Abstract
This study presents an innovative pulse-rotating biological contactor (P-RBC) designed to enrich glycogen-accumulating organisms (GAOs), thereby facilitating low-energy chemical oxygen demand (COD) removal. It then investigates the impact of rotational speed and hydraulic retention time (HRT) on GAO enrichment and COD removal efficiency. Optimized conditions at lower speeds and longer HRTs significantly enhance GAO proliferation and Polyhydroxyalkanoate (PHA) synthesis, the key to COD removal. Noteworthy findings include a maximum GAO abundance of 21.34% at a half round per hour (rph) rotating speed, which correlates with a 90.2% COD removal rate and an HRT of 6 h, yielding a 21.23% GAO abundance and 89.8% COD removal. This study also explores various carbon sources for PHA synthesis, with sodium acetate proving the most effective. Compared to other wastewater treatment methods, P-RBC demonstrates minimal energy consumption (0.09 kWh per ton of wastewater), highlighting its potential as a sustainable and effective approach for wastewater treatment.
1. Introduction
Water pollution, primarily caused by the discharge of organic wastewater, has emerged as a significant environmental concern worldwide. Nearly 300 trillion liters of wastewater are discharged into the environment annually [1,2,3]. Over 80% of this untreated organic wastewater finds its way into natural water bodies, a figure that escalates to over 95% in some developing countries. This situation significantly deteriorates water quality and impacts human health and economic growth adversely [4]. Addressing this challenge necessitates the development of effective water treatment methods [5,6].
The main strategies for treating organic wastewater are divided into physical, chemical, and biological methods. Biological methods, in particular, have gained widespread recognition for their effectiveness in removing organic carbon, their cost efficiency, and the absence of secondary pollution. These methods are further categorized into aerobic, anoxic, and anaerobic treatments, based on the system’s need for dissolved oxygen [7,8]. Among traditional biological treatments, the activated sludge process and biofilm process stand out for their notable ability to support a wide variety of microorganisms that target pollutant removal [9,10]. Unlike the activated sludge process, the biofilm process utilizes microorganisms that adhere to porous surfaces, creating an active biofilm layer that achieves pollutant removal from wastewater [11]. This method is particularly beneficial for its ease of separating solids from water and its capacity to handle high levels of organic pollutants and ammonia nitrogen, offering advantages over the activated sludge method, especially in water with higher pollutant concentrations [12,13].
Increasingly, researchers are exploring ways to boost the efficiency of wastewater treatment by functional bacterial domestication and enrichment. Recent studies have highlighted GAOs as especially effective in pollution removal. GAOs have unique biological capabilities as they use carbon sources to produce PHAs during the anaerobic stage and then use these PHAs for nitrogen removal in the aerobic stage [14,15,16].
Rotating biological contactors (RBCs) have been widely recognized as an effective and economical option for biofilm-based wastewater treatment, attracting significant interest [17]. The key to their effectiveness lies in the microbial biofilms that form on rotating discs or plates, which are instrumental in removing pollutants. Additionally, RBCs offer several advantages, such as straightforward operation, convenient maintenance, low technical requirements, and low energy consumption for aeration [10]. Typically, an RBC consists of a series of rotating discs or plates that are driven by motors or air, with the dissolved oxygen concentration regulated by controlling the rotation speed [18].
The rotational speed of the RBC plays a vital role in nutrient and oxygen mass transfer within biofilms, which directly affects the removal of contaminants. Generally, an increase in rotational speed augments the availability of dissolved oxygen to microorganisms, enabling them to degrade the pollutant at a heightened rate [18]. However, escalating the rotational speed results in higher power consumption, potentially rendering it uneconomical for wastewater treatment applications [19]. Moreover, excessively high rotational speeds may cause the detachment of microorganisms from the reactor, leading to deteriorated effluent quality and reduced biodegradation rates.
To address these challenges, a pulse-rotating RBC reactor was employed. This approach aims to create a system that alternates between anaerobic and aerobic conditions, optimizing the environment for the enrichment of GAOs. Such optimization enhances the system’s ability to remove organic carbon from wastewater, making the treatment process more efficient.
This study aims to (i) develop a P-RBC that is enriched with GAOs for the effective removal of organic pollutants from wastewater; (ii) elucidate the underlying mechanism responsible for organic carbon removal in this system; (iii) investigate how the operational parameters, including rotation speed, hydraulic retention time, organic carbon concentration, temperature, and types of carbon sources influence the overall treatment effectiveness of the RBC.
2. Materials and Methods
2.1. Experimental Setup
The experimental system is illustrated in Figure 1, featuring two identical RBC reactors operated in parallel: one as the P-RBC for the experimental setup and the other as a typical continuous-rotating RBC reactor (T-RBC) as control. Each reactor consisted of a horizontal axis supporting a drum, a water tank, a motor, and inlet and outlet water flows, with a working volume of 4 L. The drum is partially submerged (about 50% immersion rate) to ensure sufficient biofilm contact with the wastewater while allowing the upper part to be exposed to ambient air for aeration. The biological carrier employed was a porous foam structure made of polyurethane material (1.5 cm × 1.5 cm × 1.5 cm), evenly distributed across the four sections of the drum. The drum shafts extend through the tank wall, connecting to a speed-regulated motor, facilitating controlled rotation. Monitoring points for dissolved oxygen (DO) and pH are strategically placed on the tank’s side, ensuring real-time parameter assessment. The setup maintained an experimental temperature of 25 ± 2 °C.
Figure 1.
Schematic diagram of the rotating bio-contactors used in this study.
To inoculate the RBC reactors, the biological carriers were initially placed in a cylindrical device (R = 50 mm, H = 400 mm) with a bottom water outlet. Activated sludge with a mixed liquor suspended solids (MLSS) concentration of 6500 mg/L, obtained from the aerobic tank of the Jingkou Sewage Treatment Plant (Zhenjiang City, Jiangsu Province, China), served as the inoculum and circulated through the cylindrical device at a flow rate of 0.03 mL/s for 7 days. Regular addition of nutrients (similar in concentration to the synthetic wastewater) to the sludge was employed to ensure biomass attachment and growth.
After the biomass was loaded on the biocarrier at a wet biomass concentration of about 1.22 g/cm3, the biocarriers were transferred into the drum of the RBC reactors and evenly distributed over the four sections. Each section contained approximately 800 cm3 of biocarriers.
2.2. Wastewater Treatment Procedures
After the biofilm carriers were loaded into the P-RBC and T-RBC reactors, synthetic wastewater was subsequently pumped into the reactor for 5 min using a peristaltic pump. Then, the HRT was set at 6 h, and a solenoid valve, timed to open for 5 min at the cycle’s end, was employed to ensure a complete wastewater discharge. During the treatment, the reactors were operated under pulse-rotating and typical continuous-rotating modes, named P-RBC and T-RBC, respectively. For the P-RBC, during the 6 h treatment, the reactor was operated as follows: 1 min rotating for a half round followed by a defined period of idle state ranging from 59 min to 14 min (e.g., 59, 29, and 14 min), representing various average rotating speeds ranging from 0.5 to 2 rounds per hour, accordingly (see Figure S1). The operating temperature of the reactor was maintained at 25 ± 2 °C. As the P-RBC was at an idle state for most of the time, the dissolved oxygen (DO) of the wastewater in the bioreactor was always below 0.05 mg/L during the treatment (See Figure 2). For T-RBC, the same filling and draining procedures were implemented; however, during the treatment, the T-RBC reactors operated continuously at a rotational speed of 3 rpm. In this case, the oxygen profile of the wastewater ranged from 1.91 mg/L to 7.99 mg/L (See Figure 2).
Figure 2.
Dissolved oxygen at different rotating speeds.
The concentrations of COD, ammonium (NH4+-N), nitrite (NO2−-N), nitrate (NO3−-N), and orthophosphate (PO43−-P) in the influent and effluent of the P-RBC reactor were regularly sampled and measured to monitor system performance.
This study varied operational parameters, including various HRTs (6, 4, and 2 h), COD concentrations (1000, 2000, and 5000 mg/L), pulse-rotating frequencies (0.5, 1, and 2 rph), and carbon sources (sodium acetate, sodium propionate, and glucose) to evaluate their impact on treatment efficiency.
2.3. Synthetic Wastewater
A widely used synthetic wastewater was prepared to ensure consistent quality and facilitate control over the process operation [20]. For each liter of synthetic wastewater, the following chemicals were added in (mg): CH3COONa (660), NH4Cl (160), NaHCO3 (125), KH2PO4 (44), MgSO4·7H2O (25), CaCl2·2H2O (300), and FeSO4·7H2O (6.25). Additionally, 1.0 mL of trace element solution was added to each liter of synthetic wastewater. The trace mineral solution contained the following chemicals in (mg/L): ethylene-diamine-tetra-acetic acid (EDTA) (15), ZnSO4·7H2O (0.43), CoCl2·6H2O (0.24), MnCl2·4H2O (0.99), CuSO4·5H2O (0.25), NaMoO4·2H2O (0.22), NiCl2·6H2O (0.19), NaSeO4·10H2O (0.21), H3BO4 (0.014), and NaWO4.2H2O (0.05).
2.4. Analytical Procedures
2.4.1. Polyhydroxyalkanoate Analysis
The quantification of PHAs, including poly-hydroxybutyrate (PHB) and poly-hydroxyvalerate (PHV), was performed according to the method described by Smolders et al. [21]. The procedure begins with washing two biocarrier blocks (1.5 cm × 1.5 cm × 1.5 cm each) with 50 mL of phosphoric acid buffer solution, followed by centrifugation at 7000 rpm for 15 min to collect the sludge after discarding the supernatant. The collected sludge was resuspended in the fresh phosphoric acid buffer solution and centrifuged again. The resulting pellet was then freeze-dried at −54 °C and 0.1 mbar for 24 h to produce lyophilized sludge. For the assay, 20 mg of this sludge was digested in a mixture of 1.45 mL n-propanol with concentrated hydrochloric acid (ratio 4:1), 1.5 mL dichloromethane, and 50 µL benzoic acid in a sealed glass tube. After digestion at 100 °C for 4 h and cooling, 3 mL of deionized water was added to extract the PHAs. The organic phase obtained after phase separation was dried and analyzed using an Agilent 7820 gas chromatograph, with nitrogen as the carrier gas. The analysis settings included an inlet and flame ionization detector (FID) temperature of 275 °C, with a column temperature program starting at 80 °C, then increasing to 150 °C at 8 °C/min, and finally ramping to 255 °C at 25 °C/min.
2.4.2. Glycogen Analysis
Glycogen content was determined using the anthrone method [22]. Initially, 2 mg of freeze-dried sludge was subjected to acid hydrolysis in 5 mL of 0.6 mol/L HCl at 100 °C for three hours. After hydrolysis, the mixture was cooled to room temperature and then centrifuged at 2600 rpm for 10 min to separate the supernatant. The subsequent steps involved the preparation of a colorimetric reaction: 1 mL of the supernatant was mixed with 4 mL of anthrone-sulfuric acid solution (0.2% w/v anthrone in 80% v/v H2SO4). This mixture was heated in a water bath at 100 °C for 10 min, followed by rapid cooling in an ice water bath for 5 min. The absorbance of the resulting solution was measured at 625 nm, with glucose serving as a calibration standard for quantitative analysis.
2.4.3. Microbial Community Structure Analysis
Microbial community composition was assessed through 16S rRNA gene sequencing. The V4-V5 region of the 16S rRNA gene was amplified using the Illumina Novaseq 6000 platform (this test was conducted by Nanjing Jisi Huiyuan Biotechnology Co., Ltd. in Nanjing, China). Subsequent analysis with UCLUST was employed to identify Operational Taxonomic Units (OTUs) at a similarity threshold of 97%. These OTUs were then compared against the Greengenus (16S) database for taxonomic classification. The analysis facilitated the exploration of microbial diversity at both the phylum and genus levels, providing insights into the microbial community structure within the biofilm.
2.5. Histochemical Staining
The capacity of biofilm packing for PHA storage was assessed using the Sudan Black B staining method [23]. Biofilm samples were gently washed off the carrier with saline, spread thinly on a microscope slide, and then stained with a 0.3% Sudan Black B solution (prepared by dissolving 0.3 g of Sudan Black B in 100 mL of 60% ethanol) for 10 min. After staining, slides were rinsed with water and counterstained with a 0.5% safranin solution for 10 s, followed by another rinse with water to remove excess stain. Excess water was carefully absorbed, and the stained biofilm was examined under an Olympus BX51 microscope equipped with a Panasonic WV-CL830 charge-coupled device (CCD) camera (which from Panasonic, made in Japan) for visual analysis of PHA accumulation within the biofilm.
2.6. Routine Analysis and Monitoring
This study involved continuous measurement of COD, ammonia nitrogen, nitrite, and nitrate concentrations in both influent and effluent to monitor the efficiency of the treatment process. The equipment and test methods are listed in the Supplementary Materials (see Table S1). Total nitrogen (TN) concentration was calculated as the sum of ammonia nitrogen, nitrite, and nitrate levels, excluding organic nitrogen content. Analytical methods for ammonium, nitrite, nitrate, and COD followed standard methods [24] while acetate concentrations were determined using liquid chromatography [25]. Dissolved oxygen (DO) levels within the biofilm were measured using a fiber optic oximeter, and DO in reactor cavities was assessed using a portable dissolved oxygen sensor. pH levels were determined using a PHS-3E pH tester (from Shanghai Leici, in Shanghai, China), with other analyses conducted as outlined.
3. Results and Discussion
3.1. Overall COD Removal Performance of P-RBC
The COD concentrations in the influent and effluent, along with the COD removal efficiency of the P-RBC, are presented in Figure 3a. The synthetic wastewater used in this study had an average COD content of approximately 500 mg/L, with the influent volume to the reactor set at 4 L. The HRT of the system was established at 6 h, and the average rotational speed was initially set at 0.5 rounds per hour (rph). The hydraulic loading rate (HLR), organic loading rate (OLR), and nitrogen loading rate (NLR) were set at 0.71 m3/m2/d, 2.0 kgCOD/m3/d, and 0.16 kgN/m3/d, respectively. The COD removal efficiency exhibited a progressive increase, reaching 42.59%, 73.76%, and 90.26% on day 1, day 28, and day 56, respectively, attributed to the acclimation period of the sludge (Figure 3b). Subsequently, the COD removal efficiency stabilized at around 90%, and the sludge retention time (SRT) was about 180 days. This enhancement in COD removal of the P-RBC under anaerobic conditions is likely due to improved intercellular organic carbon storage by enriched Poly-β-hydroxyalkanoate accumulating organisms if methanogenesis is excluded [26,27]. At the same time, when T-RBC ran for 42 days, the average removal rate of COD was 94.7% (see Figure S2).
Figure 3.
(a) Long-term performance of COD removal by P-RBC; (b) detail of COD removal profiles during the startup phase and evaluation of anaerobic COD removal capacity of biofilm obtained from the P-RBC.
Additionally, when compared to conventional anaerobic treatment methods such as the Upflow Anaerobic Sludge Blanket (UASB) reactor, which achieves a COD removal rate of 78.4% with an inlet water COD concentration of 474.39 mg/L and a 6 h HRT [28], the P-RBC demonstrated competitive performance. Moreover, in comparison to the Oxidation Ditch, which achieves a COD removal rate of 94% with an inlet water COD range of 260–500 mg/L and a 23.5 h HRT [29], the P-RBC showcased similar or even superior COD removal efficiency. Similar trends were observed when comparing it to the Activated Sludge Process (ASP), which had a COD removal rate of 60%, an inlet water COD concentration of 140 ± 14 mg/L, and an 8 h HRT [30]. Furthermore, compared to Anaerobic Membrane Bioreactors (AnMBR) with a COD removal rate of 90% and an inlet water COD concentration of 400 mg/L with a 12 h HRT [31], the P-RBC demonstrated comparable effectiveness. These comparisons underline the effectiveness and potential applicability of the P-RBC in wastewater treatment, particularly in achieving high COD removal rates in relatively shorter timeframes and with low energy consumption.
3.2. Evolution of Anaerobic COD Removal Capacity by Biofilm from P-RBC
To evaluate the anaerobic acetate removal capability, both biofilms obtained from the P- and T-RBCs at different times during the operation were immersed in synthetic wastewater, and the reduction of COD levels (e.g., acetate) under anaerobic conditions was recorded over time. Biofilm samples were collected from both reactors at pre-determined intervals (0, 2, 4, 6, and 8 weeks). The biomass concentration for the anaerobic COD removal trail was maintained at 7.1 ± 0.2 g MLSS/L.
As illustrated in Figure 4a, the biofilm sampled from the P-RBC, which was operated under sequential anaerobic and aerobic conditions, demonstrated an increasing capacity of anaerobic COD removal. The maximum speed of COD removal (during the first 30 min of the COD removal test) of the P-RBC biofilm at week 0 was approximately 57.8 mg/L/h, which experienced a significant increase to 673.2 mg/L/h after 6 weeks of operation. In comparison, the biofilm sampled from the T-RBC demonstrated a considerably constant low COD removal rate, achieving only about 83.64 mg/L/h after 8 weeks of operation (Figure 4b). The increasing anaerobic COD removal capacity suggests the enrichment of PHA-accumulating organisms, such as GAOs and polyphosphate-accumulating organisms (PAOs). Previous research indicates that GAOs tend to become dominant microorganisms in a bioreactor system that is operated under sequential anaerobic storage and subsequent biomass exposure to air conditions [27]. A GAO’s ability to synthesize PHAs from carbon sources during the anaerobic stage [16] suggests that the successful enrichment of GAOs is likely the primary factor underlying the superior COD removal capacity of biofilms in the P-RBC under anaerobic conditions.
Figure 4.
Evaluation of anaerobic COD removal capacity of biofilms obtained from the P-RBC (a) and T-RBC (b) after different operation times.
3.3. Investigation of the COD Removal Mechanism
3.3.1. Investigation of the Changes in PHAs and Glycogen Content during the COD Removal
Theoretically, the likelihood of PAOs developing in the P-RBC reactor is minimal because aerobic phosphate accumulation cannot occur as the biofilm exits the wastewater just before exposure to air for the aerobic phase. The anaerobic acetate (COD) uptake and P release profiles of the P-RBC reactor showed relatively constant phosphorous levels throughout the treatment, even as acetate was consistently depleted (see Figure S3). This observation suggests the possibility of an alternative acetate storage mechanism, distinct from the PAO pathway. Specifically, it implies the involvement of GAOs, which utilize glycogen synthesized aerobically to facilitate the anaerobic uptake of organic carbon sources (e.g., acetate, propionate), subsequently storing them as PHAs, and the transformation mechanisms of organic carbon, glycogen, and PHAs in GAOs is shown in Figure 5. As reported by Hossain et al. [32], when the biofilm is exposed to air (oxic condition), nitrification occurs, converting ammonium present in the biofilm into nitrite and nitrate. Simultaneously, in the deeper layers of the biofilm where oxygen concentration is low, denitrification spontaneously occurs, during which intracellular carbon sources (e.g., PHAs) are used as electron donors. When the biofilm is submerged in water (anoxic condition), any remaining nitrite and nitrate in the biofilm is continuously denitrified using soluble carbon sources present in the water. Consequently, the operational conditions within the P-RBC are more favorable for the selection of GAOs over PAOs.
Figure 5.
Transformation mechanisms of organic carbon, glycogen, and PHAs in GAOs.
To elucidate the mechanism of COD removal under anaerobic conditions predominantly attributed to GAOs utilizing carbon sources to synthesize PHAs, the variations in PHAs, glycogen, and acetate concentrations were monitored over a single cycle (2 h, comprising 1 h anaerobic and 1 h aerobic phases), as depicted in Figure 6. During the anaerobic phase (0–60 min), there was a notable decrease in acetate concentration from 1.47 to 0.76 Cmmol/g MLSS, and glycogen concentration reduced from 3.65 to 2.58 Cmmol/g MLSS. Conversely, the intracellular PHA concentration saw an increase from 1.63 to 3.19 Cmmol/g MLSS. The observed ratio of Glycogendegraded/Acetateuptake in the P-RBC was 1.59 (Cmol/Cmol), suggesting that a portion of the acetate was utilized for glycogen synthesis. As glycogen accumulation continued, organisms depended solely on glycogen as an energy source, aligning with findings from Lopez-Vazquez et al., [33]. The presence of low nitrate nitrogen levels in the influent, coupled with a high Glycogendegraded/Acetateuptake ratio, indicates that glycogen metabolism was the predominant pathway for acetate removal. This relationship underscores the utilization of stored glycogen as a primary energy source for the acetate uptake process, rather than relying on nitrate as an electron acceptor. Furthermore, the PHAsynthesized/Acetateuptake ratio was recorded at 2.03 (Cmol/Cmol), indicating that a significant amount of acetate was assimilated by the biofilm and converted into PHAs, which is in line with observations made by Hossain, [27].
Figure 6.
Temporal shifts in PHAs, glycogen, and acetic acid concentrations during an anaerobic–aerobic cycle.
During the aerobic stage (60–120 min), PHA concentration decreased from 3.19 to 1.70 Cmmol/g MLSS, while glycogen concentration rose from 2.58 to 3.73 Cmmol/g MLSS. The Glycogensynthesized/PHAdegraded ratio was 0.70 (Cmol/Cmol), comparable to ratios reported in prior studies on GAO enrichment [34]. This trend might be attributable to the conversion of some PHAs into glycogen, leading to an increase in glycogen levels and a concurrent reduction in PHA concentration. Other factors contributing to the decline in PHA concentration could include the utilization of PHAs by GAOs for endogenous denitrification processes, as suggested by Ding et al. [35].
3.3.2. Microbial Community Structure Analysis
The efficiency of COD removal in RBC is significantly influenced by the microbial community’s composition. Hence, understanding the growth and metabolic activities of these microbial communities is key to deciphering the COD removal mechanisms. This study utilized 16S rRNA amplicon gene sequencing to characterize the microbial community structures in the P-RBC and T-RBC over 0, 2, 4, and 6 weeks. This advanced sequencing method allows for an in-depth analysis of both the predominant and specialized members within the microbial community.
In the P-RBC, the genus-level classification (Figure 7a) revealed Candidatus Competibacter, a commonly identified GAO in activated sludge systems [36], with an initial abundance (0 weeks) of 0.11%. This low initial abundance aligns with the initial COD removal inefficiency observed. However, by week 6, the relative abundance of Candidatus Competibacter surged approximately 193 times, reaching 21.23%, indicating the P-RBC’s potential as an effective strategy for GAO enrichment. This significant increase in GAOs, which synthesize PHAs from COD under anaerobic conditions, likely underpins the enhanced COD removal performance in anaerobic environments. Two groups of microorganisms can anaerobically remove organic carbon by storing them as intercellular PHAs: PAOs and GAOs. Notably, PAOs, which have been reported to compete with GAOs, were not detected in this study, suggesting that the operational conditions favored GAO enrichment without PAO interference [36,37]. Furthermore, the abundance of Thauera, a denitrifying bacterium, increased 7.5 times by week 6, compared to the initial biofilm in which the relative abundance increased from 0.66% to 4.59%. Under anaerobic conditions, Thauera can utilize COD to remove the soluble nitrate nitrogen [38]. This points to another pathway for COD removal in the P-RBC.
Figure 7.
(a) OTU’s abundance for genus-level classification of biofilm in P-RBC after 2, 4, and 6 weeks of operation; (b) OTU’s abundance for genus-level classification in T-RBC of biofilm in T-RBC after 6 weeks of operation.
Conversely, in the T-RBC, Meganema, a genus of filamentous bacteria, emerged as the predominant genus by week 6, constituting 25.09% of the microbial population. Additionally, a minimal presence of Candidatus Competibacter, at only 0.15%, was observed in the T-RBC biofilm, as shown in Figure 7b. This scarcity of Candidatus Competibacter aligns with the observations of consistently slow anaerobic COD removal rates depicted in Figure 4b. It is well known that the persistent aerobic conditions prevalent in the T-RBC are not conducive to the proliferation of GAOs [39].
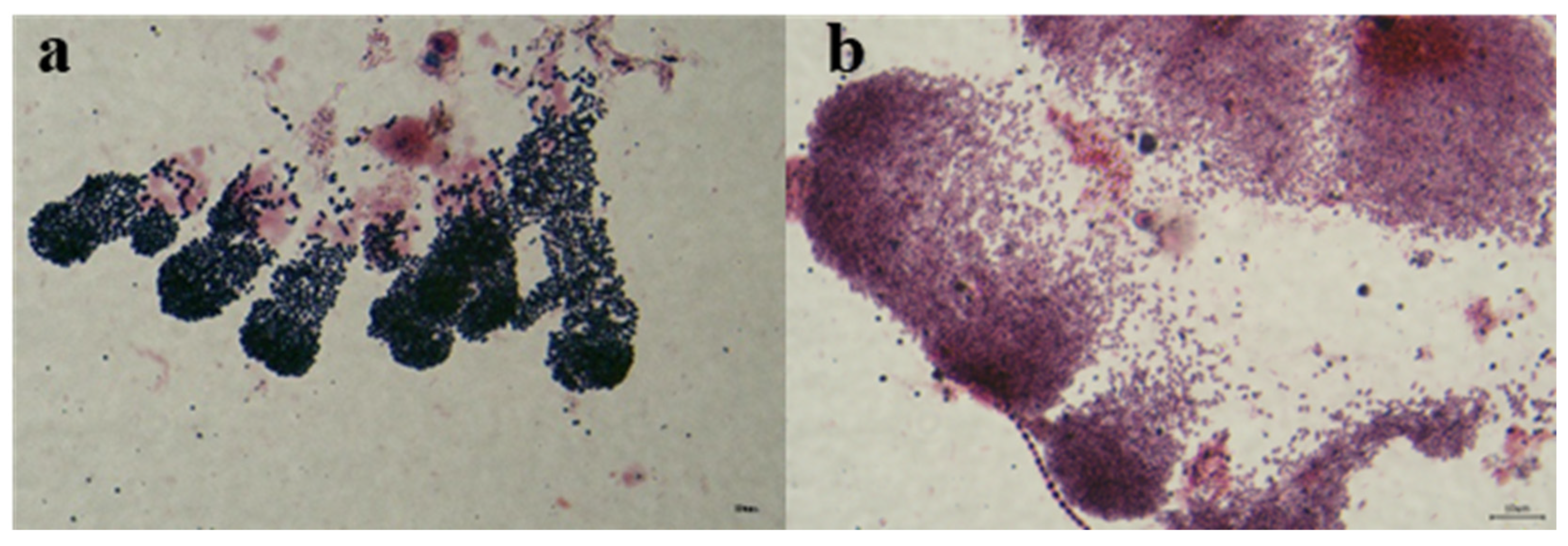
3.3.3. Sudan Black B Staining Analysis
Microscopic observations from Sudan Black B (SBB) staining of P-RBC biofilms are also presented in Figure 8. SBB is known for its ability to stain intracellular lipid granules, turning them black and enabling the qualitative assessment of PHA synthesis and accumulation within cells. As depicted in Figure 8, after the 1 h anaerobic phase, cells predominantly exhibited a coarse rod shape, with lipid granules appearing black under SBB staining (Figure 8a). This observation indicates significant PHA accumulation within the biofilm. Conversely, during the 1 h aerobic phase, cells were primarily slender, rod-shaped, and red (Figure 8b), lacking the characteristic black staining of PHAs. This lack of staining suggests the degradation of PHAs during the aerobic phase. These findings are in agreement with those reported by Crocetti et al. [40], corroborating the cycle of PHA synthesis under anaerobic conditions and degradation under aerobic conditions within the microbial community.
Figure 8.
(a) Sudan Black B staining at the end of the anaerobic phase showing PHA accumulation; (b) Sudan Black B staining at the end of the aerobic phase indicating PHA utilization.
3.4. Effect of Operational Parameters on COD Removal Performance and GAO Enrichment
3.4.1. Effect of Rotating Frequency
The frequency of osculation between the anerobic and aerobic phases for the biofilm is a critical operational parameter in sewage treatment, influencing pollutant and oxygen mass transfer within the biofilm, thereby affecting the overall performance of P-RBCs and their energy consumption [41].
To assess the impact of rotation frequency on reactor performance, experiments were conducted at rotating rates of 0.5, 1, and 2 rounds per hour (rph), with a constant HRT of 6 h and an influent COD concentration of approximately 515 mg COD/L, using acetate as the carbon source. As depicted in Figure 9, COD removal efficiencies at 0.5, 1, and 2 rph were 90.2%, 93.9%, and 94.7%, respectively, demonstrating an improvement in COD removal as the rotation frequency increased. This enhancement could be possibly attributed to the higher frequency of osculation between the anerobic and aerobic phases, facilitating faster consumption of PHAs and resulting in a more complete regeneration of the acetate removal capacity of the biofilm. Also, a high rotation frequency might lead to greater dissolved oxygen penetration in the water and biofilm, thus improving the aerobic metabolism. However, it is noteworthy that increasing the rotational speed from 0.5 to 2 rph, while improving COD removal by about 5%, resulted in a fourfold increase in energy consumption.
Figure 9.
Long-term COD removal efficiency under varying pulse-rotating frequencies.
Furthermore, the PHAsynthesis/Volatile Fatty Acid (VFA)consumption ratio decreased with an increase in rotation frequency (2.08 at 0.5 rph, 1.23 at 1 rph, and 0.97 at 2 rph), indicating that lower rotation frequency favors PHA synthesis over anaerobic metabolism by heterotrophic bacteria due to reduced oxygen availability. This finding aligns with previous studies suggesting that a higher PHAsynthesis/VFAconsumption ratio facilitates greater acetate incorporation into PHAs [42,43].
Additionally, this study observed a positive correlation between the PHAsynthesis/VFAconsumption ratio, the glycogensynthesis/VFAconsumption ratio, and GAO abundance. At rotational speeds of 0.5, 1, and 2 rph, the glycogensynthesis/VFAconsumption ratios were 1.48, 1.09, and 0.63, respectively, with corresponding GAO abundances of 21.34%, 10.56%, and 2.37%, as illustrated in Figure 10 and Supplementary Materials (see Figure S4A). These results corroborate with the literature, indicating that a prolonged osculating phase between anaerobic and aerobic conditions is conducive to GAO enrichment and thereby enhances COD removal efficiency in the P-RBC [44,45]. Considering these findings, it is evident a lower rotation frequency favors GAOs’ role in COD removal. Given the significant energy savings, operating at a lower-frequency rotation of 0.5 rph presents a viable and economically advantageous approach for COD removal in P-RBCs.
Figure 10.
The ratio of PHA synthesized and acetate consumed and glycogen degraded and acetate consumed in the presence of different GAO abundances.
3.4.2. Effect of HRT
Hydraulic retention time is also a critical parameter influencing substrate diffusion to biofilms and, consequently, pollutant removal efficiency [46]. This study examined the impact of varying HRTs (6, 4, and 2 h) on the COD removal performance of the P-RBC, with a constant rotation frequency of 0.5 rph and an initial COD concentration of approximately 515 mg/L, using acetate as the carbon source. While operating at HRTs of 6, 4, and 2 h, the HLR was 0.71, 1.06, and 2.12 m3/m2/d; the OLR was 2.06, 3.09, and 6.18 kgCOD/m3/d; and the NLR was 0.16, 0.24, and 0.48 kgN/m3/d, respectively.
As presented in Figure 11, under a 6 h HRT, the P-RBC achieved a COD removal rate of about 90%, with COD concentration decreased to 50.9 mg/L. With HRT reduced to 4 h, the COD removal efficiency dropped to approximately 77.9%, and further reduction to a 2 h HRT resulted in a COD removal rate of about 70.5%. These results underscore the significance of HRT in enhancing biofilm biomass and microbial contact time with substrates, directly correlating with improved COD removal rates.
Figure 11.
Variations in COD removal efficiency under different HRT conditions.
Moreover, the abundance of GAOs, as determined by 16S rRNA amplicon gene sequencing, varied under different HRT conditions, being approximately 21.23% at 6 h, 20.32% at 4 h, and 11.23% at 2 h (see Figure S4B). Prior research suggests that high COD loads may adversely affect GAO growth, leading to a decrease in their abundance [47,48]. Although the reduction in HRT from 6 to 4 h did not significantly impact GAO abundance, the COD removal efficiency notably decreased by about 11.9%. This observation highlights the importance of considering both COD removal capacity and GAO abundance to maintain effective treatment outcomes. Consequently, an optimal HRT of 6 h is recommended for achieving balanced COD removal rates and GAO enrichment in the P-RBC.
3.5. Practical Applications
3.5.1. COD Removal at Low Temperature
A bioreactor operating stably at room temperature was subjected to a temperature shock by transferring it to a constant temperature incubator set at approximately 10 °C for a 20 day operation period. According to Figure 12, the average COD removal efficiency under these low-temperature conditions remained high at about 89.3%, closely mirroring the efficiency observed at room temperature (90.3%). This suggests that the synthesis of PHAs by GAOs under anaerobic conditions was not adversely affected by lower temperatures. This high performance of COD removal in a low-temperature environment can probably be attributed to the thick biofilm formation [20,49], which showed a wide range of thickness from 1 to 3 mm, with an average thickness of 2 mm (see Figure S5). Consequently, these findings highlight the capability of P-RBC to maintain a stable operation in environments with low water temperatures, extending its applicability to regions experiencing colder climates. Additionally, this evidence underscores the advantages of the P-RBC over another low-energy COD removal technique of anaerobic digestion. Anaerobic digestion typically requires mesophilic or thermophilic conditions and often performs poorly at low temperatures. In contrast, the P-RBC’s ability to effectively assimilate acetate into PHAs, even potentially at lower temperatures, presents a clear benefit. This characteristic makes the P-RBC a more versatile and efficient option for COD removal under a wider range of operational conditions.
Figure 12.
Detailed COD removal rate and carbon conversion dynamics under low temperatures.
3.5.2. High Concentrations of Organic Loading
To assess the P-RBC performance in treating high-concentration organic wastewater, the system was tested with influent COD concentrations increased to 2, 4, and 10 times the normal acetate concentration. As shown in Figure 13, during stage A (0–15 days) with an influent COD concentration of 1016 ± 25 mg/L (ORL of 4.06 kgCOD/m3/d), the system achieved an average effluent COD concentration of about 96.4 mg/L, resulting in a COD removal efficiency of approximately 90.5%. In stage B (15–30 days), with an influent COD concentration of 2025 ± 30 mg/L (ORL of 8.10 kgCOD/m3/d), the efficiency slightly dropped to 85.7%. During stage C (30–42 days), with an influent concentration of 5060 ± 55 mg/L (ORL of 20.24 kgCOD/m3/d), an average effluent COD concentration of 992 ± 49 mg/L was achieved, leading to a COD removal efficiency of around 80.4%. The results show that the P-RBC demonstrated robust COD removal capabilities, exceeding an 80% efficiency, even under high organic loading conditions. Notably, extending the HRT from 6 to 12 h in stage D could improve the COD removal efficiency to 88.8% in the presence of an extremely high organic load (COD = 5060 ± 55 mg/L, and ORL = 10.12 kgCOD/m3/d), showcasing the process’s efficacy in managing wastewater with elevated organic pollutant levels.
Figure 13.
Detailed COD removal rate and carbon conversion dynamics under various operational conditions (A phase: COD = 1016 ± 25 mg/L, HRT = 6 h; B phase: COD = 2025 ± 30 mg/L, HRT = 6 h; C phase: COD = 5060 ± 55 mg/L, HRT = 6 h and D phase: COD = 5060 ± 55 mg/L, HRT = 12 h).
3.5.3. Various Types of Carbon Sources
In practical applications, wastewater typically contains different organic carbon sources. This study extends its investigation to examine how different influent carbon sources, specifically glucose, sodium propionate, and sodium acetate, affect the changes in organic carbon, PHAs, and glycogen in the P-RBCs. An analysis was conducted on water and biofilm samples collected during the initial anaerobic–aerobic alternation of a typical wastewater cycle. The results are detailed in Figure 14a–c.
Figure 14.
Carbon conversion of various carbon source of acetate (a), propionate (b), and glucose (c) during anoxic and aerobic cycles.
This study observed similar patterns in PHAs and in glycogen content variations within the biofilm when utilizing sodium acetate and sodium propionate as carbon sources. During the anaerobic phase, the dissolved COD and intracellular glycogen were consumed, facilitating the accumulation of PHAs as an intracellular energy storage material. In the subsequent aerobic phase, these PHAs were utilized for microbial growth, metabolism, and denitrification processes, with a portion also being converted back to glycogen for intracellular storage.
However, the use of glucose as the carbon source yielded different outcomes. Although GAOs also absorbed glucose and transformed it into intracellular polymers (i.e., PHAs) during the anaerobic phase, the increase in PHA content was notably less, only 0.5 Cmmol/g MLSS, compared to higher increments observed with acetate and propionate. Furthermore, glucose led to an increase in glycogen content by 0.6 Cmmol/g MLSS, indicating glycogen synthesis rather than degradation during the anaerobic phase, a deviation from patterns observed with the other carbon sources [15]. This suggests that glucose was preferentially stored as glycogen, with GAOs deriving ATP and NAD(P)H from glucose’s glycolytic breakdown for PHA synthesis and excess ATP being channeled into glycogen synthesis to maintain an energy balance within cells [50].
Although these findings underscore that acetate is the most favorable carbon source for PHA storage in P-RBCs, outperforming propionate and glucose, with the latter showing the least efficacy for PHA storage, the long-term operation of P-RBCs showed efficient COD removal for different carbon sources (see Figure S6). However, in this study, PHV was detected exclusively when sodium acetate was used as the carbon source, contributing to 11.4% of the total PHA storage. This highlights the unique role of acetate in supporting a broader range of PHA synthesis.
3.5.4. Energy Consumption Analysis
The energy consumption figures presented in this study are based on theoretical calculations derived from laboratory results. It is crucial to acknowledge that the actual energy consumption during operational activities might differ. This variation can be attributed to several factors, including mechanical inefficiencies and the energy required for pipeline transportation. A comparative analysis of operational energy requirements for the P-RBC process against traditional wastewater treatment processes is summarized in Table 1.
Table 1.
Energy consumption using different processes.
The P-RBC process, characterized by its biofilm-based treatment mechanism, exhibits significantly lower operational energy consumption compared to conventional activated sludge processes like A2O (Anaerobic-Anoxic-Oxic), CASS (Cyclic Activated Sludge System), and SBR (Sequencing Batch Reactor). Notably, when compared to the CASS process, which is the most energy-efficient among the A2O, CASS, and SBR processes, with an energy consumption of 0.3 kWh per ton of wastewater, the P-RBC process demonstrates a remarkable energy efficiency, consuming only 0.09 kWh per ton of wastewater. This represents a substantial energy saving of approximately 300% compared to the CASS process. Furthermore, when comparing the P-RBC with the T-RBC process, the P-RBC achieves at least a 50% reduction in energy consumption.
These findings underscore the P-RBC process’s potential for significantly reducing the energy footprint of wastewater treatment facilities and offering a more sustainable and cost-effective alternative to traditional activated sludge systems. The energy efficiency inherent in the P-RBC process not only supports environmental sustainability goals but also presents opportunities for operational cost savings in wastewater management practices.
4. Conclusions
This study revealed the pivotal role of rotational speed and HRT in optimizing the P-RBC for enhanced COD removal and GAO enrichment. Findings indicate that lower rotational speeds and extended HRTs significantly boost COD removal efficiency by fostering GAO proliferation and facilitating their PHA synthesis capabilities. Additionally, the type of carbon source, particularly sodium acetate, has been identified as influential in maximizing PHA production. The P-RBC has demonstrated robust performance under varying operational conditions, including high organic loads and low temperatures, while maintaining superior energy efficiency compared to conventional activated sludge processes. These insights highlight the P-RBC’s potential for integrating with denitrification systems, offering a sustainable and energy-efficient solution for high-concentration COD wastewater treatment and valuable resource recovery.
Supplementary Materials
The following supporting information can be downloaded at https://www.mdpi.com/article/10.3390/w16101417/s1, Table S1: Analyze items and test methods; Figure S1: Illustration of rotation pattern of P-RBC reactor at rotating speed of 0.5 and 1 round per hour; Figure S2: Long-term performance of COD removal by T-RBC; Figure S3: Total Phosphorous release profile; Figure S4: Microbial communities Analysis at (A) different speeds; (B) different HRTs; Figure S5: Camera photos of the (A) Blank polyurethane biocarriers and the (B) biofilm loaded biocarriers, compared to Gel electrophoresis imaging for the (C) Blank polyurethane biocarriers and the (D) biofilm loaded biocarriers; Figure S6: The COD of different carbon sources removes the long-term operation curve.
Author Contributions
Conceptualization, L.C. and C.Z.; methodology, L.C.; software, G.D., C.Z. and A.A.; validation, C.Z. and G.D.; formal analysis, C.Z., G.D. and Y.Y.; investigation, C.Z. and G.D.; resources, L.C.; data curation, G.D. and C.Z.; writing—original draft preparation, L.C., G.D., C.Z., A.A. and Y.Y.; writing—review and editing, G.D., A.A. and R.E.; visualization, L.C.; supervision, H.J.; project administration, L.C. All authors have read and agreed to the published version of the manuscript.
Funding
This work was supported by the National Natural Science Foundation of China (Grant No. 32301420) and the Jiangsu Province Key Project of Research and Development Plan (BE2020676).
Data Availability Statement
Data are contained within the article and Supplementary Materials.
Acknowledgments
The authors would like to thank the support from the National Natural Science Foundation of China (Grant No. 32301420) and the Jiangsu Province Key Project of Research and Development Plan (BE2020676).
Conflicts of Interest
The authors declare no conflicts of interest.
References
- Mehariya, S.; Goswami, R.K.; Karthikeysan, O.P.; Verma, P. Microalgae for High-Value Products: A Way towards Green Nutraceutical and Pharmaceutical Compounds. Chemosphere 2021, 280, 130553. [Google Scholar] [CrossRef] [PubMed]
- WWAP. The United Nations World Water Development Report 2017: Wastewater: The Untapped Resources; The United Nations Educational, Scientific and Cultural Organization: Paris, France, 2017. [Google Scholar]
- Zhang, M.; Dong, H.; Zhao, L.; Wang, D.; Meng, D. A Review on Fenton Process for Organic Wastewater Treatment Based on Optimization Perspective. Sci. Total Environ. 2019, 670, 110–121. [Google Scholar] [CrossRef] [PubMed]
- Angelakis, A.; Snyder, S. Wastewater Treatment and Reuse: Past, Present, and Future. Water 2015, 7, 4887–4895. [Google Scholar] [CrossRef]
- Kamyab, H.; Khademi, T.; Chelliapan, S.; SaberiKamarposhti, M.; Rezania, S.; Yusuf, M.; Farajnezhad, M.; Abbas, M.; Jeon, B.H.; Ahn, Y. The Latest Innovative Avenues for the Utilization of Artificial Intelligence and Big Data Analytics in Water Resource Management. Results Eng. 2023, 20, 101566. [Google Scholar] [CrossRef]
- Zhang, X.; Zhou, X.; Xie, Y.; Rong, X.; Liu, Z.; Xiao, X.; Liang, Z.; Jiang, S.; Wei, J.; Wu, Z. A Sustainable Bio-Carrier Medium for Wastewater Treatment: Modified Basalt Fiber. J. Clean. Prod. 2019, 225, 472–480. [Google Scholar] [CrossRef]
- Mishra, S.; Singh, V.; Ormeci, B.; Hussain, A.; Cheng, L.; Venkiteshwaran, K. Anaerobic–Aerobic Treatment of Wastewater and Leachate: A Review of Process Integration, System Design, Performance and Associated Energy Revenue. J. Environ. Manag. 2023, 327, 116898. [Google Scholar] [CrossRef] [PubMed]
- Hashmi, Z.; Jatoi, A.S.; Nadeem, S.; Anjum, A.; Imam, S.M.; Jangda, H. Comparative Analysis of Conventional to Biomass-Derived Adsorbent for Wastewater Treatment: A Review. Biomass Convers. Biorefinery 2024, 14, 45–76. [Google Scholar] [CrossRef]
- Wolff, D.; Helmholz, L.; Castronovo, S.; Ghattas, A.-K.; Ternes, T.A.; Wick, A. Micropollutant Transformation and Taxonomic Composition in Hybrid MBBR–A Comparison of Carrier-Attached Biofilm and Suspended Sludge. Water Res. 2021, 202, 117441. [Google Scholar] [CrossRef]
- Abdelfattah, A.; Hossain, I.; Cheng, L. High—Strength Wastewater Treatment Using Microbial Biofilm Reactor: A Critical Review. World J. Microbiol. Biotechnol. 2020, 36, 75. [Google Scholar] [CrossRef]
- Englande, A.J.; Krenkel, P.; Shamas, J. Wastewater Treatment & Water Reclamation. Ref. Modul. Earth Syst. Environ. Sci. 2015. [Google Scholar] [CrossRef]
- Ebrahimi, M.; Kazemi, H.; Mirbagheri, S.A.; Rockaway, T.D. Integrated Approach to Treatment of High-Strength Organic Wastewater by Using Anaerobic Rotating Biological Contactor. J. Environ. Eng. 2018, 144, 04017102. [Google Scholar] [CrossRef]
- Zulkifli, M.; Hasan, H.A.; Abdullah, S.R.S.; Muhamad, M.H. A Review of Ammonia Removal Using a Biofilm-Based Reactor and Its Challenges. J. Environ. Manag. 2022, 315, 115162. [Google Scholar] [CrossRef] [PubMed]
- Flavigny, R.M.-G.; Cord-Ruwisch, R. Organic Carbon Removal from Wastewater by a PHA Storing Biofilm Using Direct Atmospheric Air Contact as Oxygen Supply. Bioresour. Technol. 2015, 187, 182–188. [Google Scholar] [CrossRef]
- Miao, L.; Wang, S.; Li, B.; Cao, T.; Zhang, F.; Wang, Z.; Peng, Y. Effect of Carbon Source Type on Intracellular Stored Polymers during Endogenous Denitritation (ED) Treating Landfill Leachate. Water Res. 2016, 100, 405–412. [Google Scholar] [CrossRef] [PubMed]
- Dan, Q.; Peng, Y.; Wang, B.; Wang, Q.; Sun, T. Side-Stream Phosphorus Famine Selectively Strengthens Glycogen Accumulating Organisms (GAOs) for Advanced Nutrient Removal in an Anaerobic-Aerobic-Anoxic System. Chem. Eng. J. 2021, 420, 129554. [Google Scholar] [CrossRef]
- Hassard, F.; Biddle, J.; Cartmell, E.; Jefferson, B.; Tyrrel, S.; Stephenson, T. Rotating Biological Contactors for Wastewater Treatment–a Review. Process Saf. Environ. Prot. 2015, 94, 285–306. [Google Scholar] [CrossRef]
- Waqas, S.; Bilad, M.R.; Man, Z.B.; Klaysom, C.; Jaafar, J.; Khan, A.L. An Integrated Rotating Biological Contactor and Membrane Separation Process for Domestic Wastewater Treatment. Alexandria Eng. J. 2020, 59, 4257–4265. [Google Scholar] [CrossRef]
- Tabraiz, S.; Haydar, S.; Hussain, G. Evaluation of a Cost-Effective and Energy-Efficient Disc Material for Rotating Biological Contactors (RBC), and Performance Evaluation under Varying Condition of RPM and Submergence. Desalin. Water Treat. 2016, 57, 20439–20446. [Google Scholar] [CrossRef]
- Abdelfattah, A.; Eltawab, R.; Iqbal Hossain, M.; Zhou, X.; Cheng, L. Membrane Aerated Biofilm Reactor System Driven by Pure Oxygen for Wastewater Treatment. Bioresour. Technol. 2024, 393, 130130. [Google Scholar] [CrossRef] [PubMed]
- Smolders, G.J.F.; van der Meij, J.; van Loosdrecht, M.C.M.; Heijnen, J.J. Model of the Anaerobic Metabolism of the Biological Phosphorus Removal Process: Stoichiometry and PH Influence. Biotechnol. Bioeng. 1994, 43, 461–470. [Google Scholar] [CrossRef] [PubMed]
- Wang, Z.; Pane, V.E.; Criddle, C.S. Metabolic Model of Nitrite Reduction to Nitrous Oxide Coupled to Alternating Consumption and Storage of Glycogen and Polyhydroxyalkanoate. Bioresour. Technol. Reports 2020, 9, 100370. [Google Scholar] [CrossRef]
- Jenkins, D.; Richard, M.G.; Daigger, G.T. Manual on the Causes and Control of Activated Sludge Bulking, Foaming, and Other Solids Separation Problems; Crc Press: Boca Raton, FL, USA, 2003. [Google Scholar]
- APHA. Standard Methods for the Examination of Water and Wastewater; American Public Health Association: Washington, DC, USA, 2005. [Google Scholar]
- Xie, D.; Gao, M.; Yang, M.; Wu, C.; Meng, J.; Xu, M.; Wang, Q.; Liu, S.; Sun, X. Nitrate-Rich Wastewater Discharged from a Bio-Trickling Filter Can Be Reused as a Moisture Conditioning Agent for Organic Waste Composting. Environ. Technol. Innov. 2021, 24, 101932. [Google Scholar] [CrossRef]
- Zhang, Z.; Yu, Z.; Zhu, L.; Yu, H.; Dai, X.; Xu, X.; Alvarez, P.J.J. Gradient Reduced Aeration in an Enhanced Aerobic Granular Sludge Process Optimizes the Dominant Microbial Community and Its Function. Environ. Sci. Water Res. Technol. 2018, 4, 680–688. [Google Scholar] [CrossRef]
- Hossain, M.I. Evaluation and Validation of Passive Aeration Simultaneous Nitrification and Denitrification (PASND) in a Biofilm Reactor for Low-Energy Wastewater Treatment. Ph.D. Thesis, Murdoch University, Pittsburgh, PA, USA, 2017. [Google Scholar]
- Rizvi, H.; Ahmad, N.; Abbas, F.; Bukhari, I.H.; Yasar, A.; Ali, S.; Yasmeen, T.; Riaz, M. Start-up of UASB Reactors Treating Municipal Wastewater and Effect of Temperature/Sludge Age and Hydraulic Retention Time (HRT) on Its Performance. Arab. J. Chem. 2015, 8, 780–786. [Google Scholar] [CrossRef]
- Luo, Y.; Yao, J.; Wang, X.; Zheng, M.; Guo, D.; Chen, Y. Efficient Municipal Wastewater Treatment by Oxidation Ditch Process at Low Temperature: Bacterial Community Structure in Activated Sludge. Sci. Total Environ. 2020, 703, 135031. [Google Scholar] [CrossRef] [PubMed]
- Shukla, R.; Ahammad, S.Z. Performance Evaluation and Microbial Community Structure of a Modified Trickling Filter and Conventional Activated Sludge Process in Treating Urban Sewage. Sci. Total Environ. 2022, 853, 158331. [Google Scholar] [CrossRef] [PubMed]
- Harb, M.; Wei, C.-H.; Wang, N.; Amy, G.; Hong, P.-Y. Organic Micropollutants in Aerobic and Anaerobic Membrane Bioreactors: Changes in Microbial Communities and Gene Expression. Bioresour. Technol. 2016, 218, 882–891. [Google Scholar] [CrossRef] [PubMed]
- Hossain, M.I.; Cheng, L.; Cord-Ruwisch, R. Energy Efficient COD and N-Removal from High-Strength Wastewater by a Passively Aerated GAO Dominated Biofilm. Bioresour. Technol. 2019, 283, 148–158. [Google Scholar] [CrossRef] [PubMed]
- Lopez-Vazquez, C.M.; Hooijmans, C.M.; Brdjanovic, D.; Gijzen, H.J.; van Loosdrecht, M.C.M. Temperature Effects on Glycogen Accumulating Organisms. Water Res. 2009, 43, 2852–2864. [Google Scholar] [CrossRef] [PubMed]
- Filipe, C.D.M.; Daigger, G.T.; Grady, C.P.L. A Metabolic Model for Acetate Uptake under Anaerobic Conditions by Glycogen Accumulating Organisms: Stoichiometry, Kinetics, and the Effect of PH. Biotechnol. Bioeng. 2001, 76, 17–31. [Google Scholar] [CrossRef]
- Ding, J.; Gao, X.; Peng, Y.; Peng, Y.; Zhang, Q.; Li, X.; Wang, S. Anaerobic Duration Optimization Improves Endogenous Denitrification Efficiency by Glycogen Accumulating Organisms Enhancement. Bioresour. Technol. 2022, 348, 126730. [Google Scholar] [CrossRef] [PubMed]
- Wang, L.; Liu, J.; Oehmen, A.; Le, C.; Geng, Y.; Zhou, Y. Butyrate Can Support PAOs but Not GAOs in Tropical Climates. Water Res. 2021, 193, 116884. [Google Scholar] [CrossRef]
- McIlroy, S.J.; Albertsen, M.; Andresen, E.K.; Saunders, A.M.; Kristiansen, R.; Stokholm-Bjerregaard, M.; Nielsen, K.L.; Nielsen, P.H. ’Candidatus Competibacter’-Lineage Genomes Retrieved from Metagenomes Reveal Functional Metabolic Diversity. ISME J. 2014, 8, 613–624. [Google Scholar] [CrossRef] [PubMed]
- Ren, T.; Chi, Y.; Wang, Y.; Shi, X.; Jin, X.; Jin, P. Diversified Metabolism Makes Novel Thauera Strain Highly Competitive in Low Carbon Wastewater Treatment. Water Res. 2021, 206, 117742. [Google Scholar] [CrossRef] [PubMed]
- Lopez-Vazquez, C.M.; Song, Y.; Hooijmans, C.M.; Brdjanovic, D.; Moussa, M.S.; Gijzen, H.J.; van Loosdrecht, M.C.M. Temperature Effects on the Aerobic Metabolism of Glycogen-accumulating Organisms. Biotechnol. Bioeng. 2008, 101, 295–306. [Google Scholar] [CrossRef] [PubMed]
- Crocetti, G.R.; Banfield, J.F.; Keller, J.; Bond, P.L.; Blackall, L.L. Glycogen-Accumulating Organisms in Laboratory-Scale and Full-Scale Wastewater Treatment Processes b BThe GenBank Accession Numbers for the Sequences Reported in This Paper Are given in Methods. Microbiology 2002, 148, 3353–3364. [Google Scholar] [CrossRef] [PubMed]
- Cortez, S.; Teixeira, P.; Oliveira, R.; Mota, M. Rotating Biological Contactors: A Review on Main Factors Affecting Performance. Rev. Environ. Sci. Bio/Technol. 2008, 7, 155–172. [Google Scholar] [CrossRef]
- Saratale, R.G.; Cho, S.-K.; Saratale, G.D.; Kumar, M.; Bharagava, R.N.; Varjani, S.; Kadam, A.A.; Ghodake, G.S.; Palem, R.R.; Mulla, S.I.; et al. An Overview of Recent Advancements in Microbial Polyhydroxyalkanoates (PHA) Production from Dark Fermentation Acidogenic Effluents: A Path to an Integrated Bio-Refinery. Polymers 2021, 13, 4297. [Google Scholar] [CrossRef] [PubMed]
- Venkateswar Reddy, M.; Kotamraju, A.; Venkata Mohan, S. Bacterial Synthesis of Polyhydroxyalkanoates Using Dark Fermentation Effluents: Comparison between Pure and Enriched Mixed Cultures. Eng. Life Sci. 2015, 15, 646–654. [Google Scholar] [CrossRef]
- Zhang, C.; Chen, Y.; Randall, A.A.; Gu, G. Anaerobic Metabolic Models for Phosphorus- and Glycogen-Accumulating Organisms with Mixed Acetic and Propionic Acids as Carbon Sources. Water Res. 2008, 42, 3745–3756. [Google Scholar] [CrossRef]
- Zhao, C.; Zhang, C.; Shen, Z.; Yang, Y.; Qiu, Z.; Li, C.; Xue, B.; Zhang, X.; Yang, X.; Wang, S.; et al. Ethylmalonyl-CoA Pathway Involved in Polyhydroxyvalerate Synthesis in Candidatus Contendobacter. AMB Express 2022, 12, 39. [Google Scholar] [CrossRef] [PubMed]
- Costley, S.C.; Wallis, F.M. Effect of Flow Rate on Heavy Metal Accumulation by Rotating Biological Contactor (RBC) Biofilms. J. Ind. Microbiol. Biotechnol. 2000, 24, 244–250. [Google Scholar] [CrossRef]
- Farghaly, A.; Enitan, A.M.; Kumari, S.; Bux, F.; Tawfik, A. Polyhydroxyalkanoates Production from Fermented Paperboard Mill Wastewater Using Acetate-Enriched Bacteria. Clean Technol. Environ. Policy 2016, 19, 935–947. [Google Scholar] [CrossRef]
- Jia, Q.; Wang, H.; Wang, X. Dynamic Synthesis of Polyhydroxyalkanoates by Bacterial Consortium from Simulated Excess Sludge Fermentation Liquid. Bioresour. Technol. 2013, 140, 328–336. [Google Scholar] [CrossRef] [PubMed]
- Suarez, C.; Piculell, M.; Modin, O.; Langenheder, S.; Persson, F.; Hermansson, M. Thickness Determines Microbial Community Structure and Function in Nitrifying Biofilms via Deterministic Assembly. Sci. Rep. 2019, 9, 5110. [Google Scholar] [CrossRef] [PubMed]
- He, C.; Wu, H.; Wei, G.; Zhu, S.; Qiu, G.; Wei, C. Simultaneous Decarbonization and Phosphorus Removal by Tetrasphaera Elongata with Glucose as Carbon Source under Aerobic Conditions. Bioresour. Technol. 2024, 393, 130048. [Google Scholar] [CrossRef]
- Wang, H.-C.; Cui, D.; Han, J.-L.; Cheng, H.-Y.; Liu, W.-Z.; Peng, Y.-Z.; Chen, Z.-B.; Wang, A.-J. A2O-MBR as an Efficient and Profitable Unconventional Water Treatment and Reuse Technology: A Practical Study in a Green Building Residential Community. Resour. Conserv. Recycl. 2019, 150, 104418. [Google Scholar] [CrossRef]
- Gu, J.; Xu, G.; Liu, Y. An Integrated AMBBR and IFAS-SBR Process for Municipal Wastewater Treatment towards Enhanced Energy Recovery, Reduced Energy Consumption and Sludge Production. Water Res. 2017, 110, 262–269. [Google Scholar] [CrossRef] [PubMed]
- Sodhi, V.; Bansal, A.; Jha, M.K. Studies on Pollution Removal Capability of an Advanced Activated Sludge Treatment for Industrial Wastewater. In Proceedings of the Chemical Engineering Congress, Batu Ferringhi, Malaysia, 17–19 July 2019. [Google Scholar]
- Sodhi, V.; Bansal, A.; Jha, M.K. Excess Sludge Disruption and Pollutant Removal from Tannery Effluent by Upgraded Activated Sludge System. Bioresour. Technol. 2018, 263, 613–624. [Google Scholar] [CrossRef] [PubMed]
- Liu, H.; Gu, J.; Wang, S.; Zhang, M.; Liu, Y. Performance, Membrane Fouling Control and Cost Analysis of an Integrated Anaerobic Fixed-Film MBR and Reverse Osmosis Process for Municipal Wastewater Reclamation to NEWater-like Product Water. J. Memb. Sci. 2020, 593, 117442. [Google Scholar] [CrossRef]
Disclaimer/Publisher’s Note: The statements, opinions and data contained in all publications are solely those of the individual author(s) and contributor(s) and not of MDPI and/or the editor(s). MDPI and/or the editor(s) disclaim responsibility for any injury to people or property resulting from any ideas, methods, instructions or products referred to in the content. |
© 2024 by the authors. Licensee MDPI, Basel, Switzerland. This article is an open access article distributed under the terms and conditions of the Creative Commons Attribution (CC BY) license (https://creativecommons.org/licenses/by/4.0/).













