Enhanced Nematode Reduction in Drinking Water Using Sodium Hypochlorite and Ozone
Abstract
1. Introduction
2. Materials and Methods
2.1. Description of the Existing WTP and the Implemented Ozonation Pilot
2.2. Materials Used
2.3. Research Methodology
3. Results
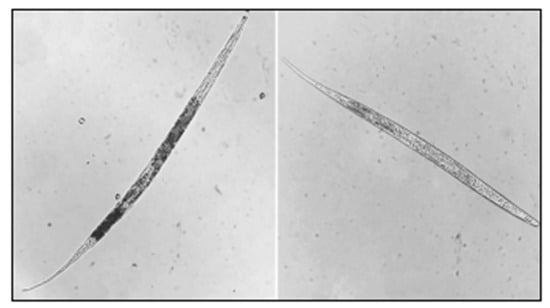
3.1. Effect of Sodium Hypochlorite on Nematode Removal
3.2. Effect of Ozone on Nematode Removal
3.3. Effect of Combined Application of Sodium Hypochlorite and Ozone onNematode Removal
4. Discussion
5. Conclusions
Author Contributions
Funding
Data Availability Statement
Acknowledgments
Conflicts of Interest
Abbreviations
| WTP | Water treatment plant |
| NIE | Nematode inactivation efficiency |
| NAN | No. of active nematodes |
| WRP | Water reclamation plant |
| NIN | No. of inactive nematodes |
| SD | Standard deviation |
| MF | Micro-filtration |
| UF | Ultra-filtration |
References
- Zhang, J.; Li, W.; Guw, X.; Zhang, X.; Wang, X.; Lv, L. Chlorine and UV combination sequence: Effects on antibiotic resistance control and health risks of ARGs. Environ. Manag. 2025, 373, 123780. [Google Scholar] [CrossRef]
- Basyoni, M.M.; Enas, M.R. Nematodes ultrastructure: Complex systems and processes. J. Parasit. Dis. 2016, 40, 1130–1140. [Google Scholar] [CrossRef] [PubMed]
- Mc Carlie, S.; Charlotte, E.B.; Robert, B. Molecular basis of bacterial disinfectant resistance. Drug Resist. Updat. 2020, 48, 100672. [Google Scholar] [CrossRef] [PubMed]
- Faridirad, F.; Gholinezhad, M.; Tabrizi, S.; Salabarzi, N. Investigation of nematode removal by units of pardis drinking water treatment plant. J. Water Wastewater Sci. Eng. 2021, 6, 27–37. [Google Scholar]
- Diemert, D.J. 365-Intestinal nematode infections. In Goldman’s Cecil Medicine, 24th ed.; Elsevier: Amsterdam, The Netherlands, 2012; Volume 2. [Google Scholar]
- Ren, X.; Li, J.; Zhou, Z.; Zhang, Y.; Wang, Z.; Zhang, D.; Tang, X.; Chen, H. Impact of invertebrates on water quality safety and their sheltering effect on bacteria in water supply systems. Environ. Pollut. 2023, 330, 121750. [Google Scholar] [CrossRef]
- Cui, H.; Liu, X.; Chen, S.; Liu, Z.; Chen, J.; Zhou, H.; Nielsen, U.N. Contrasting responses of nematode composition, richness and biomass to long-term warming. Sci. Total Environ. 2023, 894, 165074. [Google Scholar] [CrossRef]
- Locas, A.; Barbeau, B.; Gauthier, V. Nematodes as a source of total coliforms in a distribution system. Can. J. Microbiol. 2007, 53, 580–582. [Google Scholar] [CrossRef]
- Wu, Z.; Tang, X.; Chen, H. Seasonal and treatment-process variations in invertebrates in drinking water treatment plants. Front. Environ. Sci. Eng. 2021, 15, 62. [Google Scholar] [CrossRef]
- Barratt, J.; Chan, D.; Sandaradura, I.; Malik, R.; Spielman, D.; Lee, R.; Marriott, D.; Harkness, J.; Ellis, J.; Stark, D. Angiostrongyluscantonensis: A review of its distribution, molecular biology and clinical significance as a human pathogen. Parasitology 2016, 143, 1087–1118. [Google Scholar] [CrossRef]
- Kos, J.; Brmež, M.; Markić, M.; Sipos, L. The mortality of nematodes in drinking water in the presence of ozone, chlorine dioxide, and chlorine. Ozone Sci. Eng. 2020, 42, 120–127. [Google Scholar] [CrossRef]
- Tian, N.; Nie, Y.; Tian, X.; Wang, Y. Current Water Treatment Technologies: An Introduction, Handbook of Nanomaterials and Nanocomposites for Energy and Environmental Applications; Springer Nature: Cham, Switzerland, 2021; pp. 2033–2066. [Google Scholar]
- Trifirò, F.; Zanirato, T. Water Purification: Physical, Mechanical, Chemical and Biological Treatments. Mathews J. Pharm. Sci. 2024, 8, 3. [Google Scholar]
- Hotte, H.; Neveux, M.S.; Ollivier, F.; Mariette, N.; Folcher, L.; Le Roux, A.C. Can quarantine plant-parasitic nematodes within wastes be managed by useful tools in a circular economy approach? J. Environ. Manag. 2022, 323, 116184. [Google Scholar] [CrossRef]
- Lim, S.; Shi, J.L.; von Gunten, U.; McCurry, D.L. Ozonation of organic compounds in water and wastewater: A critical review. Water Res. 2022, 213, 118053. [Google Scholar] [CrossRef]
- Hoveydi, H.; Nabi, B.G.R.; Jafari, H.R.; Nasrabadi, T.; Shahriari, T. Evaluating the Use of Ozone for Disinfection of Drinking Water, Case Study: Tehran Pars Water Treatment Plant (Iran). Environ. Sci. 2008, 5, 31–38. [Google Scholar]
- Matsumoto, N.; Aizawa, T.; Ohgaki, S.; Hirata, T.; Toyooka, K.; Kanbayashi, T.; Tsutsumi, T.; Hasegawa, T. Removal methods of nematoda contained in the effluent of activated carbon. Water Supply 2002, 2, 183–190. [Google Scholar] [CrossRef]
- Steel, S.; Platz, M.S.; Riglos, A.; Garcia, B.; Jacob, J.I.S. Larvicidal Efficacy of Ozone and Ultrasound on Angiostrongylus cantonensis (Rat Lungworm) Third-Stage Larvae. Foods 2022, 11, 953. [Google Scholar] [CrossRef] [PubMed]
- Velásquez, M.T.O.; Martínez, J.L.; Monje–Ramírez, I.; Rojas-Valencia, M.N. Destruction of Helminth (Ascaris suum) Eggs by Ozone. Ozone Sci. Eng. 2004, 26, 359–366. [Google Scholar] [CrossRef]
- Ibañez-Cervantes, G.; Ramírez-Cortina, C.R.; Márquez-Navarro, A.; Alonso-Gutiérrez, M.S.; León-Ávila, G.; León-García, G.; Nogueda-Torres, B. Effect of Ozone and Peroxone on HelminthHymenolepis NanaEggs. Ozone Sci. Eng. 2013, 35, 201–207. [Google Scholar] [CrossRef]
- Ferral-Pérez, H.; Torres Bustillos, L.G.; Méndez, H.; Rodríguez-Santillan, J.L.; Chairez, I. Sequential Treatment of Tequila Industry Vinasses by Biopolymer-based Coagulation/Flocculation and Catalytic Ozonation. Ozone Sci. Eng. 2016, 38, 279–290. [Google Scholar] [CrossRef]
- Dong, Z.; Yin, W.; Yang, J.; Zhang, J.; Jiang, C. Risk assessment and inactivation of invertebrate-internalized bacteria in pilot-scale biological activated carbon filtration. Sci. Total Environ. 2019, 676, 321–332. [Google Scholar] [CrossRef]
- Li, H.; Feng, M.; Yu, X. Qualitative and quantitative analysis of the effects of drinking water disinfection processes on eukaryotic microorganisms: A meta-analysis. Chemosphere 2023, 332, 138839. [Google Scholar] [CrossRef]
- Wu, Z.; Zhu, J.; Tang, X.; Chen, H. Synergistic effect of chlorination and sand filtration for efficient elimination of invertebrate leakage in BAC filter. Desal. Water Treat. 2017, 79, 235–242. [Google Scholar] [CrossRef]
- James, A. Biology, Detection, and Management of Plant Pathogens in Irrigation Water, Chapter 9: Plant-Parasitic Nematodes in Irrigation Water; The American Phytopathological Society: St. Paul, MN, USA, 2017. [Google Scholar]
- McDonald, G.V. Ozone (O3) Efficacy on Reduction of Phytophthora Capsici in Recirculated Horticultural Irrigation Water. Ph.D. Dissertation, Texas A&M University, College Station, TX, USA, 2009. [Google Scholar]
- Kanfra, X.; Elhady, A.; Thiem, H.; Pleger, S.; Höfer, M.; Heuer, H. Ozonated water electrolytically generated by diamond-coated electrodes controlled phytonematodes in replanted soil. J. Plant Dis. Prot. 2021, 128, 1657–1665. [Google Scholar] [CrossRef]
- Cao, K.F.; Chen, Z.; Shi, Q.; Wu, Y.H.; Lu, Y.; Mao, Y.; Hu, H.Y. An insight to sequential ozone-chlorine process for synergistic disinfection on reclaimed water: Experimental and modelling studies. Sci. Total Environ. 2021, 793, 148563. [Google Scholar] [CrossRef]
- Cai, Y.; Zhao, Y.; Wang, C.; Yadav, A.K.; Wei, T.; Kang, P. Ozone disinfection of waterborne pathogens: A review of mechanisms, applications, and challenges. Environ. Sci. Pollut. Res. 2024, 31, 60709–60730. [Google Scholar] [CrossRef]
- Shi, Q.; Chen, Z.; Liu, H.; Lu, Y.; Li, K.; Shi, Y.; Hu, H.Y. Efficient synergistic disinfection by ozone, ultraviolet irradiation and chlorine in secondary effluents. Sci. Total Environ. 2021, 758, 143641. [Google Scholar] [CrossRef] [PubMed]
- Rice, E.W.; Baird, R.B.; Eaton, A.D. Standard Methods for the Examination of Water and Wastewater, 23rd ed.; American Public Health Association, American Water Works Association, Water Environment Federation: Washington, DC, USA, 2017. [Google Scholar]
- AWWA Standard B100-01; American Water Works Association. NSF Standard 61, Standard 61 Approved for Drinking Water and NSF Standard 50 Approved for Swimming Pools. American National Standards Institute: New York, NY, USA, 2002.
- National Water and Wastewater Engineering Company. Instructions for Quality Control Methods for Water Chemistry Tests; Iran Water Resources Management Company: Tehran, Iran, 2015. [Google Scholar]
- Dehghani, M.H.; Jahed, G.R.; Zarei, A. Investigation of low-pressure ultraviolet radiation on inactivation of rhabitidae nematode from water. Iran. J. Public Health 2013, 42, 314. [Google Scholar] [PubMed]
- Chen, T.; Li, J.; Xu, L.; Zhang, D.; Wang, Z.; Chen, H. Deactivation of Caenorhabditis elegans nematodes in drinking water by PMS/UV-C: Efficiency and mechanisms. Environ. Sci. Pollut. Res. 2021, 28, 58606–58616. [Google Scholar] [CrossRef] [PubMed]
- Yan, K.; Zhang, M.; Zhou, W.; Cai, Y.; Zou, L.; Ding, G. Inactivation Kinetics of Plectus sp. in application of disinfection with sodium hypochlorite. Water Purif. Technol. 2010, 6, 28–31. [Google Scholar]
- Msayleb, N.; Ibrahim, S. Treatment of nematodes with ozone gas: A sustainable alternative to nematicides. Phys. Procedia 2011, 21, 187–192. [Google Scholar] [CrossRef]






| Temperature (°C) | Electrical Conductivity (µS/cm) | Color (Color Unit) | pH | Turbidity (NTU) |
|---|---|---|---|---|
| 10.9–10.7 | 658–655 | 68–67 | 7.9 | 5.3–5.5 |
| Injection Dose (mg/L) | 0 | 0.5 | 0.75 | 1 | 1.25 | 1.5 | 1.75 | 2 | 2.5 |
| SD (%) | 0 | 1.13 | 1.21 | 1.5 | 1.81 | 1.18 | 2.22 | 2.05 | 2.28 |
| Injection dose (mg/L) | 0.5 | 0.75 | 1 | 1.25 | 1.5 | 1.75 | 2 | 2.25 | 2.5 | 3 |
| SD(%), t = 10 min | 0 | 0.61 | 0.68 | 1.27 | 1.03 | 0.91 | 2 | 0.97 | 1.16 | 1.15 |
| SD(%), t = 15 min | 0.35 | 0.93 | 0.9 | 1.74 | 1.06 | 1.78 | 1.23 | 1.21 | 1.45 | 1.22 |
| SD(%), t = 20 min | 1.62 | 0.6 | 0.81 | 1.71 | 1.2 | 1.26 | 0.98 | 1.7 | 1.35 | 0.75 |
| Injection dose (mg/L) | 0.5 | 0.75 | 1 | 1.25 | 1.5 | 1.75 | 2 | 2.25 | 2.5 | 3 |
| SD(%), t = 10 min | 0 | 1.74 | 0.87 | 1.17 | 1.41 | 1.07 | 1.38 | 1.42 | 1.41 | 0.78 |
| SD(%), t = 15 min | 0 | 1.47 | 2.28 | 1.32 | 1.6 | 1.51 | 0.84 | 2.18 | 1.47 | 2.24 |
| SD(%), t = 20 min | 0.67 | 1.28 | 1.35 | 1.05 | 1.29 | 0.76 | 1.39 | 1.35 | 1.54 | 0.54 |
Disclaimer/Publisher’s Note: The statements, opinions and data contained in all publications are solely those of the individual author(s) and contributor(s) and not of MDPI and/or the editor(s). MDPI and/or the editor(s) disclaim responsibility for any injury to people or property resulting from any ideas, methods, instructions or products referred to in the content. |
© 2025 by the authors. Licensee MDPI, Basel, Switzerland. This article is an open access article distributed under the terms and conditions of the Creative Commons Attribution (CC BY) license (https://creativecommons.org/licenses/by/4.0/).
Share and Cite
Đurin, B.; Alamatian, E.; Ramezani, M.; Dadar, S.; Nakić, D. Enhanced Nematode Reduction in Drinking Water Using Sodium Hypochlorite and Ozone. Water 2025, 17, 2148. https://doi.org/10.3390/w17142148
Đurin B, Alamatian E, Ramezani M, Dadar S, Nakić D. Enhanced Nematode Reduction in Drinking Water Using Sodium Hypochlorite and Ozone. Water. 2025; 17(14):2148. https://doi.org/10.3390/w17142148
Chicago/Turabian StyleĐurin, Bojan, Ebrahim Alamatian, Mahmood Ramezani, Sara Dadar, and Domagoj Nakić. 2025. "Enhanced Nematode Reduction in Drinking Water Using Sodium Hypochlorite and Ozone" Water 17, no. 14: 2148. https://doi.org/10.3390/w17142148
APA StyleĐurin, B., Alamatian, E., Ramezani, M., Dadar, S., & Nakić, D. (2025). Enhanced Nematode Reduction in Drinking Water Using Sodium Hypochlorite and Ozone. Water, 17(14), 2148. https://doi.org/10.3390/w17142148

