 and N ( x ) = 1 when and only when x = 0 . Then operation G ( x , y ) = N ( O ( N ( x ) , N ( y ) ) ) is a pseudo grouping function. In particular, G is a PGF when and only when O ( x , y ) = 1 G ( 1 x , 1 y ) meets (O1’)(O4’).
Proof. 
Continuity as well as monotonicity are straightforward. Moreover, G ( x , y ) = 0 iff N ( O ( N ( x ) , N ( y ) ) ) = 0 iff O ( N ( x ) , N ( y ) ) = 1 iff N ( x ) N ( y ) = 1 iff x = y = 0 . Additionally, the other property is analogous. In particular, if we consider the negation N ( x ) = 1 x , we have the result as follows: G is a PGF when and only when O ( x , y ) = 1 G ( 1 x , 1 y ) fits (O1’)∼(O4’). □
Now, we provide some examples of PGFs.
Example 4.
(1) The operator G: [ 0 , 1 ] 2 [ 0 ,   1 ] defined, when taking random x , y [ 0 , 1 ] , as
G ( x , y ) = 1 ( 1 x ) ( 1 y ) 2
is a PGF;
(2) An operation G: [ 0 , 1 ] 2 [ 0 ,   1 ] formulated, when taking arbitrary x , y [ 0 , 1 ] , as
G ( x , y ) = 1 m i n { ( 1 x ) p , ( 1 y ) q } , p , q > 0
is a PGF.
Definition 15.
An n-dimension ( n 2 ) operator G on [ 0 , 1 ] is known as an n-dimension pseudo grouping function when the following properties are established:
(1) G ( x 1 , , x n ) = 0 when and only when all values of x i are 0 ( i = 1 , , n );
(2) G ( x 1 , , x n ) = 1 when and only when there are some i ( i = 1 , , n ) so that x i = 1 ;
(3) G meets monotonic increment;
(4) G meets continuity.
Then we will provide some examples of n-dimensional PGFs.
Example 5.
( 1 ) The operator G: [ 0 , 1 ] n [ 0 ,   1 ] formulated, when taking random x 1 , x 2 , , x n [ 0 ,   1 ] , as
G ( x , y ) = 1 i = 1 n 1 ( 1 x i ) · ( 1 x n ) 2
is an n-dimensional PGF.
( 2 ) An operation G: [ 0 , 1 ] n [ 0 ,   1 ] formulated, when taking random x 1 , x 2 , , x n [ 0 ,   1 ] , as
G ( x , y ) = 1 m i n { 1 x 1 , 1 x 2 , , 1 x n 1 , 1 x n }
is an n-dimensional PGF.
Proposition 7.
Let G 1 , G 2 be two operations satisfying (G1’)∼(G4’). Then, m a x ( G 1 , G 2 ) ( x , y ) = m a x ( G 1 ( x , y ) , G 2 ( x , y ) ) as well as m i n ( G 1 , G 2 ) ( x , y ) = m i n ( G 1 ( x , y ) , G 2 ( x , y ) ) meet (G1’)(G4’).
Proposition 8.
Let φ 1 , φ 2 , φ 3 : [ 0 , 1 ] [ 0 , 1 ] be monotonous mappings satisfying continuity and φ i ( x ) = 0 x = 0 , φ i ( x ) = 1 x = 1 ( i = 1 , 2 , 3 ). Let G: [ 0 , 1 ] 2 [ 0 ,   1 ] be a PGF. Then mapping G φ 1 , φ 2 , φ 3 , defined as
G φ 1 , φ 2 , φ 3 ( x , y ) = φ 1 ( G ( φ 2 ( x ) , φ 3 ( y ) ) ) ,
also meets (G1’)(G4’).
Proposition 9.
Let G 1 , , G n be PGFs as well as F on [ 0 , 1 ] be an aggregate operator satisfying continuity, F ( x 1 , , x n ) = 0 only if x i = 0 for a few i = 1 , , n as well as F ( x 1 , , x n ) = 1 only if x i = 1 for a few i = 1 , , n . Then operation G ( c , d ) = F ( G 1 ( c , d ) , , G n ( c , d ) ) meets (G1’)(G4’).
Proposition 10.
Given a continuous aggregate operation F: [ 0 , 1 ] n [ 0 ,   1 ] , and it meets m i n ( i 1 , , i n ) F ( i 1 , , i n ) m a x ( i 1 , , i n ) . Let G 1 , , G n be PGFs, then operation G ( c , d ) = F ( G 1 ( c , d ) , , G n ( c , d ) ) meets (G1’)(G4’).
Corollary 2.
Given two pseudo grouping functions G 1 , G 2 , then function G defined as G ( x , y ) = α G 1 ( x , y ) + ( 1 α ) G 2 ( x , y ) is also a pseudo grouping function, where α [ 0 , 1 ] .
Proposition 11.
Let G be a pseudo grouping function, and S a continuous pseudo t-conorm without divisors of zero. Then
( 1 ) The bivariate mapping G S on [ 0 , 1 ] formulated as G S ( e , f ) = G ( e , f ) S ( e , f ) is a PGF;
( 2 ) When taking arbitrary positive pseudo t-conorm S’ on [0, 1] satisfying continuity, the bivariate mapping G S S on [ 0 , 1 ] formulated as G S S ( e , f ) = S ( G ( e , f ) , S ( e , f ) ) is a PGF.
Theorem 7.
Let G 1 , G 2 , , G n : [ 0 ,   1 ] 2 [ 0 ,   1 ] be pseudo grouping functions, and w 1 , w 2 , , w n [ 0 ,   1 ] satisfy n w i = 1 ; then the mapping G given by G ( x , y ) = n w i G i ( x , y ) is a PGF.
Theorem 8.
Given a pseudo grouping function G on [0, 1], and S 1 , S 2 : [ 0 , 1 ] 2 [ 0 ,   1 ] are continuous pseudo t-conorms, as well as ( x , y [ 0 , 1 ] , i = 1 , 2 ) S i ( x , y ) = 1 implying x = 1 or y = 1 . Then the function G, formulated as G ( x , y ) = G ( S 1 ( x , y ) , S 2 ( x , y ) ) , meets (G1’)(G4’).
The proofs of the Theorem 7 and Theorem 8 are consistent with those of Theorem 4 and Theorem 5, respectively, which are related to the pseudo overlap function. Similarly, we obtain the residuated co-implications induced from PGFs.
Definition 16.
Given a PGF G on [ 0 , 1 ] . The following R G ( 1 ) and R G ( 2 ) : [ 0 , 1 ] 2 [ 0 ,   1 ] are called two residuated implications, when taking random x , y [ 0 , 1 ] :
R G ( 1 ) ( x , y ) = i n f { z [ 0 ,   1 ] | G ( z , x ) y } ,
R G ( 2 ) ( x , y ) = i n f { z [ 0 ,   1 ] | G ( x , z ) y } .
Obviously, R G ( 1 ) = R G ( 2 ) when the pseudo grouping function G is commutative. The functions R G ( 1 ) and R G ( 2 ) are called residuated co-implications associated with the pseudo grouping function G on the first and second variables, respectively.
Theorem 9.
Let G be a PGF on [ 0 , 1 ] , statements as follows are equivalent:
( 1 ) G is infinitely ∧-distributive in its first variable;
( 2 ) G ( x , y ) z when and only when x R G ( 1 ) ( y , z ) for arbitrary x , y , z [ 0 , 1 ] ;
( 3 ) G ( R G ( 1 ) ( x , y ) , x ) y for any x , y [ 0 , 1 ] ;
( 4 ) R G ( 1 ) ( x , y ) = m i n { z [ 0 , 1 ] | G ( z , x ) y } when taking any x , y [ 0 , 1 ] .
Similarly, the following statements are equivalent:
( 1 ) G is infinitely ∧-distributive in its second variable;
( 2 ) G ( x , y ) z iff y R G ( 2 ) ( x , z ) when taking arbitrary x , y , z [ 0 , 1 ] ;
( 3 ) G ( x , R G ( 2 ) ( x , y ) ) y for arbitrary x , y [ 0 , 1 ] ;
( 4 ) R G ( 2 ) ( x , y ) = m i n { z [ 0 , 1 ] | G ( x , z ) y } for any x , y [ 0 , 1 ] .
Proof. 
By Theorem 4.3 in [34] (or Theorem 3.4 in [35]), we get that the conditions (1)∼(4) are equivalent. In the same way, we get that the conditions (1’)∼(4’) are equivalent. □
Proposition 12.
Let G 1 , G 2 be two PGFs, R G 1 ( 1 ) , R G 1 ( 2 ) be residuated co-implications induced by G 1 and R G 2 ( 1 ) , R G 2 ( 2 ) are residuated co-implications induced by G 2 . Then
( 1 ) G 1 G 2 if and only if R G 2 ( 1 ) R G 1 ( 1 ) , G 1 G 2 if and only if R G 2 ( 2 ) R G 1 ( 2 ) .
( 2 ) G 1 = G 2 if and only if R G 2 ( 1 ) = R G 1 ( 1 ) if and only if R G 2 ( 2 ) = R G 1 ( 2 ) .
The concrete examples of pseudo grouping functions and residuated co-implications corresponding to them are as follows (see Table 2).
In Table 2, ⑤ is m a x { m i n { 1 x , 1 1 y + ( 1 α ) x α ( 1 x ) 2 + 1 α } , 1 1 y α ( 1 x ) 2 } ,
⑥ is m a x { m i n { 1 x , 1 α 1 + ( 1 α ) 2 + 4 α ( 1 x ) [ 1 y + ( 1 α ) x ] 2 α ( 1 x ) } , 1 1 y α ( 1 x ) } ,
⑦ is x + 2 α x 2 α x 2 1 3 ( α x α x 2 ) + p + q 3 + p q 3 , where p is y x 2 ( α x α x 2 ) ( x + 2 α x 2 α x 2 1 ) 3 27 ( α x α x 2 ) 3 + ( 2 x + α x α x 2 2 ) ( x + 2 α x 2 α x 2 1 ) 6 ( α x α x 2 ) 2 and q is ( 2 x + α x α x 2 2 3 ( α x α x 2 ) ( x + 2 α x 2 α x 2 1 ) 2 9 ( α x α x 2 ) 2 ) 3 + p 2 ,
⑧ is α x 3 + 2 x + α x x 2 2 α x 2 1 + v 2 ( α x 3 + α x 2 α x 2 ) , where v is ( 2 α x 2 α x 3 2 x + x 2 α x + 1 ) 2 4 ( α x 3 + α x 2 α x 2 ) ( 2 x x 2 y ) .

5. Some Applications of Pseudo Overlap Functions

In this section, we reveal some applications of POFs (PGFs) in MAGDM, fuzzy morphology and image processing.

5.1. Applications of Pseudo Overlap Functions in Multi-Attribute Group Decision Making

5.1.1. Pseudo Overlap Functions Generated by n-Dimensional Overlap Functions

Overlap functions have been used in multiple-attribute decision making, but because they are commutative, they cannot be directly applied to the decision problems in which the importance degree of different attributes is different. At the same time, in group decision-making, if the importance of different decision experts is different, the overlap function cannot be directly used to aggregate their decision information.
Interestingly, we can construct some pseudo overlap functions from an n-dimensional overlap function and a set of weights (importance degree), thus applying pseudo overlap functions to solving multi-attribute (group) decision problems with preferences. According to reference [13], we get the theorem as below.
Theorem 10.
Let O be an n-ary overlap function as well as w = ( w 1 , , w n ) T be a weight vector satisfying for every j = 1 , , n , w j 0 and i = 1 n w j = 1 . If O is strict, i.e., it satisfies O ( y , x 2 , , x n ) > O ( x 1 , x 2 , , x n ) if j = 1 n x j > 0 and y > x 1 , then the function O w defined by O w ( x 1 , , x n ) = O ( w 1 x 1 , , w n x n ) O ( w 1 , , w n ) is a POF.
Proof. 
It is a corollary from Theorem 3.1 in [13]. □
Example 6.
Let w 1 = ( 0.3 , 0.3 , 0.4 ) . The following O i ( i = 1 , 2 , 3 , 4 , 5 ) are pseudo overlap functions obtained based on the different three-dimensional overlap functions with weight w 1 .
( 1 ) Given an overlap function O ( x 1 , x 2 , x 3 ) = 0 (when x 1 + x 2 + x 3 = 0 ) and 3 x 1 x 2 x 3 x 1 + x 2 + x 3 (otherwise), it is strict, so the function O 1 ( x 1 , x 2 , x 3 ) = 0 (when 0.3 x 1 + 0.3 x 2 + 0.4 x 3 = 0 ) and x 1 x 2 x 3 0.3 x 1 + 0.3 x 2 + 0.4 x 3 (otherwise) is a POF by Theorem 10;
( 2 ) Given a strict overlap function O ( x 1 , x 2 , x 3 ) = ( x 1 x 2 x 3 ) x 1 + x 2 + x 3 3 , the function O 2 ( x 1 , x 2 , x 3 ) = x 1 x 2 x 3 ( 0.3 x 1 + 0.3 x 2 + 0.4 x 3 ) is a POF by Theorem 10;
( 3 ) Given a strict overlap function O ( x 1 , x 2 , x 3 ) = 0 (when x 1 x 2 x 3 = 0 ) and 3 x 1 x 2 x 3 x 1 x 2 + x 2 x 3 + x 1 x 3 (otherwise), the function O 3 ( x 1 , x 2 , x 3 ) = 0 (when x 1 = x 2 = x 3 = 0 ) and 0.33 x 1 x 2 x 3 0.12 x 2 x 3 + 0.12 x 1 x 3 + 0.09 x 1 x 2 (otherwise) is a POF by Theorem 10;
( 4 ) Given an overlap function O ( x 1 , x 2 , x 3 ) = i = 1 3 x ( i ) 2 i , in which x ( 1 ) , x ( 2 ) , x ( 3 ) is the substitution of ( x 1 , x 2 , x 3 ) satisfying x ( 1 ) x ( 2 ) x ( 3 ) , O is strict, so the function,
O 4 ( x 1 , x 2 , x 3 ) = x ( 1 ) 2 x ( 2 ) 4 x ( 3 ) 6 0 . 4 2 0 . 3 4 0 . 3 6 ,
is a POF by Theorem 10, where x ( 1 ) , x ( 2 ) , x ( 3 ) is a permutation of ( 0.3 x 1 , 0.3 x 2 , 0.4 x 3 ) satisfying x ( 1 ) x ( 2 ) x ( 3 ) ;
( 5 ) Given an overlap function O ( x 1 , x 2 , x 3 ) = i = 1 3 x ( i ) 1 2 i , in which x ( 1 ) , x ( 2 ) , x ( 3 ) is a substitution of ( x 1 , x 2 , x 3 ) satisfying x ( 1 ) x ( 2 ) x ( 3 ) , O is strict, so function
O 5 ( x 1 , x 2 , x 3 ) = x ( 1 ) 1 2 x ( 2 ) 1 4 x ( 3 ) 1 6 0 . 3 1 2 0 . 3 1 4 0 . 4 1 6
is a POF by Theorem 10, where x ( 1 ) , x ( 2 ) , x ( 3 ) is the permutation of ( 0.3 x 1 , 0.3 x 2 , 0.4 x 3 ) such that x ( 1 ) x ( 2 ) x ( 3 ) .
Example 7.
Let w 2 = ( 0.1 , 0.1 , 0.2 , 0.2 , 0.2 , 0.2 ) . The following O i ( i = 6 , 7 , 8 , 9 , 10 ) are pseudo overlap functions obtained based on the different six-dimensional overlap functions with weight w 2 .
( 1 ) Given a strict overlap function O ( x 1 , x 2 , x 3 , x 4 , x 5 , x 6 ) = 6 x 1 x 2 x 3 x 4 x 5 x 6 x 1 + x 2 + x 3 + x 4 + x 5 + x 6 (when i = 1 6 x i 0 ) and 0 (when i = 1 6 x i = 0 ), then the function
O 6 ( x 1 , x 2 , x 3 , x 4 , x 5 , x 6 ) = 0 , i f 0.1 x 1 + 0.1 x 2 + 0.2 x 3 + 0.2 x 4 + 0.2 x 5 + 0.2 x 6 = 0 x 1 x 2 x 3 x 4 x 5 x 6 0.1 x 1 + 0.1 x 2 + 0.2 x 3 + 0.2 x 4 + 0.2 x 5 + 0.2 x 6 , o t h e r w i s e
is also a POF by Theorem 10;
( 2 ) Given a strict overlap function O ( x 1 , x 2 , x 3 , x 4 , x 5 , x 6 ) = x 1 x 2 x 3 x 4 x 5 x 6 x 1 + x 2 + x 3 + x 4 + x 5 + x 6 6 , then the function
O 7 ( x 1 , x 2 , x 3 , x 4 , x 5 , x 6 ) = x 1 x 2 x 3 x 4 x 5 x 6 ( 0.1 x 1 + 0.1 x 2 + 0.2 x 3 + 0.2 x 4 + 0.2 x 5 + 0.2 x 6 )
is a POF by Theorem 10;
( 3 ) Given a strict overlap function O ( x 1 , x 2 , x 3 , x 4 , x 5 , x 6 ) = 6 1 x 1 + 1 x 2 + 1 x 3 + 1 x 4 + 1 x 5 + 1 x 6 ( x i 0 , i = 1 , , 6 ) and 0 (when i = 1 6 x i = 0 ), then function O 8 ( x 1 , x 2 , x 3 , x 4 , x 5 , x 6 ) = 8 2 x 1 + 2 x 2 + 1 x 3 + 1 x 4 + 1 x 5 + 1 x 6 (when i = 1 6 x i 0 ) and 0 (when i = 1 6 x i = 0 ), is a POF by Theorem 10;
( 4 ) Given a strict overlap function O ( x 1 , x 2 , x 3 , x 4 , x 5 , x 6 ) = i = 1 6 x ( i ) 2 i , x ( 1 ) , , x ( 6 ) is the permutation of ( x 1 , x 2 , x 3 , x 4 , x 5 , x 6 ) such that x ( 1 ) x ( 2 ) x ( 3 ) x ( 4 ) x ( 5 ) x ( 6 ) , then the function
O 9 ( x 1 , x 2 , x 3 , x 4 , x 5 , x 6 ) = x ( 1 ) 2 x ( 2 ) 4 x ( 3 ) 6 x ( 4 ) 8 x ( 5 ) 10 x ( 6 ) 12 0 . 2 2 0 . 2 4 0 . 2 6 0 . 2 8 0 . 1 10 0 . 1 12
is a POF by Theorem 10, in which x ( 1 ) , , x ( 6 ) is the substitution of ( 0.1 x 1 , 0.1 x 2 , 0.2 x 3 , 0.2 x 4 , 0.2 x 5 , 0.2 x 6 ) such that x ( 1 ) x ( 2 ) x ( 3 ) x ( 4 ) x ( 5 ) x ( 6 ) ;
( 5 ) Given a strict overlap function O ( x 1 , x 2 , x 3 , x 4 , x 5 , x 6 ) = i = 1 6 x ( i ) 1 2 i , where x ( 1 ) , , x ( 6 ) is the permutation of ( x 1 , x 2 , x 3 , x 4 , x 5 , x 6 ) such that x ( 1 ) x ( 2 ) x ( 3 ) x ( 4 ) x ( 5 ) x ( 6 ) , then the function
O 10 ( x 1 , x 2 , x 3 , x 4 , x 5 , x 6 ) = x ( 1 ) 1 2 x ( 2 ) 1 4 x ( 3 ) 1 6 x ( 4 ) 1 8 x ( 5 ) 1 10 x ( 6 ) 1 12 0 . 1 1 2 0 . 1 1 4 0 . 2 1 6 0 . 2 1 8 0 . 2 1 10 0 . 2 1 12
is a POF by Theorem 10, in which x ( 1 ) , , x ( 6 ) is the substitution of ( 0.1 x 1 , 0.1 x 2 , 0.2 x 3 , 0.2 x 4 , 0.2 x 5 , 0.2 x 6 ) such that x ( 1 ) x ( 2 ) x ( 3 ) x ( 4 ) x ( 5 ) x ( 6 ) .

5.1.2. MAGDM on Account of Pseudo Overlap Functions

A solution for an MAGDM matter is a measure to select a relatively better scheme from a list of them while regarding some attributes of the alternatives as well as the view of a panel of experts. In such problems, a limited set X = { x 1 , , x n } including practicable schemes, U = { u 1 , , u m } including attributes as well as a set d = { d 1 , , d t } containing policy makers are given. The measure must select a better scheme that meets all attributes. Moreover, every policy maker d k determines matrix S ( k ) = ( s i j ( k ) ) n × m , in which each line stands for a scheme and each rank represents an attribute. In classical decision problems, according to the view of the policy makers d k , if an alternative x i has the attribute u j , the value of the position s i j ( k ) of S ( k ) is 1, otherwise it is 0. For some fuzzy attributes, the value of the position s i j ( k ) is the grade of membership, that is, a value in [0, 1] standing for the degree to which the scheme x i belongs to a fuzzy set related to the attribute u j . Additionally, all attributes are classified into two classes—benefit and cost—and we use I to represent the index set of the benefit attributes.
Similar to the method in [13], we present a solution for the problem as below:
(1) Standardize the decision matrix S ( k ) to a normal decision matrix N ( k ) = ( n i j ( k ) ) n × m , where n i j ( k ) = s i j ( k ) , j I 1 s i j ( k ) , j I ;
(2) Given a t-dimensional POF O, the standard decision matrices are aggregated into the overall decision matrix with O as follows: c i j = O ( n i j ( 1 ) , , n i j ( t ) ) ;
(3) For every scheme x i , in order to calculate the group totality preference value g t p i , we aggregate its membership degrees to each attribute by using an m-dimensional pseudo overlap function O as follows: g t p i = O ( c i 1 , , c i m ) ;
(4) Array all schemes in descending order according to group totality preference values and select the top scheme.

5.1.3. Living Example

The living example in [13] is regarded to demonstrate our approach.
Assume an investor plans to invest a portion of capital in one corporation. Finally, he narrows the range to six corporations: x 1 stands for the chemical corporation, x 2 stands for the food corporation, x 3 stands for the computer corporation, x 4 stands for the car corporation, x 5 stands for the furniture corporation, x 6 stands for the pharmaceutical corporation. The investor is assisted by three experts ( e 1 , e 2 and e 3 ). The experts establish some attributes utilized to estimate investments.
Three beneficial attributes as below:
( u 1 ) short period interests; ( u 2 ) mid-term interests; ( u 3 ) long-term interests;
The lossy attributes as below:
( u 4 ) investment hazard; ( u 5 ) investment trouble; ( u 6 ) other investment disadvantages.
The decision matrices of the three experts are as follows, see Table 3, Table 4 and Table 5.
These decision matrices are normalized respectively to obtain three normal decision matrices N ( 1 ) , N ( 2 ) and N ( 3 ) , which are described as below, see Table 6, Table 7 and Table 8.
Next, because three experts with the weights w = ( 0.3 , 0.3 , 0.4 ) , we aggregate the standard decision matrices of them by using three-dimensional pseudo overlap function O 1 in Example 6 to obtain the overall decision matrix, as shown in Table 9 below.
Then we obtain the group totality preference vector G T P by considering O 6 in Example 7, in which w = ( 0.1 , 0.1 , 0.2 , 0.2 , 0.2 , 0.2 ) . The outcome is shown in Table 10.
On account of Table 10, we get the array of the schemes as below:
x 2 x 1 x 5 x 4 x 6 x 3 .
Of course, we can get other rankings by using other different pseudo overlap functions in Examples 6 and 7. Table 11 contains eleven rankings obtained by the pseudo overlap functions and the result of four methods in [13] for this matter.
The above table shows that fifteen methods return ten different rankings.
In addition, when there are no exact weights, other non-commutative pseudo overlap functions (which cannot be directly generated by the method in Theorem 10) can also be selected. Non-commutative functions represent the different importance of different attributes or experts, but the importance degrees are not expressed by specific numbers, which are hidden in the functions (in this case, we can think that the weights can vary according to the attribute value). For the example above, we can use the following non-commutative pseudo overlap functions:
O 11 ( x 1 , x 2 , x 3 ) = x 1 1 6 x 2 1 4 x 3 1 2
O 12 ( x 1 , x 2 , x 3 ) = 0 i f x 1 = x 2 = x 3 = 0 6 x 1 x 2 x 3 3 x 1 + 2 x 2 + x 3 o t h e r w i s e
O 13 ( x 1 , x 2 , x 3 ) = 2 x 1 1 4 x 2 1 3 x 3 1 2 1 + x 1 1 4 x 2 1 3 x 3 1 2
O 14 ( x 1 , x 2 , x 3 , x 4 , x 5 , x 6 ) = x 1 1 12 x 2 1 10 x 3 1 8 x 4 1 6 x 5 1 4 x 6 1 2
O 15 ( x 1 , x 2 , x 3 , x 4 , x 5 , x 6 ) = 0 , i f x i = 0 ( i = 1 , 2 , , 6 ) 10 x 1 x 2 x 3 x 4 x 5 x 6 4 x 1 + 2 x 2 + x 3 + x 4 + x 5 + x 6 , o t h e r w i s e
O 16 ( x 1 , x 2 , x 3 , x 4 , x 5 , x 6 ) = 2 x 1 1 7 x 2 1 6 x 3 1 5 x 4 1 4 x 5 1 3 x 6 1 2 1 + x 1 1 7 x 2 1 6 x 3 1 5 x 4 1 4 x 5 1 3 x 6 1 2
The results are shown in Table 12 below.
Analyzing Table 12, it is obvious that the nine schemes revert to four various arrangements. Among them, most (seven) think the best alternative is x 2 and nine think that x 3 is the worst alternative. Moreover, rankings in Table 11 and Table 12 can be fused and further analyzed by referring to the method in [36], which is omitted here.
Through the above comparative analysis, we show that the pseudo overlap functions can not only aggregate multiple information, but also indicate the importance of different information (including the importance of attributes and the importance of experts). They are more flexible than the overlap functions, and convenient for decision makers for choosing good alternatives.

5.2. Application of Pseudo Overlap Functions in Fuzzy Mathematical Morphology

The method of analyzing object shape in images using different neighborhood transformations based on set theory is known as mathematical morphology. At present, there is a mathematical morphology for binary images and a fuzzy mathematical morphology for gray images. Some authors improve fuzzy mathematical morphology by quoting t-norms and fuzzy implications when defining the most basic fuzzy dilation and fuzzy erosion operations (see [37]). We will introduce pseudo overlap functions and pseudo grouping functions into fuzzy mathematical morphology, and use the new operators in fuzzy mathematical morphology to extract the edge of gray images.

5.2.1. Fuzzy Mathematical Morphology Based on Pseudo Overlap Functions

A, B denote fuzzy sets on the referential S, and the membership function values corresponding to x are A ( x ) as well as B ( x ) , where A represents fuzzy set of the gray image to be operated, and B represents the fuzzy set of a smaller structural element. In fuzzy mathematical morphology, the fuzzy expansion operation D ( A , B ) as well as the corrosion operation E ( A , B ) of gray image A by structural element B are as follows:
D ( A , B ) ( y ) = s u p x { x | x B , x + y A } { m i n [ A ( y + x ) , B ( x ) ] } y A
E ( A , B ) ( y ) = i n f x { x | x B , x + y A } { m a x [ A ( y + x ) , B ( x ) ] } y A .
When a pseudo overlap function is applied to fuzzy mathematical morphology, the pseudo overlap function is used to replace the intersection operation in fuzzy dilation, and its corresponding pseudo grouping function is used to replace the union operation in fuzzy erosion. At this time, the gray image A is subjected to the fuzzy expansion operation D ( A , B ) and the fuzzy corrosion operation E ( A , B ) performed by the structural element B, which are defined as follows, respectively:
D ( A , B ) ( y ) = s u p x { x | x B , x + y A } { O [ A ( y + x ) , B ( x ) ] }
E ( A , B ) ( y ) = i n f x { x | x B , x + y A } { G [ A ( y + x ) , B ( x ) ] }

5.2.2. Experimental Framework

In the original fuzzy mathematical morphology, after the image is blurred, t-norms and fuzzy implications are often used to expand and erode the image, and then de-blur it. However, we use pseudo overlap functions and pseudo grouping functions as fuzzy expansion and erosion operators, convex combine their results, and then defuzzify it. The specific steps are as follows.
(1) Fuzzy grayscale image
The grayscale image shown in Figure 3 is selected as the image to be processed, which is a single channel image with a resolution of 1200 * 675.
Set M represents the set of all points x = ( m , n ) in this image, and N represents the pixel value of each point in set M, at this time, there is a surjection f: M N . Where M is a point set with 1200 * 675 points, m = 1 , 2 , , 1200 , n = 1 , 2 , , 675 , N Z , and x M , f ( x ) [ 0 , 255 ] .
Note that function g: N A is the membership function of pixel value a in B:
g ( a ) = a X m i n X m a x X m i n a B ,
where X m i n and X m a x are the maximum and minimum values in set N respectively; then the mapping g f : M A is the function A ( x ) of the membership of each point x in the gray image M.
(2) Fuzzy dilation and fuzzy erosion operation
After obtaining the fuzzy set A of the gray image, the structure operators of fuzzy dilation and fuzzy erosion are B D and B E respectively.
B D = { 0.9 / ( 1 , 1 ) , 0.9 / ( 0 , 1 ) , 0.9 / ( 1 , 1 ) , 0.9 / ( 1 , 0 ) , 1.0 / ( 0 , 0 ) , 0.9 / ( 1 , 0 ) , 0.9 / ( 1 , 1 ) , 0.9 / ( 0 , 1 ) , 0.9 / ( 1 , 1 ) } ;
B E = { 0.9 / ( 1 , 1 ) , 0.1 / ( 0 , 1 ) , 0.1 / ( 1 , 1 ) , 0.1 / ( 1 , 0 ) , 0.2 / ( 0 , 0 ) , 0.1 / ( 1 , 0 ) , 0.1 / ( 1 , 1 ) , 0.1 / ( 0 , 1 ) , 0.1 / ( 1 , 1 ) } .
Fuzzy set A is fuzzily dilated by structural operator B D through Formula (15) to obtain fuzzy set D ( A , B D ) , and is fuzzily eroded by structural operator B E through Formula (16) to obtain fuzzy set E ( A , B E ) . The POF O as well as its corresponding pseudo grouping function G selected in the formula are O ( a , b ) = a 2 b , G ( a , b ) = 1 ( 1 a ) 2 ( 1 b ) .
(3) Defuzzification convex combination result
Firstly, the results of dilation and erosion are obtained through the convex combination formula shown below to obtain the fuzzy set C.
C ( y ) = 0.9 D ( A , B D ) ( y ) + 0.1 E ( A , B E ) ( y ) y A .
Then, the fuzzy set C is defuzzified to obtain the number set M .
M ( y ) = y 255 y C ,
where is rounding down.
After the fuzzy expansion and fuzzy erosion results of the original intensity of the image are convex combined, the convex combination results are de-blurred to obtain M , as the grayscale image shown in Figure 4.
On the other hand, when the de-blurring operation shown in Formula (17) is directly performed on D ( A , B D ) and E ( A , B E ) , the results of dilation and erosion of the original image are shown in Figure 5 and Figure 6, respectively.

5.2.3. Analysis of Experimental Results

In order to present the actual application effect, we used the edge extraction operation in mathematical morphology to extract the edges of objects in the original gray image M and the gray image M processed by fuzzy mathematical morphology based on pseudo overlap functions. The principle of edge extraction of a binary image by mathematical morphology is to dilate the foreground of the binary image, and then make a difference between the dilation result and the original image to obtain the edge of the binary image.
Firstly, binarization is performed on the gray image M and M , respectively, to obtain the binary images M b , M b , as shown in Figure 7 and Figure 8 below.
We take the binary structure operator B b as follows:
B b = 1 1 1 1 1 1 1 1 1 1 1 1 1 1 1 1 1 1 1 1 1 1 1 1 1
Then we perform edge extraction operations on binary images M b and M b , respectively: Edge1 = D ( M b ) M b , Edge2 = D ( M b ) M b .
The results of edge extraction for the original gray image and the gray image processed by fuzzy mathematical morphology with pseudo overlap functions are revealed in Figure 9 and Figure 10 respectively.
According to Figure 9 and Figure 10, the edge graph obtained by our method (Figure 10) has fewer unorganized points, that is, the gray image processed by fuzzy mathematical morphology with pseudo overlap functions can achieve better image edges through edge extraction in mathematical morphology. This is because the dilation and erosion operations of fuzzy mathematical morphology with pseudo overlap function expand the contrast of foreground and background in the gray image from two aspects: reducing the background gray value and increasing the foreground gray value, which can be seen from Figure 5 and Figure 6. Moreover, after introducing convex combination, the advantages of dilation and erosion are combined to further expand the contrast of foreground and background in the gray image. This allows us to extract the foreground with a more accurate threshold in the binarization operation, thus reducing noise similar to that in Figure 9.

5.3. Application of Pseudo Grouping Functions in Image Processing

In image segmentation, one of the most commonly used methods is threshold segmentation. In threshold processing, different targets of a picture are described by the gray level of every pixel. This technology mainly looks for a threshold t, so that the pixels with an intensity less than or equal to t are classified as the backdrop of the picture, while pixels with an intensity greater than t are classified as targets, and the converse is also true ([38]). Aranzazu Jurio et al. proposed a threshold algorithm based on the convex combination of the fuzzy method and grouping function in reference [12]. Our work is to introduce the pseudo grouping function to calculate the grouping value. Finally, we use the improved threshold algorithm to perform threshold segmentation on a gray image and compare it with Otus’s algorithm, one of the most commonly used thresholding methods.
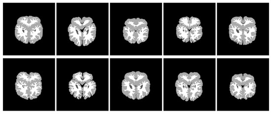
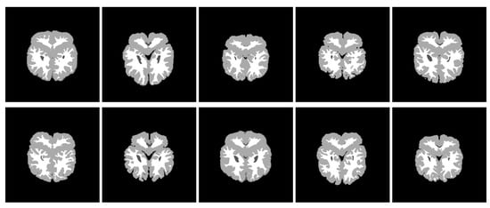
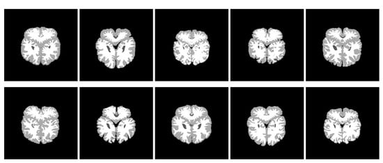
In this section, we show the performance of thresholding segmentation with the convex combination of pseudo grouping functions and the convex combination of grouping functions on 10 T1 weighted MRI images (see Figure 11). The MR cerebrum information as well as hand-operated segmentations originated from the morphometric analysis center of Massachusetts General Hospital. We evaluated the quality of excision by comparing with the ideal manually segmented images obtained on the same web page (see Figure 12). The purpose of this image segmentation was to divide each pixel in the cerebrum into two kinds—gray matter and white matter. In fact, it is a part of brain region volume analysis, which plays a great role in assessing the development of illness, for instance, Alzheimer’s disease, epilepsy or schizophrenia ([39,40]).
To improve the effect of thenconvex combination thresholding results of grouping functions on image segmentation, we consider using pseudo grouping functions instead of grouping functions. Because theoretically a grouping function is a special case of a pseudo grouping function, pseudo grouping functions give a wider function selection range and have a greater chance of finding a better function, which may improve the accuracy of thresholding image segmentation. We confirm this below.
The specific content of the experiment is that we randomly selected the grouping functions in advance and segmented the 10 images with their convex combination, which achieved a certain segmentation effect. Then, the convex combination of pseudo grouping functions was also used for segmentation to compare with it. Finally, we illustrate the superiority of the proposed method by the percentage of good classified pixels.
In the thresholding process of Aranzazu jurio et al., a fuzzy set μ Q B t ( q ) related to the background and a fuzzy set μ Q O t ( q ) related to the image target are constructed by using the strict equivalence function for a fixed gray level t ( t = 0 , 1 , , L 1 ) , for each gray level q ( q = 0 , 1 , , L 1 ) , h ( q ) is expressed as quantity of pixels with pixel intensity q.
When calculating the maximum grouping value using the convex combination of grouping functions G G c o m b ( x , y ) , select an appropriate threshold for each image:
t * = a r g m a x t q = 0 L 1 G G c o m b ( μ Q B t ( q ) , μ Q O t ( q ) ) · h ( q ) ,
when the convex combination of pseudo grouping functions P G G c o m b ( x , y ) is introduced for the thresholding operation, the threshold t * related to the maximum grouping value is taken as the best threshold. The formula of the improved algorithm is:
t * = a r g m a x t q = 0 L 1 P G G c o m b ( μ Q B t ( q ) , μ Q O t ( q ) ) · h ( q ) .
Then, five grouping functions are used as follows:
G 1 ( x , y ) = x + y x y
G 2 ( x , y ) = 2 ( 1 x ) 2 ( 1 y ) ( 1 x ) ( 1 y ) 2 2
G 3 ( x , y ) = x 2 + y 2 x 2 y 2
G 4 ( x , y ) = 1 ( 1 x ) ( 1 y )
G 5 ( x , y ) = 1 2 ( 1 x ) ( 1 y ) 1 + ( 1 x ) ( 1 y ) .
The five pseudo grouping functions are selected as below:
P G 1 ( x , y ) = G 1 ( x , y )
P G 2 ( x , y ) = G 2 ( x , y )
P G 3 ( x , y ) = G 3 ( x , y )
P G 4 ( x , y ) = 1 , 1.1 ( 1 x ) + ( 1 y ) = 0 1 ( 1.1 + 1 ) ( 1 x ) ( 1 y ) 1.1 ( 1 x ) + ( 1 y ) o t h e r w i s e
P G 5 ( x , y ) = G 5 ( x , y ) .
Through the convex combination of the above grouping functions and pseudo grouping functions, the results of threshold segmentations of 10 graphs are as follows (see Figure 13 and Figure 14).
We show the experimental results through specific data. In Table 13, we reveal the threshold obtained from every picture as well as the percentage of good sorted picture elements. The second column presents the outcomes gained from the convex association of grouping functions, and the third column presents the outcomes gained from the convex association of PGFs. As we can see from the experiment, our method has higher accuracy, that is, the use of convex association of PGFs significantly improves the segmentation accuracy of each image.
Then, in contrast with Otsu’s algorithm ([41]), the thresholding method on the basis of pseudo grouping functions has greater advantages. In Table 14, we show the thresholds obtained by the two algorithms and the percentage of pixels with good classification. We can find that our method obtains the better results for each picture in the test case, hence it mends Otsu’s thresholding technique with regard to the group of pictures.

6. Conclusions

Starting from many practical application fields, we expand the theory of OFs as well as grouping functions, introduce new concepts of POFs and PGFs for the first time, and investigate their basic properties, construction methods, and induced residuated implication operators and residuated co-implication operators. Moreover, we discuss some applications of pseudo overlap (grouping) functions in multiple attributes group decision-making, fuzzy mathematical morphology and image processing. The experimental results show that: (1) pseudo overlap functions can aggregate the decision information of attributes or experts with different importance; (2) pseudo overlap functions and their convex combination can be used to enrich the operators in fuzzy mathematical morphology, and expand the contrast between foreground and background in gray images, so as to reduce the noise in edge extraction; (3) pseudo grouping functions can be used to improve the accuracy of thresholding image segmentation in image processing. Therefore, POFs and PGFs have a wide adaptability and application value. There are still many theoretical and applied problems to be studied in terms of pseudo overlap functions and fuzzy logic (see [42,43,44,45,46,47]).

Author Contributions

Writing—original draft preparation, R.L., M.L. and Q.O.; writing—review and editing, X.Z., H.B., B.B. and J.F. All authors have read and agreed to the published version of the manuscript.

Funding

This research was funded by National Natural Science Foundation of China (No. 12271319) and research project No. PID2019-108392GB-I00 (AEI/10.13039/501100011033). The Major Program of the National Social Science Foundation of China under Grant No. 20&ZD047.

Institutional Review Board Statement

Not applicable.

Informed Consent Statement

Not applicable.

Data Availability Statement

Not applicable.

Conflicts of Interest

The authors declare no conflict of interest.

References

  1. Grabisch, M.; Marichal, J.-L.; Mesiar, R.; Pap, E. Aggregation functions. In Encyclopedia of Mathematics and Its Applications; Cambridge University Press: Cambridge, UK, 2009; pp. 56–130. [Google Scholar]
  2. Rudas, I.J.; Pap, E.; Fodor, J. Information aggregation in intelligent systems: An application oriented approach. Knowl.-Based Syst. 2013, 38, 3–13. [Google Scholar] [CrossRef]
  3. Bustince, H.; Fernandez, J.; Mesiar, R.; Montero, J.; Orduna, R. Overlap functions. Nonlinear Anal. 2010, 72, 1488–1499. [Google Scholar] [CrossRef]
  4. Dimuro, G.P.; Bedregal, B. On residual implications derived from overlap functions. Inf. Sci. 2015, 312, 78–88. [Google Scholar] [CrossRef]
  5. Qiao, J. On binary relations induced from overlap and grouping functions. Int. J. Approx. Reason. 2019, 106, 155–171. [Google Scholar] [CrossRef]
  6. Dai, S. Comparison of overlap and grouping functions. Axioms 2022, 11, 420. [Google Scholar] [CrossRef]
  7. Qiao, J. On (IO, O)-fuzzy rough sets based on overlap functions. Int. J. Approx. Reason. 2021, 132, 26–48. [Google Scholar] [CrossRef]
  8. Cao, M.; Hu, B. On the ordinal sum of fuzzy implications: New results and the distributivity over a class of overlap and grouping functions. Fuzzy Sets Syst. 2022, 446, 93–123. [Google Scholar] [CrossRef]
  9. Qiao, J. Overlap and grouping functions on complete lattices. Inf. Sci. 2021, 542, 406–424. [Google Scholar] [CrossRef]
  10. Qiao, J.; Hu, B. On homogeneous, quasi-homogeneous and pseudo-homogeneous overlap and grouping functions. Fuzzy Sets Syst. 2019, 357, 58–90. [Google Scholar] [CrossRef]
  11. Jurio, A.; Bustince, H.; Pagola, M.; Pradera, A.; Yager, R.R. Some properties of overlap and grouping functions and their application to image thresholding. Fuzzy Sets Syst. 2013, 229, 69–90. [Google Scholar] [CrossRef]
  12. Jurio, A.; Paternain, D.; Pagola, M.; Bustince, H. Image thresholding by grouping functions: Application to MRI images. In Recent Developments and New Directions in Soft Computing; Springer: Cham, Switzerland, 2014; pp. 195–208. [Google Scholar]
  13. Da Silva, I.A.; Bedregal, B.; Bustince, H. Weighted average operators generated by n-dimensional overlaps and an application in decision. In Proceedings of the 2015 Conference of the International Fuzzy Systems Association and the European Society for Fuzzy Logic and Technology, Gijon, Spain, 30 June–3 July 2015. [Google Scholar]
  14. Qiao, J.; Gong, Z. On r -(quasi-)overlap functions. IEEE Trans. Fuzzy Syst. 2020, 29, 3178–3185. [Google Scholar] [CrossRef]
  15. Lucca, G.; Antonio Sanz, J.; Pereira Dimuro, G.; Bedregal, B.; Jose Asiain, M.; Elkano, M.; Bustince, H. CC-integrals: Choquet-like copula-based aggregation functions and its application in fuzzy rule–based classification systems. Knowl.-Based Syst. 2017, 119, 32–43. [Google Scholar] [CrossRef]
  16. Flondor, P.; Georgescu, G.; Iorgulescu, A. Pseudo-t-norms and pseudo-BL algebras. Soft Comput. 2001, 5, 355–371. [Google Scholar] [CrossRef]
  17. Georgescu, G.; Popescu, A. Non-commutative fuzzy structures and pairs of weak negations. Fuzzy Sets Syst. 2003, 143, 129–155. [Google Scholar] [CrossRef]
  18. Liu, H. Two classes of pseudo-triangular norms and fuzzy implications. Comput. Math. Appl. 2011, 61, 783–789. [Google Scholar] [CrossRef]
  19. Bloch, I.; Maitre, H. Fuzzy mathematical morphologies: A comparative study. Pattern Recognit. 1995, 28, 1341–1387. [Google Scholar] [CrossRef]
  20. De Baets, B. A fuzzy morphology: A logical approach. In Uncertainty Analysis in Engineering and Sciences; Springer: Berlin/Heidelberg, Germany, 1998; pp. 53–67. [Google Scholar]
  21. Bloch, I. Duality vs. adjunction for fuzzy mathematical morphology and general form of fuzzy erosions and dilations. Fuzzy Sets Syst. 2009, 160, 1858–1867. [Google Scholar] [CrossRef]
  22. Nachtegael, M.; Sussner, P.; Melange, T.; Kerre, E.E. On the role of complete lattices in mathematical morphology: From tool to uncertainty model. Inf. Sci. 2011, 181, 1971–1988. [Google Scholar] [CrossRef]
  23. Gonzalez-Hidalgo, M.; Massanet, S.; Mir, A.; Ruiz-Aguilera, D. On the choice of the pair conjunction-implication into the fuzzy morphological edge detector. IEEE Trans. Fuzzy Syst. 2015, 23, 872–884. [Google Scholar] [CrossRef]
  24. Roerdink, J.B.T.M. Mathematical morphology with noncommutative symmetry groups. Math. Morphol. Image Process. 1993, 34, 205–254. [Google Scholar]
  25. Madrid, N.; Ojeda-Aciego, M.; Medina, J.; Perfilieva, I. L-fuzzy relational mathematical morphology based on adjoint triples. Inf. Sci. 2019, 474, 75–89. [Google Scholar] [CrossRef]
  26. Gottwald, S. Fuzzy Sets and Logic Fuzzy; Friedrich, Vieweg & Sohn Verlag: Wiesbaden, Germany, 1993. [Google Scholar]
  27. Mesiar, R.; Kolesarova, A. Copulas and fuzzy implications. Int. J. Approx. Reason. 2020, 117, 52–59. [Google Scholar] [CrossRef]
  28. Ward, M.; Dilworth, R.P. Residuated lattices. Trans. Am. Math. Soc. 1939, 45, 335–354. [Google Scholar] [CrossRef]
  29. De Baets, B.; Fodor, J. Residual operators of uninorms. Soft Comput. 1999, 3, 89–100. [Google Scholar] [CrossRef]
  30. Ruiz, D.; Torrens, J. Residual implications and co-implications from idempotent uninorms. Kybernetika 2004, 40, 21–38. [Google Scholar]
  31. Hartonas, C. Duality results for (co)residuated lattices. Log. Universalis 2019, 13, 77–99. [Google Scholar] [CrossRef]
  32. Mesiarova, A. A note on two open problems of Alsina, Frank and Schweizer. Aequationes Math. 2006, 72, 41–46. [Google Scholar] [CrossRef]
  33. Ouyang, Y. A note on metrics induced by copulas. Fuzzy Sets Syst. 2012, 191, 122–125. [Google Scholar] [CrossRef]
  34. Sun, F.; Wang, X.; Qu, X.; Shu, Q.; Zhang, X. Residual operations of monotone binary operations over complete lattices. Int. J. Approx. Reason. 2019, 110, 127–144. [Google Scholar] [CrossRef]
  35. Su, Y.; Wang, Z. Deresiduums of implications on a complete lattice. Inf. Sci. 2015, 325, 504–520. [Google Scholar]
  36. Bustince, H.; Bedregal, B.; Campion, M.J.; da Silva, I.A.; Fernandez, J.; Indurain, E.; Raventos-Pujol, A.; Santiago, R.H.N. Aggregation of individual rankings through fusion functions: Criticism and optimality analysis. IEEE Trans. Fuzzy Syst. 2022, 30, 638–648. [Google Scholar] [CrossRef]
  37. Nachtegael, M.; Kerre, E.E. Classical and fuzzy approaches towards mathematical morphology. In Fuzzy Techniques in Image Processing; Springer: Berlin/Heidelberg, Germany, 2000; pp. 1–57. [Google Scholar]
  38. Bustince, H.; Barrenechea, E.; Pagola, M. Image thresholding using restricted equivalence functions and maximizing the measure of similarity. Fuzzy Sets Syst. 2007, 158, 496–516. [Google Scholar] [CrossRef]
  39. Caldairou, B.; Passat, N.; Habas, P.; Studholme, C.; Rousseau, F. A non-local fuzzy segmentation method: Application to brain MRI. Pattern Recognit. 2011, 44, 1916–1927. [Google Scholar] [CrossRef]
  40. Mayer, A.; Greenspan, H. An adaptive mean-shift framework for MRI brain segmentation. IEEE Trans. Med. Imaging 2009, 28, 105–118. [Google Scholar] [CrossRef] [PubMed]
  41. Otsu, N. A threshold selection method from gray level histograms. IEEE Trans. Syst. Man Cybern. 2007, 9, 62–66. [Google Scholar] [CrossRef]
  42. Liang, R.; Zhang, X. Interval-valued pseudo overlap functions and application. Axioms 2022, 11, 216. [Google Scholar] [CrossRef]
  43. Zhang, X.; Liang, R.; Bedregal, B. Weak inflationary BL-algebras and filters of inflationary (pseudo) general residuated lattices. Mathematics 2022, 10, 3394. [Google Scholar] [CrossRef]
  44. Sheng, N.; Zhang, X. Regular partial residuated lattices and their filters. Mathematics 2022, 10, 2429. [Google Scholar] [CrossRef]
  45. Hu, M.; Wang, C.; Yang, J.; Wu, Y.; Fan, J.; Jing, B. Rain Rendering and Construction of Rain Vehicle Color-24 Dataset. Mathematics 2022, 10, 3210. [Google Scholar] [CrossRef]
  46. Liu, H.; Zhao, B. New results on the distributive laws of uninorms over overlap functions. IEEE Transactions on Fuzzy Systems 2021, 29, 1927–1941. [Google Scholar] [CrossRef]
  47. Liang, R.; Zhang, X. Pseudo general overlap functions and weak inflationary pseudo BL-algebras. Mathematics 2022, 10, 3007. [Google Scholar] [CrossRef]
Figure 1. Diagram of (3) in Example 1.
Figure 1. Diagram of (3) in Example 1.
Axioms 11 00593 g001
Figure 2. Intersection of the main classes of aggregation functions considered in this paper.
Figure 2. Intersection of the main classes of aggregation functions considered in this paper.
Axioms 11 00593 g002
Figure 3. Grayscale image.
Figure 3. Grayscale image.
Axioms 11 00593 g003
Figure 4. Convex combination result after defuzzification.
Figure 4. Convex combination result after defuzzification.
Axioms 11 00593 g004
Figure 5. Result of dilation of the original image.
Figure 5. Result of dilation of the original image.
Axioms 11 00593 g005
Figure 6. Result of erosion of the original image.
Figure 6. Result of erosion of the original image.
Axioms 11 00593 g006
Figure 7. Binarization result of gray image M.
Figure 7. Binarization result of gray image M.
Axioms 11 00593 g007
Figure 8. Binarization result of gray image M .
Figure 8. Binarization result of gray image M .
Axioms 11 00593 g008
Figure 9. Result of edge extraction for the original gray image.
Figure 9. Result of edge extraction for the original gray image.
Axioms 11 00593 g009
Figure 10. Result of edge extraction for the gray image processed by fuzzy mathematical morphology.
Figure 10. Result of edge extraction for the gray image processed by fuzzy mathematical morphology.
Axioms 11 00593 g010
Figure 11. Original images.
Figure 11. Original images.
Axioms 11 00593 g011
Figure 12. Ideal manual segmentation image.
Figure 12. Ideal manual segmentation image.
Axioms 11 00593 g012
Figure 13. Obtained segmentations by the convex association of grouping functions.
Figure 13. Obtained segmentations by the convex association of grouping functions.
Axioms 11 00593 g013
Figure 14. Obtained segmentations from the convex association of pseudo grouping functions.
Figure 14. Obtained segmentations from the convex association of pseudo grouping functions.
Axioms 11 00593 g014
Table 1. Examples of pseudo overlap functions and their residuated implications.
Table 1. Examples of pseudo overlap functions and their residuated implications.
Pseudo Overlap FunctionResiduated Implications
(1) O ( x , y ) = m i n { x p , y q } , p , q > 0 R O ( 1 ) ( x , y ) = 1 , x q y y p , x q > y , R O ( 2 ) ( x , y ) = 1 , x p y y q , x p > y
(2) O ( x , y ) = 2 x p y q 1 + x p y q , p , q > 0 R O ( 1 ) ( x , y ) = 1 , y ( 2 y ) x q y ( 2 y ) x q p , o t h e r w i s e
R O ( 2 ) ( x , y ) = 1 , y ( 2 y ) x p y ( 2 y ) x p q , o t h e r w i s e  
(3) O ( x , y ) = x p y q , p , q > 0 R O ( 1 ) ( x , y ) = 1 , x q y y x q p , x q > y , R O ( 2 ) ( x , y ) = 1 , x p y y x p q , x p > y  
(4) O ( x , y ) = ( α + β ) x y α x + β y , α x + β y 0 0 , α x + β y = 0  
α , β > 0
R O ( 1 ) ( x , y ) = 1 , ( α + β ) x α y β x y β x y ( α + β ) x α y , o t h e r w i s e
R O ( 2 ) ( x , y ) = 1 , ( α + β ) x β y α x y α x y ( α + β ) x β y , o t h e r w i s e  
(5) O ( x , y ) = m a x { m i n { x , y 2 } , x + y 1 } R O ( 1 ) ( x , y ) = 1 , y x y x + 1 , x 2 y < x y , y < x 2
R O ( 2 ) ( x , y ) = 1 , y x m i n { 2 y , y x + 1 } , y < x  
(6) O ( x , y ) = m i n { x , y } m a x { x 2 , y } R O ( 1 ) ( x , y ) = 1 , x y x , x 2 y < x y x , y < x 2 , R O ( 2 ) ( x , y ) = 1 , y x y x , x 2 y < x m i n { y x 2 , y } , y < x 2  
(7) O ( x , y ) = x y γ x + ( 1 γ ) y , γ x + ( 1 γ ) y 0 0 , γ x + ( 1 γ ) y = 0
0 < γ < 1
R O ( 1 ) ( x , y ) = 1 , x γ y + ( 1 γ ) x y ( 1 γ ) x y x γ y , o t h e r w i s e
R O ( 2 ) ( x , y ) = 1 , x ( 1 γ ) y + γ x y γ x y x ( 1 γ ) y , o t h e r w i s e  
(8) O ( x , y ) = α x y 2 + ( 1 α ) m a x { 0 , x + y 1 } ,
0 < α < 1
R O ( 1 ) ( x , y ) = 1 , α x 2 + ( 1 α ) x y , o t h e r w i s e , R O ( 2 ) ( x , y ) = 1 , x y , x > y  
(9) O ( x , y ) = x 2 y + α x 2 y ( 1 x ) ( 1 y ) ,
α [ 1 , 1 ]
R O ( 1 ) ( x , y ) = 1 , x y , x > y , R O ( 2 ) ( x , y ) = 1 , x 2 y , x 2 > y
Table 2. Examples of pseudo grouping functions and their residuated co-implications.
Table 2. Examples of pseudo grouping functions and their residuated co-implications.
Pseudo Grouping FunctionResiduated Co-Implications
(1) G ( x , y ) = 1 m i n { ( 1 x ) p , ( 1 y ) q } ,
p , q > 0
R G ( 1 ) ( x , y ) = 0 , x 1 1 y q 1 1 y p , o t h e r w i s e
R G ( 2 ) ( x , y ) = 0 , x 1 1 y p 1 1 y q , o t h e r w i s e  
(2) G ( x , y ) = 1 2 ( 1 x ) p ( 1 y ) q 1 + ( 1 x ) p ( 1 y ) q ,
p , q > 0
R G ( 1 ) ( x , y ) = 0 , x 1 1 y 1 + y q 1 1 y ( 1 x q ( 1 + y ) p , o t h e r w i s e
R G ( 2 ) ( x , y ) = 0 , x 1 1 y 1 + y p 1 1 y ( 1 x ) p ( 1 + y ) q , o t h e r w i s e  
(3) G ( x , y ) = 1 ( 1 x ) p ( 1 y ) q , p , q > 0 R G ( 1 ) ( x , y ) = 0 , x 1 1 y q 1 1 y ( 1 x ) q p , o t h e r w i s e
R G ( 2 ) ( x , y ) = 0 , x 1 1 y p 1 1 y ( 1 x ) p q , o t h e r w i s e  
(4) G ( x , y ) = 1 , α ( 1 x ) + β ( 1 y ) = 0 1 ( α + β ) ( 1 x ) ( 1 y ) α ( 1 x ) + β ( 1 y ) , o t h e r w i s e
α , β > 0
R G ( 1 ) ( x , y ) = 0 , [ ( α + β ) β ( 1 y ) ] ( 1 x ) α ( 1 y ) 1 β ( 1 x ) ( 1 y ) ( α + β ) ( 1 x ) α ( 1 y ) , o t h e r w i s e
R G ( 2 ) ( x , y ) = 0 , [ ( α + β ) α ( 1 y ) ] ( 1 x ) β ( 1 y ) 1 α ( 1 x ) ( 1 y ) ( α + β ) ( 1 x ) β ( 1 y ) , o t h e r w i s e
(5) G ( x , y ) = 1 m a x { m i n { 1 x , 1 y 2 } ,
1 x y }
R G ( 1 ) ( x , y ) = 0 , y x 1 x 2 , x < y x + 1 2 y , y > x + 1 2 , R G ( 2 ) ( x , y ) = 0 , y m a x { x , 1 2 } 2 y 1 , y > 1 2 y x , y > x  
(6) G ( x , y ) = 1 m i n { 1 x , 1 y }
m a x { ( 1 x ) 2 , 1 y }
R G ( 1 ) ( x , y ) = 0 , x y m a x { y x 1 x , 1 1 y } , x < y
R G ( 2 ) ( x , y ) = 0 , x y 1 1 y 1 x , 1 1 y x < y 1 1 y ( 1 x ) 2 , x < 1 1 y  
(7) G ( x , y ) = 1 , α ( 1 x ) + ( 1 α ) ( 1 y ) = 0 1 ( 1 x ) ( 1 y ) α ( 1 x ) + ( 1 α ) ( 1 y ) , o t h e r w i s e ,
α ( 0 , 1 )
R G ( 1 ) ( x , y ) = 0 , x + α ( 1 y ) + ( 1 α ) ( 1 x ) ( 1 y ) 1 1 ( 1 α ) ( 1 x ) ( 1 y ) ( 1 x ) α ( 1 y ) , o t h e r w i s e
R G ( 2 ) ( x , y ) = 0 , x + α ( 1 x ) ( 1 y ) + ( 1 α ) ( 1 y ) 1 1 α ( 1 x ) ( 1 y ) ( 1 x ) ( 1 α ) ( 1 y ) , o t h e r w i s e  
(8) G ( x , y ) = 1 α ( 1 x ) ( 1 y ) 2 ( 1 α )
m a x { 0 , 1 x y } , 0 < α < 1
R G ( 1 ) ( x , y ) = 0 , 1 α ( 1 x ) 2 ( 1 α ) ( 1 x ) y , o t h e r w i s e
R G ( 2 ) ( x , y ) = 0 , x y , x < y  
(9) G ( x , y ) = 1 ( 1 x ) 2 ( 1 y ) α x y
( 1 x ) 2 ( 1 y ) , α [ 1 , 1 ]
R G ( 1 ) ( x , y ) = 0 , x y , x < y
R G ( 2 ) ( x , y ) = 0 , x 1 1 y , x < 1 1 y
Table 3. Appraisal of expert e 1 .
Table 3. Appraisal of expert e 1 .
S ( 1 ) u 1 u 2 u 3 u 4 u 5 u 6
x 1 0.70.80.60.70.50.9
x 2 0.80.60.90.70.60.7
x 3 0.50.40.80.30.80.8
x 4 0.60.70.60.70.80.6
x 5 0.90.80.40.70.70.8
x 6 0.80.30.70.70.60.7
Table 4. Appraisal of expert e 2 .
Table 4. Appraisal of expert e 2 .
S ( 2 ) u 1 u 2 u 3 u 4 u 5 u 6
x 1 0.60.80.50.60.40.8
x 2 0.70.60.80.60.70.7
x 3 0.70.60.80.70.80.8
x 4 0.60.70.50.60.80.7
x 5 0.70.80.70.70.60.8
x 6 0.60.40.80.70.60.7
Table 5. Appraisal of expert e 3 .
Table 5. Appraisal of expert e 3 .
S ( 3 ) u 1 u 2 u 3 u 4 u 5 u 6
x 1 0.70.60.60.60.40.7
x 2 0.70.60.70.60.60.7
x 3 0.60.50.80.50.80.8
x 4 0.60.70.70.50.80.6
x 5 0.70.80.60.70.60.8
x 6 0.40.50.90.70.60.6
Table 6. Normalized decision matrix of expert e 1 .
Table 6. Normalized decision matrix of expert e 1 .
N ( 1 ) u 1 u 2 u 3 u 4 u 5 u 6
x 1 0.70.80.60.30.50.1
x 2 0.80.60.90.30.40.3
x 3 0.50.40.80.70.20.2
x 4 0.60.70.60.30.20.4
x 5 0.90.80.40.30.30.2
x 6 0.80.30.70.30.40.3
Table 7. Normalized decision matrix of expert e 2 .
Table 7. Normalized decision matrix of expert e 2 .
N ( 2 ) u 1 u 2 u 3 u 4 u 5 u 6
x 1 0.60.80.50.40.60.2
x 2 0.70.60.80.40.30.3
x 3 0.70.60.80.30.20.2
x 4 0.60.70.50.40.20.3
x 5 0.70.80.70.30.40.2
x 6 0.60.40.80.30.40.3
Table 8. Normalized decision matrix of expert e 3 .
Table 8. Normalized decision matrix of expert e 3 .
N ( 3 ) u 1 u 2 u 3 u 4 u 5 u 6
x 1 0.70.60.60.40.60.3
x 2 0.70.60.70.40.40.3
x 3 0.60.50.80.50.20.2
x 4 0.60.70.70.50.20.4
x 5 0.70.80.60.30.40.2
x 6 0.40.50.90.30.40.4
Table 9. Overall decision matrix.
Table 9. Overall decision matrix.
C u 1 u 2 u 3 u 4 u 5 u 6
x 1 0.4390.5330.3160.1300.3160.029
x 2 0.5370.3600.6380.1300.1300.090
x 3 0.3500.2400.6400.2100.0400.040
x 4 0.3600.4900.3440.1460.0400.130
x 5 0.5800.6400.2950.0900.1300.040
x 6 0.3310.1460.6220.0900.1600.106
Table 10. Group totality preference value.
Table 10. Group totality preference value.
GTP x 1 x 2 x 3 x 4 x 5 x 6
g t p i 0.01840.02550.00860.01460.01480.0137
Table 11. Summary of the permutations gained with presented means as well as other methods.
Table 11. Summary of the permutations gained with presented means as well as other methods.
Three-Dimensional
Functions
Six-Dimensional
Functions
   Ranking
Maximum x 2 x 1 x 6 x 5 x 4 x 3
Minimum x 2 x 1 x 6 x 4 = x 5 x 3
WHD x 5 x 3 x 2 x 4 x 6 x 1
AOWAD x 5 x 2 x 4 x 3 x 6 x 1
O 1 O 6 x 2 x 1 x 5 x 4 x 6 x 3
O 1 O 7 x 2 x 1 x 5 x 6 x 4 x 3
O 1 O 8 x 2 x 6 x 4 x 5 x 1 x 3
O 2 O 6 x 2 x 1 x 4 x 5 x 6 x 3
O 2 O 7 x 2 x 1 x 5 x 6 x 4 x 3
O 2 O 8 x 2 x 6 x 4 x 5 x 1 x 3
O 3 O 6 x 2 x 1 x 5 x 4 x 6 x 3
O 3 O 7 x 2 x 1 x 5 x 6 x 4 x 3
O 3 O 8 x 2 x 5 x 4 x 1 x 6 x 3
O 4 O 9 x 2 x 6 x 1 x 4 x 5 x 3
O 5 O 10 x 2 x 5 x 4 x 1 x 6 x 3
Table 12. Summary of the permutations gained with suggested means.
Table 12. Summary of the permutations gained with suggested means.
Three-Dimensional
Functions
Six-Dimensional
Functions
Ranking
O 11 O 14 x 6 x 2 x 4 x 1 x 5 x 3
O 11 O 15 x 2 x 1 x 6 x 4 x 5 x 3
O 11 O 16 x 2 x 6 x 1 x 4 x 5 x 3
O 12 O 14 x 2 x 6 x 4 x 1 x 5 x 3
O 12 O 15 x 2 x 1 x 6 x 4 x 5 x 3
O 12 O 16 x 2 x 6 x 1 x 4 x 5 x 3
O 13 O 14 x 6 x 2 x 4 x 1 x 5 x 3
O 13 O 15 x 2 x 1 x 6 x 4 x 5 x 3
O 13 O 16 x 2 x 6 x 1 x 4 x 5 x 3
Table 13. Thresholds and percentages obtained from convex association of grouping functions and convex association of pseudo grouping functions.
Table 13. Thresholds and percentages obtained from convex association of grouping functions and convex association of pseudo grouping functions.
ImageConvex Combination of
Grouping Functions
Convex Combination of
Pseudo Grouping Functions
th%th%
118595.8819598.53
217996.7319599.04
316394.2617899.27
418396.0519297.86
517697.7718798.80
617396.9018198.33
718195.3719397.87
818295.6519598.87
918195.4819999.08
1016295.1517799.13
Table 14. Thresholds and percentages obtained from presented algorithm as well as Otsu’s algorithm.
Table 14. Thresholds and percentages obtained from presented algorithm as well as Otsu’s algorithm.
ImageConvex Combination of
Pseudo Grouping Functions
Otsu’s
th%th%
119598.5318595.88
219599.0417996.73
317899.2716094.26
419297.8618496.25
518798.8017196.72
618198.3317196.42
719397.8718496.05
819598.8718295.65
919999.0818295.76
1017799.1315995.15
Publisher’s Note: MDPI stays neutral with regard to jurisdictional claims in published maps and institutional affiliations.

Share and Cite

MDPI and ACS Style

Zhang, X.; Liang, R.; Bustince, H.; Bedregal, B.; Fernandez, J.; Li, M.; Ou, Q. Pseudo Overlap Functions, Fuzzy Implications and Pseudo Grouping Functions with Applications. Axioms 2022, 11, 593. https://doi.org/10.3390/axioms11110593

AMA Style

Zhang X, Liang R, Bustince H, Bedregal B, Fernandez J, Li M, Ou Q. Pseudo Overlap Functions, Fuzzy Implications and Pseudo Grouping Functions with Applications. Axioms. 2022; 11(11):593. https://doi.org/10.3390/axioms11110593

Chicago/Turabian Style

Zhang, Xiaohong, Rong Liang, Humberto Bustince, Benjamin Bedregal, Javier Fernandez, Mengyuan Li, and Qiqi Ou. 2022. "Pseudo Overlap Functions, Fuzzy Implications and Pseudo Grouping Functions with Applications" Axioms 11, no. 11: 593. https://doi.org/10.3390/axioms11110593

APA Style

Zhang, X., Liang, R., Bustince, H., Bedregal, B., Fernandez, J., Li, M., & Ou, Q. (2022). Pseudo Overlap Functions, Fuzzy Implications and Pseudo Grouping Functions with Applications. Axioms, 11(11), 593. https://doi.org/10.3390/axioms11110593

Note that from the first issue of 2016, this journal uses article numbers instead of page numbers. See further details here.

Article Metrics

Back to TopTop