Expression Pattern of Dab1, Reelin, PGP9.5 and Sox2 in the Stomach of Yotari (Dab1−/−) Mice
Abstract
1. Introduction
2. Materials and Methods
2.1. Ethical Approval
2.2. Sample Collection
2.3. Immunofluorescence Staining
2.4. Data Acquisition and Analysis
2.5. Statistical Analysis and Semi-Quantitative Scoring Rationale
3. Results
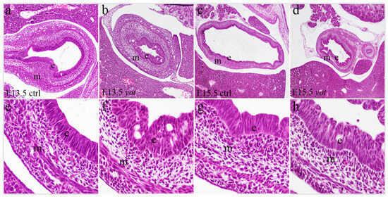
3.1. Preserved Gastric Histology in Wild-Type and Yotari Embryonic Stomachs
3.2. Dab1 Is Significantly Upregulated in Yotari Mice During Gastric Development
3.3. Reelin Expression Is Maintained in Epithelium but Significantly Reduced in Mesenchyme of Yotari Mice
3.4. PGP9.5 Expression Is Reduced in the Epithelium and Mesenchyme of Yotari Embryos During Early Gastric Development
3.5. Sox2 Expression Patterns in the Embryonic Stomach Show No Significant Genotype- or Stage-Dependent Differences
3.6. Summary of Semi-Quantitative Expression Patterns
4. Discussion
5. Conclusions
Supplementary Materials
Author Contributions
Funding
Institutional Review Board Statement
Informed Consent Statement
Data Availability Statement
Acknowledgments
Conflicts of Interest
References
- Chanpong, A.; Borrelli, O.; Thapar, N. Recent advances in understanding the roles of the enteric nervous system. Fac. Rev. 2022, 11, 7. [Google Scholar] [CrossRef]
- Sharkey, K.A.; Mawe, G.M. The enteric nervous system. Physiol. Rev. 2023, 103, 1487–1564. [Google Scholar] [CrossRef]
- Yoo, B.B.; Mazmanian, S.K. The Enteric Network: Interactions between the Immune and Nervous Systems of the Gut. Immunity 2017, 46, 910–926. [Google Scholar] [CrossRef]
- Hajjeh, O.; Rajab, I.; Bdair, M.; Saife, S.; Zahran, A.; Nazzal, I.; AbuZahra, M.I.; Jallad, H.; Abukhalil, M.M.; Hallak, M.; et al. Enteric nervous system dysfunction as a driver of central nervous system disorders: The Forgotten brain in neurological disease. Neuroscience 2025, 572, 232–247. [Google Scholar] [CrossRef]
- Gao, Z.; Godbout, R. Reelin-Disabled-1 signaling in neuronal migration: Splicing takes the stage. Cell. Mol. Life Sci. CMLS 2013, 70, 2319–2329. [Google Scholar] [CrossRef]
- Hiesberger, T.; Trommsdorff, M.; Howell, B.W.; Goffinet, A.; Mumby, M.C.; Cooper, J.A.; Herz, J. Direct binding of Reelin to VLDL receptor and ApoE receptor 2 induces tyrosine phosphorylation of disabled-1 and modulates tau phosphorylation. Neuron 1999, 24, 481–489. [Google Scholar] [CrossRef] [PubMed]
- Yoneshima, H.; Nagata, E.; Matsumoto, M.; Yamada, M.; Nakajima, K.; Miyata, T.; Ogawa, M.; Mikoshiba, K. A novel neurological mutant mouse, yotari, which exhibits reeler-like phenotype but expresses CR-50 antigen/reelin. Neurosci. Res. 1997, 29, 217–223. [Google Scholar] [CrossRef] [PubMed]
- Bock, H.H.; Jossin, Y.; Liu, P.; Forster, E.; May, P.; Goffinet, A.M.; Herz, J. Phosphatidylinositol 3-kinase interacts with the adaptor protein Dab1 in response to Reelin signaling and is required for normal cortical lamination. J. Biol. Chem. 2003, 278, 38772–38779. [Google Scholar] [CrossRef] [PubMed]
- Racetin, A.; Juric, M.; Filipovic, N.; Solic, I.; Kosovic, I.; Glavina Durdov, M.; Kunac, N.; Zekic Tomas, S.; Saraga, M.; Soljic, V.; et al. Expression and localization of DAB1 and Reelin during normal human kidney development. Croat. Med. J. 2019, 60, 521–531. [Google Scholar] [CrossRef] [PubMed]
- D’Arcangelo, G.; Homayouni, R.; Keshvara, L.; Rice, D.S.; Sheldon, M.; Curran, T. Reelin is a ligand for lipoprotein receptors. Neuron 1999, 24, 471–479. [Google Scholar] [CrossRef]
- Andrade, N.; Komnenovic, V.; Blake, S.M.; Jossin, Y.; Howell, B.; Goffinet, A.; Schneider, W.J.; Nimpf, J. ApoER2/VLDL receptor and Dab1 in the rostral migratory stream function in postnatal neuronal migration independently of Reelin. Proc. Natl. Acad. Sci. USA 2007, 104, 8508–8513. [Google Scholar] [CrossRef]
- Pesold, C.; Liu, W.S.; Guidotti, A.; Costa, E.; Caruncho, H.J. Cortical bitufted, horizontal, and Martinotti cells preferentially express and secrete reelin into perineuronal nets, nonsynaptically modulating gene expression. Proc. Natl. Acad. Sci. USA 1999, 96, 3217–3222. [Google Scholar] [CrossRef] [PubMed]
- Ikeda, Y.; Terashima, T. Expression of reelin, the gene responsible for the reeler mutation, in embryonic development and adulthood in the mouse. Dev. Dyn. Off. Publ. Am. Assoc. Anat. 1997, 210, 157–172. [Google Scholar] [CrossRef]
- Day, I.N.; Hinks, L.J.; Thompson, R.J. The structure of the human gene encoding protein gene product 9.5 (PGP9.5), a neuron-specific ubiquitin C-terminal hydrolase. Biochem. J. 1990, 268, 521–524. [Google Scholar] [CrossRef]
- Kent, C.; Clarke, P.J. The immunolocalisation of the neuroendocrine specific protein PGP9.5 during neurogenesis in the rat. Dev. Brain Res. 1991, 58, 147–150. [Google Scholar] [CrossRef]
- Sidebotham, E.L.; Woodward, M.N.; Kenny, S.E.; Lloyd, D.A.; Vaillant, C.R.; Edgar, D.H. Assessment of protein gene product 9.5 as a marker of neural crest-derived precursor cells in the developing enteric nervous system. Pediatr. Surg. Int. 2001, 17, 304–307. [Google Scholar] [CrossRef]
- Serrano-Morales, J.M.; Vazquez-Carretero, M.D.; Peral, M.J.; Ilundain, A.A.; Garcia-Miranda, P. Reelin-Dab1 signaling system in human colorectal cancer. Mol. Carcinog. 2017, 56, 712–721. [Google Scholar] [CrossRef]
- Bottner, M.; Ghorbani, P.; Harde, J.; Barrenschee, M.; Hellwig, I.; Vogel, I.; Ebsen, M.; Forster, E.; Wedel, T. Expression and regulation of reelin and its receptors in the enteric nervous system. Mol. Cell. Neurosci. 2014, 61, 23–33. [Google Scholar] [CrossRef] [PubMed]
- Yeo, J.C.; Ng, H.H. The transcriptional regulation of pluripotency. Cell Res. 2013, 23, 20–32. [Google Scholar] [CrossRef] [PubMed]
- Ma, M.S.; Boddeke, E.; Copray, S. Pluripotent stem cells for Schwann cell engineering. Stem Cell Rev. Rep. 2015, 11, 205–218. [Google Scholar] [CrossRef]
- Sarkar, A.; Hochedlinger, K. The sox family of transcription factors: Versatile regulators of stem and progenitor cell fate. Cell Stem Cell 2013, 12, 15–30. [Google Scholar] [CrossRef]
- Arnold, K.; Sarkar, A.; Yram, M.A.; Polo, J.M.; Bronson, R.; Sengupta, S.; Seandel, M.; Geijsen, N.; Hochedlinger, K. Sox2(+) adult stem and progenitor cells are important for tissue regeneration and survival of mice. Cell Stem Cell 2011, 9, 317–329. [Google Scholar] [CrossRef] [PubMed]
- Vazquez-Carretero, M.D.; Garcia-Miranda, P.; Calonge, M.L.; Peral, M.J.; Ilundain, A.A. Dab1 and reelin participate in a common signal pathway that controls intestinal crypt/villus unit dynamics. Biol. Cell 2014, 106, 83–96. [Google Scholar] [CrossRef] [PubMed]
- Chin, A.M.; Hill, D.R.; Aurora, M.; Spence, J.R. Morphogenesis and maturation of the embryonic and postnatal intestine. Semin. Cell Dev. Biol. 2017, 66, 81–93. [Google Scholar] [CrossRef] [PubMed]
- Kojima, T.; Nakajima, K.; Mikoshiba, K. The disabled 1 gene is disrupted by a replacement with L1 fragment in yotari mice. Mol. Brain Res. 2000, 75, 121–127. [Google Scholar] [CrossRef]
- Perutina, I.; Kelam, N.; Maglica, M.; Racetin, A.; Ogorevc, M.; Filipovic, N.; Katsuyama, Y.; Miskovic, J.; Vukojevic, K. Disturbances in Switching between Canonical and Non-Canonical Wnt Signaling Characterize Developing and Postnatal Kidneys of Dab1(−/−) (yotari) Mice. Biomedicines 2023, 11, 1321. [Google Scholar] [CrossRef]
- Komić, J.; Kelam, N.; Racetin, A.; Filipović, N.; Saraga-Babić, M.; Ihara, D.; Katsuyama, Y.; Vukojević, K. Spatial and Temporal Expression Patterns of EDA2R, PCDH9, and TRAF7 in Yotari (Dab1−/−) Mice: Implicationsfor Understanding CAKUT Pathogenesis. Int. J. Mol. Sci. 2025, 26, 6421. [Google Scholar] [CrossRef]
- Kelam, N.; Racetin, A.; Katsuyama, Y.; Vukojevic, K.; Kostic, S. Immunohistochemical Expression Pattern of FGFR1, FGFR2, RIP5, and HIP2 in Developing and Postnatal Kidneys of Dab1(−/−) (yotari) Mice. Int. J. Mol. Sci. 2022, 23, 2025. [Google Scholar] [CrossRef]
- Pavic, B.; Ogorevc, M.; Boric, K.; Vukovic, D.; Saraga-Babic, M.; Mardesic, S. Connexin 37, 40, 43 and Pannexin 1 Expression in the Gastric Mucosa of Patients with Systemic Sclerosis. Biomedicines 2023, 11, 2487. [Google Scholar] [CrossRef]
- Perutina, I.; Kelam, N.; Maglica, M.; Racetin, A.; Rizikalo, A.; Filipovic, N.; Prusac, I.K.; Bosnjak, M.; Miskovic, J.; Kablar, B.; et al. Spatiotemporal distribution of Wnt signaling pathway markers in human congenital anomalies of kidney and urinary tract. Acta Histochem. 2025, 127, 152235. [Google Scholar] [CrossRef]
- Maglica, M.; Kelam, N.; Perutina, I.; Racetin, A.; Rizikalo, A.; Filipovic, N.; Kuzmic Prusac, I.; Miskovic, J.; Vukojevic, K. Immunoexpression Pattern of Autophagy-Related Proteins in Human Congenital Anomalies of the Kidney and Urinary Tract. Int. J. Mol. Sci. 2024, 25, 6829. [Google Scholar] [CrossRef]
- Shrout, P.E.; Fleiss, J.L. Intraclass correlations: Uses in assessing rater reliability. Psychol. Bull. 1979, 86, 420–428. [Google Scholar] [CrossRef] [PubMed]
- Cicchetti, D.V. Guidelines, criteria, and rules of thumb for evaluating normed and standardized assessment instruments in psychology. Psychol. Assess. 1994, 6, 284–290. [Google Scholar] [CrossRef]
- Vazquez-Carretero, M.D.; Garcia-Miranda, P.; Balda, M.S.; Matter, K.; Peral, M.J.; Ilundain, A.A. Small and large intestine express a truncated Dab1 isoform that assembles in cell-cell junctions and co-localizes with proteins involved in endocytosis. Biochim. Biophys. Acta Biomembr. 2018, 1860, 1231–1241. [Google Scholar] [CrossRef]
- Garcia-Miranda, P.; Peral, M.J.; Ilundain, A.A. Rat small intestine expresses the reelin-Disabled-1 signalling pathway. Exp. Physiol. 2010, 95, 498–507. [Google Scholar] [CrossRef]
- Halvorson, C.S.; Sánchez-Lafuente, C.L.; Johnston, J.N.; Kalynchuk, L.E.; Caruncho, H.J. Molecular Mechanisms of Reelin in the Enteric Nervous System and the Microbiota–Gut–Brain Axis: Implications for Depression and Antidepressant Therapy. Int. J. Mol. Sci. 2024, 25, 814. [Google Scholar] [CrossRef]
- Hirota, Y.; Nakajima, K. Control of Neuronal Migration and Aggregation by Reelin Signaling in the Developing Cerebral Cortex. Front. Cell Dev. Biol. 2017, 5, 40. [Google Scholar] [CrossRef] [PubMed]
- Niu, S.; Yabut, O.; D’Arcangelo, G. The Reelin signaling pathway promotes dendritic spine development in hippocampal neurons. J. Neurosci. Off. J. Soc. Neurosci. 2008, 28, 10339–10348. [Google Scholar] [CrossRef] [PubMed]
- Schofield, J.N.; Day, I.N.; Thompson, R.J.; Edwards, Y.H. PGP9.5, a ubiquitin C-terminal hydrolase; pattern of mRNA and protein expression during neural development in the mouse. Dev. Brain Res. 1995, 85, 229–238. [Google Scholar] [CrossRef]
- Poulsen, T.T.; Naizhen, X.; Poulsen, H.S.; Linnoila, R.I. Acute damage by naphthalene triggers expression of the neuroendocrine marker PGP9.5 in airway epithelial cells. Toxicol. Lett. 2008, 181, 67–74. [Google Scholar] [CrossRef]
- Campbell, L.K.; Thomas, J.R.; Lamps, L.W.; Smoller, B.R.; Folpe, A.L. Protein gene product 9.5 (PGP 9.5) is not a specific marker of neural and nerve sheath tumors: An immunohistochemical study of 95 mesenchymal neoplasms. Mod. Pathol. 2003, 16, 963–969. [Google Scholar] [CrossRef]
- Gorecki, A.M.; Slosberg, J.; Hong, S.M.; Seika, P.; Puttapaka, S.N.; Migden, B.; Gulko, A.; Singh, A.; Zhang, C.; Gurumurthy, R.; et al. Detection of Mitotic Neuroblasts Provides Additional Evidence of Steady-State Neurogenesis in the Adult Small Intestinal Myenteric Plexus. eNeuro 2025, 12, ENEURO.0005-24.2025. [Google Scholar] [CrossRef]
- Oh, J.T.; Han, A.R.; Yang, W.I.; Han, S.J.; Choi, S.H.; Hwang, E.H. Morphometric evaluation of PGP9.5 and NCAM expressing nerve fibers in colonic muscle of patients with Hirschsprung’s disease. Yonsei Med. J. 2002, 43, 31–36. [Google Scholar] [CrossRef] [PubMed]
- Yamashita, K.; Park, H.L.; Kim, M.S.; Osada, M.; Tokumaru, Y.; Inoue, H.; Mori, M.; Sidransky, D. PGP9.5 methylation in diffuse-type gastric cancer. Cancer Res. 2006, 66, 3921–3927. [Google Scholar] [CrossRef]
- Hutz, K.; Mejias-Luque, R.; Farsakova, K.; Ogris, M.; Krebs, S.; Anton, M.; Vieth, M.; Schuller, U.; Schneider, M.R.; Blum, H.; et al. The stem cell factor SOX2 regulates the tumorigenic potential in human gastric cancer cells. Carcinogenesis 2014, 35, 942–950. [Google Scholar] [CrossRef] [PubMed]
- Sarkar, A.; Huebner, A.J.; Sulahian, R.; Anselmo, A.; Xu, X.; Flattery, K.; Desai, N.; Sebastian, C.; Yram, M.A.; Arnold, K.; et al. Sox2 Suppresses Gastric Tumorigenesis in Mice. Cell Rep. 2016, 16, 1929–1941. [Google Scholar] [CrossRef]
- Raghoebir, L.; Bakker, E.R.; Mills, J.C.; Swagemakers, S.; Kempen, M.B.; Munck, A.B.; Driegen, S.; Meijer, D.; Grosveld, F.; Tibboel, D.; et al. SOX2 redirects the developmental fate of the intestinal epithelium toward a premature gastric phenotype. J. Mol. Cell Biol. 2012, 4, 377–385. [Google Scholar] [CrossRef] [PubMed]
- Rodda, D.J.; Chew, J.L.; Lim, L.H.; Loh, Y.H.; Wang, B.; Ng, H.H.; Robson, P. Transcriptional regulation of nanog by OCT4 and SOX2. J. Biol. Chem. 2005, 280, 24731–24737. [Google Scholar] [CrossRef]
- Chen, Y.; Sharma, R.P.; Costa, R.H.; Costa, E.; Grayson, D.R. On the epigenetic regulation of the human reelin promoter. Nucleic Acids Res. 2002, 30, 2930–2939. [Google Scholar] [CrossRef]
- Seliger, B.; Handke, D.; Schabel, E.; Bukur, J.; Lichtenfels, R.; Dammann, R. Epigenetic control of the ubiquitin carboxyl terminal hydrolase 1 in renal cell carcinoma. J. Transl. Med. 2009, 7, 90. [Google Scholar] [CrossRef]
- Xiang, T.; Li, L.; Yin, X.; Yuan, C.; Tan, C.; Su, X.; Xiong, L.; Putti, T.C.; Oberst, M.; Kelly, K.; et al. The ubiquitin peptidase UCHL1 induces G0/G1 cell cycle arrest and apoptosis through stabilizing p53 and is frequently silenced in breast cancer. PLoS ONE 2012, 7, e29783. [Google Scholar] [CrossRef] [PubMed]
- McCracken, K.W.; Aihara, E.; Martin, B.; Crawford, C.M.; Broda, T.; Treguier, J.; Zhang, X.; Shannon, J.M.; Montrose, M.H.; Wells, J.M. Wnt/beta-catenin promotes gastric fundus specification in mice and humans. Nature 2017, 541, 182–187. [Google Scholar] [CrossRef]
- Uesaka, T.; Young, H.M.; Pachnis, V.; Enomoto, H. Development of the intrinsic and extrinsic innervation of the gut. Dev. Biol. 2016, 417, 158–167. [Google Scholar] [CrossRef] [PubMed]
- Hao, M.M.; Foong, J.P.; Bornstein, J.C.; Li, Z.L.; Vanden Berghe, P.; Boesmans, W. Enteric nervous system assembly: Functional integration within the developing gut. Dev. Biol. 2016, 417, 168–181. [Google Scholar] [CrossRef] [PubMed]







| Antibody Type | Antibody | Host | Dilution | Source |
|---|---|---|---|---|
| Primary | Anti-Dab1 (ab78200) | Rabbit | 1:100 | Abcam (Cambridge, UK) |
| Anti-Reelin (sc-25346) | Mouse | 1:50 | Santa Cruz Biotechnology Inc. (Santa Cruz, CA, USA) | |
| Anti-PGP9.5 (ab8189) | Mouse | 1:100 | Abcam (Cambridge, UK) | |
| Anti-Sox2 (3579T) | Rabbit | 1:400 | Cell Signaling Technology (Danvers, MA, USA) | |
| Secondary | Alexa Fluor® 488 Anti-Rabbit IgG (711-545-152) | Donkey | 1:300 | Jackson ImmunoResearch Laboratories, Inc. (West Grove, PA, USA) |
| Rhodamine Red™-X Anti-Mouse IgG (715-295-151) | Donkey | 1:300 | Jackson ImmunoResearch Laboratories, Inc. (West Grove, PA, USA) |
| Antibody | Tissue | E13.5 (ctrl) | E13.5 (yot) | E15.5 (ctrl) | E15.5 (yot) |
|---|---|---|---|---|---|
| Dab1 | Epithelium (e) | ++ | +++ | +++ | +++ |
| Mesenchyme (m) | ++ | +++ | +++ | +++ | |
| Reelin | Epithelium (e) | ++ | ++ | ++ | + |
| Mesenchyme (m) | + | + | ++ | + | |
| PGP9.5 | Epithelium (e) | ++ | + | + | +++ |
| Mesenchyme (m) | +++ | +++ | +++ | +++ | |
| Sox2 | Epithelium (e) | ++ | + | + | +++ |
| Mesenchyme (m) | ++ | + | + | +++ |
Disclaimer/Publisher’s Note: The statements, opinions and data contained in all publications are solely those of the individual author(s) and contributor(s) and not of MDPI and/or the editor(s). MDPI and/or the editor(s) disclaim responsibility for any injury to people or property resulting from any ideas, methods, instructions or products referred to in the content. |
© 2025 by the authors. Licensee MDPI, Basel, Switzerland. This article is an open access article distributed under the terms and conditions of the Creative Commons Attribution (CC BY) license (https://creativecommons.org/licenses/by/4.0/).
Share and Cite
Todorović, P.; Kelam, N.; Racetin, A.; Filipović, N.; Katsuyama, Y.; Saraga-Babić, M.; Vukojević, K. Expression Pattern of Dab1, Reelin, PGP9.5 and Sox2 in the Stomach of Yotari (Dab1−/−) Mice. Genes 2025, 16, 1013. https://doi.org/10.3390/genes16091013
Todorović P, Kelam N, Racetin A, Filipović N, Katsuyama Y, Saraga-Babić M, Vukojević K. Expression Pattern of Dab1, Reelin, PGP9.5 and Sox2 in the Stomach of Yotari (Dab1−/−) Mice. Genes. 2025; 16(9):1013. https://doi.org/10.3390/genes16091013
Chicago/Turabian StyleTodorović, Petar, Nela Kelam, Anita Racetin, Natalija Filipović, Yu Katsuyama, Mirna Saraga-Babić, and Katarina Vukojević. 2025. "Expression Pattern of Dab1, Reelin, PGP9.5 and Sox2 in the Stomach of Yotari (Dab1−/−) Mice" Genes 16, no. 9: 1013. https://doi.org/10.3390/genes16091013
APA StyleTodorović, P., Kelam, N., Racetin, A., Filipović, N., Katsuyama, Y., Saraga-Babić, M., & Vukojević, K. (2025). Expression Pattern of Dab1, Reelin, PGP9.5 and Sox2 in the Stomach of Yotari (Dab1−/−) Mice. Genes, 16(9), 1013. https://doi.org/10.3390/genes16091013

