Splenic Diffuse Red Pulp Small B-Cell Lymphoma with Overlapping Clinical and Immunophenotypic Features with Hairy Cell Leukaemia: A Case Report and a Review of the Literature
Abstract
1. Introduction
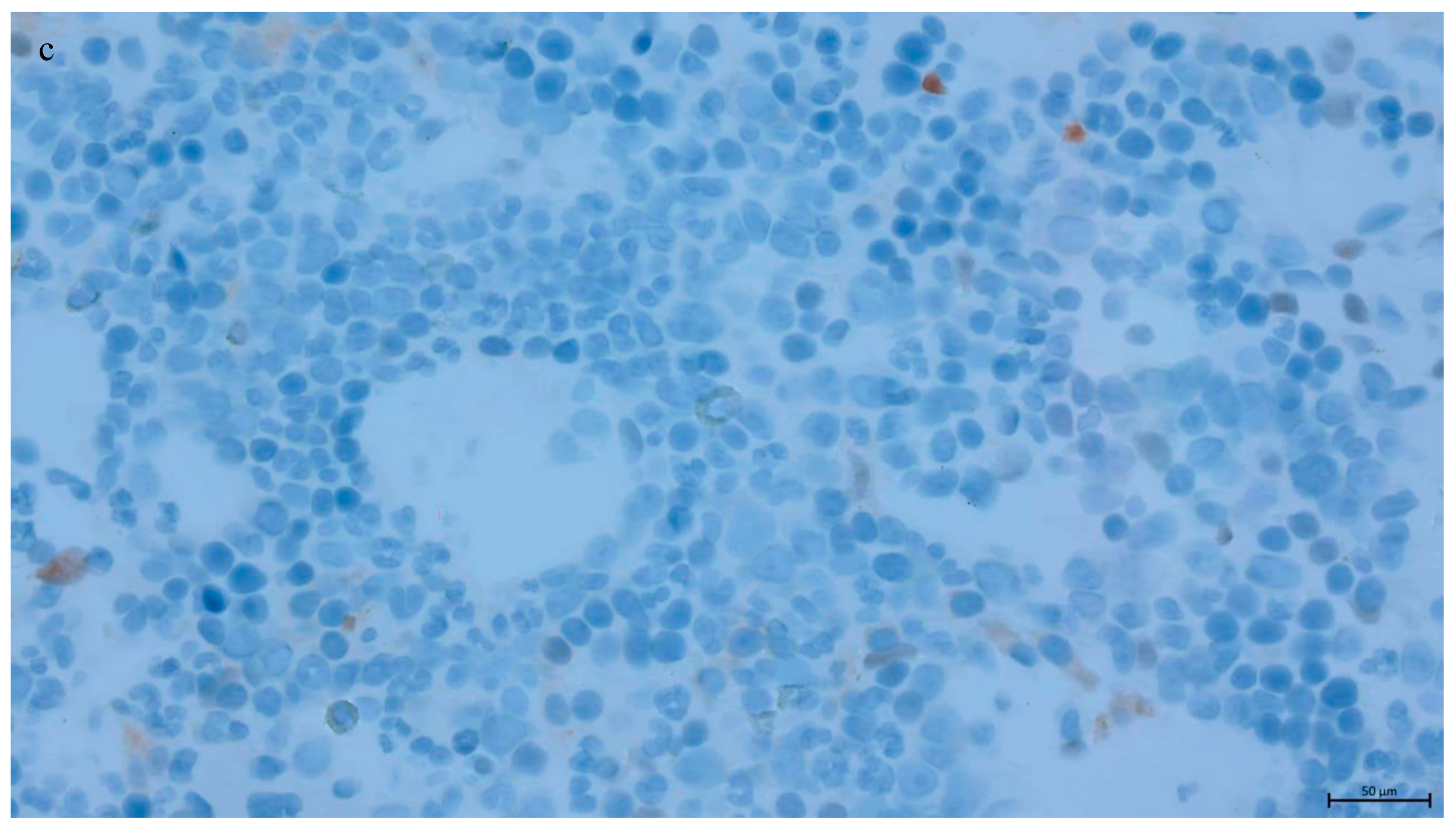
2. Detailed Case Description
3. Discussion
4. Conclusions
Author Contributions
Funding
Institutional Review Board Statement
Informed Consent Statement
Data Availability Statement
Conflicts of Interest
Abbreviations
| ANC | absolute neutrophil count |
| CT | computed tomography |
| HCL | hairy cell leukaemia |
| IBS | irritable bowel syndrome |
| PCR | polymerase chain reaction |
| RR | reference range |
| SBPLN | splenic B-cell lymphoma/leukaemia with prominent nucleoli |
| SDRPL | splenic diffuse red pulp small B-cell lymphoma |
| SMZL | splenic marginal zone lymphoma |
| WBC | white blood cell |
References
- Naresh, K.N. Splenic B-cell lymphomas and leukaemias: Introduction. In WHO Classification of Tumours, 5th ed.; Board Haematolymphoid Tumours; International Agency for Research on Cancer: Lyon, France, 2024; Volume 11, pp. 378–379. [Google Scholar]
- Mollejo, M.; Algara, P.; Mateo, M.S.; Sánchez-Beato, M.; Lloret, E.; Medina, M.T.; Piris, M.A. Splenic small B-cell lymphoma with predominant red pulp involvement: A diffuse variant of splenic marginal zone lymphoma? Histopathology 2002, 40, 22–30. [Google Scholar] [CrossRef] [PubMed]
- Traverse-Glehen, A.; Siebert, R.; Montes-Moreno, S.; Molina, T.J.; Mollejo, M.; Lim, M.; Stamatopoulos, K. Splenic diffuse red pulp small B-cell lymphoma. In WHO Classification of Tumours, 5th ed.; Board Haematolymphoid Tumours; International Agency for Research on Cancer: Lyon, France, 2024; Volume 11, pp. 389–390. [Google Scholar]
- Traverse-Glehen, A.; Baseggio, L.; Callet-Bauchu, E.; Morel, D.; Gazzo, S.; Ffrench, M.; Verney, A.; Rolland, D.; Thieblemont, C.; Magaud, J.-P.; et al. Splenic red pulp lymphoma with numerous basophilic villous lymphocytes: A distinct clinicopathologic and molecular entity? Blood 2008, 111, 2253–2260. [Google Scholar] [CrossRef]
- Martinez, D.; Navarro, A.; Martinez-Trillos, A.; Molina-Urra, R.; Gonzalez-Farre, B.; Salaverria, I.; Nadeu, F.; Enjuanes, A.; Clot, G.; Costa, D.; et al. NOTCH1, TP53, and MAP2K1 Mutations in Splenic Diffuse Red Pulp Small B-cell Lymphoma Are Associated With Progressive Disease. Am. J. Surg. Pathol. 2016, 40, 192–201. [Google Scholar] [CrossRef] [PubMed]
- Yilmaz, E.; Chhina, A.; Nava, V.E.; Aggarwal, A. A Review on Splenic Diffuse Red Pulp Small B-Cell Lymphoma. Curr. Oncol. 2021, 28, 5148–5154. [Google Scholar] [CrossRef] [PubMed]
- Zamò, A.; van den Brand, M.; Climent, F.; de Leval, L.; Dirnhofer, S.; Leoncini, L.; Ng, S.-B.; Ondrejka, S.L.; Quintanilla-Martinez, L.; Soma, L.; et al. The many faces of nodal and splenic marginal zone lymphomas. A report of the 2022 EA4HP/SH lymphoma workshop. Virchows Arch. 2023, 483, 317–331. [Google Scholar] [CrossRef]
- Traverse-Glehen, A.; Siebert, R.; Montes-Moreno, S.; Molina, T.J.; Mollejo, M.; Lim, M.; Stamatopoulos, K. Splenic B-cell lymphoma/leukaemia with prominent nucleoli. In WHO Classification of Tumours, 5th ed.; Board Haematolymphoid Tumours; International Agency for Research on Cancer: Lyon, France, 2024; Volume 11, pp. 391–393. [Google Scholar]
- Lim, M.; Rossi, D.; Naresh, K.; Traverse-Glehen, A.; Arcaini, L. Splenic marginal zone lymphoma. In WHO Classification of Tumours, 5th ed.; Board Haematolymphoid Tumours; International Agency for Research on Cancer: Lyon, France, 2024; Volume 11, pp. 385–388. [Google Scholar]
- Lim, M.; Siebert, R.; Montes-Moreno, S.; Molina, T.J.; Stamatopoulos, K.; Tiacci, E. Hairy cell leukaemia. In WHO Classification of Tumours, 5th ed.; Board Haematolymphoid Tumours; International Agency for Research on Cancer: Lyon, France, 2024; Volume 11, pp. 380–384. [Google Scholar]
- Blombery, P.; de Jong, D.; Ferry, J.A.; Hsi, E.D.; Ondrejka, S.L.; Seymour, J.F.; Zamò, A.; Tzankov, A. Closing the gap between biology and classification in splenic B-cell lymphomas. Histopathology 2025, 86, 69–78. [Google Scholar] [CrossRef]
- Kanellis, G.; Mollejo, M.; Montes-Moreno, S.; Rodriguez-Pinilla, S.-M.; Cigudosa, J.C.; Algara, P.; Montalban, C.; Matutes, E.; Wotherspoon, A.; Piris, M.A. Splenic diffuse red pulp small B-cell lymphoma: Revision of a series of cases reveals characteristic clinico-pathological features. Haematologica 2010, 95, 1122–1129. [Google Scholar] [CrossRef]
- Wotherspoon, A.; Attygalle, A.; Mendes, L.S.T. Bone marrow and splenic histology in hairy cell leukaemia. Best Pract. Res. Clin. Haematol. 2015, 28, 200–207. [Google Scholar] [CrossRef]
- Ponzoni, M.; Kanellis, G.; Pouliou, E.; Baliakas, P.; Scarfò, L.; Ferreri, A.; Doglioni, C.; Bikos, V.; Dagklis, A.; Anagnostopoulos, A.; et al. Bone marrow histopathology in the diagnostic evaluation of splenic marginal-zone and splenic diffuse red pulp small B-cell lymphoma: A reliable substitute for spleen histopathology? Am. J. Surg. Pathol. 2012, 36, 1609–1618. [Google Scholar] [CrossRef]
- Troussard, X.; Maitre, E. Untangling hairy cell leukaemia (HCL) variant and other HCL-like disorders: Diagnosis and treatment. J. Cell. Mol. Med. 2024, 28, e18060. [Google Scholar] [CrossRef]
- Kerbauy, M.N.; Fernandes, C.M.; Bezerra, E.D.; Lage, L.A.; Siqueira, S.A.; Pereira, J. Splenic diffuse red-pulp small B-cell lymphoma associated with hepatitis B virus: A report of two cases. Sao Paulo Med. J. 2016, 134, 359–365. [Google Scholar] [CrossRef] [PubMed]
- Julhakyan, H.L.; Al-Radi, L.S.; Moiseeva, T.N.; Danishyan, K.I.; Kovrigina, A.M.; Glebova, S.M.; Lugovskaya, S.A.; Dvirnik, V.N.; Khvastunova, A.N.; Yakutik, I.A.; et al. A Single-center Experience in Splenic Diffuse Red Pulp Lymphoma Diagnosis. Clin. Lymphoma Myeloma Leuk. 2016, 16, S166–S169. [Google Scholar] [CrossRef] [PubMed]
- Vig, T.; Kodiatte, T.A.; Manipadam, M.T.; Aboobacker, F.N. A rare case of splenic diffuse red pulp small B-cell lymphoma (SDRPL): A review of the literature on primary splenic lymphoma with hairy cells. Blood Res. 2018, 53, 74–78. [Google Scholar] [CrossRef] [PubMed]
- Ozkaya, N.; Jaffe, E.S. Splenic diffuse red pulp small B-cell lymphoma with cyclin D3 expression. Blood 2022, 140, 793. [Google Scholar] [CrossRef]
- Zheng, S.; Lin, L.; Jin, J.; Liu, F.; Wei, J.; Feng, Y.; Zhang, Y.; Luo, H.; Qin, J.; Feng, W. First reported case of splenic diffuse red pulp small B-cell lymphoma with novel mutations in CXCR4 and TRAF3 genes. Int. J. Hematol. 2023, 118, 394–399. [Google Scholar] [CrossRef]
- Xu, Y.; Fan, X.; Sun, C.; Yin, L.; Qiu, T.; Xia, J.; Zhong, X.; Xu, L.; Li, D.; Li, Z.; et al. Splenic Diffuse Red Pulp Small B-Cell Lymphoma with Gastrointestinal Hemorrhage: A Case Report and Literature Review. Cancer Manag. Res. 2020, 12, 9627–9633. [Google Scholar] [CrossRef]
- Matutes, E.; Oscier, D.; Montalban, C.; Berger, F.; Callet-Bauchu, E.; Dogan, A.; Felman, P.; Franco, V.; Iannitto, E.; Mollejo, M.; et al. Splenic marginal zone lymphoma proposals for a revision of diagnostic, staging and therapeutic criteria. Leukemia 2008, 22, 487–495. [Google Scholar] [CrossRef]
- Baseggio, L.; Traverse-Glehen, A.; Petinataud, F.; Callet-Bauchu, E.; Berger, F.; Ffrench, M.; Couris, C.M.; Thieblemont, C.; Morel, D.; Coiffier, B.; et al. CD5 expression identifies a subset of splenic marginal zone lymphomas with higher lymphocytosis: A clinico-pathological, cytogenetic and molecular study of 24 cases. Haematologica 2010, 95, 604–612. [Google Scholar] [CrossRef]
- Kojima, M.; Sato, E.; Oshimi, K.; Murase, T.; Koike, T.; Tsunoda, S.; Matsumoto, T.; Marutsuka, K.; Ogiya, D.; Moriuchi, M.; et al. Characteristics of CD5-positive splenic marginal zone lymphoma with leukemic manifestation; clinical, flow cytometry, and histopathological findings of 11 cases. J. Clin. Exp. Hematop. 2010, 50, 107–112. [Google Scholar] [CrossRef]
- Venkataraman, G.; Aguhar, C.; Kreitman, R.J.; Yuan, C.M.; Stetler-Stevenson, M. Characteristic CD103 and CD123 expression pattern defines hairy cell leukemia: Usefulness of CD123 and CD103 in the diagnosis of mature B-cell lymphoproliferative disorders. Am. J. Clin. Pathol. 2011, 136, 625–630. [Google Scholar] [CrossRef]
- Shao, H.; Calvo, K.R.; Grönborg, M.; Tembhare, P.R.; Kreitman, R.J.; Stetler-Stevenson, M.; Yuan, C.M. Distinguishing hairy cell leukemia variant from hairy cell leukemia: Development and validation of diagnostic criteria. Leuk. Res. 2013, 37, 401–409. [Google Scholar] [CrossRef] [PubMed]
- Arcaini, L.; Rossi, D.; Paulli, M. Splenic marginal zone lymphoma: From genetics to management. Blood 2016, 127, 2072–2081. [Google Scholar] [CrossRef]
- Kost, C.B.; Holden, J.T.; Mann, K.P. Marginal zone B-cell lymphoma: A retrospective immunophenotypic analysis. Cytom. Part B Clin. Cytom. 2008, 74, 282–286. [Google Scholar] [CrossRef] [PubMed]
- Ocio, E.M.; Hernandez, J.M.; Mateo, G.; Sánchez, M.L.; González, B.; Vidriales, B.; Gutiérrez, N.C.; Orfao, A.; Miguel, J.F.S. Immunophenotypic and cytogenetic comparison of Waldenstrom’s macroglobulinemia with splenic marginal zone lymphoma. Clin. Lymphoma 2005, 5, 241–245. [Google Scholar] [CrossRef] [PubMed]
- Sánchez, M.L.; Almeida, J.; Vidriales, B.; López-Berges, M.C.; García-Marcos, M.A.; Moro, M.J.; Corrales, A.; Calmuntia, M.J.; Miguel, J.F.S.; Orfao, A. Incidence of phenotypic aberrations in a series of 467 patients with B chronic lymphoproliferative disorders: Basis for the design of specific four-color stainings to be used for minimal residual disease investigation. Leukemia 2002, 16, 1460–1469. [Google Scholar] [CrossRef]
- Thieblemont, C.; Felman, P.; Callet-Bauchu, E.; Traverse-Glehenb, A.; Sallesa, G.; Coiffiera, D.B.; Berger, F. Splenic marginal-zone lymphoma: A distinct clinical and pathological entity. Lancet Oncol. 2003, 4, 95–103. [Google Scholar] [CrossRef]
- Naresh, K.N. Understanding splenic B-cell lymphoma/leukaemia with prominent nucleoli: Diagnosis, underpinnings for disease classification and future directions. Br. J. Haematol. 2024, 205, 2142–2152. [Google Scholar] [CrossRef]
- Traverse-Glehen, A.; Verney, A.; Gazzo, S.; Jallades, L.; Chabane, K.; Hayette, S.; Coiffier, B.; Callet-Bauchu, E.; Ffrench, M.; Felman, P.; et al. Splenic diffuse red pulp lymphoma has a distinct pattern of somatic mutations amongst B-cell malignancies. Leuk. Lymphoma 2017, 58, 666–675. [Google Scholar] [CrossRef]
- Jallades, L.; Baseggio, L.; Sujobert, P.; Huet, S.; Chabane, K.; Callet-Bauchu, E.; Verney, A.; Hayette, S.; Desvignes, J.-P.; Salgado, D.; et al. Exome sequencing identifies recurrent BCOR alterations and the absence of KLF2, TNFAIP3 and MYD88 mutations in splenic diffuse red pulp small B-cell lymphoma. Haematologica 2017, 102, 1758–1766. [Google Scholar] [CrossRef]
- Curiel-Olmo, S.; Mondéjar, R.; Almaraz, C.; Mollejo, M.; Cereceda, L.; Marès, R.; Derdak, S.; Campos-Martín, Y.; Batlle, A.; de Villambrosía, S.G.; et al. Splenic diffuse red pulp small B-cell lymphoma displays increased expression of cyclin D3 and recurrent CCND3 mutations. Blood 2017, 129, 1042–1045. [Google Scholar] [CrossRef]
- Andersen, C.L.; Gruszka-Westwood, A.; Østergaard, M.; Koch, J.; Jacobsen, E.; Kjeldsen, E.; Nielsen, B. A narrow deletion of 7q is common to HCL, and SMZL, but not CLL. Eur. J. Haematol. 2004, 72, 390–402. [Google Scholar] [CrossRef] [PubMed]
- Lopedote, P.; Nawaiseh, A.A.; Malek, A.; Faller, G.; Hattar, M.; Dow, E.; Kozyreva, O. Early progression and transformation of a splenic diffuse red pulp small B-cell lymphoma with NOTCH1, ARID2, CREBBP, and TNFRSF14 gene mutations. Leuk. Res. Rep. 2023, 20, 100384. [Google Scholar] [CrossRef] [PubMed]
- Rai, V.; Saha, A.; Gondha, S.; Manimaran, P.; Sawhney, J. Splenic B-cell lymphoma/leukemia with prominent nucleoli: A three-case series of the newly named old entity and review of literature. J. Cancer Res. Ther. 2024, 20, 315–320. [Google Scholar] [CrossRef] [PubMed]






Disclaimer/Publisher’s Note: The statements, opinions and data contained in all publications are solely those of the individual author(s) and contributor(s) and not of MDPI and/or the editor(s). MDPI and/or the editor(s) disclaim responsibility for any injury to people or property resulting from any ideas, methods, instructions or products referred to in the content. |
© 2025 by the authors. Licensee MDPI, Basel, Switzerland. This article is an open access article distributed under the terms and conditions of the Creative Commons Attribution (CC BY) license (https://creativecommons.org/licenses/by/4.0/).
Share and Cite
Hanna, M.; Trus, M.; DiMaria, E. Splenic Diffuse Red Pulp Small B-Cell Lymphoma with Overlapping Clinical and Immunophenotypic Features with Hairy Cell Leukaemia: A Case Report and a Review of the Literature. Genes 2025, 16, 467. https://doi.org/10.3390/genes16040467
Hanna M, Trus M, DiMaria E. Splenic Diffuse Red Pulp Small B-Cell Lymphoma with Overlapping Clinical and Immunophenotypic Features with Hairy Cell Leukaemia: A Case Report and a Review of the Literature. Genes. 2025; 16(4):467. https://doi.org/10.3390/genes16040467
Chicago/Turabian StyleHanna, Mirette, Michola Trus, and Erica DiMaria. 2025. "Splenic Diffuse Red Pulp Small B-Cell Lymphoma with Overlapping Clinical and Immunophenotypic Features with Hairy Cell Leukaemia: A Case Report and a Review of the Literature" Genes 16, no. 4: 467. https://doi.org/10.3390/genes16040467
APA StyleHanna, M., Trus, M., & DiMaria, E. (2025). Splenic Diffuse Red Pulp Small B-Cell Lymphoma with Overlapping Clinical and Immunophenotypic Features with Hairy Cell Leukaemia: A Case Report and a Review of the Literature. Genes, 16(4), 467. https://doi.org/10.3390/genes16040467

