Analysis of the Role of Aquatic Gases in the Formation of Sea-Ice Porosity
Abstract
1. Introduction
- -
- The displacement of the air dissolved in the seawater during crystallization;
- -
- The replacement of heavy brine flowing down with atmospheric air;
- -
- The penetration of gas bubbles contained in the water space and emerging from the seabed sediments into the crystal structure of the sea ice.
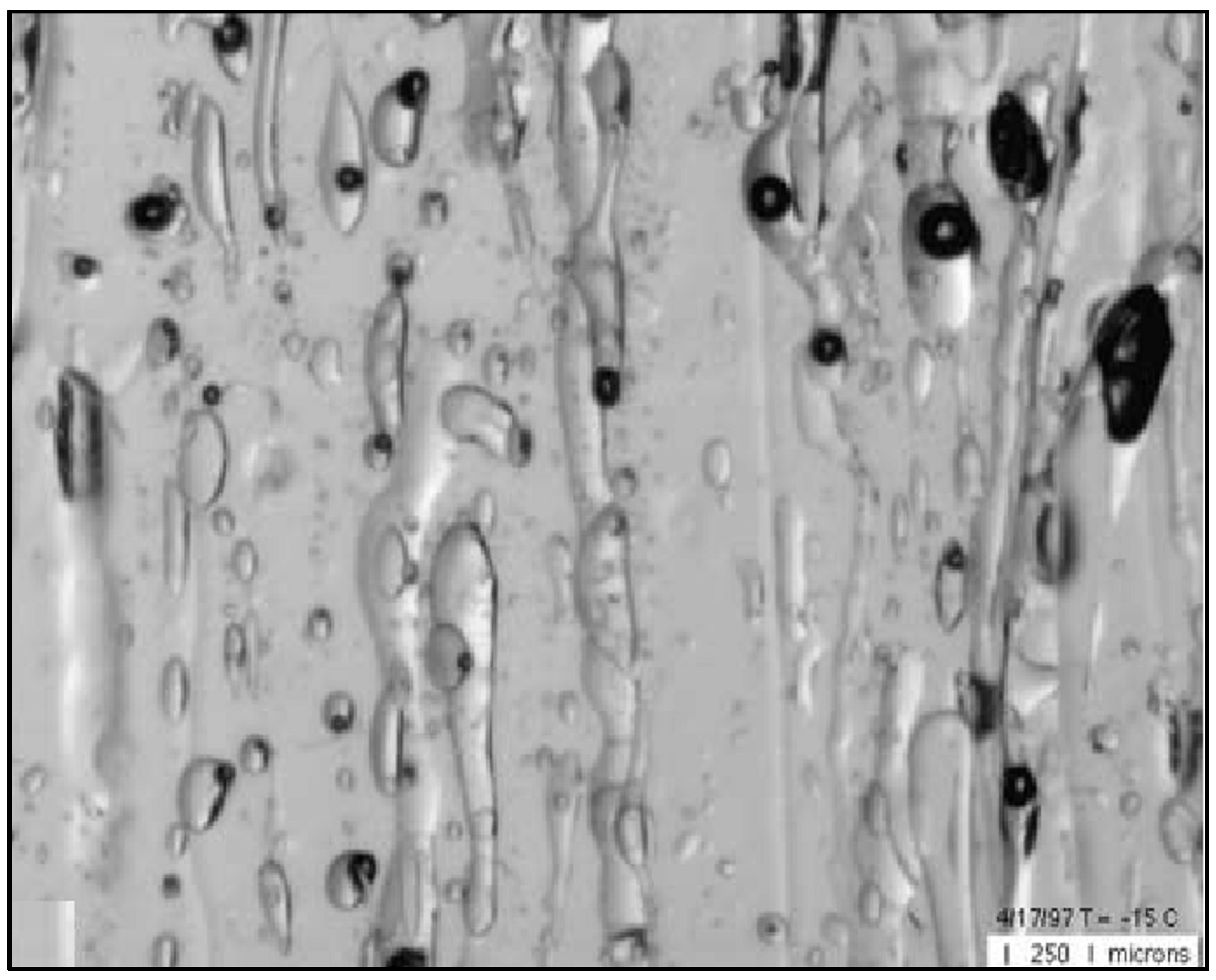
2. Porosity of Sea Ice and the Main Peculiarities of Gas Cavities
3. Possible Mechanisms for the Formation of Gas Cavities in Sea Ice
4. Analysis of Experimental Data
- The obvious similarity of the porosity and salinity variation along the length of the cores;
- The similarity of the porosity and salinity variation along both cores;
- The substantial increase in the porosity and salinity values on the upper and lower boundaries of the cores, and the rather small variation in these parameters in the middle parts of the cores;
- Variation of the porosity as random quantity fits the Weibull probability density function, presented in Figure 3.

- A high correlation between the sea-ice density and porosity is natural and does not demand additional comments.
- A high, but negative, correlation between salinity and density seems strange. However, the average value of salinity Sav = 3.577‰ is essentially less than the average value of the porosity Pav = 1.140%. Therefore, the contribution of the porosity to the density of the sea ice is more than the contribution of the salinity. The negative sign of the correlation, salinity—density, is in this case connected to porosity.
- A high and positive correlation between the porosity and the salinity of the sea ice requires special investigation.
5. Evaluation and Modelling of the Mechanisms of Sea Ice with Gas-Bubble Saturation
5.1. Displacement of the Dissolved Atmospheric Air and Capturing the Bubbles Contained in the Seawater
5.2. Penetration of the Atmospheric Air into the Channels behind Salt Seawater Flowing Down
5.3. Floating Up of the Gas Bubbles to the Ice–Water Interface
6. Conclusions
Author Contributions
Funding
Data Availability Statement
Conflicts of Interest
References
- Frolova, I.V.; Gavrilo, V.P. (Eds.) Sea Ice; Reference book; Gidrometeoizdat: Saint Petersburg, Russia, 1997; p. 402. [Google Scholar]
- Shokr, M.E.; Sinha, N.K. Arctic Sea Ice Microstructure Observation Relevant to Microwave Scattering. Arctic 1994, 47, 265–279. [Google Scholar] [CrossRef]
- Wang, Q.; Lu, P.; Leppäranta, M.; Cheng, B.; Zhang, G.; Li, Z. Physical properties of summer sea ice in the Pacific sector of the Arctic during 2008–2018. J. Geophys. Res. Ocean. 2020, 125, e2020JC016371. [Google Scholar] [CrossRef]
- Mellor, M. Mechanical behavior of sea ice. In The Geophysics of Sea Ice; NATO ASI Series; Untersteiner, N., Ed.; Springer: Boston, MA, USA, 1986; pp. 165–281. [Google Scholar] [CrossRef]
- Tucker, W.B.; Perovich, D.K.; Gow, A.J.; Weeks, W.F.; Drinkwater, M.R. Physical Properties of Sea Ice relevant to Remote Sensing. Geophys. Monogr. 1992, 68, 9–28. [Google Scholar]
- Song, Z.; Hou, L.; Whister, D.; Gao, G. Mesoscopic numerical investigation of dynamic mechanical properties of ice with entrapped air bubbles based on a stochastic sparse distribution mechanism. Compos. Struct. 2020, 236, 111834. [Google Scholar] [CrossRef]
- Shao, K.; Zhen, Z.; Gao, R.; Song, M.; Zhang, L.; Zhang, X. Comparative experimental study of the effect of loading rate on the mechanical properties of bubble and clear ice cubes. Exp. Therm. Fluid Sci. 2024, 159, 111264. [Google Scholar] [CrossRef]
- Shao, K.; Song, M.; Shen, J.; Zhang, X.; Pekai, L. Experimental study on the distribution and growth characteristics of trappeed air bubbles in ice slices at different freezing temperatures. Appl. Therm. Eng. 2024, 244, 122600. [Google Scholar] [CrossRef]
- Malinka, A.; Zege, E.; Heygster, G.; Istomina, E. Reflective properties of white sea ice and snow. Cryosphere 2016, 10, 2541–2557. [Google Scholar] [CrossRef]
- Goncharov, V.K.; Klementieva, N.Y.; Qin, J. Analysis of the problem of saturation of ice with air bubbles. In Proceedings of the 21st International Conference on Port and Ocean Engineering under Arctic Conditions (POAC 2011), Montreal, QC, Canada, 10–14 July 2011; p. 10. [Google Scholar]
- Light, B.; Maykut, G.A.; Grenfell, T.C. Effects of temperature on the microstructure of first-year Arctic sea ice. J. Geophys. Res. 2003, 108, 3051. [Google Scholar] [CrossRef]
- Zhang, Y.; Li, Z.; Xiu, Y.; Li, C.; Zhang, B.; Deng, Y. Microstructural Characteristics of Frazil Particles and the Physical Properties of Frazil Ice in the Yellow River, China. Crystals 2021, 11, 617. [Google Scholar] [CrossRef]
- Horne, B.A. Marine Chemistry. In The Structure of Water and the Chemistry of the Hydrosphere; Wiley–Interscience: Hoboken, NJ, USA, 1970; p. 198. [Google Scholar]
- Maeno, N. Science about Ice; Mir: Moscow, Russia, 1998; p. 231. [Google Scholar]
- Popov, N.I.; Fedorov, K.N.; Orlov, V.M. Sea Water; Reference book; Nauka: Moscow, Russia, 1979; p. 328. [Google Scholar]
- Goncharov, V.K. Investigation into bubble contents in the upper ocean from their cavitation manifestation Marine n water flow: Analytical treatment of results. Oceanology 1997, 37, 465–471. [Google Scholar]
- Goncharov, V.K. Modelling of evolution of the bubble plumes arising under leaks of natural gas from deep-water pipeline. In Proceedings of the Twenty-fifth Arctic and Marine Oil Spill Program (AMOP), Technical Seminar, Calgary, AB, Canada, 11–13 June 2002; pp. 45–56. [Google Scholar]
- Andersen, D.L. A model for determining sea ice properties. Arctic Sea Ice. In Proceedings of the Conference Conducted by the Division of Earth Sciences and Supported by the Office of Naval Research, Easton, MD, USA, 31 December 1958; pp. 148–152. [Google Scholar]
- Nakawo, M. Measurement on air porosity of sea ice. Ann. Glaciol. 1983, 4, 204–208. [Google Scholar] [CrossRef]
- Gavrilo, V.P.; Gaitskhoki, B.Y. The statistics of air inclusions in ice. Sci. Transl. Jerusalem. Israel. 1970, 125, 128. [Google Scholar]
- Backstrom, L.G.E.; Eicken, H. Capacitance probe measurements of brine volume and bulk salinity in first-year sea ice. Cold Reg. Sci. Technol. 2006, 46, 167–180. [Google Scholar] [CrossRef]
- Akulichev, V.A.; Bulanov, V.A.; Klenin, S.S. Acoustical probing of the gas bubbles in the sea space. Akust. Zhurnal 1986, 32, 289–295. [Google Scholar]
- Newman, J.N. Marine Hydrodynamics, 40th ed.; The MIT Press: Cambridge, UK, 2017; p. 450. [Google Scholar]
- Merewether, R.; Olsson, M.S. Acoustically detected hydrocarbon plumes rising from 2-km depths in Guaymes Basin, Gulf of California. J. Geophys. Res. 1985, 90, 3075–3085. [Google Scholar] [CrossRef]
- Anikiev, V.V.; Obszhirov, A.I. Influence of low temperature hydroterms on the gas composition of the bottom water in the Okhotsk Sea. Oceanologia 1993, 33, 360–366. [Google Scholar]
- Goncharov, V.K.; Klementieva, N.Y. Modelling the dynamics and conditions of sound scattering by gas bubbles floating up from deep water oil and gas deposits. Acoust. Phys. 1996, 42, 323–328. [Google Scholar]
- Sovga, E.E.; Lyubartseva, S.P.; Lyubitsky, A.A. Investigation of methane biogeochemistry and mechanisms of its transport in the Black Sea. Morskoi Gidrophisicheskii Zhurnal 2008, 5, 40–56. [Google Scholar]
- Goncharov, V.K.; Klementieva, N.Y. Investigation of surfactant film influence on solution of a moving bubble in sea water. Izvestya Rossiiskoi Akademii Nauk. Phys. Atmos. Okeana 1995, 31, 705–712. [Google Scholar]





| Sea-Ice Property | Core No. 1 | Core No. 2 | Unified Array | |
|---|---|---|---|---|
| Density, g/cm3 | average | 0.911 | 0.913 | 0.912 |
| dispersion | 7.533 × 10−5 | 8.097 × 10−5 | 7.981 × 10−5 | |
| Salinity, ‰ | average | 3.458 | 3.633 | 3.577 |
| dispersion | 1.682 | 2.395 | 2.133 | |
| Porosity, % | average | 1.246 | 1.090 | 1.140 |
| dispersion | 1.193 | 1.336 | 1.269 | |
| Characteristic | Density | Salinity | Porosity |
|---|---|---|---|
| Density | X | −0.834 | −0.965 |
| Salinity | −0.834 | X | 0.892 |
| Porosity | −0.965 | 0.892 | X |
| Gas | Gramm-Molar Weight, μj | Molar Diffusion Coefficient, Dj, m2/s | Saturating Relative Volume Content, αsj | Relative Volume Content in Sea Water, αfj |
|---|---|---|---|---|
| Methane | 14 | 0.85 × 10−9 | 4.23 × 10−2 | 2.09 × 10−5 |
| Nitrogen | 28 | 1.29 × 10−9 | 1.72 × 10−2 | 1.20 × 10−2 |
| Oxygen | 32 | 1.54 × 10−9 | 3.61 × 10−2 | 0.11 × 10−2 |
Disclaimer/Publisher’s Note: The statements, opinions and data contained in all publications are solely those of the individual author(s) and contributor(s) and not of MDPI and/or the editor(s). MDPI and/or the editor(s) disclaim responsibility for any injury to people or property resulting from any ideas, methods, instructions or products referred to in the content. |
© 2024 by the authors. Licensee MDPI, Basel, Switzerland. This article is an open access article distributed under the terms and conditions of the Creative Commons Attribution (CC BY) license (https://creativecommons.org/licenses/by/4.0/).
Share and Cite
Goncharov, V.K.; Klementieva, N.Y. Analysis of the Role of Aquatic Gases in the Formation of Sea-Ice Porosity. Water 2024, 16, 2213. https://doi.org/10.3390/w16152213
Goncharov VK, Klementieva NY. Analysis of the Role of Aquatic Gases in the Formation of Sea-Ice Porosity. Water. 2024; 16(15):2213. https://doi.org/10.3390/w16152213
Chicago/Turabian StyleGoncharov, Vadim K., and Natalia Yu. Klementieva. 2024. "Analysis of the Role of Aquatic Gases in the Formation of Sea-Ice Porosity" Water 16, no. 15: 2213. https://doi.org/10.3390/w16152213
APA StyleGoncharov, V. K., & Klementieva, N. Y. (2024). Analysis of the Role of Aquatic Gases in the Formation of Sea-Ice Porosity. Water, 16(15), 2213. https://doi.org/10.3390/w16152213
