Next Article in Journal
DNA Replication Origins and Fork Progression at Mammalian Telomeres
Previous Article in Journal
Anatomy of Mammalian Replication Domains
 
 
Font Type:
Arial Georgia Verdana
Font Size:
Aa Aa Aa
Line Spacing:
Column Width:
Background:
Article

Genome-Wide Analysis of the Sucrose Synthase Gene Family in Grape (Vitis vinifera): Structure, Evolution, and Expression Profiles

Nanjing Agricultural University, Weigang 1 hao, 210095 Nanjing, China
*
Author to whom correspondence should be addressed.
Genes 2017, 8(4), 111; https://doi.org/10.3390/genes8040111
Submission received: 23 January 2017 / Revised: 16 March 2017 / Accepted: 20 March 2017 / Published: 28 March 2017
(This article belongs to the Section Plant Genetics and Genomics)

Abstract

:
Sucrose synthase (SS) is widely considered as the key enzyme involved in the plant sugar metabolism that is critical to plant growth and development, especially quality of the fruit. The members of SS gene family have been identified and characterized in multiple plant genomes. However, detailed information about this gene family is lacking in grapevine (Vitis vinifera L.). In this study, we performed a systematic analysis of the grape (V. vinifera) genome and reported that there are five SS genes (VvSS1–5) in the grape genome. Comparison of the structures of grape SS genes showed high structural conservation of grape SS genes, resulting from the selection pressures during the evolutionary process. The segmental duplication of grape SS genes contributed to this gene family expansion. The syntenic analyses between grape and soybean (Glycine max) demonstrated that these genes located in corresponding syntenic blocks arose before the divergence of grape and soybean. Phylogenetic analysis revealed distinct evolutionary paths for the grape SS genes. VvSS1/VvSS5, VvSS2/VvSS3 and VvSS4 originated from three ancient SS genes, which were generated by duplication events before the split of monocots and eudicots. Bioinformatics analysis of publicly available microarray data, which was validated by quantitative real-time reverse transcription PCR (qRT-PCR), revealed distinct temporal and spatial expression patterns of VvSS genes in various tissues, organs and developmental stages, as well as in response to biotic and abiotic stresses. Taken together, our results will be beneficial for further investigations into the functions of SS gene in the processes of grape resistance to environmental stresses.

1. Introduction

Sucrose is an essential element of life cycle in higher plants. It is mainly produced by photosynthesis in source tissues and is exported to sink tissues where it serves as a carbon source of energy for various metabolic pathways [1,2]. In addition, when suffering from environmental stress such as cold, drought and salt stress, the accumulation of sucrose protects the stability of both membranes and proteins in plant cells. Further, sucrose is reported to supply energy to increase metabolism when plants recover from these stresses [3,4]. In recent years, it has also been recognized that sucrose can act as important signal in plants to modulate a wide range of processes through regulating the expression level of genes encoding enzymes, storage and transporter proteins [5,6,7,8]. Moreover, sucrose also participates in several fundamental processes, such as cell division [9], flowering induction [10], vascular tissue differentiation [11], seed germination [12], and the accumulation of storage products [13]. Thus, the study of the sucrose metabolism is pivotal in understanding various sides of plant physiology.
Sucrose synthase (SS) is one of the key enzymes that regulate the sucrose metabolism in plant. SS catalyzes the reversible reaction of sucrose and uridine diphosphate (UDP) into uridine diphosphate glucose (UDP-glucose) and fructose [14,15]. SS enzymes have pivotal roles in a large range of plant metabolic processes, such as sucrose distribution between plant source and sink tissues [16,17,18,19], starch biosynthesis, cellulose synthesis in secondary cell wall [20], nitrogen fixation [21] and response to abiotic stresses [14,18,22].
The identification and characterization of the sucrose synthase genes is the first step towards detecting their specific roles involved in different types of metabolic pathways. With the whole-genome sequencing data of many plants being released in such a short period, an increasing number of SS gene families have been identified subsequently and characterized. The number of members of the small multigene family differs among the plant species examined. For example, three SS genes were identified in the maize and pea (Pisum sativum) genomes [23,24]; there exist six distinct SS gene members in Arabidopsis, rice, Hevea brasiliensis and Lotus japonicus [22,25,26,27]; and diploid cotton (Gossypium arboreum and Gossypium Raimondii) genomes each contain eight SS genes [28]. Both of the tetraploid cotton (G. Hirsutum) [28] and poplar (Populus trichocarpa) [29] genome contain fifteen SS members, which belonged to one of the largest family of SS genes identified to date [30]. In all cases, the spatio-temporal expression patterns of the different SS genes across tissue types within each plant species implied that each member of SS gene families performed specific physiological functions in a given tissue/organ. For instance, the expression profiling of Arabidopsis SS genes reveals partially overlapping but distinct patterns. AtSS2 is expressed highly only in a critical period of the seeds; in contrast, AtSS1 and AtSS5 are much more widely expressed, in the root, stem, flower, silliques and seed. AtSS6 is expressed mainly in the root, flower and seed [31]. PsSS1, PsSS2, and PsSS3 genes are expressed predominately in seed, leaf, and flower of the pea, respectively [23]. Tissue/developmental-specific expression patterns of SS genes have also been demonstrated in many other plant species, such as L. japonicus, rice, and citrus [26,27,32,33]. In conclusion, extensive studies about the SS gene family have been carried out in various plant species such as Arabidopsis, rice, citrus, and poplar, however, few studies about the SS genes in grape have been done till date.
In most fruit crops, fruit quality is determined by the contents of sugars (such as sucrose), and sucrose synthase activity can significantly influence the sucrose accumulation. Thus, the study of sucrose synthase is key to the issue of fruit quality improvement. Grapevine (V. vinifera) is one of the most important fruit crops in the world [34] and annually production exceeding 78.6 million tons in 2014 (FAOSTAT) [34]. The quality improvement of grape berry is a very important issue. However, prior work focused on the biological functions of SS isozymes, and there is little information on the comprehensive analysis of SS gene family in grapevine. Shangguan et al. [35] have identified five putative grape SS gene, however to date the characterization of structure, expression patterns and evolution history in the grape SS gene family remains elusive. To fully understand the molecular biology, evolution and possible functions of the grape SS gene family, we must characterize the member and their evolutionary relationships.
In the present study, we employed bioinformatics methods to analyze the characters of grape SS genes on a genome-wide scale in V. vinifera based on several publicly available data. Furthermore, we investigated their expression profiles of the grape SS genes at different tissues and in response to various stresses. These comprehensive results will provide an insight that will assist in better understanding the potential functions of SS enzymes in sucrose transport or sugar accumulation of grape plants in further studies.

2. Methods

2.1. Mining of Grape Sucrose Synthase Genes

To verify a complete list of grapevine Sucrose Synthase (SS) genes, we downloaded the annotated grapevine proteins from three public databases: the National Centre for Biotechnology Information (NCBI. Available online: http://www.ncbi.nlm.nih.gov/), the Genoscope (Grapevine Genome Browser. Available online: http://www.genoscope.cns.fr/externe/GenomeBrowser/Vitis/) and the Grape Genome Database (CRIBI. Available online: http://genomes.cribi.unipd.it/grape/, V2.1). Then, the Hidden Markov Model (HMM) profiles of the core sucrose synthase domain (PF00862) and Glycosyl transferases domain (PF00534) from Pfam database (Pfam. Available online: http://pfam.xfam.org/, 30.0) was downloaded and used to survey all grapevine proteins in the 12X coverage assembly of the V. vinifera PN40024 genome.
All putative SS genes were manually verified with the InterProScan program (InterProScan. Available online: http://www.ebi.ac.uk/Tools/pfa/iprscan5/) and the Conserved Domains Database (CDD. Available online: http://www.ncbi.nlm.nih.gov/cdd) to confirm their completeness and existence of the core domains. Length of sequences, molecular weights and isoelectric points of deduced polypeptides were calculated by using tools provided at the ExPasy website (ProtParam. Available online: http://web.expasy.org/protparam/). Finally, manual annotation was performed to resolve any discrepancy between incorrectly predicted genes and the actual chromosomal locations of involved genes in question. In addition, we also use “sucrose synthase” as a query keyword to search the grapevine gene at NCBI Gene database (NCBI. Available online: https://www.ncbi.nlm.nih.gov/gene/). As sucrose phosphate synthase genes also possess these two domains except for sucrose-phosphatase domain (PF05116) in N-terminal, the candidate sequences of grape SS genes obtained from these three genome databases were submitted to InterPro and CDD databases to confirm the existence of these two domains (PF00862 and PF00534) and nonexistence of the sucrose-phosphatase domain. Those protein sequences lacking the sucrose synthase domain and Glycosyl transferases domain were removed and the longest variant with alternative splice variants were selected for further analysis.
The SS sequences of plant species, such as Arabidopsis, rice, maize, and poplar, were collected by searching the NCBI database (NCBI. Available online: https://www.ncbi.nlm.nih.gov), the Arabidopsis Information Resource (TAIR. Available online: http://www.arabidopsis.org/, Phytozome (Phytozome. Available online: https://phytozome.jgi.doe.gov/pz/portal.html, V11), rice genome database in the rice genome annotation project (TIGR. Available online: http://rice.tigr.org), and maize genome database (MaizeGDB. Available online: http://www.maizegdb.org/), using “sucrose synthase” as a query keyword. Other plant species such as Solanum tuberosum [14], Lycopersicon esculentum [30], Triticum aestivum [30], Hordeum vulgare [30], derived from some related articles.

2.2. Chromosomal Localization and Syntenic Analysis

Grape SS genes were mapped to chromosomes by identifying their chromosomal locations based on information available at the Grape Genome Database (CRIBI. Available online: http://genomes.cribi.unipd.it/grape/, V2.1). The segmental and tandem duplication regions, as well as chromosomal location, were established using PLAZA (PLAZA. Available online: http://bioinformatics.psb.ugent.be/plaza/versions/plaza_v3_dicots/, v3.0 Dicots). For syntenic analysis, synteny blocks within the grape genome and between grape and soybean genomes were downloaded from the Plant Genome Duplication Database and visualized using Circos (Circos. Available online: http://circos.ca/).

2.3. Gene Structure and Phylogenetic Analysis

The intron-exon organization analysis was carried out using Gene Structure Display Server (GSDS. Available online: http://gsds.cbi.pku.edu.cn/, 2.0) by alignment of the complementary DNA (cDNA) sequences with their corresponding genomic DNA sequences. Multiple alignments of the identified grape SS amino acid sequences were performed using ClustalX [36]. The phylogenetic tree was constructed with MEGA5.1 using the Maximum Likelihood and the bootstrap test carried out with 1000 replicates [37].

2.4. Ratio of Nonsynonymous to Synonymous Substitutions (dN/dS) and Relative Evolutionary Rate Test

The coding sequences of the grape SS genes were aligned following the amino acid alignment by Codon Alignment (Codon Alignment. Available online: https://www.hiv.lanl.gov/content/sequence/CodonAlign/codonalign.html, v2.1.0). The numbers of nonsynonymous nucleotide substitutions per nonsynonymous site (dN) and the numbers of synonymous nucleotide substitutions per synonymous site (dS) were estimated with the yn00 program of PAML4 [38]. Tajima relative rate tests [39] were performed with amino acid sequences for the two grape SS duplicate pairs using MEGA5.1 [37].

2.5. Microarray Data Analysis

Microarray gene expression profiles of the different organs of grapevine at various developmental stages were downloaded from Gene Expression Omnibus (GEO, available online: https://www.ncbi.nlm.nih.gov/geo/) under the series entry GSE36128. The expression data obtained from the V. vinifera cv. “Corvina” (clone 48) expression atlas were normalized based on the mean expression value of each gene in all tissues/organs analyzed.
Expression analyses in response to abiotic and biotic stresses were based on microarray data (series matrix accession numbers GSE31594, GSE31677, GSE6404, GSE12842 and GSE31660) downloaded from the NCBI GEO datasets (GEO. Available online: https://www.ncbi.nlm.nih.gov/geo/). All the expression data were calculated as log2 fold change in treated vs. untreated samples.
The heat maps for genes expression level were created by HemI (The Cuckoo Workgroup, Wuhan, China).

2.6. Plant Material and Treatments

Two-year-old V. vinifera cv. Chardonnay seedlings were planted in plastic pots containing peat, vermiculite, and perlite (3:1:1, v/v) were grown under the following conditions: 28 °C day 12 h/18 °C night 12 h, and a relative humidity ranging from 70% to 85%, at the greenhouse of the Nanjing Agriculture University (Nanjing, China). When shoots of vines were 40–50 cm in length, the third and fourth fully expanded young grapevine leaves beneath the apex were selected for treatments and control. At each time point of each treatment, six leaves from six separate plants were combined to form one sample, and all the experiments were performed in triplicate.
For salt stress treatments, two-year-old soil-grown plants were irrigated with 100 mM NaCl. Treated leaves were collected at 0, 48, and 96 h post-treatment. Plants were sprayed with sterile water for control. For cold treatment, plants were first grown at 23 °C, and then transferred to 4 °C, and treated leaves were collected at 0, 24, and 48 h post-treatment. For high temperature treatment, plants were first grown at 23 °C, and then transferred to 42 °C, and treated leaves were collected at 0, 24, and 48 h post-treatment. Plants were grown at 23 °C for control. For drought treatment, the plants in plastic pots were first kept well-watered and then water was withheld to impose a water stress. Leaf samples were harvested at 0, 10 and 20 days after initiation of the treatments. Control plants were maintained in well-watered conditions. For dark treatment, the plants were first grown at the greenhouse, and then transferred to dark environment, and treated leaves were collected at 0, 48, and 96 h post-treatment. Plants were grown in the normal conditions for control.
These various tissues/organs such as leaves, flowers and berries of grapevine at different developmental stages were derived from six-year old V. vinifera cv. Chardonnay grapevine grown under normal cultivation conditions under rain shelter cultivation in Jiangpu Fruit Experimental Farms of Nanjing Agricultural University, Nanjing, China.
Tissue samples were immediately frozen in liquid nitrogen and stored at −70 °C until they were subjected to RNA extraction.

2.7. RNA Extraction, cDNA Synthesis and Quantitative Real-Time PCR (qRT-PCR)

Total RNA was extracted from each organ/tissue by using EZNA Plant RNA Kit (R6827-01, Omega Biotek, Norcross, USA) according to the manufacturer’s instructions. First-strand cDNA was synthesized from 1.0 μg total RNA by using M-MLV reverse transcriptase (Fermentas, Canada) according to the manufacturer’s instructions. Quantitative PCR (qPCR) was carried out using TransStart Tip Green qPCR SuperMix (TransGen Biotech, Beijing, China) on an IQ5 real time PCR machine (Bio-Rad, Hercules, CA, USA) according to the manufacturer’s instructions. The PCR was conducted by following procedure: predenaturation at 94 °C for 30 s, followed by 40 cycles of denaturation at 94 °C for 5 s, primer annealing at 60 °C for 15 s, and extension at 72 °C for 10 s. Optical data were acquired after the extension step, and the PCR reactions were subjected to a melting curve analysis beginning from 65 °C to 95 °C at 0.1 °C s−1. The grape UBI gene (Gene code LOC100259511) was used as an internal control. All reactions were performed in triplicate in each experiment and three biological repeats were conducted. Primers used for qRT-PCR are listed in Supplementary Table S3. Each relative expression level was analyzed with IQ5 software using the Normalized Expression method (2−△△CT and 2−△CT method). Expressional data consist of three replicated treatments and controls, which were calculated as 2-log-based values and were divided by the control.

3. Results

3.1. Characteristics of the Grapevine Sucrose Synthase Gene Family

We finally identified five non-redundant sucrose synthase genes in the three grapevine genome database, the five SS genes (VIT_204s0079g00230, VIT_205s0077g01930, VIT_207s0005g00750, VIT_211s0016g00470 and VIT_217s0053g00700) were found in the V2.1 grape genome database hosted at CRIBI, and the corresponding five SS genes (LOC100266759, LOC100243135, LOC100267606, LOC100249279 and LOC100252799) were found in the NCBI. Similarly, five SS genes (GSVIVT01035210001, GSVIVT01035106001, GSVIVT01028043001, GSVIVT01015018001 and GSVIVT01029388001) were found in the 12X grapevine genome database. The results of current analysis were consistent with previous studies [35], and no more members were identified. However, some minor difference in the properties of annotated sucrose synthase genes, such as the length of DNA and amino acid sequences, were noted between CRIBI V2.1 genome database and two other genome databases. Therefore, we selected the latest V2.1 grape genome database hosted at CRIBI released in 16 April 2015. Currently this V2.1 grapevine genome database is the latest one with 2258 new coding genes and 3336 putative long non-coding RNAs. Moreover, several gene models were improved and alternative splicing was described for about 30% of the genes. Based on these five genes’ distributions and relative linear orders on the respective chromosomes, we named them VvSS1 to VvSS5 according to their chromosomal locations. Characteristics of the five SS genes are shown in Table 1 and included the deduced protein length, the molecular weight, the isoelectric point, the aliphatic index and the grand average of hydropathicity. The size of these five SS genes varied from 4229 to 9214 bp, but the coding DNA sequence (CDS) sizes were all quite similar, around 2436 to 2610 bp. Molecular analysis of the full-length deduced polypeptides indicated that the putative proteins of these grape SS genes contain 811 to 906 amino acids (predicted 92.4 to 102.7 kDa in molecular weight) with their isoelectric point calculated ranging from 5.73 to 8.28. This range of variability implies that different VvSS proteins might operate in different microenvironments.
As shown in Figure 1, five SS genes in grape were located on five chromosomes, and each chromosome contained only one gene. In addition, we also found VvSS2 and VvSS3 were located in duplicate block by the search in PLAZA v3.0 Dicots database (Figure 1). Sequence comparison revealed that the genes share a high sequence homology at the nucleotide level (54.85% to 77.55% identity) within the coding region and at the amino acid level (47.70% to 79.12% identity) (Table 2). Two unique VvSS pairs (VvSS1–VvSS5 and VvSS2–VvSS3) were found, because a higher sequence identity of nucleotide and amino acids was observed between VvSS2 and VvSS3, VvSS1 and VvSS5. VvSS4 gene was very different from the other five VvSS genes.

3.2. Exon/intron Organization of the Grapevine Sucrose Synthase Gene Family

Analysis of the exons/introns structures of gene can provide important insights into the molecular mechanism of evolution of gene family. To investigate the exon/intron structure of the grape SS genes, the CDS and genomic sequences were compared. As shown in Figure 2, these genes typically consist of 13, 15, and 16 exons interrupted by 12, 14, and 15 introns of varying sizes, respectively. These exons, with lengths of 96, 174, 117, 167 and 225, appear almost at the same positions in the CDS region of most grape SS genes, consistent with the exons in cotton and Arabidopsis [28]. Based on the length and position of the exons, three intron/exon structure models of the VvSS genes were revealed and designated as I, II and III, respectively. A comparison of the intron/exon structures in the coding regions revealed significant differences among VvSS models (Figure 2). For each SS group, the gene structure also show unique features: (a) Group III members (VvSS1 and VvSS5) shared the identical exon/intron pattern, such as exons block 1 (with lengths 155, 193, 119, 217 and 96) and exons block 2 (with lengths 117, 167, 225, 567 and 139) arranged in the coding region in order. (b) In Group I (VvSS4), the fifth position was an exon with length 336 in VvSS4, and in VvSS1 of Group III the fourth and fifth exons were 119 and 217 in length. Thus, we assumed that exon with length 336 in VvSS4 was split into two exons (exon with length 119 and length 217, respectively) in VvSS1 through the evolutionary history. (c) In Group II (VvSS2 and VvSS3), if we ignored the minor differences in length of some exons (such as the first exon with length 92 in VvSS2 and the last exon with length 98 in VvSS3, the last exon with length 36 in VvSS2 and the first exon with length 39 in VvSS3, etc.), and considered the arrangement order of these exons, it was a reasonable hypothesis that VvSS2 and VvSS3 were duplicated and retained from whole-genome duplication event (WGD).

3.3. Gene Duplication and Syntenic Analysis of the Grapevine Sucrose Synthase Genes

Gene duplication and divergence are important in gene family expansion [40] and the evolution of novel functions [41]. Grapevine has undergone whole-genome duplications during its evolutionary history [42]. To examine the impact of duplications on the SS gene family, we obtained tandem duplication and segmental duplication gene pairs from Plant Genome Duplication Database (PGDD. Available online: http://chibba.agtec.uga.edu/duplication/) and visualized them using Circos software (Circos. Available online: http://circos.ca/). In this study, we identified one segmental duplication pairs of grape SS genes (VvSS2 and VvSS3) (Figure 3, Figure S1) but no tandem duplication events were detected in the grape SS genes. Further to explore the origin and evolution dynamics of grape SS genes, we investigated the syntenic relationship between grapevine and other plant species, and found that there is the syntenic relationship between grapevine and soybean (Glycine max) based on the results obtained from PGDD database. The syntenic analysis showed that syntenic genes included: VvSS1-Glyma.02G240400 (GmSS1)/Glyma.09G167000 (GmSS4)/Glyma.14G209900 (GmSS6), VvSS2-Glyma.03G216300 (GmSS2)/Glyma.15G151000 (GmSS8)/Glyma.19G212800 (GmSS11), VvSS3-Glyma.03G216300 (GmSS2)/Glyma.19G212800 (GmSS11), VvSS4-Glyma.13G114000 (GmSS5)/Glyma.17G045800 (GmSS10)/Glyma.15G182600 (GmSS7)/Glyma.09G073600 (GmSS3), and VvSS5-Glyma.09G167000 (GmSS4)/Glyma.16G217200 (GmSS9) (Figure 3, Supplementary Table S1). These results provide insights that will help infer the probable functions of grape SS genes.

3.4. Phylogenetic Analysis of the Grapevine Sucrose Synthase Genes

To investigate the evolutionary modules and their relationship to functional ones, we constructed a maximum likelihood tree using the full-length amino acid sequences of SS genes from 58 dicot sequences, 19 monocot sequences and four bacteria sequences based on 1000-replicate bootstrap values (Figure 4, Supplementary Table S2). The phylogenetic analysis revealed a relatively deep evolutionary origin and relatively recent duplications. All bacterial SS genes clustered into the same group, whereas those from the land plants formed a monophyletic group, showing that all plant SS genes originated from an ancestral type [43] (Figure 4). Bacteria SS genes were used as the outgroup; the plant SS genes can be categorized into three clearly distinct subgroups based on strong statistical support. These subgroups were designated as class I, class II and class III, respectively (Figure 4). The improved resolution in the tree also enabled us to make further subdivisions within classes I, II and III. Each class was resolved into two branches, one specific for dicots and another for monocots. Thus, the phylogenetic analysis suggested that most gene duplication events that gave rise to SS gene classes I–III occurred before the divergence of monocot/dicot. The five grape SS genes were distributed in the dicot branch of classes I, II and III, VvSS4 in the dicot subgroup of Class I, VvSS2 and VvSS3 in Class II, and VvSS1 and VvSS5 in Class III, consistent with the exon/intron organization pattern and nucleotide/amino acid sequence identity (Table 2 and Figure 2). VvSS4 itself was clustered into a branch; VvSS2 was clustered together with CitSS6; VvSS3 was closer to OsSS4; VvSS5 was closer to CitSS4 and MdSS6; and VvSS1 was closer to CitSS5. The apparent diversification within the grape SS family could imply discrete biological roles for the paralogs despite their high sequence similarity.

3.5. Evolution of the Coding Sequences of the Grape SS Gene Pairs

Modes of selection can be estimated by the ratio of the numbers of nonsynonymous substitutions per nonsynonymous site (dN) to the numbers of synonymous substitutions per synonymous site (dS), that is, dN/dS > 1 indicates positive selection; dN/dS < 1, purifying selection; and dN/dS = 1, neural selection [44]. The combination of phylogenetic, exon/intron structure, and paragon analyses revealed two pairs of grape SS gene pairs (Table 2). The nonsynonymous substitution rates of two gene pairs are markedly higher than their synonymous substitution rates and their dN/dS values are >1 (Table 3), suggesting that these duplicates likely have been subject to positive selection. Furthermore, Tajima [39] relative rate tests were conducted to investigate whether one of the SS gene pairs has evolved at an accelerated rate following the duplication. A statistically significant increase in evolutionary rate occurs in VvSS2/VvSS3 duplicated pairs (Table 4).

3.6. Expression Analysis of VvSS Genes in Different Organs, Tissues and Developmental Stages

To investigate the spatial and temporal expression patterns of SS genes in grapevine, we retrieved the data from a global transcriptomic atlas comprising 54 tissues, organs or developmental stages [45].
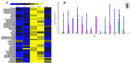
The expression patterns of VvSS genes were analyzed in the V. vinifera cv. Corvina global gene expression atlas, which consists of 54 different organs/tissues at various developmental stages obtained by microarray analysis (Supplementary Table S2). All VvSS genes had corresponding probes on the NimbleGen array. Figure 5A presents a graphical representation of the expression pattern of each VvSS gene. As a whole, the expression of five VvSS genes showed tissue- and organ-specific pattern (Figure 5A), in which VvSS1, VsSS2, and VvSS5 showed a relatively low expression level, while VvSS3 and VvSS4 remained at higher expression levels in each tested tissue. Overall, VvSS3 is highly expressed in vegetative tissues (berry pericarp, berry flesh, and berry skin) and transport tissues (rachis, tendril, and stem). However, except for expression overlap between rachis and tendril, VvSS4 mainly presented higher transcript levels in bud, inflorescences, and seed, which are considered as reproductive organs. The expression pattern of these genes was also evaluated by qRT-PCR in selected organs of the V. vinifera grapevine cultivar (Figure 5B).
In order to complement the whole-transcriptome data, steady-state mRNA levels of all VvSS genes were investigated by real-time PCR in various organs/tissues of the V. vinifera grapevine cultivar, including root, tendril, stem, leaves, flower, berry and bud at different developmental stages. As shown in Figure 5B, grape SS transcripts were detected in a wide range of tissues and showed distinct but partially overlapping expression patterns, suggesting that SS genes may be implicated in a range of physiological processes in grapevine plant. Among these, VvSS3 and VvSS4 expression was detected in all tissues examined. However, VvSS3 showed strong expression in all the tissues but VvSS4 was found to be highly expressed in stem, flower, mid-ripening berry and burst bud, and relatively lower expression was noted in root, tendril, senescencing leaf, véraison berry and latent bud. While VvSS1 was highly expressed in leaves and buds, and found that the expression of VvSS1 peaked at the initial stage of leaf development (young leaves), and then decreased rapidly during leaf development to a low level at the mature stage. VvSS2 was weakly expressed in the root and inflorescence. The very low expression levels of VvSS5 were observed in tendril and ripening berry.

3.7. Expression Patterns of VvSS Genes in Response to Biotic and Abiotic Stresses

The expression of VvSS genes in response to both biotic and abiotic stresses was investigated using microarray data from several previously published papers. Regarding abiotic stresses, expression datasets were obtained from two studies (GSE31594 and GSE31677) conducted on transcriptomic response in leaves of V. vinifera cv “Cabernet Sauvignon” to short-term salt, water and cold stress, and long-term water and salt stress. Since the Affymetrix array used in these analysis was based on the few VvSSs sequences (cDNA and expressed sequence tags (ESTs)) known at the time, the expression of only a limited number of VvSS genes (VvSS2, VvSS3 and VvSS4) could be determined (Supplementary Table S4).
In general, VvSS2 was down-regulated in all stress treatments, and the expression of VvSS4 was unaffected in some cases (salt, polyethylene glycol (PEG) and cold) and down-regulated in others (water deficit and salinity), while VvSS3 gene showed significant changes in the patterns of expression levels. We found that VvSS3 underwent continuous and significant increase after stress treatment (Figure 6). The data presented confirmed the putative involvement of VvSS3 in abiotic stresses responses.
To further determine whether the SS genes were involved in abiotic stress resistance and validate the results obtained from the analysis of the microarray data, we measured their transcript levels under drought, salt, dark, and high and low temperature using qRT-PCR. As shown in Figure 6, VvSS3 and VvSS5 transcript abundance increased in all five treatments, VvSS1 showed continuously low transcript levels in all treatments. When suffering high temperature stress, the expression levels of all of the VvSS genes were down-regulated, except for VvSS3 and VvSS5, for which the transcript levels were up-regulated significantly. VvSS5, the most rapidly responding gene, reached a peak of nearly five-fold at 24 h post treatment (hpt) and rapidly decreased at 48 hpt. We also measured the transcript levels of VvSS genes in response to low temperature (4 °C) stress. Although transcript levels varied among the family members, VvSS genes exhibited a similar expression pattern among high and low temperature stress. Similarly, VvSS5 responded strongly with transcript levels increasing to 90.0-fold at 24 h cold stress and then decreased rapidly around 15-fold at 48 h treatment.
After NaCl treatment, only VvSS2, VvSS3, and VvSS5 showed up-regulation, although the expression levels of VvSS2 and VvSS5 were merely slightly increased (less than twofold) under this treatment. VvSS3 was first declined and then rapidly up-regulated, reached a peak of 26.5-fold at 96 hpt, For the dark treatment, only VvSS3, VvSS4, and VvSS5 showed up-regulation. VvSS3 and VvSS4 had a peak of 2.5-, and 15.5-fold respectively at 48 hpt but then their transcript levels rapidly decreased at the 96 h. We found VvSS5 significantly responded to dark treatment (the peak is over than 70.0-fold at 96 hpt). As for the drought treatment, VvSS1 and VvSS4 shared similar expression patterns, with a slow increase in transcript levels to a peak and rapidly decrease. VvSS3 and VvSS5 also shared similar expression patterns, with a significantly increase in transcript levels to a peak after 20-day drought treatment.
Taken together, our results showed that VvSS genes expression varies in response to different abiotic stresses, indicating diverse roles of the VvSS genes in response to abiotic stress.
In regards to VvSS expression in response to biotic stresses, expression datasets obtained from three different host-pathogen interaction experiments were examined, including: the inoculation of Erysiphe necator on leaves of the susceptible V. vinifera cv. Cabernet sauvignon and the tolerant V. aestivalis cv. Norton [46] (Supplementary Table S4); infection of V. Vinifera cv. Chardonnay and cv. Incrocio Manzoni infection with the Bois Noir phytoplasma [47] (Supplementary Table S4); and the infection of V. vinifera cv. Cabernet Sauvignon with grapevine leaf-roll-associated virus-3 (GLRaV-3) during véraison and ripening stages of berry development [48] (Supplementary Table S4).
The effect E. necator infection on VvSS response appeared to be much stronger in the susceptible cv. Cabernet sauvignon than in the resistant cv. Norton (Figure 7A). VvSS2 gene was upregulated in Cabernet sauvignon after 4 h of inoculation and in Norton it was upregulated after 24 h of inoculation.
Phytoplasma infection led to an induction of VvSS3 genes in susceptible V. Vinifera cv. Chardonnay compared to the tolerant cv. Incrocio Manzoni (Figure 7B), and a repression of VvSS2 and VvSS4 (Figure 7B). Finally, the expression profiles of VvSS genes in response of grapevine to GLRaV-3 infection in vèraison phases revealed a general repression of the VvSS family (Figure 7C). However, a significant-upregulation, limited to VvSS2 and VvSS3, specifically induced during the ripening phase.

4. Discussion

Comparative genomics approaches have been used to analyze SS gene families in various plant species, including citrus, tobacco, poplar, and cotton [28,29,49,50]. In the present study, we verified five SS genes from grape (V. Vinifera). These grape SS family members shared two conserved domain; we named these as VvSS1–5, according to distinct molecular characteristics. Given the limited knowledge of the grape SS gene family prior to this study, Comprehensive understanding of the evolutionary relationships, molecular structures, and expression profiles provides the important resources for their molecular mechanisms and possible functions in grape growth and development.

4.1. Evolutionary Conservation and Divergence Among Grape SS Genes

In all plant species examined to date, the SS isoenzymes are encoded by a small, multi-gene family [8,29,40,50]. Comprehensive analysis of this multi-gene family, including its exon/intron structures, phylogeny, and syntenic analysis, makes it possible for researchers to predict the potential functions and evolutionary relationships among uncharacterized members of this gene family.
Since gene exon/intron structures are typically conserved among homologous genes of a gene family [51], analysis of exon/intron structures can provide a clue to reveal the evolutionary history of certain gene family [52]. Previous detailed studies of the SS genes shed light on highly conservation in the length, number and position of exon/introns in several distantly related dicot and monocot plants, bring about the speculation that the divergence of the three ancestors prior to the segregation of monocot and eudicot species [53]. In the present study, the predicted molecular features of the grape SS proteins were similar to those of previously characterized SS proteins from other plant species. We also estimated the exon/intron structures of the grape SS genes (Figure 2, Figure S2). The integrated gene structure model in VvSS was very similar to that of SS genes from tobacco [50], poplar [29], cotton [28] and Arabidopsis and rice [27,31]. For instance, the position of exons of five putative SS genes showed parallel positions, and most of the exons between Group I, II and III shared a high level of similarity but only existed difference at two ends of sequence. However, genome-wide duplication events and subsequent chromosomal rearrangements have differentially shaped the SS family of grape. For example, the numbers and length of introns of five VvSS genes were different greatly (Figure 2 and Figure S2), whereas the number and positions of exons were highly conserved among SS genes in citrus, tobacco, poplar, and cotton [28,29,49,50]. In addition, the arrangement and length of intron/exon of VvSS2 and VvSS3 showed the antiparallel relationship. We further analyzed whether these phylogenetic groups corresponded to the VvSS genes structure models. Indeed, clustering the intron/exon organizations of the five SS genes by an unrooted phylogenetic tree suggests a connection between intron/exon structures and evolutionary history.
The conservation and divergence of grape SS genes’ structure led to the expansion of gene family members and functional conservation/differentiation of gene. In general, three pivotal mechanisms contribute to gene family evolution and expansion: exon/intron gain or loss, exonization/pseudo-exonization, and insertion/deletion [17]. For the three groups in Figure 2, according to the phylogenetic relationships of five VvSS genes in the present study (see the contents below) and previous work in other plants [49,50], Group III (VvSS1/VvSS5) was the earliest one that expanded from the evolutionary branch. As a result, VvSS1/VvSS5 has the longest evolutionary history, leading to the complex of intron/exon structure. All members of Group I and II lack two exons and two introns at the last position, indicating that there was an intron deletion near the last exon, which increased the number of the VvSS family members. The divergence of intron/exon was closely related to the evolutionary history of the grape SS family and might result in functional diversification.
To further study the molecular evolution and explore their possible function of the VvSS gene family, we also investigated gene duplication events, and syntenic and phylogenetic relationships of the VvSS genes. Segmental duplications and tandem duplications can lead to increasing or decreasing copy numbers in gene families [54]. These processes may lead to functional redundancy, sub-functionalization and neo-functionalization. A segmental duplicated pair (VvSS2–VvSS3) in the grapevine genome was found, but no tandem duplicated VvSS genes were discovered (Figure 3, Supplementary Table S1). The duplicated gene pair (VvSS2–VvSS3) had high similarities in gene length, protein properties, and intron/exon structure (Tables S1 and S2, Figure 2). Furthermore, the gene pair (VvSS2–VvSS3) showed the tight phylogenetic relationship among plant SS gene families and within grape SS genes (Figure 2 and Figure 4). They also showed closer phylogenetic relationships with soybean SS genes than that with each other, and these two genes have different syntenic genes in soybean (G. max) (Figure 3, Supplementary Table S1), indicating that the duplication events happened before the divergence of the grape and soybean lineages. As discussed above, VvSS2 and VvSS3 likely have functional redundancy.
Comparative genomics relies on the structuring of genomes into syntenic blocks that exhibit conserved features across the genomes [55]. The syntenic analysis provides evolutionary and functional characterization of SS gene families in grape and soybean. In this work, all five grape SS genes were found to have syntenic relationships with soybean genes (Figure 3). Thus, a large number of syntenic relationships indicated that some of the grape SS genes arose before the divergence of these two species. According to the phylogenetic tree, VvSS genes established closer phylogenetic relations with the corresponding GmSS genes (Figure 4), suggesting strongly some level of functional similarities.
Previous studies of the molecular structures and phylogenetic relationships of plant SS gene families divided SS genes into three groups (SS1, SSA, and New Group) [26,27]. This classification was corroborated a number of subsequent studies, and three groups were respectively named as the Class I, Class II, and Class III groups [2,28,56]. Later, the Class I group can be further divided into a monocot subgroup and a eudicot subgroup, as these two subgroups were obviously distinct from each other in phylogenetic trees constructed by dozens of plant SS gene families. The Class II and Class III groups were then classified into mix group 1 and mix group 2, as members of these groups contained monocot and eudicot plants [29]. In our study, we performed phylogenetic analysis of the SS genes from grape and fifteen other plant species, and found that the grape SS genes family had at least one member in three single groups: VvSS4 in Class I, VvSS2 and VvSS3 in Class II and VvSS1 and VvSS5 in Class III. The five VvSS genes in the dicot group were divided into three subgroups, specifically, VvSS1 and VvSS5 clustered closely together, VvSS2 and VvSS3 clustered together, while VvSS4 alone clustered into one branch. VvSS1 and VvSS5 were apparently apart from Arabidopsis SS genes. This result demonstrated that the gene duplication event that generated VvSS1 and VvSS5 gene occurred after monocot–eudicot separation, but before the divergence of Vitaceae/Arabidopsis. In addition, the generation of the VvSS2 and VvSS3 genes probably took place after the separation of Vitaceae/Arabidopsis. Grape, sweet orange, and apple are both members of Rosidae, possessed a close evolutionary relationship. There were no sweet orange and apple SS genes show closely relationship with VvSS4, suggesting that VvSS4 should be more recent than the differentiation between grape and sweet orange, apple. Thus, VvSS1 and VvSS5 were older than the other grape SS genes, the diverged duplications of VvSS4 have occurred more recently and may split after the divergence of the Rosidae, and grape might have lost a copy after its divergence from Arabidopsis compared with the gene copy number of Arabidopsis. We also found positive selection contributed to evolution of this gene family. Furthermore, Tajima relative rate tests identified accelerated evolutionary rates in VvSS2/VvSS3 duplicates (Table 4). Based on the genome of V. vinifera [42], and the facts that grape SS family was distributed on five chromosomes (Figure 2), our phylogenetic analysis, the exon/intron structure, and VvSS2 and VvSS3 located in systemic blocks, we propose an interpretation of evolutionary history of the grape SS genes. Before the monocot–eudicot divergence, an early gene duplication in the ancestor gave rise to the three progenitors of the three SS groups with conserved exon/intron structure. Two of the three precursors evolved independently and finally retained one single gene in the Class II group (SS2) and Class III group (SS1), respectively. After the divergence of monocots and eudicots, duplication (may be whole-genome duplication event) of the SS precursor generated SS3 and SS5, whereas SS4 were produced after differentiation within the Rosidae (Figure 4).

4.2. VvSS Genes Involved in Grapevine Growth and Development

Functional diversity caused by the gene duplication resulted in the altered expression profiles and/or protein property, and it was a major evolutionary driver to increase the fitness to new environment of plants [57]. Analysis of gene expression profiles can be used in some level to predict the physiological processes genes involved in. To date, although the detailed expression profiles of SS genes have been examined in other plant species, such as Arabidopsis, rice, cotton, poplar, and rubber tree [2,22,25,27,28,29], there have been no detailed surveys of the expression of grape SS genes.
In the present study, the expression patterns of VvSS genes in different grapevine tissues and at different developmental stages were examined using an expression atlas of V. vinifera cv Corvina. The analysis revealed that the abundant expression of VvSS3 and VvSS4 gene in specific grapevine tissues, possibly reflected their involvement in a common metabolic and/or developmental process (Figure 5).
The expression analysis revealed that VvSS3 were highly expressed in vegetative and transport tissues, suggesting a key role of VvSS3 in the regulation of sugar accumulation in berry and sugar transport in stem and tendril of grapevine. VvSS4 was found to be specifically expressed in reproductive tissues and highly accumulated during flower development, which was shown to may have a role in energy supplying to support the process from bud to flower. Similarity, the spatial-temporal expression of SS genes has been previously reported in many other plants. For example, at the early stage of fruit development of apple, the transcript levels of SS are high. As the fruit continues to grow due to cell expansion, the transcript levels of SS were down-regulated [58]. For tissues and organs, CitSus1 and CitSus2 were predominantly expressed in fruit juice sacs (JS), whereas CitSus3 and CitSus4 were predominantly expressed in early leaves (immature leaves), and CitSus5 and CitSus6 were predominantly expressed in fruit JS and in mature leaves. During fruit development, CitSus5 transcript increased significantly and CitSus6 transcript decreased significantly in fruit JS. In addition, in tobacco, Sus2 (Ntab0259170) and Sus3 (Ntab0259180) gene based on high transcript levels also play a predominant role in sucrose metabolism during leaf development [49]. Zou et al., (2013) [28] demonstrated that most Sus genes were differentially expressed in various tissues and GrSUS1, GrSUS3, and GrSUS5 showed significantly higher expression levels and underwent significant changes in expression during fiber development in the three Gossypium species.
VvSS1, VvSS2 and VvSS5 genes were not expressed, or were expressed at low levels, suggesting their redundant function in the normal development and growth process of grape. However, in certain tissues, other VvSS genes except for VvSS3 and 4, also plays an important role. For example, VvSS2 was barely expressed at a high level in seed-PFS, and VvSS1 was similarly expressed at a high level in tendril, and tendril. These results suggest that the functions of VvSS genes are diversified and yet partially overlap. Since sucrose affects cell division and vascular tissue differentiation in plant leaves, VvSS4 remained at a steady high level, and VvSS3 significantly decreased during the course of leaf development (which is same expression pattern in bud). Overall, comparison of the transcripts of all VvSS genes in each single tissue revealed the predominant role of VvSS3 and VvSS4 isoforms in the growth and development of grapevine.

4.3. Stress Induced VvSS Expression in Grapevine

Sucrose synthases have been reported to be associated with plant responds to various environmental stresses. For instance, in Arabidopsis, expression of the AtSS1 gene could be induced by cold or drought treatment. AtSS3 is used as a molecular marker of dehydration [25]. In addition, two barley SS genes (HvSS1 and HvSS3) and one rubber tree SS gene (HbSS5) significantly responded to low temperature and drought stresses [22,59]. The higher expression levels of SS genes may result from the increased glycolytic demand under abiotic stresses [60].
In our study, the transcriptomic databases generated in previous studies of grapevine subjected to biotic and abiotic stresses, together with our qRT-PCR analysis, allowed us to identify VvSS genes putatively involved in stress response.
The members of grape SS gene family exhibited different responses of expression patterns in the mature leaf in response to different abiotic stress. In detail, under all abiotic stress, the transcription levels of VvSS3 and VvSS5 were continuously up-regulated, and thus the key enzymes of VvSS3 and VvSS5 encoded might be the predominant isoforms of leaf to respond to abiotic stress. Simultaneously, the transcription levels of the other VvSS genes were significantly down-regulated after abiotic stress treatment. The similar expression response of SS genes was also found in rubber tree (Hevea brasiliensis) [22] and barley (Hordeum vulgare) [59]. Low temperature and drought treatments conspicuously induced HbSus5 expression in root and leaf, suggesting a role in stress responses of rubber tree. Only HvSs1 is up-regulated by anoxia and cold temperatures from the four SS genes in barley. In addition, expression of Sus5 (Ntab0288750) and Sus7 (Ntab0234340) were conspicuously induced by low temperature and virus treatment, indicating that these two isozymes are important in meeting the increased glycolytic demand that occurs during abiotic stress [50].
Regarding biotic stresses, to date the involvement of VvSS genes in biotic responses has been not previously reported. In this study, a significant induction of VvSSs did not occur in response to E. necator, Bois Noir, and GLRaV-3 infection. In contrast, a significant repression of VvSSs was observed, suggesting that these VvSS genes may be not involved in the pathogen response pathway. It is important to note that despite showing a high fold change of VvSS2 in infected vs. mock-inoculated leaves in the biotic stresses, the baseline levels of VvSS2 transcript were always lower (Supplementary Table S1). However, VvSS3 was significantly upregulated in response to Bois Noir phytoplasma infection, indicating that VvSS3 might play an important role in plant defense against Bois Noir.
In addition, the duplicated gene pair, VvSS2VvSS3 possessed apparently unique expression profiles, further suggesting that the duplicated gene pair VvSS2VvSS3 might have undergone sub-functionalization. It was inconsistent with the previous research that members of the same SS genes orthologous group had very similar expression patterns in all three Gossypium species [28].
Overall, members of the grape sucrose synthase family exhibited different expression patterns in different tissues and in response to biotic and abiotic stresses. Despite many recent advances in functional studies of SSs in grapevine, the biological function of most VvSS genes in physiological and developmental processes and plant defense still needs to be elucidated. The bioinformatic analysis and expression patterns of the VvSS gene family conducted in the present study provide an overall picture of the composition and expression of sucrose synthase genes in grapevine that will facilitate selecting candidate genes for cloning and further functional characterization.

5. Conclusions

Five sucrose synthase genes in grapevine were bioinformatically identified and characterized. We propose that VvSS1/VvSS5, VvSS2/VvSS3 and VvSS4 originated from three ancient SS genes, respectively, which were generated by duplication events before the split of monocots and eudicots. The spatio-temporal expression profiles of the VvSS genes in various tissues at various developmental stages suggested VvSS3 and VvSS4 play a predominant role in sucrose metabolism during the growth and development grape. Expression of VvSS3 was significantly induced by stress treatment, indicating that the isozyme played an important role in releasing stress.

Supplementary Materials

The following supplementary material can be found online at www.mdpi.com/2073-4425/8/4/111/s1, Table S1 Syntenic relationships among grape and soybean sucrose synthase genes and within grape SS genes. Table S2 List of sucrose synthase gene sequences used in this study. Table S3 Gene-specific primers used for quantitative RT-PCR analysis of VvSS gene expression. Table S4 Microarray data of VvSS genes downloaded from the GEO datasets.

Acknowledgments

This work was supported by grants from the Natural Science Foundation of China (NSFC) (No. 31672131); the Joint Israel-China Project of Natural Science Foundation of China (NSFC); the Israel Science Foundation (ISF) (NSFC-ISF) (No. 31361140358); and the Important National Science & Technology Specific Projects (No. 2012FY110100-3).

Author Contributions

Xudong Zhu conceived of the study and drafted the manuscript., Xudong Zhu and Mengqi Wang conducted the RT-PCR experiment, Xiaopeng Li and Songtao Jiu conducted the bioinformatics analysis, Chen Wang and Jinggui Fang revised the manuscript.

Conflicts of Interest

The authors declare no conflict of interests.

References

  1. Lunn, J.E.; Furbank, R.T. Sucrose biosynthesis in C4 plants. New Phytol. 1999, 143, 221–237. [Google Scholar] [CrossRef]
  2. Chen, A.; He, S.; Li, F.; Li, Z.; Ding, M.; Liu, Q.; Rong, J. Analyses of the sucrose synthase gene family in cotton: Structure, phylogeny and expression patterns. BMC Plant Biol. 2012, 12, 85. [Google Scholar] [CrossRef] [PubMed]
  3. Yang, J.; Zhang, J.; Wang, Z.; Zhu, Q. Activities of starch hydrolytic enzymes and sucrose-phosphate synthase in the stems of rice subjected to water stress during grain filling. J. Exp. Bot. 2001, 52, 2169–2179. [Google Scholar] [CrossRef] [PubMed]
  4. Strand, A.; Foyer, C.H.; Gustafsson, P.; Gardestrom, P.; Hurry, V. Altering flux through the sucrose biosynthesis pathway in transgenic Arabidopsis thaliana modifies photosynthetic acclimation at low temperatures and the development of freezing tolerance. Plant Cell Environ. 2003, 26, 523–536. [Google Scholar] [CrossRef]
  5. Ciereszko, I.; Johansson, H.; Kleczkowski, L.A. Sucrose and light regulation of a cold-inducible UDP-glucose pyrophosphorylase gene via a hexokinase-independent and abscisic acid-insensitive pathway in Arabidopsis. Biochem. J. 2001, 354, 67–72. [Google Scholar] [CrossRef] [PubMed]
  6. Stitt, M.; Muller, C.; Matt, P.; Gibon, Y.; Carillo, P.; Morcuende, R.; Scheible, W.R.; Krapp, A. Steps towards an integrated view of nitrogen metabolism. J. Exp. Bot. 2002, 53, 959–970. [Google Scholar] [CrossRef] [PubMed]
  7. Vaughn, M.W.; Harrington, G.N.; Bush, D.R. Sucrose-mediated transcriptional regulation of sucrose symporter activity in the phloem. Proc. Natl. Acad. Sci. USA 2002, 99, 10876–10880. [Google Scholar] [PubMed]
  8. Zourelidou, M.; de Torres-Zabala, M.; Smith, C.; Bevan, M.W. Storekeeper defines a new class of plant-specific DNA-binding proteins and is a putative regulator of patatin expression. Plant J. 2002, 30, 489–497. [Google Scholar] [CrossRef] [PubMed]
  9. Gaudin, V.; Lunness, P.A.; Fobert, P.R.; Towers, M.; Riou-Khamlichi, C.; Murray, J.A.; Coen, E.; Doonan, J.H. The expression of D-cyclin genes defines distinct developmental zones in snapdragon apical meristems and is locally regulated by the Cycloidea gene. Plant Physiol. 2000, 122, 1137–1148. [Google Scholar] [PubMed]
  10. Ohto, M.; Onai, K.; Furukawa, Y.; Aoki, E.; Araki, T.; Nakamura, K. Effects of sugar on vegetative development and floral transition in Arabidopsis. Plant Physiol. 2001, 127, 252–261. [Google Scholar] [CrossRef] [PubMed]
  11. Uggla, C.; Magel, E.; Moritz, T.; Sundberg, B. Function and dynamics of auxin and carbohydrates during earlywood/latewood transition in scots pine. Plant Physiol. 2001, 125, 2029–2039. [Google Scholar] [CrossRef] [PubMed]
  12. Iraqi, D.; Tremblay, F.M. Analysis of carbohydrate metabolism enzymes and cellular contents of sugars and proteins during spruce somatic embryogenesis suggests a regulatory role of exogenous sucrose in embryo development. J. Exp. Bot. 2001, 52, 2301–2311. [Google Scholar] [CrossRef] [PubMed]
  13. Rook, F.; Corke, F.; Card, R.; Munz, G.; Smith, C.; Bevan, M.W. Impaired sucrose-induction mutants reveal the modulation of sugar-induced starch biosynthetic gene expression by abscisic acid signalling. Plant J. 2001, 26, 421–433. [Google Scholar] [CrossRef] [PubMed]
  14. Geigenberger, P.; Stitt, M. Sucrose synthase catalyzes a readily reversible reaction in vivo in developing potato tubers and other plant tissues. Planta 1993, 189, 329–339. [Google Scholar] [CrossRef] [PubMed]
  15. Koch, K. Sucrose metabolism: Regulatory mechanisms and pivotal roles in sugar sensing and plant development. Curr. Opin. Plant Biol. 2004, 7, 235–246. [Google Scholar] [PubMed]
  16. Jiang, N.; Jin, L.F.; da Silva, J.A.T.; Islam, M.D.Z.; Gao, H.W.; Liu, Y.Z.; Peng, S.A. Activities of enzymes directly related with sucrose and citric acid metabolism in citrus fruit in response to soil plastic film mulch. Sci. Hortic. 2014, 168, 73–80. [Google Scholar] [CrossRef]
  17. Xu, S.M.; Brill, E.; Llewellyn, D.J.; Furbank, R.T.; Ruan, Y.L. Overexpression of a potato sucrose synthase gene in cotton accelerates leaf expansion, reduces seed abortion, and enhances fiber production. Mol. Plant 2012, 5, 430–441. [Google Scholar] [CrossRef] [PubMed]
  18. Hockema, B.R.; Etxeberria, E. Metabolic contributors to drought-enhanced accumulation of sugars and acids in oranges. J. Am. Soc. Hortic. Sci. 2001, 126, 599–605. [Google Scholar]
  19. Coleman, H.D.; Yan, J.; Mansfield, S.D. Sucrose synthase affects carbon partitioning to increase cellulose production and altered cell wall ultrastructure. Proc. Natl. Acad. Sci. USA 2009, 106, 13118–13123. [Google Scholar] [CrossRef] [PubMed]
  20. Baroja-Fernández, E.; Muñoz, F.J.; Li, J.; Bahaji, A.; Almagro, G.; Montero, M.; Etxeberria, E.; Hidalgo, M.; Sesma, M.T.; Pozueta-Romero, J. Sucrose synthase activity in the sus1/sus2/sus3/sus4 Arabidopsis mutant is sufficient to support normal cellulose and starch production. Proc. Natl. Acad. Sci. USA 2012, 109, 321–326. [Google Scholar] [PubMed]
  21. Baier, M.C.; Keck, M.; Gödde, V.; Niehaus, K.; Küster, H.; Hohnjec, N. Knockdown of the symbiotic sucrose synthase MtSucS1 affects arbuscule maturation and maintenance in mycorrhizal roots of Medicago truncatula. Plant Physiol. 2010, 152, 1000–1014. [Google Scholar] [CrossRef] [PubMed]
  22. Xiao, X.H.; Tang, C.R.; Fang, Y.J.; Yang, M.; Zhou, B.H.; Qi, J.; Zhang, Y. Structure and expression profile of the sucrose synthase gene family in the rubber tree: Indicative of roles in stress response and sucrose utilization in the laticifers. FEBS J. 2014, 281, 291–305. [Google Scholar] [CrossRef] [PubMed]
  23. Barratt, D.H.; Barber, L.; Kruger, N.J.; Smith, A.M.; Wang, T.L.; Martin, C. Multiple, distinct isoforms of sucrose synthase in pea. Plant Physiol. 2001, 127, 655–664. [Google Scholar] [CrossRef] [PubMed]
  24. Duncan, K.A.; Hardin, S.C.; Huber, S.C. The three maize sucrose synthase isoforms differ in distribution, localization, and phosphorylation. Plant Cell Physiol. 2006, 47, 959–971. [Google Scholar] [CrossRef] [PubMed]
  25. Baud, S.; Vaultier, M.N.; Rochat, C. Structure and expression profile of the sucrose synthase multigene family in Arabidopsis. J. Exp. Bot. 2004, 55, 397–409. [Google Scholar] [CrossRef] [PubMed]
  26. Horst, I.; Welham, T.; Kelly, S.; Kaneko, T.; Sato, S.; Tabata, S.; Parniske, M.; Wang, T.L. TILLING mutants of Lotus japonicus reveal that nitrogen assimilation and fixation can occur in the absence of nodule-enhanced sucrose synthase. Plant Physiol. 2007, 144, 806–820. [Google Scholar] [CrossRef] [PubMed]
  27. Hirose, T.; Scofield, G.N.; Terao, T. An expression analysis profile for the entire sucrose synthase gene family in rice. Plant Sci. 2008, 174, 534–543. [Google Scholar] [CrossRef]
  28. Zou, C.; Lu, C.; Shang, H.; Jing, X.; Cheng, H.; Zhang, Y.; Song, G. Genome-wide analysis of the Sus gene family in cotton. J. Integr. Plant Biol. 2013, 55, 643–653. [Google Scholar] [CrossRef] [PubMed]
  29. An, X.; Chen, Z.; Wang, J.; Ye, M.; Ji, L.; Wang, J.; Liao, W.; Ma, H. Identification and characterization of the Populus sucrose synthase gene family. Gene 2014, 539, 58–67. [Google Scholar] [PubMed]
  30. Jiang, S.Y.; Chi, Y.H.; Wang, J.Z.; Zhou, J.X.; Cheng, Y.S.; Zhang, B.L.; Ma, A.; Vanitha, J.; Ramachandran, S. Sucrose metabolism gene families and their biological functions. Sci. Rep. 2015, 5, 17583. [Google Scholar] [CrossRef] [PubMed]
  31. Bieniawska, Z.; Paul Barratt, D.H.; Garlick, A.P.; Thole, V.; Kruger, N.J.; Martin, C.; Zrenner, R.; Smith, A.M. Analysis of the sucrose synthase gene family in Arabidopsis. Plant J. 2007, 49, 810–828. [Google Scholar] [PubMed]
  32. Wang, A.Y.; Kao, M.H.; Yang, W.H.; Sayion, Y.; Liu, L.F.; Lee, P.D.; Su, J.C. Differentially and developmentally regulated expression of three rice sucrose synthase genes. Plant Cell Physiol. 1999, 40, 800–807. [Google Scholar] [CrossRef] [PubMed]
  33. Komatsu, A.; Moriguchi, T.; Koyama, K.; Omura, M.; Akihama, T. Analysis of sucrose synthase genes in citrus suggests different roles and phylogenetic relationships. J. Exp. Bot. 2002, 53, 61–71. [Google Scholar] [CrossRef] [PubMed]
  34. Grimplet, J.; Adam-Blondon, A.F.; Bert, P.F.; Bitz, O.; Cantu, D.; Davies, C.; Delrot, S.; Pezzotti, M.; Rombauts, S.; Cramer, G.R. The grapevine gene nomenclature system. BMC Genom. 2014, 15, 1077. [Google Scholar] [CrossRef] [PubMed]
  35. Shangguan, L.F.; Song, C.N.; Leng, X.P.; Kayesh, E.; Sun, X.; Fang, J.G. Mining and comparison of the genes encoding the key enzymes involved in sugar biosynthesis in apple, grape, and sweet orange. Sci. Hortic. 2014, 165, 311–318. [Google Scholar] [CrossRef]
  36. Larkin, M.A.; Blackshields, G.; Brown, N.P.; Chenna, R.; McGettigan, P.A.; McWilliam, H.; Valentin, F.; Wallace, I.M.; Wilm, A.; Lopez, R.; et al. Clustal W and Clustal X version 2.0. Bioinformatics 2007, 23, 2947–2948. [Google Scholar] [CrossRef] [PubMed]
  37. Tamura, K.; Peterson, D.; Peterson, N.; Stecher, G.; Nei, M.; Kumar, S. MEGA5: Molecular Evolutionary Genetics Analysis using Maximum Likelihood, Evolutionary Distance, and Maximum Parsimony Methods. Mol. Biol. Evol. 2011, 28, 2731–2739. [Google Scholar] [CrossRef] [PubMed]
  38. Yang, Z. PAML 4: Phylogenetic analysis by maximum likelihood. Mol. Biol. Evo. 2007, 24, 1586–1591. [Google Scholar]
  39. Tajima, F. Unbiased estimation of evolutionary distance between nucleotide sequences. Mol. Biol. Evol. 1993, 10, 677–688. [Google Scholar] [PubMed]
  40. Vision, T.J.; Brown, D.G.; Tanksley, S.D. The origins of genomic duplications in Arabidopsis. Science 2000, 290, 2114–2117. [Google Scholar] [CrossRef] [PubMed]
  41. Hughes, A.L. The Evolution of Functionally Novel Proteins after Gene Duplication. Proc. R. Soc. B-Biol. Sci. 1994, 256, 119–124. [Google Scholar] [CrossRef] [PubMed]
  42. Jaillon, O.; Aury, J.M.; Noel, B.; Policriti, A.; Clepet, C.; Casagrande, A.; Choisne, N.; Aubourg, S.; Vitulo, N.; Jubin, C.; et al. The grapevine genome sequence suggests ancestral hexaploidization in major angiosperm phyla. Nature 2007, 449, 463–467. [Google Scholar] [CrossRef] [PubMed]
  43. Lunn, J.E. Evolution of sucrose synthesis. Plant Physiol. 2002, 128, 1490–1500. [Google Scholar] [PubMed]
  44. Yang, Z.; Nielsen, R. Estimating synonymous and nonsynonymous substitution rates under realistic evolutionary models. Mol. Biol. Evol. 2000, 17, 32–43. [Google Scholar] [CrossRef] [PubMed]
  45. Fasoli, M.; Dal Santo, S.; Zenoni, S.; Tornielli, G.B.; Farina, L.; Zamboni, A.; Porceddu, A.; Venturini, L.; Bicego, M.; Murino, V.; et al. The grapevine expression atlas reveals a deep transcriptome shift driving the entire plant into a maturation program. Plant Cell 2012, 24, 3489–3505. [Google Scholar] [CrossRef] [PubMed]
  46. Fung, R.W.; Gonzalo, M.; Fekete, C.; Kovacs, L.G.; He, Y.; Marsh, E.; McIntyre, L.M.; Schachtman, D.P.; Qiu, W. Powdery mildew induces defense-oriented reprogramming of the transcriptome in a susceptible but not in a resistant grapevine. Plant Physiol. 2008, 146, 236–249. [Google Scholar] [CrossRef] [PubMed]
  47. Albertazzi, G.; Milc, J.; Caffagni, A.; Francia, E.; Roncaglia, E.; Ferrari, F.; Tagliafico, E.; Stefania, E.; Pecchionia, N. Gene expression in grapevine cultivars in response to Bois Noir phytoplasma infection. Plant Sci. 2009, 176, 792–804. [Google Scholar] [CrossRef]
  48. Vega, A.; Gutierrez, R.A.; Pena-Neira, A.; Cramer, G.R.; Arce-Johnson, P. Compatible GLRaV-3 viral infections affect berry ripening decreasing sugar accumulation and anthocyanin biosynthesis in Vitis vinifera. Plant Mol. Biol. 2011, 77, 261–274. [Google Scholar] [CrossRef] [PubMed]
  49. Islam, M.Z.; Hu, X.M.; Jin, L.F.; Liu, Y.Z.; Peng, S.A. Genome-wide identification and expression profile analysis of citrus sucrose synthase genes: Investigation of possible roles in the regulation of sugar accumulation. PLoS ONE 2014, 9, e113623. [Google Scholar] [CrossRef] [PubMed]
  50. Wang, Z.; Wei, P.; Wu, M.; Xu, Y.; Li, F.; Luo, Z.; Zhang, J.; Chen, A.; Xie, X.; Cao, P.; et al. Analysis of the sucrose synthase gene family in tobacco: Structure, phylogeny, and expression patterns. Planta 2015, 242, 153–166. [Google Scholar] [PubMed]
  51. Frugoli, J.A.; McPeek, M.A.; Thomas, T.L.; McClung, C.R. Intron loss and gain during evolution of the catalase gene family in angiosperms. Genetics 1998, 149, 355–365. [Google Scholar] [PubMed]
  52. Lecharny, A.; Boudet, N.; Gy, I.; Aubourg, S.; Kreis, M. Introns in, introns out in plant gene families: A genomic approach of the dynamics of gene structure. J. Struct. Funct. Genom. 2003, 3, 111–116. [Google Scholar] [CrossRef]
  53. Tang, H.; Bowers, J.E.; Wang, X.; Ming, R.; Alam, M.; Paterson, A.H. Synteny and collinearity in plant genomes. Science 2008, 320, 486–488. [Google Scholar] [CrossRef] [PubMed]
  54. Cannon, S.B.; Mitra, A.; Baumgarten, A.; Young, N.D.; May, G. The roles of segmental and tandem gene duplication in the evolution of large gene families in Arabidopsis thaliana. BMC Plant Biol. 2004, 4, 10. [Google Scholar] [CrossRef] [PubMed]
  55. Ghiurcuta, C.G.; Moret, B.M.E. Evaluating synteny for improved comparative studies. Bioinformatics 2014, 30, 9–18. [Google Scholar] [CrossRef] [PubMed]
  56. Zhang, D.Q.; Xu, B.H.; Yang, X.H.; Zhang, Z.Y.; Li, B.L. The sucrose synthase gene family in Populus: Structure, expression, and evolution. Tree Genet Genomes 2011, 7, 443–456. [Google Scholar] [CrossRef]
  57. Flagel, L.E.; Wendel, J.F. Gene duplication and evolutionary novelty in plants. New Phytol. 2009, 183, 557–564. [Google Scholar] [CrossRef] [PubMed]
  58. Li, M.; Feng, F.; Cheng, L. Expression patterns of genes involved in sugar metabolism and accumulation during apple fruit development. PLoS ONE 2012, 7, e33055. [Google Scholar] [CrossRef] [PubMed]
  59. Barrero, S.C.; Hernando, A.S.; Gonzalez, M.P.; Carbonero, P. Structure, expression profile and subcellular localisation of four different sucrose synthase genes from barley. Planta 2011, 234, 391–403. [Google Scholar] [CrossRef] [PubMed]
  60. Kleines, M.; Elster, R.C.; Rodrigo, M.J.; Blervacq, A.S.; Salamini, F.; Bartels, D. Isolation and expression analysis of two stress-responsive sucrose-synthase genes from the resurrection plant Craterostigma plantagineum (Hochst.). Planta 1999, 209, 13–24. [Google Scholar] [CrossRef] [PubMed]
Figure 1. Chromosomal distribution of Sucrose Synthase (SS) genes in the grape genome. The chromosome number is shown at the top of each chromosome. The positions of the grape SS genes are marked by red lines on the chromosomes. The block duplication of VvSS2–VvSS3 are linked by red lines.
Figure 1. Chromosomal distribution of Sucrose Synthase (SS) genes in the grape genome. The chromosome number is shown at the top of each chromosome. The positions of the grape SS genes are marked by red lines on the chromosomes. The block duplication of VvSS2–VvSS3 are linked by red lines.
Genes 08 00111 g001
Figure 2. Phylogenetic relationships and intron-exon organization of grape SS genes. The unrooted phylogenetic tree was constructed using the full-length protein sequences of five grape SS genes by the Maximum Likelihood method with 1000 bootstrap replicates. The three groups are marked by square boxes and numbered with Roman numerals. The 5’ and 3’ untranslated regions (UTRs) are represented by a dashed box. Numbers in boxes represent the sizes (bp) of corresponding exons or UTR regions. The green and red boxes represent exons shared in Group I and II, respectively. The dashed line indicated the relationship between three exons. The solid lines represent introns whose size is not indicated.
Figure 2. Phylogenetic relationships and intron-exon organization of grape SS genes. The unrooted phylogenetic tree was constructed using the full-length protein sequences of five grape SS genes by the Maximum Likelihood method with 1000 bootstrap replicates. The three groups are marked by square boxes and numbered with Roman numerals. The 5’ and 3’ untranslated regions (UTRs) are represented by a dashed box. Numbers in boxes represent the sizes (bp) of corresponding exons or UTR regions. The green and red boxes represent exons shared in Group I and II, respectively. The dashed line indicated the relationship between three exons. The solid lines represent introns whose size is not indicated.
Genes 08 00111 g002
Figure 3. Segmental duplication of grape SS genes and syntenic analysis of grape and soybean SS genes. Chromosomes of Vitis vinifera and Glycine max are shown in different colors and in circular form. The approximate positions of the GmSS and VvSS genes are marked with a short black line on the circle. Colored curves denote the syntenic relationships between grape and soybean SS genes.
Figure 3. Segmental duplication of grape SS genes and syntenic analysis of grape and soybean SS genes. Chromosomes of Vitis vinifera and Glycine max are shown in different colors and in circular form. The approximate positions of the GmSS and VvSS genes are marked with a short black line on the circle. Colored curves denote the syntenic relationships between grape and soybean SS genes.
Genes 08 00111 g003
Figure 4. Phylogenetic relationships between the grape SS proteins and other SS homologous proteins in dicots and monocots (refer to Supplementary Table S2). VvSS1 to VvSS5 was highlighted in black boxes.
Figure 4. Phylogenetic relationships between the grape SS proteins and other SS homologous proteins in dicots and monocots (refer to Supplementary Table S2). VvSS1 to VvSS5 was highlighted in black boxes.
Genes 08 00111 g004
Figure 5. Expression profiles of the grapevine VvSS genes in different grapevine organs, tissues and developmental stages. (A) Expression of VvSS genes in the V. vinifera cv “Corvina” atlas (GEO Accession: GSE36128). Data were normalized based on the mean expression value of each gene in all tissues analyzed. The mean expression values were again normalized using logarithm with the base of 2 using the HemI software. Yellow and blue boxes indicate high and low expression levels, respectively, for each gene. BerryPericarp-FS: berry pericarp fruit set; BerryPericarp-PFS: berry pericarp post-fruit set; BerryPericarp-V: berry pericarp véraison; BerryPericarp-MR: berry pericarp mid-ripening; BerryPericarp-R: berry pericarp ripening; Bud-S: bud swell; Bud-B: bud burst (green tip); Bud-AB: bud after-burst (rosette of leaf tips visible); Bud-L: latent bud; Bud-W: winter bud; BerryFlesh-PFS: berry flesh post fruit set; BerryFlesh-V: berry flesh véraison; BerryFlesh-MR: berry flesh mid-ripening; BerryFlesh-R: berry flesh ripening; BerryFlesh-PHWI: berry flesh post-harvest withering I; BerryFlesh-PHWII: berry flesh post-harvest withering II; BerryFlesh-PHWIII: berry flesh post-harvest withering III; Inflorescence-Y: young inflorescence (single flower in compact groups); Inflorescence-WD: well developed inflorescence (single flower separated); Flower-FB: flowering begins (10% caps off); Flower-F: flowering (50% caps off); Leaf-Y: young leaf (pool of leaves from shoot of 5 leaves); Leaf-FS: mature leaf (pool of leaves from shoot at fruit set); Leaf-S: senescencing leaf (pool of leaves at the beginning of leaf fall); BerryPericarp-PHWI: berry pericarp post-harvest withering I (1st month); BerryPericarp-PHWII: berry pericarp post-harvest withering II (2nd month); BerryPericarp-PHWIII: berry pericarp post-harvest withering III (3rd month); Rachis-FS: rachis fruit set; Rachis-PFS: rachis post fruit set; Rachis-V: rachis véraison; Rachis-MR: rachis mid-ripening; Rachis-R: rachis ripening; Seed-V: seed véraison; Seed-MR: seed mid-ripening; Seed-FS: seed fruit set; Seed-PFS: seed post fruit set; BerrySkin-PFS: berry skin post fruit set; BerrySkin-V: berry skin véraison; BerrySkin-MR: berry skin mid-ripening; BerrySkin-R: berry skin ripening; BerrySkin-PHWI: berry skin post-harvest withering I; BerrySkin-PHWII: berry skin berry skin post-harvest withering II; BerrySkin-PHWIII: berry skin post-harvest withering III; Stem-G: green stem; Stem-W: woody stem; Tendril-Y: young tendril (pool of tendrils from shoot of 7 leaves); Tendril-WD: well developed tendril (pool of tendrils from shoot of 12 leaves); Tendril-FS: mature tendril (pool of tendrils at fruit set). (B) qRT-PCR validation of VvSS expression in different tissues obtained from two-year-old grapevines of V. vinifera cv. Chardonnay seedlings. Transcripts were normalized to the expression of the actin gene. The mean ± s.d. of three biological replicates are presented. R: principal root; T: tendrils from shoot of 7 leaves; S: green stem; YL: young leaf, leaves from shoot of 5 leaves; ML: mature leaf, leaves from shoot at fruit set; SL: senescencing leaf, leaves at the beginning of leaf fall; I: inflorescence, well developed inflorescence (single flower separated); F: flower, flowering (50% caps off); BS: berry post fruit set; BV: berry véraison; BM: berry mid-ripening; BR: berry ripening; BB: bud burst (green tip); LB: latent bud.
Figure 5. Expression profiles of the grapevine VvSS genes in different grapevine organs, tissues and developmental stages. (A) Expression of VvSS genes in the V. vinifera cv “Corvina” atlas (GEO Accession: GSE36128). Data were normalized based on the mean expression value of each gene in all tissues analyzed. The mean expression values were again normalized using logarithm with the base of 2 using the HemI software. Yellow and blue boxes indicate high and low expression levels, respectively, for each gene. BerryPericarp-FS: berry pericarp fruit set; BerryPericarp-PFS: berry pericarp post-fruit set; BerryPericarp-V: berry pericarp véraison; BerryPericarp-MR: berry pericarp mid-ripening; BerryPericarp-R: berry pericarp ripening; Bud-S: bud swell; Bud-B: bud burst (green tip); Bud-AB: bud after-burst (rosette of leaf tips visible); Bud-L: latent bud; Bud-W: winter bud; BerryFlesh-PFS: berry flesh post fruit set; BerryFlesh-V: berry flesh véraison; BerryFlesh-MR: berry flesh mid-ripening; BerryFlesh-R: berry flesh ripening; BerryFlesh-PHWI: berry flesh post-harvest withering I; BerryFlesh-PHWII: berry flesh post-harvest withering II; BerryFlesh-PHWIII: berry flesh post-harvest withering III; Inflorescence-Y: young inflorescence (single flower in compact groups); Inflorescence-WD: well developed inflorescence (single flower separated); Flower-FB: flowering begins (10% caps off); Flower-F: flowering (50% caps off); Leaf-Y: young leaf (pool of leaves from shoot of 5 leaves); Leaf-FS: mature leaf (pool of leaves from shoot at fruit set); Leaf-S: senescencing leaf (pool of leaves at the beginning of leaf fall); BerryPericarp-PHWI: berry pericarp post-harvest withering I (1st month); BerryPericarp-PHWII: berry pericarp post-harvest withering II (2nd month); BerryPericarp-PHWIII: berry pericarp post-harvest withering III (3rd month); Rachis-FS: rachis fruit set; Rachis-PFS: rachis post fruit set; Rachis-V: rachis véraison; Rachis-MR: rachis mid-ripening; Rachis-R: rachis ripening; Seed-V: seed véraison; Seed-MR: seed mid-ripening; Seed-FS: seed fruit set; Seed-PFS: seed post fruit set; BerrySkin-PFS: berry skin post fruit set; BerrySkin-V: berry skin véraison; BerrySkin-MR: berry skin mid-ripening; BerrySkin-R: berry skin ripening; BerrySkin-PHWI: berry skin post-harvest withering I; BerrySkin-PHWII: berry skin berry skin post-harvest withering II; BerrySkin-PHWIII: berry skin post-harvest withering III; Stem-G: green stem; Stem-W: woody stem; Tendril-Y: young tendril (pool of tendrils from shoot of 7 leaves); Tendril-WD: well developed tendril (pool of tendrils from shoot of 12 leaves); Tendril-FS: mature tendril (pool of tendrils at fruit set). (B) qRT-PCR validation of VvSS expression in different tissues obtained from two-year-old grapevines of V. vinifera cv. Chardonnay seedlings. Transcripts were normalized to the expression of the actin gene. The mean ± s.d. of three biological replicates are presented. R: principal root; T: tendrils from shoot of 7 leaves; S: green stem; YL: young leaf, leaves from shoot of 5 leaves; ML: mature leaf, leaves from shoot at fruit set; SL: senescencing leaf, leaves at the beginning of leaf fall; I: inflorescence, well developed inflorescence (single flower separated); F: flower, flowering (50% caps off); BS: berry post fruit set; BV: berry véraison; BM: berry mid-ripening; BR: berry ripening; BB: bud burst (green tip); LB: latent bud.
Genes 08 00111 g005
Figure 6. Expression profiles of VvSS genes in response to abiotic stresses. Expression of VvSS genes in the V. vinifera cv “Cabernet Sauvignon” (microarray) or two-year-old grapevines of V. vinifera cv. Chardonnay seedlings (qRT-PCR) in response to high temperature (42 °C), 100 mM NaCl, dark, drought (WS) and cold (4 °C). Microarray analysis presented in (A,B). qRT-PCR data presented in C. Microarray data were downloaded from the NCBI GEO datasets (GEO. Available online: https://www.ncbi.nlm.nih.gov/geo/) (GSE31594 and GSE31677), processed as log2 of the ratio between treated and untreated samples and graphically represented with HemI software. (A) V. vinifera cv “Cabernet Sauvignon” plants grown in a hydroponic drip system were treated with 120 mM NaCl, polyethylene glycol (PEG), cold (5 °C) or left untreated. Shoots with leaves were collected at 0, 1, 4 and 8 h for all treatments, and at 24 h for all treatments except cold (GEO series GSE31594). (B) Potted V. vinifera cv “Cabernet Sauvignon” vines in the greenhouse were exposed to a water-deficit stress (WD) by withholding water or a salinity stress by watering plants with a saline solution for 16 days. Non-stressed, normally watered plants served as the control for both treatments. Shoot tips were harvested every four days (0, 4, 8, 12 and 16 days) (GEO series GSE31677). (C) qRT-PCR expression analysis of VvSSs in V. vinifera cv. Chardonnay seedlings subjected to stress treatments. Transcripts were normalized to the actin gene expression. The mean ± s.d. of three biological replicates are presented.
Figure 6. Expression profiles of VvSS genes in response to abiotic stresses. Expression of VvSS genes in the V. vinifera cv “Cabernet Sauvignon” (microarray) or two-year-old grapevines of V. vinifera cv. Chardonnay seedlings (qRT-PCR) in response to high temperature (42 °C), 100 mM NaCl, dark, drought (WS) and cold (4 °C). Microarray analysis presented in (A,B). qRT-PCR data presented in C. Microarray data were downloaded from the NCBI GEO datasets (GEO. Available online: https://www.ncbi.nlm.nih.gov/geo/) (GSE31594 and GSE31677), processed as log2 of the ratio between treated and untreated samples and graphically represented with HemI software. (A) V. vinifera cv “Cabernet Sauvignon” plants grown in a hydroponic drip system were treated with 120 mM NaCl, polyethylene glycol (PEG), cold (5 °C) or left untreated. Shoots with leaves were collected at 0, 1, 4 and 8 h for all treatments, and at 24 h for all treatments except cold (GEO series GSE31594). (B) Potted V. vinifera cv “Cabernet Sauvignon” vines in the greenhouse were exposed to a water-deficit stress (WD) by withholding water or a salinity stress by watering plants with a saline solution for 16 days. Non-stressed, normally watered plants served as the control for both treatments. Shoot tips were harvested every four days (0, 4, 8, 12 and 16 days) (GEO series GSE31677). (C) qRT-PCR expression analysis of VvSSs in V. vinifera cv. Chardonnay seedlings subjected to stress treatments. Transcripts were normalized to the actin gene expression. The mean ± s.d. of three biological replicates are presented.
Genes 08 00111 g006
Figure 7. Expression profiles of VvSS genes in response to biotic stresses. (A) V. vinifera cv “Cabernet sauvignon” (CS) and Vitis aestivalis cv “Norton” plants were grown in an environmental chamber and inoculated with Erysiphe necator conidiospores (PM). Inoculated leaves were harvested at 0, 4, 8, 12, 24 and 48 h after inoculation (GEO series GSE6404). (B) Field-grown plants of V. vinifera cv “Chardonnay” (Chard) and “Incrocio Manzoni” (IM) naturally infected with Bois Noir phytoplasma (BN), compared to healthy samples (GEO series GSE12842). (C) V. vinifera cv “Cabernet Sauvignon” was infected with GLRaV-3 during véraison (V) and ripening (R) stages of berry development (GEO series GSE31660).
Figure 7. Expression profiles of VvSS genes in response to biotic stresses. (A) V. vinifera cv “Cabernet sauvignon” (CS) and Vitis aestivalis cv “Norton” plants were grown in an environmental chamber and inoculated with Erysiphe necator conidiospores (PM). Inoculated leaves were harvested at 0, 4, 8, 12, 24 and 48 h after inoculation (GEO series GSE6404). (B) Field-grown plants of V. vinifera cv “Chardonnay” (Chard) and “Incrocio Manzoni” (IM) naturally infected with Bois Noir phytoplasma (BN), compared to healthy samples (GEO series GSE12842). (C) V. vinifera cv “Cabernet Sauvignon” was infected with GLRaV-3 during véraison (V) and ripening (R) stages of berry development (GEO series GSE31660).
Genes 08 00111 g007
Table 1. Characteristics of Grape Sucrose Synthase (SS) genes.
Table 1. Characteristics of Grape Sucrose Synthase (SS) genes.
NameLocus Id aGenomic DNA Size (bp)CDS Size (bp)Number of Amino AcidsPredicted Mw (kDa)Theoretical pIAiGRAVYChromosome LocationGroupFunctional Domains (Start–End, bp)
Sucrose SynthaseGlycosyl Transferase
VvSS1VIT_204s0079g002304513245784095.48.2883.49−0.339chr4:10519070-10523582II9-557569-745
VvSS2VIT_205s0077g019307914250883595.65.8591.99−0.244chr5:1507610-1515524I8-553566-765
VvSS3VIT_207s0005g007509214243681192.45.7390.49−0.254chr7:3380739-3389952I8-555568-741
VvSS4VIT_211s0016g004704229244881593.66.1392.20−0.247chr11:489955-494383I9-553565--740
VvSS5VIT_217s0053g0070048202610906102.77.5581.19−0.359chr17:15994677-15999496II12-558568-736
a IDs are available in the CRIBIV2.1 database. Abbreviations: Ai, aliphatic index; GRAVY, grand average of hydropathicity; MW, molecular weight; pI, isoelectric point; CDS, Coding DNA sequence; Chr, chromosome numbers.
Table 2. Coding region nucleotide (upper portion of matrix) and amino acid (bottom portion of matrix) sequence pairwise comparisons (% similarity) between grape sucrose synthase genes.
Table 2. Coding region nucleotide (upper portion of matrix) and amino acid (bottom portion of matrix) sequence pairwise comparisons (% similarity) between grape sucrose synthase genes.
VvSS1VvSS2VvSS3VvSS4VvSS5
VvSS1-51.7953.8153.4570.56
VvSS259.18-79.1266.8647.70
VvSS359.9377.55-71.1550.00
VvSS459.6066.3669.47-59.57
VvSS570.5054.8556.6056.85-
Table 3. Divergence between paralogous SS gene pairs in grape.
Table 3. Divergence between paralogous SS gene pairs in grape.
Gene 1Gene 2dNdSdN/dS
VvSS2VvSS30.30120.09573.1473
VvSS1VvSS50.27590.12462.2143
dN: nonsynonymous site; dS: synonymous site.
Table 4. Tajima relative rate tests of SS gene pairs in grape a.
Table 4. Tajima relative rate tests of SS gene pairs in grape a.
Testing GroupMt bM1 cM2 dX2P e
VvSS2/VvSS3 with GmSS258611308.910.00450
VvSS1/VvSS5 with GmSS4472941.920.21690
a The Tajima relative rate test was used to examine the equality of evolutionary rate between grape gene pairs; b Mt is the sum of the identical sites and the divergent sites in all three sequences tested; c M1 is the number of unique differences in the first paralog; d M2 is the number of unique differences in the second paralog; e If P < 0.05, the test rejects the equal substitution rates between the two duplicates and infers that one of the two duplicates has an accelerated evolutionary rate.

Share and Cite

MDPI and ACS Style

Zhu, X.; Wang, M.; Li, X.; Jiu, S.; Wang, C.; Fang, J. Genome-Wide Analysis of the Sucrose Synthase Gene Family in Grape (Vitis vinifera): Structure, Evolution, and Expression Profiles. Genes 2017, 8, 111. https://doi.org/10.3390/genes8040111

AMA Style

Zhu X, Wang M, Li X, Jiu S, Wang C, Fang J. Genome-Wide Analysis of the Sucrose Synthase Gene Family in Grape (Vitis vinifera): Structure, Evolution, and Expression Profiles. Genes. 2017; 8(4):111. https://doi.org/10.3390/genes8040111

Chicago/Turabian Style

Zhu, Xudong, Mengqi Wang, Xiaopeng Li, Songtao Jiu, Chen Wang, and Jinggui Fang. 2017. "Genome-Wide Analysis of the Sucrose Synthase Gene Family in Grape (Vitis vinifera): Structure, Evolution, and Expression Profiles" Genes 8, no. 4: 111. https://doi.org/10.3390/genes8040111

APA Style

Zhu, X., Wang, M., Li, X., Jiu, S., Wang, C., & Fang, J. (2017). Genome-Wide Analysis of the Sucrose Synthase Gene Family in Grape (Vitis vinifera): Structure, Evolution, and Expression Profiles. Genes, 8(4), 111. https://doi.org/10.3390/genes8040111

Note that from the first issue of 2016, this journal uses article numbers instead of page numbers. See further details here.

Article Metrics

Back to TopTop